Advances in Understanding Lipopolysaccharide-Mediated Hepatitis: Mechanisms and Pathological Features
Abstract
1. Introduction
2. Materials and Methods
3. Action of LPS in the Liver
3.1. Structure and Immunological Significance of LPS
- Lipid A: Lipid A is the hydrophobic portion of LPS and is at the core of its toxicity and biological activity. Lipid A consists of a disaccharide of glucosamine phosphate attached to a fatty acid that binds directly to toll-like receptor 4 (TLR4) on the cell membrane and triggers an immune response. The composition of fatty acids and the number of phosphate groups vary among bacterial species, contributing to differences in pathogenicity and immune response.
- Lipooligosaccharide (core polysaccharide): A hydrophilic lipooligosaccharide is the linkage between lipid A and O antigen. This region contains sugar molecules such as keto-oxononanoic acid and heptose, which provide structural stability to LPS.
- Hydrophilic O-specific polysaccharide (O antigen): This is a long-chain polysaccharide structure located in the outermost layer and is a characteristic region that determines bacterial serotypes. Mutation or loss of the O antigen affects the immune evasion ability of bacteria and is associated with infectivity.
3.2. LPS and Inflammatory Response in the Liver
- 1.
- When Kupffer cells recognize LPS, they trigger the following processes:
- Production of chemokines: chemokines such as CCL2 and CXCL1 mobilize immune cells from the surrounding blood vessels to the liver [48].
- Reactive oxygen species and nitrogen oxide production: Reactive oxygen species (ROS) and nitrogen oxides damage hepatocytes and endothelial cells via oxidative stress [49,50]. Oxidative stress induces hepatocyte death through peroxidation of cell membrane lipids and DNA damage, thereby exacerbating the progression of liver injury [51].
- 2.
- Hepatic stellate cells normally function as vitamin A storage cells but are activated by LPS stimulation [52]. This activation promotes the overproduction of collagen and other extracellular matrix components that cause fibrosis. Chronic LPS stimulation may accelerate liver fibrosis that eventually progresses to cirrhosis.
- 3.
- Vascular endothelial cells that form sinusoids are directly damaged by LPS, causing a decrease in thrombomodulin and an increase in tissue factor [53,54]. Furthermore, it inhibits tissue-type plasminogen activator by inducing the expression of plasminogen activator inhibitor-1 [55]. This results in the formation of a thrombus. In addition, by inducing changes in vascular permeability, local oxygen supply is restricted and hepatocytes are further damaged [56].
3.3. LPS-Induced Hepatocyte and Sinusoidal Endothelial Cell Changes
- Induction of hepatocyte death (apoptosis and necrosis): The release of inflammatory cytokines (especially TNF-α and Fas ligands) by LPS induces apoptosis in hepatocytes [57,58]. Apoptosis is energy-dependent and is characterized by cell shrinkage and nuclear fragmentation; however, at high concentrations of inflammatory cytokines, hepatocytes may enter uncontrolled necrosis [59]. Necrosis leads to further damage to surrounding tissues, forming a vicious cycle that leads to chronic inflammation.
- Impairment of sinusoidal endothelial cells and blood flow: Sinusoids function as sites of blood circulation and metabolite exchange within the liver, but LPS directly injures sinusoidal endothelial cells [60]. This results in altered vascular permeability and accumulation of inflammatory cells and platelets in the sinusoids. This leads to microthrombus formation and localized blood flow obstruction, resulting in deficient oxygen supply to the liver. Such an impaired blood flow may induce further tissue necrosis and fibrosis.
- Abnormal platelet aggregation and thrombus formation: LPS activates vascular endothelial cells and platelets and induces platelet aggregation [61,62]. This leads to the formation of microthrombi in portal veins and sinusoids. These thrombi not only interfere with normal blood flow to the liver but also cause additional oxygen deprivation to the surrounding hepatocytes, contributing to chronic damage.
4. Diagnosis of Hepatitis
4.1. Blood Biochemistry Test
- 1.
- Liver function tests:
- Alanine aminotransferase: specific marker of hepatocyte damage.
- Aspartate aminotransferase: it reflects damage to the liver and other organs (the heart and muscle).
- Bilirubin (total bilirubin, direct bilirubin): used to assess bile stasis and liver dysfunction.
- Albumin: Used to assess hepatic synthetic function. Its levels decrease during chronic inflammation and severe liver injury.
- Alkaline phosphatase: used to evaluate bile stasis and abnormal bone metabolism.
- γ-Glutamyltransferase: used to assess liver damage and bile duct disease.
- 2.
- Inflammatory markers:
- CRP level reflects the degree of inflammation and spikes in LPS-induced inflammation.
- White blood cell count is an indicator of infection and inflammation. Usually, it increases with LPS stimulation.
- Erythrocyte sedimentation rate is useful to assess chronic inflammation and elevation of LPS-induced hepatitis.
- 3.
- Coagulation test:
- Prothrombin time and international normal ratio: used to assess coagulation capacity and the risk of impaired liver synthesis and disseminated intravascular coagulation.
- D-dimer: Index of thrombus formation and lysis. It increases during LPS-induced thrombus formation.
- Platelet count: it is related to thrombus formation and may fluctuate after LPS stimulation.
- 4.
- Additional inspection:
- Abdominal ultrasonography: Used to evaluate liver size, blood flow, and lesions. It is useful for detecting clots and biliary stasis.
- Blood culture: confirmation of infection by LPS-producing bacteria (e.g., Gram-negative bacteria).
- Endotoxin measurement: it assesses the amount of LPS (often used in the research phase).
4.2. Role and Clinical Significance of Inflammatory Markers
- C-reactive protein: CRP is widely used as an early indicator of the acute inflammatory response; upon LPS stimulation, CRP is rapidly produced, primarily through IL-6 induction in the liver [63,64]. Elevated blood CRP levels reflect systemic inflammation and indicate the progression of local inflammation in the liver. CRP is an important biomarker for assessing the severity of hepatitis and serves as an early warning for the severity of acute hepatitis and the possibility of sepsis [64].
- Tumor necrosis factor-α: TNF-α is one of the primary proinflammatory cytokines secreted after LPS stimulation [38,65]. Kupffer cells and macrophages produce TNF-α, which acts on surrounding hepatocytes and endothelial cells to initiate the inflammatory cascade and is involved in increasing vascular permeability, leukocyte infiltration, induction of cell death, and amplification of liver damage. Chronic increases in TNF-α also contribute to the development of liver fibrosis [66].
- Interleukin-1β: IL-1β is an important proinflammatory cytokine secreted by inflammasomes activated by LPS stimulation [67]. This molecule is a major contributor to the inflammatory environment in the liver and causes damage to the vascular endothelial cells and hepatocytes. In addition, IL-1β induces the production of other cytokines (e.g., IL-6 and IL-8), which contribute to the spread of inflammation [68].
4.3. Association Between Increased CRP Levels and Hepatitis Severity After LPS Stimulation
- CRP as an indicator of hepatitis progression: A rapid increase in CRP levels can be used as a real-time indicator of inflammatory activity. In animal models, CRP concentrations have been observed to increase rapidly within hours of LPS administration and subsequently correlate with inflammatory changes in liver tissue [33]. Therefore, CRP measurement plays an important role in the early diagnosis of LPS-induced hepatitis and monitoring therapeutic efficacy.
- High CRP levels and risk of chronicity: Persistently high CRP levels suggest uncontrolled inflammation, which increases the risk of hepatitis becoming chronic and transitioning into liver fibrosis. In such cases, the introduction of anti-inflammatory therapy and additional diagnostic procedures is warranted.
