Orthosiphon aristatus (Blume) Miq Alleviates Non-Alcoholic Fatty Liver Disease via Antioxidant Activities in C57BL/6 Obese Mice and Palmitic–Oleic Acid-Induced Steatosis in HepG2 Cells
Abstract
1. Introduction
2. Results
2.1. O. aristatus Standardization
2.2. In-Vivo Results
2.2.1. Effects of O. aristatus on Body Weight, Organ Weight and Food Intake
2.2.2. Effects of O. aristatus on Serum-Related Parameters
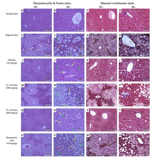
2.3. Histological Assessment
2.4. Antioxidant Enzymes Activity in the Liver Tissue
2.5. In Vitro Results
2.5.1. Cytotoxicity Assay
2.5.2. Intracellular Fat Accumulation
2.6. Antioxidant Activities
3. Discussion
4. Materials and Methods
4.1. Plant Extraction Preparation
4.2. Fractionation by Column Chromatography
4.3. Standardization of the Extract
4.3.1. Total Phenolic Content
4.3.2. High-Performance Liquid Chromatography (HPLC)
4.4. In Vivo Experiments
4.4.1. Animal Study
4.4.2. Biochemistry Analysis
4.4.3. Measurement of Antioxidant Enzymes Activity in Liver Tissue
4.4.4. Histopathological Assessment
4.5. In Vitro Study
4.5.1. Cell Culture
4.5.2. Cytotoxicity Assay
4.5.3. Induction of Steatosis in the Cells
4.5.4. Detection of Intracellular Fat Accumulation
4.6. Enzyme Antioxidant Activities
4.6.1. Protein Quantification
4.6.2. Superoxide Anion Radical Scavenging Activity
4.6.3. Lipid Peroxidation Inhibition Assay
4.7. Mitochondria Potential Membrane
4.8. Statistical Analysis
5. Conclusions
Author Contributions
Funding
Institutional Review Board Statement
Informed Consent Statement
Data Availability Statement
Acknowledgments
Conflicts of Interest
References
- Pydyn, N.; Miękus, K.; Jura, J.; Kotlinowski, J. New therapeutic strategies in nonalcoholic fatty liver disease: A focus on promising drugs for nonalcoholic steatohepatitis. Pharmacol. Rep. 2020, 72, 1–12. [Google Scholar] [CrossRef] [PubMed]
- Alshawsh, M.A.; Alsalahi, A.; Alshehade, S.A.; Saghir, S.A.M.; Ahmeda, A.F.; Al Zarzour, R.H.; Mahmoud, A.M. A Comparison of the Gene Expression Profiles of Non-Alcoholic Fatty Liver Disease between Animal Models of a High-Fat Diet and Methionine-Choline-Deficient Diet. Molecules 2022, 27, 858. [Google Scholar] [CrossRef] [PubMed]
- Fotbolcu, H.; Zorlu, E. Nonalcoholic fatty liver disease as a multi-systemic disease. World J. Gastroenterol. 2016, 22, 4079–4090. [Google Scholar] [CrossRef] [PubMed]
- Alshehade, S.; Alshawsh, M.A.; Murugaiyah, V.; Asif, M.; Alshehade, O.; Almoustafa, H.; Al Zarzour, R.H. The role of protein kinases as key drivers of metabolic dysfunction-associated fatty liver disease progression: New insights and future directions. Life Sci. 2022, 305, 120732. [Google Scholar] [CrossRef] [PubMed]
- Mitra, S.; De, A.; Chowdhury, A. Epidemiology of non-alcoholic and alcoholic fatty liver diseases. Transl. Gastroenterol. Hepatol. 2020, 5, 16. [Google Scholar] [CrossRef]
- Mascaró, C.M.; Bouzas, C.; Tur, J.A. Association between non-alcoholic fatty liver disease and mediterranean lifestyle: A systematic review. Nutrients 2022, 14, 49. [Google Scholar] [CrossRef]
- Xu, Y.; Guo, W.; Zhang, C.; Chen, F.; Tan, H.Y.; Li, S.; Wang, N.; Feng, Y. Herbal Medicine in the Treatment of Non-Alcoholic Fatty Liver Diseases-Efficacy, Action Mechanism, and Clinical Application. Front. Pharmacol. 2020, 11, 601. [Google Scholar] [CrossRef]
