Next Article in Journal
miR-145-5p and miR-148b-3p Expression Is Inversely Associated with Pten Expression in Prostate Pathologies
Previous Article in Journal
RETRACTED: Haghmorad et al. Oral Administration of Myelin Oligodendrocyte Glycoprotein Attenuates Experimental Autoimmune Encephalomyelitis through Induction of Th2/Treg Cells and Suppression of Th1/Th17 Immune Responses. Curr. Issues Mol. Biol. 2022, 44, 5728–5740
 
 
Font Type:
Arial Georgia Verdana
Font Size:
Aa Aa Aa
Line Spacing:
Column Width:
Background:
Article

Analysis of Potential Q-Markers for Salt-Processed Alismatis Rhizoma in Diuresis Based on Fingerprinting Technology and Network Analysis

1
Institute of Chinese Materia Medica, China Academy of Chinese Medical Sciences, Beijing 100700, China
2
Experimental Research Center, China Academy of Chinese Medical Sciences, Beijing 100700, China
*
Authors to whom correspondence should be addressed.
Curr. Issues Mol. Biol. 2025, 47(9), 783; https://doi.org/10.3390/cimb47090783
Submission received: 26 August 2025 / Revised: 16 September 2025 / Accepted: 18 September 2025 / Published: 21 September 2025
(This article belongs to the Section Molecular Pharmacology)

Abstract

Introduction: The ability of salt-processed Alismatis Rhizoma (SAR) (Alisma plantago-aquqtica L.) to nourish Yin and promote urination is stronger than that of Alismatis Rhizoma (AR). However, there are few studies focused on evaluating the quality of its medicinal materials. Objectives: This study aimed to identify potential quality markers (Q-markers) for SAR, thereby providing a more reliable basis for its quality control and clinical application. Methods: Q-markers were identified through fingerprinting and chemical pattern recognition analysis of 15 batches of SAR. The diuretic effects of these markers were then verified by network analysis and molecular docking. Results: HPLC fingerprints of 15 SAR batches were established, with similarity analysis showing values > 0.85 (0.852–0.990). Chemical pattern recognition identified six critical compounds contributing to SAR quality: alisol F, alisol C 23-acetate, alisol A, alisol A 24-acetate, alisol B 23-acetate, and an alisol O isomer (VIP > 1.0). Network analysis revealed 76 overlapping targets between these compounds and diuretic-related diseases, with core targets including non-receptor tyrosine kinase (SRC), epidermal growth factor receptor (EGFR), mitogen-activated protein kinase 1 (MAPK1), which were identified through protein–protein interaction (PPI) network analysis, with degrees of 27, 24, and 22, respectively. Key pathways involved were the EGFR tyrosine kinase inhibitor resistance pathway, calcium signaling pathway, tumor necrosis factor signaling pathway, etc. Molecular docking confirmed strong binding interactions between the Q-markers and the hub targets, particularly alisol B 23-acetate with MAPK1 (−60.10 kcal·mol−1) and alisol A 24-acetate with EGFR (−46.14 kcal·mol−1) and SRC (−48.86 kcal·mol−1). The diuretic effects of SAR are likely mediated through anti-inflammatory actions and regulation of water–sodium balance via multi-target and multi-pathway mechanisms. Conclusion: This study provides a robust foundation for quality control and clinical application of SAR, though further in vivo validation is warranted.

1. Introduction

Alismatis Rhizoma (AR) is the dried tuber of Alisma plantago-aquqtica L., a traditional diuretic used in China with a long history of use for treating edema, as seen in formulations like Wulingsan, Baizhusan, and Zexie Decoction. The active ingredients of AR are primarily terpenoids [1]. The 2020 edition of the Pharmacopoeia of the People’s Republic of China (hereinafter referred to as the Chinese Pharmacopoeia) includes two specifications, i.e., AR and salt-processed AR (SAR). Research indicates that both the ethyl acetate and n-butanol fractions of AR exhibit significant diuretic effects, with dual actions of promoting and inhibiting diuresis. The more polar components in AR may have anti-diuretic properties [2]. The total triterpene extract (TTE) and triterpene component compatibility (TCC—a mixture of alisol B 23-acetate, alisol B, alisol A 24-acetate, alisol A, and alisol C 23-acetate) also exhibit significant diuretic effects in saline-loaded rats [3], possibly by enhancing sodium and chloride symporters in the distal tubule, thereby altering the transport rates of sodium, potassium, and chloride ions. This effect is primarily attributed to triterpenes [4].
The Depei Bencao records that raw or wine stir-fried products of AR are used for strengthening the spleen, while salt-processed products are used for nourishing Yin and promoting diuresis. Previous laboratory pharmacological experiments also demonstrated that the diuretic effects of AR were enhanced after salt processing. Both AR and SAR showed therapeutic effects in a rat model of edema due to kidney Yin deficiency, with SAR outperforming AR in restoring related indices. Transcriptomics suggested that the SAR group was more effective than the AR group in regulating inflammation-related targets, potentially explaining efficacy of SAR [5,6]. However, the specific ingredients responsible for this enhancement have not been reported. Most triterpenoid components showed a decreasing trend after AR was salt-processed [7]. The 2020 edition of the Chinese Pharmacopoeia uses alisol C 23-acetate and alisol B 23-acetate as the index components for determining the content of AR and SAR, but these are insufficient to represent the quality control components of AR and SAR. Studies have reported significant diuretic activity of alisol A 24-acetate, alisol B, and other compounds, though whether these ingredients are related to the enhanced efficacy of SAR remains unreported [8].
Chinese medicine quality markers (Q-markers), a new concept proposed by Academician Liu Changxiao in 2016 to improve the quality control of Chinese medicine products, are chemical substances present in Chinese herbal medicines and Chinese medicine products inherently or formed during processing and preparation that are closely related to the functional properties of Chinese medicines and can be used as markers to reflect the safety and efficacy of Chinese medicines, rather than chemical components generated by their metabolic transformation through intra-biological processes [9,10]. The establishment of a Q-marker for traditional Chinese medicine (TCM) is of great significance for quality control and improvement of the quality standards of TCM, which can effectively improve the overall quality evaluation of TCM beverages [11,12,13]. At present, the quality evaluation studies on SAR mainly focus on the trait, alisol B 23-acetate content, and so forth, while the Q-marker has not been explored to date [14].
The fingerprint has the characteristics of integrity and dynamics, which can objectively reflect the ingredients in TCM. Moreover, it can reveal the characteristics, traceability, and measurability of ingredients. Network analysis can comprehensively analyze the relationship between ingredients and the efficacy of prepared slices from the drug–disease–target–pathway network to reflect the effectiveness of ingredients and the rationality of compatibility [15]. Based on this, the present study used fingerprint combined with network analysis research mode to determine the Q-markers of the diuretic enhancement of SAR, aiming to provide a scientific basis for quality control and clinical application of SAR.

2. Materials and Methods

2.1. Materials

AR products were purchased from Jiangxi Guhan Refined Chinese Medicine Tablets Co., Ltd. (Nanchang, China) and were identified as the dried tubers of A. plantago-aquqtica L. in accordance with the Chinese Pharmacopoeia (2020 edition). The identification was conducted by Prof. Qianfeng Gong from the School of Pharmacy at Jiangxi University of Chinese Medicine, Nanchang, China. The details of the prepared slices are presented in Table 1.

