The Role of p16/Ki67 Dual Staining in Cervical Cancer Screening
Abstract
:1. Introduction
2. Conventional and Liquid-Based Cytology
3. High-Risk HPV Test, HPV Genotyping, and HPV Methylation
4. Molecular Biology of Cervical Precancerous Lesions and Cervical Cancer
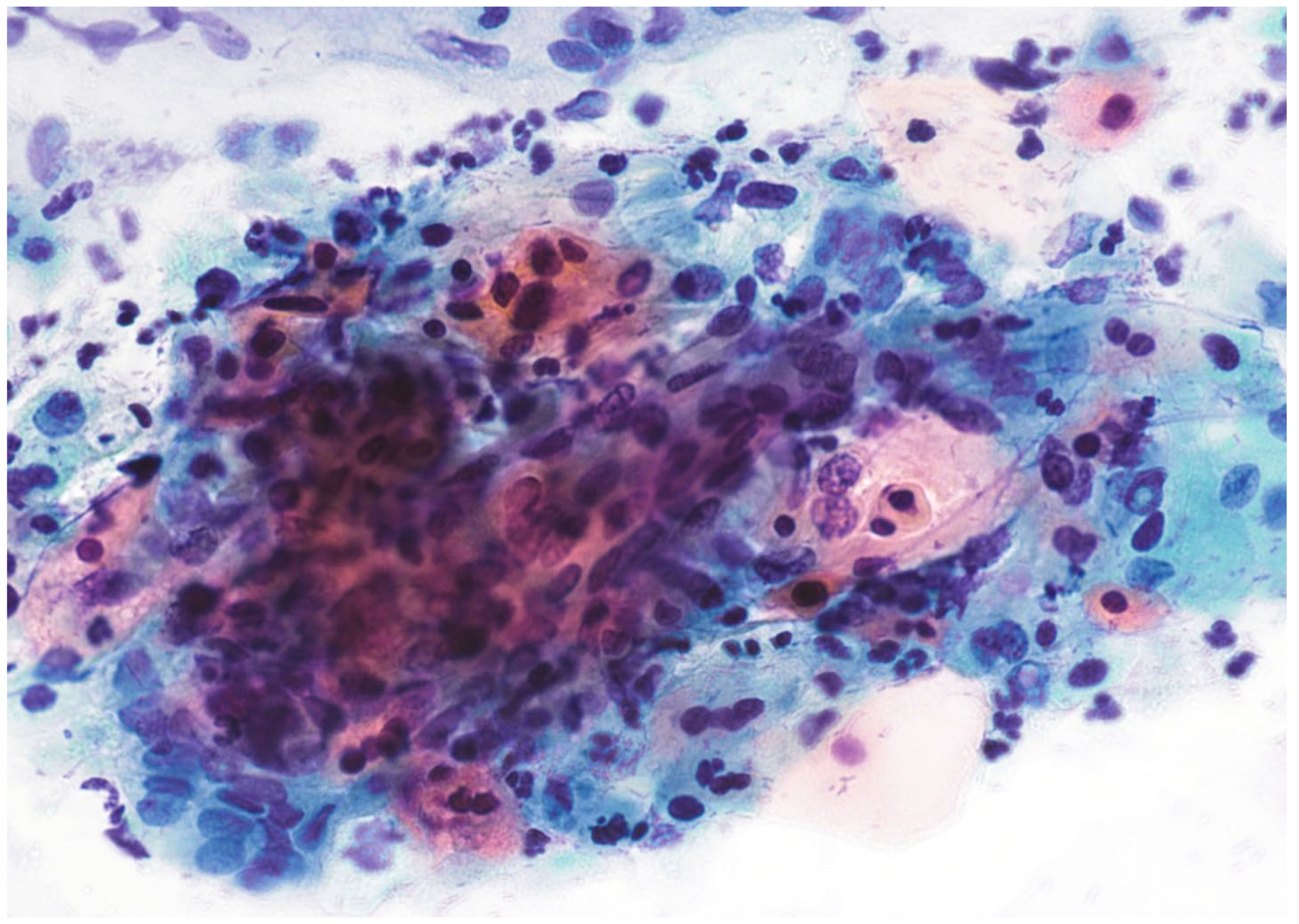
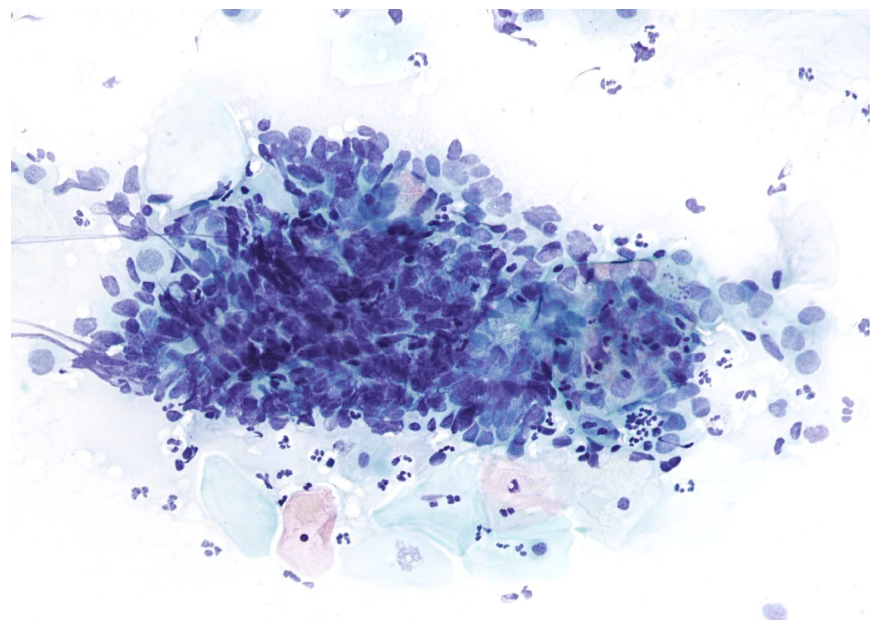
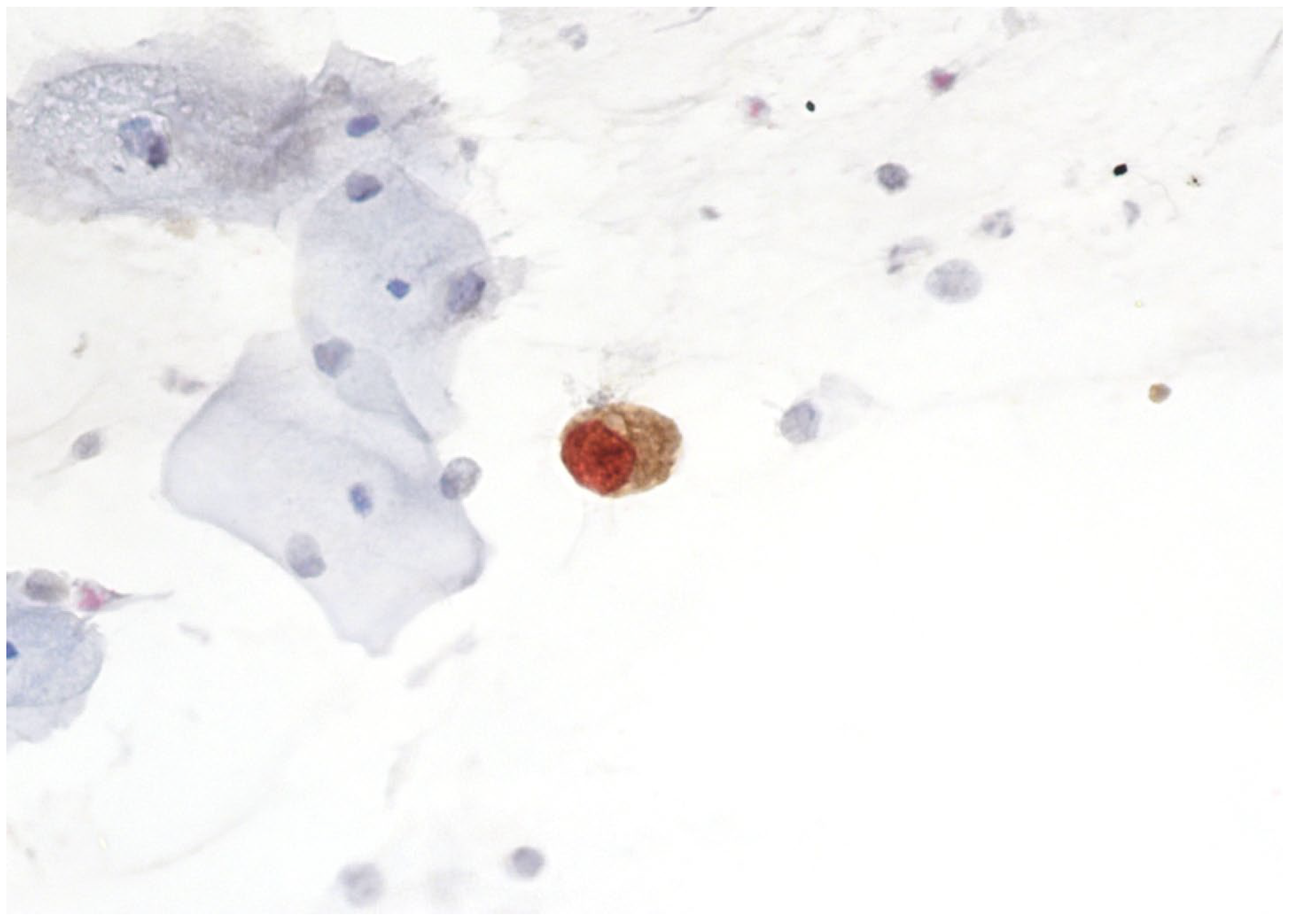
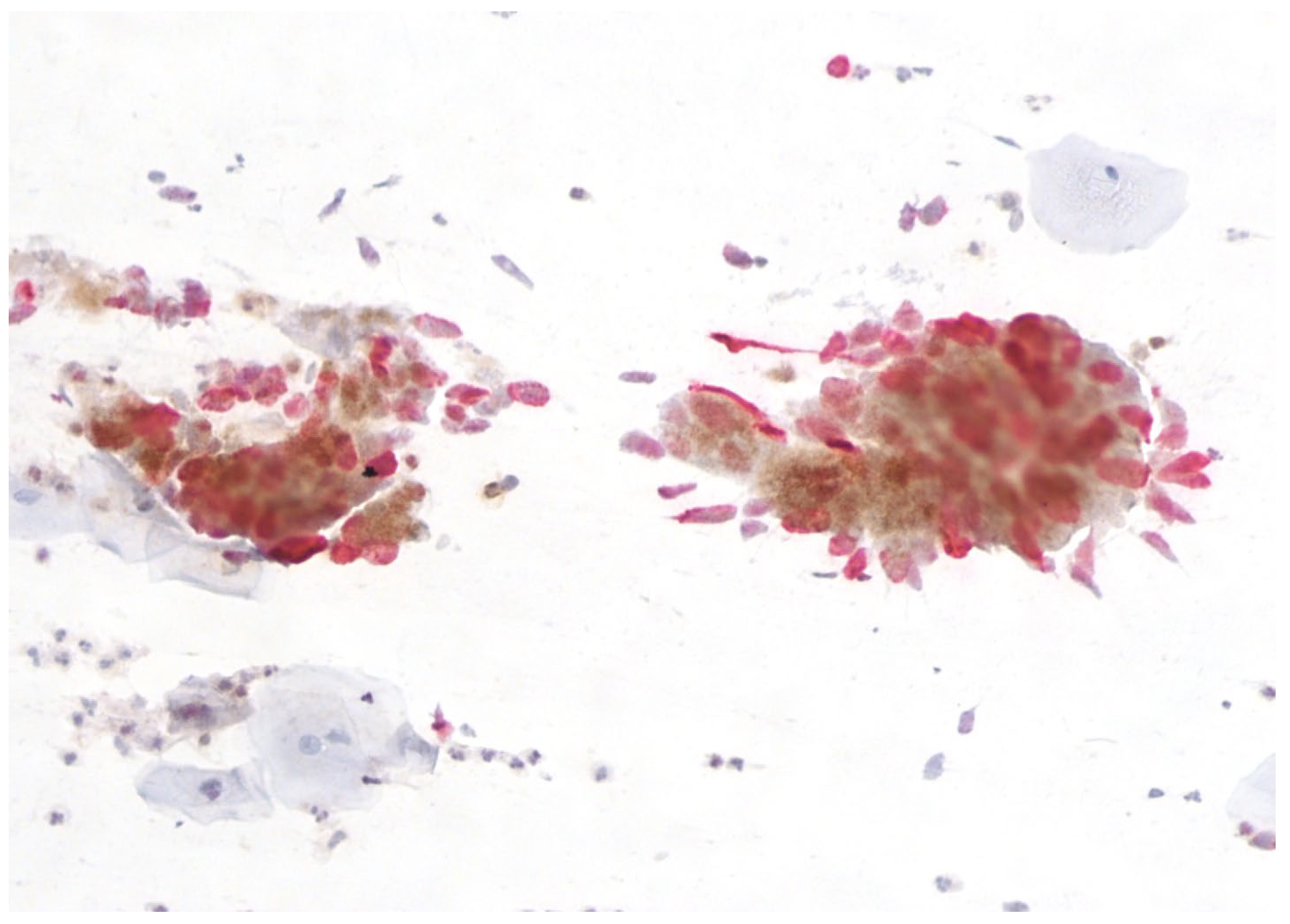
5. The Rationale and Use of p16/Ki67 Dual Staining in Cervical Cancer Screening
6. Conclusions
Author Contributions
Funding
Institutional Review Board Statement
Informed Consent Statement
Data Availability Statement
Conflicts of Interest
References
- Maver, P.J.; Poljak, M. Primary HPV-based cervical cancer screening in Europe: Implementation status, challenges, and future plans. Clin. Microbiol. Infect. 2020, 26, 579–583. [Google Scholar] [CrossRef] [PubMed]
- Bergeron, C. Cervicovaginal Cytology: Normal and Abnormal Cells and Adequacy of Specimens. In Textbook of Gynaecological Oncology, 2nd ed.; Ayhan, A., Reed, N., Gultekin, M., Dursun, P., Eds.; European Society of Gynaecological Oncology: Prague, Czech Republic, 2016; pp. 340–351. [Google Scholar]
- Castle, P.E.; Stoler, M.H.; Wright, T.C., Jr.; Sharma, A.; Wright, T.L.; Behrens, C.M. Performance of carcinogenic human papillomavirus (HPV) testing and HPV16 or HPV18 genotyping for cervical cancer screening of women aged 25 years and older: A subanalysis of the ATHENA study. Lancet Oncol. 2011, 12, 880–890. [Google Scholar] [CrossRef] [PubMed]
- Rijkaart, D.C.; Berkhof, J.; van Kemenade, F.J.; Coupe, V.M.; Hesselink, A.T.; Rozendaal, L.; Heideman, D.A.; Verheijen, R.H.; Bulk, S.; Verweij, W.M.; et al. Evaluation of 14 triage strategies for HPV DNA-positive women in population-based cervical screening. Int. J. Cancer 2012, 130, 602–610. [Google Scholar] [CrossRef] [PubMed]
- Dijkstra, M.G.; van Niekerk, D.; Rijkaart, D.C.; van Kemenade, F.J.; Heideman, D.A.; Snijders, P.J.; Meijer, C.J.; Berkhof, J. Primary hrHPV DNA testing in cervical cancer screening: How to manage screen-positive women? A POBASCAM trial substudy. Cancer Epidemiol. Biomark. Prev. 2014, 23, 55–63. [Google Scholar] [CrossRef] [PubMed]
- Sen, P.; Ganguly, P.; Ganguly, N. Modulation of DNA methylation by human papillomavirus E6 and E7 oncoproteins in cervical cancer. Oncol. Lett. 2018, 15, 11–22. [Google Scholar] [CrossRef] [PubMed]
- Curry, S.J.; Krist, A.H.; Owens, D.K.; Barry, M.J.; Caughey, A.B.; Davidson, K.W.; Doubeni, C.A.; Epling, J.W., Jr.; Kemper, A.R.; Kubik, M.; et al. Screening for Cervical Cancer: US Preventive Services Task Force Recommendation Statement. JAMA 2018, 320, 674–686. [Google Scholar] [CrossRef] [PubMed]
- Nayar, R.; Wilbur, D.C. The Pap test and Bethesda 2014. J. Low. Genit. Tract Dis. 2014, 19, 175–184. [Google Scholar] [CrossRef] [PubMed]
- Tao, X.; Chu, X.; Guo, B.; Pan, Q.; Ji, S.; Lou, W.; Lv, C.; Xie, G.; Hua, K. Scrutinizing high-risk patients from ASC-US cytology via a deep learning model. Cancer Cytopathol. 2022, 130, 407–414. [Google Scholar] [CrossRef]
- Kattoor, J.; Kamal, M.M. The gray zone squamous lesions: ASC-US/ASC-H. CytoJournal 2022, 19, 30. [Google Scholar] [CrossRef]
- Catteau, X.; Simon, P.; Noël, J.C. Evaluation of the Oncogenic Human Papillomavirus DNA Test with Liquid-Based Cytology in Primary Cervical Cancer Screening and the Importance of the ASC/SIL Ratio: A Belgian Study. ISRN Obstet. Gynecol. 2014, 2014, 536495. [Google Scholar] [CrossRef]
- Walker, J.L.; Wang, S.S.; Schiffman, M.; Solomon, D.; ASCUS LSIL Triage Study Group. Predicting absolute risk of CIN3 during post-colposcopic follow-up: Results from the ASCUS-LSIL Triage Study (ALTS). Am. J. Obstet. Gynecol. 2006, 195, 341–348. [Google Scholar] [CrossRef] [PubMed]
