Comparative Analysis of Decellularization Methods for the Production of Decellularized Umbilical Cord Matrix
Abstract
1. Introduction
2. Materials and Methods
2.1. Collection of Umbilical Cord Tissue
2.2. Preparation of Umbilical Cord dECM
2.3. Analysis of Umbilical Cord dECM
2.3.1. Quantitative Analysis of dsDNA
2.3.2. Histological Analysis
2.3.3. Scanning Electron Microscopy (SEM) Analysis
2.3.4. Fourier-Transform Infrared Spectroscopy
2.3.5. Quantitative Analysis
2.3.6. In Vitro Cytotoxicity Analysis
2.4. Statistical Analysis
3. Results
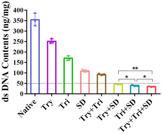
3.1. Preliminary Screening of Decellularization Protocols for Umbilical Cord dECM
3.2. Histological Analysis: Further Analysis of Cell Residues and Tissue Component Retention
3.2.1. Immunohistochemical Staining
3.2.2. Immunofluorescence Staining
3.2.3. SEM Analysis
3.2.4. Fourier-Transform Infrared Spectroscopy
3.2.5. Quantitative Analysis of Collagen, Elastin, and GAGs
3.2.6. In Vitro Cytotoxicity Analysis
4. Discussion
5. Conclusions
Author Contributions
Funding
Institutional Review Board Statement
Informed Consent Statement
Data Availability Statement
Acknowledgments
Conflicts of Interest
References
- Theocharis, A.D.; Skandalis, S.S.; Gialeli, C.; Karamanos, N.K. Extracellular matrix structure. Adv. Drug Deliv. Rev. 2016, 97, 4–27. [Google Scholar] [CrossRef] [PubMed]
- Chen, F.M.; Liu, X. Advancing biomaterials of human origin for tissue engineering. Prog. Polym. Sci. 2016, 53, 86–168. [Google Scholar]
- Coburn, P.T.; Li, X.; Li, J.; Kishimoto, Y.; Li-Jessen, N.Y.K. Progress in vocal fold regenerative biomaterials: An immunological perspective. Adv. NanoBiomed. Res. 2022, 2, 2100119. [Google Scholar] [CrossRef] [PubMed]
- Jacob, S.W.; Gowing, D.; Dunphy, J.E. Transplantation of tissues. Am. J. Surg. 1961, 98, 55–90. [Google Scholar] [CrossRef] [PubMed]
- Gaffney, L.; Wrona, E.A.; Freytes, D.O. Potential synergistic effects of stem cells and extracellular matrix scaffolds. ACS Biomater. Sci. Eng. 2017, 4, 1208–1222. [Google Scholar] [CrossRef]
- Badylak, S.F.; Taylor, D.; Uygun, K. Whole-organ tissue engineering: Decellularization and recellularization of three-dimensional matrix scaffolds. Annu. Rev. Biomed. Eng. 2011, 13, 27–53. [Google Scholar] [CrossRef] [PubMed]
- Keane, T.J.; Swinehart, I.T.; Badylak, S.F. Methods of tissue decellularization used for preparation of biologic scaffolds and in vivo relevance. Methods 2015, 84, 25–34. [Google Scholar] [CrossRef] [PubMed]
- Saheli, M.; Sepantafar, M.; Pournasr, B.; Farzaneh, Z.; Vosough, M.; Piryaei, A.; Baharvand, H. Three-dimensional liver-derived extracellular matrix hydrogel promotes liver organoids function. J. Cell. Biochem. 2018, 119, 4320–4333. [Google Scholar] [CrossRef]
- Liu, H.; Gong, Y.; Zhang, K.; Ke, S.; Wang, Y.; Wang, J.; Wang, H. Recent Advances in Decellularized Matrix-Derived Materials for Bioink and 3D Bioprinting. Gels 2023, 9, 195. [Google Scholar] [CrossRef]
- Choudhury, D.; Tun, H.W.; Wang, T.; Naing, M.W. Organ-Derived Decellularized Extracellular Matrix: A Game Changer for Bioink Manufacturing? Trends Biotechnol. 2018, 36, 787–805. [Google Scholar] [CrossRef]
- Lin, Z.; Rao, Z.; Chen, J.; Chu, H.; Zhou, J.; Yang, L.; Quan, D.; Bai, Y. Bioactive decellularized extracellular matrix hydrogel microspheres fabricated using a temperature-controlling microfluidic system. ACS Biomater. Sci. Eng. 2022, 8, 1644–1655. [Google Scholar] [CrossRef]
- Yu, Y.; Xiao, H.; Tang, G.; Wang, H.; Shen, J.; Sun, Y.; Wang, S.; Kong, W.; Chai, Y.; Liu, X.; et al. Biomimetic hydrogel derived from decellularized dermal matrix facilitates skin wounds healing. Mater. Today Bio 2023, 21, 100725. [Google Scholar] [CrossRef] [PubMed]
