Cell Growth Inhibition, DNA Fragmentation and Apoptosis-Inducing Properties of Household-Processed Leaves and Seeds of Fenugreek (Trigonella Foenum-Graecum Linn.) against HepG2, HCT-116, and MCF-7 Cancerous Cell Lines
Abstract
1. Introduction
2. Materials and Methods
2.1. Materials
2.1.1. Chemicals
2.1.2. Cell Lines and Culturing Conditions
2.1.3. Plant Materials and Preparation
Air-Dried Fenugreek Leaves (ADFL)
Fenugreek Seeds
- (a)
- Untreated Fenugreek Seeds (UFS)
- (b)
- Soaked Fenugreek Seeds (SFS)
- (c)
- Germinated Fenugreek Seeds (GFS)
- (d)
- Boiled Fenugreek Seeds (BFS)
2.2. Methods
2.2.1. Extraction Procedure of Samples
2.2.2. In Vitro Anti-Proliferative Activity (MTT Assay)
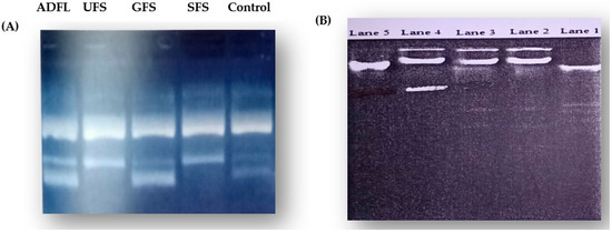
2.2.3. Analysis of DNA Fragmentation Using Agarose Gel Electrophoresis (AGE)
2.2.4. Evaluation of DNA Damage Using Comet Assay
2.2.5. Real Time-PCR (RT-PCR)
2.2.6. Apoptosis Enzyme-Linked Immunosorbent Assay (ELISA)
2.2.7. Western Blotting Analysis
2.2.8. Statistical Analysis
3. Results
3.1. Anti-Proliferative Activity of Household-Processed Fenugreek Leaves and Seeds
3.2. DNA Fragmentation Using Agarose Gel Electrophoresis (AGE)
3.3. DNA Damage Using Comet Assay
3.4. Gene Expression of Apoptotic Marker Genes Using RT-PCR
3.5. Quantitative Gene Expression of Tumor Markers Using ELISA Assay
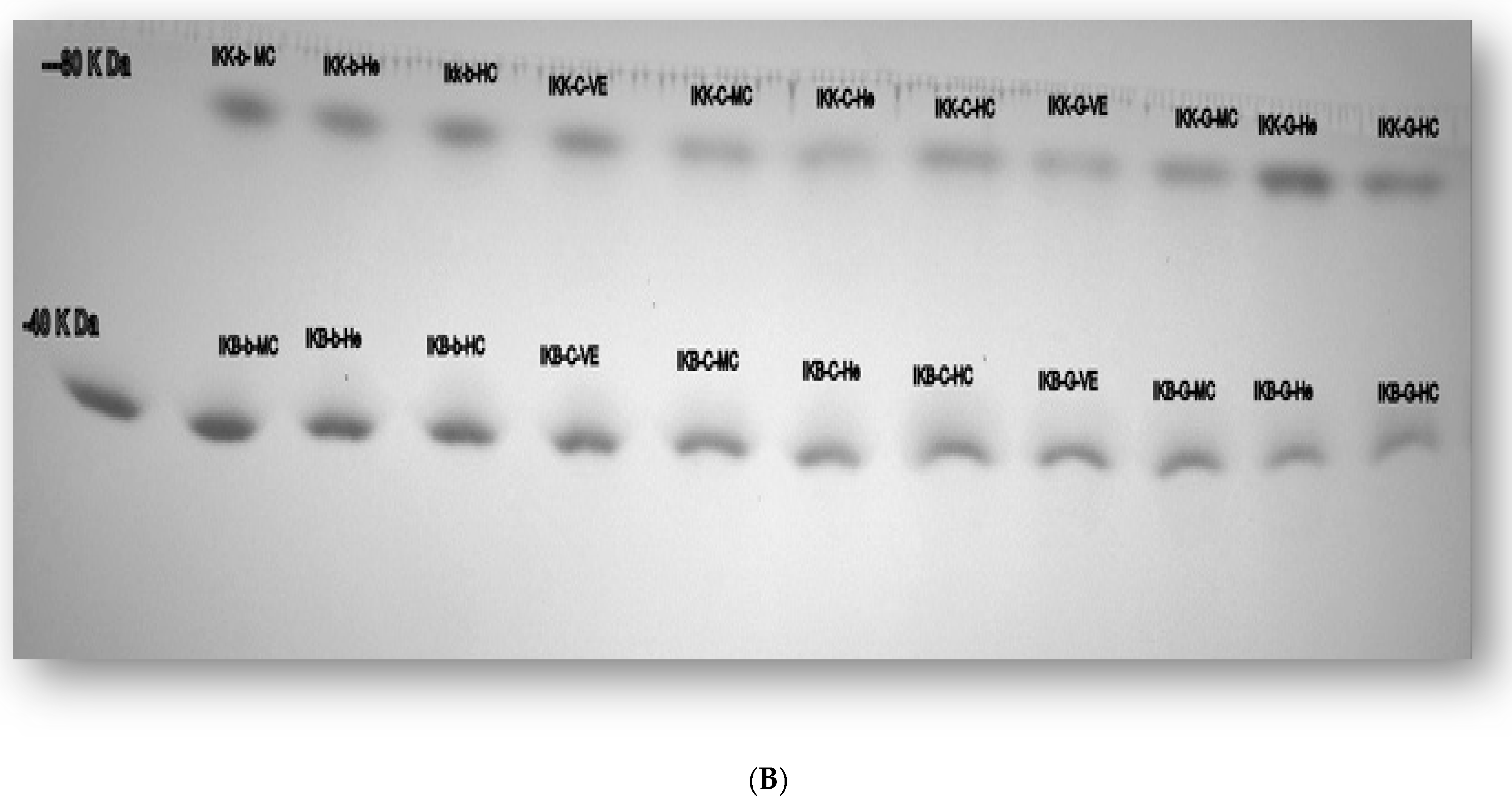
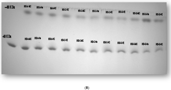
3.6. Protein Expression of IKK-α and IKK-β
4. Discussion
5. Conclusions
Author Contributions
Funding
Institutional Review Board Statement
Informed Consent Statement
Data Availability Statement
Conflicts of Interest
Abbreviations
| 8-OHDG | 8-Hydroxy-2′-deoxyguanosine | IAP1 | Inhibitor of Apoptosis Protein 1 |
| ADFL | Air-dried Fenugreek Leaves | IC50 | Half-maximal inhibitory concentration |
| AGE | Agarose gel electrophoresis | IKK | I kappa B kinase |
| Akt | Protein kinase B (PKB) | IL-1 | Interleukin-1 |
| ANOVA | Analysis of Variance | KATO-III | Human gastric carcinoma |
| ATCC | American Type Culture Collection | KDa | Kilodalton |
| Bax | Bcl-2 associated X protein | `LPS | Lipopolysaccharide |
| Bcl-2: | B-cell lymphoma-2 | LSD | Least significant difference |
| Bcl-xl | B-cell lymphoma-extra large | MCF-7 | Michigan Cancer Foundation-7 |
| Bfl-1/A1 | Bcl-2-related protein A1 | MMP-9 | matrix metalloproteinase |
| BFS | Boiled Fenugreek Seeds | MTT | 3-(4,5-dimethylthiazol-2-yl)-2,5-diphenyltetrazolium bromide |
| c-MYC | c-myelocytomatosis | NEMO | NF-κB Essential Modulator |