- Almonte, M.; de la Luz Hernandez, M.; Cuzick, J. New technologies for cervical cancer screening. In Textbook of Gynaecological Oncology, 2nd ed.; Ayhan, A., Reed, N., Gultekin, M., Dursun, P., Eds.; European Society of Gynaecological Oncology: Prague, Czech Republic, 2016; pp. 240–250. [Google Scholar]
- Petry, K.U.; Meijer, C.J.L.M.; Rijkaart, D.; Berkhof, J.; Snijders, P.J.F.; Arbyn, M. HPV-based cervical cancer screening. In Textbook of Gynaecological Oncology, 2nd ed.; Ayhan, A., Reed, N., Gultekin, M., Dursun, P., Eds.; European Society of Gynaecological Oncology: Prague, Czech Republic, 2016; pp. 233–239. [Google Scholar]
- Killeen, J.L.; Dye, T.; Grace, C.; Hiraoka, M. Improved abnormal Pap smear triage using cervical cancer biomarkers. J. Low. Genit. Tract. Dis. 2014, 18, 1–7. [Google Scholar] [CrossRef] [PubMed]
- Zhu, Y.; Ren, C.; Yang, L.; Zhang, X.; Liu, L.; Wang, Z. Performance of p16/Ki67 immunostaining, HPV E6/E7 mRNA testing, and HPV DNA assay to detect high-grade cervical dysplasia in women with ASCUS. BMC Cancer 2019, 19, 271. [Google Scholar] [CrossRef] [PubMed]
- Koliopoulos, G.; Nyaga, V.N.; Santesso, N.; Bryant, A.; Martin-Hirsch, P.P.; Mustafa, R.A.; Schünemann, H.; Paraskevaidis, E.; Arbyn, M. Cytology versus HPV testing for cervical cancer screening in the general population. Cochrane Database Syst. Rev. 2017, 8, CD008587. [Google Scholar] [CrossRef] [PubMed]
- Olivas, A.D.; Barroeta, J.E.; Lastra, R.R. Overview of Ancillary Techniques in Cervical Cytology. Acta Cytol. 2023, 67, 119–128. [Google Scholar] [CrossRef] [PubMed]
- Arbyn, M.; Bergeron, C.; Klinkhamer, P.; Martin-Hirsch, P.; Siebers, A.G.; Bulten, J. Liquid compared with conventional cervical cytology: A systematic review and meta-analysis. Obstet. Gynecol. 2008, 111, 167–177. [Google Scholar] [CrossRef] [PubMed]
- Beerman, H.; van Dorst, E.B.; Kuenen-Boumeester, V.; Hogendoorn, P.C. Superior performance of liquid-based versus conventional cytology in a population-based cervical cancer screening program. Gynecol. Oncol. 2009, 112, 572–576. [Google Scholar] [CrossRef] [PubMed]
- Haghighi, F.; Ghanbarzadeh, N.; Ataee, M.; Sharifzadeh, G.; Mojarrad, J.S.; Najafi-Semnani, F. A comparison of liquid-based cytology with conventional Papanicolaou smears in cervical dysplasia diagnosis. Adv. Biomed. Res. 2016, 5, 162. [Google Scholar] [CrossRef]
- Hashmi, A.A.; Naz, S.; Ahmed, O.; Yaqeen, S.R.; Irfan, M.; Asif, M.G.; Kamal, A.; Faridi, N. Comparison of Liquid-Based Cytology and Conventional Papanicolaou Smear for Cervical Cancer Screening: An Experience from Pakistan. Cureus 2020, 12, e12293. [Google Scholar] [CrossRef]
- Ito, K.; Kimura, R.; Konishi, H.; Ozawa, N.; Yaegashi, N.; Ohashi, Y.; Suzuki, M.; Kakizoe, T. A comparison of liquid-based and conventional cytology using data for cervical cancer screening from the Japan Cancer Society. Jpn. J. Clin. Oncol. 2020, 50, 138–144. [Google Scholar] [CrossRef]
- Barrios, L.; Vizcaíno, Y.; Benedetti, I. Liquid-Based Cytology in the Detection of Premalignant Lesions in Patients with "Atypia in Squamous Cells" in Conventional Cytology. J. Cytol. 2022, 39, 148–154. [Google Scholar] [PubMed]
- Khakwani, M.; Parveen, R.; Azhar, M. Comparison of PAP smear and liquid based cytology as a screening method for cervical carcinoma. Pak. J. Med. Sci. 2022, 38, 1827–1831. [Google Scholar] [CrossRef] [PubMed]
- Honarvar, Z.; Zarisfi, Z.; Salari Sedigh, S.; Masoumi Shahrbabak, M. Comparison of conventional and liquid-based Pap smear methods in the diagnosis of precancerous cervical lesions. J. Obstet. Gynaecol. 2022, 42, 2320–2324. [Google Scholar] [CrossRef] [PubMed]
- Patel, N.; Bavikar, R.; Buch, A.; Kulkarni, M.; Dharwadkar, A.; Viswanathan, V. A Comparison of Conventional Pap Smear and Liquid-Based Cytology for Cervical Cancer Screening. Gynecol. Minim. Invasive Ther. 2023, 12, 77–82. [Google Scholar] [CrossRef] [PubMed]
