Identification of AKNA Gene and Its Role for Genetic Susceptibility in Epithelial Ovarian Cancer
Abstract
1. Introduction
2. Materials and Methods
2.1. Study Design and Sample Collection
2.2. Genotyping of AKNA (−1372 C>A) Using Tetra-Primer Amplification Refractory Mutation System-Polymerase Chain Reaction (T-ARMS PCR)
2.3. mRNA Relative Expression of AKNA Using Quantitative Reverse Transcriptase Real-Time Polymerase Chain Reaction (qRT-PCR)
2.4. AKNA Protein Analysis Using Immunohistochemistry
2.5. Statistical Data Analysis
3. Results
3.1. Genotyping of AKNA (−1372 C>A) in Epithelial Ovarian Cancer
3.2. Relative Expression of AKNA mRNA in Low-Grade and High-Grade Epithelial Ovarian Cancer Compared with Ovarian Cysts
3.3. Figures, Tables, and Schemes
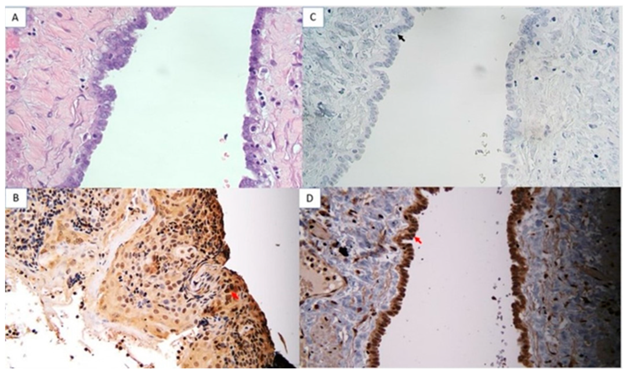
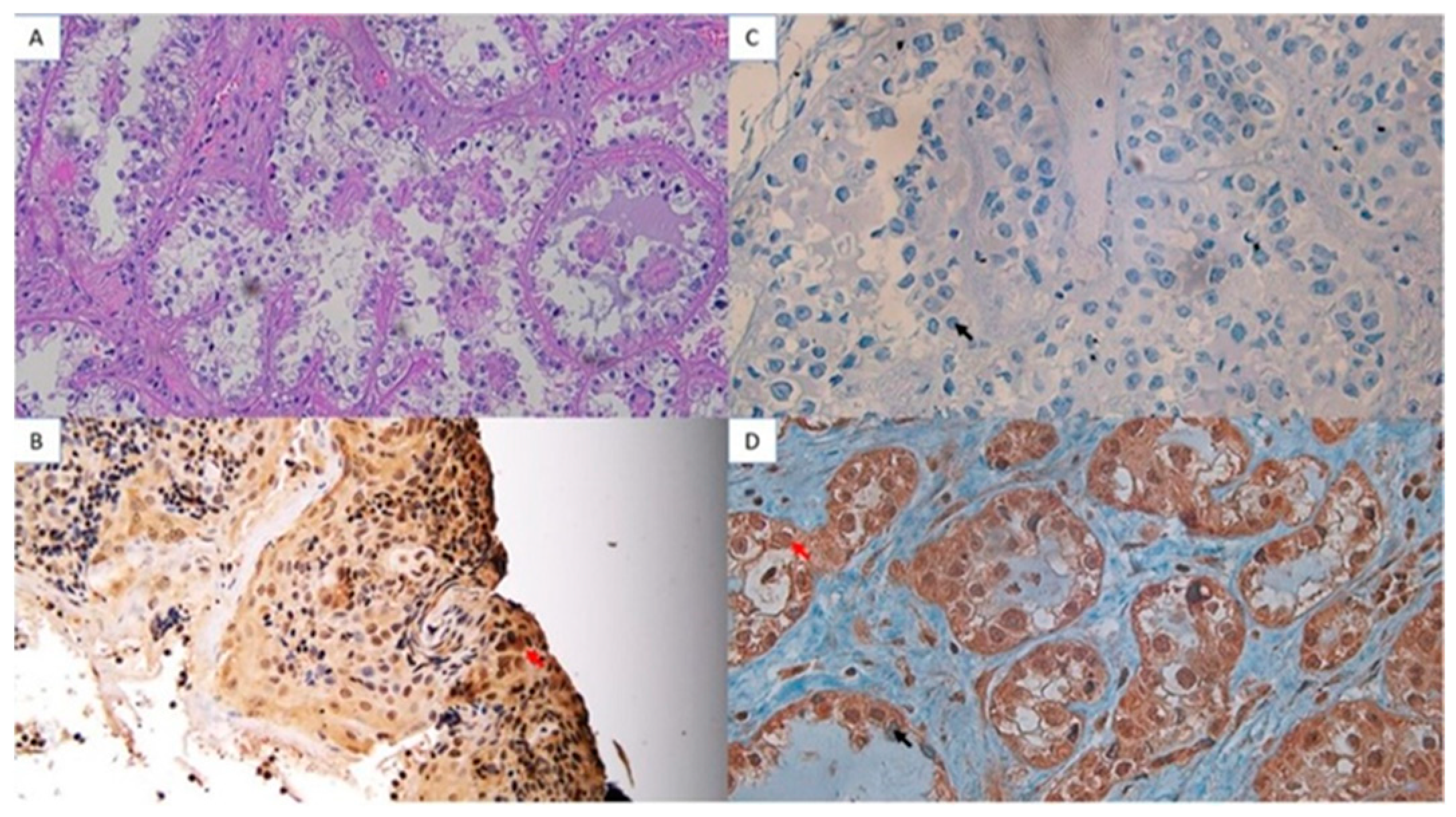
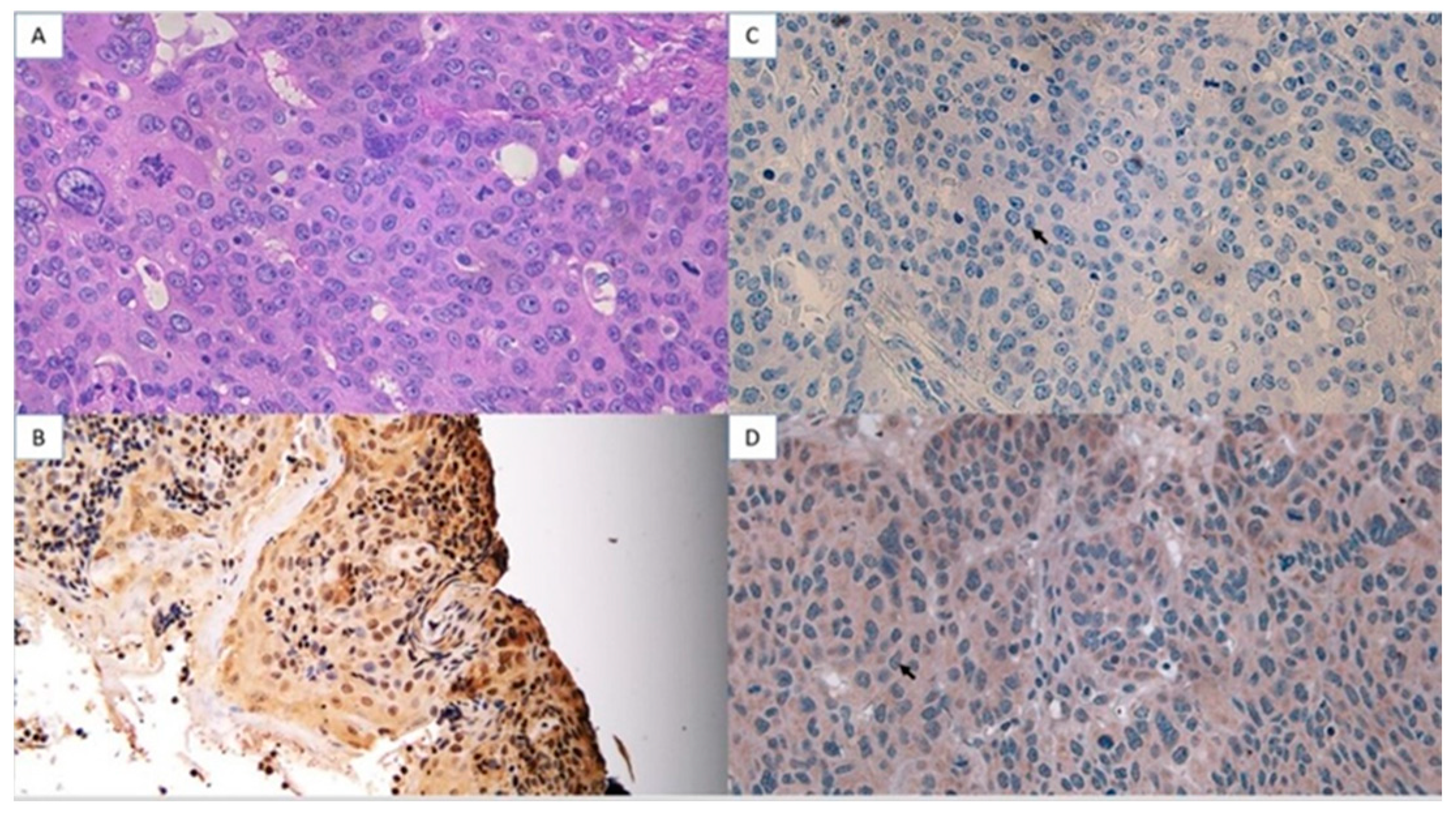
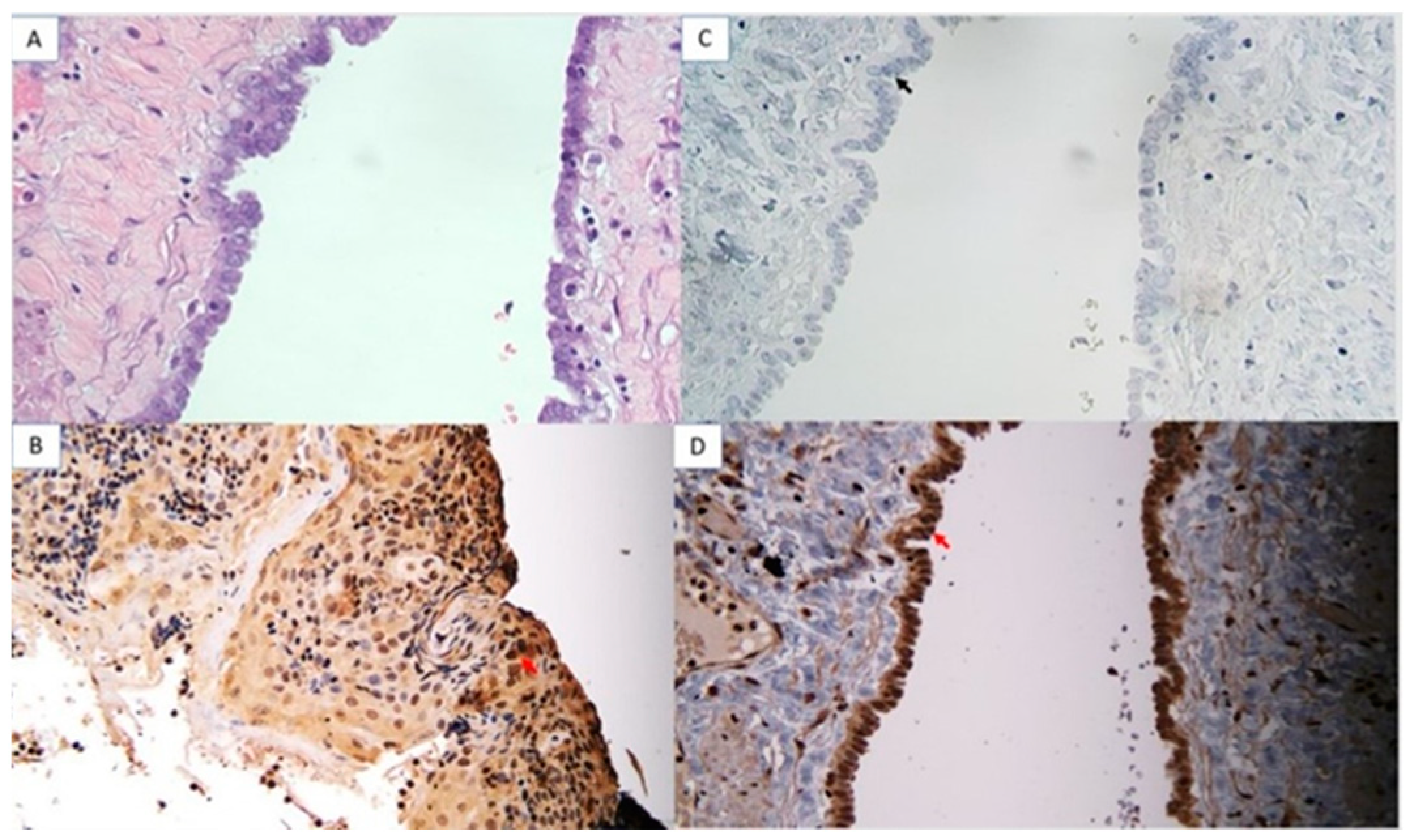
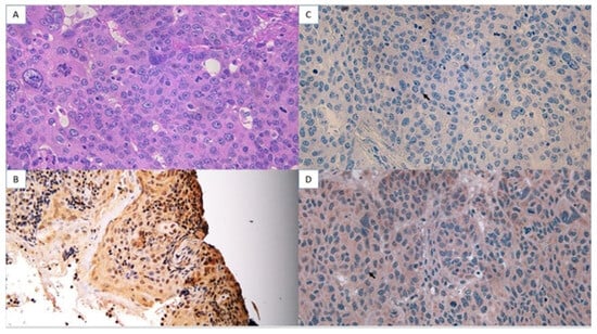
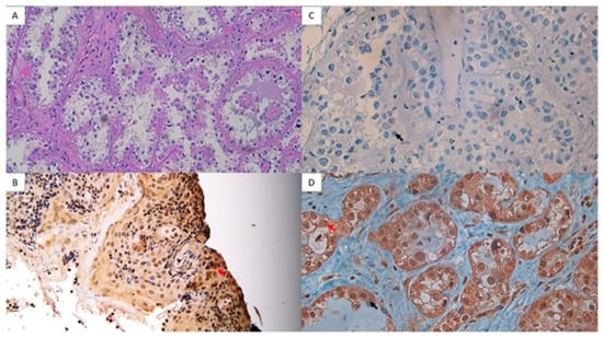
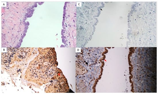
3.4. AKNA Protein Expression in Low-Grade and High-Grade Ovarian Epithelial Cancer Compared with Ovarian Cysts
3.5. Correlation Between AKNA mRNA Expression and AKNA Protein Expression in Low-Grade and High-Grade Epithelial Ovarian Cancer
4. Discussion
