The Immunohistochemical Expression of MCM-3, -5, and -7 Proteins in the Uterine Fibroids
Abstract
1. Introduction
1.1. Epidemiology
1.2. Risk Factors
1.3. MCM Proteins
1.4. Aim of the Study
2. Materials and Methods
2.1. Patient Characteristics
2.2. Tissue Obtaining
2.3. Tissue Microarray Preparation (TMA)
2.4. Immunohistochemistry (IHC)
2.5. Evaluation of Reactions
2.6. Statistical Analysis
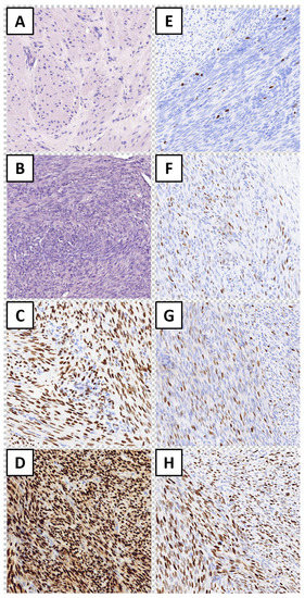
3. Results
4. Discussion
5. Conclusions
- Cells constituting uterine fibroids are characterized by a higher proliferative potential assessed by the expression of the Ki-67 antigen and the tested MCM family proteins compared to unchanged cells of the endometrium.
- Due to the observed correlation of the expression of both steroid receptors, ER and PgR, with the expression of MCM-7, it seems that it is a protein of the MCM family that deserves the greatest attention.
- Expression of the studied markers in relation to clinical data showed statistically significant relationships only in terms of obstetric history, oral contraception, and smoking habits, which suggests the possibility of using the expression of the abovementioned markers in these groups of patients.
- The obtained results indicate the need for further research with the use of MCM family proteins in order to verify the possibility of their clinical use as a proliferative marker, which is an alternative to the routinely determined Ki67 antigen.
Author Contributions
Funding
Institutional Review Board Statement
Informed Consent Statement
Data Availability Statement
Conflicts of Interest
References
- Downes, E.; Sikirica, V.; Gilabert-Estelles, J.; Bolge, S.C.; Dodd, S.L.; Maroulis, C.; Subramanian, D. The burden of uterine fibroids in five European countries. Eur. J. Obstet. Gynecol. Reprod. Biol. 2010, 152, 96–102. [Google Scholar] [CrossRef]
- De La Cruz, M.S.; Buchanan, E. Uterine fibroid tumors: Diagnosis and treatment. Am. Fam. Physician 2017, 95, 100–107. [Google Scholar] [PubMed]
- Baird, D.D.; Dunson, D.B.; Hill, M.C.; Cousins, D.; Schectman, J.M. High cumulative incidence of uterine leiomyoma in black and white women: Ultrasound evidence. Am. J. Obstet. Gynecol. 2003, 188, 100–107. [Google Scholar] [CrossRef]
- Mayerhofer, K.; Lozanov, P.; Bodner, K.; Bodner-Adler, B.; Kimberger, O.; Czerwenka, K. Ki-67 expression in patients with uterine leiomyomas, uterine smooth muscle tumors of uncertain malignant potential (STUMP) and uterine leiomyosarcomas (LMS). Acta Obstet. Gynecol. Scand. 2004, 83, 1085–1088. [Google Scholar] [CrossRef] [PubMed]
- Marshall, L.M.; Spiegelman, D.; Barbieri, R.L.; Goldman, M.B.; Manson, J.E.; Colditz, G.; Willett, W.C.; Hunter, D.J. Variation in the Incidence of Uterine Leiomyoma Among Premenopausal Women by Age and Race. Obstet. Gynecol. 1997, 90, 967–973. [Google Scholar] [CrossRef]
