Discordance for Potter’s Syndrome in a Dichorionic Diamniotic Twin Pregnancy—An Unusual Case Report
Abstract
1. Introduction
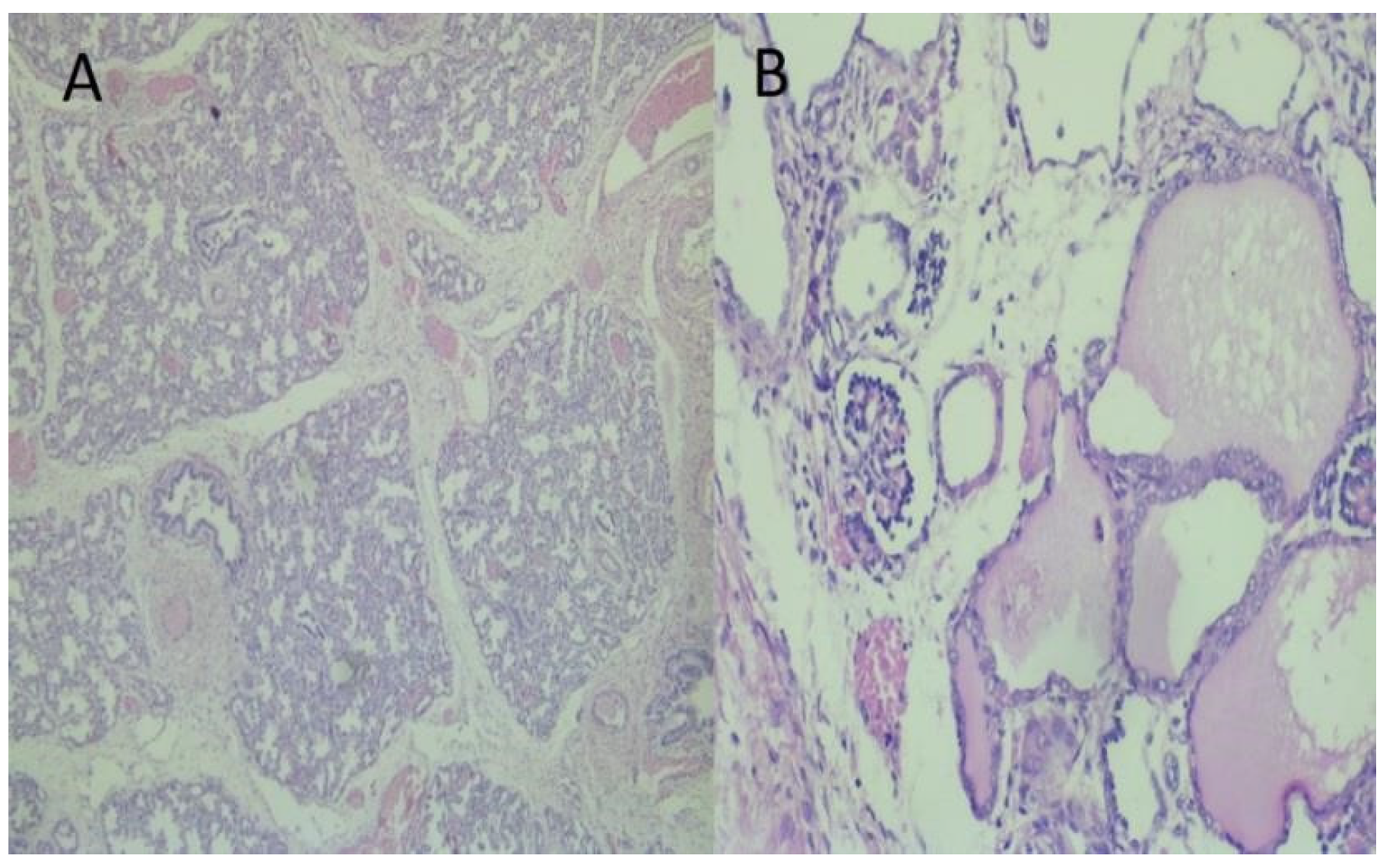
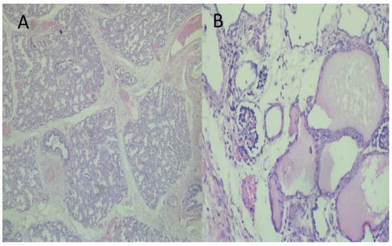
2. Case Report
3. Discussion
4. Conclusions
Funding
Acknowledgments
Conflicts of Interest
References
- Potter, E.L. Facial characteristics of infants with bilateral renal agenesis. Am. J. Obs. Gynecol. 1946, 51, 885–888. [Google Scholar] [CrossRef]
- Shastry, S.M.; Kolte, S.S.; Sanagapati, P.R. Potter’s Sequence. J. Clin. Neonatol. 2012, 1, 157–159. [Google Scholar] [CrossRef] [PubMed]
- Khatami, F. Potter’s syndrome: A study of 15 patients. Arch. Iran. Med. 2004, 7, 186–189. [Google Scholar]
- Sarkar, S.; DasGupta, S.; Barua, M.; Ghosh, R.; Mondal, K.; Chatterjee, U.; Datta, C. Potter’s sequence: A story of the rare, rarer and the rarest. Indian J. Pathol. Microbiol. 2015, 58, 102–104. [Google Scholar] [CrossRef]
- Ikeda, Y.; Lister, J.; Bouton, J.M.; Buyukpamukcu, M. Congenital neuroblastoma, neuroblastoma in situ, and the normal fetal development of the adrenal. J. Pediatr. Surg. 1981, 16, 636–644. [Google Scholar] [CrossRef]
- McNamara, M.F.; McCurdy, C.M.; Reed, K.L.; Philipps, A.F.; Seeds, J.W. The relation between pulmonary hypoplasia and amniotic fluid volume: Lessons learned from discordant urinary tract anomalies in monoamniotic twins. Obs. Gynecol. 1995, 85, 867–869. [Google Scholar] [CrossRef]
- Mauer, S.M.; Dobrin, R.S.; Vernier, R.L. Unilateral and bilateral renal agenesis in monoamniotic twins. J. Pediatr 1974, 84, 236–238. [Google Scholar] [CrossRef]
- Cilento, B.G.; Benacerraf, B.R.; Mandell, J. Prenatal and Postnatal Findings in Monochorionic, Monoamniotic Twins Discordant for Bilateral Renal Agenesis-Dysgenesis (Perinatal Lethal Renal Disease). J. Urol. 1994, 151, 1034–1035. [Google Scholar] [CrossRef]
- Perez-Brayfield, M.R.; Kirsch, A.J.; Smith, E.A. Monoamniotic twin discordant for bilateral renal agenesis with normal pulmonary function. Urology 2004, 64, 589. [Google Scholar] [CrossRef]
- Sutherland, R.S. Diamniotic twin gestation discordant for renal dysplasia and oligohydramnios. Urology 1999, 54. [Google Scholar] [CrossRef]
- Fadel, H.E.; Fulcher, A. Antenatal Diagnosis of Bilateral Renal Agenesis in One of a Twin Pair. JIMA 1990, 22, 42–44. [Google Scholar] [CrossRef][Green Version]
- Holden, D.P.; Schwarzler, P.; De Tayrac, R.; Senat, M.V.; Ville, Y. Lung development in diamniotic twins discordant for complete urinary tract obstruction. Fetal Diagn. 1999, 14, 296–300. [Google Scholar] [CrossRef]
- Amirshahi, M.; Badakhsh, M.; Hashemi, Z. Report of a deadly case of potter syndrome: A case report. Biomed. Res. 2019, 30, 332–334. [Google Scholar] [CrossRef]