5. Conclusions
Author Contributions
Funding
Informed Consent Statement
Data Availability Statement
Acknowledgments
Conflicts of Interest
References
- Fahmi, M.N.; Pradjatmo, H.; Astuti, I.; Nindrea, R.D. Cytokines as Prognostic Biomarkers of Epithelial Ovarian Cancer (EOC): A Systematic Review and Meta-Analysis. Asian Pac. J Cancer Prev. 2021, 22, 315–323. [Google Scholar] [CrossRef]
- Momenimovahed, Z.; Tiznobaik, A.; Taheri, S.; Salehiniya, H. Ovarian cancer in the world: Epidemiology and risk factors. Int. J. Womens Health 2019, 11, 287–299. [Google Scholar] [CrossRef]
- Kurman, R.J.; Shih, I.M. The dualistic model of ovarian carcinogenesis revisited, revised, and expanded. Am. J. Pathol. 2016, 186, 733–747. [Google Scholar] [CrossRef] [PubMed]
- Zhang, J.; Silva, E.G.; Sood, A.K.; Liu, J. Ovarian Epithelial Carcinogenesis. Gynecol. Obstet. Pathol. 2019, 2, 121–139. [Google Scholar]
- Chen, L.; Deng, H.; Cui, H.; Fang, J.; Zuo, Z.; Deng, J.; Li, Y.; Wang, X.; Zhao, L. Inflammatory responses and inflammation-associated diseases in organs. Oncotarget 2018, 9, 7204–7218. [Google Scholar] [CrossRef] [PubMed]
- NCBI. AKNA AT-Hook Transcription Factor [Homo sapiens (Human)]. 2022. Available online: https://www.ncbi.nlm.nih.gov/gene?Db=gene&Cmd=DetailsSearch&Term=80709 (accessed on 5 August 2024).