- Zaloudek, C.J.; Hendrickson, M.R.; Soslow, R.A. Mesenchymal Tumors of the Uterus. In Blaustein’s Pathology of the Female Genital Tract, 5th ed.; Kurman, R.J., Ed.; Springer: New York, NY, USA, 2002; pp. 561–578. [Google Scholar]
- Stewart, E.; Laughlin-Tommaso, S.K.; Catherino, W.H.; Lalitkumar, S.; Gupta, D.; Vollenhoven, B. Uterine fibroids. Nat. Rev. Dis. Prim. 2016, 2, 16043. [Google Scholar] [CrossRef] [PubMed]
- Huyck, K.L.; Panhuysen, C.I.; Cuenco, K.T.; Zhang, J.; Goldhammer, H.; Jones, E.S.; Somasundaram, P.; Lynch, A.M.; Harlow, B.; Lee, H.; et al. The impact of race as a risk factor for symptom severity and age at diagnosis of uterine leiomyomata among affected sisters. Am. J. Obstet. Gynecol. 2008, 198, 168.e1–168.e9. [Google Scholar] [CrossRef]
- D’Aloisio, A.A.; Baird, D.; DeRoo, L.A.; Sandler, D.P. Association of Intrauterine and Early-Life Exposures with Diagnosis of Uterine Leiomyomata by 35 Years of Age in the Sister Study. Environ. Heal. Perspect. 2010, 118, 375–381. [Google Scholar] [CrossRef]
- Lumbiganon, P.; Rugpao, S.; Phandhu-Fung, S.; Laopaiboon, M.; Vudhikamraksa, N.; Werawatakul, Y. Protective effect of depot-medroxyprogesterone acetate on surgically treated uterine leiomyomas: A multicentre case-control study. BJOG Int. J. Obstet. Gynaecol. 1996, 103, 909–914. [Google Scholar] [CrossRef]
- Marshall, L.M.; Spiegelman, D.; Goldman, M.B.; Manson, J.E.; Colditz, G.; Barbieri, R.L.; Stampfer, M.J.; Hunter, D.J. A prospective study of reproductive factors and oral contraceptive use in relation to the risk of uterine leiomyomata. Fertil. Steril. 1998, 70, 432–439. [Google Scholar] [CrossRef]
- Terry, K.L.; De Vivo, I.; Hankinson, S.E.; Missmer, S.A. Reproductive characteristics and risk of uterine leiomyomata. Fertil. Steril. 2010, 94, 2703–2707. [Google Scholar] [CrossRef]
- Chen, C.-R.; Buck, G.M.; Courey, N.G.; Perez, K.M.; Wactawski-Wende, J. Risk Factors for Uterine Fibroids among Women Undergoing Tubal Sterilization. Am. J. Epidemiol. 2001, 153, 20–26. [Google Scholar] [CrossRef]
- Chen, H.-W.; Liu, J.C.; Chen, J.J.; Lee, Y.-M.; Hwang, J.-L.; Tzeng, C.-R. Combined differential gene expression profile and pathway enrichment analyses to elucidate the molecular mechanisms of uterine leiomyoma after gonadotropin-releasing hormone treatment. Fertil. Steril. 2008, 90, 1219–1225. [Google Scholar] [CrossRef]
- Parazzini, F.; Negri, E.; La Vecchia, C.; Chatenoud, L.; Ricci, E.; Guarnerio, P. Reproductive Factors and Risk of Uterine Fibroids. Epidemiology 1996, 7, 440–442. [Google Scholar] [CrossRef]
- Ross, R.K.; Pike, M.C.; Vessey, M.P.; Bull, D.; Yeates, D.; Casagrande, J.T. Risk factors for uterine fibroids: Reduced risk associated with oral contraceptives. BMJ 1986, 293, 359–362. [Google Scholar] [CrossRef] [PubMed]
