Prior-FOVNet: A Multimodal Deep Learning Framework for Megavoltage Computed Tomography Truncation Artifact Correction and Field-of-View Extension
Abstract
1. Introduction
- (1)
- Introduced the Prior-FOVNet framework, which leverages prior information from KVCT images to correct truncation artifacts and extend the field of view in MVCT.
- (2)
- Utilized a contrastive learning-based generative adversarial network to transform KVCT images into synthesized MVCT images, addressing intensity discrepancies between modalities while preserving anatomical details.
- (3)
- Employed a Swin Transformer-based inpainting network to reconstruct anatomical structures outside the truncated field of view, efficiently integrating local and global features for improved structural consistency.
- (4)
- Experimental results demonstrate that Prior-FOVNet outperforms traditional and deep learning methods in artifact reduction and structural detail reconstruction, showing robust generalization across various truncation levels.
2. Method
2.1. Initial Truncation Artifact Correction
2.2. Synthesis of MVCT Image with TransNet
2.3. Field-of-View Extension with FOV-Net
2.4. Implementation Details
3. Experimental Data and Evaluation Metrics
3.1. Experimental Data
3.2. Evaluation Metrics
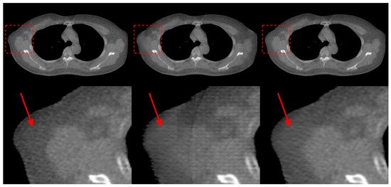
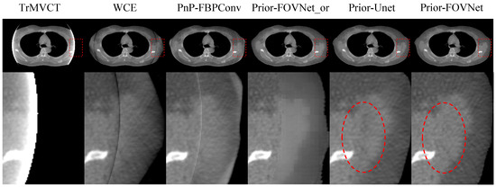
4. Results
4.1. Results of Synthetic MVCT Images
4.2. Results of Simulated Data
4.3. Results of Clinical Patient Data
4.4. Ablation Study
5. Discussion and Conclusions
Author Contributions
Funding
Institutional Review Board Statement
Informed Consent Statement
Data Availability Statement
Acknowledgments
Conflicts of Interest
References
- Meeks, S.L.; Harmon, J.F., Jr.; Langen, K.M.; Willoughby, T.R.; Wagner, T.H.; Kupelian, P.A. Performance Characterization of Megavoltage Computed Tomography Imaging on a Helical Tomotherapy Unit. Med. Phys. 2005, 32, 2673–2681. [Google Scholar] [CrossRef] [PubMed]
- Mackie, T.R.; Kapatoes, J.; Ruchala, K.; Lu, W.; Wu, C.; Olivera, G.; Forrest, L.; Tome, W.; Welsh, J.; Jeraj, R.; et al. Image Guidance for Precise Conformal Radiotherapy. Int. J. Radiat. Oncol. Biol. Phys. 2003, 56, 89–105. [Google Scholar] [CrossRef] [PubMed]
- Ruchala, K.J.; Olivera, G.H.; Schloesser, E.A.; Mackie, T.R. Megavoltage CT on a Tomotherapy System. Phys. Med. Biol. 1999, 44, 2597. [Google Scholar] [CrossRef] [PubMed]
- Yan, D.; Vicini, F.; Wong, J.; Martinez, A. Adaptive Radiation Therapy. Phys. Med. Biol. 1997, 42, 123. [Google Scholar] [CrossRef] [PubMed]
- Cho, P.S.; Rudd, A.D.; Johnson, R.H. Cone-Beam CT from Width-Truncated Projections. Comput. Med. Imaging Graph. 1996, 20, 49–57. [Google Scholar] [CrossRef] [PubMed]
- Anoop, K.P.; Rajgopal, K. Image Reconstruction with Laterally Truncated Projections in Helical Cone-Beam CT: Linear Prediction Based Projection Completion Techniques. Comput. Med. Imaging Graph. 2009, 33, 283–294. [Google Scholar] [CrossRef] [PubMed]