2.2. Reagents and Instruments

Chemical standards of alisol F (No. CHB160926, 98%) was purchased from Sichuan Chengdu Chroma Biotechnology Co., Ltd. (Chengdu, China). Alisol A 24-acetate (No. Z-061-170417, 98%), alisol B 23-acetate (No. Y-036-171216, 98%), and alisol C 23-acetate (No. Z-062-181015, 98%) were obtained from Chengdu Ruifensi Biotechnology Co., Ltd. (Chengdu, China). Alisol A (No. ST14480120, 98%) was purchased from Shanghai Standards Technical Service Co., Ltd. (Shanghai, China). High-performance liquid chromatography (HPLC)-grade methanol and acetonitrile were purchased from Merck (Darmstadt, Germany). Distilled water was sourced from Watson’s Food & Beverage Co., Ltd. (Guangzhou, China). The instruments used included a BT125D electronic analytical balance (d = 0.01 mg, Sartorius Scientific Instruments [Beijing] Co., Ltd., Beijing, China), a KQ-250DB ultrasonic cleaner (Kunshan Ultrasonic instrument Co., Ltd., Kunshan, China), and an e2695 high-performance liquid chromatograph (Waters, Milford, MA, USA).

2.3. Methods

2.3.1. Preparation of SAR

Briefly, crude AR slices (2 kg) were soaked in a 2% salt solution (2:100, salt-to-water ratio, w/v) in a sealed container until fully absorbed. The moistened AR was then stir-fried in a pan at a temperature of 80–120 °C for 10 min, until the water evaporated. After cooling to room temperature, the SAR was obtained and used for further analysis [16,17].

2.3.2. Preparation of Sample Solutions for Fingerprint Analyses

A precisely weighed 1.0 g of SAR was placed in a stoppered Erlenmeyer flask, mixed with 25.0 mL of acetonitrile, sonicated at 100 kHz for 30 min, and then cooled to room temperature. Acetonitrile was added to bring the solution back to its original weight, and the mixture was shaken well. The solution was then filtered through a 0.22 μm membrane to obtain the test solution [18]. A total of 15 batches of SAR were prepared for the test solution.

2.3.3. HPLC Conditions for Fingerprint Analysis

Chromatography was performed using an e2695 liquid chromatograph system (Waters, Milford, USA). All samples of fingerprint analysis were analyzed at a column temperature of 30 °C on a Topsil C18 column (4.6 mm × 250 mm, 5 μm). The mobile phase consisted of acetonitrile (A), water (B), and methanol (C). The gradient elution was set as follows: 0–2 min, 35% A, 60% B, and 5% C; 2–5 min, 35–50% A, 60–46% B, and 5–4% C; 5–8 min, 50% A, 46% B, and 4% C; 8–40 min, 50–65% A, 46–32% B, and 4–3% C; 40–75 min, 65% A, 32% B, and 3% C; 75–85 min, 65–90% A, 32–9% B, and 3–1% C; 85–95 min, 90% A, 9% B, and 1% C; 95–96 min, 90–35% A, 9–60% B, and 1–5% C; and 96–105 min, 35% A, 60% B, and 5% C (refer to Supplementary Table S2). The injection volume was 10 µL, with a flow rate of 1.0 mL·min−1, and the detection wavelength was set at 210 nm. The similarity analysis was performed using the Similarity Evaluation System for the Chromatographic Fingerprint of TCM software (Version 2012, Chinese Pharmacopoeia Committee, Beijing, China). The fingerprint obtained from the analysis of sample S1 was used as a reference, and the similarity between samples was calculated using multi-point correction (auto-align, time interval 0.3 min) matching.

2.3.4. Chemical Pattern Recognition Analysis

This study analyzed the differences among 15 batches of SAR and screened for the chemical compounds responsible for these differences. The HPLC fingerprints of all 15 batches were imported into SIMCA 13.0 software (Umetrics, Malmö, Sweden) for analysis. Principal component analysis (PCA), hierarchical cluster analysis (HCA), orthogonal partial least-squares discrimination analysis (OPLS-DA), and variable importance in the projection (VIP) analysis were conducted using the peak area of the common peaks as a variable.

2.3.5. Network Analysis

Acquisition of Ingredients and Disease Targets
Based on chemical pattern recognition analysis, six compounds were identified as markers of SAR. The Simplified Molecular Input Line Entry System (SMILES) strings of these components were obtained using PubChem (https://pubchem.ncbi.nlm.nih.gov/) [accessed on 20 October 2023] and Swiss ADME (http://www.swissadme.ch/index.php) [accessed on 20 October 2023]. These SMILES strings were then input into Swiss Target Prediction (http://old.swisstargetprediction.ch/) [accessed on 22 October 2023] to predict potential targets for each component. The top 100 targets for each component were selected and summarized. Additionally, “diuresis or edema” was used as a search term in GeneCards (https://www.genecards.org/) [accessed on 24 October 2023] to identify disease-related targets. Disease targets with a relevance score of >2.0 were screened, and intersecting targets between the component targets and disease targets were identified using Venn diagrams.
Protein–Protein Interaction (PPI) Network and Enrichment Analysis of Intersection Targets
The intersection targets were entered into STRING (https://cn.string-db.org/) [accessed on 25 October 2023], selecting Homo sapiens as the species, with a minimum required interaction score of >0.7. Discrete targets were excluded, and the results were saved in TSV format and visualized using Cytoscape 3.8.0. The 76 intersecting targets were further analyzed using Metascape (https://metascape.org/gp/index.html#/main/step1) [accessed on 25 October 2023], selecting H. sapiens as the species. A personalized analysis was conducted, with a filter condition of p < 0.01. Gene Ontology (GO) and Kyoto Encyclopedia of Genes and Genomes (KEGG) pathway enrichment analyses were performed, and the results were visualized using the Bioinformatics platform (http://www.bioinformatics.com.cn/) [accessed on 28 October 2023].

2.3.6. Molecular Docking

Molecular docking is a theoretical simulation method used in drug design to explore the interaction between receptors and ligands. It primarily examines intermolecular interactions and predicts binding patterns and affinities [19,20]. The three-dimensional (3D) crystal structures of candidate proteins for binding with the core targets, i.e., non-receptor tyrosine kinase (SRC, PDB ID 3QLG), epidermal growth factor receptor (EGFR, PDB ID 5HG8), and mitogen-activated protein kinase 1 (MAPK1, PDB ID 6SLG), were obtained from the Protein Data Bank (PDB) (http://www.wwpdb.org/) [accessed on 30 October 2023]. The primary criteria for candidate protein selection included: (1) origin from Homo sapiens; (2) higher resolution preferred; (3) pH value close to the normal human physiological range; and (4) structural integrity. Discovery Studio 2020 software (College of Pharmacy, Henan University of Chinese Medicine) was utilized to prepare and optimize the proteins and drug molecules to ensure accuracy and consistency. The process involved obtaining the 3D crystal structures of the target proteins from the PDB database. The proteins were then prepared using the Discovery Studio 2020 software, which involved dehydration, hydrogenation, and the supplementation of amino acid residues. Similarly, the 3D structures of the ligand molecules were transformed and prepared using the prepare ligand program (included hydrogen addition and force field application). The original ligands of the target proteins were used as positive controls to define the active binding pocket. Molecular docking was performed using the CDOCKER program, with a pose cluster radius set to 0.5 and other parameters left at default for virtual calculations. The root mean square deviation (RMSD) of the ligand was calculated to ensure that the calculated results accurately simulate the binding between the original ligands and proteins. An RMSD value of less than 2 indicates that the results are reliable. Additionally, the suitability of the docking procedure and parameters for the receptor proteins was verified. Molecular docking results were evaluated based on -CDOCKER INTERACTION ENERGY scores, interaction sites, and interaction types. Meanwhile, using the LibDock program based on the aforementioned active pocket parameters, and the LibDockScores were used for result evaluation.