4.4. Role of Oxidative Stress (Reactive Oxygen Species) and Its Progression to Liver Fibrosis
- Production of ROS and induction of hepatocyte death: Kupffer cells and hepatocytes activated by LPS overproduce ROS, causing hepatocytes to undergo apoptosis or necrosis [16]. This process is closely associated with damage to the mitochondrial membrane and decreased ATP production. Oxidative stress disrupts intercellular signaling pathways and contributes to a vicious cycle of inflammation.
- Endothelial cell damage and thrombus formation: ROS damage sinusoidal endothelial cells, increase vascular permeability, and induce thrombus formation [70]. Consequently, impaired blood flow and local oxygen deprivation are exacerbated, leading to progressive liver dysfunction.
- Transition to hepatic fibrosis: Chronic oxidative stress promotes the activation of astrocytes (the major effector cells of intrahepatic fibrosis) [71,72]. Activated astrocytes produce excess extracellular matrix and destroy the normal structure of the liver. This contributes to the development of fibrosis and, eventually, cirrhosis.
4.5. Role of Chemokines
- Types of chemokines and their functions: Chemokines (e.g., MCP-1, CXCL8) are responsible for inducing immune cells such as neutrophils, monocytes, and macrophages to the liver [73,74]. These cells further exacerbate inflammation and damage liver tissue through the production of inflammatory mediators and ROS.
- Contribution to fibrosis: Chemokines are also involved in astrocyte activation and abnormal signaling between hepatocytes. MCP-1 overexpression promotes the maintenance of chronic inflammation and fibrotic processes [73].
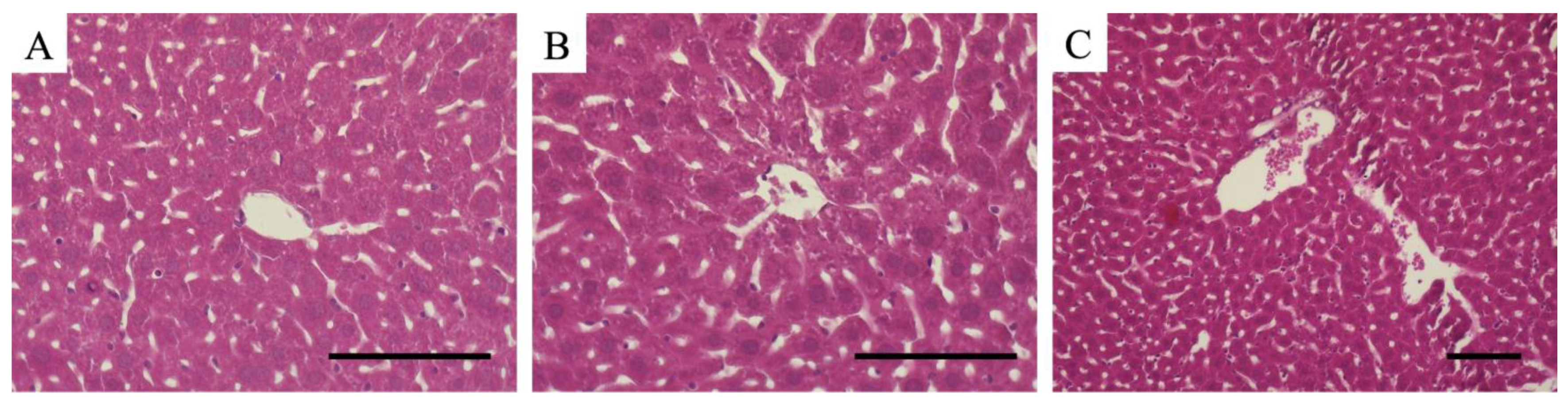
4.6. Histopathological Features of LPS-Induced Hepatitis
4.6.1. Details of Histological Changes
- Hepatocyte atrophy and decreased eosin staining: Hepatocyte atrophy is caused by a decrease in cellular metabolic activity and disruption of the cytoskeleton. Trophied cells are characterized by decreased eosin staining. Decreased eosin staining indicates degeneration or degradation of cytoplasmic proteins and reflects the progression of apoptosis (programmed cell death) or necrosis. This phenomenon is closely related to cell death mechanisms associated with the release of inflammatory cytokines (particularly TNF-α and IL-1β).
- Dilation of sinusoids and increased vascular permeability: Dilatation of the sinusoids indicates a change in hemodynamics. LPS stimulation increases the internal pressure of the sinusoids, resulting in the blockage of blood flow, which is observed in sinusoids. In addition, inflammatory cytokines and ROS damage sinusoidal endothelial cells and increase vascular permeability. This increased permeability allows plasma components and immune cells to leak into surrounding tissues, further expanding the inflammatory response within the liver.
- Blood cell accumulation and thrombus formation: The accumulation of blood cells in the blood vessels and sinusoids is an important indicator of inflammation progression. This accumulation primarily consists of leukocytes (especially neutrophils) and erythrocytes. These cells form microthrombi by interacting with the endothelial cells and activated platelets. The thrombus causes vascular occlusion, resulting in localized ischemia and an inadequate oxygen supply. This results in accelerated necrosis of hepatocytes and progressive dysfunction of the entire liver.
- Immune cell infiltration: LPS stimulation causes neutrophils and macrophages to infiltrate liver tissue. These cells release inflammatory mediators and ROS that amplify inflammation and cause tissue damage. In particular, neutrophil overactivation causes direct damage to the surrounding cells and tissues through degranulation.
4.6.2. Details of Scanning Electron Microscope Analysis
- Detailed structural observation of blood cell accumulation: Scanning electron microscopy provides a detailed view of leukocyte and red blood cell aggregation in blood vessels and sinusoids. Red blood cell aggregation not only increases the viscosity of the blood stream but also decreases its oxygen-carrying capacity, contributing to systemic hypoxia. Platelets are also observed, suggesting that fibrin formation is an important component of the thrombi.
- Endothelial cell damage and changes in surface structure: Endothelial cells undergo coarsening of the cell surface under the direct influence of LPS and the action of inflammatory mediators. This coarsening implies the loss of microvilli on the endothelial cell surface and the degradation of intercellular junctions. This results in abnormally increased vascular permeability and accelerated inflammatory progression. In addition, endothelial cells often show signs of apoptosis or necrosis, resulting in the loss of vascular structural integrity.
4.6.3. Details of Transmission Electron Microscope Analysis
- Changes in intracellular organelles: LPS stimulation of hepatocytes reveals morphological and functional abnormalities in mitochondria. Specifically, mitochondrial swelling, disruption of the cristae structure, and matrix rarefaction are observed. These changes reflect increased oxidative stress and a decreased ability to produce ATP, which promotes cell death. Structural disruption of the Golgi apparatus and rough endoplasmic reticulum also indicates impaired protein synthesis and abnormal stress responses.
- Localization of inflammatory mediators: Electron microscopy combined with immunogold labeling techniques reveal the localization of inflammatory cytokines (e.g., TNF-α and IL-1β). These cytokines are detected at high concentrations, primarily in Kupffer cells and activated endothelial cells, suggesting that they play a central role in inflammation.
4.6.4. Usefulness of Correlative Light and Electron Microscopy Methods for Pathological Analysis
- Structural analysis at high resolution
- The pattern of inflammation and damage throughout the liver tissue in LPS-induced hepatitis is observed using an optical microscope. Specifically, histological changes such as dilation of sinusoids, accumulation of blood cells, and atrophy of hepatocytes can be observed. Using electron microscopy on the same liver tissue specimen, ultrafine structures (e.g., coarse endothelial cells and morphological changes of platelets and leukocytes) that cannot be observed with optical microscopy can be analyzed in detail.
- Specific localization analysis at the cellular level
- The site of inflammation can be identified using optical microscopy, and the morphology and interactions of the cells (Kupffer cells, leukocytes, platelets, etc.) present at the site can be confirmed using scanning electron microscopy.
