Effective Preoperative Plasmapheresis Treatment of Severe Hyperthyroidism in a Patient with Giant Toxic Nodular Goiter and Methimazole-Induced Agranulocytosis
Abstract
1. Introduction
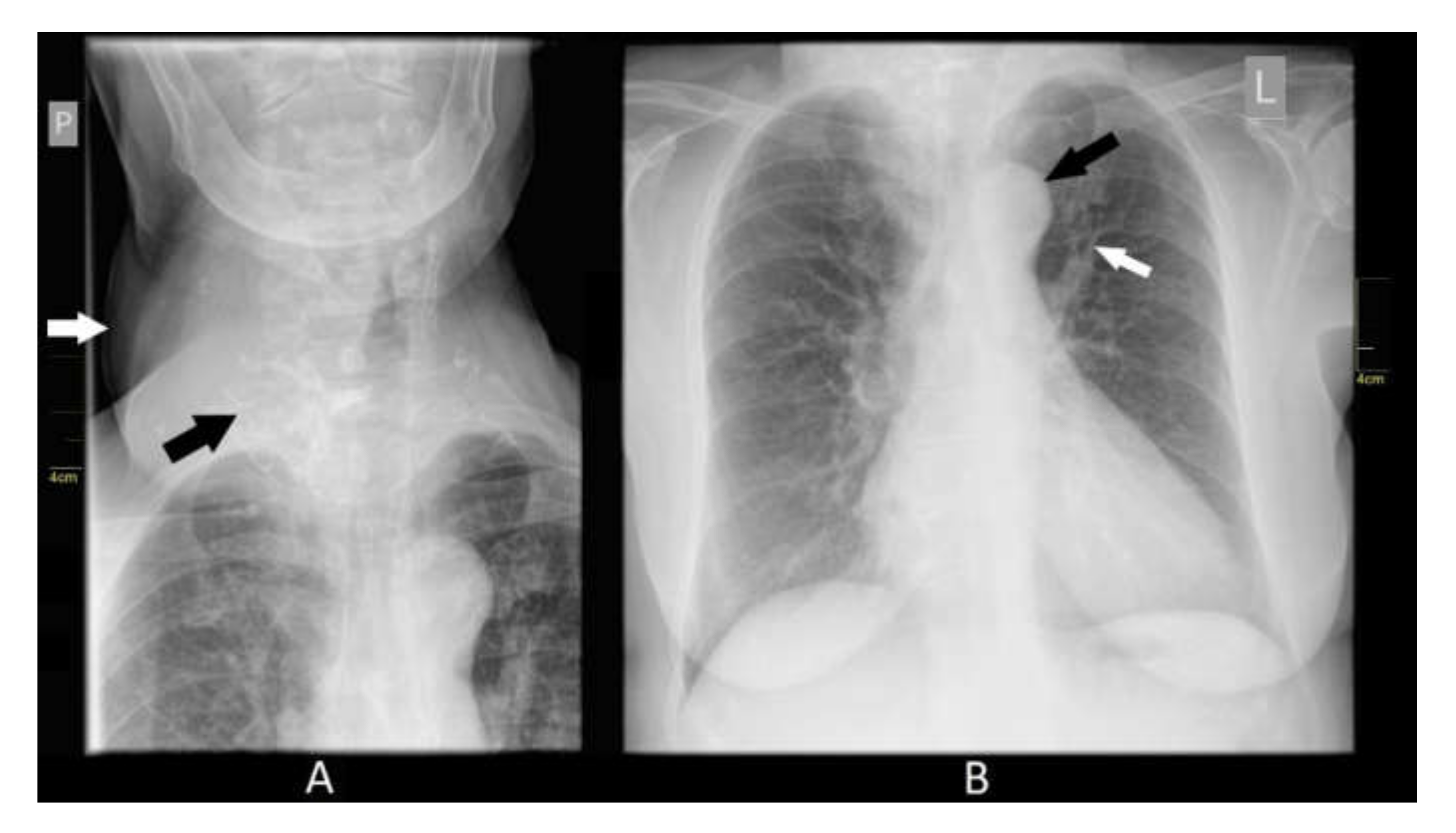
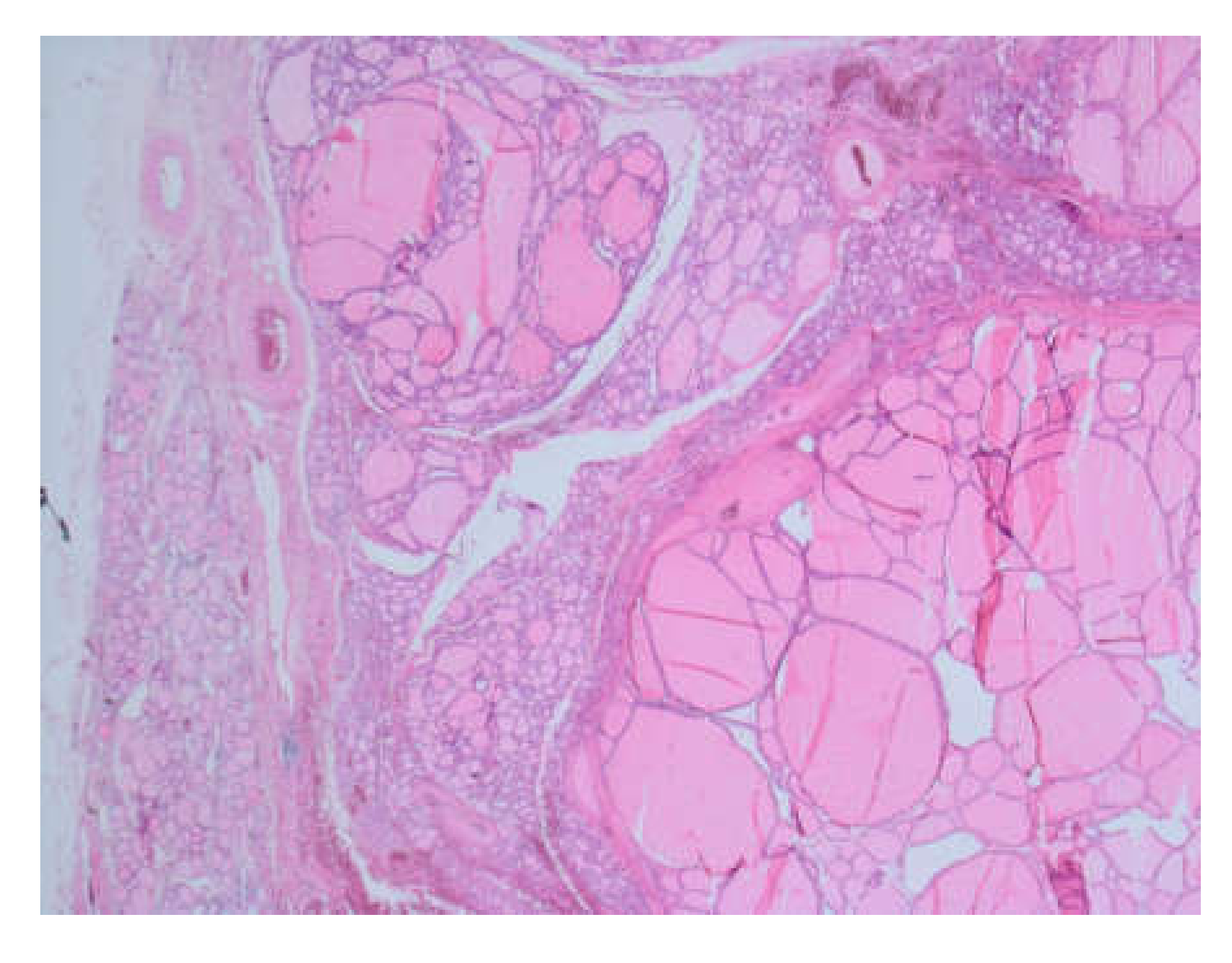
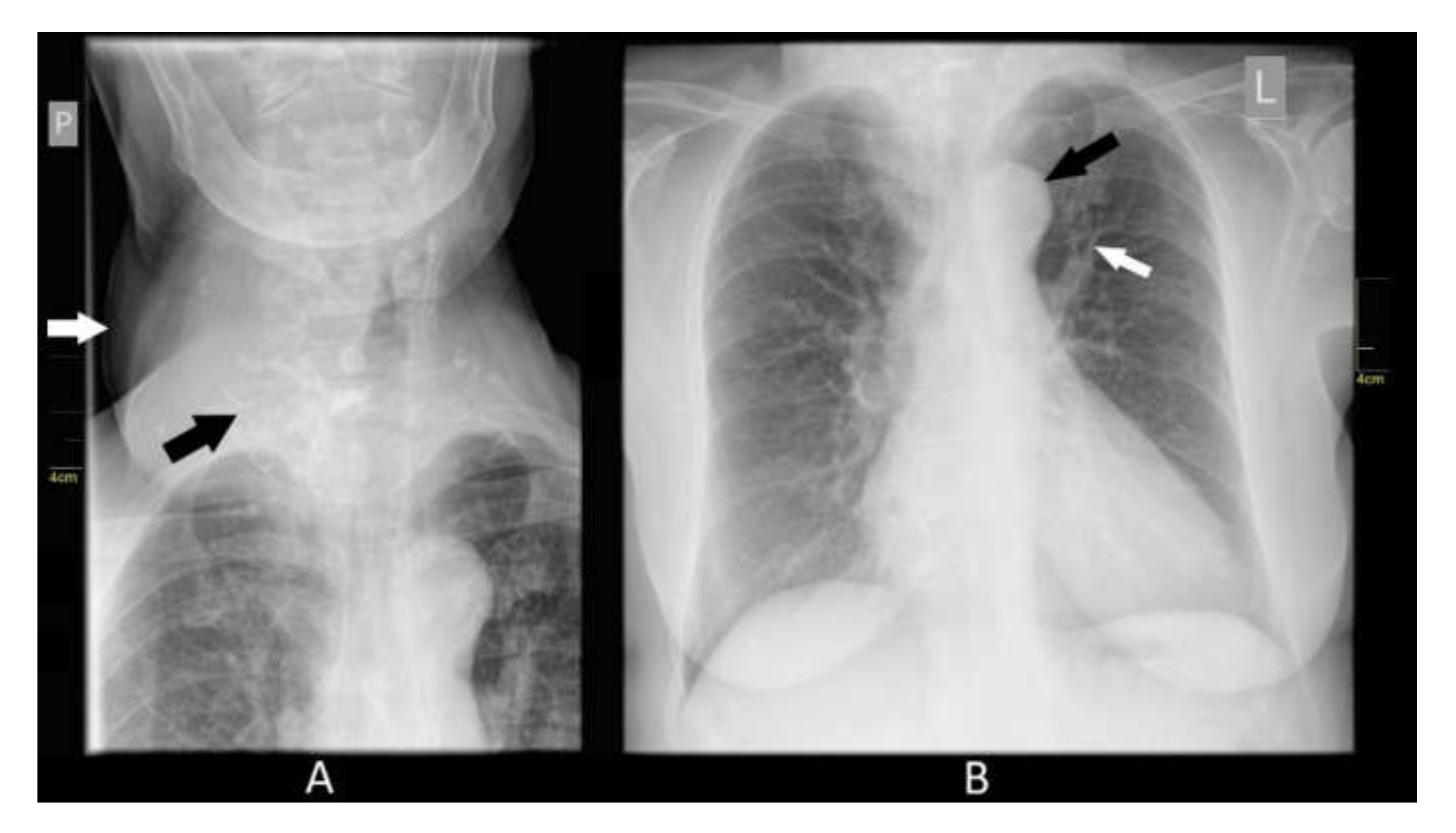
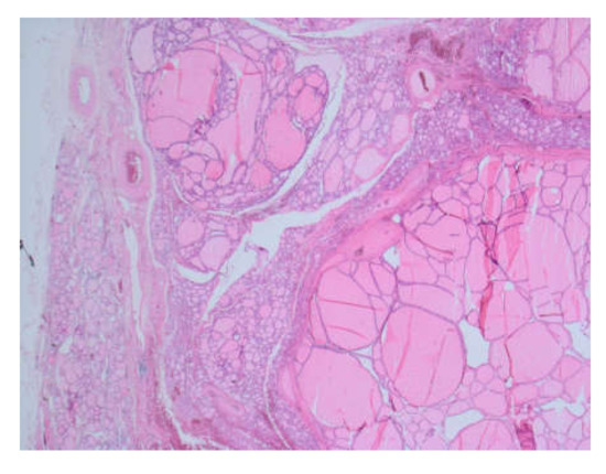
2. Case Presentation
3. Discussion
4. Conclusions
Author Contributions
Funding
Acknowledgments
Conflicts of Interest
References
- Ross, D.S.; Burch, H.B.; Cooper, D.S.; Greenlee, M.C.; Laurberg, P.; Maia, A.L.; Rivkees, S.A.; Samuels, M.; Sosa, J.A.; Stan, M.N.; et al. 2016 American Thyroid Association Guidelines for Diagnosis and Management of Hyperthyroidism and Other Causes of Thyrotoxicosis. Thyroid 2016, 26, 1343–1421. [Google Scholar] [CrossRef] [PubMed]
- Huang, C.H.; Li, K.L.; Wu, J.H.; Wang, P.N.; Juang, J.H. Antithyroid Drug-Induced Agranulocytosis: Report of 13 Cases. Chang Gung Med. J. 2007, 30, 242–248. [Google Scholar] [PubMed]
- Kilgour, J.M. Antithyroid Drugs in the Treatment of Hyperthyroidism. Can. Med. Assoc. J. 1947, 57, 585–588. [Google Scholar] [PubMed]
- Ahmed, K.; Rao, S.; Simha, V. Antineutrophil Cytoplasmic Antibody-Positive Vasculitis in a Patient with Graves Disease: Cross-Reaction between Propylthiouracil and Methimazole. Endocr. Pract. 2010, 16, 449–451. [Google Scholar] [CrossRef] [PubMed]
- Nakamura, H.; Ide, A.; Kudo, T.; Nishihara, E.; Ito, M.; Miyauchi, A. Periodic Granulocyte Count Measuring Is Useful for Detecting Asymptomatic Agranulocytosis in Antithyroid Drug-Treated Patients with Graves’ Disease. Eur. Thyroid J. 2016, 5, 253–260. [Google Scholar] [CrossRef]