| Cas-3 | Caspase-3 | NF-κB | Nuclear Factor Kappa B |
| cFLIP | Cellular FLICE (FADD-like IL-1β-converting enzyme) Inhibitory Protein | p53 | Protein 53 |
| Cox-2 | Cyclooxygenase-2 | P65 (RELA) | REL-associated protein |
| Ct | Cycle threshold | PCD | Programmed Cell Death |
| DMSO | Dimethyl sulfoxide | RT-PCR | Real-Time Polymerase Chain Reaction |
| ELISA | Enzyme-linked Immunesorbent assay | RPMI 1640 | Roswell Park Memorial Institute Medium |
| FBS | Fetal Bovine serum | SAS 9.1 | Statistical Analysis Software |
| GAPDH | Glyceraldehyde-3-phosphate dehydrogenase | SBs | Strand breaks |
| GFS | Germinated Fenugreek Seeds | SCGE | Single-cell gel electrophoresis |
| HCC | Hepatocellular carcinoma | SD | Standard Deviation |
| HCT-116 | Human Colorectal carcinoma | Ser/Thr | Serine/Threonine |
| HepG2 | Hepatoma G2 | SFS | Soaked Fenugreek Seeds |
| HKgene: | Housekeeping gene | UFS | Untreated Fenugreek Seeds |
| HL-60 | Human leukemia cell line | VERO | Verda Reno (Green kidney) |
References
- Ajmal, S.; Shafqat, M.; Ajmal, L.; Younas, H.; Tasadduq, R.; Mahmood, N. Evaluation of anti-cancer and anti-proliferative activity of medicinal plant extracts (saffron, green tea, clove, fenugreek) on Toll like receptors pathway. Nat. Prod. Sci. 2022, 28, 121–129. [Google Scholar] [CrossRef]
- Shimizu, S.; Yoshida, T.; Tsujioka, M.; Arakawa, S. Autophagic cell death and cancer. Int. J. Mol. Sci. 2014, 15, 3145–3153. [Google Scholar] [CrossRef] [PubMed]
- McIlwain, D.R.; Berger, T.; Mak, T.W. Caspase Functions in Cell Death and Disease; Cold Spring Harbor Lab Press: New York, NY, USA, 2013; Volume 5, p. a008656. [Google Scholar] [CrossRef]
- Indran, I.R.; Tufo, G.; Pervaiz, S.; Brenner, S. Recent advances in apoptosis, mitochondria and drug resistance in cancer cells. Biochim. Biophys. Acta 2011, 1807, 735–745. [Google Scholar] [CrossRef] [PubMed]
- Mercurio, F.; Zhu, H.; Murray, B.W.; Shevchenko, A.; Bennett, B.L.; Li, J.W.; Young, D.B.; Barbosa, M.; Mann, M.; Manning, A.; et al. IKK-1 and IKK-2: Cytokine-activated IκB kinases essential for NF-κB activation. Science 1997, 278, 860–866. [Google Scholar] [CrossRef] [PubMed]
- Zandi, E.; Karin, M. Bridging the gap: Composition, regulation, and physiological function of the IκB kinase complex. Mol. Cell. Biol. 1999, 19, 4547–4551. [Google Scholar] [CrossRef]
- Zandi, E.; Chen, Y.; Karin, M. Direct phosphorylation of IκB by IKKα and IKKβ: Discrimination between free and NF-κB bound substrate. Science 1998, 281, 1360–1363. [Google Scholar] [CrossRef]
