Selective and Accurate Detection of Nitrate in Aquaculture Water with Surface-Enhanced Raman Scattering (SERS) Using Gold Nanoparticles Decorated with β-Cyclodextrins
Abstract
1. Introduction
2. Materials and Methods
2.1. Reagents
2.2. Instruments
2.3. Samples
2.4. Solution Preparation
2.5. Preparation of Modified Nanomaterial Substrate
2.5.1. Fabrication of AuNPs
2.5.2. Fabrication of β-Cyclodextrin-Modified AuNPs
2.6. Experimental Steps
3. Results and Discussion
3.1. Principle of Nitrate Detection Based on SH-β-CD@AuNPs
3.2. Characterisation of SH-β-CD@AuNP Substrates
3.2.1. UV–Vis Absorption Spectra
3.2.2. Zeta Potential
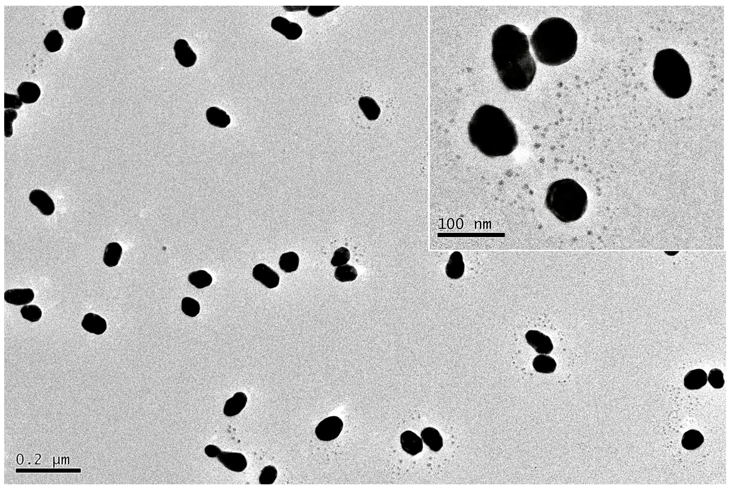
3.2.3. TEM Characterization
3.3. SERS Detection of Nitrate Nitrogen
3.3.1. SERS Spectral Analysis
3.3.2. Calculation of Enhancement Factors
3.3.3. Stability and Reproducibility of the SH-β-CD@AuNPs Substrate
3.4. Optimization of Experimental Conditions
3.4.1. Effect of pH
3.4.2. Effect of Reaction Temperature and Time
3.4.3. Effect of OPD Concentration
3.4.4. Effect of Substrate Concentration
3.5. Analytical Performance
3.5.1. Selectivity
3.5.2. Linearity and LOD
3.5.3. Detection of Nitrate Nitrogen in Real Water Environment
4. Conclusions
Author Contributions
Funding
Institutional Review Board Statement
Informed Consent Statement
Data Availability Statement
Conflicts of Interest
References
- Camargo, J.; Ward, J. Short-term toxicity of sodium nitrate (NaNO3) to non-target freshwater in vertebrates. Chemosphere 1992, 24, 23–28. [Google Scholar] [CrossRef]
- Singh, H.; Halder, N.; Singh, B.; Singh, J.; Sharma, S.; Shacham-Diamand, Y. Smart farming revolution: Portable and real-time soil nitrogen and phosphorus monitoring for sustainable agriculture. Sensors 2023, 23, 5914. [Google Scholar] [CrossRef]
- Valiente, N.; Gómez-Alday, J.; Jirsa, F. Spectrophotometric determination of nitrate in hypersaline waters after optimization based on the Box-Behnken design. Microchem. J. 2018, 145, 951–958. [Google Scholar] [CrossRef]
- Li, X.; Huang, H.; Cai, W.; Bai, M.; Zhao, J.; Liu, P.; Sun, C.; Jin, Z. A compact and high sensitive photometer based on axial multi-reflection inside metal capillary: Application to detecting nitrite of nanomolar concentration. Opt. Laser. Eng. 2021, 146, 106705. [Google Scholar] [CrossRef]
- Isildak, O.; Yildiz, I. Highly selective potentiometric determination of nitrate ions using silver bisdiethyldithiocarbamate based membrane electrodes. Electrochim. Acta 2023, 459, 142587. [Google Scholar] [CrossRef]
- Zhang, Q.; Wang, Y.; Song, A.; Yang, X.; Yin, D.; Shen, L. Advancements in fluorescent probes for nitrite sensing: A review. J. Mol. Struct. 2024, 1296, 136926. [Google Scholar] [CrossRef]
- Khan, M.; Ramzan, F.; Ali, M.; Zubair, M.; Mehmood, M.; Massoud, Y. Emerging two-dimensional materials-based electrochemical sensors for human health and environment applications. Nanomaterials 2023, 13, 780. [Google Scholar] [CrossRef]
- Han, E.; Li, L.; Gao, T.; Pan, Y.; Cai, J. Nitrite determination in food using electrochemical sensor based on self-assembled MWCNTs/AuNPs/poly-melamine nanocomposite. Food Chem. 2024, 437, 137773. [Google Scholar] [CrossRef]
