Clinical Outcomes and Risk Factor Analysis of Patients Presenting with Emphysematous Cystitis: A 15-Year Retrospective Multicenter Study
Abstract
1. Introduction
2. Material and Methods
2.1. Study Aim
2.2. Study Design
2.3. Risk Factors Analysis
2.4. Statistical Analysis
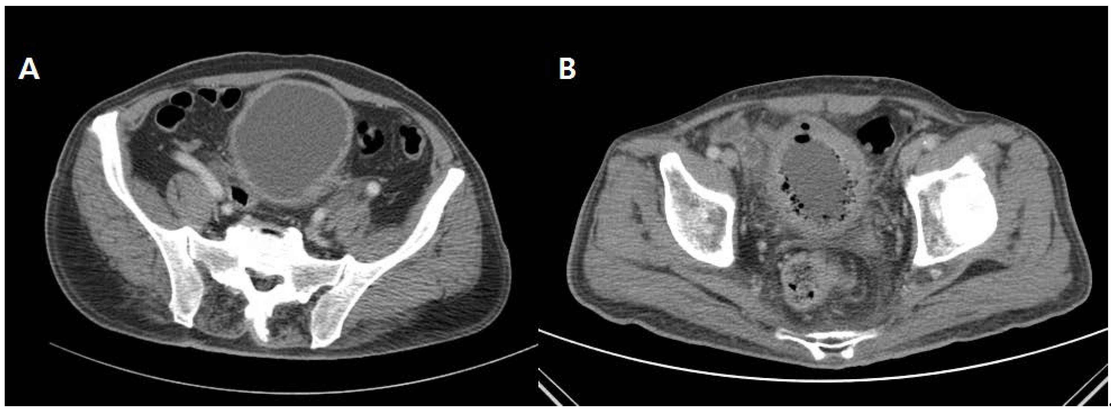
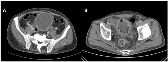
3. Results
3.1. Patient General Data
3.2. Univariate and Multivariate Analysis of Risk Factors
4. Discussion
5. Conclusions
Author Contributions
Funding
Institutional Review Board Statement
Informed Consent Statement
Data Availability Statement
Conflicts of Interest
Abbreviations
| AC | acute cystitis |
| CKD | chronic kidney disease |
| CT | computed tomography |
| CVA | cerebrovascular accident |
| DM | diabetes mellitus |
| EC | emphysematous cystitis |
| EPN | emphysematous pyelonephritis |
| ESBL | extended-spectrum beta-lactamase |
| HTN | hypertension |
| NB | neurogenic bladder |
| UTI | urinary tract infection |
References
- Somani, B.K.; Nabi, G.; Thorpe, P.; Hussey, J.; Cook, J.; N’Dow, J.; Group, A.R. Is percutaneous drainage the new gold standard in the management of emphysematous pyelonephritis? Evidence from a systematic review. J. Urol. 2008, 179, 1844–1849. [Google Scholar] [CrossRef] [PubMed]
- Bjurlin, M.A.; Hurley, S.D.; Kim, D.Y.; Cohn, M.R.; Jordan, M.D.; Kim, R.; Divakaruni, N.; Hollowell, C.M. Clinical outcomes of nonoperative management in emphysematous urinary tract infections. Urology 2012, 79, 1281–1285. [Google Scholar] [CrossRef] [PubMed]
- Chun, H.J.; Byun, J.Y.; Lee, J.M.; Ro, H.J.; Shinn, K.S. Emphysematous cystitis: 3 cases report. J. Korean Radiol. Soc. 1995, 33, 407–409. [Google Scholar]
- Schicho, A.; Stroszczynski, C.; Wiggermann, P. Emphysematous cystitis: Mortality, risk factors, and pathogens of a rare disease. Clin. Pract. 2017, 7, 54–55. [Google Scholar] [CrossRef] [PubMed]
- TAUSSIG, A.E. Pneumaturia, with report of a case. Boston Med Surg. J. 1907, 156, 769–774. [Google Scholar] [CrossRef]
- Eken, A.; Alma, E. Emphysematous cystitis: The role of CT imaging and appropriate treatment. Can. Urol. Assoc. J. 2013, 7, E754. [Google Scholar] [CrossRef] [PubMed]
- Thomas, A.A.; Lane, B.R.; Thomas, A.Z.; Remer, E.M.; Campbell, S.C.; Shoskes, D.A. Emphysematous cystitis: A review of 135 cases. Bju Int. 2007, 100, 17–20. [Google Scholar] [CrossRef] [PubMed]
- Yoshida, K.; Murao, K.; Fukuda, N.; Tamura, Y.; Ishida, T. Emphysematous cystitis with diabetic neurogenic bladder. Intern. Med. 2010, 49, 1879–1883. [Google Scholar] [CrossRef] [PubMed]
- Karashima, E.; Ejima, J.-I.; Nakamura, H.; Koike, A.; Kaneko, T.; Ohmura, I. Emphysematous cystitis with venous bubbles. Intern. Med. 2005, 44, 590–592. [Google Scholar] [CrossRef] [PubMed][Green Version]