3. Results

3.1. Validation of the Fingerprint Method

The alisol B 23-acetate, with a prominent peak area in the chromatogram, was set as the reference peak (peak 10). Relative retention times (RRTs) and relative peak areas (RPAs) were calculated, and the fingerprint method was verified using these indicators.
Precision, a prerequisite for ensuring measurement accuracy, was assessed by repeatedly injecting the same sample six times. A SAR sample was prepared to obtain the sample solution, which was then analyzed continuously six times according to the chromatographic conditions outlined in Section 2.3.3. The relative standard deviations (RSDs) of RRTs for the common peaks ranged from 0.01% to 0.09%, and the RSDs of RPAs ranged from 0.07% to 2.58%. Repeatability was evaluated by having the same operator prepare and test six samples in the same laboratory and under the same conditions. For the same SAR sample, six parallel samples were prepared according to Section 2.3.2 and analyzed. The RSDs of RRTs for common peaks ranged from 0.02% to 0.19%, and the RSDs of RPAs ranged from 0.85% to 2.46%. Stability was assessed by evaluating the same sample at multiple time points. The SAR sample solution was tested at 0, 2, 4, 8, 12, and 24 h after preparation. The RSDs of RRTs for common peaks ranged from 0.03% to 0.22%, and the RSDs of RPAs ranged from 1.09% to 2.65%, indicating that the sample remained stable for 24 h.
The results demonstrate that the sample remained stable throughout the experiment and that the fingerprint analysis method for SARs was both reliable and reproducible.

3.2. Similarity Analysis

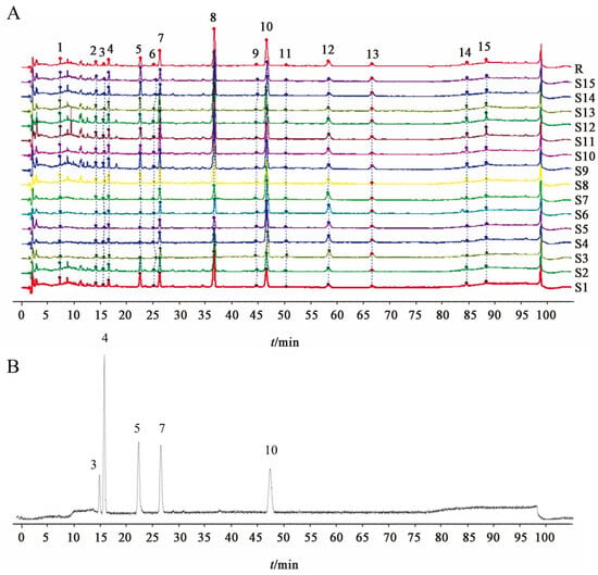
The thumbnail similarity results showed that the similarity between each sample and the control fingerprint was >0.85 (Table 2, Figure 1A,B). Most samples exhibited a similarity > 0.9, though some samples (S3–S7) had a similarity < 0.9. It was observed that SARs from different manufacturers and origins showed similar chromatographic profiles, with 15 major shared peaks identified.

3.3. Chemical Pattern Recognition Analysis

As shown in Figure 2, the peak area of the common peak in the samples was used as the evaluation index, and the grouping of the samples was consistent with the similarity analysis. The results of PCA (Figure 2A), HCA (Figure 2B), and OPLS-DA (Figure 2C) were aligned, indicating that the 15 batches of SAR could be divided into three groups: Group 1 (S3–S7), Group 2 (S10–S12), and Group 3 (S1, S2, S8, and S13–S15). Group 1 exhibited a similarity of <0.9, while Groups 2 and 3 had similarities of >0.96. Further analysis suggested that the differences might be related to the origin of the medicinal materials and the production enterprises. Samples S3–S7, all purchased from Jiangxi Guhan Refined Chinese Medicine Tablets Co., Ltd., had a low overall similarity but showed a similarity of >0.99 among themselves. These samples were from the same origin (Guangchang, Jiangxi), indicating that the production enterprises had a lower impact than the place of origin on the quality of the medicinal materials. The OPLS-DA analysis demonstrated a high fitting degree and good predictive ability (R2X: 0.755, R2Y: 0.893, Q2: 0.802). Based on VIP > 1.0 (Figure 2D), peaks 10, 12, 3, 5, 7, and 4 were identified as having a significant impact on the quality evaluation of SAR and could potentially serve as Q-markers. Preliminary identification of compounds corresponding to peaks 3, 4, 5, 7, 10, and 12 was conducted using laboratory standards. Peaks 3, 4, 5, 7, and 10 were identified as alisol F, alisol C 23-acetate, alisol A, alisol A 24-acetate, and alisol B 23-acetate, respectively. Peak 12 was identified as an alisol O isomer, which was structurally analyzed using retention time, precise molecular weight, and MS/MS data obtained by UPLC–QTOF–MS/MS (refer to Supplementary Table S1 and Supplementary Figures S1–S7 for details ).

3.4. Network Analysis

3.4.1. Ingredients and Disease Targets

From the database search, the top 100 targets for each component were summarized, and redundant targets were removed, resulting in a total of 282 targets. Subsequently, 1132 disease targets with a high correlation (relevance score > 2.0) were screened, leading to the identification of 76 intersecting targets that served as both component and disease targets (Figure 3).

3.4.2. PPI Network

PPI network comprised 68 nodes and 203 edges. In the network, nodes with higher degree values and darker colors indicate greater importance. Topological analysis using the CytoNCA plug-in and “Network Analyzer” revealed average values for degree centrality, betweenness centrality, and closeness centrality of 5.97, 136.32, and 0.35, respectively. Ten targets exceeded the mean values for degree centrality, betweenness centrality, and closeness centrality. These core targets, including SRC, EGFR, and MAPK1, were highlighted (Figure 4 and Figure 5, Table 3).

3.4.3. Enrichment Analysis

The GO analysis identified 999 biological processes (BP), 97 molecular functions (MF), and 65 cellular components (CC), with the top 10 entries visually displayed (Figure 6). The KEGG pathway enrichment analysis revealed a total of 150 pathways, from which the 17 most significant pathways were analyzed. Among these, seven pathways that were most directly related to diuresis were selected for visualization (Figure 7, Table 4). The BP analysis primarily involved the regulation of inflammatory responses, hormonal reactions, and circulatory system processes. The CC analysis was related to membrane rafts, receptor complexes, and axons. The MF analysis suggested that the diuretic effects of SAR might be associated with phosphotransferase activity, protein tyrosine kinase activity, and nuclear receptor activity. The above results indicate that the diuretic activity of the six main components could be mediated through multiple pathways and targets.

3.4.4. Component–Target–Pathway Network

The network diagram illustrating the “component–target–pathway” relationship was plotted by linking the 76 targets associated with the diuretic effects of the six essential components of SAR with the seven key diuretic pathways (Figure 8). As shown in the figure, the key pathways involved in the diuretic effects include the EGFR tyrosine kinase inhibitor resistance pathway, calcium signaling pathway, and tumor necrosis factor (TNF) signaling pathway. Studies indicate that these pathways are involved in inflammation, aquaporin regulation, and other processes, playing a crucial role in the anti-inflammatory immune response. This suggests that the diuretic effects of SAR may be mediated by reducing renal inflammation and improving the balance of water and sodium.

3.5. Molecular Docking

Molecular docking was conducted to investigate the binding of the six Q-markers to three target proteins [SRC (PDB ID: 3QLG), EGFR (PDB ID: 5HG8), and MAPK1 (PDB ID: 6SLG)]. The CDOCKER-INTERACTION-ENERGY module in Discovery Studio software was used to verify the effectiveness of these compounds and elucidate the mechanism of SAR in treating edema. The affinity and binding modes of the components with the target proteins were assessed based on the docking results. The RMSD values for all dockings were less than 2.0, indicating reliable docking predictions (Table 5, Figure S8). Higher -CDOCKER-INTERACTION-ENERGY and LibDockScore values corresponded to stronger binding activity between the compounds and proteins. The interaction energy scores are detailed in Table 6. Notably, alisol B 23-acetate exhibited the highest affinity with MAPK1, as evidenced by its highest -CDOCKER-INTERACTION-ENERGY value of 60.104 4.
Figure 9A–F illustrate the molecular docking models of the compounds with the target proteins, presented in both 3D and 2D diagrams. The results demonstrated that all ligand compounds effectively bound to the active pockets of the proteins. Specifically, alisol B 23-acetate interacted with amino acid residues LYS114, TYR36, and ALA35 through hydrogen bonds formed by its ester and carbonyl groups (Figure 9E,F). Meanwhile, alisol A 24-acetate formed hydrogen bonds with residues MET793, LYS716, and PRO794 via its hydroxyl group (Figure 9C,D). Additionally, non-covalent bonds between the ester and carbonyl groups and amino acid residues ARG841 and GLY796 were observed (Figure 9C,D). These interactions reduced binding energy and enhanced affinity. The candidate monomers were tightly bound to the active sites of the proteins, forming stable complexes with strong binding activity (Table 7). These findings suggest that the six Q-markers may possess significant biological activity, providing a basis for quality control of SAR.