- Singh, P.; Singh, M.; Beg, Y.; Nishad, G. A review on spectroscopic methods for determination of nitrite and nitrate in environmental samples. Talanta 2019, 191, 364–381. [Google Scholar] [CrossRef]
- Guo, Y.; Wang, R.; Wei, C.; Li, Y.; Fang, T.; Tao, T. Carbon quantum dots for fluorescent detection of nitrite: A review. Food Chem. 2023, 415, 135749. [Google Scholar] [CrossRef]
- Li, B.; Fan, Y.; Huang, Y.; Linthicum, W.; Liu, F.; Reilly Beringhs, A.; Dang, Y.; Xu, Z.; Chang, S.; Ling, J.; et al. Toward long-term accurate and continuous monitoring of nitrate in wastewater using poly (tetrafluoroethylene) (PTFE)−Solid-state ion-selective electrodes (S-ISEs). ACS Sens. 2020, 5, 3182–3193. [Google Scholar]
- Apte, M.; Nadavade, N.; Sheikh, S.S. A review on nitrates’ health benefits and disease prevention. Nitric Oxide 2024, 142, 1–15. [Google Scholar] [CrossRef]
- Sephra, P.; Tharini, C.; Sachdev, A.; Manikandan, E. An efficient sensing system using Ion-Selective Membrane on Ni2O3/rGO nanocomposite for electrochemical detection of nitrate ions. J. Alloys Compd. 2024, 2024, 173414. [Google Scholar]
- Chen, S.; Chen, J.; Qian, M.; Liu, J.; Fang, Y. Low cost, portable voltammetric sensors for rapid detection of nitrate in soil. Electrochim. Actt. 2023, 446, 142077. [Google Scholar] [CrossRef]
- Concepcion, R.; Duarte, B.; Palconit, M.; Baun, J.; Bandala, A.; Vicerra, R.; Dadios, E. Screen-printed graphite electrode on polyvinyl chloride and parchment strips integrated with genetic programming for in situ nitrate sensing of aquaponic pond water. Inf. Process. Agric. 2023. [Google Scholar] [CrossRef]
- Li, D.; Xu, S.; Jin, H.; Wang, J.; Yan, F. Copper nanoparticles confined in a silica nanochannel film for the electrochemical detection of nitrate ions in water samples. Molecules 2023, 28, 7515. [Google Scholar] [CrossRef]
- Li, M.; Li, Y.; Li, D.; Long, Y. Recent developments and applications of screen-printed electrodes in environmental assays—A review. Anal. Chim. Acta 2012, 734, 31–44. [Google Scholar] [CrossRef]
- Fox, C.; Breslin, C. Electrochemical formation of silver nanoparticles and their applications in the reduction and detection of nitrates at neutral pH. J. Appl. Electrochem. 2020, 50, 125–138. [Google Scholar] [CrossRef]
- Marlinda, A.; An’amt, M.; Yusoff, N.; Sagadevan, S.; Wahab, Y.; Johan, F. Recent progress in nitrates and nitrites sensor with graphene-based nanocomposites as electrocatalysts. TRAC-Trend. Anal. Chem. 2022, 34, 00162. [Google Scholar]
- Kodamatani, H.; Kubo, S.; Takeuchi, A.; Kanzaki, R.; Tomiyasu, T. Sensitive detection of nitrite and nitrate in seawater by 222 nm UV-irradiated photochemical conversion to peroxynitrite and ion chromatography-luminol chemiluminescence system. Environ. Sci. Technol. 2023, 57, 5924–5933. [Google Scholar] [CrossRef]
- Zhang, Z.; Zhang, X.; Rajh, T. Guha photonic microresonator based sensor for selective nitrate ion detection. Sens. Actuators B Chem. 2021, 328, 129027. [Google Scholar] [CrossRef]
- Chen, C.; Wang, X.; Wang, R.; Waterhouse, G.; Xu, Z. SERS-tag technology in food safety and detection: Sensing from the “fingerprint” region to the “biological-silent” region. J. Future Foods 2024, 4, 309–323. [Google Scholar] [CrossRef]
