Bacillus clausii Attenuates 5-Fluorouracil-Induced Intestinal Mucositis in Mice
Abstract
1. Introduction
2. Results
2.1. Effect of B. clausii on Weight Loss and Leukopenia Induced by 5-FU
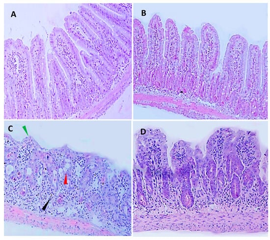
2.2. B. clausii Reduce Histopathological and Morphometry Changes
2.3. B. clausii Effects on MPO and Catalase Activity, Glutathione, Malonaldehyde and Cytokine Levels
2.4. B. clausii Ameliorate the Gastric Emptying and Intestinal Transit
2.5. B. clausii Restores the Intestinal Transport of Water and Electrolytes
2.6. Effect of B. clausii on Contractile Response in Ileal Smooth Muscle
2.7. B. clausii Effects on Intestinal Permeability and Transepithelial Electrical Resistance
3. Discussion
4. Materials and Methods
4.1. Evaluation of Weight Loss and Blood Leukocyte Counts
4.2. Animals
4.3. 5-Fluorouracil-Induced Intestinal Mucositis Model
4.4. Intestinal Morphometry and Histopathology
4.5. MPO Activity and Cytokine Levels
4.6. Glutathione and Malondialdehyde Content and Catalase Activity
4.7. Functional Evaluation of Intestine Segments
4.7.1. Gastric Retention and Gastrointestinal Transit
4.7.2. Intestinal Fluid and Electrolyte Transport
4.7.3. Contractility Measures
4.7.4. Intestinal Permeability and Transepithelial Electrical Resistance (TEER)
4.8. Statistical Analysis
5. Conclusions
Author Contributions
Funding
Institutional Review Board Statement
Informed Consent Statement
Data Availability Statement
Conflicts of Interest
References
- Basile, D.; Di Nardo, P.; Corvaja, C.; Garattini, S.K.; Pelizzari, G.; Lisanti, C.; Gerratana, L. Mucosal Injury during Anti-Cancer Treatment: From Pathobiology to Bedside. Cancers 2019, 11, 857. [Google Scholar] [CrossRef] [PubMed]
- Alexander, J.L.; Wilson, I.D.; Teare, J.; Marchesi, J.R.; Nicholson, J.K.; Kinross, J.M. Gut microbiota modulation of chemotherapy efficacy and toxicity. Nat. Rev. Gastroenterol. Hepatol. 2017, 14, 356–365. [Google Scholar] [CrossRef] [PubMed]
- Soares, P.M.G.; MOTA, J.M.; Gomes, A.S.; Oliveira, R.B.; Assreuy, A.M.S.; Brito, G.A.C.; Souza, M.H. Gastrointestinal dysmotility in 5-fluorouracil-induced intestinal mucositis outlasts inflammatory process resolution. Cancer Chemother. Pharmacol. 2008, 63, 91–98. [Google Scholar] [CrossRef] [PubMed]
- Justino, P.F.C.; Melo, L.F.; Nogueira, A.F.; Costa, J.V.; Silva, L.M.; Santos, C.M.; Mendes, W.O.; Costa, M.R.; Franco, A.X.; Lima, A.A.; et al. Treatment with Saccharomyces boulardii reduces the inflammation and dysfunction of the gastrointestinal tract in 5-fluorouracil-induced intestinal mucositis in mice. Br. J. Nutr. 2014, 111, 1611–1621. [Google Scholar] [CrossRef] [PubMed]
- Justino, P.F.; Melo, L.F.; Nogueira, A.F.; Morais, C.M.; Mendes, W.O.; Franco, A.X.; Soares, P.M.G. Regulatory role of Lactobacillus acidophilus on inflammation and gastric dysmotility in intestinal mucositis induced by 5-fluorouracil in mice. Cancer Chemother. Pharmacol. 2015, 75, 559–567. [Google Scholar] [CrossRef]