- Siebers, A.G.; Klinkhamer, P.J.; Grefte, J.M.; Massuger, L.F.; Vedder, J.E.; Beijers-Broos, A.; Bulten, J.; Arbyn, M. Comparison of liquid-based cytology with conventional cytology for detection of cervical cancer precursors: A randomized controlled trial. JAMA 2009, 302, 1757–1764. [Google Scholar] [CrossRef] [PubMed]
- Jeong, H.; Hong, S.R.; Chae, S.W.; Jin, S.Y.; Yoon, H.K.; Lee, J.; Kim, E.K.; Ha, S.T.; Kim, S.N.; Park, E.J.; et al. Comparison of Unsatisfactory Samples from Conventional Smear versus Liquid-Based Cytology in Uterine Cervical Cancer Screening Test. J. Pathol. Transl. Med. 2017, 51, 314–319. [Google Scholar] [CrossRef] [PubMed]
- Hosono, S.; Terasawa, T.; Katayama, T.; Sasaki, S.; Hoshi, K.; Hamashima, C. Frequency of unsatisfactory cervical cytology smears in cancer screening of Japanese women: A systematic review and meta-analysis. Cancer Sci. 2018, 109, 934–943. [Google Scholar] [CrossRef]
- Klug, S.J.; Neis, K.J.; Harlfinger, W.; Malter, A.; König, J.; Spieth, S.; Brinkmann-Smetanay, F.; Kommoss, F.; Weyer, V.; Ikenberg, H. A randomized trial comparing conventional cytology to liquid-based cytology and computer assistance. Int. J. Cancer 2013, 132, 2849–2857. [Google Scholar] [CrossRef]
- Nishio, H.; Iwata, T.; Nomura, H.; Morisada, T.; Takeshima, N.; Takano, H.; Sasaki, H.; Nakatani, E.; Teramukai, S.; Aoki, D. Liquid-based cytology versus conventional cytology for detection of uterine cervical lesions: A prospective observational study. Jpn. J. Clin. Oncol. 2018, 48, 522–528. [Google Scholar] [CrossRef]
- Singh, U.; Anjum Qureshi, S.; Negi, N.; Singh, N.; Goel, M.; Srivastava, K. Comparative study between liquid-based cytology & conventional Pap smear for cytological follow up of treated patients of cancer cervix. Indian. J. Med. Res. 2018, 147, 263–267. [Google Scholar]
- Schiffman, M.; Wentzensen, N. From human papillomavirus to cervical cancer. Obstet. Gynecol. 2010, 116, 177–185. [Google Scholar] [CrossRef] [PubMed]
- Ronco, G.; Dillner, J.; Elfström, K.M.; Tunesi, S.; Snijders, P.J.; Arbyn, M.; Kitchener, H.; Segnan, N.; Gilham, C.; Giorgi-Rossi, P.; et al. Efficacy of HPV-based screening for prevention of invasive cervical cancer: Follow-up of four European randomised controlled trials. Lancet 2014, 383, 524–532. [Google Scholar] [CrossRef] [PubMed]
- Arbyn, M.; Ronco, G.; Anttila, A.; Meijer, C.J.; Poljak, M.; Ogilvie, G.; Koliopoulos, G.; Naucler, P.; Sankaranarayanan, R.; Peto, J. Evidence regarding human papillomavirus testing in secondary prevention of cervical cancer. Vaccine 2012, 30 (Suppl. S5), F88–F99. [Google Scholar] [CrossRef] [PubMed]
- Elfstrom, K.M.; Smelov, V.; Johansson, A.L.; Eklund, C.; Naucler, P.; Arnheim-Dahlstrom, L.; Dillner, J. Long term duration of protective effect for HPV negative women: Follow-up of primary HPV screening randomised controlled trial. BMJ 2014, 348, g130. [Google Scholar] [CrossRef] [PubMed]
- Gottschlich, A.; Gondara, L.; Smith, L.W.; Cook, D.; Martin, R.E.; Lee, M.; Peacock, S.; Proctor, L.; Stuart, G.; Krajden, M.; et al. Human papillomavirus-based screening at extended intervals missed fewer cervical precancers than cytology in the HPV for Cervical Cancer (HPV FOCAL) trial. Int. J. Cancer 2022, 151, 897–905. [Google Scholar] [CrossRef] [PubMed]
- Wright, T.C.; Stoler, M.H.; Behrens, C.M.; Sharma, A.; Zhang, G.; Wright, T.L. Primary cervical cancer screening with human papillomavirus: End of study results from the ATHENA study using HPV as the first-line screening test. Gynecol. Oncol. 2015, 136, 189–197. [Google Scholar] [CrossRef] [PubMed]
- Gage, J.C.; Schiffman, M.; Katki, H.A.; Castle, P.E.; Fetterman, B.; Wentzensen, N.; Poitras, N.E.; Lorey, T.; Cheung, L.C.; Kinney, W.K. Reassurance against future risk of precancer and cancer conferred by a negative human papillomavirus test. J. Natl. Cancer Inst. 2014, 106, dju153. [Google Scholar] [CrossRef]