- Fan, M.; Andrade, G.; Brolo, A. A review on recent advances in the applications of surface-enhanced Raman scattering in analytical chemistry. Anal. Chim. Acta 2020, 1097, 1–29. [Google Scholar] [CrossRef]
- Cheng, J.; Zhang, Z.; Zhang, L.; Miao, J.; Chen, Y.; Zhao, R.; Liu, M.; Chen, L.; Wang, X. Size-controllable colloidal Ag nano-aggregates with long-time SERS detection window for on-line high-throughput detection. Talanta 2023, 257, 124358. [Google Scholar] [CrossRef] [PubMed]
- Murali, V.; Karunakaran, V.; Murali, M.; Lekshmi, A.; Kottarathil, S.; Deepika, S.; Saritha, V.; Ramya, A.; Raghu, K.; Sujathan, K.; et al. A clinically feasible diagnostic spectro-histology built on SERS-nanotags for multiplex detection and grading of breast cancer biomarkers. Biosens. Bioelectron. 2023, 227, 115177. [Google Scholar] [CrossRef] [PubMed]
- Liu, M.; Zareef, M.; Zhu, A.; Wei, W.; Li, H.; Chen, Q. SERS-based Au@Ag core-shell nanoprobe aggregates for rapid and facile detection of lead ions. Food Control 2024, 155, 110078. [Google Scholar] [CrossRef]
- Zheng, Q.; Li, Q.; Hu, S.; Guo, X.; Yang, H. A highly selective SERS chip for rapid detection of copper ions in aquatic system. J. Environ. Chem. Eng. 2023, 11, 109079. [Google Scholar] [CrossRef]
- Xu, J.; Wang, J.; Zhang, C.; Zhao, X.; Yu, J.; Man, B.; Si, H.; Li, Z.; Zhang, C. Flexible multiscale cavity with omnidirectionality and high stability for in-site SERS detection of nanoplastics on oyster. Sens. Actuators B Chem. 2024, 403, 135218. [Google Scholar] [CrossRef]
- Ahnad, H.; Parkad, J.; Leeb, H.; Lee, C.; Chun, H.; Kim, K. SERS detection of surface-adsorbent toxic substances of microplastics based on gold nanoparticles and surface acoustic waves. RSC Adv. 2024, 14, 2061–2069. [Google Scholar]
- Zheng, S.; Xiao, J.; Zhang, J.; Sun, Q.; Liu, D.; Liu, Y.; Gao, X. Python-assisted detection and photothermal inactivation of Salmonella typhimurium and Staphylococcus aureus on a background-free SERS chip. Biosens. Bioelectron. 2024, 247, 115913. [Google Scholar] [CrossRef] [PubMed]
- Zhang, Y.; Yang, Z.; Zou, Y.; Farooq, S.; Li, Y.; Zhang, H. Novel Ag-coated nanofibers prepared by electrospraying as a SERS platform for ultrasensitive and selective detection of nitrite in food. Food Chem. 2023, 412, 135563. [Google Scholar] [CrossRef] [PubMed]
- Du, X.; Liu, D.; An, K.; Jiang, S.; Wei, Z.; Wang, S.; Lp, W.; Pan, H. Advances in oxide semiconductors for surface enhanced Raman scattering. Appl. Mater. Today 2022, 29, 101563. [Google Scholar] [CrossRef]
- Li, Z.; Li, M.; Wang, C.; Zhou, X.; Li, J.; Li, D. Highly sensitive and selective method for detection of trace amounts of nitrite in aquaculture water by SERRS coupled with diazo reaction. Sens. Actuators B Chem. 2019, 297, 126757. [Google Scholar] [CrossRef]
- Sun, Y.; Waterhouse, G.; Qiao, X.; Xiao, J.; Xu, Z. Determination of chloramphenicol in food using nanomaterial-based electrochemical and optical sensors—A review. Food Chem. 2023, 410, 135434. [Google Scholar] [CrossRef] [PubMed]