- Andersen, S.L.; Olsen, J.; Laurberg, P. Antithyroid Drug Side Effects in the Population and in Pregnancy. J. Clin. Endocrinol. Metab. 2016, 101, 1606–1614. [Google Scholar] [CrossRef]
- Nayak, B.; Burman, K. Thyrotoxicosis and Thyroid Storm. Endocrinol. Metab. Clin. N. Am. 2006, 35, 663–686. [Google Scholar] [CrossRef]
- Daveric, P.; Andag-Silva, A.; Piores-Roderos, O.; Escobin, M.A. Rapid Preoperative Preparation for Thyroidectomy of a Severely Hyperthyroid Patient with Graves’ Disease Who Developed Agranulocytosis. J. ASEAN Fed. Endocr. Soc. 2015, 30, 48. [Google Scholar]
- Ozbey, N.; Kalayoglu-Besisik, S.; Gul, N.; Bozbora, A.; Sencer, E.; Molvalilar, S. Therapeutic Plasmapheresis in Patients with Severe Hyperthyroidism in Whom Antithyroid Drugs Are Contraindicated. Int. J. Clin. Pract. 2004, 58, 554–558. [Google Scholar] [CrossRef]
- Simsir, I.Y.; Ozdemir, M.; Duman, S.; Erdogan, M.; Donmez, A.; Ozgen, A.G. Therapeutic Plasmapheresis in Thyrotoxic Patients. Endocrine 2018, 62, 144–148. [Google Scholar] [CrossRef]
- Ashkar, F.S.; Katims, R.B.; Smoak, W.M., 3rd; Gilson, A.J. Thyroid Storm Treatment with Blood Exchange and Plasmapheresis. JAMA 1970, 214, 1275–1279. [Google Scholar] [CrossRef]
- Schlienger, J.L.; Faradji, A.; Sapin, R.; Blickle, J.F.; Chabrier, G.; Simon, C.; Imler, M. Treatment of Severe Hyperthyroidism by Plasma Exchange. Clinical and Biological Efficacy. 8 Cases. Presse Med. 1985, 14, 1271–1274. [Google Scholar] [PubMed]
