Life-Threatening Subglottic Stenosis of Granulomatosis with Polyangiitis: A Case Report
Abstract
1. Introduction
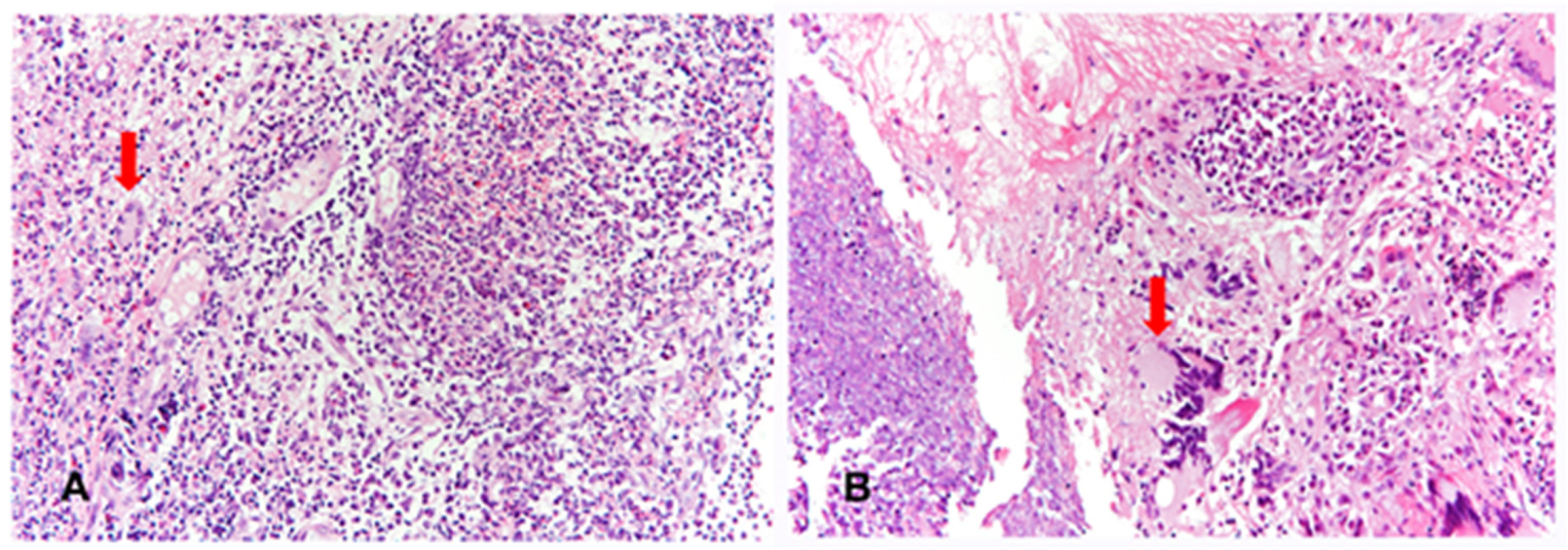
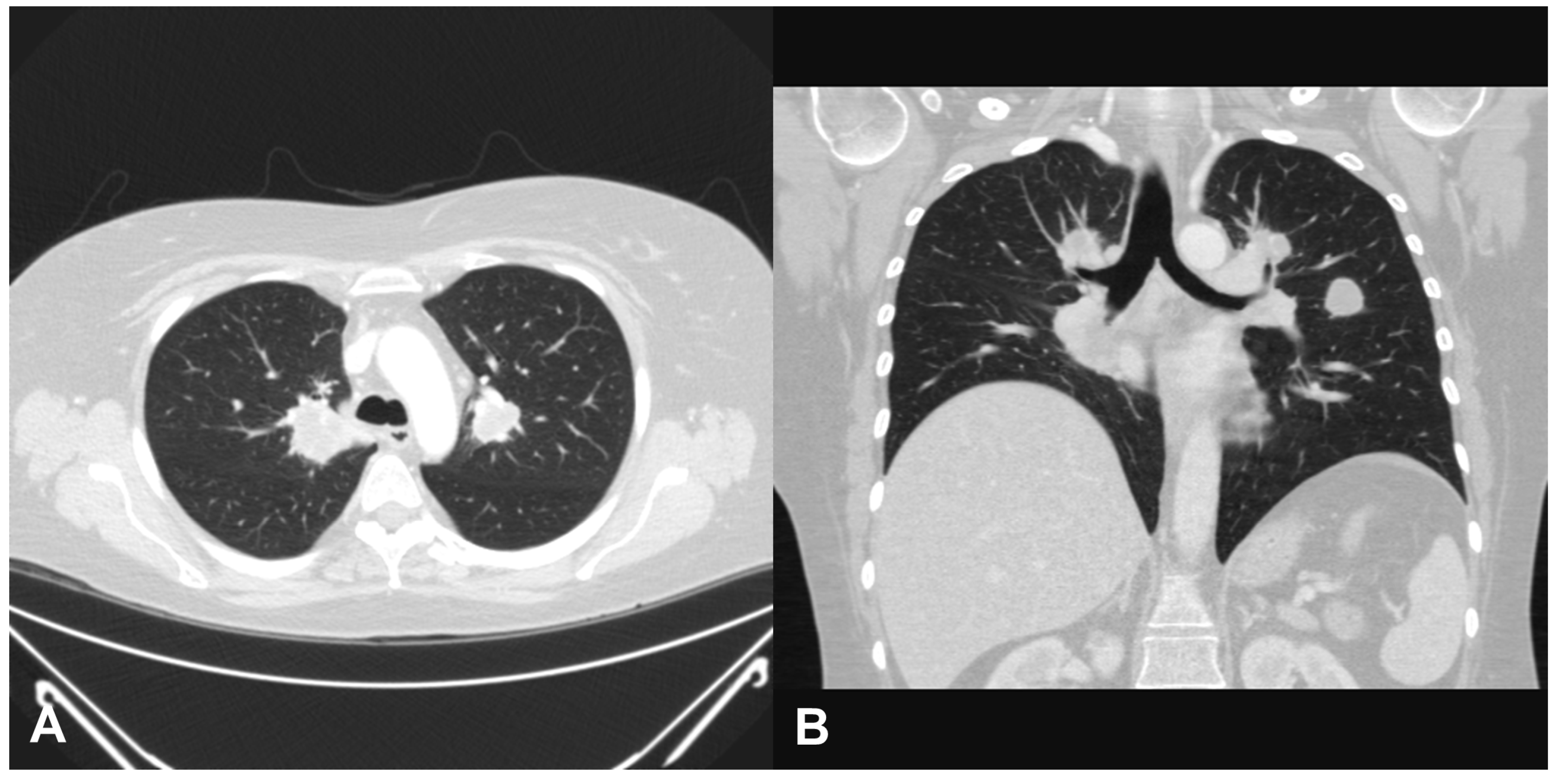
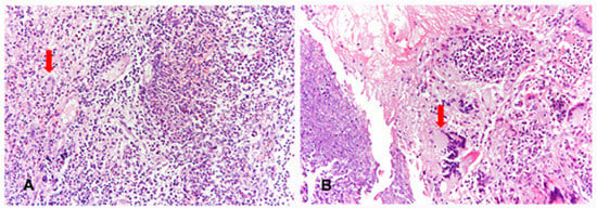
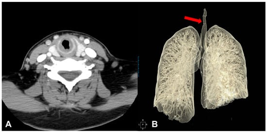
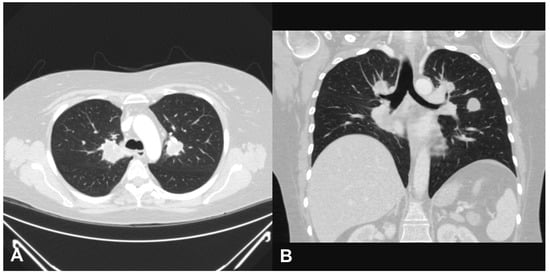
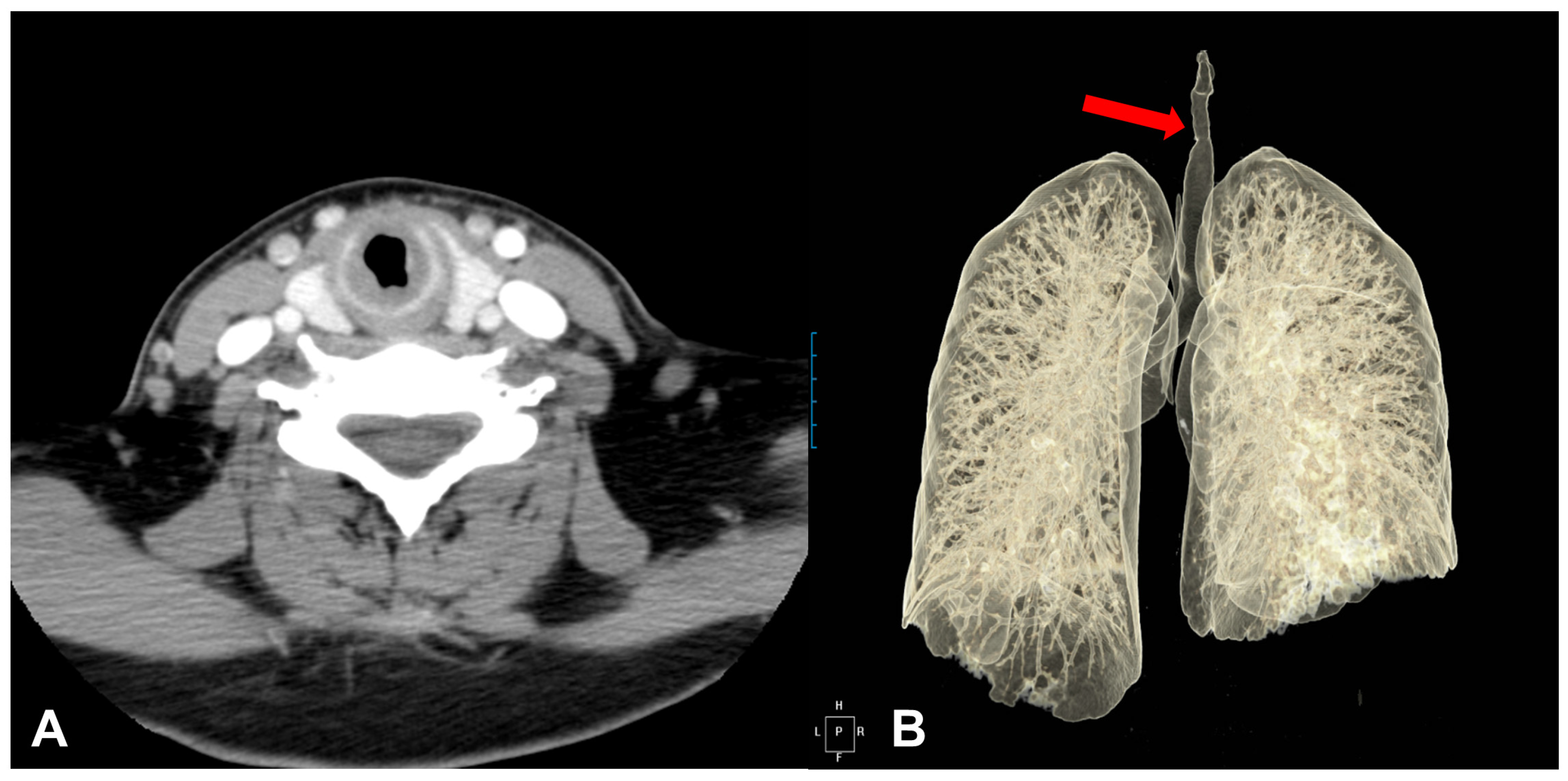
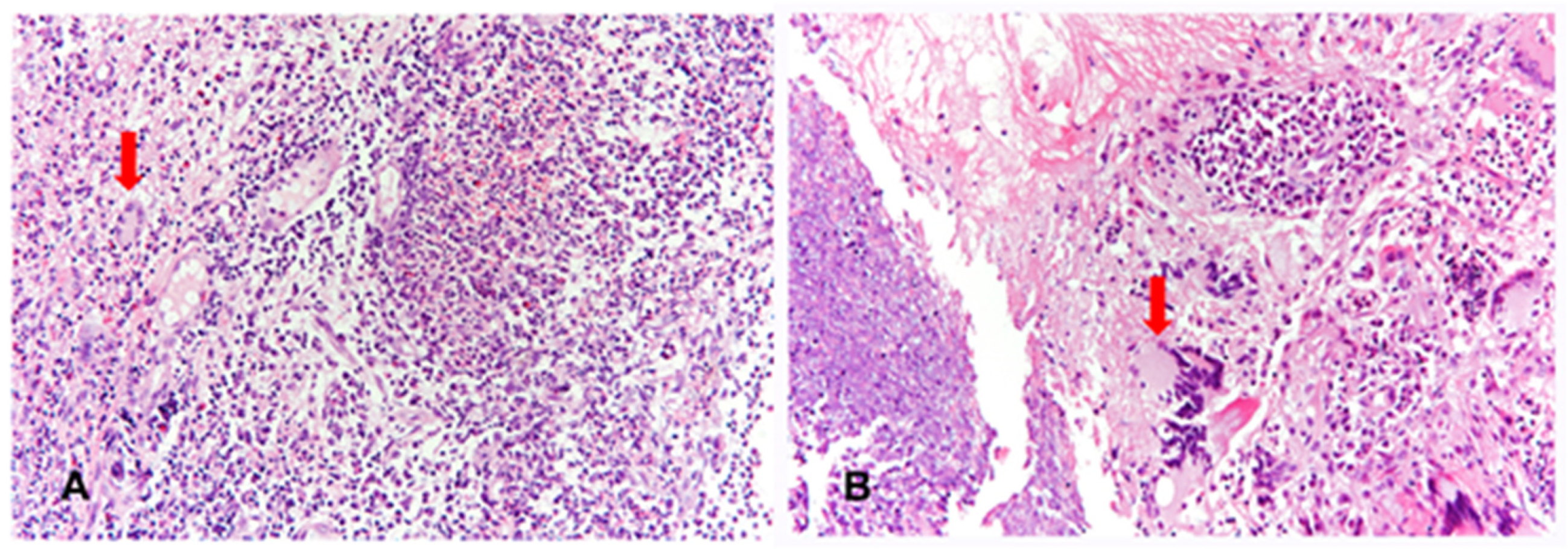
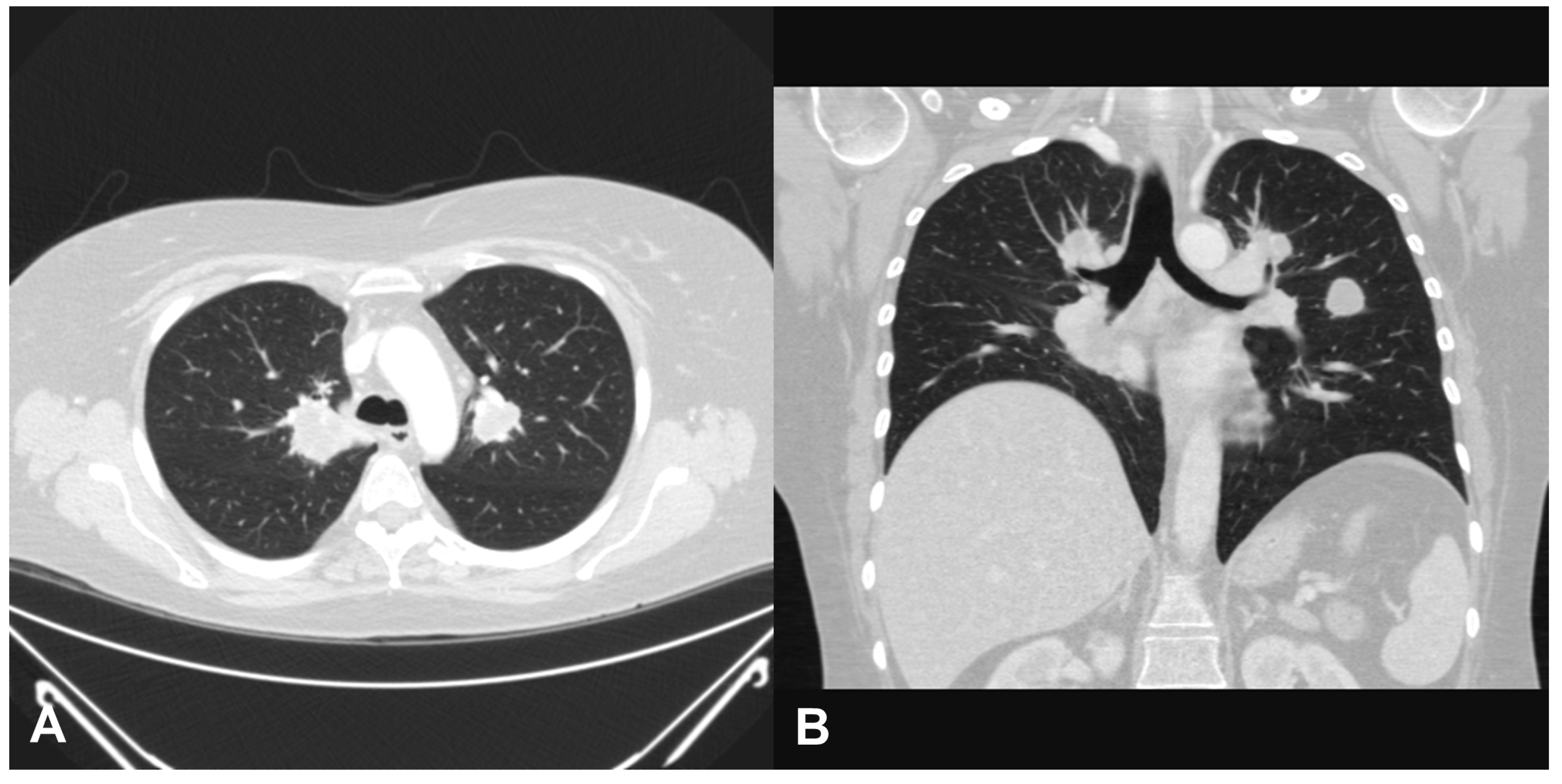
2. Case Report
3. Discussion
4. Conclusions
Author Contributions
Funding
Institutional Review Board Statement
Informed Consent Statement
Data Availability Statement
Conflicts of Interest
References
- Comarmond, C.; Cacoub, P. Granulomatosis with polyangiitis (wegener): Clinical aspects and treatment. Autoimmun. Rev. 2014, 13, 1121–1125. [Google Scholar] [CrossRef] [PubMed]
- Schokkenbroek, A.A.; Franssen, C.F.; Dikkers, F.G. Dilatation tracheoscopy for laryngeal and tracheal stenosis in patients with wegener’s granulomatosis. Eur. Arch. Otorhinolaryngol. 2008, 265, 549–555. [Google Scholar] [CrossRef] [PubMed][Green Version]
- Horta-Baas, G.; Hernandez-Cabrera, M.F.; Catana, R.; Perez-Cristobal, M.; Barile-Fabris, L.A. Subglottic stenosis in granulomatosis with polyangiitis (wegener’s granulomatosis): Report of 4 cases. Reumatol. Clin. 2016, 12, 267–273. [Google Scholar] [CrossRef] [PubMed]