- Emamverdian, A.; Ghorbani, A.; Li, Y.; Pehlivan, N.; Barker, J.; Ding, Y.; Liu, G.; Zargar, M. Responsible Mechanisms for the Restriction of Heavy Metal Toxicity in Plants via the Co-Foliar Spraying of Nanoparticles. Agronomy 2023, 13, 1748. [Google Scholar] [CrossRef]
- Wardak, C.; Pietrzak, K.; Morawska, K.; Grabarczyk, M. Ion-selective electrodes with solid contact based on composite materials: A review. Sensors 2023, 23, 5839. [Google Scholar] [CrossRef]
- Zhou, H.; Kneipp, J. Electrodeposition of silver nanostructures in ethanol for sensitive electrochemical SERS detection. ACS Appl. Nano Mater. 2024, 7, 1300–1309. [Google Scholar] [CrossRef]
- Guo, P.; Sikdar, D.; Huang, X.; Si, K.; Xiong, W.; Gong, S.; Yap, L.; Premaratne, M.; Cheng, W. Plasmonic core-shell nanoparticles for SERS detection of the pesticide thiram: Size- and shape-dependent Raman enhancement. Nanoscale 2015, 7, 2862–2868. [Google Scholar] [CrossRef]
- Nie, M.; Zhao, Y.; Nam, W.; Song, J.; Zhu, W.; Lezec, H.; Agrawal, A.; Zhou, W. Broadband nanoscale surface-enhanced Raman spectroscopy by multiresonant nanolaminate plasmonic nanocavities on vertical nanopillars. Adv. Funct. Mater. 2022, 32, 9. [Google Scholar] [CrossRef]
- Sharipov, M.; Ju, T.; Azizov, S.; Turaev, A.; Lee, Y. Novel molecularly imprinted nanogel modified microfluidic paper-based SERS substrate for simultaneous detection of bisphenol A and bisphenol S traces in plastics. J. Hazard. Mater. 2024, 461, 132561. [Google Scholar] [CrossRef]
- Yu, B.; Mao, Y.; Li, J.; Wang, J.; Zhou, B.; Li, P.; Ma, Y.; Han, Z. Hydrophobic expanded graphite-covered support to construct flexible and stable SERS substrate for sensitive determination by paste-sampling from irregular surfaces. Spectrochim. Acta A 2022, 282, 121708. [Google Scholar] [CrossRef]
- Zhang, F.; Wang, Y.; Yang, B.; Liu, J.; Yuan, Y.; Bi, S. SERS detection of apramycin and kanamycin through sliver nanoparticles modified with β-cyclodextrin and α-iron oxide. Spectrochim. Acta Part A Mol. Biomol. Spectrosc. 2024, 304, 23375. [Google Scholar] [CrossRef] [PubMed]
- Wang, Q.; Sun, Q. The quantitative analysis of Raman spectroscopy to sulfate ion in aqueous solution. Spectrosc. Spect. Anal. 2016, 36, 430–435. [Google Scholar]
- Wang, R.; Wang, S.; Qin, C.; Nie, Q.; Luo, Y.; Qin, Q.-P.; Wang, R.; Liu, B.; Luo, D. An electrochemical sensor based on electropolymerization of β-Cyclodextrin on glassy carbon electrode for the determination of fenitrothion. Sensors 2023, 23, 435. [Google Scholar] [CrossRef]
- Chevry, M.; Vanbesien, T.; Menuel, S.; Monflier, E.; Hapiot, F. Tetronics/cyclodextrin-based hydrogels as catalyst-containing media for the hydroformylation of higher olefins. Catal. Sci. Technol. 2017, 7, 114–123. [Google Scholar] [CrossRef]
- Chen, g.; Liu, Y.; Fan, B.; Liu, Z.; Zhao, J.; Fu, Z. Accurate clarification on assembling and protective mechanisms of β-cyclodextrin/benzothiazole complex for copper in marine environment. J. Mol. Liq. 2024, 394, 123764. [Google Scholar] [CrossRef]
