High-Resolution Swin Transformer for Automatic Medical Image Segmentation
Abstract
1. Introduction
- (1)
- We propose a new network, the HRSTNet, that combines the HRNet with Swin Transformer blocks for medical image segmentation. The Swin Transformer blocks generate parallel features of different resolutions, and the high-resolution features are maintained throughout the network to provide more precise spatial information.
- (2)
- A multi-resolution feature fusion block is designed to generate contextual information-augmented representations, utilizing a patch-merging block to downsample feature maps and a patch-expanding block to upsample feature maps.
- (3)
- We conduct extensive experiments on the 2021 Brain Tumor Segmentation (BraTS 2021) dataset [15,16,17,18,19], Medical Segmentation Decathlon (MSD)’s liver dataset [20,21], and the BTCV multi-organ segmentation dataset [22,23,24,25,26,27,28] to demonstrate that the HRSTNet can achieve comparable or even better performance than the recently proposed medical image segmentation methods. Based on the outcomes of the experimental results, our manuscript proposed a new effective Transformer-based medical image segmentation architecture.
2. Related Work
2.1. Vision Transformers
2.2. Medical Image Segmentation
3. Methods Section
3.1. Architecture Overview
3.2. Swin Transformer Block
3.3. HRSTNet Stage
3.4. Multi-Resolution Feature Fusion
4. Experiments and Results
4.1. Implementation Details
4.2. Evaluation Metrics
4.3. Ablation Study of the MRFF Block
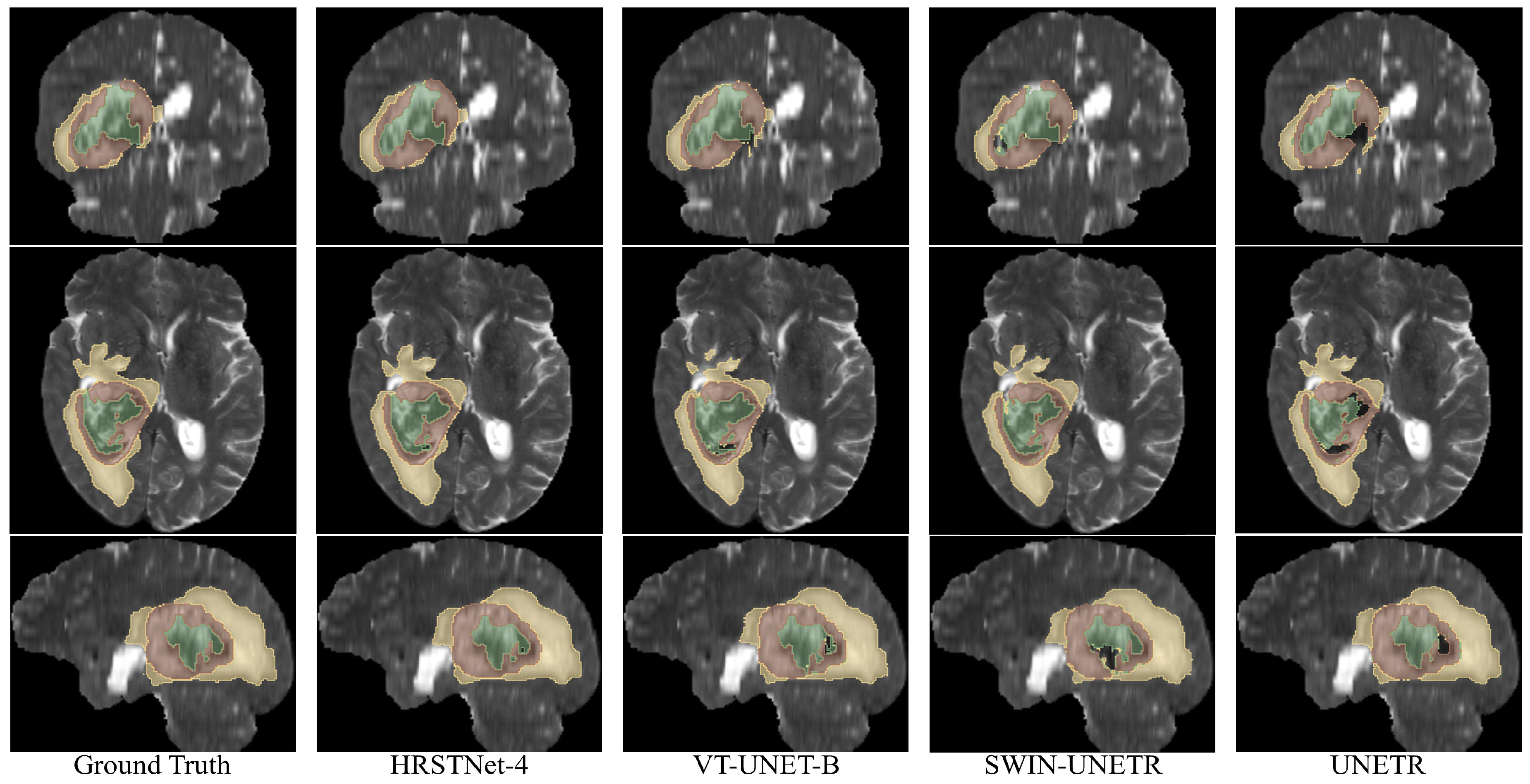
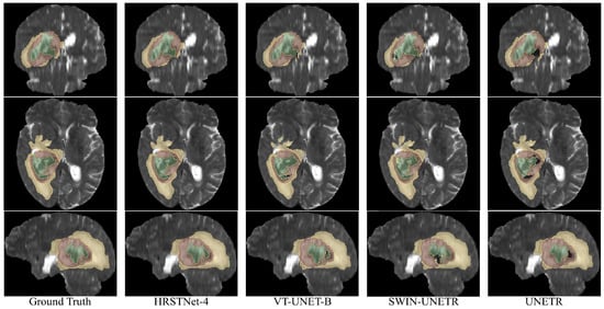
4.4. Experimental Results on BraTS 2021
4.5. Experimental Results on the MSD Liver Dataset
4.6. Experimental Results on the BTCV Multi-Organ Segmentation Dataset
4.7. Model Efficiency Analysis
5. Conclusions
Author Contributions
Funding
Institutional Review Board Statement
Informed Consent Statement
Data Availability Statement
Conflicts of Interest
Abbreviations
| HRNet | High-resolution network |
| HRSTNet | High-resolution Swin Transformer network |
| CNNs | Convolutional neural networks |
| CV | Computer vision |
| MSD | Medical Segmentation Decathlon |
| MRFF | Multi-resolution feature fusion block |
| SW-MSA | Self-attention in the shifted window |
| MRI | Magnetic resonance imaging |
| CT | Computed tomography |
| ET | Enhanced tumor |
| TC | Tumor core |
| WT | Whole tumor |
| DSC | Dice similarity coefficient |
| HD | Hausdorff distance |
References
- Radford, A.; Narasimhan, K. Improving Language Understanding by Generative Pre-Training; 2018; pp. 1–11. [Google Scholar]
- Vaswani, A.; Shazeer, N.; Parmar, N.; Uszkoreit, J.; Jones, L.; Gomez, A.N.; Kaiser, L.; Polosukhin, I. Attention is All you Need. In Proceedings of the Advances in Neural Information Processing Systems 30: Annual Conference on Neural Information Processing Systems 2017, Long Beach, CA, USA, 4–9 December 2017; pp. 5998–6008. [Google Scholar]