- Ling, L.; Cao, Z.; Goeddel, D.V. NF-κB-inducing kinase activates IKK-α by phosphorylation of Ser-176. Proc. Natl. Acad. Sci. USA 1998, 95, 3792–3807. [Google Scholar] [CrossRef]
- Alshatwi, A.A.; Shafi, G.; Hasan, T.N.; Naveed, A.S.; Kholoud, K.K. Fenugreek induced apoptosis in breast cancer MCF-7 cells mediated independently by Fas receptor change. Asian Pac. J. Cancer Prev. 2013, 14, 5783–5788. [Google Scholar] [CrossRef]
- Almatroodi, S.A.; Almatroudi, A.; Alsahli, M.A.; Rahmani, A.H. Fenugreek (Trigonella foenum-Graecum) and its active compounds: A Review of its effects on human healththrough modulating biological activities. Pharmacogn. J. 2021, 13, 813–821. [Google Scholar] [CrossRef]
- Pająk, P.; Socha, R.; Gałkowska, D.; Rożnowski, J.; Fortuna, T. Phenolic profile and antioxidant activity in selected seeds and sprouts. Food Chem. 2014, 143, 300–306. [Google Scholar] [CrossRef] [PubMed]
- Pandey, H.; Awasthi, P. Effect of processing techniques on nutritional composition and antioxidant activity of fenugreek (Trigonellafoenum-graecum) seed flour. J. Food Sci. Technol. 2015, 52, 1054–1060. [Google Scholar] [CrossRef] [PubMed]
- Mansour, E.H.; EL-Adway, T.A. Nutritional potential and functional properties of heat treated and germinated fenugreek seeds. Lebensm. Wiss. Technol. 1994, 27, 568–572. [Google Scholar] [CrossRef]
- Mosmann, T. Rapid colorimetric assay for cellular growth and survival: Application to proliferation and cytotoxicity assays. J. Immunol. Methods 1983, 65, 55–63. [Google Scholar] [CrossRef] [PubMed]
- Kasibhatla, S.; Amarante-Mendes, G.P.; Finucane, D.; Brunner, T.; Bossy-Wetzel, E.; Douglas, R. Analysis of DNA Fragmentation Using Agarose Gel Electrophoresis. In Cold Spring Harbor Protocol; Cold Spring Harbor Lab Press: New York, NY, USA, 2006; Volume 2006, p. pdb-prot4429. [Google Scholar] [CrossRef]
- Kent, C.R.H.; Eady, J.J.; Ross, G.M.; Steel, G.G. The comet moment as a measure of DNA damage in the comet assay. Int. J. Rad. Biol. 1995, 67, 655–660. [Google Scholar] [CrossRef]
- Khalil, M.I.M.; Ibrahim, M.M.; Gehan, A.E.; Sultan, A.S. Trigonella foenum (Fenugreek) induced apoptosis in hepatocellular carcinoma cell line, HepG2, mediated by up-regulation of p53 and proliferating cell nuclear antigen. J. BioMed Res. Int. 2015, 11, 1–12. [Google Scholar] [CrossRef]
- Robert, D.B.; Dan, W.H.; Robert, A.C.; Brian, J.C. GAPDH as a housekeeping gene: Analysis of GAPDH mRNA expression in a panel of 72 human tissues. Physiol. Genom. 2005, 21, 389–395. [Google Scholar] [CrossRef]