- Moliterno, A.R.; Resar, L.M.S. AKNA: Another AT-hook transcription factor hooking-up with inflammation. Cell Res. 2011, 21, 1528–1530. [Google Scholar] [CrossRef] [PubMed]
- Martínez-Nava, G.A.; Torres-Poveda, K.; Lagunas-Martínez, A.; Bahena-Román, M.; Zurita-Diáz, M.A.; Ortíz-Flores, E.; García-Carrancá, A.; Madrid-Marina, V.; Burguete-García, A.I. Cervical cancer-associated promoter polymorphism affects akna expression levels. Genes Immun. 2015, 16, 43–53. [Google Scholar] [CrossRef] [PubMed]
- Camargo Ortega, G.; Falk, S.; Johansson, P.A.; Peyre, E.; Broix, L.; Sahu, S.K.; Hirst, W.; Schlichthaerle, T.; Romero, C.D.J.; Draganova, K.; et al. The centrosome protein AKNA regulates neurogenesis via microtubule organization. Nature 2019, 567, 113–117. [Google Scholar] [CrossRef] [PubMed]
- Wang, G.; Sun, D.; Li, W.; Xin, Y. AKNA Is a Potential Prognostic Biomarker in Gastric Cancer and Function as a Tumor Suppressor by Modulating EMT-Related Pathways. BioMed Res. Int. 2020, 2020, 6726759. [Google Scholar] [CrossRef] [PubMed]
- National Center for Biotechnology Information (NCBI). CD40L Homo sapiens. Available online: https://www.ncbi.nlm.nih.gov/gene/959 (accessed on 5 August 2024).
- Hanahan, D.; Weinberg, R.A. Hallmarks of cancer: The next generation. Cell 2011, 144, 646–674. [Google Scholar] [CrossRef]
- Manzo-Merino, J.; Lagunas-Martínez, A.; Contreras-Ochoa, C.O.; Lizano, M.; Castro-Muñoz, L.J.; Calderón-Corona, C.; Torres-Poveda, K.; Román-Gonzalez, A.; Hernández-Pando, R.; Bahena-Román, M.; et al. The human papillomavirus (HPV) E6 oncoprotein regulates CD40 expression via the AT-hook transcription factor AKNA. Cancers 2018, 10, 521. [Google Scholar] [CrossRef]
- Liu, X.; Huang, D.; Guo, P.; Wu, Q.; Dai, M.; Cheng, G.; Hao, H.; Xie, S.; Yuan, Z.; Wang, X. PKA/CREB and NF-κB pathway regulates AKNA transcription: A novel insight into T-2 toxin-induced inflammation and GH deficiency in GH3 cells. Toxicology 2017, 392, 81–95. [Google Scholar] [CrossRef] [PubMed]
- Ortega, G.C. Novel Mechanisms of Neurogenesis: The Role of the New Centrosomal Protein Akna. Ph.D. Thesis, Graduate School of Systemic Neurosciences (GSN), Graduate School of Systemic Neurosciences der Ludwig-Maximilians-Universität München, Planegg, Germany, 2018. [Google Scholar]
- Muccioli, M.; Nandigam, H.; Loftus, T.; Singh, M.; Venkatesh, A.; Wright, J.; Pate, M.; McCall, K.; Benencia, F. Modulation of double-stranded RNA pattern recognition receptor signaling in ovarian cancer cells promotes inflammatory queues. Oncotarget 2018, 9, 36666–36683. [Google Scholar] [CrossRef] [PubMed]
- Siddiqa, A.; Sims-Mourtada, J.C.; Guzman-Rojas, L.; Rangel, R.; Guret, C.; Madrid-Marina, V.; Sun, Y.; Martinez-Valdez, H. Regulation of CD40 and CD40 ligand by the AT-hook transcription factor AKNA. Nature 2001, 410, 383–387. [Google Scholar] [CrossRef]
- Nakamura, M.; Bax, H.J.; Scotto, D.; Souri, E.A.; Sollie, S.; Harris, R.J.; Hammar, N.; Walldius, G.; Winship, A.; Ghosh, S.; et al. Immune mediator expression signatures are associated with improved outcome in ovarian carcinoma. OncoImmunology 2019, 8, e1593811. [Google Scholar] [CrossRef] [PubMed]