- Kato, S.; Hamouda, N.; Kano, Y.; Oikawa, Y.; Tanaka, Y.; Matsumoto, K.; Shimakawa, M. Probiotic Bifidobacterium bifidum G9-1 attenuates 5-fluorouracil induced intestinal mucositis in mice via suppression of dysbiosis related secondary inflammatory responses. Clin. Exp. Pharmacol. Physiol. 2017, 44, 1017–1025. [Google Scholar] [CrossRef]
- Urdaci, M.C.; Bressollier, P.; Pinchuk, I. Bacillus clausii Probiotic Strains: Antimicrobial and Immunomodulatory Activities. J. Clin. Gastroenterol. 2004, 38, S86–S90. [Google Scholar] [CrossRef] [PubMed]
- Spinosa, M.R.; Braccini, T.; Ricca, E.; De Felice, M.; Morelli, L.; Pozzi, G.; Oggioni, M.R. On the fate of ingested Bacillus spores. Res. Microbiol. 2000, 151, 361–368. [Google Scholar] [CrossRef] [PubMed]
- Barbosa, T.M.; Serra, C.R.; La Ragione, R.M.; Woodward, M.J.; Henriques, A.O. Screening for Bacillus isolates in the broiler gastrointestinal tract. Appl. Environ. Microbiol. 2005, 71, 968–978. [Google Scholar] [CrossRef]
- Tuohy, K.M.; Pinart-Gilberga, M.; Jones, M.; Hoyles, L.; McCartney, A.L.; Gibson, G.R. Survivability of a probiotic Lactobacillus casei in the gastrointestinal tract of healthy human volunteers and its impact on the faecal microflora. J. Appl. Microbiol. 2007, 102, 1026–1032. [Google Scholar] [CrossRef]
- Ciprandi, G.; Vizzaccaro, A.; Cirillo, I.; Tosca, M.A. Bacillus clausii effects in children with allergic rhinitis. Allergy 2005, 60, 702–703. [Google Scholar] [CrossRef] [PubMed]
- Quaresma, M.; Damasceno, S.; Monteiro, C.; Lima, F.; Mendes, T.; Lima, M.; Justino, P.; Barbosa, A.; Souza, M.; Souza, E.; et al. Probiotic mixture containing Lactobacillus spp. and Bifidobacterium spp. attenuates 5-fluorouracil-induced intestinal mucositis in mice. Nutr. Cancer 2019, 12, 1355–1365. [Google Scholar] [CrossRef]
- Justino, P.F.; Franco, A.X.; Pontier-Bres, R.; Monteiro, C.E.; Barbosa, A.L.; Souza, M.H.; Soares, P.M. Modulation of 5-fluorouracil activation of toll-like/MyD88/NF-κB/MAPK pathway by Saccharomyces boulardii CNCM I-745 probiotic. Cytokine 2020, 125, 154791. [Google Scholar] [CrossRef]
- van Vliet, M.J.; Harmsen, H.J.; de Bont, E.S.; Tissing, W.J. The role of intestinal microbiota in the development and severity of chemotherapy-induced mucositis. PLoS Pathog. 2010, 6, e1000879. [Google Scholar] [CrossRef] [PubMed]
- Marseglia, G.L.; Tosca, M.; Cirillo, I.; Licari, A.; Leone, M.; Marseglia, A.; Castellazzi, A.M.; Ciprandi, G. Efficacy of Bacillus clausii spores in the prevention of recurrent respiratory infections in children: A pilot study. Ther. Clin. Risk Manag. 2007, 3, 13–17. [Google Scholar] [CrossRef]
- Cutting, S.M. Bacillus probiotics. Food Microbiol. 2011, 28, 214–220. [Google Scholar] [CrossRef] [PubMed]
- Tam, N.K.; Uyen, N.Q.; Hong, H.A.; Le Duc, H.; Hoa, T.T.; Serra, C.R.; Henriques, A.O.; Cutting, S.M. The intestinal life cycle of Bacillus subtilis and close relatives. J. Bacteriol. 2006, 188, 2692–2700. [Google Scholar] [CrossRef] [PubMed]