- Berdimurodov, E.; Eliboyev, I.; Berdimuradov, K.; Kholikov, A.; Akbarov, K.; Dagdag, O.; Rbaa, M.; Ibrahimi, B.; Verma, D.; Haldhar, R. Green β-cyclodextrin-based corrosion inhibitors: Recent developments, innovations and future opportunities. Carbohyd. Polym. 2022, 292, 119719. [Google Scholar] [CrossRef] [PubMed]
- Narayanan, G.; Shen, J.; Matai, I.; Sachdev, A.; Boy, R.; Tonelli, A. Cyclodextrin-based nanostructures. Prog. Mater. Sci. 2022, 124, 100869. [Google Scholar] [CrossRef]
- Lai, H.; Li, G.; Zhang, Z. Ti3C2Tx-AgNPs@beta-cyclodextrin SERS substrate for rapid and selective determination of erythrosin B in dyed food. Sens. Actuators B Chem. 2021, 346, 130595. [Google Scholar] [CrossRef]
- Panda, S.; Fourmentin, S. Cyclodextrin-based supramolecular low melting mixtures: Efficient absorbents for volatile organic compounds abatement. Environ. Sci. Pollut. Res. 2022, 29, 264–270. [Google Scholar] [CrossRef]
- Qi, L.; Tian, H.; Shao, H.; Yu, H. Host-guest interaction at molecular interfaces: Binding of cucurbit[7]uril on ferrocenyl self-assembled monolayers on gold. J. Phys. Chem. C 2017, 121, 7985–7992. [Google Scholar] [CrossRef]
- Healy, B.; Yu, T.; da Silva Alves, D.; Okeke, C.; Breslin, C. Cyclodextrins as supramolecular recognition systems: Applications in the fabrication of electrochemical sensors. Materials 2021, 14, 1668. [Google Scholar] [CrossRef]
- Lara-Moreno, A.; Morillo, E.; Merchán, F.; Madrid, F.; Villaverde, J. Chlorpyrifos removal in an artificially contaminated soil using novel bacterial strains and cyclodextrin. evaluation of its effectiveness by ecotoxicity studies. Agronomy 2022, 12, 1971. [Google Scholar] [CrossRef]
- Liu, Z.; Fan, B.; Zhao, J.; Yang, B.; Zheng, X. Benzothiazole derivatives-based supramolecular assemblies as efficient corrosion inhibitors for copper in artificial seawater: Formation, interfacial release and protective mechanisms. Corros. Sci. 2023, 212, 110957. [Google Scholar] [CrossRef]
- He, C.; Zhou, Q.; Duan, Z.; Xu, X.; Wang, F.; Li, H. One-step synthesis of a β-cyclodextrin derivative and its performance for the removal of Pb(II) from aqueous solutions. Res. Chem. Intermediat. 2018, 44, 2983–2998. [Google Scholar] [CrossRef]
- Cengiz, B.; Gevrek, T.; Chambre, L.; Sanyal, A. Self-assembly of cyclodextrin-coated nanoparticles: Fabrication of functional nanostructures for sensing and delivery. Molecules 2023, 28, 1076. [Google Scholar] [CrossRef]
- Jiang, X.; Wang, M.; Lou, Z.; Han, H.; Yan, N.; Guan, Q.; Xu, L. Selective and controlled release responsive nanoparticles with adsorption-pairing synergy for anthocyanin extraction. ACS Nano 2024, 18, 2290–2301. [Google Scholar] [CrossRef]
- Li, J.; Tian, X.; Li, S.; Anema, J.; Yang, Z.; Ding, Y.; Wu, Y.; Zeng, W.; Chen, Q.; Ren, B. Surface analysis using shell-isolated nanoparticle-enhanced Raman spectroscopy. Nat. Protoc. 2013, 8, 52–65. [Google Scholar] [CrossRef]
- Zheng, B.; Dong, J.; Su, L.; Meng, M.; Li, J. Surface-enhanced Raman spectroscopy study of fresh human urine: A preliminary study. Spectrosc. Spect. Anal. 2016, 36, 1987–1991. [Google Scholar]
- Tian, X.; Liu, B.; Li, J.; Yang, Z.; Ren, B.; Tian, Z. SHINERS and plasmonic properties of Au core SiO2 shell nanoparticles with optimal core size and shell thickness. J. Raman Spectrosc. 2013, 44, 994–998. [Google Scholar] [CrossRef]