- Singh, M.K.; Gidwani, B.; Gupta, A.; Dhongade, H.; Kaur, C.D.; Kashyap, P.P.; Tripathi, D.K. A review of the medicinal plants of genus Orthosiphon (Lamiaceae). Int. J. Biol. Chem. 2015, 9, 318–331. [Google Scholar] [CrossRef]
- Chua, L.S.; Lau, C.H.; Chew, C.Y.; Ismail, N.I.M.; Soontorngun, N. Phytochemical profile of Orthosiphon aristatus extracts after storage: Rosmarinic acid and other caffeic acid derivatives. Phytomedicine 2018, 39, 49–55. [Google Scholar] [CrossRef]
- Ashraf, K.; Sultan, S.; Adam, A. Orthosiphon stamineus Benth. is an outstanding food medicine: Review of phytochemical and pharmacological activities. J. Pharm. Bioallied Sci. 2018, 10, 109–118. [Google Scholar] [CrossRef]
- Wang, Q.; Wang, J.; Li, N.; Liu, J.; Zhou, J.; Zhuang, P.; Chen, H. A Systematic Review of Orthosiphon stamineus Benth. in the Treatment of Diabetes and Its Complications. Molecules 2022, 27, 444. [Google Scholar] [CrossRef]
- Seyedan, A.; Alshawsh, M.A.; Alshagga, M.A.; Mohamed, Z. Antiobesity and Lipid Lowering Effects of Orthosiphon stamineus in High-Fat Diet-Induced Obese Mice. Planta Med. 2017, 83, 684–692. [Google Scholar] [CrossRef]
- Gayoso-Diz, P.; Otero-González, A.; Rodriguez-Alvarez, M.X.; Gude, F.; García, F.; De Francisco, A.; Quintela, A.G. Insulin resistance (HOMA-IR) cut-off values and the metabolic syndrome in a general adult population: Effect of gender and age: EPIRCE cross-sectional study. BMC Endocr. Disord. 2013, 13, 47. [Google Scholar] [CrossRef]
- Isokuortti, E.; Zhou, Y.; Peltonen, M.; Bugianesi, E.; Clement, K.; Bonnefont-Rousselot, D.; Lacorte, J.M.; Gastaldelli, A.; Schuppan, D.; Schattenberg, J.M.; et al. Use of HOMA-IR to diagnose non-alcoholic fatty liver disease: A population-based and inter-laboratory study. Diabetologia 2017, 60, 1873–1882. [Google Scholar] [CrossRef]
- Gutierrez-Buey, G.; Núñez-Córdoba, J.M.; Llavero-Valero, M.; Gargallo, J.; Salvador, J.; Escalada, J. Is HOMA-IR a potential screening test for non-alcoholic fatty liver disease in adults with type 2 diabetes? Eur. J. Intern. Med. 2017, 41, 74–78. [Google Scholar] [CrossRef]
- Katz, A.; Nambi, S.S.; Mather, K.; Baron, A.D.; Follmann, D.A.; Sullivan, G.; Quon, M.J. Quantitative insulin sensitivity check index: A simple, accurate method for assessing insulin sensitivity in humans. J. Clin. Endocrinol. Metab. 2000, 85, 2402–2410. [Google Scholar] [CrossRef]
- Khutami, C.; Sumiwi, S.A.; Khairul Ikram, N.K.; Muchtaridi, M. The Effects of Antioxidants from Natural Products on Obesity, Dyslipidemia, Diabetes and Their Molecular Signaling Mechanism. Int. J. Mol. Sci. 2022, 23, 2056. [Google Scholar] [CrossRef]
- Chang, T.C.; Chiou, W.C.; Lai, W.H.; Huang, H.C.; Huang, Y.L.; Liu, H.K.; Liang, Y.C.; Huang, C. Ugonin J improves metabolic disorder and ameliorates nonalcoholic fatty liver disease by regulating the AMPK/AKT signaling pathway. Pharmacol. Res. 2021, 163, 105298. [Google Scholar] [CrossRef]
- Carreres, L.; Jílková, Z.M.; Vial, G.; Marche, P.N.; Decaens, T.; Lerat, H. Modeling diet-induced nafld and nash in rats: A comprehensive review. Biomedicines 2021, 9, 378. [Google Scholar] [CrossRef]