- Leavitt, R.Y.; Fauci, A.S.; Bloch, D.A.; Michel, B.A.; Hunder, G.G.; Arend, W.P.; Calabrese, L.H.; Fries, J.F.; Lie, J.T.; Lightfoot, R.W., Jr.; et al. The american college of rheumatology 1990 criteria for the classification of wegener’s granulomatosis. Arthritis Rheum. 1990, 33, 1101–1107. [Google Scholar] [CrossRef]
- Lee, S.-W.; Park, Y.-B. Classification of antineutrophil cytoplasmic antibody-associated vasculitis. J. Rheum. Dis. 2019, 26, 156–164. [Google Scholar] [CrossRef]
- Utzig, M.J.; Warzelhan, J.; Wertzel, H.; Berwanger, I.; Hasse, J. Role of thoracic surgery and interventional bronchoscopy in wegener’s granulomatosis. Ann. Thorac. Surg. 2002, 74, 1948–1952. [Google Scholar] [CrossRef]
- Lebovics, R.S.; Hoffman, G.S.; Leavitt, R.Y.; Kerr, G.S.; Hallahan, C.; Rottem, M.; Fauci, A.S.; Travis, W.D.; Kammerer, W. The management of subglottic stenosis in patients with wegener’s granulomatosis. Laryngoscope 1992, 102, 1341–1345. [Google Scholar] [CrossRef]
- Langford, C.A.; Sneller, M.C.; Hallahan, C.W.; Hoffman, G.S.; Kammerer, W.A.; Talar-Williams, C.; Fauci, A.S.; Lebovics, R.S. Clinical features and therapeutic management of subglottic stenosis in patients with wegener’s granulomatosis. Arthritis Rheum. Off. J. Am. Coll. Rheumatol. 1996, 39, 1754–1760. [Google Scholar] [CrossRef]