- Mungenast, L.; Nieminen, R.; Gaiser, C.; Faia-Torres, A.B.; Rühe, J.; Suter-Dick, L. Electrospun decellularized extracellular matrix scaffolds promote the regeneration of injured neurons. Biomater. Biosyst. 2023, 11, 100081. [Google Scholar] [CrossRef]
- Cui, H.; Chai, Y.; Yu, Y. Progress in developing decellularized bioscaffolds for enhancing skin construction. J. Biomed. Mater. Res. A 2019, 107, 1849–1859. [Google Scholar] [CrossRef] [PubMed]
- Dai, Q.; Jiang, W.; Huang, F.; Song, F.; Zhang, J.; Zhao, H. Recent advances in liver engineering with decellularized scaffold. Front. Bioeng. Biotechnol. 2022, 10, 831477. [Google Scholar] [CrossRef] [PubMed]
- Badria, A.F.; Koutsoukos, P.G.; Mavrilas, D. Decellularized tissue-engineered heart valves calcification: What do animal and clinical studies tell us? J. Mater. Sci. Mater. Med. 2020, 31, 132. [Google Scholar] [CrossRef] [PubMed]
- García-García, Ó.D.; El Soury, M.; González-Quevedo, D.; Sánchez-Porras, D.; Chato-Astrain, J.; Campos, F.; Carriel, V. Histological, Biomechanical, and Biological Properties of Genipin-Crosslinked Decellularized Peripheral Nerves. Int. J. Mol. Sci. 2021, 22, 674. [Google Scholar] [CrossRef] [PubMed]
- Zhou, L.; Wang, Z.; Wang, Z.; Zhu, J.; Feng, Y.; Zhang, D.; Shen, C.; Ye, X.; Zhu, J.; Wei, P.; et al. Effect of heparinization on promoting angiogenesis of decellularized kidney scaffolds. Biomed. Mater. Res. A 2021, 109, 1979–1989. [Google Scholar] [CrossRef] [PubMed]
- Gögele, C.; Schwarz, S.; Ondruschka, B.; Hammer, N.; Schulze-Tanzil, G. Decellularized Iliotibial Band Recolonized with Allogenic Homotopic Fibroblasts or Bone Marrow-Derived Mesenchymal Stromal Cells. Methods Mol. Biol. 2018, 1577, 55–69. [Google Scholar]
- Tan, J.; Qiu, G.; Wang, M.; Yu, Z.; Ling, X.; Aremu, J.O.; Wang, C.; Liu, H.; Zhang, A.; Yang, M.; et al. Perfusion preparation of the rat bladder decellularized scaffold. Regen. Ther. 2023, 24, 499–506. [Google Scholar] [CrossRef]
- Shafiq, M.A.; Gemeinhart, R.A.; Yue, B.Y.J.T.; Djalilian, A.R. Decellularized human cornea for reconstructing the corneal epithelium and anterior stroma. Tissue Eng. Part C Methods 2012, 18, 340–348. [Google Scholar] [CrossRef] [PubMed]
- Kong, Y.; Xu, J.; Han, Q.; Zheng, T.; Wu, L.; Li, G.; Yang, Y. Electrospinning porcine decellularized nerve matrix scaffold for peripheral nerve regeneration. Int. J. Biol. Macromol. 2022, 209, 1867–1881. [Google Scholar] [CrossRef] [PubMed]
- Wan, J.; Zhong, X.; Xu, Z.; Gong, D.; Li, D.; Xin, Z.; Ma, X.; Li, W. A decellularized porcine pulmonary valved conduit embedded with gelatin. Artif. Organs 2021, 45, 1068–1082. [Google Scholar] [CrossRef] [PubMed]
- Liška, V.; Moulisová, V.; Pálek, R.; Rosendorf, J.; Červenková, L.; Bolek, L.; Třeška, V. Repopulation of decellularized pig scaffolds: A promising approach for liver tissue engineering. Rozhl Chir. 2019, 98, 388–393. [Google Scholar] [PubMed]
- Muthuraman Muthuchamy, K.; Subramanian, K.; Padhiar, C.; Dhanraj, A.K.; Desireddy, S. Feasibility study on intact human umbilical cord Wharton’s jelly as a scaffold for human autologous chondrocyte: In-vitro study. Int. J. Artif. Organs 2022, 45, 936–944. [Google Scholar] [CrossRef] [PubMed]
- Sushma Jadalannagari, S.; Gabriel Converse, G.; Christopher McFall, C.; Eric Buse, E.; Michael Filla, M.; Maria, T.; Villar, M.T.; Antonio Artigues, A.; Adam, J.; Mellot, A.J.; et al. Decellularized Wharton’s Jelly from human umbilical cord as a novel 3D scaffolding material for tissue engineering applications. PLoS ONE 2017, 12, e0172098. [Google Scholar] [CrossRef]