- Morgia, G.; Voce, S.; Palmieri, F.; Gentile, M.; Iapicca, G.; Giannantoni, A.; Blefari, F.; Carini, M.; Vespasiani, G.; Santelli, G.; et al. Association between selenium and lycopene supplementation and incidence of prostate cancer: Results from the post-hoc analysis of the procomb trial. Phytomedicine 2017, 34, 1–5. [Google Scholar] [CrossRef]
- Graille, M.; Wild, P.; Sauvain, J.J.; Hemmendinger, M.; Canu, I.G.; Hopf, N.B. Urinary 8-OHdG as a Biomarker for Oxidative Stress: A Systematic Literature Review and Meta-Analysis. Int. J. Mol. Sci. 2020, 21, 3743. [Google Scholar] [CrossRef]
- Bahmani, M.; Shirzad, H.; Mirhosseini, M.; Mesripour, A.; Rafieian-Kopaei, M. A review on ethnobotanical and therapeutic uses of Fenugreek (Trigonellafoenum-graceum L.). J. Evid. Based Complementary Altern. Med. 2016, 21, 53–62. [Google Scholar] [CrossRef]
- Sebastian, K.S.; Thampan, R.V. Differential effects of soybean and Fenugreek extracts on the growth of MCF-7 cells. Chem. Biol. Interact 2007, 17, 135–143. [Google Scholar] [CrossRef] [PubMed]
- Almalki, D.A.; Naguib, D.M. Anticancer activity of aqueous fenugreek seed extract against pancreatic cancer, histological evidence. J. Gastrointest Cancer 2022, 53, 683–686. [Google Scholar] [CrossRef] [PubMed]
- Raju, J.; Patlolla, J.M.; Swamy, M.V.; Rao, C.V. Diosgenin, a steroid saponin of Trigonella foenum-graecum (fenugreek), inhibits azoxymethane-induced aberrant crypt foci formation in F344 rats and induces apoptosis in HT-29 human colon cancer cells. Cancer Epidemiol. Biomarkers Prev. 2004, 13, 1392–1398. [Google Scholar] [CrossRef] [PubMed]
- Thirunavukkarasu, V.; Anuradha, C.V.; Viswanathan, P. Protective effect of fenugreek (Trigonella foenum-graecum) seeds in experimental ethanol toxicity. Phytother. Res. 2003, 17, 737–743. [Google Scholar] [CrossRef] [PubMed]
- Cho, S.H.; Kim, D.K.; Kim, C.S.; Lee, S.Y.; Chun, H.S.; Kim, J.K.; Jung, K.Y.; Lee, S.; Choi, B.K. Induction of apoptosis by Angelica decursiva extract is associated with the activation of caspases in glioma Cells. J. Korean Soc. Appl. Biol. Chem. 2009, 52, 241–246. [Google Scholar] [CrossRef]
- Lee, M.H.; Kim, M.M.; Kook, J.K.; Kim, D.K.; Kim, H.R.; Kim, H.J.; Kim, C.S. Ethanol extracts of Angelicadecursiva induces apoptosis in human oral cancer cells. Int. J. Oral Biol. 2010, 35, 215–220. [Google Scholar]
- Yu, Q. Restoring p53-mediated apoptosis in cancer cells: New opportunities for cancer therapy. Drug Resist. Updates 2006, 9, 19–25. [Google Scholar] [CrossRef]