- Ohnesorge, B.; Flohr, T.; Schwarz, K.; Heiken, J.P.; Bae, K.T. Efficient Correction for CT Image Artifacts Caused by Objects Extending Outside the Scan Field of View. Med. Phys. 2000, 27, 39–46. [Google Scholar] [CrossRef]
- Sourbelle, K.; Kachelriess, M.; Kalender, W.A. Reconstruction from Truncated Projections in CT Using Adaptive Detruncation. Eur. Radiol. 2005, 15, 1008–1014. [Google Scholar] [CrossRef] [PubMed]
- Hsieh, J.; Chao, E.; Thibault, J.; Grekowicz, B.; Horst, A.; McOlash, S.; Myers, T.J. A Novel Reconstruction Algorithm to Extend the CT Scan Field-of-view. Med. Phys. 2004, 31, 2385–2391. [Google Scholar] [CrossRef] [PubMed]
- Li, B.; Deng, J.; Lonn, A.H.; Hsieh, J. An Enhanced Reconstruction Algorithm to Extend CT Scan Field-of-View with z-Axis Consistency Constraint. Med. Phys. 2012, 39, 6028–6034. [Google Scholar] [CrossRef] [PubMed]
- Xu, J.; Taguchi, K.; Tsui, B.M.W. Statistical Projection Completion in X-ray CT Using Consistency Conditions. IEEE Trans. Med. Imaging 2010, 29, 1528–1540. [Google Scholar] [CrossRef] [PubMed]
- Xia, Y.; Hofmann, H.; Dennerlein, F.; Mueller, K.; Schwemmer, C.; Bauer, S.; Chintalapani, G.; Chinnadurai, P.; Hornegger, J.; Maier, A. Towards Clinical Application of a Laplace Operator-Based Region of Interest Reconstruction Algorithm in C-Arm CT. IEEE Trans. Med. Imaging 2014, 33, 593–606. [Google Scholar] [CrossRef] [PubMed]
- Noo, F.; Clackdoyle, R.; Pack, J.D. A Two-Step Hilbert Transform Method for 2D Image Reconstruction. Phys. Med. Biol. 2004, 49, 3903. [Google Scholar] [CrossRef] [PubMed]
- Yang, J.; Cong, W.; Jiang, M.; Wang, G. Theoretical Study on High Order Interior Tomography. J. X-Ray Sci. Technol. 2012, 20, 423–436. [Google Scholar] [CrossRef] [PubMed]
- Huang, Y.; Taubmann, O.; Huang, X.; Haase, V.; Lauritsch, G.; Maier, A. Scale-Space Anisotropic Total Variation for Limited Angle Tomography. IEEE Trans. Radiat. Plasma Med. Sci. 2018, 2, 307–314. [Google Scholar] [CrossRef]
- Xu, Q.; Mou, X.; Wang, G.; Sieren, J.; Hoffman, E.A.; Yu, H. Statistical Interior Tomography. IEEE Trans. Med. Imaging 2011, 30, 1116–1128. [Google Scholar] [CrossRef] [PubMed][Green Version]
- Huang, Y.; Preuhs, A.; Manhart, M.; Lauritsch, G.; Maier, A. Data Consistent CT Reconstruction from Insufficient Data with Learned Prior Images. arXiv 2020, arXiv:2005.10034. [Google Scholar]
- Fournié, É.; Baer-Beck, M.; Stierstorfer, K. CT Field of View Extension Using Combined Channels Extension and Deep Learning Methods. arXiv 2019, arXiv:1908.09529. [Google Scholar]
- Fonseca, G.P.; Baer-Beck, M.; Fournie, E.; Hofmann, C.; Rinaldi, I.; Ollers, M.C.; Elmpt, W.J.C.; Verhaegen, F. Evaluation of Novel AI-based Extended Field-of-view CT Reconstructions. Med. Phys. 2021, 48, 3583–3594. [Google Scholar] [CrossRef] [PubMed]
- Khural, B.S.; Baer-Beck, M.; Fournié, E.; Stierstorfer, K.; Huang, Y.; Maier, A. Deep Learning-Based Extended Field of View Computed Tomography Image Reconstruction: Influence of Network Design on Image Estimation Outside the Scan Field of View. Biomed. Phys. Eng. Express 2022, 8, 025021. [Google Scholar] [CrossRef]