- Wise, L.A. Reproductive Factors, Hormonal Contraception, and Risk of Uterine Leiomyomata in African-American Women: A Prospective Study. Am. J. Epidemiol. 2004, 159, 113–123. [Google Scholar] [CrossRef] [PubMed]
- Samadi, A.R.; Lee, N.C.; Flanders, W.D.; Boring, J.R.; Parris, E.B. Risk factors for self-reported uterine fibroids: A case-control study. Am. J. Public Health 1996, 86, 858–862. [Google Scholar] [CrossRef] [PubMed]
- Marshall, L.M.; Spiegelman, D.; Manson, J.E.; Goldman, M.B.; Barbieri, R.L.; Stampfer, M.J.; Willett, W.C.; Hunter, D.J. Risk of Uterine Leiomyomata among Premenopausal Women in Relation to Body Size and Cigarette Smoking. Epidemiology 1998, 9, 511–517. [Google Scholar] [CrossRef]
- Wise, L.A.; Palmer, J.; Harlow, B.; Spiegelman, D.; Stewart, E.; Adams-Campbell, L.L.; Rosenberg, L. Risk of uterine leiomyomata in relation to tobacco, alcohol and caffeine consumption in the Black Women’s Health Study. Hum. Reprod. 2004, 19, 1746–1754. [Google Scholar] [CrossRef] [PubMed]
- Nagata, C.; Nakamura, K.; Oba, S.; Hayashi, M.; Takeda, N.; Yasuda, K. Association of intakes of fat, dietary fibre, soya isoflavones and alcohol with uter-ine fibroids in Japanese women. Br. J. Nutr. 2009, 101, 1427–1431. [Google Scholar] [CrossRef]
- Reichman, M.E.; Judd, J.T.; Longcope, C.; Schatzkin, A.; Clevidence, B.A.; Nair, P.; Campbell, W.S.; Taylor, P.R. Effects of Alcohol Consumption on Plasma and Urinary Hormone Concentrations in Premenopausal Women. J. Natl. Cancer Inst. 1993, 85, 722–727. [Google Scholar] [CrossRef]
- Stewart, E.A. Clinical practice. Uterine Fibroids. N. Engl. J. Med. 2015, 372, 1646–1655. [Google Scholar] [CrossRef] [PubMed]
- Parazzini, F.; Negri, E.; La Vecchia, C.; Rabaiotti, M.; Luchini, L.; Villa, A.; Fedele, L. Uterine myomas and smoking. Results from an Italian study. J. Reprod. Med. 1996, 41, 316–320. [Google Scholar] [PubMed]
- Barbieri, R.L.; McShane, P.M.; Ryan, K.J. Constituents of cigarette smoke inhibit human granulosa cell aromatase. Fertil. Steril. 1986, 46, 232–236. [Google Scholar] [CrossRef]
- Michnovicz, J.J.; Hershcopf, R.J.; Naganuma, H.; Bradlow, H.L.; Fishman, J. Increased 2-Hydroxylation of Estradiol as a Possible Mechanism for the Anti-Estrogenic Effect of Cigarette Smoking. N. Engl. J. Med. 1986, 315, 1305–1309. [Google Scholar] [CrossRef]
- Forsburg, S.L. The MCM helicase: Linking checkpoints to the replication fork. Biochem. Soc. Trans. 2008, 36, 114–119. [Google Scholar] [CrossRef]
- Laskey, R. The Croonian Lecture 2001 Hunting the antisocial cancer cell: MCM proteins and their exploitation. Philos. Trans. R. Soc. Lond B Biol. Sci. 2005, 360, 1119–1132. [Google Scholar] [CrossRef][Green Version]
- Lee, Y.S.; Ha, S.-A.; Kim, H.J.; Shin, S.M.; Kim, H.K.; Kim, S.; Kang, C.S.; Lee, K.Y.; Hong, O.K.; Lee, S.-H.; et al. Minichromosome maintenance protein 3 is a candidate proliferation marker in papillary thyroid carcinoma. Exp. Mol. Pathol. 2010, 88, 138–142. [Google Scholar] [CrossRef] [PubMed]
