Design, Synthesis, and Biological Evaluation of a Novel [18F]AlF-H3RESCA-FAPI Radiotracer Targeting Fibroblast Activation Protein
Abstract
1. Introduction
2. Results
2.1. Docking Simulations
2.2. ADMET Profiling Study
2.3. Binding Affinity
2.4. Chemical and Radiochemical Synthesis
2.5. Octanol–Water Partition Coefficient and Stability Assay
2.6. Plasma Clearance
2.7. PET/CT Imaging
2.8. Biodistribution
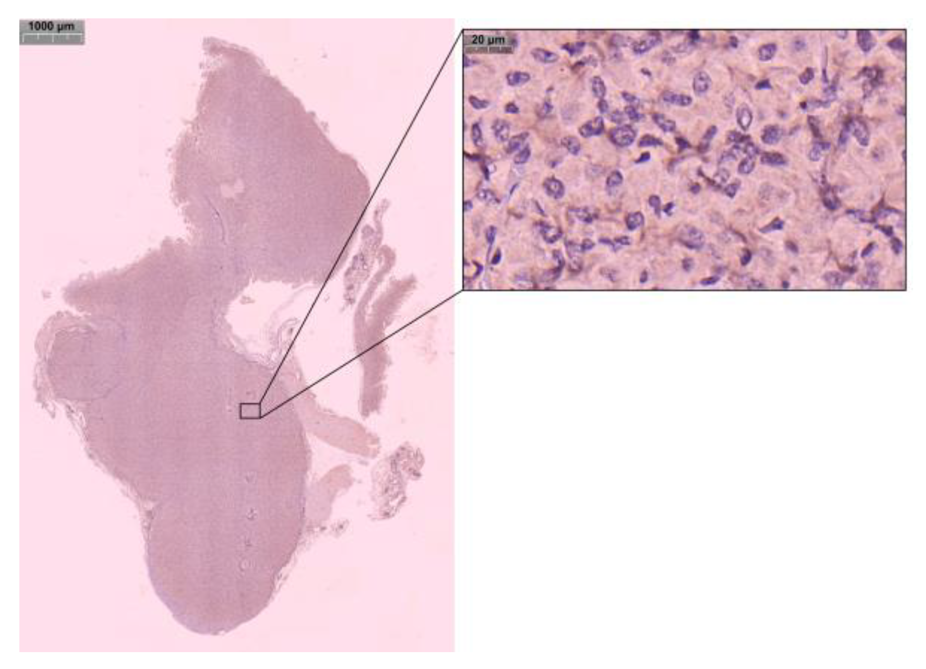
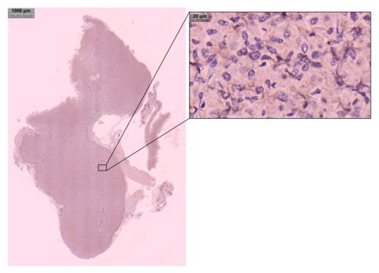
2.9. Immunohistochemical
3. Discussion
4. Materials and Methods
4.1. General
4.2. Molecular Docking
4.3. ADMET Profiling Studies
4.4. Chemistry
4.5. Binding Affinity Measurement
4.6. Radiochemistry and Quality Control
4.7. Partition Coefficient
4.8. In Vitro and In Vivo Stability
4.9. Pharmacokinetics in Normal Mice
4.10. PET Imaging
4.11. Biodistribution Studies
4.12. Immunohistochemical Staining
4.13. Statistical Analysis
5. Conclusions
Supplementary Materials
Author Contributions
Funding
Institutional Review Board Statement
Informed Consent Statement
Data Availability Statement
Acknowledgments
Conflicts of Interest
Abbreviations
| HPLC | High-performance liquid chromatography |
| RCY | Radiochemical yield |
| RCP | Radiochemical purity |
| PET | Positron emission tomography |
| NOTA | Hexadentate ligand 1,4,7-triazacyclononane-1,4,7-triacetic acid |
| RESCA | Restrained complexing agent |
| DOTA | 2,2′2″,2-(1,4,7,10-Tetraazacyclododecane-1,4,7,10-tetrayl)tetraacetic acid |
| QMA | Quaternary methyl ammonium |
| SUV | Standardized uptake value |
| NODAGA | N,N′,N″-(1,4,7-triazacyclononane-1,4,7-triyl)triacetic acid |
| 2-AMPTA | 2-Aminomethyl-4,5-dihydroxyphenylacetic acid |
| DTPA | Diethylenetriaminepentaacetic acid |
| NaHP | Na2HPO4 |
| Am | Molar activity |
| Bq | Becquerel |
| FAP | Fibroblast activation protein |
| CAFs | Cancer-associated fibroblasts |
| %ID/g | Percentage of injected dose per gram of tissue |
| SPR | Surface plasmon resonance |
| p.i. | Post-injection |
References
- Chen, X.; Song, E. Turning foes to friends: Targeting cancer-associated fibroblasts. Nat. Rev. Drug. Discov. 2018, 18, 99–115. [Google Scholar] [CrossRef]
- Puré, E.; Blomberg, R. Pro-tumorigenic roles of fibroblast activation protein in cancer: Back to the basics. Oncogene 2018, 37, 4343–4357. [Google Scholar] [CrossRef]
- Lindner, T.; Loktev, A.; Giesel, F.; Kratochwil, C.; Altmann, A.; Haberkorn, U. Targeting of activated fibroblasts for imaging and therapy. EJNMMI Radiopharm. Chem. 2019, 4, 1. [Google Scholar] [CrossRef]
- Hamson, E.J.; Keane, F.M.; Tholen, S.; Schilling, O.; Gorrell, M.D. Understanding fibroblast activation protein (FAP): Substrates, activities, expression and targeting for cancer therapy. Proteomics. Clin. Appl. 2014, 8, 454–463. [Google Scholar] [CrossRef] [PubMed]