- The CLEM method using transmission electron microscopy allows a detailed analysis of LPS-stimulated intracellular structural changes (e.g., lysosomal hypertrophy, nuclear fragmentation, and endothelial cell damage).
- Detailed analysis of thrombus formation
- Accumulation of platelets, leukocytes, and red blood cells in the sinusoids can be observed and analyzed to determine their involvement in thrombus formation.
- Electron microscopy can be used to observe the morphological characteristics of the fibrin network and platelet aggregation that underlies the thrombus.
- Correlation analysis of pathological changes and molecular functions
- Detailed analysis of abnormal regions observed via optical and electron microscopy can link pathological changes to abnormalities at the cellular level.
- The distribution of specific proteins (e.g., tissue factors and inflammatory cytokines) can be confirmed using optical techniques such as immunostaining, and the sites can be further analyzed using electron microscopy.
- Quantitative analysis
- By quantifying the number of inflammatory cells, degree of sinusoidal dilation, and frequency of thrombus formation, the progression of LPS-induced hepatitis can be objectively evaluated.
- Elucidation of complex interactions
- LPS-stimulated changes in cell–cell adhesion and extracellular matrix can be visualized to reveal the details of inflammation and coagulation processes.
5. Therapeutic Approach: Anti-Inflammatory and Antithrombotic
5.1. Effects of Aspirin and Its Mechanism of Action
5.2. Potential for New Treatment Methods
5.3. Perspectives on Lifestyle Improvement and Prevention
6. Future Prospects
6.1. Further Elucidation of Signaling Pathways in LPS-Induced Inflammation
6.2. Development of a Predictive Biomarker for LPS-Induced Hepatitis Progression
6.3. Evaluation of LPS Inhibitors for Clinical Application
6.4. Developing Hepatitis Prevention Strategies at the Public Health Level
6.5. Potential Side Effects of Aspirin
7. Conclusions
Author Contributions
Funding
Institutional Review Board Statement
Informed Consent Statement
Data Availability Statement
Conflicts of Interest
Abbreviations
| LPS | Lipopolysaccharide |
| TLR4 | Toll-like receptor 4 |
| TNF | Tumor necrosis factor |
| IL | Interleukin |
| CRP | C-reactive protein |
| ROS | Reactive oxygen species |
| CLEM | Correlative light and electron microscopy |
| COX | Cyclooxygenase |
| LBP | LPS-binding proteins |
References
- Benavent, S.; Carlos, S.; Reina, G. Rocahepevirus ratti as an Emerging Cause of Acute Hepatitis Worldwide. Microorganisms 2023, 11, 2996. [Google Scholar] [CrossRef] [PubMed]
- Riazi, K.; Azhari, H.; Charette, J.H.; Underwood, F.E.; King, J.A.; Afshar, E.E.; Swain, M.G.; Congly, S.E.; Kaplan, G.G.; Shaheen, A.A. The prevalence and incidence of NAFLD worldwide: A systematic review and meta-analysis. Lancet Gastroenterol. Hepatol. 2022, 7, 851–861. [Google Scholar] [CrossRef] [PubMed]
- Tai, C.M.; Yu, M.L. Hepatitis C virus micro-elimination in people who inject drugs: Challenges and chance in Taiwan and worldwide. Kaohsiung J. Med. Sci. 2024, 40, 112–118. [Google Scholar] [CrossRef]
- Huang, M.; Chen, H.; Wang, H.; Wang, X.; Wang, D.; Li, Y.; Zhou, Q.; Zhang, D.; Li, M.; Ma, L. Worldwide burden of liver cancer due to metabolic dysfunction-associated steatohepatitis from 1990 to 2019: Insights from the Global Burden of Disease study. Front. Oncol. 2024, 14, 1424155. [Google Scholar] [CrossRef] [PubMed]
- Gavilan, P.; Gavilan, J.C.; Arnedo, R.; Clavijo, E.; Viciana, I.; Gonzalez-Correa, J.A. Prediction model of hepatocellular carcinoma development in chronic hepatitis B virus infection in a Spanish cohort. Med. Clin. 2024, 163, 609–616. [Google Scholar] [CrossRef] [PubMed]
- Su, W.C.; Chen, T.T.; Wu, C.H.; Shih, L.N.; Liu, C.K.; Hsueh, Y.A. The association between comprehensive patient-centered care and health-related quality of life (HRQoL) for patients with chronic viral hepatitis-A pathway analysis. J. Formos. Med Assoc. 2024, 123, 1057–1063. [Google Scholar] [CrossRef] [PubMed]
- Lu, M.; Rupp, L.B.; Melkonian, C.; Trudeau, S.; Daida, Y.G.; Schmidt, M.A.; Gordon, S.C. Persistent pruritus associated with worse quality of life in patients with chronic hepatitis. Liver Int. 2024, 44, 577–588. [Google Scholar] [CrossRef]
- Jimenez-Castillo, R.A.; Gonzalez-Martinez, C.E.; Tovar-Bojorquez, E.M.; Cortez-Hernandez, C.A.; Jaquez-Quintana, J.O.; Gonzalez-Gonzalez, J.A.; Gonzalez-Gonzalez, J.G.; Maldonado-Garza, H.J. Prognostic value of relative adrenal insufficiency in patients with severe alcohol-associated hepatitis-a prospective clinical study. Gastroenterol. Hepatol. 2024, 502322. [Google Scholar] [CrossRef]
- Sharma, N.R.; Siriya, P.; Sandhu, S.P.S.; Pokhrel, M.; Ching, D. Complex Diagnostic Dilemma of Viral Hepatitis vs. Drug-Induced Hepatitis: A Case Report. Cureus 2023, 15, e49191. [Google Scholar] [CrossRef]
- Alberti, K.G.; Ilic, V.; Record, C.; Williamson, D.H.; Wright, R. Metabolic abnormalities in patients with active chronic hepatitis. Clin. Sci. 1971, 41, 4P. [Google Scholar] [CrossRef] [PubMed]
- Patil, V.S.; Harish, D.R.; Sampat, G.H.; Roy, S.; Jalalpure, S.S.; Khanal, P.; Gujarathi, S.S.; Hegde, H.V. System Biology Investigation Revealed Lipopolysaccharide and Alcohol-Induced Hepatocellular Carcinoma Resembled Hepatitis B Virus Immunobiology and Pathogenesis. Int. J. Mol. Sci. 2023, 24, 11146. [Google Scholar] [CrossRef]
- Nien, H.C.; Hsu, S.J.; Su, T.H.; Yang, P.J.; Sheu, J.C.; Wang, J.T.; Chow, L.P.; Chen, C.L.; Kao, J.H.; Yang, W.S. High Serum Lipopolysaccharide-Binding Protein Level in Chronic Hepatitis C Viral Infection Is Reduced by Anti-Viral Treatments. PLoS ONE 2017, 12, e0170028. [Google Scholar] [CrossRef]