- Marin-Alejandre, B.A.; Abete, I.; Cantero, I.; Monreal, J.I.; Elorz, M.; Herrero, J.I.; Benito-Boillos, A.; Quiroga, J.; Martinez-Echeverria, A.; Uriz-Otano, J.I.; et al. The metabolic and hepatic impact of two personalized dietary strategies in subjects with obesity and nonalcoholic fatty liver disease: The fatty liver in obesity (FLiO) randomized controlled trial. Nutrients 2019, 11, 2543. [Google Scholar] [CrossRef]
- Noureddin, M.; Loomba, R. Nonalcoholic fatty liver disease: Indications for liver biopsy and noninvasive biomarkers. Clin. Liver Dis. 2012, 1, 104–107. [Google Scholar] [CrossRef] [PubMed]
- Al Zarzour, R.H.; Ahmad, M.; Asmawi, M.Z.; Kaur, G.; Ahmed Saeed, M.A.; Al-Mansoub, M.A.; Mohammed Saghir, S.A.; Usman, N.S.; Al-Dulaimi, D.W.; Yam, M.F. Phyllanthus niruri standardized extract alleviates the progression of non-alcoholic fatty liver disease and decreases atherosclerotic risk in Sprague-Dawley rats. Nutrients 2017, 9, 766. [Google Scholar] [CrossRef] [PubMed]
- Kuipers, E.N.; Held, N.M.; In Het Panhuis, W.; Modder, M.; Ruppert, P.M.M.; Kersten, S.; Kooijman, S.; Guigas, B.; Houtkooper, R.H.; Rensen, P.C.N.; et al. A single day of high-fat diet feeding induces lipid accumulation and insulin resistance in brown adipose tissue in mice. Am. J. Physiol.-Endocrinol. Metab. 2019, 317, E820–E830. [Google Scholar] [CrossRef] [PubMed]
- Smirne, C.; Croce, E.; Di Benedetto, D.; Cantaluppi, V.; Comi, C.; Sainaghi, P.P.; Minisini, R.; Grossini, E.; Pirisi, M. Oxidative Stress in Non-Alcoholic Fatty Liver Disease. Livers 2022, 2, 30–76. [Google Scholar] [CrossRef]
- Maharjan, B.R.; McLennan, S.V.; Yee, C.; Twigg, S.M.; Williams, P.F. The effect of a sustained high-fat diet on the metabolism of white and brown adipose tissue and its impact on insulin resistance: A selected time point cross-sectional study. Int. J. Mol. Sci. 2021, 22, 13639. [Google Scholar] [CrossRef]
- Osae, E.A.; Bullock, T.; Chintapalati, M.; Brodesser, S.; Hanlon, S.; Redfern, R.; Steven, P.; Wayne Smith, C.; Rumbaut, R.E.; Burns, A.R. Obese mice with dyslipidemia exhibit meibomian gland hypertrophy and alterations in meibum composition and aqueous tear production. Int. J. Mol. Sci. 2020, 21, 8772. [Google Scholar] [CrossRef]
- Monserrat-Mesquida, M.; Quetglas-Llabrés, M.; Abbate, M.; Montemayor, S.; Mascaró, C.M.; Casares, M.; Tejada, S.; Abete, I.; Zulet, M.A.; Tur, J.A.; et al. Oxidative stress and pro-inflammatory status in patients with non-alcoholic fatty liver disease. Antioxidants 2020, 9, 759. [Google Scholar] [CrossRef]
- Mohamed, M.S.; Youssef, T.M.; Abdullah, E.E.; Ahmed, A.E. Correlation between adiponectin level and the degree of fibrosis in patients with non-alcoholic fatty liver disease. Egypt. Liver J. 2021, 11, 78. [Google Scholar] [CrossRef]
- Mohamed, E.A.H.; Yam, M.F.; Ang, L.F.; Mohamed, A.J.; Asmawi, M.Z. Antidiabetic Properties and Mechanism of Action of Orthosiphon stamineus Benth Bioactive Sub-fraction in Streptozotocin-induced Diabetic Rats. JAMS J. Acupunct. Meridian Stud. 2013, 6, 31–40. [Google Scholar] [CrossRef]