- Dijkstra, M.G.; van Zummeren, M.; Rozendaal, L.; van Kemenade, F.J.; Helmerhorst, T.J.; Snijders, P.J.; Meijer, C.J.; Berkhof, J. Safety of extending screening intervals beyond five years in cervical screening programmes with testing for high risk human papillomavirus: 14 year follow-up of population based randomised cohort in the Netherlands. BMJ 2016, 355, i4924. [Google Scholar] [CrossRef]
- Ronco, G.; Giorgi-Rossi, P.; Carozzi, F.; Confortini, M.; Dalla Palma, P.; Del Mistro, A.; Ghiringhello, B.; Girlando, S.; Gillio-Tos, A.; De Marco, L.; et al. Efficacy of human papillomavirus testing for the detection of invasive cervical cancers and cervical intraepithelial neoplasia: A randomised controlled trial. Lancet Oncol. 2010, 11, 249–257. [Google Scholar] [CrossRef]
- Venetianer, R.; Clarke, M.A.; van der Marel, J.; Tota, J.; Schiffman, M.; Dunn, S.T.; Walker, J.; Zuna, R.; Quint, W.; Wentzensen, N. Identification of HPV genotypes causing cervical precancer using tissue-based genotyping. Int. J. Cancer 2020, 146, 2836–2844. [Google Scholar] [CrossRef]
- Cook, D.A.; Mei, W.; Smith, L.W.; van Niekerk, D.J.; Ceballos, K.; Franco, E.L.; Coldman, A.J.; Ogilvie, G.S.; Krajden, M. Comparison of the Roche cobas® 4800 and Digene Hybrid Capture® 2 HPV tests for primary cervical cancer screening in the HPV FOCAL trial. BMC Cancer 2015, 15, 968. [Google Scholar] [CrossRef]
- El-Zein, M.; Bouten, S.; Abdrabo, L.S.; Siblini, A.; Louvanto, K.; Franco, E.; Ferenczy, A. Genotyping and Cytology Triage of High-Risk HPV DNA Positive Women for Detection of Cervical High-Grade Lesions. J. Low. Genit. Tract. Dis. 2023, 27, 12–18. [Google Scholar] [CrossRef] [PubMed]
- Nedjai, B.; Reuter, C.; Ahmad, A.; Banwait, R.; Warman, R.; Carton, J.; Boer, S.; Cuzick, J.; Lorincz, A.T. Molecular progression to cervical precancer, epigenetic switch or sequential model? Int. J. Cancer 2018, 143, 1720–1730. [Google Scholar] [CrossRef] [PubMed]
- Kottaridi, C.; Leventakou, D.; Pouliakis, A.; Pergialiotis, V.; Chrelias, G.; Patsouri, E.; Zacharatou, A.; Panopoulou, E.; Dam-askou, V.; Sioulas, V.; et al. Searching HPV genome for methylation sites involved in molecular progression to cervical precancer. J. Cancer 2019, 10, 4588–4595. [Google Scholar] [CrossRef] [PubMed]
- Dovnik, A.; Poljak, M. The Role of Methylation of Host and/or Human Papillomavirus (HPV) DNA in Management of Cervical Intraepithelial Neoplasia Grade 2 (CIN2) Lesions. Int. J. Mol. Sci. 2023, 24, 6479. [Google Scholar] [CrossRef] [PubMed]
- Kremer, W.W.; Steenbergen, R.; Heideman, D.; Kenter, G.G.; Meijer, C. The use of host cell DNA methylation analysis in the detection and management of women with advanced cervical intraepithelial neoplasia: A review. BJOG 2021, 128, 504–514. [Google Scholar] [CrossRef] [PubMed]
- Vink, F.J.; Lissenberg-Witte, B.I.; Meijer, C.J.L.M.; Berkhof, J.; van Kemenade, F.J.; Siebers, A.G.; Steenbergen, R.D.M.; Bleeker, M.C.G.; Heideman, D.A.M. FAM19A4/miR124-2 methylation analysis as a triage test for HPV-positive women: Cross-sectional and longitudinal data from a Dutch screening cohort. Clin. Microbiol. Infect. 2021, 27, e1–e125. [Google Scholar] [CrossRef] [PubMed]
- De Strooper, L.M.A.; Berkhof, J.; Steenbergen, R.D.M.; Lissenberg-Witte, B.I.; Snijders, P.J.F.; Meijer, C.J.L.M.; Heideman, D.A.M. Cervical cancer risk in HPV-positive women after a negative FAM19A4/mir124-2 methylation test: A post hoc analysis in the POBASCAM trial with 14 year follow-up. Int. J. Cancer 2018, 143, 1541–1548. [Google Scholar] [CrossRef] [PubMed]
- Bonde, J.; Floore, A.; Ejegod, D.; Vink, F.J.; Hesselink, A.; van de Ven, P.M.; Valenčak, A.O.; Pedersen, H.; Doorn, S.; Quint, W.G.; et al. Methylation markers FAM19A4 and miR124-2 as triage strategy for primary human papillomavirus screen positive women: A large European multicenter study. Int. J. Cancer 2021, 148, 396–405. [Google Scholar] [CrossRef]
