Mechanically Adjustable 4-Channel RF Transceiver Coil Array for Rat Brain Imaging in a Whole-Body 7 T MR Scanner
Abstract
1. Introduction
2. Materials and Methods
2.1. Electromagnetic Simulation
2.2. Mechanically Adjustable Housing and RF Coil Design
2.3. Bench Tests
2.4. MR Experiments
3. Results
3.1. EM Simulations
3.2. Bench Measurements
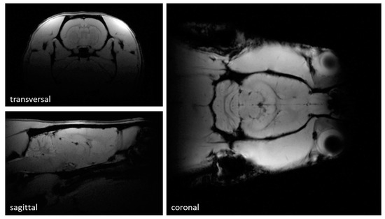
3.3. MR Measurements
4. Discussion
Author Contributions
Funding
Institutional Review Board Statement
Informed Consent Statement
Data Availability Statement
Acknowledgments
Conflicts of Interest
References
- Cenci, M.A.; Whishaw, I.Q.; Schallert, T. Animal Models of Neurological Deficits: How Relevant Is the Rat? Nat. Rev. Neurosci. 2002, 3, 574–579. [Google Scholar] [CrossRef] [PubMed]
- Denic, A.; Macura, S.I.; Mishra, P.; Gamez, J.D.; Rodriguez, M.; Pirko, I. MRI in Rodent Models of Brain Disorders. Neurotherapeutics 2011, 8, 3–18. [Google Scholar] [CrossRef] [PubMed]
- Hoult, D.; Lauterbur, P. The Sensitivity of the Zeugmatographic Experiment Involving Human Samples. J. Magn. Reson. 1979, 34, 425–433. [Google Scholar] [CrossRef]
- Laistler, E.; Poirier-Quinot, M.; Lambert, S.A.; Dubuisson, R.-M.; Girard, O.M.; Moser, E.; Darrasse, L.; Ginefri, J.-C. In Vivo MR Imaging of the Human Skin at Subnanoliter Resolution Using a Superconducting Surface Coil at 1.5 Tesla. J. Magn. Reson. Imaging 2015, 41, 496–504. [Google Scholar] [CrossRef] [PubMed]
- Darrasse, L.; Ginefri, J.C. Perspectives with Cryogenic RF Probes in Biomedical MRI. Biochimie 2003, 85, 915–937. [Google Scholar] [CrossRef]
- Johnson, G.A.; Thompson, M.B.; Drayer, B.P. Three-dimensional MRI Microscopy of the Normal Rat Brain. Magn. Reson. Med. 1987, 4, 351–365. [Google Scholar] [CrossRef]
- Seierstad, T.; Røe, K.; Høvik, B. Construction of a Modified Capacitive Overlap MR Coil for Imaging of Small Animals and Objects in a Clinical Whole-Body Scanner. Phys. Med. Biol. 2007, 52, N513. [Google Scholar] [CrossRef]
- Lee, H.-S.; Woo, D.-C.; Min, K.-H.; Kim, Y.-K.; Lee, H.-K.; Choe, B.-Y. Development of a Solenoid RF Coil for Animal Imaging in 3 T High-Magnetic-Field MRI. Scanning 2008, 30, 419–425. [Google Scholar] [CrossRef]
- Graf, H.; Martirosian, P.; Schick, F.; Grieser, M.; Bellemann, M.E. Inductively Coupled Rf Coils for Examinations of Small Animals and Objects in Standard Whole-Body MR Scanners. Med. Phys. 2003, 30, 1241–1245. [Google Scholar] [CrossRef]
- Wang, C.; Li, Y.; Wu, B.; Xu, D.; Nelson, S.J.; Vigneron, D.B.; Zhang, X. A Practical Multinuclear Transceiver Volume Coil for in Vivo MRI/MRS at 7 T. Magn. Reson. Imaging 2012, 30, 78–84. [Google Scholar] [CrossRef]
- Thorsen, F.; Ersland, L.; Nordli, H.; Enger, P.Ø.; Huszthy, P.C.; Lundervold, A.; Standnes, T.; Bjerkvig, R.; Lund-Johansen, M. Imaging of Experimental Rat Gliomas Using a Clinical MR Scanner. J. Neurooncol. 2003, 63, 225–231. [Google Scholar] [CrossRef]