- Mutalib, T.N.A.T.A.; Hamzah, Z.; Hashim, O.; Mat, H.C. Green technology approach towards herbal extraction method. AIP Conf. Proc. 2015, 1660, 070109. [Google Scholar]
- Akowuah, G.A.; Zhari, I.; Norhayati, I.; Sadikun, A.; Khamsah, S.M. Sinensetin, eupatorin, 3′-hydroxy-5, 6, 7, 4 ′-tetramethoxyflavone and rosmarinic acid contents and antioxidative effect of Orthosiphon stamineus from Malaysia. Food Chem. 2004, 87, 559–566. [Google Scholar] [CrossRef]
- Saidan, N.; Aisha, A.; Hamil, M.S.; Abdul Majid, A.M.S.; Ismail, Z. A novel reverse phase high-performance liquid chromatography method for standardization of Orthosiphon stamineus leaf extracts. Pharmacogn. Res. 2015, 7, 23–31. [Google Scholar] [CrossRef]
- Alshawsh, M.A.; Abdulla, M.A.; Ismail, S.; Amin, Z.A. Hepatoprotective effects of Orthosiphon stamineus extract on thioacetamide-induced liver cirrhosis in rats. Evid.-Based Complement. Altern. Med. 2011, 2011, 1–6. [Google Scholar] [CrossRef]
- Yam, M.F.; Basir, R.; Asmawi, M.Z.; Ismail, Z. Antioxidant and hepatoprotective Effects of Orthosiphon stamineus Benth. Am. J. Chin. Med. 2007, 35, 115–126. [Google Scholar] [CrossRef]
- Alshawsh, M.A.; Abdulla, M.A.; Ismail, S.; Amin, Z.A.; Qader, S.W.; Hadi, H.A.; Harmal, N.S. Free radical scavenging, antimicrobial and immunomodulatory activities of Orthosiphon stamineus. Molecules 2012, 17, 5385–5395. [Google Scholar] [CrossRef]
- Peplies, J.; Börnhorst, C.; Günther, K.; Fraterman, A.; Russo, P.; Veidebaum, T.; Tornaritis, M.; De Henauw, S.; Marild, S.; Molnar, D.; et al. Longitudinal associations of lifestyle factors and weight status with insulin resistance (HOMA-IR) in preadolescent children: The large prospective cohort study IDEFICS. Int. J. Behav. Nutr. Phys. Act. 2016, 13, 97. [Google Scholar] [CrossRef]
- Lokman, E.F.; Saparuddin, F.; Muhammad, H.; Omar, M.H.; Zulkapli, A. Orthosiphon stamineus as a potential antidiabetic drug in maternal hyperglycemia in streptozotocin-induced diabetic rats. Integr. Med. Res. 2019, 8, 173–179. [Google Scholar] [CrossRef]
- Diep Nguyen, T. Adiponectin: Role in physiology and pathophysiology. Int. J. Prev. Med. 2020, 11, 136. [Google Scholar] [CrossRef]
- Al Zarzour, R.; Alshawsh, M.; Asif, M.; Al-Mansoub, M.; Mohamed, Z.; Ahmad, M.; Abdul Majid, A.; Asmawi, M.; Kaur, G.; Al-dualimi, D.; et al. Adipocytokine Regulation and Antiangiogenic Activity Underlie the Molecular Mechanisms of Therapeutic Effects of Phyllanthus niruri against Non-Alcoholic Fatty Liver Disease. Nutrients 2018, 10, 1057. [Google Scholar] [CrossRef]
- Bo, M.S.; Cheah, W.L.; Lwin, S.; Moe Nwe, T.; Win, T.T.; Aung, M. Understanding the Relationship between Atherogenic Index of Plasma and Cardiovascular Disease Risk Factors among Staff of an University in Malaysia. J. Nutr. Metab. 2018, 2018, 7027624. [Google Scholar] [CrossRef]
- Nimmanapalli, H.; Kasi, A.; Devapatla, P.; Nuttakki, V. Lipid ratios, atherogenic coefficient and atherogenic index of plasma as parameters in assessing cardiovascular risk in type 2 diabetes mellitus. Int. J. Res. Med. Sci. 2016, 4, 2863–2869. [Google Scholar] [CrossRef][Green Version]
- Khazaál, M.S. Atherogenic Index of Plasma (AIP) As a Parameter in Predicting Cardiovascular Risk in Males Compared To the Conventional Dyslipidemic Indices (Cholesterol Ratios). J. Med. 2013, 6, 1506–1513. [Google Scholar]