- Verhoef, V.M.; Heideman, D.A.; van Kemenade, F.J.; Rozendaal, L.; Bosgraaf, R.P.; Hesselink, A.T.; Bekkers, R.L.; Massuger, L.F.; Steenbergen, R.D.; Snijders, P.J.; et al. Methylation marker analysis and HPV16/18 genotyping in high-risk HPV positive self-sampled specimens to identify women with high grade CIN or cervical cancer. Gynecol. Oncol. 2014, 135, 58–63. [Google Scholar] [CrossRef]
- Van Baars, R.; van der Marel, J.; Snijders, P.J.; Rodriquez-Manfredi, A.; ter Harmsel, B.; van den Munckhof, H.A.; Ordi, J.; del Pino, M.; van de Sandt, M.M.; Wentzensen, N.; et al. CADM1 and MAL methylation status in cervical scrapes is representative of the most severe underlying lesion in women with multiple cervical biopsies. Int. J. Cancer 2016, 138, 463–471. [Google Scholar] [CrossRef] [PubMed]
- Bierkens, M.; Hesselink, A.T.; Meijer, C.J.; Heideman, D.A.; Wisman, G.B.; van der Zee, A.G.; Snijders, P.J.; Steenbergen, R.D. CADM1 and MAL promoter methylation levels in hrHPV-positive cervical scrapes increase proportional to degree and du-ration of underlying cervical disease. Int. J. Cancer 2013, 133, 1293–1299. [Google Scholar] [CrossRef] [PubMed]
- Kocsis, A.; Takács, T.; Jeney, C.; Schaff, Z.; Koiss, R.; Járay, B.; Sobel, G.; Pap, K.; Székely, I.; Ferenci, T.; et al. Performance of a new HPV and biomarker assay in the management of hrHPV positive women: Subanalysis of the ongoing multicenter TRACE clinical trial (n > 6000) to evaluate POU4F3 methylation as a potential biomarker of cervical precancer and cancer. Int. J. Cancer 2017, 140, 1119–1133. [Google Scholar] [CrossRef] [PubMed]
- Huang, T.H.; Lai, H.C.; Liu, H.W.; Lin, C.J.; Wang, K.H.; Ding, D.C.; Chu, T.Y. Quantitative analysis of methylation status of the PAX1 gene for detection of cervical cancer. Int J Gynecol Cancer 2010, 20, 513–519. [Google Scholar] [CrossRef] [PubMed]
- Schmitz, M.; Wunsch, K.; Hoyer, H.; Scheungraber, C.; Runnebaum, I.B.; Hansel, A.; Dürst, M. Performance of a methylation specific real-time PCR assay as a triage test for HPV-positive women. Clin. Epigenetics 2017, 9, 118. [Google Scholar] [CrossRef]
- Schmitz, M.; Eichelkraut, K.; Schmidt, D.; Zeiser, I.; Hilal, Z.; Tettenborn, Z.; Hansel, A.; Ikenberg, H. Performance of a DNA methylation marker panel using liquid-based cervical scrapes to detect cervical cancer and its precancerous stages. BMC Cancer 2018, 18, 1197. [Google Scholar] [CrossRef] [PubMed]
- Clarke, M.A.; Gradissimo, A.; Schiffman, M.; Lam, J.; Sollecito, C.C.; Fetterman, B.; Lorey, T.; Poitras, N.; Raine-Bennett, T.R.; Castle, P.E.; et al. Human Papillomavirus DNA Methylation as a Biomarker for Cervical Precancer: Consistency across 12 Genotypes and Potential Impact on Management of HPV-Positive Women. Clin. Cancer Res. 2018, 24, 2194–2202. [Google Scholar] [CrossRef]
- Wentzensen, N.; Sun, C.; Ghosh, A.; Kinney, W.; Mirabello, L.; Wacholder, S.; Shaber, R.; LaMere, B.; Clarke, M.; Lorincz, A.T.; et al. Methylation of HPV18, HPV31, and HPV45 genomes and cervical intraepithelial neo-plasia grade 3. J. Natl. Cancer Inst. 2012, 104, 1738–1749. [Google Scholar] [CrossRef]
- Vasiljević, N.; Scibior-Bentkowska, D.; Brentnall, A.; Cuzick, J.; Lorincz, A. A comparison of methylation levels in HPV18, HPV31 and HPV33 genomes reveals similar associations with cervical precancers. J. Clin. Virol. 2014, 59, 161–166. [Google Scholar] [CrossRef]
- Bee, K.J.; Gradissimo, A.; Chen, Z.; Harari, A.; Schiffman, M.; Raine-Bennett, T.; Castle, P.E.; Clarke, M.; Wentzensen, N.; Burk, R.D. Genetic and Epigenetic Variations of HPV52 in Cervical Precancer. Int. J. Mol. Sci. 2021, 22, 6463. [Google Scholar] [CrossRef]