4. Discussion

SAR, serving as the most commonly used processed variety, underscores the importance of establishing quality standards for its effective development and use. Q-markers offer valuable references for quality control of SAR. By utilizing fingerprinting technology, this study identified common peaks in SAR from different origins, screened compounds with significant contributions through chemical pattern recognition, and analyzed the diuretic mechanisms of these compounds via network analysis and molecular docking. This comprehensive evaluation of Q-markers for SAR aims to establish quality standards, provide data support for clinical applications, and ultimately better serve patients with renal edema.
The fingerprint analysis of 15 batches of SAR identified 15 compounds with high content across different manufacturers and origins. This suggests that the content of these ingredients significantly affects the efficacy of SAR. VIP analysis highlighted six key compounds (peaks 3, 4, 5, 7, 10, and 12) with VIP values of >1.0 as potential Q-markers for SAR. These compounds include alisol F, alisol C 23-acetate, alisol A, alisol A 24-acetate, alisol B 23-acetate, and an alisol O isomer. Pharmacological research supports the significant activity of these compounds. Alisol F, alisol A, and alisol A 24-acetate are known for their anti-inflammatory effects by inhibiting inflammatory cytokines [21,22], making them crucial in treating nephrotic edema. Alisol C 23-acetate and alisol B 23-acetate, which are used as index components in the content determination of AR, also demonstrate anti-inflammatory, diuretic, and lipid-lowering activities [3,23]. Specifically, alisol B 23-acetate has been shown to activate renal farnesoid X receptor (FXR), providing renoprotection against ischemia–reperfusion injury and alleviating renal fibrosis through mechanisms such as gut microbiome modulation and blood pressure regulation [24,25]. This indicates its significant potential in treating renal diseases. Although alisol O exhibits nephrotoxicity [24], the activity of its isomer remains unexplored, warranting further investigation to determine if it also possesses nephrotoxic effects.
Edema is commonly associated with various pathological conditions such as nephritis and nephrotic syndrome, leading to sodium retention and microcirculation disorders. Inflammation in the body is a significant predisposing factor for edema [25], as it can lead to renal edema through mechanisms such as renal neutrophil influx and capillary leakage [26]. Therefore, reducing inflammation and enhancing the body’s immune response are crucial for treating edema and may be key to the diuretic effects of certain drugs. Research has demonstrated that alisol F and 25-anhydroalisol F inhibit the production of nitric oxide (NO), interleukin-6 (IL-6), tumor necrosis factor-alpha (TNF-α), and interleukin-1β (IL-1β) by interfering with the MAPK, STAT3, and NF-κB signaling pathways in cells [21]. MAPK, a crucial upstream signaling molecule for NF-κB, is implicated in the core targets of SAR for edema treatment. As an essential pathway of intracellular signal transduction, MAPK is involved in regulating cell growth, oxidative stress, inflammatory responses, and other cellular processes. Chae, Song [27] found that inhibiting MAPK signaling phosphorylation and activating degranulation modulated the expression of inflammatory mediators. Pathway enrichment analysis further highlighted MAPK as a significant target within the TNF signaling pathway, with MAPK1, MAPK14, and other related proteins playing key roles in this pathway.
In addition, this study suggests that SAR may also exert anti-inflammatory and immune-modulating effects through targets such as SRC and EGFR, along with their associated pathways. SRC is known to regulate various signaling pathways related to biological activities, including gene transcription, immune responses, and cell adhesion. Inhibiting SRC activity can reduce the release of pro-inflammatory cytokines, thereby ameliorating inflammatory responses [28]. EGFR, a receptor for epidermal growth factor and transforming growth factor α, interacts with active ingredients in SAR to block the binding of pro-inflammatory factors, thereby exerting anti-inflammatory effects and enhancing the body’s immune function [29]. Moreover, KEGG enrichment analysis indicated that the EGFR tyrosine kinase inhibitor resistance pathway might be involved in the diuretic effects of SAR. EGFR tyrosine kinase inhibitors mediate multiple signal transduction pathways, transmitting extracellular signals into the cell and playing a crucial regulatory role in the proliferation, differentiation, and apoptosis of normal and tumor cells. This process can enhance the immune response and significantly improve the body’s disease resistance [30]. Research has shown that compounds like alisol F, alisol A, and alisol B 23-acetate can regulate MAPK activation [31,32], thereby inhibiting MAPK expression and activity [21,33,34]. The SRC/phosphatidylinositol 3-kinase (PI3K)/protein kinase B (Akt) signaling pathway is also critical in the pathogenesis of renal fibrosis [35]. Both alisol A 24-acetate and alisol B 23-acetate have been found to inhibit the PI3K/Akt/mammalian target of rapamycin (mTOR) signaling pathway [36]. Since SRC regulates PI3K/Akt signaling, with inhibitors like PP1 and LY294002 inhibiting Akt phosphorylation, it is hypothesized that the components in SAR may act on these inflammatory targets. By exerting anti-inflammatory effects, these components may improve renal inflammation and consequently enhance the balance of water and sodium in the kidneys, thereby achieving diuretic effects.
The GO enrichment analysis indicated that SAR exerted its diuretic effects by modulating inflammatory responses, hormone signaling, and circulatory processes. There appears to be a synergistic interaction among various signaling pathways, as shown by the KEGG pathway enrichment data, which highlighted the involvement of pathways such as EGFR tyrosine kinase inhibitor resistance, peroxisome proliferator-activated receptor (PPAR) signaling, and TNF signaling. Additionally, KEGG analysis revealed that the diuretic effects of SAR may be mediated through pathways like the calcium signaling pathway, endocrine and other factor-regulated calcium reabsorption, and vascular smooth muscle contraction. Research on the diuretic effects of AR in saline-loaded rats demonstrated significant diuretic effects by enhancing the excretion of Na+, K+, and Cl ions [37], suggesting that the diuretic effects of AR are closely related to water and sodium ion channels. Studies have shown that calcium signaling pathways may be involved in the activation of diuretic hormones [38]. In vivo experiments with olive leaf extract treatment revealed increased expression of calcium-sensitive receptor mRNA, decreased expression of aquaporin (AQP)-2 mRNA, and increased expression of AQP-2-targeted MicroRNA (miRNA)-137, suggesting that olive leaf extract antagonizes the effects of vasopressin by stimulating calcium-sensitive receptors [39]. In earlier studies by this research group, it was also found that AR and SAR reduced the transcription levels of renal AQP-1 and AQP-2 mRNA, alleviating edema symptoms in rats with kidney Yin deficiency [40]. This effect may be achieved by stimulating calcium-sensitive receptors. The endocrine and other factor-regulated calcium reabsorption pathway plays a key role in regulating intracellular calcium ion concentration, which serves as a secondary messenger in the antidiuretic hormone response [41], directly affecting renal water reabsorption. It is speculated that SAR may act on the calcium signaling pathway, thereby affecting the expression of water and sodium transport proteins and regulating the balance of water metabolism. However, the key targets within these pathways still require experimental validation, and more detailed mechanisms need further investigation.
Moreover, molecular docking results indicated that the six Q-markers effectively bind to core targets, suggesting that the active components of SAR might exert their diuretic effects by participating in EGFR tyrosine kinase inhibitor resistance, regulated by EGFR. Consequently, the Q-markers identified through fingerprinting combined with chemical pattern recognition analysis were validated to reflect their biological activity, as confirmed by network analysis and molecular docking studies. This study provides a solid foundation for the quality control of SAR.
Despite the comprehensive identification of potential Q-markers and the proposed multi-target mechanisms underlying the diuretic effects of SAR, this study has several limitations. Primarily, the network pharmacology and pathway enrichment analyses are predictive in nature and lack experimental validation, particularly through in vivo models, to confirm the actual involvement of targets such as MAPK, SRC, EGFR, and calcium signaling pathways in the diuretic action of SAR. Moreover, molecular docking results, while indicative of binding potential, may not fully reflect the actual binding affinity or functional impact of the compounds on the target proteins due to limitations in simulating physiological conditions. Additionally, the current approach does not account for potential synergistic effects among the multiple active compounds in SAR, which could be critical for its overall efficacy. Future studies should prioritize in vivo validation using animal models of renal edema to verify the predicted targets and pathways, incorporate binding affinity assays (e.g., surface plasmon resonance) to confirm compound–target interactions, and explore combinatory effects of the Q-markers to assess synergism. Furthermore, detailed mechanistic studies, including gene knockout or pharmacological inhibition of key targets, would help elucidate the precise contributions of each pathway to the diuretic activity of SAR.