- Abdullah, B.A.; Seyhan, E.O.; Ercan, M.; Güzide, A.G.; Nihal, O. Vacterl association with Potter sequence. J. Ist. Fac. Med. 2010, 73, 2. [Google Scholar]
- Lukusa, T.; Moerman, P.; Fryns, J.P. Caudal developmental field defect with female pseudohermaphroditism and VACTERL anomalies. Genet. Couns. 1996, 7, 207–212. [Google Scholar]
- Tonni, G.; Azzoni, D.; Ventura, A.; Ambrosetti, F.; De Felice, C. Multicystic Dysplastic Kidney (Potter Type II Syndrome) and Agenesis of Corpus Callosum (ACC) in Two Consecutive Pregnancies: A Possible Teratogenic Effect of Electromagnetic Exposurein Utero. Fetal Pediatric Pathol. 2008, 27, 264–273. [Google Scholar] [CrossRef]
- Gerards, F.A.; Twisk, J.W.; Fetter, W.P. Predicting pulmonary hypoplasia with 2- or 3-dimensional ultrasonography in complicated pregnancies. Am. J. Obs. Gynecol. 2008, 198, 140–146. [Google Scholar] [CrossRef]
- Askenazi, S.S.; Perlman, M. Pulmonary hypoplasia: Lung weight and radial alveolar count as criteria of diagnosis. Arch. Dis Child. 1979, 54, 614–618. [Google Scholar] [CrossRef]
- De Paepe, M.E.; Friedman, R.M.; Gundogan, F.; Pinar, H. Postmortem Lung Weight/Body Weight Standards for Term and Preterm Infants. Pediatric Pulmonol. 2005, 40, 445–448. [Google Scholar] [CrossRef]
- Thomas, A.N.; McCullough, L.B.; Chervenak, F.A.; Placencia, F.X. Evidence-based, ethically justified counseling for fetal bilateral renal agenesis. J. Perinat. Med. 2017, 45, 585–594. [Google Scholar] [CrossRef]
- Cameron, D.; Lupton, B.A.; Farquharson, D.; Hiruki, T. Amnioinfusions in renal agenesis. Obstet. Gynecol. 1994, 83, 872–876. [Google Scholar] [PubMed]
- Bienstock, J.L.; Birsner, M.L.; Coleman, F.; Hueppchen, N.A. Successful in utero intervention for bilateral renal agenesis. Obs. Gynecol. 2014, 124, 413–415. [Google Scholar] [CrossRef] [PubMed]
- Demir, N.; Canda, M.T.; Sezer, O.; Ulman, I. Discordant late onset lower urinary tract obstruction in a dizygotic twin pregnancy treated with vesicoamniotic shunt. J. Obs. Gynaecol. 2010, 30, 739–740. [Google Scholar] [CrossRef] [PubMed]
- van de Mheen, L.; Everwijn, S.M.; Knapen, M.F.; Haak, M.C.; Engels, M.A.; Manten, G.T.; Zondervan, H.A.; Wirjosoekarto, S.A.; van Vugt, J.M.; Erwich, J.J.; et al. Pregnancy outcome after fetal reduction in women with a dichorionic twin pregnancy. Hum. Reprod. 2015, 30, 1807–1812. [Google Scholar] [CrossRef] [PubMed]
- Linskens, I.H.; Elburg, R.M.; Oepkes, D.; Vugt, J.M.; Haak, M.C. Expectant management in twin pregnancies with discordant structural fetal anomalies. Twin Res. Hum. Genet. 2011, 14, 283–289. [Google Scholar] [CrossRef]



| Classic Syndrome | Bilateral Renal Agenesis |
|---|---|
| Potter’s syndrome type 1 | Autosomal recessive polycystic kidney |
| Potter’s syndrome type 2 | Renal dysplasia |
| Potter’s syndrome type 3 | Autosomal dominant polycystic kidney |