- Cook, D.A.; Krajden, M.; Brentnall, A.R.; Gondara, L.; Chan, T.; Law, J.H.; Smith, L.W.; van Niekerk, D.J.; Ogilvie, G.S.; Coldman, A.J.; et al. Evaluation of a validated methylation triage signature for human papillomavirus positive women in the HPV FOCAL cervical cancer screening trial. Int. J. Cancer 2019, 144, 2587–2595. [Google Scholar] [CrossRef] [PubMed]
- Brentnall, A.R.; Vasiljevic, N.; Scibior-Bentkowska, D.; Cadman, L.; Austin, J.; Cuzick, J.; Lorincz, A.T. HPV33 DNA methylation measurement improves cervical pre-cancer risk estimation of an HPV16, HPV18, HPV31 and EPB41L3 methylation classifier. Cancer Biomark. 2015, 15, 669–675. [Google Scholar] [CrossRef] [PubMed]
- Hernández-López, R.; Lorincz, A.T.; Torres-Ibarra, L.; Reuter, C.; Scibior-Bentkowska, D.; Warman, R.; Nedjai, B.; Mendio-la-Pastrana, I.; León-Maldonado, L.; Rivera-Paredez, B.; et al. Methylation estimates the risk of precancer in HPV-infected women with discrepant results between cytology and HPV16/18 genotyping. Clin. Epigenetics 2019, 11, 140. [Google Scholar] [CrossRef] [PubMed]
- Lorincz, A.T.; Brentnall, A.R.; Scibior-Bentkowska, D.; Reuter, C.; Banwait, R.; Cadman, L.; Austin, J.; Cuzick, J.; Vasiljević, N. Validation of a DNA methylation HPV triage classifier in a screening sample. Int. J. Cancer 2016, 138, 2745–2751. [Google Scholar] [CrossRef] [PubMed]
- Louvanto, K.; Aro, K.; Nedjai, B.; Bützow, R.; Jakobsson, M.; Kalliala, I.; Dillner, J.; Nieminen, P.; Lorincz, A. Methylation in Predicting Progression of Untreated High-grade Cervical Intraepithelial Neoplasia. Clin. Infect. Dis. 2020, 70, 2582–2590. [Google Scholar] [CrossRef] [PubMed]
- Kremer, W.W.; Dick, S.; Heideman, D.A.M.; Steenbergen, R.D.M.; Bleeker, M.C.G.; Verhoeve, H.R.; van Baal, W.M.; van Trommel, N.; Kenter, G.G.; Meijer, C.J.L.M.; et al. Clinical Regression of High-Grade Cervical Intraepithelial Neoplasia Is Associated With Absence of FAM19A4/miR124-2 DNA Methylation (CONCERVE Study). J. Clin. Oncol. 2022, 40, 3037–3046. [Google Scholar] [CrossRef] [PubMed]
- Vaknin, Z.; Gotlieb, W.H. Molecular basis of gynaecological cancers. What should we know? In Textbook of Gynaecological Oncology, 2nd ed.; Ayhan, A., Reed, N., Gultekin, M., Dursun, P., Eds.; European Society of Gynaecological Oncology: Prague, Czech Republic, 2016; pp. 27–37. [Google Scholar]
- Burley, M.; Roberts, S.; Parish, J.L. Epigenetic regulation of human papillomavirus transcription in the productive virus life cycle. Semin. Immunopathol. 2020, 42, 159–171. [Google Scholar] [CrossRef] [PubMed]
- Soto, D.; Song, C.; McLaughlin-Drubin, M.E. Epigenetic Alterations in Human Papillomavirus-Associated Cancers. Viruses 2017, 9, 248. [Google Scholar] [CrossRef]
- Cosper, P.F.; Bradley, S.; Luo, L.; Kimple, R.J. Biology of HPV Mediated Carcinogenesis and Tumor Progression. Semin. Radiat. Oncol. 2021, 31, 265–273. [Google Scholar] [CrossRef]
- Pal, A.; Kundu, R. Human Papillomavirus E6 and E7: The Cervical Cancer Hallmarks and Targets for Therapy. Front. Microbiol. 2020, 10, 3116. [Google Scholar] [CrossRef]
- Schmidt, D.; Bergeron, C.; Denton, K.J.; Ridder, R.; European CINtec Cytology Study Group. p16/ki-67 dual-stain cytology in the triage of ASCUS and LSIL papanicolaou cytology: Results from the European equivocal or mildly abnormal Papanicolaou cytology study. Cancer Cytopathol. 2011, 119, 158–166. [Google Scholar] [CrossRef] [PubMed]
- Ikenberg, H.; Bergeron, C.; Schmidt, D.; Griesser, H.; Alameda, F.; Angeloni, C.; Bogers, J.; Dachez, R.; Denton, K.; Hariri, J.; et al. Screening for cervical cancer precursors with p16/Ki-67 dual-stained cytology: Results of the PALMS study. J. Natl. Cancer Inst. 2013, 105, 1550–1557. [Google Scholar] [CrossRef] [PubMed]