- Chen, Z.; Liu, H.; Lei, S.; Zhao, B.; Xia, Z. LY294002 prevents lipopolysaccharide-induced hepatitis in a murine model by suppressing IκB phosphorylation. Mol. Med. Rep. 2016, 13, 811–816. [Google Scholar] [CrossRef] [PubMed]
- Sun, X.; Widdison, W.; Mayo, M.; Wilhelm, S.; Leece, B.; Chari, R.; Singh, R.; Erickson, H. Design of antibody-maytansinoid conjugates allows for efficient detoxification via liver metabolism. Bioconjugate Chem. 2011, 22, 728–735. [Google Scholar] [CrossRef]
- Holen, E.; Araujo, P.; Xie, S.; Softeland, L.; Espe, M. Resveratrol inhibited LPS induced transcription of immune genes and secretion of eicosanoids in Atlantic salmon (Salmo salar), comparing mono-, co- and a novel triple cell culture model of head kidney leukocytes, liver cells and visceral adipocyte tissue. Comp. Biochem. Physiol. C Toxicol. Pharmacol. 2019, 224, 108560. [Google Scholar] [CrossRef]
- Yuan, S.; Wang, Y.; Yang, J.; Tang, Y.; Wu, W.; Meng, X.; Jian, Y.; Lei, Y.; Liu, Y.; Tang, C.; et al. Treadmill exercise can regulate the redox balance in the livers of APP/PS1 mice and reduce LPS accumulation in their brains through the gut-liver-kupffer cell axis. Aging 2024, 16, 1374–1389. [Google Scholar] [CrossRef]
- Thomas, P.; Lazure, D.A.; Moussa, R.; Bajenova, O.; Burke, P.A.; Ganguly, A.; Forse, R.A. Identification of two novel LPS-binding proteins in Kupffer cells: Implications in TNF-α production. J. Endotoxin Res. 2006, 12, 352–357. [Google Scholar] [CrossRef]
- Kojima, S.; Negishi, Y.; Tsukimoto, M.; Takenouchi, T.; Kitani, H.; Takeda, K. Purinergic signaling via P2 × 7 receptor mediates IL-1β production in Kupffer cells exposed to silica nanoparticle. Toxicology 2014, 321, 13–20. [Google Scholar] [CrossRef]
- Han, R.; Zhang, F.; Wan, C.; Liu, L.; Zhong, Q.; Ding, W. Effect of perfluorooctane sulphonate-induced Kupffer cell activation on hepatocyte proliferation through the NF-κB/TNF-α/IL-6-dependent pathway. Chemosphere 2018, 200, 283–294. [Google Scholar] [CrossRef] [PubMed]
- Gu, C.; Du, W.; Chai, M.; Jin, Z.; Zhou, Y.; Guo, P.; Zhou, Y.; Tan, W.S. Human umbilical cord-derived mesenchymal stem cells affect urea synthesis and the cell apoptosis of human induced hepatocytes by secreting IL-6 in a serum-free co-culture system. Biotechnol. J. 2022, 17, e2100096. [Google Scholar] [CrossRef] [PubMed]
- Dai, J.; Sun, C.; Yao, Z.; Chen, W.; Yu, L.; Long, M. Exposure to concentrated ambient fine particulate matter disrupts vascular endothelial cell barrier function via the IL-6/HIF-1α signaling pathway. FEBS Open Bio 2016, 6, 720–728. [Google Scholar] [CrossRef] [PubMed]
- Smith, S.G.; Kleinnijenhuis, J.; Netea, M.G.; Dockrell, H.M. Whole Blood Profiling of Bacillus Calmette-Guerin-Induced Trained Innate Immunity in Infants Identifies Epidermal Growth Factor, IL-6, Platelet-Derived Growth Factor-AB/BB, and Natural Killer Cell Activation. Front. Immunol. 2017, 8, 644. [Google Scholar] [CrossRef]
- Edamitsu, S.; Matsukawa, A.; Ohkawara, S.; Takagi, K.; Nariuchi, H.; Yoshinaga, M. Role of TNF α, IL-1, and IL-1ra in the mediation of leukocyte infiltration and increased vascular permeability in rabbits with LPS-induced pleurisy. Clin. Immunol. Immunopathol. 1995, 75, 68–74. [Google Scholar] [CrossRef]
- Nerurkar, S.S.; McDevitt, P.J.; Scott, G.F.; Johanson, K.O.; Willette, R.N.; Yue, T.L. Lipopolysaccharide (LPS) contamination plays the real role in C-reactive protein-induced IL-6 secretion from human endothelial cells in vitro. Arterioscler. Thromb. Vasc. Biol. 2005, 25, e136. [Google Scholar] [CrossRef] [PubMed][Green Version]
- Ng, P.M.; Jin, Z.; Tan, S.S.; Ho, B.; Ding, J.L. C-reactive protein: A predominant LPS-binding acute phase protein responsive to Pseudomonas infection. J. Endotoxin Res. 2004, 10, 163–174. [Google Scholar] [CrossRef] [PubMed]
- Wu, H.; Wang, Y.; Zhang, Y.; Xu, F.; Chen, J.; Duan, L.; Zhang, T.; Wang, J.; Zhang, F. Breaking the vicious loop between inflammation, oxidative stress and coagulation, a novel anti-thrombus insight of nattokinase by inhibiting LPS-induced inflammation and oxidative stress. Redox Biol. 2020, 32, 101500. [Google Scholar] [CrossRef]
- Zhang, Y.Y.; Yao, Y.D.; Cheng, Q.Q.; Huang, Y.F.; Zhou, H. Establishment of a High Content Image Platform to Measure NF-κB Nuclear Translocation in LPS-induced RAW264.7 Macrophages for Screening Anti-inflammatory Drug Candidates. Curr. Drug Metab. 2022, 23, 394–414. [Google Scholar] [CrossRef]
- Moon, K.M.; Lee, B.; Jeong, J.W.; Kim, D.H.; Park, Y.J.; Kim, H.R.; Park, J.Y.; Kim, M.J.; An, H.J.; Lee, E.K.; et al. Thio-barbiturate-derived compounds are novel antioxidants to prevent LPS-induced inflammation in the liver. Oncotarget 2017, 8, 91662–91673. [Google Scholar] [CrossRef][Green Version]
- Chorawala, M.R.; Chauhan, S.; Patel, R.; Shah, G. Cell Wall Contents of Probiotics (Lactobacillus species) Protect Against Lipopolysaccharide (LPS)-Induced Murine Colitis by Limiting Immuno-inflammation and Oxidative Stress. Probiotics Antimicrob. Proteins 2021, 13, 1005–1017. [Google Scholar] [CrossRef] [PubMed]
- Li, C.; Chen, P.; Vadasz, B.; Ma, L.; Zhou, H.; Lang, S.; Freedman, J.; Ni, H. Co-stimulation with LPS or Poly I:C markedly enhances the anti-platelet immune response and severity of fetal and neonatal alloimmune thrombocytopenia. Thromb. Haemost. 2013, 110, 1250–1258. [Google Scholar] [CrossRef] [PubMed]
- He, C.L.; Yi, P.F.; Fan, Q.J.; Shen, H.Q.; Jiang, X.L.; Qin, Q.Q.; Song, Z.; Zhang, C.; Wu, S.C.; Wei, X.B.; et al. Xiang-Qi-Tang and its active components exhibit anti-inflammatory and anticoagulant properties by inhibiting MAPK and NF-κB signaling pathways in LPS-treated rat cardiac microvascular endothelial cells. Immunopharmacol. Immunotoxicol. 2013, 35, 215–224. [Google Scholar] [CrossRef]