- Yuan, Z.; Cao, F.; Gao, C.; Yang, Z.; Guo, Q.; Wang, Y. Decellularized human umbilical cord Wharton jelly scaffold improves tendon regeneration in a rabbit rotator cuff tendon defect model. Am. J. Sports Med. 2022, 50, 371–383. [Google Scholar] [CrossRef]
- Azarbarz, N.; Khorsandi, L.; Nejaddehbashi, F.; Neisi, N.; Nejad, D.B. Decellularized Wharton’s jelly scaffold enhances differentiation of mesenchymal stem cells to insulin-secreting cells. Tissue Cell 2022, 79, 101938. [Google Scholar] [CrossRef] [PubMed]
- Gui, L.; Muto, A.; Chan, S.A.; Breuer, C.K.; Niklason, L.E. Development of decellularized human umbilical arteries as small-diameter vascular grafts. Tissue Eng. Part A 2009, 15, 2665–2676. [Google Scholar] [CrossRef]
- Gontika, I.; Katsimpoulas, M.; Antoniou, E.; Kostakis, A.; Stavropoulos-Giokas, C.; Michalopoulos, E. Decellularized human umbilical artery used as nerve conduit. Bioengineering 2018, 5, 100. [Google Scholar] [CrossRef]
- Crapo, P.M.; Gilbert, T.W.; Badylak, S.F. An overview of tissue and whole organ decellularization processes. Biomaterials 2011, 32, 3233–3243. [Google Scholar] [CrossRef] [PubMed]
- Plepis, A.M.D.G.; Goissis, G.; Das-Gupta, D.K. Dielectric and pyroelectric characterization of anionic and native collagen. Polym. Eng. Sci. Dec. 1996, 36, 2932–2938. [Google Scholar] [CrossRef]
- Zhou, Y.; Chen, C.; Guo, Z.; Xie, S.; Hu, J.; Lu, H. SR-FTIR as a tool for quantitative mapping of the content and distribution of extracellular matrix in decellularized book-shape bioscaffolds. BMC Musculoskel. Disord. 2018, 19, 220. [Google Scholar] [CrossRef] [PubMed]
- Prasertsung, I.; Kanokpanont, S.; Bunaprasert, T.; Thanakit, V.; Damrongsakkul, S. Development of acellular dermis from porcine skin using periodic pressurized technique. J. Biomed. Mater. Res. B Appl. Biomater. 2008, 85, 210–219. [Google Scholar] [CrossRef] [PubMed]
- Hopkinson, A.; Shanmuganathan, V.A.; Gray, T.; Yeung, A.M.; Lowe, J.; James, D.K.; Dua, H.S. Optimization of amniotic membrane (AM) denuding for tissue engineering. Tissue Eng. Part C Methods 2008, 14, 371–381. [Google Scholar] [CrossRef] [PubMed]
- Yang, B.; Zhang, Y.; Zhou, L.; Sun, Z.; Zheng, J.; Chen, Y.; Dai, Y. Development of a porcine bladder acellular matrix with well-preserved extracellular bioactive factors for tissue engineering. Tissue Eng. Part C Methods 2010, 16, 1201–1211. [Google Scholar] [CrossRef] [PubMed]
- Alhamdani, M.S.S.; Schröder, C.; Werner, J.; Giese, N.; Bauer, A.; Hoheisel, J.D. Single-step procedure for the isolation of proteins at near-native conditions from mammalian tissue for proteomic analysis on antibody microarrays. J. Proteome Res. 2010, 9, 963–971. [Google Scholar] [CrossRef] [PubMed]
- Yang, J.; Dang, H.; Xu, Y. Recent advancement of decellularization extracellular matrix for tissue engineering and biomedical application. Artif. Organs 2022, 46, 549–567. [Google Scholar] [CrossRef] [PubMed]
- Ramzan, F.; Ekram, S.; Frazier, T.; Salim, A.; Mohiuddin, O.A.; Khan, I. Decellularized human umbilical tissue-derived hydrogels promote proliferation and chondrogenic differentiation of mesenchymal stem cells. Bioengineering 2022, 9, 239. [Google Scholar] [CrossRef]
- Zhu, L.; Yuhan, J.; Yu, H.; Zhang, B.; Huang, K.; Zhu, L. Decellularized Extracellular Matrix for Remodeling Bioengineering Organoid’s Microenvironment. Small 2023, 19, e2207752. [Google Scholar] [CrossRef]
- McCrary, M.W.; Bousalis, D.; Mobini, S.; Song, Y.H.; Schmidt, C.E. Decellularized tissues as platforms for in vitro modeling of healthy and diseased tissues. Acta Biomater. 2020, 111, 1–19. [Google Scholar] [PubMed]
