Effective Initial Treatment of Diffuse Pulmonary Lymphangiomatosis with Sirolimus and Propranolol: A Case Report
Abstract
1. Introduction
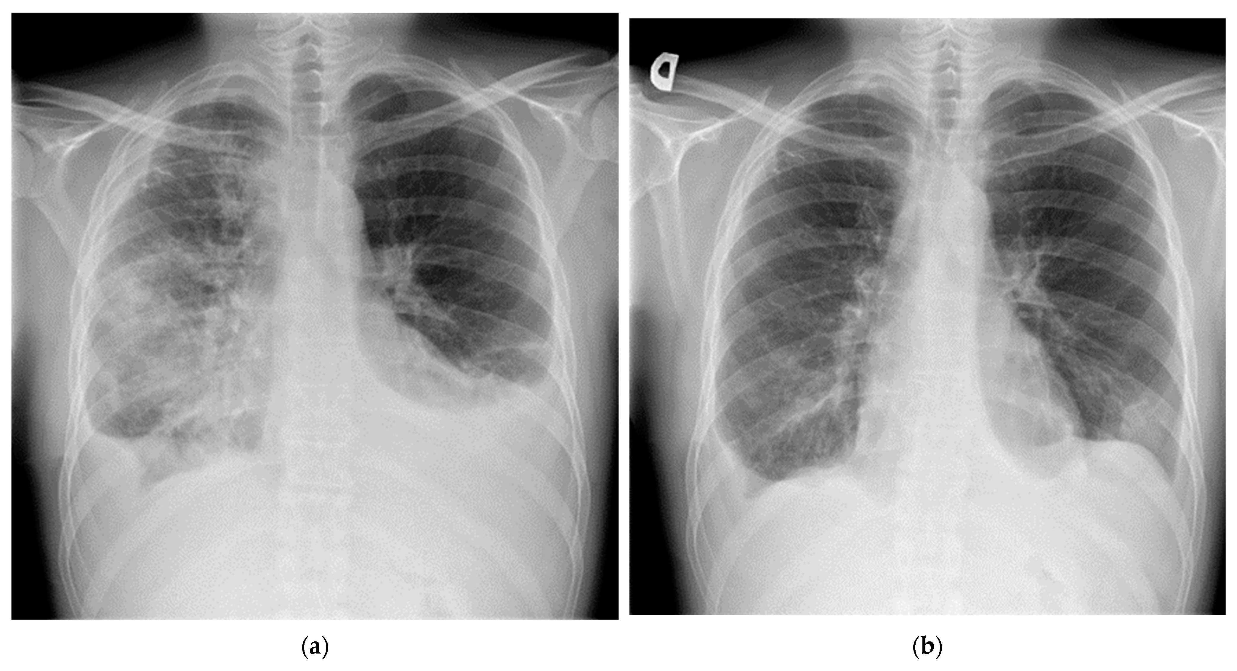
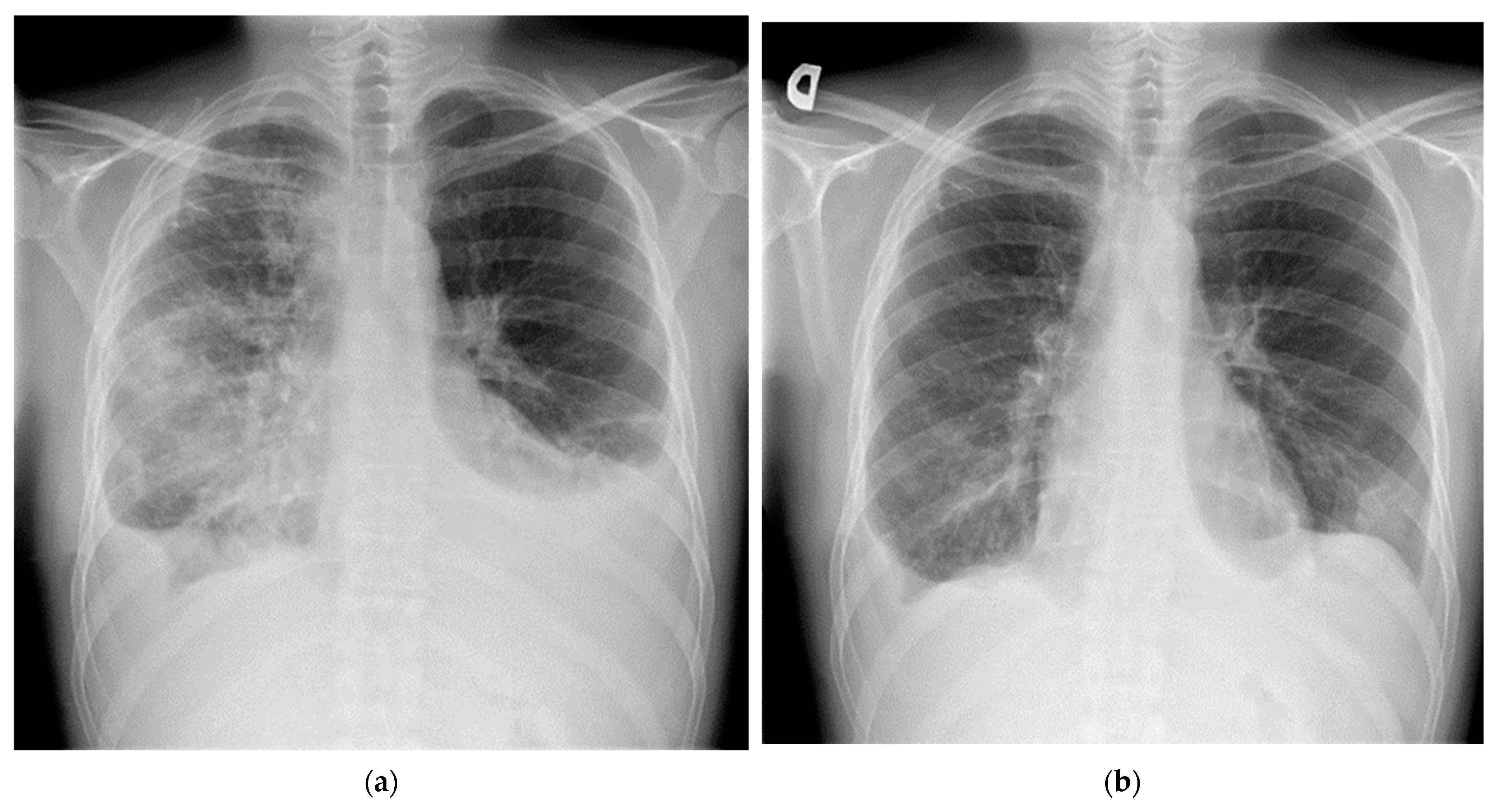
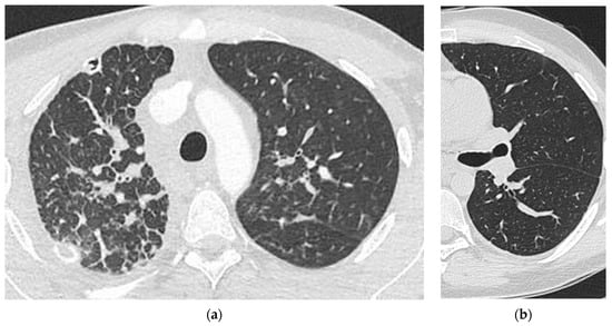
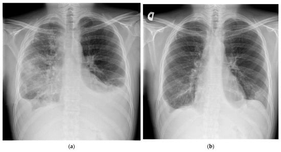
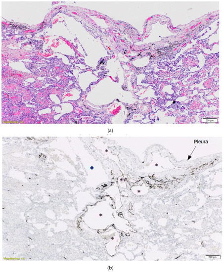
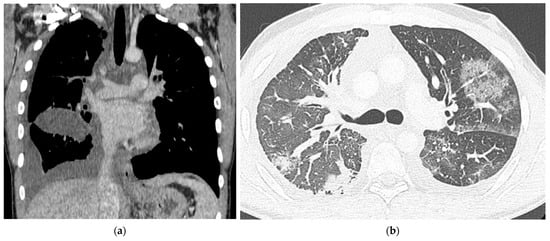
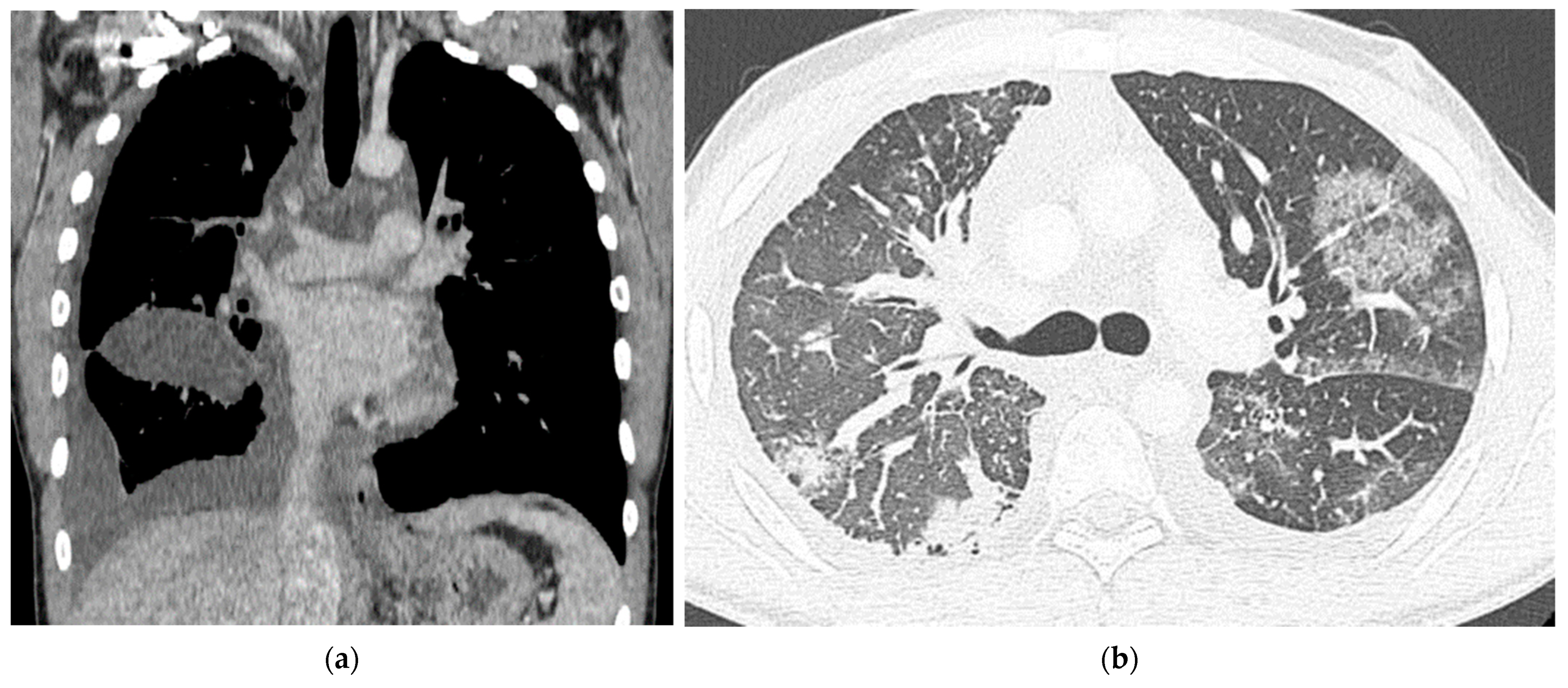
2. Case Report
3. Discussion
4. Conclusions
Author Contributions
Funding
Institutional Review Board Statement
Informed Consent Statement
Data Availability Statement
Acknowledgments
Conflicts of Interest
References
- Faul, J.L.; Berry, G.J.; Colby, T.V.; Ruoss, S.J.; Walter, M.B.; Rosen, G.D.; Raffin, T.A. Thoracic Lymphangiomas, Lymphangiectasis, Lymphangiomatosis, and Lymphatic Dysplasia Syndrome. Am. J. Respir. Crit. Care. Med. 2000, 161, 1037–1046. [Google Scholar] [CrossRef] [PubMed]
- Sun, X.; Shen, W.; Xia, S.; Wen, T.; Wang, R. Diffuse Pulmonary Lymphangiomatosis: MDCT Findings After Direct Lymphangiography. Am. J. Roentgen. 2017, 208, 300–305. [Google Scholar] [CrossRef] [PubMed]
- Onyeforo, E.; Barnett, A.; Zagami, D.; Deller, D.; Feather, I. Diffuse Pulmonary Lymphangiomatosis Treated with Bevacizumab. Respirol. Case. Rep. 2018, 7, e00384. [Google Scholar] [CrossRef] [PubMed]