- Zelber-Sagi, S.; Ivancovsky-Wajcman, D.; Fliss-Isakov, N.; Hahn, M.; Webb, M.; Shibolet, O.; Kariv, R.; Tirosh, O. Serum malondialdehyde is associated with non-alcoholic fatty liver and related liver damage differentially in men and women. Antioxidants 2020, 9, 578. [Google Scholar] [CrossRef]
- Świderska, M.; Maciejczyk, M.; Zalewska, A.; Pogorzelska, J.; Flisiak, R.; Chabowski, A. Oxidative stress biomarkers in the serum and plasma of patients with non-alcoholic fatty liver disease (NAFLD). Can plasma AGE be a marker of NAFLD? Oxidative stress biomarkers in NAFLD patients. Free Radic. Res. 2019, 53, 841–850. [Google Scholar] [CrossRef] [PubMed]
- Ali, A.M.; Mackeen, M.M.; El-Sharkawy, S.H.; Hamid, J.A.; Ismail, N.H.; Ahmad, F. Antiviral and cytotoxic activities of some plants used in Malaysian indigenous medicine colorectal adenocarcinoma cells. Pertanika J. Trop. Agric. Sci. 1996, 19, 129–136. [Google Scholar]
- Samidurai, D.; Pandurangan, A.K.; Krishnamoorthi, S.K.; Perumal, M.K.; Nanjian, R. Sinensetin isolated from Orthosiphon aristatus inhibits cell proliferation and induces apoptosis in hepatocellular carcinoma cells. Process Biochem. 2020, 88, 213–221. [Google Scholar] [CrossRef]
- Amir Hamzah, N.; Morad, N.; Nordin, M.; Ilia Anisa, A.; Yusof, Y.M.; Azian Morad, N. Effect of extraction time and temperature on the extraction of phenolic compounds from Orthosiphon stamineus leaves. Aust. J. Basic Appl. Sci. 2017, 11, 54100. [Google Scholar]
- Fitriansyah, S.N.; Fidrianny, I.; Hartati, R. Pharmacological activities and phytochemical compounds: Overview of pouteria genus. Pharmacogn. J. 2021, 13, 577–584. [Google Scholar] [CrossRef]
- Lim, S.Y.M.; Alshagga, M.; Kong, C.; Alshawsh, M.A.; Alshehade, S.A.R.; Pan, Y. CYP35 family in Caenorhabditis elegans biological processes: Fatty acid synthesis, xenobiotic metabolism, and stress responses. Arch. Toxicol. 2022, 96, 3163–3174. [Google Scholar] [CrossRef]
- Prasun, P.; Ginevic, I.; Oishi, K. Mitochondrial dysfunction in nonalcoholic fatty liver disease and alcohol related liver disease. Transl. Gastroenterol. Hepatol. 2021, 6, 4. [Google Scholar] [CrossRef]
- Movahedi, A.; Rahmat, A.; Othman, F. Evaluation of Antioxidant Activity, Total Phenolic and Flavonoids Contents of Orthosiphon stamineus, Teucrium polium, and Berberis vulgaris Decoctions. Food Health 2018, 1, 29–36. [Google Scholar]
- Alshehade, S.A.; Al Zarzour, R.H.; Murugaiyah, V.; Lim, S.Y.M.; El-Refae, H.G.; Alshawsh, M.A. Mechanism of action of Orthosiphon stamineus against non-alcoholic fatty liver disease: Insights from systems pharmacology and molecular docking approaches. Saudi Pharm. J. 2022, 30, 1572–1588. [Google Scholar] [CrossRef]
- Bocharova, O.; Bocharova, M. The dual role of phenolic compounds in oxidative changes in fruit products. Int. Food Res. J. 2017, 24, 1261–1269. [Google Scholar]
- Silalahi, M. Orthosiphon stamineus Benth (Uses and Bioactivities). Indones. J. Sci. Educ. 2019, 3, 26. [Google Scholar] [CrossRef]
- Pérez-Torres, I.; Castrejón-Téllez, V.; Soto, M.E.; Rubio-Ruiz, M.E.; Manzano-Pech, L.; Guarner-Lans, V. Oxidative Stress, Plant Natural Antioxidants, and Obesity. Int. J. Mol. Sci. 2021, 22, 1786. [Google Scholar] [CrossRef]