- Liu, X.; Tao, Q.; Shen, Y.; Liu, X.; Yang, Y.; Ma, N.; Li, J. Aspirin eugenol ester ameliorates LPS-induced inflammatory responses in RAW264.7 cells and mice. Front. Pharmacol. 2023, 14, 1220780. [Google Scholar] [CrossRef] [PubMed]
- Saitoh, H.; Sakaguchi, M.; Miruno, F.; Muramatsu, N.; Ito, N.; Tadokoro, K.; Kawakami, K.; Nakadate, K. Histopathological Analysis of Lipopolysaccharide-Induced Liver Inflammation and Thrombus Formation in Mice: The Protective Effects of Aspirin. Curr. Issues Mol. Biol. 2024, 46, 14291–14303. [Google Scholar] [CrossRef]
- Vell, M.S.; Krishnan, A.; Wangensteen, K.; Serper, M.; Seeling, K.S.; Hehl, L.; Rendel, M.D.; Zandvakili, I.; Vujkovic, M.; Scorletti, E.; et al. Aspirin is associated with a reduced incidence of liver disease in men. Hepatol. Commun. 2023, 7, e0268. [Google Scholar] [CrossRef]
- Christiansen, D.; Brekke, O.L.; Stenvik, J.; Lambris, J.D.; Espevik, T.; Mollnes, T.E. Differential effect of inhibiting MD-2 and CD14 on LPS- versus whole E. coli bacteria-induced cytokine responses in human blood. Adv. Exp. Med. Biol. 2012, 946, 237–251. [Google Scholar] [CrossRef] [PubMed]
- Vives-Pi, M.; Somoza, N.; Fernandez-Alvarez, J.; Vargas, F.; Caro, P.; Alba, A.; Gomis, R.; Labeta, M.O.; Pujol-Borrell, R. Evidence of expression of endotoxin receptors CD14, toll-like receptors TLR4 and TLR2 and associated molecule MD-2 and of sensitivity to endotoxin (LPS) in islet β cells. Clin. Exp. Immunol. 2003, 133, 208–218. [Google Scholar] [CrossRef] [PubMed]
- Hsieh, W.-T.; Hsu, M.-H.; Lin, W.-J.; Xiao, Y.-C.; Lyu, P.-C.; Liu, Y.-C.; Lin, W.-Y.; Kuo, Y.-H.; Chung, J.-G. Ergosta-7, 9 (11), 22-trien-3β-ol Interferes with LPS Docking to LBP, CD14, and TLR4/MD-2 Co-Receptors to Attenuate the NF-κB Inflammatory Pathway In Vitro and Drosophila. Int. J. Mol. Sci. 2021, 22, 6511. [Google Scholar] [CrossRef] [PubMed]
- Kim, M.W.; Kang, J.H.; Jung, H.J.; Park, S.Y.; Hwang, J.I.; Seong, J.K.; Yoon, Y.S.; Oh, S.H. Deficiency of Ninjurin1 attenuates LPS/D-galactosamine-induced acute liver failure by reducing TNF-α-induced apoptosis in hepatocytes. J. Cell Mol. Med. 2022, 26, 5122–5134. [Google Scholar] [CrossRef] [PubMed]
- Song, Y.; Shi, Y.; Ao, L.H.; Harken, A.H.; Meng, X.Z. TLR4 mediates LPS-induced HO-1 expression in mouse liver: Role of TNF-α and IL-1β. World J. Gastroenterol. 2003, 9, 1799–1803. [Google Scholar] [CrossRef]
- Treffkorn, L.; Scheibe, R.; Maruyama, T.; Dieter, P. PGE2 exerts its effect on the LPS-induced release of TNF-α, ET-1, IL-1α, IL-6 and IL-10 via the EP2 and EP4 receptor in rat liver macrophages. Prostaglandins Other Lipid Mediat. 2004, 74, 113–123. [Google Scholar] [CrossRef] [PubMed]
- Khan, H.U.; Aamir, K.; Jusuf, P.R.; Sethi, G.; Sisinthy, S.P.; Ghildyal, R.; Arya, A. Lauric acid ameliorates lipopolysaccharide (LPS)-induced liver inflammation by mediating TLR4/MyD88 pathway in Sprague Dawley (SD) rats. Life Sci. 2021, 265, 118750. [Google Scholar] [CrossRef]
- Wang, Y.; Chen, H.; Chen, Q.; Jiao, F.Z.; Zhang, W.B.; Gong, Z.J. The Protective Mechanism of CAY10683 on Intestinal Mucosal Barrier in Acute Liver Failure through LPS/TLR4/MyD88 Pathway. Mediators Inflamm. 2018, 2018, 7859601. [Google Scholar] [CrossRef] [PubMed]
- Zhang, W.; Liu, K.; Ren, G.M.; Wang, Y.; Wang, T.; Liu, X.; Li, D.X.; Xiao, Y.; Chen, X.; Li, Y.T.; et al. BRISC is required for optimal activation of NF-κB in Kupffer cells induced by LPS and contributes to acute liver injury. Cell Death Dis. 2023, 14, 743. [Google Scholar] [CrossRef] [PubMed]
- Momen-Heravi, F.; Bala, S.; Kodys, K.; Szabo, G. Exosomes derived from alcohol-treated hepatocytes horizontally transfer liver specific miRNA-122 and sensitize monocytes to LPS. Sci. Rep. 2015, 5, 9991. [Google Scholar] [CrossRef] [PubMed]
- Frink, M.; Hsieh, Y.C.; Thobe, B.M.; Choudhry, M.A.; Schwacha, M.G.; Bland, K.I.; Chaudry, I.H. TLR4 regulates Kupffer cell chemokine production, systemic inflammation and lung neutrophil infiltration following trauma-hemorrhage. Mol. Immunol. 2007, 44, 2625–2630. [Google Scholar] [CrossRef]
- Lukkari, T.A.; Jarvelainen, H.A.; Oinonen, T.; Kettunen, E.; Lindros, K.O. Short-term ethanol exposure increases the expression of Kupffer cell CD14 receptor and lipopolysaccharide binding protein in rat liver. Alcohol. Alcohol. 1999, 34, 311–319. [Google Scholar] [CrossRef] [PubMed]
- Toki, Y.; Takenouchi, T.; Harada, H.; Tanuma, S.; Kitani, H.; Kojima, S.; Tsukimoto, M. Extracellular ATP induces P2 × 7 receptor activation in mouse Kupffer cells, leading to release of IL-1β, HMGB1, and PGE2, decreased MHC class I expression and necrotic cell death. Biochem. Biophys. Res. Commun. 2015, 458, 771–776. [Google Scholar] [CrossRef]
- Su, L.; Li, N.; Tang, H.; Lou, Z.; Chong, X.; Zhang, C.; Su, J.; Dong, X. Kupffer cell-derived TNF-α promotes hepatocytes to produce CXCL1 and mobilize neutrophils in response to necrotic cells. Cell Death Dis. 2018, 9, 323. [Google Scholar] [CrossRef]
- Marangoni, A.; Accardo, S.; Aldini, R.; Guardigli, M.; Cavrini, F.; Sambri, V.; Montagnani, M.; Roda, A.; Cevenini, R. Production of reactive oxygen species and expression of inducible nitric oxide synthase in rat isolated Kupffer cells stimulated by Leptospira interrogans and Borrelia burgdorferi. World J. Gastroenterol. 2006, 12, 3077–3081. [Google Scholar] [CrossRef] [PubMed]
- Curran, R.D.; Billiar, T.R.; Stuehr, D.J.; Hofmann, K.; Simmons, R.L. Hepatocytes produce nitrogen oxides from L-arginine in response to inflammatory products of Kupffer cells. J. Exp. Med. 1989, 170, 1769–1774. [Google Scholar] [CrossRef]
- Li, B.; Li, W.; Tian, Y.; Guo, S.; Qian, L.; Xu, D.; Cao, N. Selenium-Alleviated Hepatocyte Necrosis and DNA Damage in Cyclophosphamide-Treated Geese by Mitigating Oxidative Stress. Biol. Trace Elem. Res. 2020, 193, 508–516. [Google Scholar] [CrossRef] [PubMed]