- Dosovitskiy, A.; Beyer, L.; Kolesnikov, A.; Weissenborn, D.; Zhai, X.; Unterthiner, T.; Dehghani, M.; Minderer, M.; Heigold, G.; Gelly, S.; et al. An Image is Worth 16 × 16 Words: Transformers for Image Recognition at Scale. In Proceedings of the 9th International Conference on Learning Representations, ICLR 2021, Virtual Event, 3–7 May 2021. [Google Scholar]
- Touvron, H.; Cord, M.; Douze, M.; Massa, F.; Sablayrolles, A.; Jégou, H. Training data-efficient image transformers & distillation through attention. In Proceedings of the 38th International Conference on Machine Learning, ICML 2021, Virtual Event, 18–24 July 2021; Meila, M., Zhang, T., Eds.; PMLR: McKees Rocks, PA, USA, 2021; Volume 139, pp. 10347–10357. [Google Scholar]
- Beal, J.; Kim, E.; Tzeng, E.; Park, D.H.; Zhai, A.; Kislyuk, D. Toward Transformer-Based Object Detection. arXiv 2020, arXiv:2012.09958. [Google Scholar]
- Xie, E.; Wang, W.; Yu, Z.; Anandkumar, A.; Alvarez, J.M.; Luo, P. SegFormer: Simple and Efficient Design for Semantic Segmentation with Transformers. In Proceedings of the Advances in Neural Information Processing Systems 34: Annual Conference on Neural Information Processing Systems 2021, NeurIPS 2021, Virtual, 6–14 December 2021; pp. 12077–12090. [Google Scholar]
- Caron, M.; Touvron, H.; Misra, I.; Jégou, H.; Mairal, J.; Bojanowski, P.; Joulin, A. Emerging Properties in Self-Supervised Vision Transformers. In Proceedings of the 2021 IEEE/CVF International Conference on Computer Vision, ICCV 2021, Montreal, QC, Canada, 10–17 October 2021; pp. 9630–9640. [Google Scholar] [CrossRef]
- Hatamizadeh, A.; Yang, D.; Roth, H.R.; Xu, D. UNETR: Transformers for 3D Medical Image Segmentation. In Proceedings of the 2022 IEEE/CVF Winter Conference on Applications of Computer Vision (WACV), Waikoloa, HI, USA, 3–8 January 2022; pp. 1748–1758. [Google Scholar]
- Peiris, H.; Hayat, M.; Chen, Z.; Egan, G.F.; Harandi, M. A Volumetric Transformer for Accurate 3D Tumor Segmentation. arXiv 2021, arXiv:2111.13300. [Google Scholar]
- Hatamizadeh, A.; Nath, V.; Tang, Y.; Yang, D.; Roth, H.; Xu, D. Swin UNETR: Swin Transformers for Semantic Segmentation of Brain Tumors in MRI Images. arXiv 2022, arXiv:2201.01266. [Google Scholar]
- Çiçek, Ö.; Abdulkadir, A.; Lienkamp, S.S.; Brox, T.; Ronneberger, O. 3D U-Net: Learning Dense Volumetric Segmentation from Sparse Annotation. In Proceedings of the Medical Image Computing and Computer-Assisted Intervention—MICCAI 2016—19th International Conference, Athens, Greece, 17–21 October 2016; Volume 9901, pp. 424–432. [Google Scholar] [CrossRef]
- Zhou, H.Y.; Guo, J.; Zhang, Y.; Yu, L.; Wang, L.; Yu, Y. nnFormer: Interleaved Transformer for Volumetric Segmentation. arXiv 2021, arXiv:2109.03201. [Google Scholar]