| Potter’s syndrome type 4 | Obstruction either in kidney or ureter leading to kidney disease |
| McNamara et al. Case 1 [6] | McNamara et al. Case 2 [6] | Mauer et al. [7] | Cilento et al. [8] | Perez-Brayfield et al. [9] | |
|---|---|---|---|---|---|
| Prenatal complications | Preterm labor due to premature rupture of membranes | Preeclampsia | Bleeding in the first trimester | Gestational diabetes, hypertension | Preterm labor |
| Prenatal USG | Twin B—bilateral multicystic kidneys | Twin B—ascites, dilated right renal pelvis | Not reported | Twin A—tetralogy of Fallot, bladder and right kidney absence; left kidney—dysplastic | No abnormalities found |
| Type of delivery | Cesarean delivery | Cesarean delivery | Vaginal delivery | Cesarean delivery | Vaginal delivery |
| Gestational age of neonates | 33 weeks of gestation | 29 weeks of gestation | 38 weeks of gestation | 36 weeks of gestation | 35 weeks of gestation |
| Sex of babies | Males | Females | Males | Males | males |
| Birth weight | Twin A—1955 g Twin B—1575 g | Twin A—1320 g Twin B—1305 g | Twin A—2250 g | Twin A—1470g Twin B—1600g | Not reported |
| Apgar score | Not reported | Not reported | Not reported | Not reported | Both—10 |
| The affected twin extrauterine life | Died 7 days after delivery | Discharged at 8 months of age | Died 12 days after delivery | Died 2 days after delivery | Died 2 months after delivery |
| Physical/Autopsy findings of the affected twin | VATER association | Cloacal dysgenesis | Twin A—low-set ears; absence of urethral meatus, kidneys, renal arteries, ureters | Bladder, right renal, gonadal agenesis, esophageal atresia | CT of twin A revealed—renal agenesis. Autopsy was not performed |
| RDS | No | No | No | No | No |
| Genetic examination | Not performed | Not performed | Not performed | Not performed | Not performed |
| Family history | Not applicable | Not applicable | Sibling of the twins had hypospadias with chordee | Not applicable | Not applicable |
| Sutherland [11] | Holden et al. Case 1 [12] | Holden et al. Case 2 [12] | Holden et al. Case 3 [12] | Fadel and Fulcher [10] | Presented Case | |
|---|---|---|---|---|---|---|
| Zygocity | Not reported | Not reported | Not reported | Not reported | Not reported | Dizygotic |
| Chorionicity | Monochorionic | Monochorionic | Monochorionic | Dichorionic | Not reported | Dichorionic |
| Prenatal complications | No | Intrauterine growth retardation | No | Preterm labor due to SF | Preterm labor | PPROM |
| Prenatal USG | Twin B—oligohydramnios, bilateral hydroureteronephrosis, dilated bladder | Twin B—anhydramnios, bilateral hydronephrosis, and echogenic kidneys | Twin B—anhydramnios, bilateral hydronephrosis, megacystis | Twin B—anhydramnios, multicystic kidneys, urinary ascites | Twin B—oligohydramnios, bladder, and kidney absence | Not applicable |