- Hua, C.; Zhao, G.; Li, Y.; Bie, L. Minichromosome Maintenance (MCM) Family as potential diagnostic and prognostic tumor markers for human gliomas. BMC Cancer 2014, 14, 526. [Google Scholar] [CrossRef] [PubMed]
- Ashkavandi, Z.J.; Najvani, A.D.; Tadbir, A.A.; Pardis, S.; Ranjbar, M.A.; Ashraf, M.J. MCM3 as a Novel Diagnostic Marker in Benign and Malignant Salivary Gland Tumors. Asian Pac. J. Cancer Prev. 2013, 14, 3479–3482. [Google Scholar] [CrossRef]
- Nodin, B.; Fridberg, M.; Jonsson, L.; Bergman, J.; Uhlén, M.; Jirström, K. High MCM3 expression is an independent biomarker of poor prognosis and correlates with reduced RBM3 expression in a prospective cohort of malignant melanoma. Diagn. Pathol. 2012, 7, 82. [Google Scholar] [CrossRef]
- Kobierzycki, C.; Pula, B.; Skiba, M.; Jablonska, K.; Latkowski, K.; Zabel, M.; Nowak-Markwitz, E.; Spaczynski, M.; Kedzia, W.; Podhorska-Okolow, M.; et al. Comparison of minichromosome maintenance proteins (MCM-3, MCM-7) and metallothioneins (MT-I/II, MT-III) expression in relation to clinicopathological data in ovarian cancer. Anticancer Res. 2013, 33, 5375–5384. [Google Scholar] [PubMed]
- Huber, W.; Carey, V.J.; Gentleman, R.; Anders, S.; Carlson, M.; Carvalho, B.S.; Bravo, H.C.; Davis, S.; Gatto, L.; Girke, T.; et al. Orchestrating high-throughput genomic analysis with Bioconductor. Nat. Methods 2015, 12, 115–121. [Google Scholar] [CrossRef] [PubMed]
- Kebebew, E.; Peng, M.; Reiff, E.; Duh, Q.-Y.; Clark, O.H.; McMillan, A. Diagnostic and Prognostic Value of Cell-cycle Regulatory Genes in Malignant Thyroid Neoplasms. World J. Surg. 2006, 30, 767–774. [Google Scholar] [CrossRef] [PubMed]
- Murphy, N.; Ring, M.; Heffron, C.C.B.B.; King, B.; Killalea, A.G.; Hughes, C.; Martin, C.M.; McGuinness, E.; Sheils, O.; O’Leary, J.J. p16INK4A, CDC6, and MCM5: Predictive biomarkers in cervical preinvasive neoplasia and cervical cancer. J. Clin. Pathol. 2005, 58, 525–534. [Google Scholar] [CrossRef] [PubMed]
- Yu, S.-Y.; Wang, Y.-P.; Chang, J.Y.-F.; Shen, W.-R.; Chen, H.-M.; Chiang, C.-P. Increased expression of MCM5 is significantly associated with aggressive progression and poor prognosis of oral squamous cell carcinoma. J. Oral Pathol. Med. 2014, 43, 344–349. [Google Scholar] [CrossRef] [PubMed]
- Sterner, J.M.; Dew-Knight, S.; Musahl, C.; Kornbluth, S.; Horowitz, J.M. Negative Regulation of DNA Replication by the Retinoblastoma Protein Is Mediated by Its Association with MCM7. Mol. Cell. Biol. 1998, 18, 2748–2757. [Google Scholar] [CrossRef]
- Wang, Y.; Xu, F.; Hall, F.L. The MAT1 cyclin-dependent kinase-activating kinase (CAK) assembly/targeting factor interacts physically with the MCM7 DNA licensing factor. FEBS Lett. 2000, 484, 17–21. [Google Scholar] [CrossRef]