5. Conclusions

This study successfully identified six potential Q-markers in SAR through fingerprinting and chemical pattern recognition, and proposed a multi-target mechanism for their diuretic effects involving anti-inflammatory and ion transport regulation, primarily via MAPK, EGFR, and calcium signaling pathways, as supported by network pharmacology and molecular docking. However, these predictions require further experimental validation using in vivo models and binding affinity assays to confirm target engagement and functional effects. Future research should also explore potential synergies among the Q-markers and elucidate detailed mechanisms through pharmacological inhibition or genetic manipulation of key targets, ultimately contributing to more reliable quality control and clinical application of SAR.

Supplementary Materials

The following supporting information can be downloaded at: https://www.mdpi.com/article/10.3390/cimb47090783/s1.

Author Contributions

Conceptualization, L.Y., Y.W. and Y.T.; Methodology, L.Y., Z.O. and D.L.; Formal Analysis, L.Y., Y.W. and D.L.; Investigation, L.Y., Z.O. and Y.T.; Resources, D.L. and J.W.; Writing—Original Draft Preparation, L.Y., Y.W. and D.L.; Writing—Review and Editing, L.Y., Y.W., D.L., J.W. and Y.T.; Supervision, J.W.; Project Administration, D.L.; Funding Acquisition, D.L. All authors have read and agreed to the published version of the manuscript.

Funding

This research was funded by the National Key R&D Program of China (Grant No. 2023YFC3504000), the National Natural Science Foundation of China (Grant No. 82003951) and the Scientific and Technological Innovation Project of the China Academy of Chinese Medical Sciences (Grant No. CI2021A04303).

Institutional Review Board Statement

Not applicable.

Informed Consent Statement

Not applicable.

Data Availability Statement

The datasets generated and/or analyzed during the current study are available from the corresponding author on reasonable request.

Conflicts of Interest

The authors declare that they have no conflict of interest.

Abbreviations

3D, three-dimensional; AKI, acute kidney injury; Akt, protein kinase B; AQP, aquaporin; AR, Alismatis Rhizoma; BP, biological processes; CC, cellular components; EGFR, epidermal growth factor receptor; FXR, farnesoid X receptor; GO, gene ontology; HCA, hierarchical cluster analysis; IL-1β, Interleukin-1β; IL-6, Interleukin-6; KEGG, Kyoto encyclopedia of genes and genomes; MAPK1, mitogen-activated protein kinase 1; MF, molecular function; MiRNA, MicroRNA; NF-κB, nuclear factor kappa-B; OPLS-DA, orthogonal partial least-squares discrimination analysis; PCA, principal component analysis; PDB, Protein Structure Database; PI3K, phosphatidylinositol 3-kinase; PPAR, peroxisome proliferator-activated receptor; PP1, phosphatase inhibitors; PPI, Protein–protein Interaction Networks; Q-markers, quality markers; RMSD, root mean square deviation; RPAs’, relative peak areas; RRTs’, relative retention times; RSDs, relative standard deviations; SAR, salt-processed Alismatis Rhizoma; SRC, non-receptor tyrosine kinase; STAT3, signal transducer and activator of transcription; TCM, traditional Chinese medicine; TCC, triterpene component compatibility; TNF, tumor necrosis factor; TTE, total triterpene extract; VIP, Variable importance in the projection.

