Cardiopulmonary Arrest Caused by Large Substernal Goiter—Treatment with Combined Cervical Approach and Median Mini-Sternotomy: Report of a Case
Abstract
1. Introduction
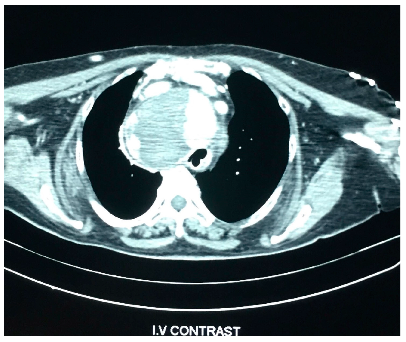
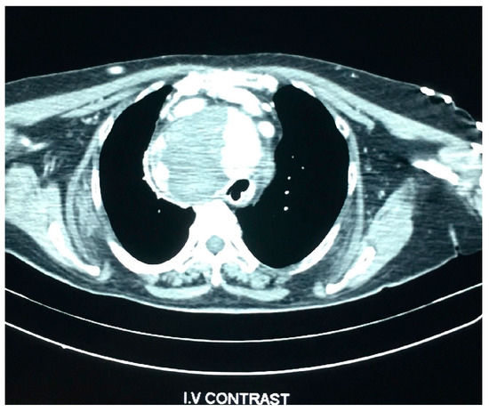
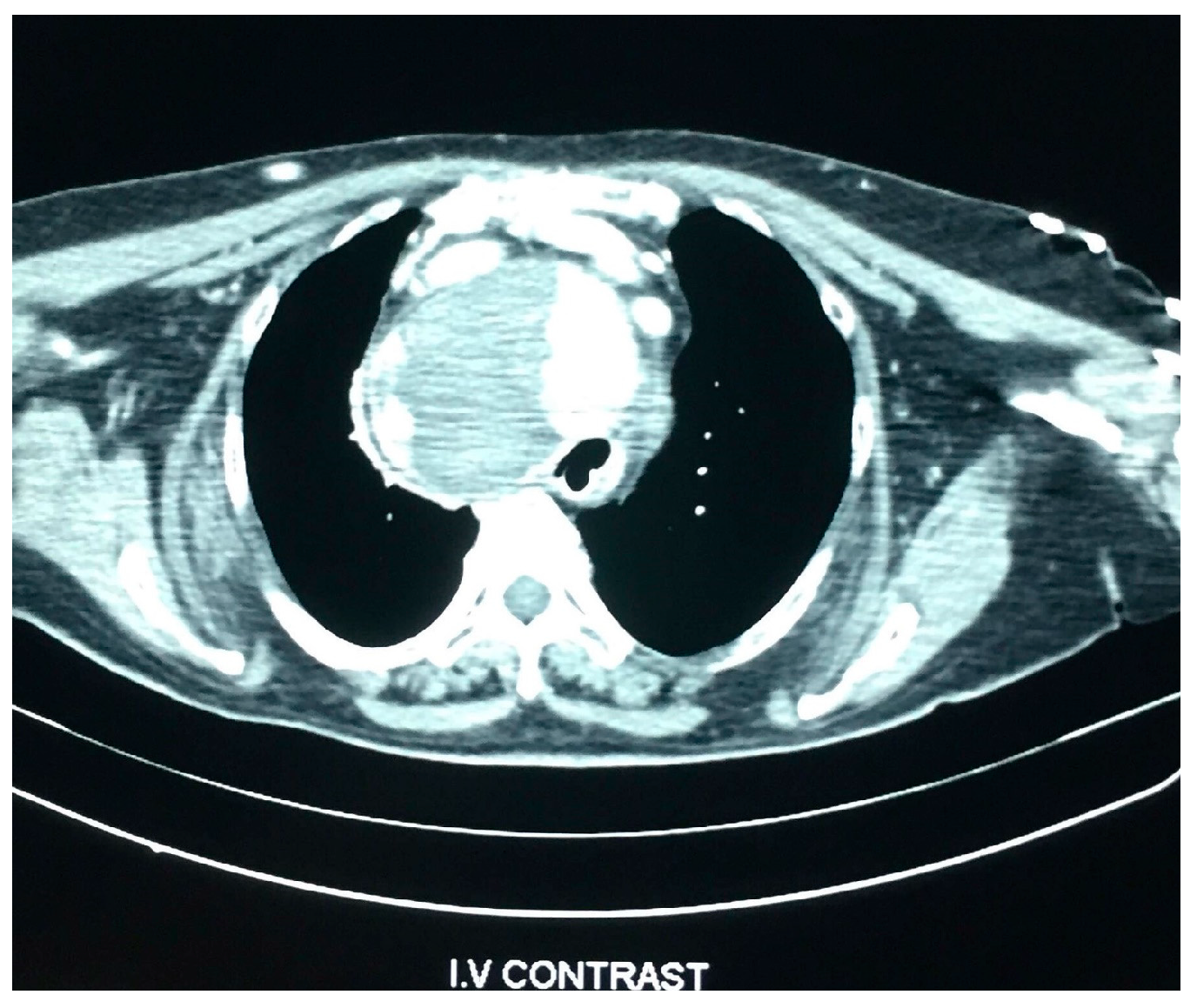
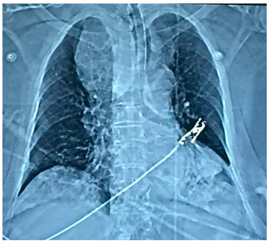
2. Case Report
3. Discussion
4. Conclusions
Author Contributions
Funding
Institutional Review Board Statement
Informed Consent Statement
Data Availability Statement
Conflicts of Interest
References
- Ioannidis, O.; Dalampini, E.; Chatzopoulos, S.; Kotronis, A.; Paraskevas, G.; Konstantara, A.; Papadimitriou, N.; Makrantonakis, A.; Kakoutis, R. Acute respiratory failure caused by neglected giant substernal nontoxic goiter. Arq. Bras. Endocrinol. Metabol. 2011, 55, 229–232. [Google Scholar] [CrossRef] [PubMed][Green Version]
- Doulaptsi, M.; Karatzanis, A.; Prokopakis, E.; Velegrakis, S.; Loutsidi, A.; Trachalaki, A.; Velegrakis, G. Substernal goiter: Treatment and challenges. Twenty-two years of experience in diagnosis and management of substernal goiters. Auris Nasus Larynx 2019, 46, 246–251. [Google Scholar] [CrossRef] [PubMed]
- White, M.L.; Doherty, G.M.; Gauger, P.G. Evidence-Based Surgical Management of Substernal Goiter. World J. Surg. 2008, 32, 1285–1300. [Google Scholar] [CrossRef] [PubMed]
- De Perrot, M.; Fadel, E.; Mercier, O.; Farhamand, P.; Fabre, D.; Mussot, S.; Dartevelle, P. Surgical management of mediastinal goiters: When is a sternotomy required? Thorac. Cardiovasc. Surg. 2007, 55, 39–43. [Google Scholar] [CrossRef] [PubMed]
- Benbakh, M.; Abou-Elfadl, M.; Rouadi, S.; Abada, R.-L.; Roubal, M.; Mahtar, M. Substernal goiter: Experience with 50 cases. Eur. Ann. Otorhinolaryngol. Head Neck Dis. 2016, 133, 19–22. [Google Scholar] [CrossRef] [PubMed]
- Sahsamanis, G.; Chouliaras, E.; Katis, K.; Samaras, S.; Daliakopoulos, S.; Dimitrakopoulos, G. Patient-tailored management of an asymptomatic massive substernal goiter presenting as brachiocephalic vein occlusion. Report of a case and review of sternotomy indications. Int. J. Surg. Case Rep. 2017, 31, 35–38. [Google Scholar] [CrossRef] [PubMed]
- Nankee, L.; Chen, H.; Schneider, D.F.; Sippel, R.S.; Elfenbein, D.M. Substernal goiter: When is a sternotomy required? J. Surg. Res. 2015, 199, 121–125. [Google Scholar] [CrossRef] [PubMed]
- Bizakis, J.; Karatzanis, A.; Hajiioannou, J.; Bourolias, C.; Maganas, E.; Spanakis, E.; Bizaki, A.; Velegrakis, G. Diagnosis and management of substernal Goiter at the University of Crete. Surg. Today 2008, 38, 99–103. [Google Scholar] [CrossRef] [PubMed]