- Di Caro, S.; Tao, H.; Grillo, A.; Franceschi, F.; Elia, C.; Zocco, M.A.; Gasbarrini, G.; Sepulveda, A.R.; Gasbarrini, A. Bacillus clausii effect on gene expression pattern in small bowel mucosa using DNA microarray analysis. Eur. J. Gastroenterol. Hepatol. 2005, 17, 951–960. [Google Scholar] [CrossRef] [PubMed]
- Salvetti, S.; Celandroni, F.; Ghelardi, E.; Baggiani, A.; Senesi, S. Rapid determination of vitamin B2 secretion by bacteria growing on solid media. J. Appl. Microbiol. 2003, 95, 1255–1260. [Google Scholar] [CrossRef]
- Cenci, G.; Trotta, F.; Caldini, G. Tolerance to challenges miming gastrointestinal transit by spores and vegetative cells of Bacillus clausii. J. Appl. Microbiol. 2006, 101, 1208–1215. [Google Scholar] [CrossRef]
- Longley, D.B.; Harkin, D.P.; Johnston, P.G. 5-fluorouracil: Mechanisms of action and clinical strategies. Nat. Rev. Cancer 2003, 3, 330. [Google Scholar] [CrossRef] [PubMed]
- Gressett, S.M.; Stanford, B.L.; Hardwicke, F. Management of hand-foot syndrome induced by capecitabine. J. Oncol. Pharm. Pract. 2006, 12, 131–141. [Google Scholar] [CrossRef] [PubMed]
- Wang, Z.; Song, J.; Taichman, R.S.; Krebsbach, P.H. Ablation of proliferating marrow with 5-fluorouracil allows partial purification of mesenchymal stem cells. Stem Cells 2006, 24, 1573–1582. [Google Scholar] [CrossRef] [PubMed]
- Melo, M.L.; Brito, G.A.; Soares, R.C.; Carvalho, S.B.; Silva, J.V.; Soares, P.M.; Vale, M.L.; Souza, M.H.; Cunha, F.Q.; Ribeiro, R.A. Role of cytokines (TNF-α, IL-1β and KC) in the pathogenesis of CPT-11-induced intestinal mucositis in mice: Effect of pentoxifylline and thalidomide. Cancer Chemother. Pharmacol. 2008, 61, 775–784. [Google Scholar] [CrossRef] [PubMed]
- Horosheva, T.V.; Vodyanoy, V.; Sorokulova, I. Efficacy of Bacillus probiotics in prevention of antibiotic-associated diarrhoea: A randomized, double-blind, placebo-controlled clinical trial. JMM Case Rep. 2014, 1, e004036. [Google Scholar] [CrossRef]
- De Jesus, L.C.L.; Drumond, M.M.; de Carvalho, A.; Santos, S.S.; Martins, F.S.; Ferreira, Ê.; Azevedo, V. Protective effect of Lactobacillus delbrueckii subsp. Lactis CIDCA 133 in a model of 5-Fluorouracil-Induced intestinal mucositis. J. Funct. Foods 2019, 53, 197–207. [Google Scholar] [CrossRef]
- Hatakka, K.; Savilahti, E.; Ponka, A. Effect of long term consumption of probiotic milk on infections in children attending day care centers: Double blind, randomised trial. BMJ 2001, 322, 1327. [Google Scholar] [CrossRef] [PubMed]
- Patlevič, P.; Vašková, J.; Švorc, P.J.; Vaško, L.; Švorc, P. Reactive oxygen species and antioxidant defense in human gastrointestinal diseases. Integr. Med. Res. 2016, 5, 250–258. [Google Scholar] [CrossRef] [PubMed]
- Ciprandi, G.; Tosca, M.A.; Milanese, M.; Caligo, G.; Ricca, V. Cytokines evaluation in nasal lavage of allergic children after Bacillus clausii administration: A pilot study. Pediatr. Allergy Immunol. 2004, 15, 148–151. [Google Scholar] [CrossRef]