- Gao, L.; Xie, K.; Sun, J.; Lin, T.; Sui, J.; Yang, G.; Ni, X. A Transformer-Based Dual-Domain Network for Reconstructing FOV Extended Cone-Beam CT Images from Truncated Sinograms in Radiation Therapy. Comput. Methods Programs Biomed. 2023, 241, 107767. [Google Scholar] [CrossRef]
- Huang, Y.; Preuhs, A.; Manhart, M.; Lauritsch, G.; Maier, A. Data Extrapolation From Learned Prior Images for Truncation Correction in Computed Tomography. IEEE Trans. Med. Imaging 2021, 40, 3042–3053. [Google Scholar] [CrossRef] [PubMed]
- Zheng, H.; Ji, M.; Han, L.; Xu, Z.; Wang, H.; Liu, Y.; Fang, L. Learning Cross-Scale Correspondence and Patch-Based Synthesis for Reference-Based Super-Resolution. In Proceedings of the British Machine Vision Conference 2017, London, UK, 4–7 September 2017; British Machine Vision Association: London, UK, 2017; p. 138. [Google Scholar]
- Zheng, H.; Ji, M.; Wang, H.; Liu, Y.; Fang, L. CrossNet: An End-to-End Reference-Based Super Resolution Network Using Cross-Scale Warping. In Proceedings of the Computer Vision—ECCV 2018; Ferrari, V., Hebert, M., Sminchisescu, C., Weiss, Y., Eds.; Springer International Publishing: Cham, Switzerland, 2018; pp. 87–104. [Google Scholar]
- Hacohen, Y.; Shechtman, E.; Lischinski, D. Deblurring by Example Using Dense Correspondence. In Proceedings of the 2013 IEEE International Conference on Computer Vision, Sydney, Australia, 1–8 December 2013; pp. 2384–2391. [Google Scholar]
- Li, Z.; Guo, J.; Zhang, Y.; Li, J.; Wu, Y. Reference-Based Multi-Level Features Fusion Deblurring Network for Optical Remote Sensing Images. Remote Sens. 2022, 14, 2520. [Google Scholar] [CrossRef]
- Luo, E.; Chan, S.H.; Nguyen, T.Q. Adaptive Image Denoising by Targeted Databases. IEEE Trans. Image Process. 2015, 24, 2167–2181. [Google Scholar] [CrossRef] [PubMed]
- Yue, H.; Sun, X.; Yang, J.; Wu, F. Image Denoising by Exploring External and Internal Correlations. IEEE Trans. Image Process. 2015, 24, 1967–1982. [Google Scholar] [CrossRef] [PubMed]
- Park, T.; Efros, A.A.; Zhang, R.; Zhu, J.-Y. Contrastive Learning for Unpaired Image-to-Image Translation. In Proceedings of the Computer Vision–ECCV 2020: 16th European Conference, Glasgow, UK, 23–28 August 2020; Proceedings, Part IX 16. Springer: Berlin/Heidelberg, Germany, 2020; pp. 319–345. [Google Scholar]
- Goodfellow, I.; Pouget-Abadie, J.; Mirza, M.; Xu, B.; Warde-Farley, D.; Ozair, S.; Courville, A.; Bengio, Y. Generative Adversarial Nets. In Proceedings of the Advances in Neural Information Processing Systems; Curran Associates, Inc.: Red Hook, NY, USA, 2014; Volume 27. [Google Scholar]
- Chen, X.; Zhao, Y.; Court, L.E.; Wang, H.; Pan, T.; Phan, J.; Wang, X.; Ding, Y.; Yang, J. SC-GAN: Structure-Completion Generative Adversarial Network for Synthetic CT Generation from MR Images with Truncated Anatomy. Comput. Med. Imaging Graph. 2024, 113, 102353. [Google Scholar] [CrossRef] [PubMed]
- Van den Oord, A.; Li, Y.; Vinyals, O. Representation Learning with Contrastive Predictive Coding. arXiv 2019, arXiv:1807.03748v2. [Google Scholar]