- De Rosa, G.; Testa, A.; Menichella, G.; Cecchini, L.; Cavallaro, A.; Mantovani, M.; Mango, G. Plasmapheresis in the Therapy of Hyperthyroidism Associated with Leukopenia. Haematologica 1991, 76 (Suppl. 1), 72–74. [Google Scholar] [PubMed]
- Braithwaite, S.S.; Brooks, M.H.; Collins, S.; Bermes, E.W. Plasmapheresis: An Adjunct to Medical Management of Severe Hyperthyroidism. J. Clin. Apher. 1986, 3, 119–123. [Google Scholar] [CrossRef] [PubMed]
- Burch, H.B.; Wartofsky, L. Life-Threatening Thyrotoxicosis. Thyroid Storm. Endocrinol. Metab. Clin. N. Am. 1993, 22, 263–277. [Google Scholar] [CrossRef]
- Cibas, E.S.; Ali, S.Z.; NCI Thyroid FNA State of the Science Conference. The Bethesda System for Reporting Thyroid Cytopathology. Am. J. Clin. Pathol. 2009, 132, 658–665. [Google Scholar] [CrossRef]
- Franklyn, J.A.; Daykin, J.; Drolc, Z.; Farmer, M.; Sheppard, M.C. Long-Term Follow-up of Treatment of Thyrotoxicosis by Three Different Methods. Clin. Endocrinol. (Oxf.) 1991, 34, 71–76. [Google Scholar] [CrossRef]
- Tsai, W.C.; Pei, D.; Wang, T.F.; Wu, D.A.; Li, J.C.; Wei, C.L.; Lee, C.H.; Chen, S.P.; Kuo, S.W. The Effect of Combination Therapy with Propylthiouracil and Cholestyramine in the Treatment of Graves’ Hyperthyroidism. Clin. Endocrinol. (Oxf.) 2005, 62, 521–524. [Google Scholar] [CrossRef]
- Bahn, R.S.; Burch, H.B.; Cooper, D.S.; Garber, J.R.; Greenlee, M.C.; Klein, I.; Laurberg, P.; McDougall, I.R.; Montori, V.M.; Rivkees, S.A.; et al. Hyperthyroidism and Other Causes of Thyrotoxicosis: Management Guidelines of the American Thyroid Association and American Association of Clinical Endocrinologists. Endocr. Pract. 2011, 17, 456–520. [Google Scholar] [CrossRef]