- Livak, K.J.; Schmittgen, T.D. Analysis of relative gene expression data using real-time quantitative PCR and the 2−ΔΔCT method. Methods 2001, 25, 402–408. [Google Scholar] [CrossRef] [PubMed]
- Rodriguez, J.A.; Huerta-Yepez, S.; Law, I.K.M.; Baay-Guzman, G.J.; Tirado-Rodriguez, B.; Hoffman, J.M.; Iliopoulos, D.; Hommes, D.W.; Verspaget, H.W.; Chang, L.; et al. Diminished Expression of Corticotropin-Releasing Hormone Receptor 2 in Human Colon Cancer Promotes Tumor Growth and Epithelial-to-Mesenchymal Transition via Persistent Interleukin-6/Stat3 Signaling. Cell. Mol. Gastroenterol. Hepatol. 2015, 1, 610–630. [Google Scholar] [CrossRef]
- Hernández-Molina, G.; Rodríguez-Pérez, J.M.; Fernández-Torres, J.; Lima, G.; Pérez-Hernández, N.; López-Reyes, A.; Martínez-Nava, G. HIF1A (rs11549465) and AKNA (rs10817595) gene polymorphisms are associated with primary Sjögren’s syndrome. BioMed Res. Int. 2017, 2017, 5845849. [Google Scholar] [CrossRef] [PubMed]
- Zhao, T.; Ma, C.; Xie, B.; Zhao, B.; Wang, W.; Liu, J. Evaluation of Common Variants in the AKNA Gene and Susceptibility to Knee Osteoarthritis among the Han Chinese. Genet. Test. Mol. Biomark. 2020, 24, 425–430. [Google Scholar] [CrossRef] [PubMed]
- Martinez-Nava, G.A.; Fernández-Torres, J.; Martínez-Flores, K.; Zamudio-Cuevas, Y.; Clavijo-Cornejo, D.; Espinosa-Morales, R.; Lozada, C.A.; Gutierrez, M.; Granados, J.; Pineda, C.; et al. The association of AKNA gene polymorphisms with knee osteoarthritis suggests the relevance of this immune response regulator in the disease genetic susceptibility. Mol. Biol. Rep. 2018, 45, 151–161. [Google Scholar] [CrossRef]
- Sims-Mourtada, J.C.; Bruce, S.; McKeller, M.R.; Rangel, R.; Guzman-Rojas, L.; Cain, K.; Lopez, C.; Zimonjic, D.B.; Popescu, N.C.; Gordon, J.; et al. The human AKNA gene expresses multiple transcripts and protein isoforms as a result of alternative promoter usage, splicing, and polyadenylation. DNA Cell Biol. 2005, 24, 325–338. [Google Scholar] [CrossRef] [PubMed]
- Torres-Poveda, K.; Burguete-García, A.I.; Bahena-Roman, M.; Lagunas-Martinez, A.; Madrid-Marina, V. AKNA as Genetic Risk Factor for Cervical Intraepithelial Neoplasia and Cervical Cancer; Intraepithelial Neoplasia; IntechOpen: London, UK, 2012. [Google Scholar]
- Davidson, B.; Tropé, C.G.; Reich, R. Epithelial-mesenchymal transition in ovarian carcinoma. Front. Oncol. 2012, 2, 33. [Google Scholar] [CrossRef] [PubMed]
- Andrieux, G.; Chakraborty, S.; Das, T.; Boerries, M. Alteration of Proteotranscriptomic Landscape Reveals the Transcriptional Regulatory Circuits Controlling Key-Signaling Pathways and Metabolic Reprogramming During Tumor Evolution. Front. Cell Dev. Biol. 2020, 8, 586479. [Google Scholar] [CrossRef] [PubMed]
- Liu, Y.; Beyer, A.; Aebersold, R. On the Dependency of Cellular Protein Levels on mRNA Abundance. Cell 2016, 165, 535–550. [Google Scholar] [CrossRef] [PubMed]