- Long, J.; Qin, Z.; Chen, G.; Song, B.; Zhang, Z. Decellularized extracellular matrix (d-ECM): The key role of the inflammatory process in pre-regeneration after implantation. Biomater. Sci. 2023, 11, 1215–1235. [Google Scholar] [CrossRef] [PubMed]
- Biskup, I.; Zaczynska, E.; Krauze-Baranowska, M.; Fecka, I. Evaluation of cytotoxicity of 5-n-alkylresorcinol homologs and fraction on mouse fibroblast cell line L929. Eur. Food Res. Technol. 2017, 243, 1137–1148. [Google Scholar] [CrossRef]
- di Vito, R.; Levorato, S.; Fatigoni, C.; Acito, M.; Sancineto, L.; Traina, G.; Villarini, M.; Santi, C.; Moretti, M. In vitro toxicological assessment of PhSeZnCl in human liver cells. Toxicol. Res. 2023, 39, 105–114. [Google Scholar] [CrossRef] [PubMed]
- Guo, X.; Xu, H.; Seo, J.-E. Application of HepaRG cells for genotoxicity assessment: A review. J. Environ. Sci. Health C Toxicol. Carcinog. 2024, 2, 1–24. [Google Scholar] [CrossRef] [PubMed]
- Zoe, L.H.; David, S.R.; Rajabalaya, R. Chitosan nanoparticle toxicity: A comprehensive literature review of in vivo and in vitro assessments for medical applications. Toxicol. Rep. 2023, 11, 83–106. [Google Scholar] [CrossRef]
- Wang, C.; He, M.; Chen, B.; Hu, B. Study on cytotoxicity, cellular uptake and elimination of rare-earth-doped upconversion nanoparticles in human hepatocellular carcinoma cells. Ecotoxicol. Environ. Saf. 2020, 203, 110951. [Google Scholar] [CrossRef]







| Group | Processing Steps | ||
|---|---|---|---|
| Step 1 | Step 2 | Step 3 | |
| Native | / | / | / |
| Try | 0.025% w/v trypsin-EDTA, 37 °C, 5 h, 120 rpm | / | / |
| Tri | 5% v/v Triton X-100, 5 h, 120 rpm | / | / |
| SD | 4% w/v SD, 5 h, 120 rpm | / | / |
| Try + Tri | 0.025% w/v trypsin-EDTA, 37 °C, 1.5 h, 120 rpm | 5% v/v Triton X-100, 3.5 h, 120 rpm | / |
| Try + SD | 5% v/v Triton X-100, 2.5 h, 120 rpm | 4% w/v SD solution, 2.5 h, 120 rpm | / |
| Tri + SD | 5% v/v Triton X-100, 2.5 h, 120 rpm | 4% w/v SD solution, 2.5 h, 120 rpm | / |
| Try + Tri + SD | 0.025% w/v trypsin-EDTA, 37 °C, 1.5 h, 120 rpm | 5% v/v Triton X-100, 1.5 h, 120 rpm | 4% w/v SD, 2 h, 120 rpm |
Disclaimer/Publisher’s Note: The statements, opinions and data contained in all publications are solely those of the individual author(s) and contributor(s) and not of MDPI and/or the editor(s). MDPI and/or the editor(s) disclaim responsibility for any injury to people or property resulting from any ideas, methods, instructions or products referred to in the content. |
© 2024 by the authors. Licensee MDPI, Basel, Switzerland. This article is an open access article distributed under the terms and conditions of the Creative Commons Attribution (CC BY) license (https://creativecommons.org/licenses/by/4.0/).
Share and Cite
Li, Y.; Zhang, Y.; Zhang, G. Comparative Analysis of Decellularization Methods for the Production of Decellularized Umbilical Cord Matrix. Curr. Issues Mol. Biol. 2024, 46, 7686-7701. https://doi.org/10.3390/cimb46070455
Li Y, Zhang Y, Zhang G. Comparative Analysis of Decellularization Methods for the Production of Decellularized Umbilical Cord Matrix. Current Issues in Molecular Biology. 2024; 46(7):7686-7701. https://doi.org/10.3390/cimb46070455
Chicago/Turabian StyleLi, Yang, Yang Zhang, and Guifeng Zhang. 2024. "Comparative Analysis of Decellularization Methods for the Production of Decellularized Umbilical Cord Matrix" Current Issues in Molecular Biology 46, no. 7: 7686-7701. https://doi.org/10.3390/cimb46070455
APA StyleLi, Y., Zhang, Y., & Zhang, G. (2024). Comparative Analysis of Decellularization Methods for the Production of Decellularized Umbilical Cord Matrix. Current Issues in Molecular Biology, 46(7), 7686-7701. https://doi.org/10.3390/cimb46070455