- Paparo, L.; Tripodi, L.; Bruno, C.; Pisapia, L.; Damiano, C.; Pastore, L.; Canani, R.B. Protective action of Bacillus clausii probiotic strains in an in vitro model of Rotavirus infection. Sci. Rep. 2020, 10, 12636. [Google Scholar] [CrossRef] [PubMed]
- Rtibi, K.; Selmi, S.; Grami, D.; Amri, M.; Sebai, H.; Marzouki, L. Contribution of oxidative stress in acute intestinal mucositis induced by 5 fluorouracil (5-FU) and its pro-drug capecitabine in rats. Toxicol. Mech. Methods 2018, 28, 262–267. [Google Scholar] [CrossRef] [PubMed]
- Parkos, C.A. Neutrophil-epithelial interactions: A double-edged sword. Am. J. Pathol. 2016, 186, 1404–1416. [Google Scholar] [CrossRef]
- Senesi, S.; Celandroni, F.; Tavanti, A.; Ghelardi, E. Molecular characterization and identification of Bacillus clausii Strains marketed for use in oral bacteriotherapy. Appl. Environ. Microbiol. 2001, 67, 834–839. [Google Scholar] [CrossRef] [PubMed]
- MacPherson, B.R.; Pfeiffer, C.J. Experimental production of diffuse colitis in rats. Digestion 1978, 17, 135–150. [Google Scholar] [CrossRef] [PubMed]
- Bradley, P.P.; Christensen, R.D.; Rothstein, G. Cellular and extracellular myeloperoxidase in pyogenic inflammation. Blood 1982, 60, 618–622. [Google Scholar] [CrossRef] [PubMed]
- da Silva Monteiro, C.E.; de Cerqueira Fiorio, B.; Silva, F.G.O.; de Souza, M.D.F.F.; Franco, Á.X.; de Sousa Lima, M.A.; Soares, P.M.G. A polyphenol-rich açaí seed extract protects against 5-fluorouracil-induced intestinal mucositis in mice through the TLR-4/MyD88/PI3K/mTOR/NF-κBp65 signaling pathway. Nutr. Res. 2024, 125, 1–15. [Google Scholar] [CrossRef]
- Sedlak, J.; Lindsay, R.H. Estimation of total, protein-bound, and nonprotein sulfhydryl groups in tissue with Ellman’s reagent. Anal. Biochem. 1968, 25, 192–205. [Google Scholar] [CrossRef] [PubMed]
- Mihara, M.; Uchiyama, M. Determination of malonaldehyde precursor in tissues by thiobarbituric acid test. Anal. Biochem. 1978, 86, 271–278. [Google Scholar] [CrossRef]
- An, T.; Fan, Y.; Tian, X.; Wang, Q.; Wang, Z.; Fan, S.; Huang, W. Green analytical assay for the viability assessment of single maize seeds using double-threshold strategy for catalase activity and malondialdehyde content. Food Chem. 2024, 455, 139889. [Google Scholar] [CrossRef]
- Reynell, R.S.; Spray, G.H. The simultaneous measurement of absorption and transit in the gastrintestinal tract of the rat. J. Physiol. 1956, 131, 452–462. [Google Scholar] [CrossRef]
- Lima, A.M.; Carvalho, G.H.P.; Figueiredo, A.A.; Gifoni, A.R.; Soares, A.M.; Silva, E.A.; Guerrant, R.L. Effects of an alanyl-glutamine-based oral rehydration and nutrition therapy solution on electrolyte and water absorption in a rat model of secretory diarrhea induced by cholera toxin. Nutrition 2002, 18, 458–462. [Google Scholar] [CrossRef] [PubMed]