- Ho, C.H.; Huang, J.H.; Sun, M.S.; Tzeng, I.S.; Hsu, Y.C.; Kuo, C.Y. Wild Bitter Melon Extract Regulates LPS-Induced Hepatic Stellate Cell Activation, Inflammation, Endoplasmic Reticulum Stress, and Ferroptosis. Evid. Based Complement. Altern. Med. 2021, 2021, 6671129. [Google Scholar] [CrossRef] [PubMed]
- Arai, M.; Mochida, S.; Ohno, A.; Ogata, I.; Obama, H.; Maruyama, I.; Fujiwara, K. Blood coagulation equilibrium in rat liver microcirculation as evaluated by endothelial cell thrombomodulin and macrophage tissue factor. Thromb. Res. 1995, 80, 113–123. [Google Scholar] [CrossRef]
- Usui, M.; Kuriyama, N.; Kisawada, M.; Hamada, T.; Mizuno, S.; Sakurai, H.; Tabata, M.; Imai, H.; Okamoto, K.; Uemoto, S.; et al. Tissue factor expression demonstrates severe sinusoidal endothelial cell damage during rejection after living-donor liver transplantation. J. Hepatobiliary Pancreat. Surg. 2009, 16, 513–520. [Google Scholar] [CrossRef]
- Fang, W.F.; Chen, Y.M.; Lin, C.Y.; Huang, H.L.; Yeh, H.; Chang, Y.T.; Huang, K.T.; Lin, M.C. Histone deacetylase 2 (HDAC2) attenuates lipopolysaccharide (LPS)-induced inflammation by regulating PAI-1 expression. J. Inflamm. 2018, 15, 3. [Google Scholar] [CrossRef]
- Dai, S.; Liu, F.; Qin, Z.; Zhang, J.; Chen, J.; Ding, W.X.; Feng, D.; Ji, Y.; Qin, X. Kupffer cells promote T-cell hepatitis by producing CXCL10 and limiting liver sinusoidal endothelial cell permeability. Theranostics 2020, 10, 7163–7177. [Google Scholar] [CrossRef]
- Zhou, R.; Li, S.; Wang, Q.; Bi, Y.; Li, X.; Wang, Q. Silencing of GDF11 suppresses hepatocyte apoptosis to relieve LPS/D-GalN acute liver failure. J. Biochem. Mol. Toxicol. 2024, 38, e23577. [Google Scholar] [CrossRef]
- Zhao, S.; Liu, Y.; Pu, Z. Bone marrow mesenchymal stem cell-derived exosomes attenuate D-GaIN/LPS-induced hepatocyte apoptosis by activating autophagy in vitro. Drug Des. Dev. Ther. 2019, 13, 2887–2897. [Google Scholar] [CrossRef]
- Treon, S.P.; Thomas, P.; Broitman, S.A. Lipopolysaccharide (LPS) processing by Kupffer cells releases a modified LPS with increased hepatocyte binding and decreased tumor necrosis factor-α stimulatory capacity. Proc. Soc. Exp. Biol. Med. 1993, 202, 153–158. [Google Scholar] [CrossRef]
- Merkel, S.M.; Kamoun, W.; Karaa, A.; Korneszczuk, K.; Schrum, L.W.; Clemens, M.G. LPS inhibits endothelin-1-mediated eNOS translocation to the cell membrane in sinusoidal endothelial cells. Microcirculation 2005, 12, 433–442. [Google Scholar] [CrossRef] [PubMed]
- Brusilovskaya, K.; Hofer, B.S.; Simbrunner, B.; Eichelberger, B.; Lee, S.; Bauer, D.J.M.; Mandorfer, M.; Schwabl, P.; Panzer, S.; Reiberger, T.; et al. Platelet Function Decreases with Increasing Severity of Liver Cirrhosis and Portal Hypertension-A Prospective Study. Thromb. Haemost. 2023, 123, 1140–1150. [Google Scholar] [CrossRef]
- Kusakabe, J.; Hata, K.; Miyauchi, H.; Tajima, T.; Wang, Y.; Tamaki, I.; Kawasoe, J.; Okamura, Y.; Zhao, X.; Okamoto, T.; et al. Complement-5 Inhibition Deters Progression of Fulminant Hepatitis to Acute Liver Failure in Murine Models. Cell Mol. Gastroenterol. Hepatol. 2021, 11, 1351–1367. [Google Scholar] [CrossRef] [PubMed]
- Kar, E.; Kar, F.; Can, B.; Cakir Gundogdu, A.; Ozbayer, C.; Kocak, F.E.; Senturk, H. Prophylactic and Therapeutic Efficacy of Boric Acid on Lipopolysaccharide-Induced Liver and Kidney Inflammation in Rats. Biol. Trace Elem. Res. 2024, 202, 3701–3713. [Google Scholar] [CrossRef] [PubMed]
- Berkoz, M.; Unal, S.; Karayakar, F.; Yunusoglu, O.; Ozkan-Yilmaz, F.; Ozluer-Hunt, A.; Aslan, A. Prophylactic effect of myricetin and apigenin against lipopolysaccharide-induced acute liver injury. Mol. Biol. Rep. 2021, 48, 6363–6373. [Google Scholar] [CrossRef] [PubMed]
- Ajmal, M.R.; Yaccha, M.; Malik, M.A.; Rabbani, M.U.; Ahmad, I.; Isalm, N.; Abdali, N. Prevalence of nonalcoholic fatty liver disease (NAFLD) in patients of cardiovascular diseases and its association with hs-CRP and TNF-α. Indian. Heart J. 2014, 66, 574–579. [Google Scholar] [CrossRef] [PubMed]
- Mou, W.L.; Chen, S.R.; Wu, Z.T.; Hu, L.H.; Zhang, J.Y.; Chang, H.J.; Zhou, H.; Liu, Y. LPS-TLR4/MD-2-TNF-α signaling mediates alcohol-induced liver fibrosis in rats. J. Toxicol. Pathol. 2022, 35, 193–203. [Google Scholar] [CrossRef] [PubMed]
- Liang, W.; Lindeman, J.H.; Menke, A.L.; Koonen, D.P.; Morrison, M.; Havekes, L.M.; van den Hoek, A.M.; Kleemann, R. Metabolically induced liver inflammation leads to NASH and differs from LPS- or IL-1β-induced chronic inflammation. Lab. Investig. 2014, 94, 491–502. [Google Scholar] [CrossRef] [PubMed]
- Zhao, S.; Yang, X.; He, Y.; Yu, Q.; Liu, L.M. Kupffer-Cell-Targeted Carboxylesterase 1f Knockdown Deteriorates Lipopolysaccharide/D-Galactosamine-Induced Acute Liver Failure Through Regulating Cellular Polarization in Mice. Can. J. Gastroenterol. Hepatol. 2024, 2024, 6410484. [Google Scholar] [CrossRef]
- Li, J.; Jiang, L.; Zhao, K.; Tang, Y.; Yuan, X.; Xu, Y. Myeloid-Derived Tlr4-Trif Signaling Pathway Mediates Oxidative Stress in Lps/D-Galn-Induced Acute Liver Failure. Shock 2024, 62, 582–587. [Google Scholar] [CrossRef] [PubMed]
- Chen, H.J.; Liang, T.M.; Lee, I.J.; Huang, Y.T.; Lin, Y.L. Scutellariae radix suppresses LPS-induced liver endothelial cell activation and inhibits hepatic stellate cell migration. J. Ethnopharmacol. 2013, 150, 835–842. [Google Scholar] [CrossRef] [PubMed]
- Han, C.; Wu, X.; Zou, N.; Zhang, Y.; Yuan, J.; Gao, Y.; Chen, W.; Yao, J.; Li, C.; Hou, J.; et al. Cichorium pumilum Jacq Extract Inhibits LPS-Induced Inflammation via MAPK Signaling Pathway and Protects Rats From Hepatic Fibrosis Caused by Abnormalities in the Gut-Liver Axis. Front. Pharmacol. 2021, 12, 683613. [Google Scholar] [CrossRef]