- Vousden, K.H.; Lu, X. Live or let die: The cell’s response to p53. Nat. Rev. Cancer 2002, 2, 594–604. [Google Scholar] [CrossRef]
- Ng, I.O.L.; Lai, E.C.S.; Chan, A.S.Y.; So, M.K.P. Overexpression of p53 in hepatocellular carcinomas: A clinic-pathological and prognostic correlation. J. Gastroenterol. Hepatol. 1995, 10, 250–255. [Google Scholar] [CrossRef]
- Breuhahn, K.; Longerich, T.; Schirmacher, P. Dysregulation of growth factor signaling in human hepatocellular carcinoma. Oncogene 2006, 25, 3787–3800. [Google Scholar] [CrossRef]
- Farinati, F.; Marino, D.; De Giorgio, M.; Baldan, A.; Cantarini, M.; Cursaro, C.; Rapaccini, G.; Del Poggio, P.; Di Nolfo, M.A.; Benvegnù, L.; et al. Diagnostic and prognostic role of 𝛼-fetoprotein in hepatocellular carcinoma: Both or neither? Am. J. Gastroenterol. 2006, 101, 524–532. [Google Scholar] [CrossRef]
- Guzman, G.; Alagiozian-Angelova, V.; Layden-Almer, J.E.; Layden, T.J.; Testa, G.; Benedetti, E.; Kajdacsy-Balla, A.; Cotler, S.J. p53, Ki-67, and serum alpha feto-protein as predictors of hepatocellular carcinoma recurrence in liver transplant patients. Mod. Pathol. 2005, 18, 1498–1503. [Google Scholar] [CrossRef] [PubMed]
- Brown, T.A.; Lee, J.W.; Holian, A.; Porter, V.; Fredriksen, H.; Kim, M.; Cho, Y.H. Alterations in DNA Methylation Corresponding with Lung Inflammation and as a Biomarker for Disease Development after MWCNT Exposure. Nanotoxicol 2016, 10, 453–461. [Google Scholar] [CrossRef] [PubMed]
- Pilger, A.; R€udiger, H. 8-Hydroxy- 2′Deoxyguanosine as a Marker of Oxidative DNA Damage Related to Occupational and Environmental Exposures. Int. Arch Occup. Environ. Health 2006, 80, 1–15. [Google Scholar] [CrossRef] [PubMed]
- Yang, D.; Yang, X.; Deng, F.; Guo, X. Ambient Air Pollution and Biomarkers of Health Effect. In Ambient Air Pollution and Health Impact in China; Springer: New York, NY, USA, 2017. [Google Scholar] [CrossRef]
- Lai, C.H.; Liou, S.H.; Lin, H.C.; Shih, T.S.; Tsai, P.J.; Chen, J.S.; Yang, T.; Jaakkola, J.J.K.; Strickland, P.T. Exposure to Traffic Exhausts and Oxidative DNA Damage. Occup. Environ. Med. 2005, 62, 216–222. [Google Scholar] [CrossRef]
- Nilsson, R.; Nordlinder, R.; Moen, B.E.; Øvrebø, S.; Bleie, K.; Skorve, A.H.; Hollund, B.E.; Tagesson, C. Increased Urinary Excretion of 8-Hydroxydeoxyguanosine in Engine Room Personnel Exposed to Polycyclic Aromatic Hydrocarbons. Occup. Environ. Med. 2004, 61, 692–696. [Google Scholar] [CrossRef]
- Setyaningsih, Y.; Husodo, A.H.; Astuti, I. Detection of Urinary 8-Hydroxydeoxyguanosine (8-OHdG) Levels as a Biomarker of Oxidative DNA Damage among Home Industry Workers Exposed to Chromium. Proc. Environ. Sci. 2015, 23, 290–296. [Google Scholar] [CrossRef]