- Aubé, A.C.; Blottiere, H.M.; Scarpingnato, C.; Cherbut, C.; Rozé, C.; Galmiche, J.P. Inihibitionof acetylcholine induce intestinal motilily by interleukin 1 ß in the rat. Gut 1996, 39, 470–474. [Google Scholar] [CrossRef] [PubMed][Green Version]
- Woodland, P.; Lee, C.; Duraysami, Y.; Farré, R.; Dettmar, P.; Sifrim, D. Assessment and protection of esophageal mucosal integrity in patients with heartburn without esophagitis. Am. J. Gastroenterol. 2013, 108, 535. [Google Scholar] [CrossRef] [PubMed]
- Vanuytsel, T.; Vanormelingen, C.; Vanheel, H.; Masaoka, T.; Rasoel, S.S.; Tóth, J.; Tack, J. From intestinal permeability to dysmotility: The biobreeding rat as a model for functional gastrointestinal disorders. PLoS ONE 2014, 9, e111132. [Google Scholar] [CrossRef] [PubMed]








| Groups n = 8 | Ileum |
|---|---|
| Saline | 0(0–2) |
| B. clausii | 1(0–2) |
| 5-FU | 3(2–3) * |
| 5-FU + B. claussi | 2(1–3) # |
Disclaimer/Publisher’s Note: The statements, opinions and data contained in all publications are solely those of the individual author(s) and contributor(s) and not of MDPI and/or the editor(s). MDPI and/or the editor(s) disclaim responsibility for any injury to people or property resulting from any ideas, methods, instructions or products referred to in the content. |
© 2024 by the authors. Licensee MDPI, Basel, Switzerland. This article is an open access article distributed under the terms and conditions of the Creative Commons Attribution (CC BY) license (https://creativecommons.org/licenses/by/4.0/).
Share and Cite
Lima, F.R.F.; Monteiro, C.E.d.S.; Damasceno, S.R.B.; Pantoja, P.d.S.; Franco, Á.X.; Silva, R.O.; Sousa, J.A.O.; Mendes, T.S.; Lima, M.A.; Justino, P.F.C.; et al. Bacillus clausii Attenuates 5-Fluorouracil-Induced Intestinal Mucositis in Mice. Pharmaceuticals 2024, 17, 1676. https://doi.org/10.3390/ph17121676
Lima FRF, Monteiro CEdS, Damasceno SRB, Pantoja PdS, Franco ÁX, Silva RO, Sousa JAO, Mendes TS, Lima MA, Justino PFC, et al. Bacillus clausii Attenuates 5-Fluorouracil-Induced Intestinal Mucositis in Mice. Pharmaceuticals. 2024; 17(12):1676. https://doi.org/10.3390/ph17121676
Chicago/Turabian StyleLima, Francisco Ronaldo Farias, Carlos Eduardo da Silva Monteiro, Samara Rodrigues Bonfim Damasceno, Patricia da Silva Pantoja, Álvaro Xavier Franco, Renan Oliveira Silva, Johnatan Alisson Oliveira Sousa, Tiago Santos Mendes, Marcos Aurélio Lima, Priscilla Fernanda Campos Justino, and et al. 2024. "Bacillus clausii Attenuates 5-Fluorouracil-Induced Intestinal Mucositis in Mice" Pharmaceuticals 17, no. 12: 1676. https://doi.org/10.3390/ph17121676
APA StyleLima, F. R. F., Monteiro, C. E. d. S., Damasceno, S. R. B., Pantoja, P. d. S., Franco, Á. X., Silva, R. O., Sousa, J. A. O., Mendes, T. S., Lima, M. A., Justino, P. F. C., de Souza, M. H. L. P., & Soares, P. M. G. (2024). Bacillus clausii Attenuates 5-Fluorouracil-Induced Intestinal Mucositis in Mice. Pharmaceuticals, 17(12), 1676. https://doi.org/10.3390/ph17121676