- Lamprecht, S.; Sigal-Batikoff, I.; Shany, S.; Abu-Freha, N.; Ling, E.; Delinasios, G.J.; Moyal-Atias, K.; Delinasios, J.G.; Fich, A. Teaming Up for Trouble: Cancer Cells, Transforming Growth Factor-β1 Signaling and the Epigenetic Corruption of Stromal Naïve Fibroblasts. Cancers 2018, 10, 10030061. [Google Scholar] [CrossRef]
- Bu, L.; Baba, H.; Yoshida, N.; Miyake, K.; Yasuda, T.; Uchihara, T.; Tan, P.; Ishimoto, T. Biological heterogeneity and versatility of cancer-associated fibroblasts in the tumor microenvironment. Oncogene 2019, 38, 4887–4901. [Google Scholar] [CrossRef]
- Busek, P.; Mateu, R.; Zubal, M.; Kotackova, L.; Sedo, A. Targeting fibroblast activation protein in cancer—Prospects and caveats. Front. Biosci. 2018, 23, 1933–1968. [Google Scholar] [CrossRef]
- Šimková, A.; Bušek, P.; Šedo, A.; Konvalinka, J. Molecular recognition of fibroblast activation protein for diagnostic and therapeutic applications. Biochim. Biophys. Acta Proteins Proteom. 2020, 1868, 140409. [Google Scholar] [CrossRef] [PubMed]
- Jansen, K.; Heirbaut, L.; Verkerk, R.; Cheng, J.D.; Joossens, J.; Cos, P.; Maes, L.; Lambeir, A.-M.; De Meester, I.; Augustyns, K.; et al. Extended Structure–Activity Relationship and Pharmacokinetic Investigation of (4-Quinolinoyl)glycyl-2-cyanopyrrolidine Inhibitors of Fibroblast Activation Protein (FAP). J. Med. Chem. 2014, 57, 3053–3074. [Google Scholar] [CrossRef] [PubMed]
- Jansen, K.; Heirbaut, L.; Cheng, J.D.; Joossens, J.; Ryabtsova, O.; Cos, P.; Maes, L.; Lambeir, A.-M.; De Meester, I.; Augustyns, K.; et al. Selective Inhibitors of Fibroblast Activation Protein (FAP) with a (4-Quinolinoyl)-glycyl-2-cyanopyrrolidine Scaffold. ACS. Med. Chem. Lett. 2013, 4, 491–496. [Google Scholar] [CrossRef]
- Lindner, T.; Loktev, A.; Altmann, A.; Giesel, F.; Kratochwil, C.; Debus, J.; Jäger, D.; Mier, W.; Haberkorn, U. Development of Quinoline-Based Theranostic Ligands for the Targeting of Fibroblast Activation Protein. J. Nucl. Med. 2018, 59, 1415–1422. [Google Scholar] [CrossRef] [PubMed]
- Loktev, A.; Lindner, T.; Mier, W.; Debus, J.; Altmann, A.; Jäger, D.; Giesel, F.; Kratochwil, C.; Barthe, P.; Roumestand, C.; et al. A Tumor-Imaging Method Targeting Cancer-Associated Fibroblasts. J. Nucl. Med. 2018, 59, 1423–1429. [Google Scholar] [CrossRef] [PubMed]
- Loktev, A.; Lindner, T.; Burger, E.-M.; Altmann, A.; Giesel, F.; Kratochwil, C.; Debus, J.; Marmé, F.; Jäger, D.; Mier, W.; et al. Development of Fibroblast Activation Protein–Targeted Radiotracers with Improved Tumor Retention. J. Nucl. Med. 2019, 60, 1421–1429. [Google Scholar] [CrossRef] [PubMed]
- Kratochwil, C.; Flechsig, P.; Lindner, T.; Abderrahim, L.; Altmann, A.; Mier, W.; Adeberg, S.; Rathke, H.; Röhrich, M.; Winter, H.; et al. 68Ga-FAPI PET/CT: Tracer Uptake in 28 Different Kinds of Cancer. J. Nucl. Med. 2019, 60, 801–805. [Google Scholar] [CrossRef] [PubMed]