- Coskun, A.; Yildirim, M.; Erkan, N. Substernal Goiter: When is a Sternotomy Required? Int. Surg. 2014, 99, 419–425. [Google Scholar] [CrossRef] [PubMed]
- Lin, Y.-S.; Wu, H.-Y.; Lee, C.-W.; Hsu, C.-C.; Chao, T.-C.; Yu, M.-C.; Sheng, L.Y. Surgical management of substernal goitres at a tertiary referral centre: A retrospective cohort study of 2,104 patients. Int. J. Surg. 2016, 27, 46–52. [Google Scholar] [CrossRef] [PubMed]
- Di Crescenzo, V.; Vitale, M.; Valvano, L.; Napolitano, F.; Vatrella, A.; Zeppa, P.; De Rosa, G.; Amato, B.; Laperuta, P. Surgical management of cervico-mediastinal goiters: Our experience and review of the literature. Int. J. Surg. 2016, 28 (Suppl. 1), S47–S53. [Google Scholar] [CrossRef] [PubMed]
- Testini, M.; Gurrado, A.; Avenia, N.; Bellantone, R.; Biondi, A.; Brazzarola, P.; Calzolari, F.; Cavallaro, G.; De Toma, G.; Guida, P.; et al. Does Mediastinal Extension of the Goiter Increase Morbidity of Total Thyroidectomy? A Multicenter Study of 19,662 Patients. Ann. Surg. Oncol. 2011, 18, 2251–2259. [Google Scholar] [CrossRef] [PubMed]
- Shioya, N.; Inoue, N.; Kawashima, N.; Tsukamoto, Y.; Nakayama, M.; Hazama, K.; Shichinohe, Y.; Suzuki, F.; Honma, N. Enlargement of Intrathoracic Goiter with Unilateral Phrenic Nerve Paralysis Leading to Cardiopulmonary Arrest. Intern. Med. 2021, 60, 91–97. [Google Scholar] [CrossRef] [PubMed]
- Loo, G.H.; Mat, W.R.W.; Muhammad, R.; Azman, M. Obstructive retrosternal goitre mimicking severe bronchial asthma in pregnancy. BMJ Case Rep. 2019, 12, e229763. [Google Scholar] [CrossRef] [PubMed]
- Aronsohn, J.; Danzer, B.; Overdyk, F.; Roseman, A. Perimortem Cesarean Delivery in a Pregnant Patient with Goiter, Preeclampsia, and Morbid Obesity. A A Pract. 2015, 4, 41–43. [Google Scholar] [CrossRef] [PubMed]
- Manrique Franco, K.; López-Mezquita Torres, E.; Sánchez García, L.; Aragón Valera, C.; Sanchez-Vilar Burdiel, O. Síndrome de vena cava superior secundario a bocio intratorácico. Endocrinol. Nutr. 2011, 58, 90–92. [Google Scholar] [CrossRef] [PubMed]
- Burchardt, P.; Zurawski, J.; Pałasz, A.; Gurgul, E. Przypadek kobiety z burzą elektryczną, zespołem pointubacyjnym i wolem tarczycy uciskającym tchawicę [A case of woman with electrical storm, postintubational syndrome and compression of trachea by goiter]. Kardiol. Pol. 2013, 71, 316. [Google Scholar] [CrossRef] [PubMed]