- Du, M.-H.; Ye, R.-J.; Sun, K.-K.; Li, J.-F.; Shen, D.-H.; Wang, J.; Gao, Z.C. Diffuse Pulmonary Lymphangiomatosis: A Case Report with Literature Review. Chin. Med. J. 2011, 124, 797–800. [Google Scholar] [PubMed]
- Diffuse Pulmonary Lymphangiomatosis. NORD (National Organization for Rare Disorders). (Cited 28 August 2021). Available online: https://rarediseases.org/rare-diseases/diffuse-pulmonary-lymphangiomatosis/ (accessed on 28 August 2021).
- Hangul, M.; Kose, M.; Oscan, A.; Unal, U. Propranolol Treatment for Chylothorax due to Diffuse Lymphangiomatosis. Pediatr. Blood Cancer 2019, 66, e27592. [Google Scholar] [CrossRef] [PubMed]
- Ozeki, M.; Fukao, T.; Kondo, N. Propranolol for Intractable Diffuse Lymphangiomatosis. N. Engl. J. Med. 2011, 1380–1382. [Google Scholar] [CrossRef] [PubMed]
- Gurskytė, V.; Zeleckienė, I.; Maskoliūnaitė, V.; Mickys, U.; Šileikienė, V. Successful Treatment of Diffuse Pulmonary Lymphangiomatosis with Sirolimus. Respir. Med. Case. Rep. 2020, 29, 101014. [Google Scholar] [CrossRef] [PubMed]
- Triana, P.; Dore, M.; Cerezo, V.N.; Cervantes, M.; Sánchez, A.V.; Ferrero, M.M.; González, M.D.; Lopez-Gutierrez, J.C. Sirolimus in the Treatment of Vascular Anomalies. Eur. J. Pediatr. Surg. 2017, 27, 86–90. [Google Scholar] [CrossRef] [PubMed]
