Bilateral Abducens Nerve Palsy Due to Extensive Cerebral Venous Sinus Thrombosis
Abstract
:1. Introduction
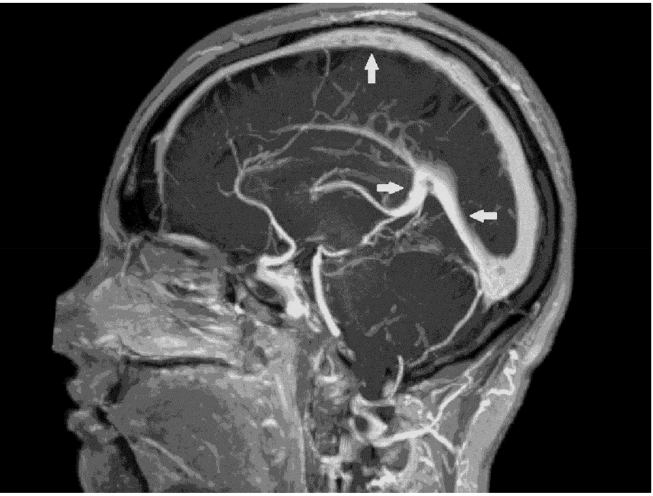
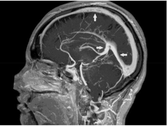
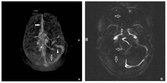
2. Case Presentation
3. Discussion
4. Conclusions
Author Contributions
Funding
Acknowledgments
Conflicts of Interest
References
- Stam, J. Thrombosis of the cerebral veins and sinuses. N. Engl. J. Med. 2005, 352, 1791–1798. [Google Scholar] [CrossRef] [PubMed]
- Deschiens, M. Coagulation studies, factor V Leiden, and anticardiolipin antibodies in 40 cases of cerebral venous thrombosis. Stroke 1996, 27, 1724–1730. [Google Scholar] [CrossRef] [PubMed]
- Park, D.S.; Moon, C.T.; Chun, Y.I.; Koh, Y.C.; Kim, H.Y.; Roh, H.G. Clinical characteristics of cerebral venous thrombosis in a single center in Korea. J. Korean Neurosurg. Soc. 2014, 56, 289–294. [Google Scholar] [CrossRef] [PubMed]
- Verma, R.; Patil, T.B.; Kumar, N. Early recanalisation of cerebral venous sinus thrombosis in an unusual case associated with severe protein S deficiency. BMJ Case Rep. 2012. [Google Scholar] [CrossRef] [PubMed]
- O’Rourke, T.L.; Slagle, W.S.; Elkins, M.; Eckermann, D.; Musick, A. Papilloedema associated with dural venous sinus thrombosis. Clin. Exp. Optom. 2014. [Google Scholar] [CrossRef] [PubMed]
- Miller, N.R.; Newman, N.J. Walsh & Hoyt’s Clinical Neuro-Ophtalmology, 6th ed.; Lippincott Williams & Wilkins: New York, NY, USA, 2005; pp. 237–281. [Google Scholar]
- Balasubramanian, A.; Mohamad, I.; Sidek, D. Extensive dural sinus thrombosis and bilateral lateral rectus palsy as an uncommon complication of chronic suppurative otitis media. BMJ Case Rep. 2013. [Google Scholar] [CrossRef] [PubMed]
- Lang, M.; Schmidbauer, J.; Voges, M.; Käsmann-Kellner, B.; Heinemann-Vernaleken, B.; Ruprecht, K.W. Mono- or bilateral abducens paralysis as the initial symptom of sinus vein thrombosis. Ophtalmologe 2002, 99, 49–52. [Google Scholar] [CrossRef]
- Shrader, E.C.; Schlezinger, N.S. Neuro-ophtalmologic evaluation of abducens nerve paralysis. Arch. Ophtalmol. 1960, 63, 84–91. [Google Scholar] [CrossRef]
- Saito, H.; Nakayama, N.; Takikawa, S.; Ushikoshi, S.; Shinbo, D.; Kuroda, S.; Houkin, K. Bilateral abducens nerve palsies in treated cases of subarachnoid hemorrhage. No Shinkei Geka 2012, 40, 717–722. [Google Scholar]
- Mittal, S.O.; Siddiqui, J.; Katirji, B. Abducens nerve palsy due to inferior petrosal sinus thrombosis. J. Clin. Neurosci. 2017, 40, 69–71. [Google Scholar] [CrossRef]
- Makanjuola, A.I.; Farombi, T.H.; Yaria, J.O.; Ogunjimi, L.O.; Ogunniyi, A. Cerebral venous thrombosis, protein S deficiency and pregnancy triad: A case report. West. Afr. J. Med. 2015, 34, 201–205. [Google Scholar] [PubMed]
- Narayan, D.; Kaul, S.; Ravishankar, K.; Suryaprabha, T.; Bandaru, V.C.; Mridula, K.R.; Jabeen, S.A.; Alladi, S.; Meena, A.K.; Borgohain, R. Risk factors, clinical profile, and long-term outcome of 428 patients of cerebral sinus venous thrombosis: Insights from Nizam’s Institute Venous Stroke Registry, Hyderabad (India). Neurol. India 2012. [Google Scholar] [CrossRef]