- Shishodia, S.; Aggarwal, B.B. Diosgenin inhibits osteoclastogenesis, invasion, and proliferation through the downregulation of Akt, I kappa B kinase activation and NF-kappa B-regulated gene expression. Oncogene 2006, 25, 1463–1473. [Google Scholar] [CrossRef]






| Cytotoxicity % (Mean ± SD) | ||||||
|---|---|---|---|---|---|---|
| Concentration (µg mL−1) | IC50 (µg mL−1) | |||||
| 100 | 200 | 300 | 400 | 500 | ||
| ADFL | 23 ± 1.7 a | 46 ± 2.9 a | 70 ± 4.6 a | 80 ± 5.2 a | 90 ± 5.6 a | 220 |
| UFS | 16 ± 1.0 b | 32 ± 2.0 b | 48 ± 3.1 b | 61 ± 3.8 b | 80 ± 5.1 b | 320 |
| GFS | 12 ± 1.0 c | 24 ± 1.0 c | 36 ± 2.0 c | 43 ± 2.6 c | 60 ± 4.0 c | 420 |
| 200 | 400 | 600 | 800 | 1000 | IC50 (µg mL−1) | |
| SFS | 20 ± 1.6 a | 40 ± 2.7 a | 60 ± 4.1 a | 82 ± 5.1 a | 91 ± 5.7 a | 500 |
| BFS | 11 ± 0.6 b | 22 ± 1.3 b | 33 ± 2.0 b | 44 ± 3.0 b | 56 ± 3.7 b | 900 |
| Cytotoxicity % (Mean ± SD *) | ||||||
|---|---|---|---|---|---|---|
| Concentration (µg mL−1) | IC50 (µg mL−1) | |||||
| 100 | 200 | 300 | 400 | 500 | ||
| ADFL | 20 ± 1.2 b | 40 ± 2.6 a | 61 ± 4.1 a | 82 ± 5.1 a | 95 ± 5.6 a | 240 |
| UFS | 25 ± 1.4 a | 41 ± 2.8 a | 55 ± 3.3 b | 68 ± 4.1 b | 86 ± 5.3 b | 275 |
| GFS | 12 ± 0.8 c | 25 ± 1.7 c | 35 ± 2.1 c | 44 ± 3.0 a | 61 ± 4.0 c | 410 |
| 200 | 400 | 600 | 800 | 1000 | IC50 (µg mL−1) | |
| SFS | 20 ± 1.4 a | 40 ± 2.8 a | 60 ± 4.0 a | 79 ± 4.1 a | 98 ± 5.1 a | 500 |
| BFS | 12 ± 0.7 b | 24 ± 1.5 b | 35 ± 2.1 b | 47 ± 2.9 b | 59 ± 3.1 b | 850 |
| Cytotoxicity % (Mean ± SD *) | ||||||
|---|---|---|---|---|---|---|
| Concentration (µg mL−1) | IC50 (µg mL−1) | |||||
| 200 | 400 | 600 | 800 | 1000 | ||
| ADFL | 18 ± 1.01 a | 44 ± 3.00 a | 60 ± 4.00 a | 74 ± 4.90 b | 92 ± 5.80 b | 480 |
| UFS | 18 ± 1.00 a | 40 ± 2.80 b | 60 ± 3.90 a | 78 ± 4.92 a | 95 ± 5.70 a | 500 |
| GFS | 16 ± 2.01 a | 31 ± 1.99 c | 49 ± 2.17 b | 60 ± 3.33 c | 95 ± 5.41 a | 620 |
| 400 | 800 | 1200 | 1600 | 2000 | IC50 (µg mL−1) | |
| SFS | 21 ± 1.50 a | 40 ± 3.00 a | 61 ± 4.10 a | 80 ± 5.10 a | 90 ± 5.80 b | 980 |
| BFS | 19 ± 1.70 b | 38 ± 2.20 b | 57 ± 3.06 b | 76 ± 5.00 b | 95 ± 5.10 a | 1060 |
| Cytotoxicity % (Mean ± SD *) | ||||||
|---|---|---|---|---|---|---|
| Concentration (µg mL−1) | IC50 (µg mL−1) | |||||
| 400 | 800 | 1200 | 1600 | 2000 | ||
| ADFL | 0 | 17 ± 1.11 a | 32 ± 2.13 a | 47 ± 2.97 a | 59 ± 3.11 a | 1660 c |
| UFS | 0 | 12 ± 1.20 b | 28 ± 1.56 b | 43 ± 2.51 b | 55 ± 3.00 ab | 1840 b |