- Csernok, E.; Trabandt, A.; Muller, A.; Wang, G.C.; Moosig, F.; Paulsen, J.; Schnabel, A.; Gross, W.L. Cytokine profiles in wegener’s granulomatosis: Predominance of type 1 (th1) in the granulomatous inflammation. Arthritis Rheum. 1999, 42, 742–750. [Google Scholar] [CrossRef]
- Sneller, M.C. Rituximab and wegener’s granulomatosis: Are b cells a target in vasculitis treatment? Arthritis Rheum. 2005, 52, 1–5. [Google Scholar] [CrossRef]
- Tarzi, R.M.; Pusey, C.D. Current and future prospects in the management of granulomatosis with polyangiitis (wegener’s granulomatosis). Ther. Clin. Risk Manag. 2014, 10, 279–293. [Google Scholar]
- Seo, P.; Specks, U.; Keogh, K.A. Efficacy of rituximab in limited wegener’s granulomatosis with refractory granulomatous manifestations. J. Rheumatol. 2008, 35, 2017–2023. [Google Scholar] [PubMed]
- Taylor, S.C.; Clayburgh, D.R.; Rosenbaum, J.T.; Schindler, J.S. Clinical manifestations and treatment of idiopathic and wegener granulomatosis-associated subglottic stenosis. JAMA Otolaryngol. Head Neck Surg. 2013, 139, 76–81. [Google Scholar] [CrossRef] [PubMed]
- Gluth, M.B.; Shinners, P.A.; Kasperbauer, J.L. Subglottic stenosis associated with wegener’s granulomatosis. Laryngoscope 2003, 113, 1304–1307. [Google Scholar] [CrossRef]