- Luisi, F.; Torre, O.; Harari, S. Thoracic Involvement in Generalised Lymphatic Anomaly (or Lymphangiomatosis). Europe. Resp. Rev. 2016, 25, 170–177. [Google Scholar] [CrossRef] [PubMed]
- Ernotte, C.; Médart, L.; Collignon, L. Diffuse Pulmonary Lymphangiomatosis. J. Belgian Soc. Radiol. 2018, 102, 64. [Google Scholar] [CrossRef] [PubMed]
- Kinnier, C.V.; Eu, J.P.C.; Davis, R.D.; Howell, D.N.; Sheets, J.; Palmer, S.M. Successful Bilateral Lung Transplantation for Lymphangiomatosis. Am. J. Transplant. 2008, 8, 1946–1950. [Google Scholar] [CrossRef] [PubMed][Green Version]
- Borg, G. Borg’s Perceived Exertion and Pain Scales; Human Kinetics: Champaign, IL, USA, 1998. [Google Scholar]
- Radhakrishnan, K.; Rockson, S.G. The Clinical Spectrum of Lymphatic Disease. Ann. N. Y. Acad. Sci. 2008, 1131, 155–184. [Google Scholar] [CrossRef] [PubMed]
- Maurac, A.; Debray, M.P.; Crestani, B.; Taillé, C. Thoracic involvement of diffuse lymphangiomatosis successfully treated with sildenafil. BMJ Case Rep. 2019, 12, e228523. [Google Scholar] [CrossRef] [PubMed]
- Takemura, T.; Watanabe, M.; Takagi, K.; Tanaka, S.; Aida, S. Thoracoscopic Resection of a Solitary Pulmonary Lymphangioma: Report of a Case. Surg. Today. 1995, 25, 651–653. [Google Scholar] [CrossRef] [PubMed]
- Molitch, H.I.; Unger, E.C.; Witte, C.L.; van Sonnenberg, E. Percutaneous Sclerotherapy of Lymphangiomas. Radiology 1995, 194, 343–347. [Google Scholar] [CrossRef] [PubMed]