- Chan, K.K.; Tsui, S.K.; Ngai, S.M.; Lee, S.M.; Kotaka, M.; Waye, M.M.Y.; Lee, C.-Y.; Fung, K.-P. Protein-protein interaction of FHL2, a LIM domain protein preferentially ex-pressed in human heart, with hCDC47. J. Cell Biochem. 2000, 76, 499–508. [Google Scholar] [CrossRef]
- Strati, K.; Pitot, H.C.; Lambert, P.F. Identification of biomarkers that distinguish human papillomavirus (HPV)-positive versus HPV-negative head and neck cancers in a mouse model. Proc. Natl. Acad. Sci. USA 2006, 103, 14152–14157. [Google Scholar] [CrossRef]
- Padmanabhan, V.; Callas, P.; Philips, G.; Trainer, T.D.; Beatty, B.G. DNA replication regulation protein Mcm7 as a marker of proliferation in prostate cancer. J. Clin. Pathol. 2004, 57, 1057–1062. [Google Scholar] [CrossRef]
- Cromer, A.; Carles, A.; Millon, R.; Ganguli, G.; Chalmel, F.; Lemaire, F.; Young, J.; Dembélé, D.; Thibault, C.; Muller, D.; et al. Identification of genes associated with tumorigenesis and metastatic potential of hypopharyngeal cancer by microarray analysis. Oncogene 2004, 23, 2484–2498. [Google Scholar] [CrossRef] [PubMed]
- Rubisz, P.; Ciebiera, M.; Hirnle, L.; Zgliczyńska, M.; Łoziński, T.; Dzięgiel, P.; Kobierzycki, C. The Usefulness of Immunohistochemistry in the Differential Diagnosis of Lesions Originating from the Myometrium. Int. J. Mol. Sci. 2019, 20, 1136. [Google Scholar] [CrossRef]
- Grützmann, R.; Pilarsky, C.; Ammerpohl, O.; Luttges, J.; Böhme, A.; Sipos, B.; Foerder, M.; Alldinger, I.; Jahnke, B.; Schackert, H.K.; et al. Gene Expression Profiling of Microdissected Pancreatic Ductal Carcinomas Using High-Density DNA Microarrays. Neoplasia 2004, 6, 611–622. [Google Scholar] [CrossRef]
- Chuang, T.-D.; Luo, X.; Panda, H.; Chegini, N. miR-93/106b and Their Host Gene, MCM7, Are Differentially Expressed in Leiomyomas and Functionally Target F3 and IL-8. Mol. Endocrinol. 2012, 26, 1028–1042. [Google Scholar] [CrossRef]
- Keyhanian, K.; Lage, J.M.; Chernetsova, E.; Sekhon, H.; Eslami, Z.; Islam, S. Combination of MCM2 With Ki67 and p16 Immunohistochemistry Can Distinguish Uterine Leiomyosarcomas. Int. J. Gynecol. Pathol. 2020, 39, 354–361. [Google Scholar] [CrossRef] [PubMed]
- Amada, S.; Nakano, H.; Tsuneyoshi, M. Leiomyosarcoma versus bizarre and cellular leiomyomas of the uterus: A comparative study based on the MIB-1 and proliferating cell nuclear antigen indices, p53 expression, DNA flow cytometry, and muscle specific actins. Int. J. Gynecol. Pathol. 1995, 14, 134–142. [Google Scholar] [CrossRef]
- Zhai, Y.-L.; Kobayashi, Y.; Mori, A.; Orii, A.; Nikaido, T.; Konishi, I.; Fujii, S. Expression of Steroid Receptors, Ki-67, and p53 in Uterine Leiomyosarcomas. Int. J. Gynecol. Pathol. 1999, 18, 20–28. [Google Scholar] [CrossRef]