- Reichardt, C.; Welton, T. Solvents and Solvent Effects in Organic Chemistry, 4th ed.; Wiley-VCH Verlag GmbH & Co. KGaA: Weinheim, Germany, 2010; ISBN 9783527324736. [Google Scholar]
- Abubakar, A.R.; Haque, M. Preparation of medicinal plants: Basic extraction and fractionation procedures for experimental purposes. J. Pharm. Bioallied Sci. 2020, 12, 1–10. [Google Scholar] [CrossRef]
- Singleton, V.L.; Orthofer, R.; Lamuela-Raventós, R.M. Analysis of total phenols and other oxidation substrates and antioxidants by means of folin-ciocalteu reagent. Methods Enzymol. 1999, 299, 152–178. [Google Scholar] [CrossRef]
- Chew, K.K.; Ng, S.Y.; Thoo, Y.Y.; Khoo, M.Z.; Wan Aida, W.M.; Ho, C.W. Effect of ethanol concentration, extraction time and extraction temperature on the recovery of phenolic compounds and antioxidant capacity of Centella asiatica extracts. Int. Food Res. J. 2011, 18, 571–578. [Google Scholar]
- Al-Suede, F.S.R.; Khadeer Ahamed, M.B.; Abdul Majid, A.S.; Saghir, S.A.M.; Oon, C.E.; Majid, A.M.S.A. Immunomodulatory and antiangiogenic mechanisms of polymolecular botanical drug extract C5OSEW5050ESA OS derived from orthosiphon stamineus. J. Angiother. 2021, 5, E194–E206. [Google Scholar] [CrossRef]
- National Research Council. Guide for the Care and Use of Laboratory Animals, 8th ed.; The National Academies Press: Washington, DC, USA, 1997; Volume 34.
- Hegazy, M.; Saleh, S.A.; Ezzat, A.; Behiry, M.E. Novel application of the traditional lipid ratios as strong risk predictors of NASH. Diabetes Metab. Syndr. Obes. Targets Ther. 2020, 13, 297–305. [Google Scholar] [CrossRef]
- Fujii, H.; Imajo, K.; Yoneda, M.; Nakahara, T.; Hyogo, H.; Takahashi, H.; Hara, T.; Tanaka, S.; Sumida, Y.; Eguchi, Y.; et al. HOMA-IR: An independent predictor of advanced liver fibrosis in nondiabetic non-alcoholic fatty liver disease. J. Gastroenterol. Hepatol. 2019, 34, 1390–1395. [Google Scholar] [CrossRef] [PubMed]
- Antunes, L.C.; Elkfury, J.L.; Jornada, M.N.; Foletto, K.C.; Bertoluci, M.C. Validation of HOMA-IR in a model of insulin-resistance induced by a high-fat diet in Wistar rats. Arch. Endocrinol. Metab. 2016, 60, 138–142. [Google Scholar] [CrossRef] [PubMed]
- Feldman, A.T.; Wolfe, D. Tissue processing and hematoxylin and eosin staining. In Methods in Molecular Biology; Humana Press: New York, NY, USA, 2014; Volume 1180, pp. 31–43. ISBN 9781493910496. [Google Scholar]
- Kleiner, D.E.; Brunt, E.M.; Van Natta, M.; Behling, C.; Contos, M.J.; Cummings, O.W.; Ferrell, L.D.; Liu, Y.C.; Torbenson, M.S.; Unalp-Arida, A.; et al. Design and validation of a histological scoring system for nonalcoholic fatty liver disease. Hepatology 2005, 41, 1313–1321. [Google Scholar] [CrossRef] [PubMed]
- Cox-North, P.P.; Shuhart, M.C. Evaluation and staging of liver fibrosis. In Evaluation, Staging, and Monitoring of Chronic Hepatitis C Overview; Hepatitis C Online: Washington, DC, USA, 2021. [Google Scholar]
- Abdulghani, M.A.M.; Alshehade, S.A.; Kamran, S.; Alshawsh, M.A. Effect of monosodium glutamate on serum sex hormones and uterine histology in female rats along with its molecular docking and in-silico toxicity. Heliyon 2022, 8, e10967. [Google Scholar] [CrossRef]