- Wang, J.; Sun, K.; Cheng, T.; Jiang, B.; Deng, C.; Zhao, Y.; Liu, D.; Mu, Y.; Tan, M.; Wang, X.; et al. Deep High-Resolution Representation Learning for Visual Recognition. IEEE Trans. Pattern Anal. Mach. Intell. 2021, 43, 3349–3364. [Google Scholar] [CrossRef]
- Liu, Z.; Lin, Y.; Cao, Y.; Hu, H.; Wei, Y.; Zhang, Z.; Lin, S.; Guo, B. Swin Transformer: Hierarchical Vision Transformer using Shifted Windows. In Proceedings of the 2021 IEEE/CVF International Conference on Computer Vision, ICCV 2021, Montreal, QC, Canada, 10–17 October 2021; pp. 9992–10002. [Google Scholar] [CrossRef]
- Baid, U.; Ghodasara, S.; Bilello, M.; Mohan, S.; Calabrese, E.; Colak, E.; Farahani, K.; Kalpathy-Cramer, J.; Kitamura, F.C.; Pati, S.; et al. The RSNA-ASNR-MICCAI BraTS 2021 Benchmark on Brain Tumor Segmentation and Radiogenomic Classification. arXiv 2021, arXiv:2107.02314. [Google Scholar]
- Menze, B.H.; Jakab, A.; Bauer, S.; Kalpathy-Cramer, J.; Farahani, K.; Kirby, J.; Burren, Y.; Porz, N.; Slotboom, J.; Wiest, R.; et al. The multimodal brain tumor image segmentation benchmark (BRATS). IEEE Trans. Med Imaging 2014, 34, 1993–2024. [Google Scholar] [CrossRef]
- Bakas, S.; Akbari, H.; Sotiras, A.; Bilello, M.; Rozycki, M.; Kirby, J.; Freymann, J.; Farahani, K.; Davatzikos, C. Segmentation labels and radiomic features for the pre-operative scans of the TCGA-GBM collection. The Cancer Imaging Archive. Nat. Sci. Data 2017, 4, 170117. [Google Scholar] [CrossRef]
- Bakas, S.; Akbari, H.; Sotiras, A.; Bilello, M.; Rozycki, M.; Kirby, J.; Freymann, J.; Farahani, K.; Davatzikos, C. Segmentation labels and radiomic features for the pre-operative scans of the TCGA-LGG collection. Cancer Imaging Arch. 2017, 286. [Google Scholar]
- Bakas, S.; Akbari, H.; Sotiras, A.; Bilello, M.; Rozycki, M.; Kirby, J.S.; Freymann, J.B.; Farahani, K.; Davatzikos, C. Advancing the cancer genome atlas glioma MRI collections with expert segmentation labels and radiomic features. Sci. Data 2017, 4, 170117. [Google Scholar] [CrossRef]
- Antonelli, M.; Reinke, A.; Bakas, S.; Farahani, K.; Kopp-Schneider, A.; Landman, B.A.; Litjens, G.; Menze, B.; Ronneberger, O.; Summers, R.M.; et al. The Medical Segmentation Decathlon. Nat. Commun. 2022, 13, 4128. [Google Scholar] [CrossRef]
- Simpson, A.L.; Antonelli, M.; Bakas, S.; Bilello, M.; Farahani, K.; Van Ginneken, B.; Kopp-Schneider, A.; Landman, B.A.; Litjens, G.; Menze, B.; et al. A large annotated medical image dataset for the development and evaluation of segmentation algorithms. arXiv 2019, arXiv:1902.09063. [Google Scholar]
- Multi-Organ Abdominal CT Reference Standard Segmentations. 2018. Available online: https://zenodo.org/record/1169361#.ZBv-IvZBxPY (accessed on 15 September 2022). [CrossRef]