- Zhang, N.; Pan, F.; Pan, L.; Diao, W.; Su, F.; Huang, R.; Yang, B.; Li, Y.; Qi, Z.; Zhang, W.; et al. Synthesis, radiolabeling, and evaluation of a (4-quinolinoyl)glycyl-2-cyanopyrrolidine analogue for fibroblast activation protein (FAP) PET imaging. Front. Bioeng. Biotechnol. 2023, 11, 1167329. [Google Scholar] [CrossRef] [PubMed]
- Cho, Z.H.; Chan, J.K.; Ericksson, L.; Singh, M.; Graham, S.; MacDonald, N.S.; Yano, Y. Positron ranges obtained from biomedically important positron-emitting radionuclides. J. Nucl. Med. 1975, 16, 1174–1176. [Google Scholar]
- Hu, K.; Li, J.; Wang, L.; Huang, Y.; Li, L.; Ye, S.; Han, Y.; Huang, S.; Wu, H.; Su, J.; et al. Preclinical evaluation and pilot clinical study of [18F]AlF-labeled FAPI-tracer for PET imaging of cancer associated fibroblasts. Acta Pharm. Sin. B 2022, 12, 867–875. [Google Scholar] [CrossRef] [PubMed]
- Yu, Z.; Huang, Y.; Chen, H.; Jiang, Z.; Li, C.; Xie, Y.; Li, Z.; Cheng, X.; Liu, Y.; Li, S.; et al. Design, Synthesis, and Evaluation of 18F-Labeled Tracers Targeting Fibroblast Activation Protein for Brain Imaging. ACS. Pharmacol. Transl. Sci. 2023, 6, 1745–1757. [Google Scholar] [CrossRef]
- Toms, J.; Kogler, J.; Maschauer, S.; Daniel, C.; Schmidkonz, C.; Kuwert, T.; Prante, O. Targeting Fibroblast Activation Protein: Radiosynthesis and Preclinical Evaluation of an 18F-Labeled FAP Inhibitor. J. Nucl. Med. 2020, 61, 1806–1813. [Google Scholar] [CrossRef]
- Zhou, H.; Zhong, J.; Peng, S.; Liu, Y.; Tang, P.; Cai, Z.; Wang, L.; Xu, H.; Hu, K. Synthesis and preclinical evaluation of novel 18F-labeled fibroblast activation protein tracers for positron emission tomography imaging of cancer-associated fibroblasts. Eur. J. Nucl. Med. 2024, 264, 115993. [Google Scholar] [CrossRef]
- Carroll, L.; Holt, D.; Cha, H.; Catazaro, J.; Thorley, K.J.; Dannals, R.F.; Pomper, M.G. Investigating the Mechanism of Aluminum Fluoride Chelation. Inorg. Chem. 2024, 63, 9831–9841. [Google Scholar] [CrossRef]
- Cleeren, F.; Lecina, J.; Bridoux, J.; Devoogdt, N.; Tshibangu, T.; Xavier, C.; Bormans, G. Direct fluorine-18 labeling of heat-sensitive biomolecules for positron emission tomography imaging using the Al18F-RESCA method. Nat. Protoc. 2018, 13, 2330–2347. [Google Scholar] [CrossRef]
- Wegrzyniak, O.; Lechi, F.; Mitran, B.; Cheung, P.; Bitzios, A.; Persson, J.; Löfblom, J.; Nordström, H.; Eriksson, J.; Frejd, F.Y.; et al. Non-invasive PET imaging of liver fibrogenesis using a RESCA-conjugated Affibody molecule. iScience 2024, 27, 109688. [Google Scholar] [CrossRef] [PubMed]
- Wang, X.; Xu, H.; Wang, D. Mechanism of fluoride removal by AlCl3 and Al13: The role of aluminum speciation. J. Hazard. Mater. 2020, 398, 122987. [Google Scholar] [CrossRef]