References

  1. Bailly, C. Pharmacological properties and molecular targets of alisol triterpenoids from Alismatis rhizoma. Biomedicines 2022, 10, 1945. [Google Scholar] [CrossRef]
  2. Zhang, L.-L.; Xu, W.; Xu, Y.-L.; Chen, X.; Huang, M.; Lu, J.-J. Therapeutic potential of Rhizoma alismatis: A review on ethnomedicinal application, phytochemistry, pharmacology, and toxicology. Ann. N. Y. Acad. Sci. 2017, 1401, 90–101. [Google Scholar] [CrossRef] [PubMed]
  3. Zhang, X.; Li, X.-Y.; Lin, N.; Zhao, W.-L.; Huang, X.-Q.; Chen, Y.; Huang, M.-Q.; Xu, W.; Wu, S.-S. Diuretic activity of compatible triterpene components of Alismatis rhizoma. Molecules 2017, 22, 1459. [Google Scholar] [CrossRef]
  4. Chen, D.Q.; Feng, Y.L.; Tian, T.; Chen, H.; Yin, L.; Zhao, Y.Y.; Lin, R.C. Diuretic and anti-diuretic activities of fractions of Alismatis rhizoma. J. Ethnopharmacol. 2014, 157, 114–118. [Google Scholar] [CrossRef]
  5. Tao, Y.; Jiang, E.; Yan, J.; Cai, B. A biochemometrics strategy for tracing diuretic components of crude and processed Alisma orientale based on quantitative determination and pharmacological evaluation. Biomed. Chromatogr. 2020, 34, e4744. [Google Scholar] [CrossRef] [PubMed]
  6. Yan, L.; Ou, Z.; Cheng, Y.; Tong, Y.; Iqbal, J.; Wang, J.; Liu, D. Comparison of the effects and mechanisms of Alismatis rhizoma with and without salt processing in ameliorating edema due to kidney yin deficiency based on uplc-q-tof-ms and transcriptomics. Sci. Tradit. Chin. Med. 2024, 2, 169–179. [Google Scholar] [CrossRef]
  7. Dai, M.; Li, S.; Shi, Q.; Xiang, X.; Jin, Y.; Wei, S.; Zhang, L.; Yang, M.; Song, C.; Huang, R.; et al. Changes in triterpenes in Alismatis rhizoma after processing based on targeted metabolomics using uhplc-qtof-ms/ms. Molecules 2021, 27, 185. [Google Scholar] [CrossRef]
  8. Yan, G.J.; Lan, M.L.; Qiu, J.F.; Li, X.Y.; Xu, W.; Wu, S.S. Study on changes of chemical composition and diuretic effect in Alismatis rhizoma after processing. Chin. J. Inf. Tradit. Chin. Med. 2020, 27, 59–65. [Google Scholar]
  9. Liu, C.; Chen, S.; Xiao, X.; Zhang, T.; Hou, W.; Liao, M. A new concept on quality marker of chinese materia medica: Quality control for chinese medicinal products. Chin. Tradit. Herb. Drugs 2016, 47, 1443–1457. [Google Scholar]
  10. Liu, L.-W.; Tang, M.; Zhang, Z.-B.; Zhou, P.-P.; Xue, L.-P.; Jia, Q.-Q.; Zhao, L.-G.; Zuo, L.-H.; Sun, Z. A stepwise integrated strategy to explore quality markers of qishen yiqi dripping pills against myocardial ischemia. Phytomedicine 2024, 135, 156182. [Google Scholar] [CrossRef]
  11. Hou, M.; Chen, Y.; Jiang, Y.; Zhu, X.; Zhang, H.; Xiong, T.; Deng, Z. In vivo sequential metabolism by uplc/ms, network pharmacology and cell experimentation for screening q-markers of penthorum chinense pursh. J. Chromatogr. B 2025, 1263, 124709. [Google Scholar] [CrossRef]
  12. Pan, Y.; Xiao, Y.; Zhu, M.; Guo, D.; Ming, K.; Wang, S.; Liu, X.; Wang, C.; Xu, K. Impact of ginger juice processing on volatile compounds and sensory characteristics of eucommiae cortex: A gc×gc-tof-ms, e-nose, and machine learning analysis. J. Pharm. Biomed. Anal. 2025, 265, 117052. [Google Scholar] [CrossRef]
  13. Nie, W.; Wang, Y.; Du, J.; Mi, W.; Qi, K.; Zhang, Z.; Fu, Z.; Han, L. Systematic quality control of shi jue ming san by two-dimensional liquid chromatography/mass spectrometry and adjusted multiple reaction monitoring of quality markers. Anal. Bioanal. Chem. 2025, 417, 5221–5237. [Google Scholar] [CrossRef]
  14. Tian, T.; Chen, H.; Zhao, Y.Y. Traditional uses, phytochemistry, pharmacology, toxicology and quality control of Alisma orientale (sam.) juzep: A review. J. Ethnopharmacol. 2014, 158 Pt A, 373–387. [Google Scholar] [CrossRef]
  15. Xu, W.; Wu, J.; Yang, D.; Chen, Y.; Wu, X.; Wen, R.; Yan, L.; Li, C.; Yu, H. Anti-acute gastric ulcer resistance of aurantii fructus immaturus juice processing Atractylodis macrocephalae rhizoma by regulating ptgs2, mapk1, and kdr targets based on metabolomics and integrated network pharmacology analysis. Sci. Tradit. Chin. Med. 2024, 2, 121–137. [Google Scholar] [CrossRef]
  16. Chinese Pharmacopoeia Commission. Pharmacopoeia of the People’s Republic of China; China Medical Science Press: Beijing, China, 2025; Volume I. [Google Scholar]
  17. Beijing Municipal Drug Administration. Beijing Traditional Chinese Medicine Preparation Specifications; Chemical Industry Press: Beijing, China, 2010. [Google Scholar]
  18. Liu, D.-W.; Deng, Z.; Chen, S.; Tong, Y.; Wang, J.-Y.; Chen, C.; Cheng, J.-T.; Zhang, J.; Yu, H.; Gong, Q.-F.; et al. Preparation and quality evaluation of standard decoction of Alismatis rhizoma. Chin. Herb. Med. 2019, 50, 860–867. [Google Scholar]
  19. Tjandrawinata, R.R.; Harbuwono, D.S.; Soegondo, S.; Taslim, N.A.; Nurkolis, F. Phytocannabinoids as novel sglt2 modulators for renal glucose reabsorption in type 2 diabetes management. Pharmaceuticals 2025, 18, 1101. [Google Scholar] [CrossRef]
  20. Liu, D.; Xu, Y.; Zhang, X.; Yin, F.; Cao, J.; Liu, Z.; Zhou, D.; Feng, A.; Li, C. Organic fusion of molecular simulation and wet-lab validation: A promising high-throughput strategy for screening bioactive food peptides. Foods 2025, 14, 2890. [Google Scholar] [CrossRef] [PubMed]
  21. Bi, X.; Wang, P.; Ma, Q.; Han, L.; Wang, X.; Mu, Y.; Guan, P.; Qu, X.; Wang, Z.; Huang, X. Anti-inflammatory activities and liver protection of alisol f and 25-anhydroalisol f through the inhibition of mapk, stat3, and nf-κb activation in vitro and in vivo. Molecules 2017, 22, 951. [Google Scholar] [CrossRef] [PubMed]
  22. Zeng, L.; Tang, W.; Yin, J.; Feng, L.; Li, Y.; Yao, X.; Zhou, B. Alisol a 24-acetate prevents hepatic steatosis and metabolic disorders in hepg2 cells. Cell. Physiol. Biochem. 2016, 40, 453–464. [Google Scholar] [CrossRef] [PubMed]
  23. Shu, Z.; Pu, J.; Chen, L.; Zhang, Y.; Rahman, K.; Qin, L.; Zheng, C. Alisma orientale: Ethnopharmacology, phytochemistry and pharmacology of an important traditional chinese medicine. Am. J. Chin. Med. 2016, 44, 227–251. [Google Scholar] [CrossRef] [PubMed]
  24. Zhao, X.; Lu, L.; Zhang, Y.; Zhang, B. Study on discriminating nephrotoxic components in zexie. China J. Chin. Mater. Med. 2011, 36, 758–761. [Google Scholar]
  25. Mitsides, N.; Alsehli, F.M.S.; Mc Hough, D.; Shalamanova, L.; Wilkinson, F.; Alderdice, J.; Mitra, R.; Swiecicka, A.; Brenchley, P.; Parker, G.J.M.; et al. Salt and water retention is associated with microinflammation and endothelial injury in chronic kidney disease. Nephron 2019, 143, 234–242. [Google Scholar] [CrossRef]
  26. Hirleman, E.; Larson, D.F. Cardiopulmonary bypass and edema: Physiology and pathophysiology. Perfusion 2008, 23, 311–322. [Google Scholar] [CrossRef]
  27. Chae, H.S.; Song, H.H.; Kim, Y.M.; Lee, H.K.; Oh, S.R.; Chin, Y.W. Euphorbia supina inhibits inflammatory mediators in mouse bone marrow-derived mast cells and macrophages. Int. Immunopharmacol. 2015, 29, 966–973. [Google Scholar] [CrossRef]
  28. Rothlin, C.V.; Leighton, J.A.; Ghosh, S. Tyro3, axl, and mertk receptor signaling in inflammatory bowel disease and colitis-associated cancer. Inflamm. Bowel Dis. 2014, 20, 1472–1480. [Google Scholar] [CrossRef]
  29. Kim, J.M.; Choo, J.E.; Lee, H.J.; Kim, K.N.; Chang, S.E. Epidermal growth factor attenuated the expression of inflammatory cytokines in human epidermal keratinocyte exposed to propionibacterium acnes. Ann. Dermatol. 2018, 30, 54–63. [Google Scholar] [CrossRef]
  30. Yuan, J.; Xia, H.W.; Ding, Y.G.; Zhang, Z.Q. Therapeutic effect of epidermal growth factor receptor tyrosine kinase inhibitor on advanced non—Small cell lung cancer and its influence on immune function. J. Clin. Exp. Med. 2021, 20, 2289–2292. [Google Scholar]
  31. Ho, C.; Gao, Y.; Zheng, D.; Liu, Y.; Shan, S.; Fang, B.; Zhao, Y.; Song, D.; Zhang, Y.; Li, Q. Alisol A attenuates high-fat-diet-induced obesity and metabolic disorders via the ampk/acc/srebp-1c pathway. J. Cell. Mol. Med. 2019, 23, 5108–5118. [Google Scholar] [CrossRef] [PubMed]
  32. Kwon, M.J.; Kim, J.N.; Lee, M.J.; Kim, W.K.; Nam, J.H.; Kim, B.J. Apoptotic effects of alisol b 23acetate on gastric cancer cells. Mol. Med. Rep. 2021, 23, 248. [Google Scholar] [CrossRef] [PubMed]
  33. Shao, C.; Fu, B.; Ji, N.; Pan, S.; Zhao, X.; Zhang, Z.; Qiu, Y.; Wang, R.; Jin, M.; Wen, K.; et al. Alisol b 23-acetate inhibits ige/ag-mediated mast cell activation and allergic reaction. Int. J. Mol. Sci. 2018, 19, 4092. [Google Scholar] [CrossRef]
  34. Zhu, H.C.; Jia, X.K.; Fan, Y.; Xu, S.H.; Li, X.Y.; Huang, M.Q.; Lan, M.L.; Xu, W.; Wu, S.S. Alisol b 23-acetate ameliorates azoxymethane/dextran sodium sulfate-induced male murine colitis-associated colorectal cancer via modulating the composition of gut microbiota and improving intestinal barrier. Front. Cell. Infect. Microbiol. 2021, 11, 640225. [Google Scholar] [CrossRef]
  35. Kim, C.S.; Kim, I.J.; Choi, J.S.; Bae, E.H.; Ma, S.K.; Kim, S.W. Tamoxifen ameliorates obstructive nephropathy through src and the pi3k/akt/mtor pathway. Biol. Cell 2019, 111, 18–27. [Google Scholar] [CrossRef]
  36. Wang, C.; Feng, L.; Ma, L.; Chen, H.; Tan, X.; Hou, X.; Song, J.; Cui, L.; Liu, D.; Chen, J.; et al. Alisol a 24-acetate and alisol b 23-acetate induced autophagy mediates apoptosis and nephrotoxicity in human renal proximal tubular cells. Front. Pharmacol. 2017, 8, 172. [Google Scholar] [CrossRef] [PubMed]
  37. Chen, D.; Feng, Y.; Tian, T.; Chen, H.; Yin, L.; Zhao, Y.; Lin, R. Diuretic and anti-diuretic activities of fractions of Alismatis rhizoma. J. Ethnopharmacol. 2014, 157, 114. [Google Scholar] [CrossRef]