- Landman, B.; Xu, Z.; Igelsias, J.; Styner, M.; Langerak, T.; Klein, A. Miccai Multi-Atlas Labeling beyond the Cranial Vault—Workshop and Challenge. In Proceedings of the MICCAI Multi-Atlas Labeling Beyond Cranial Vault—Workshop Challenge, Munich, Germany, 9 October 2015. [Google Scholar] [CrossRef]
- Gibson, E.; Giganti, F.; Hu, Y.; Bonmati, E.; Bandula, S.; Gurusamy, K.; Davidson, B.; Pereira, S.P.; Clarkson, M.J.; Barratt, D.C. Automatic Multi-Organ Segmentation on Abdominal CT With Dense V-Networks. IEEE Trans. Med Imaging 2018, 37, 1822–1834. [Google Scholar] [CrossRef]
- Roth, H.R.; Lu, L.; Farag, A.; Shin, H.C.; Liu, J.; Turkbey, E.B.; Summers, R.M. DeepOrgan: Multi-level Deep Convolutional Networks for Automated Pancreas Segmentation. In Proceedings of the Medical Image Computing and Computer-Assisted Intervention—MICCAI 2015, Munich, Germany, 5–9 October 2015; Springer International Publishing: Cham, Switzerland, 2015; pp. 556–564. [Google Scholar]
- Clark, K.; Vendt, B.; Smith, K.; Freymann, J.; Kirby, J.; Koppel, P.; Moore, S.; Phillips, S.; Maffitt, D.; Pringle, M.; et al. The Cancer Imaging Archive (TCIA): Maintaining and Operating a Public Information Repository. J. Digit. Imaging 2013, 26, 1045–1057. [Google Scholar] [CrossRef]
- Xu, Z.; Lee, C.P.; Heinrich, M.P.; Modat, M.; Rueckert, D.; Ourselin, S.; Abramson, R.G.; Landman, B.A. Evaluation of Six Registration Methods for the Human Abdomen on Clinically Acquired CT. IEEE Trans. Biomed. Eng. 2016, 63, 1563–1572. [Google Scholar] [CrossRef]
- Data From Pancreas-CT. The Cancer Imaging Archive. IEEE Trans. Image Process 2016. [Google Scholar] [CrossRef]
- Yuan, Y.; Fu, R.; Huang, L.; Lin, W.; Zhang, C.; Chen, X.; Wang, J. HRFormer: High-Resolution Vision Transformer for Dense Predict. In Proceedings of the Advances in Neural Information Processing Systems 34: Annual Conference on Neural Information Processing Systems 2021, NeurIPS 2021, Virtual, 6–14 December 2021; pp. 7281–7293. [Google Scholar]
- Gu, J.; Kwon, H.; Wang, D.; Ye, W.; Li, M.; Chen, Y.; Lai, L.; Chandra, V.; Pan, D.Z. Multi-Scale High-Resolution Vision Transformer for Semantic Segmentation. arXiv 2021, arXiv:2111.01236. [Google Scholar]
- Prastawa, M.; Bullitt, E.; Ho, S.; Gerig, G. A brain tumor segmentation framework based on outlier detection. Med Image Anal. 2004, 8, 275–283. [Google Scholar] [CrossRef]
- You, X.; Peng, Q.; Yuan, Y.; Cheung, Y.-m.; Lei, J. Segmentation of retinal blood vessels using the radial projection and semi-supervised approach. Pattern Recognit. 2011, 44, 2314–2324. [Google Scholar] [CrossRef]
- Ronneberger, O.; Fischer, P.; Brox, T. U-Net: Convolutional Networks for Biomedical Image Segmentation. In Proceedings of the Medical Image Computing and Computer-Assisted Intervention—MICCAI 2015—18th International Conference, Munich, Germany, 5–9 October 2015; Volume 9351, pp. 234–241. [Google Scholar] [CrossRef]