| GFS | 0 | 0 | 12 ± 1.00 c | 33 ± 1.73 c | 51 ± 4.00 b | 1940 a |
| SFS | 0 | 0 | 0 | 0 | 0 | 0 |
| BFS | 0 | 0 | 0 | 0 | 0 | 0 |
| Mean ± SD * | |||||||
|---|---|---|---|---|---|---|---|
| Cell Lines | Studied Samples | Comet % | Head Diameter (Px) | DNA % in Head | Tail Length (Px) | DNA % in Tail | Tail Moment |
| HepG2 | Control | 9.12 ± 0.86 c | 17.61 ± 1.21 a | 84.00 ± 6.66 a | 3.82 ± 0.21 b | 18.01 ± 1.67 c | 1.02 ± 0.10 b |
| ADFL | 13.01 ± 1.01 a | 17.55 ± 1.11 a | 80.01 ± 7.11 b | 4.00 ± 0.24 a | 22.17 ± 1.96 a | 1.16 ± 0.11 a | |
| UFS | 12.91 ± 1.00 a | 17.51 ± 1.30 a | 80.51 ± 6.71 b | 3.94 ± 0.19 a | 21.00 ± 1.69 b | 1.14 ± 0.11 a | |
| GFS | 11.41 ± 0.98 b | 17.58 ± 1.23 a | 81.11 ± 5.98 b | 3.91 ± 0.30 a | 19.41 ± 1.43 bc | 1.10 ± 0.09 b | |
| SFS | 10.00 ± 0.86 c | 17.60 ± 1.31 a | 83.69 ± 7.49 ab | 3.85 ± 0.29 b | 18.12 ± 1.51 c | 1.07 ± 0.10 bc | |
| BFS | 9.31 ± 0.67 c | 17.62 ± 1.61 a | 84.01 ± 6.93 a | 3.81 ± 0.37 b | 18.00 ± 1.51 c | 1.01 ± 0.08 bc | |
| MCF-7 | Control | 8.81 ± 0.73 c | 17.15 ± 1.16 a | 81.51 ± 6.31 b | 3.80 ± 0.26 b | 18.20 ± 1.67 c | 0.93 ± 0.08 c |
| ADFL | 12.27 ± 1.11 ab | 17.03 ± 1.20 a | 76.01 ± 5.14 c | 4.01 ± 0.30 a | 23.21 ± 2.01 a | 1.10 ± 0.09 b | |
| UFS | 11.10 ± 0.89 b | 17.06 ± 1.01 a | 78.00 ± 6.14 b | 3.98 ± 0.29 a | 22.11 ± 2.00 a | 1.07 ± 0.11 bc | |
| GFS | 9.89 ± 0.77 c | 17.10 ± 1.13 a | 79.00 ± 5.99 b | 3.90 ± 0.31 a | 20.00 ± 1.89 ab | 1.01 ± 0.09 bc | |
| SFS | 9.66 ± 0.78 c | 17.14 ± 1.22 a | 81.04 ± 7.11 b | 3.85 ± 0.32 ab | 18.41 ± 1.77 c | 0.96 ± 0.08 c | |
| BFS | 8.77 ± 0.69 c | 17.16 ± 1.42 a | 81.48 ± 7.12 b | 3.81 ± 0.30 b | 18.21 ± 1.61 c | 0.94 ± 0.09 c | |
| IKK-α | ||||||||
|---|---|---|---|---|---|---|---|---|
| HepG2 | MCF-7 | HCT-116 | VERO | |||||
| Area | Band % | Area | Band % | Area | Band % | Area | Band % | |
| ADFL | 7020 | 37.51 | 12,012 | 53.43 | 6708 | 32.95 | ND * | ND |
| UFS | 7728 | 66.45 | 8188 | 66.88 | 6624 | 61.85 | 6348 | 60.78 |
| GFS | 4140 | 61.54 | 5428 | 60.01 | 4140 | 54.43 | 6164 | 64.83 |
| SFS | 11,232 | 49.97 | 12,012 | 55.44 | 10,608 | 53.10 | ND | ND |
| BFS | 6716 | 63.21 | 6624 | 58.95 | 5888 | 61.48 | ND | ND |
| IKK-β | ||||||||
|---|---|---|---|---|---|---|---|---|
| HepG2 | MCF-7 | HCT-116 | VERO | |||||
| Area | Band % | Area | Band % | Area | Band % | Area | Band % | |
| ADFL | 12,168 | 62.49 | 12.480 | 46.57 | 12,792 | 67.05 | 12,792 | 100 |
| UFS | 5060 | 33.55 | 4692 | 33.13 | 5060 | 38.15 | 5336 | 39.22 |
| GFS | 3404 | 38.46 | 4232 | 39.99 | 3864 | 45.57 | 3772 | 35.17 |