- Jiang, S.; Li, X.; Zhang, Y.; Zhu, G.; Li, J. Synthesis of ultra-uniform gold spherical nanoparticles with different sizes and their SERS effects study. Spectrosc. Spect. Anal. 2016, 36, 99–103. [Google Scholar]
- Wu, S.; Wang, H.; Wu, D.; Fan, G.; Tao, Y.; Kong, Y. Silver nanoparticle driven signal amplification for electrochemical chiral discrimination of amino acids. Analyst 2021, 146, 1612–1619. [Google Scholar] [CrossRef] [PubMed]
- Bindhu, M.; Saranya, P.; Sheeba, M.; Vijilvani, C.; Rejiniemon, T.; Al-Mohaimeed, A.; AbdelGawwad, M.; Elshikh, M. Functionalization of gold nanoparticles by β-cyclodextrin as a probe for the detection of heavy metals in water and photocatalytic degradation of textile dye. Environ. Res. 2021, 201, 111628. [Google Scholar] [CrossRef]
- Ma, P.; Liang, F.; Wang, D.; Yang, Q.; Cao, B.; Song, D.; Gao, D.; Wang, X. Selective determination of o-phenylenediamine by surface-enhanced Raman spectroscopy using silver nanoparticles decorated with α-cyclodextrin. Microchim. Acta 2015, 182, 167–174. [Google Scholar] [CrossRef]
- Zeng, L.; Ke, Y.; Yang, X.; Lan, M.; Zhao, S.; Zhu, B. Intramolecular cascade reaction sensing platform for rapid, specific and ultrasensitive detection of nitrite. Food Chem. 2024, 438, 138044. [Google Scholar] [CrossRef] [PubMed]
- Heng, C.; He, B.; Wang, L. A dual-mode ratiometric fluorometric and colorimetric platform based on nitrogen-doped carbon dots and o-phenylenediamine for the detection of nitrite. J. Fluoresc. 2023, 1–11. [Google Scholar] [CrossRef] [PubMed]
- Xie, Y.; Tu, X.; Ma, X.; Fang, Q.; Lu, L.; Yu, Y.; Liu, G.; Liu, C. High-performance voltammetric sensor for dichlorophenol based on β-cyclodextrin functionalized boron-doped graphene composite aerogels. Nanotechnology 2019, 30, 185502. [Google Scholar] [CrossRef]
- Ouyang, L.; Jiang, Z.; Wang, N.; Zhu, L.; Tang, H. Rapid surface enhanced Raman scattering (SERS) detection of sibutramine hydrochloride in pharmaceutical capsules with a β-Cyclodextrin-Ag/Polyvivnyl alcohol hydrogel substrate. Sensors 2017, 17, 1601. [Google Scholar] [CrossRef]
- Hao, B.; Ren, L.; Huang, B.; Tang, X.; Cheng, H.; Yan, D.; Li, Y.; Cao, A.; Ouyang, C.; Wang, Q. 2-Hydroxypropyl-β-cyclodextrin encapsulates dimethyl disulfide producing a controlled release formulation. Sci. Total Environ. 2021, 773, 145293. [Google Scholar] [CrossRef]
- Graff, M.; Bukowska, J.; Zawada, K. Surface enhanced Raman scattering (SERS) of 1-hydroxybenzotriazole adsorbed on a copper electrode surface. J. Electroanal. Chem. 2004, 567, 297–303. [Google Scholar] [CrossRef]
- Fu, X.; Mou, T.; Wang, J.; Zhu, T.; Liu, Z. pH-dependent assembling of gold nanoparticles on p-aminothiophenol modified gold substrate. Acta Phys. Chim. Sin. 1998, 14, 968–974. [Google Scholar]
- Li, C.; Huang, Y.; Yang, Y. Coupling of an antifouling and reusable nanoplatform with catalytic hairpin assembly for highly sensitive detection of nucleic acids using zeta potential as signal readout. Sens. Actuators B Chem. 2021, 326, 128845. [Google Scholar] [CrossRef]
- Clogston, J.; Patri, A. Zeta potential measurement. Methods Mol. Biol. 2011, 697, 63–70. [Google Scholar]