- Ulmer, S.; Reeh, M.; Krause, J.; Herdegen, T.; Heldt-Feindt, J.; Jansen, O.; Rohr, A. Dynamic Contrast-Enhanced Susceptibility-Weighted Perfusion MRI (DSC-MRI) in a Glioma Model of the Rat Brain Using a Conventional Receive-Only Surface Coil with a Inner Diameter of 47 Mm at a Clinical 1.5 T Scanner. J. Neurosci. Methods 2008, 172, 168–172. [Google Scholar] [CrossRef]
- Solis-Najera, S.E.; Martin, R.; Vazquez, F.; Rodriguez, A.O. Surface Coil with Reduced Specific Absorption Rate for Rat MRI at 7 T. Magn. Reson. Mater. Physics, Biol. Med. 2015, 28, 599–608. [Google Scholar] [CrossRef]
- Ginefri, J.C.; Rubin, A.; Tatoulian, M.; Woytasik, M.; Boumezbeur, F.; Djemaï, B.; Poirier-Quinot, M.; Lethimonnier, F.; Darrasse, L.; Dufour-Gergam, E. Implanted, Inductively-Coupled, Radiofrequency Coils Fabricated on Flexible Polymeric Material: Application to in Vivo Rat Brain MRI at 7 T. J. Magn. Reson. 2012, 224, 61–70. [Google Scholar] [CrossRef] [PubMed]
- Underhill, H.R.; Yuan, C.; Hayes, C.E. A Combined Solenoid-Surface RF Coil for High-Resolution Whole-Brain Rat Imaging on a 3.0 Tesla Clinical MR Scanner. Magn. Reson. Med. 2010, 64, 883–892. [Google Scholar] [CrossRef] [PubMed]
- Roemer, P.B.; Edelstein, W.A.; Hayes, C.E.; Souza, S.P.; Mueller, O.M. The NMR Phased Array. Magn. Reson. Med. 1990, 16, 192–225. [Google Scholar] [CrossRef]
- Pruessmann, K.P.; Weiger, M.; Scheidegger, M.B.; Boesiger, P. SENSE: Sensitivity Encoding for Fast MRI. Magn. Reson. Med. 1999, 42, 952–962. [Google Scholar] [CrossRef]
- Sodickson, D.K.; Manning, W.J. Simultaneous Acquisition of Spatial Harmonics (SMASH): Fast Imaging with Radiofrequency Coil Arrays. Magn. Reson. Med. 1997, 38, 591–603. [Google Scholar] [CrossRef]
- Griswold, M.A.; Jakob, P.M.; Heidemann, R.M.; Nittka, M.; Jellus, V.; Wang, J.; Kiefer, B.; Haase, A. Generalized Autocalibrating Partially Parallel Acquisitions (GRAPPA). Magn. Reson. Med. 2002, 47, 1202–1210. [Google Scholar] [CrossRef]
- Gao, Y.; Wang, P.; Qian, M.; Zhao, J.; Xu, H.; Zhang, X. A Surface Loop Array for in Vivo Small Animal MRI/FMRI on 7 T Human Scanners. Phys. Med. Biol. 2019, 64, 035009. [Google Scholar] [CrossRef]
- Mogatadakala, K.V.; Bankson, J.A.; Narayana, P.A. Three-Element Phased-Array Coil for Imaging of Rat Spinal Cord at 7 T. Magn. Reson. Med. 2008, 60, 1498–1505. [Google Scholar] [CrossRef] [PubMed][Green Version]
- Rengle, A.; Armenean, M.; Bolbos, R.; Goebel, J.C.; Pinzano-Watrin, A.; Saint-Jalmes, H.; Gillet, P.; Beuf, O. A Dedicated Two-Channel Phased-Array Receiver Coil for High-Resolution MRI of the Rat Knee Cartilage at 7 T. IEEE Trans. Biomed. Eng. 2009, 56, 2891–2897. [Google Scholar] [CrossRef]
- Lee, J.S.; Goo, E.H.; Im, I.C.; Park, H.H. A Rat’s Image Using Multichannel Phase Array RF Coil Specifically Designed for Animals: Focused on a Pulse Sequence and Mediator Variable. Appl. Magn. Reson. 2013, 44, 553–560. [Google Scholar] [CrossRef]