- Akhan, S.E.; Yavuz, E.; Tecer, A.; Iyibozkurt, C.A.; Topuz, S.; Tuzlalı, S.; Bengisu, E.; Berkman, S. The expression of Ki-67, p53, estrogen and progesterone receptors affecting survival in uterine leiomyosarcomas. A clinicopathologic study. Gynecol. Oncol. 2005, 99, 36–42. [Google Scholar] [CrossRef] [PubMed]
- Mittal, K.; Demopoulos, R.I. MIB-1 (Ki-67), p53, estrogen receptor, and progesterone receptor expression in uterine smooth muscle tumors. Hum. Pathol. 2001, 32, 984–987. [Google Scholar] [CrossRef]
- Hewedi, I.H.; Radwan, N.A.; Shash, L.S. Diagnostic value of progesterone receptor and p53 expression in uterine smooth muscle tumors. Diagn. Pathol. 2012, 7, 1. [Google Scholar] [CrossRef] [PubMed]
- Bedkowska, G.E.; Ławicki, S.; Szmitkowski, M. Molecular markers of carcinogenesis in the diagnostics of cervical cancer. Postępy Higieny i Medycyny Doświadczalnej 2009, 63, 99–105. [Google Scholar] [PubMed]
- Nowińska, K.; Dzięgiel, P. [The role of MCM proteins in cell proliferation and tumorigenesis]. Postępy Higieny i Medycyny Doświadczalnej 2010, 64, 627–635. [Google Scholar]
- Liu, H.; Takeuchi, S.; Moroi, Y.; Lin, N.; Urabe, K.; Kokuba, H.; Imafuku, S.; Dainichi, T.; Uchi, H.; Furue, M.; et al. Expression of minichromosome maintenance 5 protein in proliferative and malignant skin diseases. Int. J. Dermatol. 2007, 46, 1171–1176. [Google Scholar] [CrossRef]
- Freeman, A.; Morris, L.S.; Mills, A.D.; Stoeber, K.; Laskey, R.A.; Williams, G.H.; Coleman, N. Minichromosome Maintenance Proteins as Biological Markers of Dysplasia and Malignancy. Clin. Cancer Res. 1999, 5, 2121–2132. [Google Scholar] [PubMed]
- Mukherjee, G.; Muralidhar, B.; Bafna, U.D.; Laskey, R.A.; Coleman, N.A. MCM immunocytochemistry as a first line cervical screening test in developing countries: A prospective cohort study in a regional cancer centre in India. Br. J. Cancer 2007, 96, 1107–1111. [Google Scholar] [CrossRef] [PubMed]
- Nowinska, K.; Chmielewska, M.; Piotrowska, A.; Pula, B.; Pastuszewski, W.; Krecicki, T.; Podhorska-Okołow, M.; Zabel, M.; Dziegiel, P. Correlation between levels of expression of minichromosome maintenance proteins, Ki-67 proliferation antigen and metallothionein I/II in laryngeal squamous cell cancer. Int. J. Oncol. 2016, 48, 635–645. [Google Scholar] [CrossRef]
- Stoeber, K.; Swinn, R.; Prevost, T.; De Clive-Lowe, P.; Halsall, I.; Dilworth, S.M.; Marr, J.; Turner, W.H.; Bullock, N.; Doble, A.; et al. Diagnosis of Genito-Urinary Tract Cancer by Detection of Minichromosome Maintenance 5 Protein in Urine Sediments. J. Natl. Cancer Inst. 2002, 94, 1071–1079. [Google Scholar] [CrossRef]
- Hall, P.A.; Levison, D.A.; Woods, A.L.; Yu, C.C.-W.; Kellock, D.B.; Watkins, J.A.; Barnes, D.M.; Gillett, C.E.; Camplejohn, R.; Dover, R.; et al. Proliferating cell nuclear antigen (PCNA) immunolocalization in paraffin sections: An index of cell proliferation with evidence of deregulated expression in some, neoplasms. J. Pathol. 1990, 162, 285–294. [Google Scholar] [CrossRef]