- Aravena, C.; Almeida, F.A.; Mukhopadhyay, S.; Ghosh, S.; Lorenz, R.R.; Murthy, S.C.; Mehta, A.C. Idiopathic subglottic stenosis: A review. J. Thorac. Dis. 2020, 12, 1100–1111. [Google Scholar] [CrossRef]
- Eagleton, L.E.; Rosher, R.B.; Hawe, A.; Bilinsky, R.T.J.C. Radiation therapy and mechanical dilation of endobronchial obstruction secondary to wegener’s granulomatosis. Chest 1979, 76, 609–610. [Google Scholar] [CrossRef]
- Wygoda, A.; Rutkowski, T.; Składowski, K.; Hejduk, B.J.C.O. Low dose radiotherapy as an effective treatment in a patient with solitary wegener’s granulomatosis resistant to systemic treatment–case report. Contemp. Oncol. 2013, 17, 107. [Google Scholar]
- Madej, M.; Matuszewska, A.; Bialowas, K.; Wiland, P.J.R. Clinical forms of granulomatosis with polyangiitis. Reumatologia 2014, 52, 332. [Google Scholar] [CrossRef]
- Monnier, P.; Ikonomidis, C.; Jaquet, Y.; George, M. Proposal of a new classification for optimising outcome assessment following partial cricotracheal resections in severe pediatric subglottic stenosis. Int. J. Pediatr. Otorhi. 2009, 73, 1217–1221. [Google Scholar] [CrossRef] [PubMed]
- Girard, C.; Charles, P.; Terrier, B.; Bussonne, G.; Cohen, P.; Pagnoux, C.; Cottin, V.; Cordier, J.F.; Guillevin, L. Tracheobronchial stenoses in granulomatosis with polyangiitis (wegener’s) a report on 26 cases. Medicine 2015, 94, e1088. [Google Scholar] [CrossRef] [PubMed]