- Chen, X.; Xia, D.; Zeng, X.; Meng, L.; Wang, Y.; Li, H.; Zhang, J.; Zhao, Z.; Zhuang, R.; Fang, J.; et al. Rational Design and Pharmacomodulation of 18F-Labeled Biotin/FAPI-Conjugated Heterodimers. J. Med. Chem. 2024, 67, 8361–8371. [Google Scholar] [CrossRef] [PubMed]
- Liu, L.; Zhong, J.; Zhang, Z.; Ye, X.; Wang, X.; Liu, S.; Zhang, Z. Preclinical study and first-in-human imaging of [18F]FAP-2286, and comparison with 2-[18F]FDG PET/CT in various cancer patients. Eur. J. Nucl. Med. Mol. Imaging 2024, 51, 2012–2022. [Google Scholar] [CrossRef]
- Craig, A.; Kogler, J.; Laube, M.; Ullrich, M.; Donat, C.K.; Wodtke, R.; Kopka, K.; Stadlbauer, S. Preparation of 18F-Labeled Tracers Targeting Fibroblast Activation Protein via Sulfur [18F]Fluoride Exchange Reaction. Pharmaceutics 2023, 15, 15122749. [Google Scholar] [CrossRef] [PubMed]
- Zhang, X.; Choi, J.Y.; Lee, K.-H.; Choe, Y.S. Synthesis and Evaluation of [18F]SiFA-Conjugated Ligands for Fibroblast Activation Protein Imaging. Mol. Pharm. 2023, 20, 6441–6450. [Google Scholar] [CrossRef]
- Poulie, C.B.M.; Shalgunov, V.; Elvas, F.; Van Rymenant, Y.; Moon, E.-S.; Battisti, U.M.; De Loose, J.; De Meester, I.; Rösch, F.; Van Der Veken, P.; et al. Next generation fibroblast activation protein (FAP) targeting PET tracers—The tetrazine ligation allows an easy and convenient way to 18F-labeled (4-quinolinoyl)glycyl-2-cyanopyrrolidines. Eur. J. Med. Chem. 2023, 262, 115862. [Google Scholar] [CrossRef]
- Fu, L.; Huang, J.; Liu, Q.; Xie, F.; Han, Y.; Sun, P.; Cao, M.; Huang, Y.; Hu, K.; Tang, G. Radiosynthesis, preclinical evaluation and pilot clinical PET imaging study of a 18F-labeled tracer targeting fibroblast activation protein. Bioorg. Chem. 2023, 141, 106878. [Google Scholar] [CrossRef]
- Huang, J.; Fu, L.; Zhang, X.; Huang, S.; Dong, Y.; Hu, K.; Han, Y.; Zhou, K.; Min, C.; Huang, Y.; et al. Noninvasive imaging of FAP expression using positron emission tomography: A comparative evaluation of a [18F]-labeled glycopeptide-containing FAPI with [18F]FAPI-42. Eur. J. Nucl. Med. Mol. Imaging 2023, 50, 3363–3374. [Google Scholar] [CrossRef] [PubMed]
- Li, X.; Ye, J.; Wang, J.; Quan, Z.; Li, G.; Ma, W.; Zhang, M.; Yang, W.; Wang, J.; Ma, T.; et al. First-in-Humans PET Imaging ofKRASG12CMutation Status in Non–Small Cell Lung and Colorectal Cancer Patients Using [18F]PFPMD. J. Nucl. Med. 2023, 64, 1880–1888. [Google Scholar] [CrossRef] [PubMed]
- Yang, T.; Peng, L.; Qiu, J.; He, X.; Zhang, D.; Wu, R.; Liu, J.; Zhang, X.; Zha, Z. A radiohybrid theranostics ligand labeled with fluorine-18 and lutetium-177 for fibroblast activation protein-targeted imaging and radionuclide therapy. Eur. J. Nucl. Med. Mol. Imaging 2023, 50, 2331–2341. [Google Scholar] [CrossRef]
- Wang, Z.; Zhu, B.; Jiang, F.; Chen, X.; Wang, G.; Ding, N.; Song, S.; Xu, X.; Zhang, W. Design, synthesis and evaluation of novel prostate-specific membrane antigen-targeted aryl [18F]fluorosulfate PET tracers. Bioorg. Med. Chem. 2024, 106, 117753. [Google Scholar] [CrossRef] [PubMed]