- Cooper, D.S. Antithyroid Drugs. N. Engl. J. Med. 2005, 352, 905–917. [Google Scholar] [CrossRef]
- Nakamura, H.; Noh, J.Y.; Itoh, K.; Fukata, S.; Miyauchi, A.; Hamada, N. Comparison of Methimazole and Propylthiouracil in Patients with Hyperthyroidism Caused by Graves’ Disease. J. Clin. Endocrinol. Metab. 2007, 92, 2157–2162. [Google Scholar] [CrossRef]
- Watanabe, N.; Narimatsu, H.; Noh, J.Y.; Yamaguchi, T.; Kobayashi, K.; Kami, M.; Kunii, Y.; Mukasa, K.; Ito, K.; Ito, K. Antithyroid Drug-Induced Hematopoietic Damage: A Retrospective Cohort Study of Agranulocytosis and Pancytopenia Involving 50,385 Patients with Graves’ Disease. J. Clin. Endocrinol. Metab. 2012, 97, E49–E53. [Google Scholar] [CrossRef] [PubMed]
- Davies, T.; Lauberg, P.; Bahn, R.S. Thyroid Storm. In Williams Textbook of Endocrinology; Elsevier Saunders: Philadelphia, PA, USA, 2015; pp. 394–395. [Google Scholar]
- Mochinaga, N.; Eto, T.; Maekawa, Y.; Tsunoda, T.; Kanematsu, T.; Izumi, M. Successful Preoperative Preparation for Thyroidectomy in Graves’ Disease Using Lithium Alone: Report of Two Cases. Surg. Today 1994, 24, 464–467. [Google Scholar] [CrossRef]
- Bianco, A.C.; Nunes, M.T.; Hell, N.S.; Maciel, R.M. The Role of Glucocorticoids in the Stress-Induced Reduction of Extrathyroidal 3,5,3′-Triiodothyronine Generation in Rats. Endocrinology 1987, 120, 1033–1038. [Google Scholar] [CrossRef] [PubMed]
- Bogazzi, F.; Aghini-Lombardi, F.; Cosci, C.; Lupi, I.; Santini, F.; Tanda, M.L.; Miccoli, P.; Basolo, F.; Pinchera, A.; Bartalena, L.; et al. Iopanoic Acid Rapidly Controls Type I Amiodarone-Induced Thyrotoxicosis Prior to Thyroidectomy. J. Endocrinol. Investig. 2002, 25, 176–180. [Google Scholar] [CrossRef] [PubMed]