- Futrega, M.; Milesi, A.; Marcinkiewicz, M.; Ribalta, P. Optimized U-Net for Brain Tumor Segmentation. In Proceedings of the Brainlesion: Glioma, Multiple Sclerosis, Stroke and Traumatic Brain Injuries, Shenzhen, China, 17 October 2019; Springer International Publishing: Cham, Switzerland, 2022; pp. 15–29. [Google Scholar]
- Luu, H.M.; Park, S.H. Extending nn-UNet for Brain Tumor Segmentation. In Proceedings of the Brainlesion: Glioma, Multiple Sclerosis, Stroke and Traumatic Brain Injuries, Shenzhen, China, 17 October 2019; Crimi, A., Bakas, S., Eds.; Springer International Publishing: Cham, Switzerland, 2022; pp. 173–186. [Google Scholar]
- Xie, Y.; Zhang, J.; Shen, C.; Xia, Y. CoTr: Efficiently Bridging CNN and Transformer for 3D Medical Image Segmentation. In Proceedings of the Medical Image Computing and Computer Assisted Intervention—MICCAI 2021, Virtual, 27 September–1 October 2021; Springer International Publishing: Cham, Switzerland, 2021; pp. 171–180. [Google Scholar]
- Wang, W.; Chen, C.; Ding, M.; Yu, H.; Zha, S.; Li, J. TransBTS: Multimodal Brain Tumor Segmentation Using Transformer. In Proceedings of the Medical Image Computing and Computer Assisted Intervention—MICCAI 2021, Virtual, 27 September–1 October 2021; Springer International Publishing: Cham, Switzerland, 2021; pp. 109–119. [Google Scholar]
- Petit, O.; Thome, N.; Rambour, C.; Themyr, L.; Collins, T.; Soler, L. U-Net Transformer: Self and Cross Attention for Medical Image Segmentation. In Proceedings of the Machine Learning in Medical Imaging—12th International Workshop, MLMI 2021, Held in Conjunction with MICCAI 2021, Strasbourg, France, 27 September 2021; Springer: Berlin/Heidelberg, Germany, 2021; Volume 12966, pp. 267–276. [Google Scholar] [CrossRef]
- Isensee, F.; Jaeger, P.F.; Kohl, S.A.A.; Petersen, J.; Maier-Hein, K.H. nnU-Net: A self-configuring method for deep learning-based biomedical image segmentation. Nat. Methods 2021, 18, 203–211. [Google Scholar] [CrossRef]
- Liu, Z.; Ning, J.; Cao, Y.; Wei, Y.; Zhang, Z.; Lin, S.; Hu, H. Video Swin Transformer. arXiv 2021, arXiv:2106.13230. [Google Scholar]
- Paszke, A.; Gross, S.; Massa, F.; Lerer, A.; Bradbury, J.; Chanan, G.; Killeen, T.; Lin, Z.; Gimelshein, N.; Antiga, L.; et al. PyTorch: An Imperative Style, High-Performance Deep Learning Library. In Proceedings of the Advances in Neural Information Processing Systems 32: Annual Conference on Neural Information Processing Systems 2019, NeurIPS 2019, Vancouver, BC, Canada, 8–14 December 2019; pp. 8024–8035. [Google Scholar]
- Fedorov, A.; Beichel, R.; Kalpathy-Cramer, J.; Finet, J.; Fillion-Robin, J.C.; Pujol, S.; Bauer, C.; Jennings, D.; Fennessy, F.; Sonka, M.; et al. 3D Slicer as an image computing platform for the Quantitative Imaging Network. Magn. Reson. Imaging 2012, 30, 1323–1341. [Google Scholar] [CrossRef]
- 3D Slicer. Available online: https://www.slicer.org (accessed on 24 July 2022).