- Schippers, M.; Post, E.; Eichhorn, I.; Langeland, J.; Beljaars, L.; Malo, M.S.; Hodin, R.A.; Millán, J.L.; Popov, Y.; Schuppan, D.; et al. Phosphate Groups in the Lipid A Moiety Determine the Effects of LPS on Hepatic Stellate Cells: A Role for LPS-Dephosphorylating Activity in Liver Fibrosis. Cells 2020, 9, 2708. [Google Scholar] [CrossRef] [PubMed]
- Zahner, G.; Schaper, M.; Panzer, U.; Kluger, M.; Stahl, R.A.; Thaiss, F.; Schneider, A. Prostaglandin EP2 and EP4 receptors modulate expression of the chemokine CCL2 (MCP-1) in response to LPS-induced renal glomerular inflammation. Biochem. J. 2009, 422, 563–570. [Google Scholar] [CrossRef] [PubMed]
- Gouwy, M.; Struyf, S.; Verbeke, H.; Put, W.; Proost, P.; Opdenakker, G.; Van Damme, J. CC chemokine ligand-2 synergizes with the nonchemokine G protein-coupled receptor ligand fMLP in monocyte chemotaxis, and it cooperates with the TLR ligand LPS via induction of CXCL8. J. Leukoc. Biol. 2009, 86, 671–680. [Google Scholar] [CrossRef]
- Roca-Ferrer, J.; Perez-Gonzalez, M.; Garcia-Garcia, F.J.; Pereda, J.; Pujols, L.; Alobid, I.; Mullol, J.; Picado, C. Low prostaglandin E2 and cyclooxygenase expression in nasal mucosa fibroblasts of aspirin-intolerant asthmatics. Respirology 2013, 18, 711–717. [Google Scholar] [CrossRef]
- Mirabito Colafella, K.M.; Neuman, R.I.; Visser, W.; Danser, A.H.J.; Versmissen, J. Aspirin for the prevention and treatment of pre-eclampsia: A matter of COX-1 and/or COX-2 inhibition? Basic. Clin. Pharmacol. Toxicol. 2020, 127, 132–141. [Google Scholar] [CrossRef] [PubMed]
- Brox, R.; Hackstein, H. Physiologically relevant aspirin concentrations trigger immunostimulatory cytokine production by human leukocytes. PLoS ONE 2021, 16, e0254606. [Google Scholar] [CrossRef] [PubMed]
- Majkic, T.; Bekvalac, K.; Beara, I. Plantain (Plantago L.) species as modulators of prostaglandin E2 and thromboxane A2 production in inflammation. J. Ethnopharmacol. 2020, 262, 113140. [Google Scholar] [CrossRef]
- van Zijverden, L.M.; Schutte, M.H.; Madsen, M.C.; Bonten, T.N.; Smulders, Y.M.; Wiepjes, C.M.; van Diemen, J.J.K.; Thijs, A. The efficacy of aspirin to inhibit platelet aggregation in patients hospitalised with a severe infection: A multicentre, open-label, randomised controlled trial. Clin. Exp. Med. 2023, 23, 3501–3508. [Google Scholar] [CrossRef] [PubMed]
- Byrnes, J.J.; Moake, J.L. Thrombotic thrombocytopenic purpura and the haemolytic-uraemic syndrome: Evolving concepts of pathogenesis and therapy. Clin. Haematol. 1986, 15, 413–442. [Google Scholar] [CrossRef] [PubMed]
- Tjahjono, Y.; Caroline; Foe, K.; Wijaya, H.; Dewi, B.D.N.; Karnati, S.; Esar, S.Y.; Karel, P.; Partana, F.R.; Henrikus, M.A.; et al. 2-(3-(Chloromethyl)benzoyloxy)benzoic Acid reduces prostaglandin E-2 concentration, NOX2 and NFKB expression, ROS production, and COX-2 expression in lipopolysaccharide-induced mice. Prostaglandins Other Lipid Mediat. 2024, 174, 106866. [Google Scholar] [CrossRef] [PubMed]
- Stocks, N.P.; Gonzalez-Chica, D.A.; Woods, R.L.; Lockery, J.E.; Wolfe, R.S.J.; Murray, A.M.; Kirpach, B.; Shah, R.C.; Nelson, M.R.; Reid, C.M.; et al. Quality of Life for 19,114 participants in the ASPREE (ASPirin in Reducing Events in the Elderly) study and their association with sociodemographic and modifiable lifestyle risk factors. Qual. Life Res. 2019, 28, 935–946. [Google Scholar] [CrossRef]
- Lockery, J.E.; Collyer, T.A.; Abhayaratna, W.P.; Fitzgerald, S.M.; McNeil, J.J.; Nelson, M.R.; Orchard, S.G.; Reid, C.; Stocks, N.P.; Trevaks, R.E.; et al. Recruiting general practice patients for large clinical trials: Lessons from the Aspirin in Reducing Events in the Elderly (ASPREE) study. Med. J. Aust. 2019, 210, 168–173. [Google Scholar] [CrossRef] [PubMed]
- Wolfe, R.; Murray, A.M.; Woods, R.L.; Kirpach, B.; Gilbertson, D.; Shah, R.C.; Nelson, M.R.; Reid, C.M.; Ernst, M.E.; Lockery, J.; et al. The aspirin in reducing events in the elderly trial: Statistical analysis plan. Int. J. Stroke 2018, 13, 335–338. [Google Scholar] [CrossRef]
- Margolis, K.L.; Mahady, S.E.; Nelson, M.R.; Ives, D.G.; Satterfield, S.; Britt, C.; Ekram, S.; Lockery, J.; Schwartz, E.C.; Woods, R.L.; et al. Development of a standardized definition for clinically significant bleeding in the ASPirin in Reducing Events in the Elderly (ASPREE) trial. Contemp. Clin. Trials Commun. 2018, 11, 30–36. [Google Scholar] [CrossRef] [PubMed]
- Meng, J.; Zou, Y.; Chen, J.; Qin, F.; Chen, X.; Chen, X.; Dai, S. sTLR4/sMD-2 complex alleviates LPS-induced acute lung injury by inhibiting pro-inflammatory cytokines and chemokine CXCL1 expression. Exp. Ther. Med. 2018, 16, 4632–4638. [Google Scholar] [CrossRef] [PubMed]
- Zou, Y.; Qin, F.; Chen, J.; Meng, J.; Wei, L.; Wu, C.; Zhang, Q.; Wei, D.; Chen, X.; Wu, H.; et al. sTLR4/MD-2 complex inhibits colorectal cancer in vitro and in vivo by targeting LPS. Oncotarget 2016, 7, 52032–52044. [Google Scholar] [CrossRef] [PubMed]
- Yan, A.; Ding, H.; Liu, J.; Bi, C.; Han, Z.; Wang, Z.; Nawaz, S.; Shen, Y.; Liu, S. Black Lycium barbarum polysaccharide attenuates LPS-induced intestine damage via regulation gut microbiota. Front. Microbiol. 2022, 13, 1080922. [Google Scholar] [CrossRef] [PubMed]
- Ayob, N.; Muhammad Nawawi, K.N.; Mohamad Nor, M.H.; Raja Ali, R.A.; Ahmad, H.F.; Oon, S.F.; Mohd Mokhtar, N. The Effects of Probiotics on Small Intestinal Microbiota Composition, Inflammatory Cytokines and Intestinal Permeability in Patients with Non-Alcoholic Fatty Liver Disease. Biomedicines 2023, 11, 640. [Google Scholar] [CrossRef]
- Liu, Q.; Tian, H.; Kang, Y.; Tian, Y.; Li, L.; Kang, X.; Yang, H.; Wang, Y.; Tian, J.; Zhang, F.; et al. Probiotics alleviate autoimmune hepatitis in mice through modulation of gut microbiota and intestinal permeability. J. Nutr. Biochem. 2021, 98, 108863. [Google Scholar] [CrossRef]