- Orzada, S.; Maderwald, S.; Göricke, S.L.; Parohl, N.; Ladd, S.C.; Ladd, M.E.; Quick, H.H. Design and Comparison of Two Eight-Channel Transmit/Receive Radiofrequency Arrays for in Vivo Rodent Imaging on a 7 T Human Whole-Body MRI System. Med. Phys. 2010, 37, 2225–2232. [Google Scholar] [CrossRef][Green Version]
- Sohn, S.-M.; DelaBarre, L.; Gopinath, A.; Vaughan, J.T. Design of an Electrically Automated RF Transceiver Head Coil in MRI. IEEE Trans. Biomed. Circuits Syst. 2015, 9, 725–732. [Google Scholar] [CrossRef][Green Version]
- Goluch, S.; Frass-Kriegl, R.; Meyerspeer, M.; Pichler, M.; Sieg, J.; Gajdošík, M.; Krššák, M.; Laistler, E. Proton-Decoupled Carbon Magnetic Resonance Spectroscopy in Human Calf Muscles at 7 T Using a Multi-Channel Radiofrequency Coil. Sci. Rep. 2018, 8, 6211. [Google Scholar] [CrossRef]
- Frass-Kriegl, R.; Navarro de Lara, L.I.; Pichler, M.; Sieg, J.; Moser, E.; Windischberger, C.; Laistler, E. Flexible 23-Channel Coil Array for High-Resolution Magnetic Resonance Imaging at 3 Tesla. PLoS ONE 2018, 13, e0206963. [Google Scholar] [CrossRef]
- Nohava, L.; Czerny, R.; Roat, S.; Obermann, M.; Kuehne, A.; Frass-Kriegl, R.; Felblinger, J.; Ginefri, J.C.; Laistler, E. Flexible Multi-Turn Multi-Gap Coaxial RF Coils: Design Concept and Implementation for Magnetic Resonance Imaging at 3 and 7 Tesla. IEEE Trans. Med. Imaging 2021, 40, 1267–1278. [Google Scholar] [CrossRef] [PubMed]
- Ruytenberg, T.; Webb, A.; Zivkovic, I. Shielded-Coaxial-Cable Coils as Receive and Transceive Array Elements for 7 T Human MRI. Magn. Reson. Med. 2020, 83, 1135–1146. [Google Scholar] [CrossRef]
- Kozlov, M.; Turner, R. Fast MRI Coil Analysis Based on 3-D Electromagnetic and RF Circuit Co-Simulation. J. Magn. Reson. 2009, 200, 147–152. [Google Scholar] [CrossRef] [PubMed]
- Kumar, A.; Edelstein, W.A.; Bottomley, P.A. Noise Figure Limits for Circular Loop MR Coils. Magn. Reson. Med. 2009, 61, 1201–1209. [Google Scholar] [CrossRef] [PubMed]
- Zhu, Y. Parallel Excitation with an Array of Transmit Coils. Magn Reson Med 2004, 51, 775–784. [Google Scholar] [CrossRef] [PubMed]
- Kuehne, A.; Goluch, S.; Waxmann, P.; Seifert, F.; Ittermann, B.; Moser, E.; Laistler, E. Power Balance and Loss Mechanism Analysis in RF Transmit Coil Arrays. Magn. Reson. Med. 2015, 74, 1165–1176. [Google Scholar] [CrossRef]
- Kuehne, A.; Seifert, F.; Ittermann, B. GPU-Accelerated SAR Computation with Arbitrary Averaging Shapes. In Proceedings of the 20th Annual Meeting of ISMRM, Melbourne, Australia, 5–11 May 2012; Volume 2735. [Google Scholar]
- Gabriel, S.; Lau, R.W.; Gabriel, C. The Dielectric Properties of Biological Tissues: II. Measurements in the Frequency Range 10 Hz to 20 GHz. Phys. Med. Biol. 1996, 41, 2251–2269. [Google Scholar] [CrossRef]
- Darrasse, L.; Kassab, G. Quick Measurement of NMR-Coil Sensitivity with a Dual-Loop Probe. Rev. Sci. Instrum. 1993, 64, 1841–1844. [Google Scholar] [CrossRef]
- Chung, S.; Kim, D.; Breton, E.; Axel, L. Rapid B1+ Mapping Using a Preconditioning RF Pulse with TurboFLASH Readout. Magn. Reson. Med. 2010, 64, 439–446. [Google Scholar] [CrossRef] [PubMed]