- Rubim, J.; Gutz, I.; Sala, O. Surface-enhanced Raman spectra of benzotriazole adsorbed on a silver electrode. J. Mol. Struc. 1983, 101, 1–6. [Google Scholar] [CrossRef]
- Rubim, J.C.; Kim, J.-H.; Henderson, E.; Cotton, T.M. Surface-Enhanced Raman Scattering and atomic force microscopy of brass electrodes in sulfuric acid solution containing benzotriazole and chloride ion. Appl. Spectrosc. 1993, 47, 80–84. [Google Scholar] [CrossRef]
- Wang, W.; Ma, P.; Song, D. Applications of surface-enhanced Raman spectroscopy based on portable Raman spectrometers: A review of recent developments. Luminescence 2022, 37, 1822–1835. [Google Scholar] [CrossRef]
- Markina, N.; Cialla-May, D.; Markin, A. Cyclodextrin-assisted surface-enhanced Raman spectroscopy: A critical review. Anal. Bioanal. Chem. 2022, 414, 923–942. [Google Scholar] [CrossRef]
- Yeung, H.; Chan, H.; Weaver, M. Langmuir. A vibrational structural analysis of benzotriazole adsorption and phase film formation on copper using Surface-Enhanced Raman Spectroscopy. Langmuir 1999, 15, 3348–3355. [Google Scholar]
- Wang, R.; Ma, J.; Dai, X.; Gao, Y.; Gu, C.; Jiang, T. Highly active SERS chip with both structure-ameliorated chemical enhancement and nanocavity-mediated electromagnetic enhancement. Sens. Actuators B Chem. 2023, 374, 132782. [Google Scholar] [CrossRef]
- Sha, H.; Wang, Z.; Zhang, J. SiO2 microsphere array coated by Ag nanoparticles as Raman enhancement sensor with high sensitivity and high stability. Sensors 2022, 22, 4595. [Google Scholar] [CrossRef]
- Martinez-Garcia, M.; Pichardo-Molina, J.; Arzate-Plata, N.; Alvarado-Gil, J. Concave gold nanoparticles on aluminum as surface enhanced Raman spectroscopy substrate for detection of thiram. Nanomater. Nanotechnol. 2022, 12, 18479804221082778. [Google Scholar] [CrossRef]
- De León Portilla, P.; Sánchez-Mora, E.; González, A. Influence on SERS enhancement factor of the components of an artificial opal loaded with metal NPs: A systematic study. Curr. Appl. Phys. 2022, 39, 248–257. [Google Scholar] [CrossRef]
- Lal, S.; Grady, N.; Goodrich, G.; Halas, N. Profiling the near field of a plasmonic nanoparticle with Raman-based molecular rulers. Nano Lett. 2006, 6, 2338–2343. [Google Scholar] [CrossRef]
- Schnetger, B.; Lehners, C. Determination of nitrate plus nitrite in small volume marine water samples using vanadium(III) chloride as a reduction agent. Mar. Chem. 2014, 160, 91–98. [Google Scholar] [CrossRef]
- Sofía, A.; Gegenschatz, F.; Chiappini, C.; Teglia, A.; Héctor, C. Binding the gap between experiments, statistics, and method comparison: A tutorial for computing limits of detection and quantification in univariate calibration for complex samples. Anal. Chim. Acta 2022, 1209, 339342. [Google Scholar]
- Zhang, H.; Lai, H.; Li, G.; Hu, Y. 4-Aminothiophenol capped halloysite nanotubes/silver nanoparticles as surface-enhanced Raman scattering probe for in-situ derivatization and selective determination of nitrite ions in meat product. Talanta 2020, 220, 121366. [Google Scholar] [CrossRef] [PubMed]















| Raman Characteristic Peaks (cm−1) | SERS-EF |
|---|---|