- Quinn, K.A.; Gelbard, A.; Sibley, C.; Sirajuddin, A.; Ferrada, M.A.; Chen, M.; Cuthbertson, D.; Carette, S.; Khalidi, N.A.; Koening, C.L.; et al. Subglottic stenosis and endobronchial disease in granulomatosis with polyangiitis. Rheumatology 2019, 58, 2203–2211. [Google Scholar] [CrossRef]
- Miloslavsky, E.M.; Specks, U.; Merkel, P.A.; Seo, P.; Spiera, R.; Langford, C.A.; Hoffman, G.S.; Kallenberg, C.G.; St Clair, E.W.; Tchao, N.K.; et al. Clinical outcomes of remission induction therapy for severe antineutrophil cytoplasmic antibody-associated vasculitis. Arthritis Rheum. 2013, 65, 2441–2449. [Google Scholar] [CrossRef]
- Jordan, N.; Verma, H.; Siddiqui, A.; Morrison, G.; D’Cruz, D.P. Morbidity and mortality associated with subglottic laryngotracheal stenosis in granulomatosis with polyangiitis (wegener’s granulomatosis): A single-centre experience in the united kingdom. J. Laryngol. Otol. 2014, 1, 831. [Google Scholar] [CrossRef]
- Gouveris, H.; Karaiskaki, N.; Koutsimpelas, D.; Chongolwatana, C.; Mann, W. Treatment for adult idiopathic and wegener-associated subglottic stenosis. Eur. Arch. Otorhinolaryngol. 2013, 270, 989–993. [Google Scholar] [CrossRef]
- Wolter, N.E.; Ooi, E.H.; Witterick, I.J. Intralesional corticosteroid injection and dilatation provides effective management of subglottic stenosis in wegener’s granulomatosis. Laryngoscope 2010, 120, 2452–2455. [Google Scholar] [CrossRef]