- Solomon, B.L.; Wartofsky, L.; Burman, K.D. Adjunctive Cholestyramine Therapy for Thyrotoxicosis. Clin. Endocrinol. (Oxf.) 1993, 38, 39–43. [Google Scholar] [CrossRef] [PubMed]
- Mercado, M.; Mendoza-Zubieta, V.; Bautista-Osorio, R.; Espinoza-de los Monteros, A.L. Treatment of Hyperthyroidism with a Combination of Methimazole and Cholestyramine. J. Clin. Endocrinol. Metab. 1996, 81, 3191–3193. [Google Scholar]
- Kaykhaei, M.A.; Shams, M.; Sadegholvad, A.; Dabbaghmanesh, M.H.; Omrani, G.R. Low Doses of Cholestyramine in the Treatment of Hyperthyroidism. Endocrine 2008, 34, 52–55. [Google Scholar] [CrossRef]
- Garla, V.; Kovvuru, K.; Ahuja, S.; Palabindala, V.; Malhotra, B.; Salim, S.A. Severe Hyperthyroidism Complicated by Agranulocytosis Treated with Therapeutic Plasma Exchange: Case Report and Review of the Literature. Case Rep. Endocrinol. 2018, 2018, 4135940. [Google Scholar] [CrossRef]
- Szczepiorkowski, Z.M.; Bandarenko, N.; Kim, H.C.; Linenberger, M.L.; Marques, M.B.; Sarode, R.; Schwartz, J.; Shaz, B.H.; Weinstein, R.; Wirk, A.; et al. Apheresis American Society for, and Apheresis Apheresis Applications Committee of the American Society for. Guidelines on the Use of Therapeutic Apheresis in Clinical Practice: Evidence-Based Approach from the Apheresis Applications Committee of the American Society for Apheresis. J. Clin. Apher. 2007, 22, 106–175. [Google Scholar]
- Yeh, J.H.; Chen, W.H.; Chiu, H.C. Complications of Double-Filtration Plasmapheresis. Transfusion 2004, 44, 1621–1625. [Google Scholar] [CrossRef]