- Greenspan, P.; Mayer, E.P.; Fowler, S.D. Nile red: A selective fluorescent stain for intracellular lipid droplets. J. Cell Biol. 1985, 100, 965–973. [Google Scholar] [CrossRef]
- Almoustafa, H.A.; Alshawsh, M.A.; Al-Suede, F.S.R.; Alshehade, S.A.; Abdul Majid, A.M.S.; Chik, Z. The Chemotherapeutic Efficacy of Hyaluronic Acid Coated Polymeric Nanoparticles Against Breast Cancer Metastasis in Female NCr-Nu/Nu Nude Mice. Polymers 2023, 15, 284. [Google Scholar] [CrossRef]
- He, F. Bradford Protein Assay. Bio-Protocol 2011, 1, e45. [Google Scholar] [CrossRef]
- Karim, A.S.; Jewett, M.C. Cell-Free Synthetic Biology for Pathway Prototyping. In Methods in Enzymology; Academic Press: Cambridge, MA, USA, 2018; Volume 608, pp. 31–57. ISBN 9780128151488. [Google Scholar]
- Zeb, A.; Ullah, F. A Simple Spectrophotometric Method for the Determination of Thiobarbituric Acid Reactive Substances in Fried Fast Foods. J. Anal. Methods Chem. 2016, 2016, 9412767. [Google Scholar] [CrossRef]
- Creed, S.; McKenzie, M. Measurement of mitochondrial membrane potential with the fluorescent dye tetramethylrhodamine methyl ester (TMRM). In Methods in Molecular Biology; Humana Press: New York, NY, USA, 2019; Volume 1928, pp. 69–76. [Google Scholar]
- Ligasová, A.; Koberna, K. Quantification of fixed adherent cells using a strong enhancer of the fluorescence of DNA dyes. Sci. Rep. 2019, 9, 8701. [Google Scholar] [CrossRef]













| Marker | Peak Name | RT a | UC b | Concentration c |
|---|---|---|---|---|
| Rosmarinic acid | RA | 7.242 | 1,066,841 | 61.96 ± 0.009 |
| 3′-hydroxy-5,6,7,4′-tetramethoxyflavone | TMF | 11.001 | 28,302 | 0.72 ± 0.005 |
| Sinensetin | SIN | 13.787 | 126,360 | 2.94 ± 0.014 |
| Eupatorin | EUP | 14.619 | 147,799 | 6.89 ± 0.031 |
| Normal Diet | High-Fat Diet | HFD + Orlistat (10 mg/kg) | HFD + O. aristatus (200 mg/kg) | HFD + O. aristatus (400 mg/kg) | HFD + Rosmarinic Acid (10 mg/kg) | |
|---|---|---|---|---|---|---|
| Pearson correlation | −0.89 * | 0.99 ** | −0.99 *** | 0.97 ** | −0.81 | 0.92 * |
| Parameter | Normal Diet | High-Fat Diet | HFD + Orlistat (10 mg/kg) | HFD + O. aristatus (200 mg/kg) | HFD + O. aristatus (400 mg/kg) | HFD + Rosmarinic acid (10 mg/kg) |
|---|---|---|---|---|---|---|
| HOMA-IR | 0.49 ± 0.132 *** | 11.69 ± 3.247 | 4.26 ± 0.271 | 3.58 ± 1.188 | 1.70 ± 0.463 ** | 10.42 ± 3.215 |
| QUICKI | 0.438 ± 0.021 *** | 0.274 ± 0.010 | 0.309 ± 0.003 ** | 0.319 ± 0.014 *** | 0.355 ± 0.017 *** | 0.278 ± 0.011 |
| Steatosis | Lobular Inflammation | Hepatocyte Ballooning | Total | Fibrosis | |
|---|---|---|---|---|---|
| ND | 0 | 0 | 0 | 0 | 0 |
| HFD | 2.6 ± 0.548 | 1 | 0 | 3.6 ± 0.548 | 0 |
| HFD + Orlistat (10 mg/kg) | 1.4 ± 1.142 | 1 | 0 | 2.4 ± 1.142 | 0 |
| HFD + O. aristatus (200 mg/kg) | 2.2 ± 1.304 | 0.8 ± 0.447 | 0 | 3.0 + 1.732 | 0 |
| HFD + O. aristatus (400 mg/kg) | 1.2 ± 1.304 | 0.6 ± 0.548 | 0 | 1.8 + 1.789 | 0 |
| HFD + Rosmarinic acid (10 mg/kg) | 2.8 ± 0.447 | 1 | 0 | 3.8 ± 0.447 | 0 |
| Item | Score | Extent | Definition and Comment |
|---|---|---|---|