- Grupper, M.; Kravtsov, A.; Potasman, I. Emphysematous cystitis: Illustrative case report and review of the literature. Medicine 2007, 86, 47–53. [Google Scholar] [CrossRef] [PubMed]
- Amano, M.; Shimizu, T. Emphysematous cystitis: A review of the literature. Intern. Med. 2014, 53, 79–82. [Google Scholar] [CrossRef] [PubMed]
- Toyota, N.; Ogawa, D.; Ishii, K.; Hirata, K.; Wada, J.; Shikata, K.; Makino, H. Emphysematous cystitis in a patient with type 2 diabetes mellitus. Acta Med. Okayama 2011, 65, 129–133. [Google Scholar] [PubMed]
- Yang, W.-H.; Shen, N.-C. Gas-forming infection of the urinary tract: An investigation of fermentation as a mechanism. J. Urol. 1990, 143, 960–964. [Google Scholar] [CrossRef]
- Mokabberi, R.; Ravakhah, K. Emphysematous urinary tract infections: Diagnosis, treatment and survival (case review series). Am. J. Med Sci. 2007, 333, 111–116. [Google Scholar] [CrossRef] [PubMed]
- Stapleton, A. Urinary tract infections in patients with diabetes. Am. J. Med. 2002, 113, 80–84. [Google Scholar] [CrossRef]
- The Diabetes Control and Complications Trial Research Group. Effect of Intensive Treatment of Diabetes on the Development and Progression of Long-Term Complications in Insulin-Dependent Diabetes Mellitus. N. Engl. J. Med. 1993, 329, 977–986. [Google Scholar] [CrossRef] [PubMed]
- Rayfield, E.J.; Ault, M.J.; Keusch, G.T.; Brothers, M.J.; Nechemias, C.; Smith, H. Infection and diabetes: The case for glucose control. Am. J. Med. 1982, 72, 439–450. [Google Scholar] [CrossRef]
- Yokoo, T.; Awai, T.; Yamazaki, H.; Fukuda, Y.; Hayashi, F.; Hosoya, T. Emphysematous cystitis complication in a patient undergoing hemodialysis. Clin. Exp. Nephrol. 2007, 11, 247–250. [Google Scholar] [CrossRef] [PubMed]
- Wang, Q.; Sun, M.; Ma, C.; Lv, H.; Lu, P.; Wang, Q.; Liu, G.; Hu, Z.; Gao, Y. Emphysematous pyelonephritis and cystitis in a patient with uremia and anuria: A case report and literature review. Medicine 2018, 97, e11272. [Google Scholar] [CrossRef] [PubMed]
- Quint, H.J.; Drach, G.W.; Rappaport, W.D.; Hoffmann, C. Emphysematous cystitis: A review of the spectrum of disease. J. Urol. 1992, 147, 134–137. [Google Scholar] [CrossRef]

| AC (n = 92) | EC (n = 54) | p-Value | ||
|---|---|---|---|---|
| Age | 70.5 (26.5) | 78.5 (15.3) | <0.001 | |
| Gender | 0.193 | |||
| Male (n = 44) | 24 | 20 | ||
| Female (n = 102) | 68 | 34 | ||
| Underlying disease | ||||
| Diabetes Mellitus | 14 (15.2) | 34 (63.0) | <0.001 | |
| Hypertension | 36 (39.1) | 33 (61.1) | 0.016 | |
| Cerebrovascular accident | 12 (13.0) | 18 (33.3) | 0.005 | |
| Chronic kidney disease | 2 (2.17) | 20 (37.0) | <0.001 | |