- Bakran, I. Mogućnost pojave srcanog aresta kod operacije retrosternalne strume [Possibility of heart arrest incidence in retrosternal goiter surgery]. Rad. Med. Fak. Zagrebu. 1971, 19, 37–41. (In Croatian) [Google Scholar] [PubMed]
- Fournier, L. Asystolie droite; compression par goitre endothoracique; hémithyroïdectomie; guérison [Asystole of the right heart; compression by endothoracic goiter; hemithyroidectomy; cure]. Lyon Chir. 1950, 45, 471–472. [Google Scholar]







| Glucose | 116 mg/dL |
| WBC | 13.070 × 106/mL |
| K+ | 3.8 mmol/l |
| Na+ | 142 mmol/l |
| Troponin THS | 11 pg/mL |
| SGOT | 22 U/L |
| SGPT | 10 U/L |
| CPK | 60 U/L |
| CK-MB | 11 U/L |
| D-Dimers | 492 ng/mL |
Publisher’s Note: MDPI stays neutral with regard to jurisdictional claims in published maps and institutional affiliations. |
© 2021 by the authors. Licensee MDPI, Basel, Switzerland. This article is an open access article distributed under the terms and conditions of the Creative Commons Attribution (CC BY) license (http://creativecommons.org/licenses/by/4.0/).
Share and Cite
Koulouris, C.; Paraschou, A.; Manaki, V.; Mantalovas, S.; Spiridou, K.; Spiridou, A.; Laskou, S.; Michalopoulos, N.; Radu, P.A.; Cartu, D.; et al. Cardiopulmonary Arrest Caused by Large Substernal Goiter—Treatment with Combined Cervical Approach and Median Mini-Sternotomy: Report of a Case. Medicina 2021, 57, 303. https://doi.org/10.3390/medicina57040303
Koulouris C, Paraschou A, Manaki V, Mantalovas S, Spiridou K, Spiridou A, Laskou S, Michalopoulos N, Radu PA, Cartu D, et al. Cardiopulmonary Arrest Caused by Large Substernal Goiter—Treatment with Combined Cervical Approach and Median Mini-Sternotomy: Report of a Case. Medicina. 2021; 57(4):303. https://doi.org/10.3390/medicina57040303
Chicago/Turabian StyleKoulouris, Charilaos, Aristoklis Paraschou, Vasiliki Manaki, Stylianos Mantalovas, Kassiani Spiridou, Andreana Spiridou, Styliani Laskou, Nickos Michalopoulos, Petru Adrian Radu, Dan Cartu, and et al. 2021. "Cardiopulmonary Arrest Caused by Large Substernal Goiter—Treatment with Combined Cervical Approach and Median Mini-Sternotomy: Report of a Case" Medicina 57, no. 4: 303. https://doi.org/10.3390/medicina57040303
APA StyleKoulouris, C., Paraschou, A., Manaki, V., Mantalovas, S., Spiridou, K., Spiridou, A., Laskou, S., Michalopoulos, N., Radu, P. A., Cartu, D., Șurlin, V., Strambu, V., Kesisoglou, I., & Sapalidis, K. (2021). Cardiopulmonary Arrest Caused by Large Substernal Goiter—Treatment with Combined Cervical Approach and Median Mini-Sternotomy: Report of a Case. Medicina, 57(4), 303. https://doi.org/10.3390/medicina57040303