- Tran, C.D.; Hawkes, J.; Graham, R.D.; Kitchen, J.L.; Symonds, E.L.; Davidson, G.P.; Butler, R.N. Zinc-fortified oral rehydration solution improved intestinal permeability and small intestinal mucosal recovery. Clin. Pediatr. 2015, 54, 676–682. [Google Scholar] [CrossRef] [PubMed]
- Yang, K.; Zhu, J.; Wu, J.; Zhong, Y.; Shen, X.; Petrov, B.; Cai, W. Maternal Vitamin D Deficiency Increases Intestinal Permeability and Programs Wnt/β-Catenin Pathway in BALB/C Mice. JPEN J. Parenter. Enteral Nutr. 2021, 45, 102–114. [Google Scholar] [CrossRef]
- Pewan, S.B.; Otto, J.R.; Kinobe, R.T.; Adegboye, O.A.; Malau-Aduli, A.E.O. Nutritional Enhancement of Health Beneficial Omega-3 Long-Chain Polyunsaturated Fatty Acids in the Muscle, Liver, Kidney, and Heart of Tattykeel Australian White MARGRA Lambs Fed Pellets Fortified with Omega-3 Oil in a Feedlot System. Biology 2021, 10, 912. [Google Scholar] [CrossRef]
- Deng, W.; Yang, Q.-N.; Wu, D.-T.; Li, J.; Liu, H.-Y.; Hu, Y.-C.; Zou, L.; Gan, R.-Y.; Yan, H.-L.; Huang, J.-W. Comparison of Protective Effects of Polyphenol-Enriched Extracts from Thinned Immature Kiwifruits and Mature Kiwifruits against Alcoholic Liver Disease in Mice. Foods 2024, 13, 3072. [Google Scholar] [CrossRef] [PubMed]
- Hu, L.; Zeng, X.; Yang, K.; Peng, H.; Chen, J. n-3 polyunsaturated fatty acids improve depression-like behavior by inhibiting hippocampal neuroinflammation in mice via reducing TLR4 expression. Immun. Inflamm. Dis. 2022, 10, e707. [Google Scholar] [CrossRef]
- Lebda, M.A.; Elmassry, I.H.; Taha, N.M.; Elfeky, M.S. Nanocurcumin alleviates inflammation and oxidative stress in LPS-induced mastitis via activation of Nrf2 and suppressing TLR4-mediated NF-κB and HMGB1 signaling pathways in rats. Environ. Sci. Pollut. Res. Int. 2022, 29, 8294–8305. [Google Scholar] [CrossRef]
- Masutani, N.; Ogawa, H.; Soejima, H.; Okada, S.; Masuda, I.; Waki, M.; Jinnouchi, H.; Saito, Y.; Morimoto, T. Long-Term Effects of Low-Dose Aspirin on Gastrointestinal Symptoms and Bleeding Complications in Patients with Type 2 Diabetes. Am. J. Cardiovasc. Drugs 2024. [Google Scholar] [CrossRef]
- Ide, Y.; Morikawa, G.; Yoshida, K.; Takano, Y.; Kubota, K.; Okazawa, K.; Yasu, T. The risk of upper gastrointestinal bleeding associated with concomitant proton pump inhibitor administration during dual antiplatelet therapy with aspirin and prasugrel: A retrospective single-center study. J. Pharm. Health Care Sci. 2024, 10, 76. [Google Scholar] [CrossRef] [PubMed]
- Suzuki, R.; Kozuma, Y.; Inoue, C.; Tanabe, K.; Noboruo, I.; Arao, H.; Kawaguchi, T.; Shimizu, N.; Yamamoto, T. Artificial cerebrospinal fluid restores aspirin-inhibited physiological hemostasis through recovery of platelet aggregation function. Acta Neurochir. 2023, 165, 1269–1276. [Google Scholar] [CrossRef]
- Huang, J.; White, A.A. Biologics in Aspirin-Exacerbated Respiratory Disease and Allergic Bronchopulmonary Aspergillosis. Immunol. Allergy Clin. N. Am. 2024, 44, 673–692. [Google Scholar] [CrossRef] [PubMed]
- Kim, C.H.; Oh, H.J.; Kim, Y.S.; Kim, Y.-L.; Chang, J.H.; Ryu, D.-R. The Effect of Aspirin on Preventing Vascular Access Dysfunction in Incident Hemodialysis Patients: A Prospective Cohort Study in Korean Clinical Research Centers for End-Stage Renal Disease (CRC for ESRD). J. Clin. Med. 2019, 8, 677. [Google Scholar] [CrossRef] [PubMed]
- Lundberg, M.; Voutilainen, H.; Lyly, A.; Karjalainen, J.; Huhtala, H.; Laidlaw, T.M.; Lee, S.E.; Nuutinen, M.; Toppila-Salmi, S. Adult-onset asthma, allergy, and aspirin hypersensitivity associate with self-reported food avoidance. Eur. Clin. Respir. J. 2024, 11, 2347073. [Google Scholar] [CrossRef]
- Altay, D.; Pamukcu, O.; Baykan, A.; Uzum, K.; Arslan, D. Aspirin-induced hepatotoxicity and anemia in children with acute rheumatic fever. Turk. J. Pediatr. 2021, 63, 193–199. [Google Scholar] [CrossRef]





Disclaimer/Publisher’s Note: The statements, opinions and data contained in all publications are solely those of the individual author(s) and contributor(s) and not of MDPI and/or the editor(s). MDPI and/or the editor(s) disclaim responsibility for any injury to people or property resulting from any ideas, methods, instructions or products referred to in the content. |
© 2025 by the authors. Licensee MDPI, Basel, Switzerland. This article is an open access article distributed under the terms and conditions of the Creative Commons Attribution (CC BY) license (https://creativecommons.org/licenses/by/4.0/).
Share and Cite
Nakadate, K.; Saitoh, H.; Sakaguchi, M.; Miruno, F.; Muramatsu, N.; Ito, N.; Tadokoro, K.; Kawakami, K. Advances in Understanding Lipopolysaccharide-Mediated Hepatitis: Mechanisms and Pathological Features. Curr. Issues Mol. Biol. 2025, 47, 79. https://doi.org/10.3390/cimb47020079
Nakadate K, Saitoh H, Sakaguchi M, Miruno F, Muramatsu N, Ito N, Tadokoro K, Kawakami K. Advances in Understanding Lipopolysaccharide-Mediated Hepatitis: Mechanisms and Pathological Features. Current Issues in Molecular Biology. 2025; 47(2):79. https://doi.org/10.3390/cimb47020079
Chicago/Turabian StyleNakadate, Kazuhiko, Hayate Saitoh, Miina Sakaguchi, Fumito Miruno, Naoto Muramatsu, Nozomi Ito, Kanako Tadokoro, and Kiyoharu Kawakami. 2025. "Advances in Understanding Lipopolysaccharide-Mediated Hepatitis: Mechanisms and Pathological Features" Current Issues in Molecular Biology 47, no. 2: 79. https://doi.org/10.3390/cimb47020079
APA StyleNakadate, K., Saitoh, H., Sakaguchi, M., Miruno, F., Muramatsu, N., Ito, N., Tadokoro, K., & Kawakami, K. (2025). Advances in Understanding Lipopolysaccharide-Mediated Hepatitis: Mechanisms and Pathological Features. Current Issues in Molecular Biology, 47(2), 79. https://doi.org/10.3390/cimb47020079