- Cao, H.; Wang, Y.; Chen, J.; Jiang, D.; Zhang, X.; Tian, Q.; Wang, M. Swin-Unet: Unet-like Pure Transformer for Medical Image Segmentation. In Proceedings of the Computer Vision—ECCV 2022 Workshops, Tel Aviv, Israel, 23–27 October 2022; Springer: Berlin/Heidelberg, Germany, 2021. [Google Scholar]
- Kingma, D.P.; Ba, J. Adam: A Method for Stochastic Optimization. arXiv 2017, arXiv:1412.6980. [Google Scholar]















| Symmetrical Extrapolation | WCE | PnP-FBPConv | Prior-FOVNet-or | Prior-Unet | Prior-FOVNet | |
|---|---|---|---|---|---|---|
| MAE | 189.3 ± 52.5 | 93.5 ± 33.5 | 38.0 ± 3.6 | 60.8 ± 28.4 | 40.3 ± 10.5 | 23.8 ± 5.6 |
| RMSE | 277.1 ± 72.9 | 209.2 ± 64.3 | 61.6 ± 11.3 | 182.4 ± 76.2 | 100.6 ± 42.6 | 50.8 ± 18.4 |
| SSIM | 85.6 ± 3.4 | 89.0 ± 4.2 | 95.8 ± 1.0 | 94.6 ± 1.6 | 95.4 ± 1.1 | 97.8 ± 0.6 |
| 30 | 45 | 60 | 75 | 90 | |
|---|---|---|---|---|---|
| MAE (HU) | 24.16 | 22.27 | 19.96 | 35.20 | 70.30 |
| RMSE (HU) | 56.18 | 34.88 | 31.65 | 95.23 | 131.98 |
| SSIM (%) | 98.13 | 98.15 | 98.00 | 96.47 | 94.75 |
| MAE (HU) | RMSE (HU) | SSIM (%) | |
|---|---|---|---|
| FOVNet (without TransNet) | 45.95 | 107.66 | 94.90 |
| Prior-FOVNet (with TransNet) | 26.49 | 77.00 | 97.18 |
Disclaimer/Publisher’s Note: The statements, opinions and data contained in all publications are solely those of the individual author(s) and contributor(s) and not of MDPI and/or the editor(s). MDPI and/or the editor(s) disclaim responsibility for any injury to people or property resulting from any ideas, methods, instructions or products referred to in the content. |
© 2024 by the authors. Licensee MDPI, Basel, Switzerland. This article is an open access article distributed under the terms and conditions of the Creative Commons Attribution (CC BY) license (https://creativecommons.org/licenses/by/4.0/).
Share and Cite
Tang, L.; Zheng, M.; Liang, P.; Li, Z.; Zhu, Y.; Zhang, H. Prior-FOVNet: A Multimodal Deep Learning Framework for Megavoltage Computed Tomography Truncation Artifact Correction and Field-of-View Extension. Sensors 2025, 25, 39. https://doi.org/10.3390/s25010039
Tang L, Zheng M, Liang P, Li Z, Zhu Y, Zhang H. Prior-FOVNet: A Multimodal Deep Learning Framework for Megavoltage Computed Tomography Truncation Artifact Correction and Field-of-View Extension. Sensors. 2025; 25(1):39. https://doi.org/10.3390/s25010039
Chicago/Turabian StyleTang, Long, Mengxun Zheng, Peiwen Liang, Zifeng Li, Yongqi Zhu, and Hua Zhang. 2025. "Prior-FOVNet: A Multimodal Deep Learning Framework for Megavoltage Computed Tomography Truncation Artifact Correction and Field-of-View Extension" Sensors 25, no. 1: 39. https://doi.org/10.3390/s25010039
APA StyleTang, L., Zheng, M., Liang, P., Li, Z., Zhu, Y., & Zhang, H. (2025). Prior-FOVNet: A Multimodal Deep Learning Framework for Megavoltage Computed Tomography Truncation Artifact Correction and Field-of-View Extension. Sensors, 25(1), 39. https://doi.org/10.3390/s25010039