- Wentzensen, N.; Fetterman, B.; Castle, P.E.; Schiffman, M.; Wood, S.N.; Stiemerling, E.; Tokugawa, D.; Bodelon, C.; Poitras, N.; Lorey, T.; et al. p16/Ki-67 Dual Stain Cytology for Detection of Cervical Precancer in HPV-Positive Women. J. Natl. Cancer Inst. 2015, 107, djv257. [Google Scholar] [CrossRef] [PubMed]
- Bergeron, C.; Ikenberg, H.; Sideri, M.; Denton, K.; Bogers, J.; Schmidt, D.; Alameda, F.; Keller, T.; Rehm, S.; PALMS Study Group; et al. Prospective evaluation of p16/Ki-67 dual-stained cytology for managing women with abnormal Papanicolaou cytology: PALMS study results. Cancer Cytopathol. 2015, 123, 373–381. [Google Scholar] [CrossRef] [PubMed]
- Petry, K.U.; Schmidt, D.; Scherbring, S.; Luyten, A.; Reinecke-Lüthge, A.; Bergeron, C.; Kommoss, F.; Löning, T.; Ordi, J.; Regauer, S.; et al. Triaging Pap cytology negative, HPV positive cervical cancer screening results with p16/Ki-67 Dual-stained cytology. Gynecol. Oncol. 2011, 121, 505–509. [Google Scholar] [CrossRef] [PubMed]
- Wentzensen, N.; Schwartz, L.; Zuna, R.E.; Smith, K.; Mathews, C.; Gold, M.A.; Allen, R.A.; Zhang, R.; Dunn, S.T.; Walker, J.L.; et al. Performance of p16/Ki-67 immunostaining to detect cervical cancer precursors in a colposcopy referral population. Clin. Cancer Res. 2012, 18, 4154–4162. [Google Scholar] [CrossRef] [PubMed]
- Waldstrøm, M.; Christensen, R.K.; Ørnskov, D. Evaluation of p16(INK4a)/Ki-67 dual stain in comparison with an mRNA human papillomavirus test on liquid-based cytology samples with low-grade squamous intraepithelial lesion. Cancer Cytopathol. 2013, 121, 136–145. [Google Scholar] [CrossRef] [PubMed]
- Uijterwaal, M.H.; Polman, N.J.; Witte, B.I.; van Kemenade, F.J.; Rijkaart, D.; Berkhof, J.; Balfoort-van der Meij, G.A.; Ridder, R.; Snijders, P.J.; Meijer, C.J. Triaging HPV-positive women with normal cytology by p16/Ki-67 dual-stained cytology testing: Baseline and longitudinal data. Int. J. Cancer 2015, 136, 2361–2368. [Google Scholar] [CrossRef]
- Clarke, M.A.; Cheung, L.C.; Castle, P.E.; Schiffman, M.; Tokugawa, D.; Poitras, N.; Lorey, T.; Kinney, W.; Wentzensen, N. Five-Year Risk of Cervical Precancer Following p16/Ki-67 Dual-Stain Triage of HPV-Positive Women. JAMA Oncol. 2019, 5, 181–186. [Google Scholar] [CrossRef]
- Dovnik, A.; Repše Fokter, A. P16/Ki-67 Immunostaining in the Triage of Postmenopausal Women with Low-Grade Cytology Results. J. Low. Genit. Tract. Dis. 2020, 24, 235–237. [Google Scholar] [CrossRef]
- Šekoranja, D.; Repše Fokter, A. Triaging Atypical Squamous Cells-Cannot Exclude High-Grade Squamous Intraepithelial Lesion With p16/Ki67 Dual Stain. J. Low. Genit. Tract. Dis. 2017, 21, 108–111. [Google Scholar] [CrossRef] [PubMed]
- Stanczuk, G.A.; Baxter, G.J.; Currie, H.; Forson, W.; Lawrence, J.R.; Cuschieri, K.; Wilson, A.; Patterson, L.; Govan, L.; Black, J.; et al. Defining Optimal Triage Strategies for hrHPV Screen-Positive Women-An Evaluation of HPV 16/18 Genotyping, Cytology, and p16/Ki-67 Cytoimmunochemistry. Cancer Epidemiol. Biomark. Prev. 2017, 26, 1629–1635. [Google Scholar] [CrossRef] [PubMed]
- Stanczuk, G.; Currie, H.; Forson, W.; Baxter, G.; Lawrence, J.; Wilson, A.; Palmer, T.; Arbyn, M.; Cuschieri, K. Clinical Performance of Triage Strategies for Hr-HPV-Positive Women; A Longitudinal Evaluation of Cytology, p16/K-67 Dual Stain Cytology, and HPV16/18 Genotyping. Cancer Epidemiol. Biomark. Prev. 2022, 31, 1492–1498. [Google Scholar] [CrossRef] [PubMed]
- Wright, T.C., Jr.; Stoler, M.H.; Ranger-Moore, J.; Fang, Q.; Volkir, P.; Safaeian, M.; Ridder, R. Clinical validation of p16/Ki-67 dual-stained cytology triage of HPV-positive women: Results from the IMPACT trial. Int. J. Cancer 2022, 150, 461–471. [Google Scholar] [CrossRef] [PubMed]
- FDA US Food & Drug Administration. Premarket Approval (PMA). CINtec PLUS Cytology. Available online: https://www.accessdata.fda.gov/scripts/cdrh/cfdocs/cfpma/pma.cfm?id=P190024 (accessed on 28 September 2023).