| Neurogenic bladder | 5 (5.43) | 15 (31.9) | <0.001 | |
| HbA1c | 6.80 ± 0.774 | 7.92 ± 1.89 | <0.001 | |
| previous UTI history | 17 (18.9) | 7 (16.7) | 0.814 | |
| Emphysematous Nephritis | 0(0) | 5 (10.2) | 0.004 | |
| Urine culture | ||||
| Enteroccocus coli | 47 (52.8) | 21 (40.4) | ||
| Klebsiella pneumoniae | 2 (2.25) | 18 (34.6) | ||
| Enterococcus | 3 (3.37) | 0 (0) | ||
| etc. | 0 (0) | 12 (23.1) | ||
| ESBL positive | 17 (17.6) | 19 (36.5) | 0.015 | |
| Sepsis | 0 (0) | 26 (48.1) | <0.001 | |
| Mortality | 0 (0) | 6 (11.1) | 0.002 | |
| Univariate Analysis | Multivariate Analysis | |||
|---|---|---|---|---|
| OR (95% CI) | p-Value | OR (95% CI) | p-Value | |
| Sex | 0.600 (0.291–1.235) | 0.193 | - | - |
| Age | 1.058 (1.029–1.088) | <0.001 | 1.033 (0.994–1.074) | 0.100 |
| Diabetes mellitus | 9.471 (4.286–20.930) | <0.001 | 6.251 (2.265–17.250) | <0.001 |
| Hypertension | 2.444 (1.227–4.868) | 0.016 | 0.702 (0.246–1.999) | 0.507 |
| Cerebrovascular accident | 3.333 (1.454–7.641) | 0.005 | 1.684 (0.542–5.233) | 0.367 |
| Chronic kidney disease | 26.471 (5.870–119.364) | <0.001 | 18.439 (3.421–99.404) | 0.001 |
| Neurogenic bladder | 8.156 (2.742–24.264) | <0.001 | 7.374 (1.993–27.285) | 0.003 |
| Previous UTI history | 0.859 (0.326–2.261) | 0.814 | - | - |
Publisher’s Note: MDPI stays neutral with regard to jurisdictional claims in published maps and institutional affiliations. |
© 2021 by the authors. Licensee MDPI, Basel, Switzerland. This article is an open access article distributed under the terms and conditions of the Creative Commons Attribution (CC BY) license (https://creativecommons.org/licenses/by/4.0/).
Share and Cite
Choi, J.; Choi, S.-K.; Lee, S.-H.; Yoo, K.-H. Clinical Outcomes and Risk Factor Analysis of Patients Presenting with Emphysematous Cystitis: A 15-Year Retrospective Multicenter Study. Medicina 2021, 57, 531. https://doi.org/10.3390/medicina57060531
Choi J, Choi S-K, Lee S-H, Yoo K-H. Clinical Outcomes and Risk Factor Analysis of Patients Presenting with Emphysematous Cystitis: A 15-Year Retrospective Multicenter Study. Medicina. 2021; 57(6):531. https://doi.org/10.3390/medicina57060531
Chicago/Turabian StyleChoi, Jeonghyouk, Seung-Kwon Choi, Sang-Hyub Lee, and Koo-Han Yoo. 2021. "Clinical Outcomes and Risk Factor Analysis of Patients Presenting with Emphysematous Cystitis: A 15-Year Retrospective Multicenter Study" Medicina 57, no. 6: 531. https://doi.org/10.3390/medicina57060531
APA StyleChoi, J., Choi, S.-K., Lee, S.-H., & Yoo, K.-H. (2021). Clinical Outcomes and Risk Factor Analysis of Patients Presenting with Emphysematous Cystitis: A 15-Year Retrospective Multicenter Study. Medicina, 57(6), 531. https://doi.org/10.3390/medicina57060531