  38. Paluzzi, J.P.; Yeung, C.; O’Donnell, M.J. Investigations of the signaling cascade involved in diuretic hormone stimulation of malpighian tubule fluid secretion in rhodnius prolixus. J. Insect Physiol. 2013, 59, 1179–1185. [Google Scholar] [CrossRef] [PubMed]
  39. Yuan, P.; Zheng, X.; Li, M.; Ke, Y.; Fu, Y.; Zhang, Q.; Wang, X.; Feng, W. Two sulfur glycoside compounds isolated from lepidium apetalum willd protect nrk52e cells against hypertonic-induced adhesion and inflammation by suppressing the mapk signaling pathway and raas. Molecules 2017, 22, 1956. [Google Scholar] [CrossRef]
  40. Yan, L.; Ou, Z.; Wang, Y.; Zhang, Y.; Cheng, Y.; Wang, Z.; Liu, D.; Wang, J.; Ma, Z.; Tong, Y. Mechanism of Alismatis rhizoma and its processed product against edema of kidney yin deficiency in rats. Chin. J. Exp. Tradit. Med. Formulae 2022, 28, 42–49. [Google Scholar]
  41. Hosokawa, S.; Endoh, T.; Kobayashi, H.; Furuya, T.; Sato, T.; Tazaki, M.; Sueishi, K.; Yamashita, S. Arg-vasopressin facilitates calcium channel currents in osteoblasts. Bull. Tokyo Dent. Coll. 2014, 55, 241–244. [Google Scholar] [CrossRef][Green Version]
Figure 1. HPLC fingerprints of 15 batches of SAR samples (A) and mixed reference solution (B), peak 3: alisol F, peak 4: alisol C 23-acetate, peak 5: alisol A, peak 7: alisol A 24-acetate, peak 10: alisol B 23-acetate.
Figure 1. HPLC fingerprints of 15 batches of SAR samples (A) and mixed reference solution (B), peak 3: alisol F, peak 4: alisol C 23-acetate, peak 5: alisol A, peak 7: alisol A 24-acetate, peak 10: alisol B 23-acetate.
Cimb 47 00783 g001
Figure 2. Analysis of PCA scores (A), OPLS-DA (B), HCA (C), and VIP values (D) of SAR. The red box in subfigure (D) indicates the section where the VIP values exceed 1.0.
Figure 2. Analysis of PCA scores (A), OPLS-DA (B), HCA (C), and VIP values (D) of SAR. The red box in subfigure (D) indicates the section where the VIP values exceed 1.0.
Cimb 47 00783 g002
Figure 3. Venn diagram of overlapping targets of SAR and edema.
Figure 3. Venn diagram of overlapping targets of SAR and edema.
Cimb 47 00783 g003
Figure 4. PPI network of 68 genes.
Figure 4. PPI network of 68 genes.
Cimb 47 00783 g004
Figure 5. Visual screening of core targets by Cytoscape 3.8.0.
Figure 5. Visual screening of core targets by Cytoscape 3.8.0.
Cimb 47 00783 g005
Figure 6. GO function enrichment analysis (top 10).
Figure 6. GO function enrichment analysis (top 10).
Cimb 47 00783 g006
Figure 7. KEGG pathway enrichment analysis.
Figure 7. KEGG pathway enrichment analysis.
Cimb 47 00783 g007
Figure 8. “Component–target–pathway” network. Purple circles denote quality markers, orange circles represent targets, and teal circles indicate pathways. The size and color intensity of each circle reflect its significance and relevance, respectively. Larger sizes and darker shades represent greater importance and stronger associations.
Figure 8. “Component–target–pathway” network. Purple circles denote quality markers, orange circles represent targets, and teal circles indicate pathways. The size and color intensity of each circle reflect its significance and relevance, respectively. Larger sizes and darker shades represent greater importance and stronger associations.
Cimb 47 00783 g008
Figure 9. Molecular docking models of alisol A 24-acetate with SRC and EGFR, and alisol B 23-acetate with MAPK1 in 3D and 2D diagrams. 3D and 2D diagrams of alisol A 24-acetate with SRC (A,B); alisol A 24-acetate with EGFR (C,D); alisol B 23-acetate with MAPK1 (E,F).
Figure 9. Molecular docking models of alisol A 24-acetate with SRC and EGFR, and alisol B 23-acetate with MAPK1 in 3D and 2D diagrams. 3D and 2D diagrams of alisol A 24-acetate with SRC (A,B); alisol A 24-acetate with EGFR (C,D); alisol B 23-acetate with MAPK1 (E,F).
Cimb 47 00783 g009
Table 1. Details of prepared slices.
Table 1. Details of prepared slices.
ManufacturerNumberOriginLot Number
Jiangxi Guhan Refined Chinese Medicine Tablets Co., Ltd. (Nanchang, China)S1Jiangxi20180401
S2Jiangxi20180501
S3Jiangxi20180706
S4Jiangxi20180707
S5Jiangxi20180708
S6Jiangxi20180709
S7Jiangxi20180710
Beijing Sanhe Pharmaceutical Co., Ltd. (Beijing, China)S8Fujian180908
S9Fujian81221001
Jiangxi Jiangzhong Traditional Chinese Medicine Co., Ltd. (Nanchang, China)S10Sichuan180515
S11Sichuan181031
S12Sichuan180902
Jiangxi Zhangshu Tianqitang Traditional Chinese Medicine Co., Ltd. (Nanchang, China)S13Jiangxi1811010
S14Jiangxi1811011
Zhangshu Qingren Traditional Chinese Medicine Co., Ltd. (Nanchang, China)S15Jiangxi181001
Table 2. The similarity of 15 batches of SAR samples.
Table 2. The similarity of 15 batches of SAR samples.
SampleS1S2S3S4S5S6S7S8S9S10S11S12S13S14S15Control
S11.0000.9990.7820.7830.7650.7790.7600.9860.9960.9810.9860.9830.9970.9890.9890.984
S20.9991.0000.7740.7730.7550.7700.7500.9900.9970.9840.9880.9860.9980.9880.9880.983
S30.7820.7741.0000.9910.9860.9920.9880.7270.7900.7420.7510.7590.8000.8210.8210.870
S40.7830.7730.9911.0000.9980.9980.9980.7280.7880.7450.7500.7570.7990.8130.8130.871
S50.7650.7550.9860.9981.0000.9970.9990.7080.7680.7250.7290.7350.7810.7940.7940.855
S60.7790.7700.9920.9980.9971.0000.9970.7250.7820.7430.7470.7540.7950.8070.8070.868
S70.7600.7500.9880.9980.9990.9971.0000.7030.7640.7200.7240.7310.7760.7900.7900.852
S80.9860.9900.7270.7280.7080.7250.7031.0000.9890.9970.9950.9940.9880.9640.9640.969
S90.9960.9970.7900.7880.7680.7820.7640.9891.0000.9850.9900.9890.9990.9900.9900.987
S100.9810.9840.7420.7450.7250.7430.7200.9970.9851.0000.9970.9980.9850.9540.9540.972
S110.9860.9880.7510.7500.7290.7470.7240.9950.9900.9971.0001.0000.9900.9640.9640.976
S120.9830.9860.7590.7570.7350.7540.7310.9940.9890.9981.0001.0000.9890.9620.9620.977
S130.9970.9980.8000.7990.7810.7950.7760.9880.9990.9850.9900.9891.0000.9910.9910.990
S140.9890.9880.8210.8130.7940.8070.7900.9640.9900.9540.9640.9620.9911.0001.0000.982
S150.9890.9880.8210.8130.7940.8070.7900.9640.9900.9540.9640.9620.9911.0001.0000.982
Control0.9840.9830.8700.8710.8550.8680.8520.9690.9870.9720.9760.9770.9900.9820.9821.000
Table 3. Core target results.
Table 3. Core target results.
No.TargetsDegree CentralityBetweenness CentralityCloseness Centrality
1SRC27950.49180.496296
2EGFR24978.54270.519380
3MAPK122564.32820.492647
4PIK3CA18248.40000.432258
5JUN16477.76680.482014
6MAPK816243.10150.465278
7MAPK1414173.23420.435065
8NR3C111656.64160.429487
9APP11887.35450.455782
10PTGS28462.21550.385057
Table 4. KEGG pathway enrichment results.
Table 4. KEGG pathway enrichment results.
Pathwayp ValueGene ID
hsa04020: Calcium signaling pathway3.54813 × 10−14ADORA2A, ADORA2B, AVPR1A, EDNRB, EGFR, HTR2A, KDR, MET, NOS2, NTRK1, PDGFRB, PRKCB, TACR1
hsa05415: Diabetic cardiomyopathy4.0738 × 10−15PARP1, MAPK14, G6PD, GSK3B, INSR, MMP2, PIK3CA, PIK3CD, PPARA, PRKCB, PRKCD, MAPK8, REN
hsa01521: EGFR tyrosine kinase inhibitor resistance1.28825 × 10−20AXL, BRAF, EGFR, GSK3B, JAK1, KDR, MET, PDGFRB, PIK3CA, PIK3CD, PRKCB, MAPK1, SRC
hsa04668: TNF signaling pathway1.09648 × 10−11MAPK14, JUN, MMP3, MMP14, PIK3CA, PIK3CD, MAPK1, MAPK8, PTGS2
hsa04270: Vascular smooth muscle contraction1.77828 × 10−9ADORA2A, ADORA2B, AVPR1A, BRAF, PLA2G2A, PRKCB, PRKCD, MAPK1
hsa03320: PPAR signaling pathway0.000912011MMP1, PPARA, PPARG
hsa04961: Endocrine and other factor-regulated calcium reabsorption0.000331131ESR1, PRKCB, VDR
Table 5. Molecular docking parameters and details.
Table 5. Molecular docking parameters and details.
ProteinsLigandPocket Radius/ÅCoordinatesRMSD-Cdocker Interaction Energy (kcal·mol−1)
3QLG1N160111.8611.199596, −37.800519, −5.2219420.577856.857
5HG863490017.9613.830411, −4.244731, −31.8642701.236546.1437
6SLGLHZ4019.77−3.029314, 5.883335, 12.6206700.271667.3954
Table 6. Molecular docking results.
Table 6. Molecular docking results.
TargetPDB IDSmall Molecule-Cdocker Interaction Energy (kcal·mol−1)LibDockScore
SRC3QLGalisol F36.4889106.164
SRC3QLGalisol C 23-acetate42.384114.835
SRC3QLGalisol A42.3821112.757
SRC3QLGalisol A 24-acetate48.8646112.202
SRC3QLGalisol B 23-acetate38.4604115.884
SRC3QLGalisol O isomer35.1787107.847
EGFR5HG8alisol F42.020299.9377
EGFR5HG8alisol C 23-acetate44.1925110.194
EGFR5HG8alisol A41.4245109.214
EGFR5HG8alisol A 24-acetate46.1437109.635
EGFR5HG8alisol B 23-acetate44.4599114.636
EGFR5HG8alisol O isomer41.2246104.867
MAPK16SLGalisol F52.4389127.727
MAPK16SLGalisol C 23-acetate57.6403135.748
MAPK16SLGalisol A51.3225118.283
MAPK16SLGalisol A 24-acetate58.624130.905
MAPK16SLGalisol B 23-acetate60.1044125.271
MAPK16SLGalisol O isomer52.0498113.233
Note: SRC denotes a non-receptor tyrosine kinase, EGFR denotes a epidermal growth factor receptor, and MAPK1 denotes a mitogen-activated protein kinase 1.
Table 7. Interaction sites and types of covalent bonds between representative Q-markers and key Proteins.
Table 7. Interaction sites and types of covalent bonds between representative Q-markers and key Proteins.
Target (Small Molecule)Conventional Hydrogen BondCarbon Hydrogen BondAlkyl/Pi-AlkylUnfavorable Donor–Donor
SRC (alisol A 24-acetate)Thr338Lys343, Ser342Leu393, Leu273, Ala293Met341
EGFR (alisol A 24-acetate)Met793, Pro794, Lys716Arg841, Gly796Leu718, Val726, Leu844-
MAPK1 (alisol B 23-acetate)Tyr36, Ala35, Lys114-Leu156, Ile31, Val39, Ala52-
Note: “-“ Indicates no data.
Disclaimer/Publisher’s Note: The statements, opinions and data contained in all publications are solely those of the individual author(s) and contributor(s) and not of MDPI and/or the editor(s). MDPI and/or the editor(s) disclaim responsibility for any injury to people or property resulting from any ideas, methods, instructions or products referred to in the content.