- Neiger, R.; Sonek, J.D.; Croom, C.S.; Ventolini, G. Pregnancy-related changes in the size of uterine leiomyomas. J. Reprod. Med 2006, 51, 671–674. [Google Scholar]
- Pan, H.; Deng, Y.; Pollard, J.W. Progesterone blocks estrogen-induced DNA synthesis through the inhibition of replication licensing. Proc. Natl. Acad. Sci. USA 2006, 103, 14021–14026. [Google Scholar] [CrossRef] [PubMed]
- Templeman, C.; Marshall, S.F.; Clarke, C.A.; Henderson, K.D.; Largent, J.; Neuhausen, S.; Reynolds, P.; Ursin, G.; Bernstein, L. Risk factors for surgically removed fibroids in a large cohort of teachers. Fertil. Steril. 2009, 92, 1436–1446. [Google Scholar] [CrossRef]
- Sato, F.; Mori, M.; Nishi, M.; Kudo, R.; Miyake, H. Familial Aggregation of Uterine Myomas in Japanese Women. J. Epidemiol. 2002, 12, 249–253. [Google Scholar] [CrossRef] [PubMed]
- Luoto, R.; Kaprio, J.; Rutanen, E.-M.; Taipale, P.; Perola, M.; Koskenvuo, M. Heritability and risk factors of uterine fibroids—The Finnish Twin Cohort Study. Maturitas 2000, 37, 15–26. [Google Scholar] [CrossRef]
- Kawamura, N.; Ichimura, T.; Ito, F.; Shibata, S.; Takahashi, K.; Tsujimura, A.; Ishiko, O.; Haba, T.; Wakasa, K.; Ogita, S. Transcervical needle biopsy for the differential diagnosis between uterine sarcoma and leiomyoma. Cancer 2002, 94, 1713–1720. [Google Scholar] [CrossRef] [PubMed]

| Feature | M ± SD | Me (Q1–Q3) | Min–Max |
|---|---|---|---|
| Age (year) | 46.0 ± 9.2 | 45 (40–50) | 30–75 |
| Body weight (kg) | 67.4 ± 11.0 | 68 (60–73) | 46–100 |
| Height (cm) | 164 ± 5 | 164 (160–168) | 153–178 |
| BMI (kg/cm2) | 25.0 ± 3.7 | 24.9 (22.6–26.9) | 18.4–35.6 |
| Date of the first menstruation (age) | 13.3 ± 1.7 | 13.5 (13–14) | 9–17 |
| Lenght of the cycle 1 (days) | 27.0 ± 3.4 | 28 (26–28) | 16–35 |
| Lenght of the cycle 2 (days) | 30.0 ± 5.0 | 28 (28–30) | 20–47 |
| Lenght of the bleeding (days) | 6.6 ± 2.3 | 6.5 (5–7) | 4–14 |
| Number of tampons (no.) | 12.3 ± 8.0 | 10 (7–20) | 5–40 |
| The severity of menstrual pain (NRS) | 4.7 ± 3.5 | 5 (0–8) | 0–10 |
| Pressure on the bladder (NRS) | 2.6 ± 3.2 | 0 (0–5) | 0–10 |
| Hb level before surgery (g/dl) | 12.77 ± 1.37 | 13.0 (11.8–13.6) | 10.1–15.6 |
| Hb level after surgery (g/dl) | 11.23 ± 1.43 | 11.2 (10.2–12.1) | 8.6–14.9 |
| Number of pregnancies (no.) | 1.8 ± 1.0 | 2 (1–2.5) | 0–4 |
| Number of deliveries (no.) | 1.5 ± 1.0 | 2 (1–2) | 0–3 |
| Age at first pregnancy (age) | 23.8 ± 3.4 | 24 (21–26) | 18–33 |
| Years since last childbirth (no.) | 20.1 ± 6.8 | 20 (16–25) | 3–31 |
| Number of fibroids (no.) | 2.5 ± 1.7 | 2 (1–4) | 1–7 |
| The size of the largest fibroid (cm) | 5.3 ± 2.6 | 5 (3.5–6.5) | 1–14 |
| Features | N | % |
|---|---|---|
| Menstruation | 35 | 79.5% |
| Regular periods | 36 | 81.8% |
| The presence of blood clots | 37 | 84.1% |
| Menstrual pain | 31 | 70.5% |
| Analgesics | 21 | 47.7% |