- Pasimeni, G.; Caroli, F.; Spriano, G.; Antonini, M.; Baldelli, R.; Appetecchia, M. Refractory Thyrotoxicosis Induced by Iodinated Contrast Agents Treated with Therapeutic Plasma Exchange. A Case Report. J. Clin. Apher. 2008, 23, 92–95. [Google Scholar] [CrossRef] [PubMed]
- Vyas, A.A.; Vyas, P.; Fillipon, N.L.; Vijayakrishnan, R.; Trivedi, N. Successful Treatment of Thyroid Storm with Plasmapheresis in a Patient with Methimazole-Induced Agranulocytosis. Endocr. Pract. 2010, 16, 673–676. [Google Scholar] [CrossRef]
- Weber, C.; Scholz, G.H.; Lamesch, P.; Paschke, R. Thyroidectomy in Iodine Induced Thyrotoxic Storm. Exp. Clin. Endocrinol. Diabetes 1999, 107, 468–472. [Google Scholar] [CrossRef] [PubMed]
- Scholz, G.H.; Hagemann, E.; Arkenau, C.; Engelmann, L.; Lamesch, P.; Schreiter, D.; Schoenfelder, M.; Olthoff, D.; Paschke, R. Is There a Place for Thyroidectomy in Older Patients with Thyrotoxic Storm and Cardiorespiratory Failure? Thyroid 2003, 13, 933–940. [Google Scholar] [CrossRef]
- Gietka-Czernel, M.; Jastrzebska, H.; Dudek, A.; Szczepkowski, M.; Zgliczynski, W. Thyroidectomy as the Last Chance Treatment for Life Threatening Thyrotoxicosis. Case Report. Endokrynol. Pol. 2007, 58, 52–56. [Google Scholar] [PubMed]
- Uchida, N.; Suda, T.; Ishiguro, K. Thyroidectomy in a Patient with Thyroid Storm: Report of a Case. Surg. Today 2015, 45, 110–114. [Google Scholar] [CrossRef] [PubMed]
- Nakazawa, H.K.; Sakurai, K.; Hamada, N.; Momotani, N.; Ito, K. Management of Atrial Fibrillation in the Post-Thyrotoxic State. Am. J. Med. 1982, 72, 903–906. [Google Scholar] [CrossRef]