- Kashkoush, A.; Ma, H.; Agarwal, N.; Panczykowski, D.; Tonetti, D.; Weiner, G.M.; Ares, W.; Kenmuir, C.; Jadhav, A.; Jovin, T.; et al. Cerebral venous sinus thrombosis in pregnancy and puerperium: A pooled, systematic review. J. Clin. Neurosci. 2017. [Google Scholar] [CrossRef] [PubMed]
- Rezoagli, E.; Martinelli, I.; Poli, D.; Scoditti, U.; Passamonti, S.M.; Bucciarelli, P.; Ageno, W.; Dentali, F. The effect of recanalization on long-term neurological outcome after cerebral venous thrombosis. J. Thromb. Haemost. 2018. [Google Scholar] [CrossRef] [PubMed]
- Aguiar de Sousa, D.; Lucas Neto, L.; Canhão, P.; Ferro, J.M. Recanalization in cerebral venous thrombosis. Stroke 2018. [Google Scholar] [CrossRef] [PubMed]
- Patil, V.C.; Choraria, K.; Desai, N.; Agrawal, S. Clinical profile and outcome of cerebral venous sinus thrombosis at tertiary care center. J. Neurosci. Rural. Pract. 2014. [Google Scholar] [CrossRef] [PubMed]




| Clinical Laboratory Test | Value | Reference Range |
|---|---|---|
| D-dimer, µg/L | 2454 | 0–500 |
| Heparin anti-Xa activity, IU/mL | 0.71 | 0.85–1.37 |
| Factor VIII (1) | 2.31 | 0.50–1.49 |
| Free protein S antigen (1) | 0.55 | 0.60–1.41 |
| Prothrombin time, s | 1.15 | 0.70–1.27 |
| Thrombin time, s | 18.7 | 14.0–21.0 |
| Fibrinogen, g/L | 2.7 | 1.8–3.5 |
| Activated partial thromboplastine time (1) | 0.84 | 0.80–1.20 |
| Antithrombin activity (1) | 1.21 | 0.85–1.37 |
| Thrombocytes, 109/L | 601 | 158–424 |
| Procalcitonin, ng/mL | 0.02 | 0.00–0.50 |
| Homocystein, µmol/L | 9.2 | 5.0–15.0 |
| Folic acid, nmol/L | 6.2 | 7.0–46.4 |
| Total cholesterol, mmol/L | 7.34 | <5.00 |
| Low-density lipoprotein cholesterol, mmol/L | 4.97 | <3.00 |
© 2019 by the authors. Licensee MDPI, Basel, Switzerland. This article is an open access article distributed under the terms and conditions of the Creative Commons Attribution (CC BY) license (http://creativecommons.org/licenses/by/4.0/).
Share and Cite
Buljan, K.; Šarić, G.; Czersky Hafner, D.; Perković, R. Bilateral Abducens Nerve Palsy Due to Extensive Cerebral Venous Sinus Thrombosis. Medicina 2019, 55, 115. https://doi.org/10.3390/medicina55040115
Buljan K, Šarić G, Czersky Hafner D, Perković R. Bilateral Abducens Nerve Palsy Due to Extensive Cerebral Venous Sinus Thrombosis. Medicina. 2019; 55(4):115. https://doi.org/10.3390/medicina55040115
Chicago/Turabian StyleBuljan, Krunoslav, Gordan Šarić, Dennis Czersky Hafner, and Romana Perković. 2019. "Bilateral Abducens Nerve Palsy Due to Extensive Cerebral Venous Sinus Thrombosis" Medicina 55, no. 4: 115. https://doi.org/10.3390/medicina55040115
APA StyleBuljan, K., Šarić, G., Czersky Hafner, D., & Perković, R. (2019). Bilateral Abducens Nerve Palsy Due to Extensive Cerebral Venous Sinus Thrombosis. Medicina, 55(4), 115. https://doi.org/10.3390/medicina55040115