| SFS | 13,884 | 50.03 | 11,544 | 44.56 | 12,636 | 46.90 | 14,040 | 100 |
| BFS | 4416 | 36.79 | 4876 | 41.05 | 4508 | 38.52 | ND * | ND |
Disclaimer/Publisher’s Note: The statements, opinions and data contained in all publications are solely those of the individual author(s) and contributor(s) and not of MDPI and/or the editor(s). MDPI and/or the editor(s) disclaim responsibility for any injury to people or property resulting from any ideas, methods, instructions or products referred to in the content. |
© 2023 by the authors. Licensee MDPI, Basel, Switzerland. This article is an open access article distributed under the terms and conditions of the Creative Commons Attribution (CC BY) license (https://creativecommons.org/licenses/by/4.0/).
Share and Cite
Salam, S.G.A.; Rashed, M.M.; Ibrahim, N.A.; Rahim, E.A.A.; Alsufiani, H.M.; Mansouri, R.A.; Afifi, M.; Al-Farga, A. Cell Growth Inhibition, DNA Fragmentation and Apoptosis-Inducing Properties of Household-Processed Leaves and Seeds of Fenugreek (Trigonella Foenum-Graecum Linn.) against HepG2, HCT-116, and MCF-7 Cancerous Cell Lines. Curr. Issues Mol. Biol. 2023, 45, 936-953. https://doi.org/10.3390/cimb45020060
Salam SGA, Rashed MM, Ibrahim NA, Rahim EAA, Alsufiani HM, Mansouri RA, Afifi M, Al-Farga A. Cell Growth Inhibition, DNA Fragmentation and Apoptosis-Inducing Properties of Household-Processed Leaves and Seeds of Fenugreek (Trigonella Foenum-Graecum Linn.) against HepG2, HCT-116, and MCF-7 Cancerous Cell Lines. Current Issues in Molecular Biology. 2023; 45(2):936-953. https://doi.org/10.3390/cimb45020060
Chicago/Turabian StyleSalam, Shaimaa G. Abdel, Mohamed M. Rashed, Nabih A. Ibrahim, Emam A. Abdel Rahim, Hadeil Muhanna Alsufiani, Rasha A. Mansouri, Mohamed Afifi, and Ammar Al-Farga. 2023. "Cell Growth Inhibition, DNA Fragmentation and Apoptosis-Inducing Properties of Household-Processed Leaves and Seeds of Fenugreek (Trigonella Foenum-Graecum Linn.) against HepG2, HCT-116, and MCF-7 Cancerous Cell Lines" Current Issues in Molecular Biology 45, no. 2: 936-953. https://doi.org/10.3390/cimb45020060
APA StyleSalam, S. G. A., Rashed, M. M., Ibrahim, N. A., Rahim, E. A. A., Alsufiani, H. M., Mansouri, R. A., Afifi, M., & Al-Farga, A. (2023). Cell Growth Inhibition, DNA Fragmentation and Apoptosis-Inducing Properties of Household-Processed Leaves and Seeds of Fenugreek (Trigonella Foenum-Graecum Linn.) against HepG2, HCT-116, and MCF-7 Cancerous Cell Lines. Current Issues in Molecular Biology, 45(2), 936-953. https://doi.org/10.3390/cimb45020060