| 1168 | 2.11 106 |
| 1240 | 4.67 106 |
| 1375 | 1.78 107 |
| 1600 | 1.98 108 |
| Raman Characteristic Peaks (cm−1) | Linear Regression Equations | R2 | LOD (μmol/L) |
|---|---|---|---|
| 1168 | y = 114.78x + 265.81 | 0.9924 | 3.33 × 10−2 |
| 1240 | y = 190.9x + 363.61 | 0.9890 | 5.84 × 10−2 |
| 1375 | y = 241.96x + 423.95 | 0.9918 | 2.40 × 10−2 |
| 1600 | y = 672.67x + 979.02 | 0.9945 | 1.05 × 10−2 |
| Method | Materials | Linear Range (μM) | LOD (μM) | Ref. |
|---|---|---|---|---|
| Voltammetric | ERGO-MWCNT a | 10–750 | 3.3 | [8] |
| Potentiometric | Ni2O3/rGO | 10–2400 | 27.4 | [13] |
| Voltammetric | CdS nanorods on glass screen print electrode | 50–5000 | 2.3 | [14] |
| Ion Chromatography | N/A | 0.1–3 | 3 × 10−2 | [20] |
| SERS | Halloysite nanotubes-AgNPs | 102–105 | 2 × 10−2 | [86] |
| SERS | SH-β-CD@AuNPs | 0.1–30 | 1.05 × 10−2 | This work |
| Sample | Added (μmol/L) | Spectrophotometry (μmol/L) | This Work (μmol/L) | RSD (%) | Recovery (%) |
|---|---|---|---|---|---|
| Carp fish tank | 0 | 8.12 | 5.17 | 2.14 | 103.4 |
| 5.0 | 9.90 | 10.34 | 3.75 | ||
| Land-based factories (grouper) | 0 | 25.09 | 24.10 | 3.24 | 96.8 |
| 5.0 | 29.87 | 28.94 | 2.70 | ||
| Sea | 0 | 10.98 | 10.65 | 2.57 | 102.8 |
| 5.0 | 11.63 | 15.79 | 3.41 | ||
| River | 0 | 36.2 | 31.09 | N/A | N/A |
| 5.0 | 41.6 | 31.4 | N/A |
Disclaimer/Publisher’s Note: The statements, opinions and data contained in all publications are solely those of the individual author(s) and contributor(s) and not of MDPI and/or the editor(s). MDPI and/or the editor(s) disclaim responsibility for any injury to people or property resulting from any ideas, methods, instructions or products referred to in the content. |
© 2024 by the authors. Licensee MDPI, Basel, Switzerland. This article is an open access article distributed under the terms and conditions of the Creative Commons Attribution (CC BY) license (https://creativecommons.org/licenses/by/4.0/).
Share and Cite
Li, Z.; Hu, Y.; Wang, L.; Liu, H.; Ren, T.; Wang, C.; Li, D. Selective and Accurate Detection of Nitrate in Aquaculture Water with Surface-Enhanced Raman Scattering (SERS) Using Gold Nanoparticles Decorated with β-Cyclodextrins. Sensors 2024, 24, 1093. https://doi.org/10.3390/s24041093
Li Z, Hu Y, Wang L, Liu H, Ren T, Wang C, Li D. Selective and Accurate Detection of Nitrate in Aquaculture Water with Surface-Enhanced Raman Scattering (SERS) Using Gold Nanoparticles Decorated with β-Cyclodextrins. Sensors. 2024; 24(4):1093. https://doi.org/10.3390/s24041093
Chicago/Turabian StyleLi, Zhen, Yang Hu, Liu Wang, Houfang Liu, Tianling Ren, Cong Wang, and Daoliang Li. 2024. "Selective and Accurate Detection of Nitrate in Aquaculture Water with Surface-Enhanced Raman Scattering (SERS) Using Gold Nanoparticles Decorated with β-Cyclodextrins" Sensors 24, no. 4: 1093. https://doi.org/10.3390/s24041093
APA StyleLi, Z., Hu, Y., Wang, L., Liu, H., Ren, T., Wang, C., & Li, D. (2024). Selective and Accurate Detection of Nitrate in Aquaculture Water with Surface-Enhanced Raman Scattering (SERS) Using Gold Nanoparticles Decorated with β-Cyclodextrins. Sensors, 24(4), 1093. https://doi.org/10.3390/s24041093