| Steatosis | 0 | <5% | Refers to the amount of surface area involved by steatosis as evaluated on low to medium power examination. |
| 1 | 5–33% | ||
| 2 | >33–66% | ||
| 3 | >66% | ||
| Lobular Inflammation | 0 | No foci | Acidophil bodies are not included in this assessment, nor is portal inflammation. |
| 1 | <2 foci | ||
| 2 | 2–4 foci | ||
| 3 | >4 foci | ||
| Hepatocyte Ballooning | 0 | None | “Few” means rare but definite ballooned hepatocytes as well as diagnostically borderline cases. |
| 1 | Few balloon cells | ||
| 2 | Many cells/prominent ballooning | ||
| Fibrosis | 0 | No fibrosis | The main determinants of fibrosis are the degree of expansion of fibrotic areas between portal tracts. |
| 1 | Mild: portal fibrosis without septa | ||
| 2 | Moderate: portal fibrosis with few septa | ||
| 3 | Severe: numerous septa without cirrhosis | ||
| 4 | cirrhosis |
Disclaimer/Publisher’s Note: The statements, opinions and data contained in all publications are solely those of the individual author(s) and contributor(s) and not of MDPI and/or the editor(s). MDPI and/or the editor(s) disclaim responsibility for any injury to people or property resulting from any ideas, methods, instructions or products referred to in the content. |
© 2023 by the authors. Licensee MDPI, Basel, Switzerland. This article is an open access article distributed under the terms and conditions of the Creative Commons Attribution (CC BY) license (https://creativecommons.org/licenses/by/4.0/).
Share and Cite
Alshehade, S.A.; Al Zarzour, R.H.; Mathai, M.; Giribabu, N.; Seyedan, A.; Kaur, G.; Al-Suede, F.S.R.; Majid, A.M.S.A.; Murugaiyah, V.; Almoustafa, H.; et al. Orthosiphon aristatus (Blume) Miq Alleviates Non-Alcoholic Fatty Liver Disease via Antioxidant Activities in C57BL/6 Obese Mice and Palmitic–Oleic Acid-Induced Steatosis in HepG2 Cells. Pharmaceuticals 2023, 16, 109. https://doi.org/10.3390/ph16010109
Alshehade SA, Al Zarzour RH, Mathai M, Giribabu N, Seyedan A, Kaur G, Al-Suede FSR, Majid AMSA, Murugaiyah V, Almoustafa H, et al. Orthosiphon aristatus (Blume) Miq Alleviates Non-Alcoholic Fatty Liver Disease via Antioxidant Activities in C57BL/6 Obese Mice and Palmitic–Oleic Acid-Induced Steatosis in HepG2 Cells. Pharmaceuticals. 2023; 16(1):109. https://doi.org/10.3390/ph16010109
Chicago/Turabian StyleAlshehade, Salah Abdalrazak, Raghdaa Hamdan Al Zarzour, Michael Mathai, Nelli Giribabu, Atefehalsadat Seyedan, Gurjeet Kaur, Fouad Saleih Resq Al-Suede, Amin Malik Shah Abdul Majid, Vikneswaran Murugaiyah, Hassan Almoustafa, and et al. 2023. "Orthosiphon aristatus (Blume) Miq Alleviates Non-Alcoholic Fatty Liver Disease via Antioxidant Activities in C57BL/6 Obese Mice and Palmitic–Oleic Acid-Induced Steatosis in HepG2 Cells" Pharmaceuticals 16, no. 1: 109. https://doi.org/10.3390/ph16010109
APA StyleAlshehade, S. A., Al Zarzour, R. H., Mathai, M., Giribabu, N., Seyedan, A., Kaur, G., Al-Suede, F. S. R., Majid, A. M. S. A., Murugaiyah, V., Almoustafa, H., & Alshawsh, M. A. (2023). Orthosiphon aristatus (Blume) Miq Alleviates Non-Alcoholic Fatty Liver Disease via Antioxidant Activities in C57BL/6 Obese Mice and Palmitic–Oleic Acid-Induced Steatosis in HepG2 Cells. Pharmaceuticals, 16(1), 109. https://doi.org/10.3390/ph16010109