- Nouraei, S.R.; Obholzer, R.; Ind, P.W.; Salama, A.D.; Pusey, C.; Porter, F.; Howard, D.J.; Sandhu, G.S. Results of endoscopic surgery and intralesional steroid therapy for airway compromise due to tracheobronchial wegener’s granulomatosis. Thorax 2008, 63, 49–52. [Google Scholar] [CrossRef]
- Hoffman, G.S.; Thomas-Golbanov, C.K.; Chan, J.; Akst, L.M.; Eliachar, I. Treatment of subglottic stenosis, due to wegener’s granulomatosis, with intralesional corticosteroids and dilation. J. Rheumatol. 2003, 30, 1017–1021. [Google Scholar] [PubMed]




| Author | No. | F (n) | Onset Age of SGS (Mean Years) | Medication Alone (n) | Endoscopic Procedure | Surgery (n) | Tracheostomy (n) | Decannulation (n) | ||
|---|---|---|---|---|---|---|---|---|---|---|
| Dilatation (n) | CS Injection (n) | Laser (n) | ||||||||
| Girard et al. [20] | 26 | 17 | 33.1 | 15 | 4 | 2 | 5 | 3 | 0 | 0 |
| Jordan et al. [23] | 9 | 7 | 44 | 0 | 4 | 4 | 4 | 5 | 1 | 0 |
| Taylor et al. [13] | 15 | 9 | 31.7 | 0 | 14 | 10 | 15 | NR | 6 | 4 |
| Gouveris et al. [24] | 4 | 4 | 35.6 | 0 | 2 | 3 | 3 | 0 | 0 | 0 |
| Wolter et al. [25] | 8 | 4 | 35.6 | 0 | 0 | 2 | 0 | 0 | 1 | 1 |
| Schokkenbroek et al. [2] | 9 | 8 | 45.6 | 0 | 9 | 0 | 1 | 0 | 2 | 1 |
| Nouraei et al. [26] | 18 | 9 | 40 | 0 | 0 | 31 * | 31 * | 0 | 0 | 0 |