- Francis, F.; Wuest, M.; Woodfield, J.D.; Wuest, F. Palladium-Mediated S-Arylation of Cysteine Residues with 4-[18F]Fluoroiodobenzene ([18F]FIB). Bioconjug. Chem. 2024, 35, 232–244. [Google Scholar] [CrossRef]










| Ligand | Affinity (kcal/mol) | rmsd 1.b./rmsd u.b. |
|---|---|---|
| DOTA-FAPI-04 | −9.1 | 0.000 |
| NOTA-FAPI-42 | −8.9 | 0.000 |
| H3RESCA-FAPI | −10.0 | 0.000 |
| Tissue | 60 min | 60 min Blocking |
|---|---|---|
| Blood | 0.25 ± 0.08 | 0.20 ± 0.04 |
| Brain | 0.03 ± 0.03 | 0.01 ± 0.00 |
| Heart | 0.27 ± 0.13 | 0.14 ± 0.12 |
| Lung | 0.44 ± 0.16 | 0.06 ± 0.03 |
| Liver | 6.99 ± 1.18 | 1.43 ± 0.70 |
| Kidney | 0.66 ± 0.34 | 0.58 ± 0.29 |
| Spleen | 0.32 ± 0.10 | 0.20 ± 0.07 |
| Pancreas | 0.26 ± 0.13 | 0.09 ± 0.08 |
| Stomach | 0.20 ± 0.17 | 0.02 ± 0.01 |
| Intestine | 0.27 ± 0.19 | 0.02 ± 0.00 |
| Muscle | 0.26 ± 0.06 | 0.07 ± 0.05 |
| Bone | 6.60 ± 1.16 | 0.49 ± 0.23 |
| Tumor | 1.10 ± 0.12 | 0.05 ± 0.02 |
Disclaimer/Publisher’s Note: The statements, opinions and data contained in all publications are solely those of the individual author(s) and contributor(s) and not of MDPI and/or the editor(s). MDPI and/or the editor(s) disclaim responsibility for any injury to people or property resulting from any ideas, methods, instructions or products referred to in the content. |
© 2025 by the authors. Licensee MDPI, Basel, Switzerland. This article is an open access article distributed under the terms and conditions of the Creative Commons Attribution (CC BY) license (https://creativecommons.org/licenses/by/4.0/).
Share and Cite
Zhang, Q.; Hu, Z.; Zhao, H.; Du, F.; Lv, C.; Peng, T.; Zhang, Y.; Zhang, B.; Liu, J.; Wang, C. Design, Synthesis, and Biological Evaluation of a Novel [18F]AlF-H3RESCA-FAPI Radiotracer Targeting Fibroblast Activation Protein. Pharmaceuticals 2025, 18, 277. https://doi.org/10.3390/ph18020277
Zhang Q, Hu Z, Zhao H, Du F, Lv C, Peng T, Zhang Y, Zhang B, Liu J, Wang C. Design, Synthesis, and Biological Evaluation of a Novel [18F]AlF-H3RESCA-FAPI Radiotracer Targeting Fibroblast Activation Protein. Pharmaceuticals. 2025; 18(2):277. https://doi.org/10.3390/ph18020277
Chicago/Turabian StyleZhang, Qingyu, Zhoumi Hu, Haitao Zhao, Fuqiang Du, Chun Lv, Tukang Peng, Yukai Zhang, Bowu Zhang, Jianjun Liu, and Cheng Wang. 2025. "Design, Synthesis, and Biological Evaluation of a Novel [18F]AlF-H3RESCA-FAPI Radiotracer Targeting Fibroblast Activation Protein" Pharmaceuticals 18, no. 2: 277. https://doi.org/10.3390/ph18020277
APA StyleZhang, Q., Hu, Z., Zhao, H., Du, F., Lv, C., Peng, T., Zhang, Y., Zhang, B., Liu, J., & Wang, C. (2025). Design, Synthesis, and Biological Evaluation of a Novel [18F]AlF-H3RESCA-FAPI Radiotracer Targeting Fibroblast Activation Protein. Pharmaceuticals, 18(2), 277. https://doi.org/10.3390/ph18020277