- Schwanhüusser, B.; Busse, D.; Li, N.; Dittmar, G.; Schuchhardt, J.; Wolf, J.; Chen, W.; Selbach, M. Global quantification of mammalian gene expression control. Nature 2011, 473, 337–342. [Google Scholar] [CrossRef] [PubMed]
- Ramírez-González, A.; Manzo-Merino, J.; Contreras-Ochoa, C.O.; Bahena-Román, M.; Aguilar-Villaseñor, J.M.; Lagunas-Martínez, A.; Rosenstein, Y.; Madrid Marina, V.; Torres-Poveda, K. Functional Role of AKNA: A Scoping Review. Biomolecules 2021, 11, 1709. [Google Scholar] [CrossRef] [PubMed] [PubMed Central]









| AKNA (−1372 C>A) | |||
|---|---|---|---|
| Genotype | Frequency | p-Value | |
| Cancer (n = 63) | Control (n = 65) | ||
| CC | 0.095 | 0.123 | 0.08 |
| CA | 0.603 | 0.738 | |
| AA | 0.301 | 0.138 | |
| Allele | Cancer (n = 126) | Control (n = 130) | 0.12 |
| C | 0.397 | 0.492 | |
| A | 0.603 | 0.508 | |
| Genotype | Frequency of Genotype | p-Value | OR (CI 95%) | |||
|---|---|---|---|---|---|---|
| Control | Cancer | |||||
| ICC | IICA+AA | IAA | IICA+AA | |||
| CC vs. (CA and AA) | 0.123 | 0.876 | 0.095 | 0.904 | 0.61 | 0.75 (0.24–2.30) |
| AA vs. (CA and CC | 0.138 | 0.861 | 0.301 | 0.698 | 0.02 | 2.68 (1.11–6.51) |
Disclaimer/Publisher’s Note: The statements, opinions and data contained in all publications are solely those of the individual author(s) and contributor(s) and not of MDPI and/or the editor(s). MDPI and/or the editor(s) disclaim responsibility for any injury to people or property resulting from any ideas, methods, instructions or products referred to in the content. |
© 2025 by the authors. Licensee MDPI, Basel, Switzerland. This article is an open access article distributed under the terms and conditions of the Creative Commons Attribution (CC BY) license (https://creativecommons.org/licenses/by/4.0/).
Share and Cite
Suryandari, D.A.; Miftahuzzakiyah, M.; Yunaini, L.; Kodariah, R.; Sukmawati, D.; Rustamadji, P.; Sari, P.; Ningsih, S.S. Identification of AKNA Gene and Its Role for Genetic Susceptibility in Epithelial Ovarian Cancer. Curr. Issues Mol. Biol. 2025, 47, 78. https://doi.org/10.3390/cimb47020078
Suryandari DA, Miftahuzzakiyah M, Yunaini L, Kodariah R, Sukmawati D, Rustamadji P, Sari P, Ningsih SS. Identification of AKNA Gene and Its Role for Genetic Susceptibility in Epithelial Ovarian Cancer. Current Issues in Molecular Biology. 2025; 47(2):78. https://doi.org/10.3390/cimb47020078
Chicago/Turabian StyleSuryandari, Dwi Anita, Miftahuzzakiyah Miftahuzzakiyah, Luluk Yunaini, Ria Kodariah, Dewi Sukmawati, Primariadewi Rustamadji, Puji Sari, and Sri Suciati Ningsih. 2025. "Identification of AKNA Gene and Its Role for Genetic Susceptibility in Epithelial Ovarian Cancer" Current Issues in Molecular Biology 47, no. 2: 78. https://doi.org/10.3390/cimb47020078
APA StyleSuryandari, D. A., Miftahuzzakiyah, M., Yunaini, L., Kodariah, R., Sukmawati, D., Rustamadji, P., Sari, P., & Ningsih, S. S. (2025). Identification of AKNA Gene and Its Role for Genetic Susceptibility in Epithelial Ovarian Cancer. Current Issues in Molecular Biology, 47(2), 78. https://doi.org/10.3390/cimb47020078