- Kandil, A.; Rostom, A.Y.; Mourad, W.A.; Khafaga, Y.; Gershuny, A.R.; El-Hosseiny, G. Successful Control of Extensive Thoracic Lymphangiomatosis by Irradiation. Clin. Oncol. 1997, 9, 407–411. [Google Scholar] [CrossRef]
- Sachanas, S.; Pangalis, G.A.; Koutsopoulos, A.; Kekis, P.; Tsamis, D.; Zaroulis, C.; Koulieris, E.; Moschogiannis, M.; Yiakumis, X.; Anastasakis, I. Long Term Response of a Patient with Lymphangiomatosis under Bevacizumab Therapy—A Case Report. J. Rare. Disord. Diagn. Ther. 2020, 6. [Google Scholar] [CrossRef]
- Reinglas, J.; Ramphal, R.; Bromwich, M. The Successful Management of Diffuse Lymphangiomatosis Using Sirolimus: A Case Report. Laryngoscope 2011, 121, 1851–1854. [Google Scholar] [CrossRef] [PubMed]
- Aman, J.; Thunnissen, E.; Paul, M.A.; van Nieuw Amerongen, G.P.; Vonk-Noordegraaf, A. Successful Treatment of Diffuse Pulmonary Lymphangiomatosis with Bevacizumab. Ann. Intern. Med. 2012, 156, 839–840. [Google Scholar] [CrossRef] [PubMed]




Publisher’s Note: MDPI stays neutral with regard to jurisdictional claims in published maps and institutional affiliations. |
© 2021 by the authors. Licensee MDPI, Basel, Switzerland. This article is an open access article distributed under the terms and conditions of the Creative Commons Attribution (CC BY) license (https://creativecommons.org/licenses/by/4.0/).