| Ibuprofen | 16 | 36.4% |
| Paracetamol | 4 | 9.1% |
| Ketoprofen | 2 | 4.5% |
| Nimesulide | 1 | 2.3% |
| Pain: | ||
| Constant | 12 | 27.3% |
| Before menstruation | 1 | 2.3% |
| Halfway through the cycle | 1 | 2.3% |
| Lack | 30 | 68.2% |
| Pressure on the bladder | 19 | 43.2% |
| Pollakiuria | 18 | 40.9% |
| History of anemia | 14 | 31.8% |
| History of blood transfusions | 4 | 9.1% |
| Sterility | 5 | 11.4% |
| Chronic diseases: | 21 | 47.7% |
| Diabetes | 2 | 4.5% |
| Hypertension | 6 | 13.6% |
| Heart arrhythmia | 2 | 4.5% |
| Lyme disease | 2 | 4.5% |
| Hypothyroidism | 6 | 13.6% |
| Gynecological diseases: | 16 | 36.4% |
| Ovarian cyst | 5 | 11.4% |
| Family history of uterine fibroids (medical history) | 16 | 36.4% |
| Mother | 13 | 70.5% |
| Sister | 4 | 9.1% |
| Grandmother | 3 | 6.8% |
| Nicotinism | 8 | 18.2% |
| Recurrent pelvic infections | 4 | 9.1% |
| Oral contraceptive pills | 11 | 25.0% |
| Conservative treatment (ESMYA) | 3 | 6.8% |
| Procreation plans | 2 | 4.5% |
| Operations in the interview | 31 | 70.5% |
| Ki-67 | ER | PgR | MCM-3 | MCM-5 | MCM-7 | |
|---|---|---|---|---|---|---|
| Ki-67 | r = −0.033 p > 0.05 | r = 0.010 p > 0.05 | r = 0.549 p < 0.001 | r = 0.579 p < 0.001 | r = 0.313 p < 0.05 | |
| ER | r = 0.693 p < 0.001 | r = 0.114 p > 0.05 | r = 0.195 p > 0.05 | r = 0.468 p < 0.01 | ||
| PgR | r = 0.130 p > 0.05 | r = 0.172 p > 0.05 | r = 0.341 p < 0.05 | |||
| MCM-3 | r = 0.727 p < 0.001 | r = 0.673 p < 0.001 | ||||
| MCM-5 | r = 0.687 p < 0.001 | |||||
| MCM-7 |
Publisher’s Note: MDPI stays neutral with regard to jurisdictional claims in published maps and institutional affiliations. |
© 2021 by the authors. Licensee MDPI, Basel, Switzerland. This article is an open access article distributed under the terms and conditions of the Creative Commons Attribution (CC BY) license (https://creativecommons.org/licenses/by/4.0/).
Share and Cite
Rubisz, P.; Hirnle, L.; Kobierzycki, C. The Immunohistochemical Expression of MCM-3, -5, and -7 Proteins in the Uterine Fibroids. Curr. Issues Mol. Biol. 2021, 43, 802-817. https://doi.org/10.3390/cimb43020058
Rubisz P, Hirnle L, Kobierzycki C. The Immunohistochemical Expression of MCM-3, -5, and -7 Proteins in the Uterine Fibroids. Current Issues in Molecular Biology. 2021; 43(2):802-817. https://doi.org/10.3390/cimb43020058
Chicago/Turabian StyleRubisz, Piotr, Lidia Hirnle, and Christopher Kobierzycki. 2021. "The Immunohistochemical Expression of MCM-3, -5, and -7 Proteins in the Uterine Fibroids" Current Issues in Molecular Biology 43, no. 2: 802-817. https://doi.org/10.3390/cimb43020058
APA StyleRubisz, P., Hirnle, L., & Kobierzycki, C. (2021). The Immunohistochemical Expression of MCM-3, -5, and -7 Proteins in the Uterine Fibroids. Current Issues in Molecular Biology, 43(2), 802-817. https://doi.org/10.3390/cimb43020058