© 2020 by the authors. Licensee MDPI, Basel, Switzerland. This article is an open access article distributed under the terms and conditions of the Creative Commons Attribution (CC BY) license (http://creativecommons.org/licenses/by/4.0/).
Share and Cite
Barwinek, K.; Gąsior-Perczak, D.; Trepka, S.; Szczodry, A.; Kopczyński, J.; Sitarz-Żelazna, Z.; Kowalska, A. Effective Preoperative Plasmapheresis Treatment of Severe Hyperthyroidism in a Patient with Giant Toxic Nodular Goiter and Methimazole-Induced Agranulocytosis. Medicina 2020, 56, 290. https://doi.org/10.3390/medicina56060290
Barwinek K, Gąsior-Perczak D, Trepka S, Szczodry A, Kopczyński J, Sitarz-Żelazna Z, Kowalska A. Effective Preoperative Plasmapheresis Treatment of Severe Hyperthyroidism in a Patient with Giant Toxic Nodular Goiter and Methimazole-Induced Agranulocytosis. Medicina. 2020; 56(6):290. https://doi.org/10.3390/medicina56060290
Chicago/Turabian StyleBarwinek, Katarzyna, Danuta Gąsior-Perczak, Sławomir Trepka, Artur Szczodry, Janusz Kopczyński, Zdzisława Sitarz-Żelazna, and Aldona Kowalska. 2020. "Effective Preoperative Plasmapheresis Treatment of Severe Hyperthyroidism in a Patient with Giant Toxic Nodular Goiter and Methimazole-Induced Agranulocytosis" Medicina 56, no. 6: 290. https://doi.org/10.3390/medicina56060290
APA StyleBarwinek, K., Gąsior-Perczak, D., Trepka, S., Szczodry, A., Kopczyński, J., Sitarz-Żelazna, Z., & Kowalska, A. (2020). Effective Preoperative Plasmapheresis Treatment of Severe Hyperthyroidism in a Patient with Giant Toxic Nodular Goiter and Methimazole-Induced Agranulocytosis. Medicina, 56(6), 290. https://doi.org/10.3390/medicina56060290