Share and Cite

MDPI and ACS Style

Yan, L.; Ou, Z.; Wang, Y.; Tong, Y.; Wang, J.; Liu, D. Analysis of Potential Q-Markers for Salt-Processed Alismatis Rhizoma in Diuresis Based on Fingerprinting Technology and Network Analysis. Curr. Issues Mol. Biol. 2025, 47, 783. https://doi.org/10.3390/cimb47090783

AMA Style

Yan L, Ou Z, Wang Y, Tong Y, Wang J, Liu D. Analysis of Potential Q-Markers for Salt-Processed Alismatis Rhizoma in Diuresis Based on Fingerprinting Technology and Network Analysis. Current Issues in Molecular Biology. 2025; 47(9):783. https://doi.org/10.3390/cimb47090783

Chicago/Turabian Style

Yan, Lin, Zemin Ou, Yun Wang, Yan Tong, Jinyu Wang, and Dewen Liu. 2025. "Analysis of Potential Q-Markers for Salt-Processed Alismatis Rhizoma in Diuresis Based on Fingerprinting Technology and Network Analysis" Current Issues in Molecular Biology 47, no. 9: 783. https://doi.org/10.3390/cimb47090783

APA Style

Yan, L., Ou, Z., Wang, Y., Tong, Y., Wang, J., & Liu, D. (2025). Analysis of Potential Q-Markers for Salt-Processed Alismatis Rhizoma in Diuresis Based on Fingerprinting Technology and Network Analysis. Current Issues in Molecular Biology, 47(9), 783. https://doi.org/10.3390/cimb47090783

Article Metrics

Back to TopTop