| Gltuh et al. [14] | 27 | 16 | 40.3 | 6 | NR | 11 | 12 | 7 | 11 | 8 |
| Hoffman et al. [27] | 21 | 16 | 39.1 | NR | 64 * | 64 * | NR | 0 | 0 | 0 |
| Horta-Baas et al. [3] | 4 | 3 | 49.3 | 0 | 2 | 1 | 0 | 0 | 3 | 2 |
Publisher’s Note: MDPI stays neutral with regard to jurisdictional claims in published maps and institutional affiliations. |
© 2021 by the authors. Licensee MDPI, Basel, Switzerland. This article is an open access article distributed under the terms and conditions of the Creative Commons Attribution (CC BY) license (https://creativecommons.org/licenses/by/4.0/).
Share and Cite
An, J.; Song, J.-W. Life-Threatening Subglottic Stenosis of Granulomatosis with Polyangiitis: A Case Report. Medicina 2021, 57, 423. https://doi.org/10.3390/medicina57050423
An J, Song J-W. Life-Threatening Subglottic Stenosis of Granulomatosis with Polyangiitis: A Case Report. Medicina. 2021; 57(5):423. https://doi.org/10.3390/medicina57050423
Chicago/Turabian StyleAn, Jin, and Jae-Won Song. 2021. "Life-Threatening Subglottic Stenosis of Granulomatosis with Polyangiitis: A Case Report" Medicina 57, no. 5: 423. https://doi.org/10.3390/medicina57050423
APA StyleAn, J., & Song, J.-W. (2021). Life-Threatening Subglottic Stenosis of Granulomatosis with Polyangiitis: A Case Report. Medicina, 57(5), 423. https://doi.org/10.3390/medicina57050423