Share and Cite
Dimiene, I.; Bieksiene, K.; Zaveckiene, J.; Andrulis, M.; Optazaite, D.-E.; Vaguliene, N.; Zemaitis, M.; Miliauskas, S. Effective Initial Treatment of Diffuse Pulmonary Lymphangiomatosis with Sirolimus and Propranolol: A Case Report. Medicina 2021, 57, 1308. https://doi.org/10.3390/medicina57121308
Dimiene I, Bieksiene K, Zaveckiene J, Andrulis M, Optazaite D-E, Vaguliene N, Zemaitis M, Miliauskas S. Effective Initial Treatment of Diffuse Pulmonary Lymphangiomatosis with Sirolimus and Propranolol: A Case Report. Medicina. 2021; 57(12):1308. https://doi.org/10.3390/medicina57121308
Chicago/Turabian StyleDimiene, Ieva, Kristina Bieksiene, Jurgita Zaveckiene, Mindaugas Andrulis, Daiva-Elzbieta Optazaite, Neringa Vaguliene, Marius Zemaitis, and Skaidrius Miliauskas. 2021. "Effective Initial Treatment of Diffuse Pulmonary Lymphangiomatosis with Sirolimus and Propranolol: A Case Report" Medicina 57, no. 12: 1308. https://doi.org/10.3390/medicina57121308
APA StyleDimiene, I., Bieksiene, K., Zaveckiene, J., Andrulis, M., Optazaite, D.-E., Vaguliene, N., Zemaitis, M., & Miliauskas, S. (2021). Effective Initial Treatment of Diffuse Pulmonary Lymphangiomatosis with Sirolimus and Propranolol: A Case Report. Medicina, 57(12), 1308. https://doi.org/10.3390/medicina57121308