| Type of delivery | Not reported | Vaginal delivery | Elective Cesarean section | Cesarean section | Vaginal delivery | Cesarean section |
| Gestational age of neonates | 37 weeks | 36 weeks | 36 weeks | 32 weeks | 34 weeks | 34 weeks |
| Sex of babies | Not reported | Females | Males | Females | Males | Males |
| Birth weight | Not reported | Twin A—2150 g Twin B—2140 g | Twin A—2510 g Twin B—1500 g | Twin A—1550 g Twin B—1700 g | Twin A—2325 g Twin B—984 g | Twin A—1690 g Twin B—1350 g |
| Apgar score | not reported | Both—normal | Not reported | Twin A—6, 9 | Not reported | Twin A—2,3 Twin B—3,5 |
| The affected twin extrauterine life | Discharged after 4 months of age | Died 2 days after birth | Died 3 h after birth | Twin B—selective feticide | Twin B—died shortly after birth | Died 3 hours after birth |
| Physical or autopsy findings | Mild nasal and ear compression | Bilateral ureteropelvic obstruction, dysplasia kidneys, severe PH | Bilateral renal dysplasia, Potter’s facies, severe PH | Urethral agenesis, severe PH | Autopsy refused | PH, PS facies, talipes equinovarus, polycystic kidneys |
| Lung/body weight ratio | Not reported | Not reported | Not reported | Not reported | 0.008 | |
| Microscopic findings | Not reported | Not reported | Not reported | Not reported | Reported | |
| Genetic examination or family history | Not performed | Normal karyotype | Normal karyotype | Not performed | No birth defects in family | Refused/no family birth defects |
© 2020 by the authors. Licensee MDPI, Basel, Switzerland. This article is an open access article distributed under the terms and conditions of the Creative Commons Attribution (CC BY) license (http://creativecommons.org/licenses/by/4.0/).
Share and Cite
Kostov, S.; Slavchev, S.; Dzhenkov, D.; Strashilov, S.; Yordanov, A. Discordance for Potter’s Syndrome in a Dichorionic Diamniotic Twin Pregnancy—An Unusual Case Report. Medicina 2020, 56, 109. https://doi.org/10.3390/medicina56030109
Kostov S, Slavchev S, Dzhenkov D, Strashilov S, Yordanov A. Discordance for Potter’s Syndrome in a Dichorionic Diamniotic Twin Pregnancy—An Unusual Case Report. Medicina. 2020; 56(3):109. https://doi.org/10.3390/medicina56030109
Chicago/Turabian StyleKostov, Stoyan, Stanislav Slavchev, Deyan Dzhenkov, Strahil Strashilov, and Angel Yordanov. 2020. "Discordance for Potter’s Syndrome in a Dichorionic Diamniotic Twin Pregnancy—An Unusual Case Report" Medicina 56, no. 3: 109. https://doi.org/10.3390/medicina56030109
APA StyleKostov, S., Slavchev, S., Dzhenkov, D., Strashilov, S., & Yordanov, A. (2020). Discordance for Potter’s Syndrome in a Dichorionic Diamniotic Twin Pregnancy—An Unusual Case Report. Medicina, 56(3), 109. https://doi.org/10.3390/medicina56030109