- Zhang, R.; Ge, X.; You, K.; Guo, Y.; Guo, H.; Wang, Y.; Geng, L. p16/Ki67 dual staining improves the detection specificity of high-grade cervical lesions. J. Obstet. Gynaecol. Res. 2018, 44, 2077–2084. [Google Scholar] [CrossRef] [PubMed]
- Allia, E.; Ronco, G.; Coccia, A.; Luparia, P.; Macrì, L.; Fiorito, C.; Maletta, F.; Deambrogio, C.; Tunesi, S.; De Marco, L.; et al. Interpretation of p16(INK4a) /Ki-67 dual immunostaining for the triage of human papillomavirus-positive women by experts and nonexperts in cervical cytology. Cancer Cytopathol. 2015, 123, 212–218. [Google Scholar] [CrossRef] [PubMed]
- Hu, Y.; Hong, Z.; Gu, L.; Xie, L.; Yang, B.; Dai, H.; Chen, H.; Zhang, B.; Huang, L.; Liu, Z.; et al. Evaluation of p16/Ki-67 Dual-Stained Cytology in Triaging HPV-Positive Women during Cervical Cancer Screening. Cancer Epidemiol. Biomark. Prev. 2020, 29, 1246–1252. [Google Scholar] [CrossRef] [PubMed]
- Stoler, M.H.; Baker, E.; Boyle, S.; Aslam, S.; Ridder, R.; Huh, W.K.; Wright, T.C., Jr. Approaches to triage optimization in HPV primary screening: Extended genotyping and p16/Ki-67 dual-stained cytology-Retrospective insights from ATHENA. Int. J. Cancer 2020, 146, 2599–2607. [Google Scholar] [CrossRef]
- Gajsek, U.S.; Dovnik, A.; Takac, I.; Ivanus, U.; Jerman, T.; Zatler, S.S.; Fokter, A.R. Diagnostic performance of p16/Ki-67 dual immunostaining at different number of positive cells in cervical smears in women referred for colposcopy. Radiol. Oncol. 2021, 55, 426–432. [Google Scholar] [CrossRef]
- Ryu, A.; Honma, K.; Shingetsu, A.; Tanada, S.; Yamamoto, T.; Nagata, S.; Kamiura, S.; Yamasaki, T.; Ohue, M.; Matsuura, N. Utility of p16/Ki67 double immunocytochemistry for detection of cervical adenocarcinoma. Cancer Cytopathol. 2022, 130, 983–992. [Google Scholar] [CrossRef]
- Barré, S.; Massetti, M.; Leleu, H.; De Bels, F. Organised screening for cervical cancer in France: A cost-effectiveness assessment. BMJ Open 2017, 7, e014626. [Google Scholar] [CrossRef] [PubMed]
- Tantitamit, T.; Khemapech, N.; Havanond, P.; Termrungruanglert, W. Cost-Effectiveness of Primary HPV Screening Strategies and Triage with Cytology or Dual Stain for Cervical Cancer. Cancer Control 2020, 27, 1073274820922540. [Google Scholar] [CrossRef] [PubMed]
- Termrungruanglert, W.; Khemapech, N.; Tantitamit, T.; Sangrajrang, S.; Havanond, P.; Laowahutanont, P. Cost-effectiveness analysis study of HPV testing as a primary cervical cancer screening in Thailand. Gynecol. Oncol. Rep. 2017, 22, 58–63. [Google Scholar] [CrossRef] [PubMed]
- Termrungruanglert, W.; Khemapech, N.; Tantitamit, T.; Havanond, P. Cost effectiveness analysis of HPV primary screening and dual stain cytology triage compared with cervical cytology. J. Gynecol. Oncol. 2019, 30, e17. [Google Scholar] [CrossRef] [PubMed]
- Joura, E.A.; Kyrgiou, M.; Bosch, F.X.; Kesic, V.; Niemenen, P.; Redman, C.W.; Gultekin, M. Human papillomavirus vaccination: The ESGO-EFC position paper of the European society of Gynaecologic Oncology and the European Federation for colposcopy. Eur. J. Cancer 2019, 116, 21–26. [Google Scholar] [CrossRef] [PubMed]
- Kyrgiou, M.; Arbyn, M.; Bergeron, C.; Bosch, F.X.; Dillner, J.; Jit, M.; Kim, J.; Poljak, M.; Nieminen, P.; Sasieni, P.; et al. Cervical screening: ESGO-EFC position paper of the European Society of Gynaecologic Oncology (ESGO) and the European Federation of Colposcopy (EFC). Br. J. Cancer 2020, 123, 510–517. [Google Scholar] [CrossRef] [PubMed]
- Giorgi Rossi, P.; Carozzi, F.; Federici, A.; Ronco, G.; Zappa, M.; Franceschi, S.; Italian Screening in HPV vaccinated girls Consensus Conference group. Cervical cancer screening in women vaccinated against human papillomavirus infection: Recommendations from a consensus conference. Prev. Med. 2017, 98, 21–30. [Google Scholar] [CrossRef]





| STUDY | RISK GROUP | SENSITIVITY (%) | SPECIFICITY (%) |
|---|---|---|---|
| Ikenberg et al. (PALMS study) [76] (aged more than 30) | CIN2+ | 84.7 | 96.2 |
| CIN3+ | 87.2 | 95.9 | |
| Wentzensen et al. (2012) (all age groups) [80] | CIN2+ | 86.4 | 59.5 |
| CIN3+ | 93.2 | 46.1 | |
| Schmidt et al. (EEMAPS trial) (aged more than 18) [75] | CIN2+ (ASC-US) | 90.2 | 80.6 |
| CIN3 (ASC-US) | 92.2 | NA | |
| CIN2+ (LSIL) | 94.2 | 68.0 | |
| CIN3 (LSIL) | 95.8 | NA | |
| Petry et al. [79] | CIN2+ | 91.9 | 82.1 |
| CIN3+ | 96.4 | 76.9 | |
| Wentzensen et al. (2015) (all age groups) [77] | CIN2+ | 70.7 | 70.8 |
| CIN3+ | 81.3 | 69.6 | |
| Waldstrom et al. (all age groups) [81] | CIN2+ | 88.5 | 51.3 |
| CIN3+ | 95.7 | 48.2 | |
| Killeen et al. [15] | CIN2+ | 94.3 | 61.9 |
| CIN3+ | NA | NA | |
| Uijterwaal et al. [82] | CIN2+ | 68.8 | 72.8 |
| CIN3+ | 73.3 | 70.0 |
Disclaimer/Publisher’s Note: The statements, opinions and data contained in all publications are solely those of the individual author(s) and contributor(s) and not of MDPI and/or the editor(s). MDPI and/or the editor(s) disclaim responsibility for any injury to people or property resulting from any ideas, methods, instructions or products referred to in the content. |
© 2023 by the authors. Licensee MDPI, Basel, Switzerland. This article is an open access article distributed under the terms and conditions of the Creative Commons Attribution (CC BY) license (https://creativecommons.org/licenses/by/4.0/).
Share and Cite
Dovnik, A.; Repše Fokter, A. The Role of p16/Ki67 Dual Staining in Cervical Cancer Screening. Curr. Issues Mol. Biol. 2023, 45, 8476-8491. https://doi.org/10.3390/cimb45100534
Dovnik A, Repše Fokter A. The Role of p16/Ki67 Dual Staining in Cervical Cancer Screening. Current Issues in Molecular Biology. 2023; 45(10):8476-8491. https://doi.org/10.3390/cimb45100534
Chicago/Turabian StyleDovnik, Andraž, and Alenka Repše Fokter. 2023. "The Role of p16/Ki67 Dual Staining in Cervical Cancer Screening" Current Issues in Molecular Biology 45, no. 10: 8476-8491. https://doi.org/10.3390/cimb45100534
APA StyleDovnik, A., & Repše Fokter, A. (2023). The Role of p16/Ki67 Dual Staining in Cervical Cancer Screening. Current Issues in Molecular Biology, 45(10), 8476-8491. https://doi.org/10.3390/cimb45100534