- Eckstein, K.; Trattning, S.; Robinson, S.D. A Simple Homogeneity Correction for Neuroimaging at 7 T. In Proceedings of the ISMRM 27th Annual Meeting & Exhibition, Montréal, QC, Canada, 11–16 May 2019; Volume 27, p. 2716. [Google Scholar]





| Small Phantom | Large Phantom | |||||
|---|---|---|---|---|---|---|
| 2 | 3 | 4 | 2 | 3 | 4 | |
| Elements | Elements | |||||
| Power efficiency [μT/√W] | 10.1 | 9.1 | 10.2 | 5.8 | 6.1 | 6.7 |
| SAR efficiency [μT/√(W/kg)] | 0.9 | 1.1 | 1.3 | 0.6 | 0.9 | 1.0 |
| Simulated S-Parameters [dB] | ||||||||||
|---|---|---|---|---|---|---|---|---|---|---|
| Adult Rat | Infant Rat | |||||||||
| Configuration 1 non-adjustable housing | ch | 1 | 2 | 3 | 4 | ch | 1 | 2 | 3 | 4 |
| 1 | −10.5 | 1 | −5.3 | |||||||
| 2 | −20.4 | −4.7 | 2 | −10.0 | −3.6 | |||||
| 3 | −26.0 | −14.4 | −11.8 | 3 | −33.8 | −36.0 | −11.7 | |||
| 4 | −26.2 | −14.6 | −11.9 | −11.9 | 4 | −33.6 | −35.8 | −12.5 | −11.9 | |
| Configuration 2 adjustable housing | ch | 1 | 2 | 3 | 4 | ch | 1 | 2 | 3 | 4 |
| 1 | −11.4 | 1 | −10.8 | |||||||
| 2 | −19.4 | −10.5 | 2 | −16.6 | −7.5 | |||||
| 3 | −25.7 | −14.4 | −11.9 | 3 | −30.2 | −19.4 | −11.8 | |||
| 4 | −25.7 | −14.8 | −19.7 | −11.9 | 4 | −30.5 | −19.5 | −12.0 | −11.8 | |
| Measured S-Parameters [dB] | ||||
|---|---|---|---|---|
| ch | 1 | 2 | 3 | 4 |
| 1 | −23.0 | |||
| 2 | −18.5 | −26.3 | ||
| 3 | −14.7 | −12.6 | −20.2 | |
| 4 | −15.8 | −10.1 | −14.7 | −27.3 |
Disclaimer/Publisher’s Note: The statements, opinions and data contained in all publications are solely those of the individual author(s) and contributor(s) and not of MDPI and/or the editor(s). MDPI and/or the editor(s) disclaim responsibility for any injury to people or property resulting from any ideas, methods, instructions or products referred to in the content. |
© 2024 by the authors. Licensee MDPI, Basel, Switzerland. This article is an open access article distributed under the terms and conditions of the Creative Commons Attribution (CC BY) license (https://creativecommons.org/licenses/by/4.0/).
Share and Cite
Roat, S.; Nohava, L.; Laistler, E. Mechanically Adjustable 4-Channel RF Transceiver Coil Array for Rat Brain Imaging in a Whole-Body 7 T MR Scanner. Sensors 2024, 24, 5377. https://doi.org/10.3390/s24165377
Roat S, Nohava L, Laistler E. Mechanically Adjustable 4-Channel RF Transceiver Coil Array for Rat Brain Imaging in a Whole-Body 7 T MR Scanner. Sensors. 2024; 24(16):5377. https://doi.org/10.3390/s24165377
Chicago/Turabian StyleRoat, Sigrun, Lena Nohava, and Elmar Laistler. 2024. "Mechanically Adjustable 4-Channel RF Transceiver Coil Array for Rat Brain Imaging in a Whole-Body 7 T MR Scanner" Sensors 24, no. 16: 5377. https://doi.org/10.3390/s24165377
APA StyleRoat, S., Nohava, L., & Laistler, E. (2024). Mechanically Adjustable 4-Channel RF Transceiver Coil Array for Rat Brain Imaging in a Whole-Body 7 T MR Scanner. Sensors, 24(16), 5377. https://doi.org/10.3390/s24165377