- Loshchilov, I.; Hutter, F. SGDR: Stochastic Gradient Descent with Warm Restarts. In Proceedings of the 5th International Conference on Learning Representations, ICLR 2017, Toulon, France, 24–26 April 2017. [Google Scholar]
- Contributors, M. MMCV: OpenMMLab Computer Vision Foundation. Available online: https://github.com/open-mmlab/mmcv (accessed on 6 April 2022).






| Methods | Average | WT | ET | TC | ||||
|---|---|---|---|---|---|---|---|---|
| HD95 ↓ | DSC ↑ | HD95 ↓ | DSC ↑ | HD95 ↓ | DSC ↑ | HD95 ↓ | DSC ↑ | |
| HRSTNet-4-[16] | 10.42 | 86.26 | 4.32 | 91.02 | 15.92 | 81.20 | 11.02 | 86.56 |
| HRSTNet-4-[16, 32] | 9.96 | 86.44 | 4.90 | 91.00 | 15.79 | 81.63 | 9.18 | 86.69 |
| HRSTNet-4-[8, 16, 32] | 9.07 | 87.10 | 4.34 | 91.72 | 15.44 | 82.29 | 7.41 | 87.29 |
| HRSTNet-4-[4, 8, 16, 32] | 8.94 | 87.48 | 4.09 | 91.90 | 15.62 | 82.92 | 7.11 | 87.62 |
| Methods | FLOPs(G) | Params(M) | Average | WT | ET | TC | ||||
|---|---|---|---|---|---|---|---|---|---|---|
| HD95 ↓ | DSC ↑ | HD95 ↓ | DSC ↑ | HD95 ↓ | DSC ↑ | HD95 ↓ | DSC ↑ | |||
| Optimized UNet [34] | 1345.57 | 51.23 | 10.62 | 87.84 | 5.66 | 92.21 | 17.18 | 83.67 | 9.04 | 87.65 |
| Extending nnUNet [35] | 1657.97 | 87.41 | 2.99 | 92.69 | 3.62 | 93.40 | 2.50 | 90.79 | 2.86 | 93.89 |
| UNETR [8] | 175.85 | 102.45 | 11.04 | 86.18 | 6.18 | 91.40 | 18.31 | 81.80 | 8.63 | 85.33 |
| Swin UNETR [10] | 1218.79 🟉 | 240.96 | 9.84 | 86.13 | 6.06 | 90.42 | 15.27 | 83.36 | 8.19 | 84.62 |
| VT-UNet-B [9] | 124.03 | 20.76 | 13.36 | 87.31 | 8.96 | 91.20 | 18.69 | 83.85 | 12.44 | 86.87 |
| HRSTNet-2 | 107.47 | 7.19 | 8.99 | 87.22 | 4.15 | 92.06 | 15.63 | 82.64 | 7.20 | 86.95 |
| HRSTNet-3 | 202.76 | 50.07 | 8.06 | 86.94 | 4.79 | 91.81 | 13.91 | 82.20 | 5.50 | 86.80 |
| HRSTNet-4 | 318.43 | 266.33 | 8.94 | 87.48 | 4.09 | 91.90 | 15.62 | 82.92 | 7.11 | 87.62 |
| Methods | Liver | ||
|---|---|---|---|
| Organ | Tumor | AVG. | |
| 3D UNet [11] | 92.67 | 34.92 | 63.80 |
| nnFormer [12] | 89.43 | 31.84 | 60.63 |
| VT-UNet-B [9] | 92.84 | 35.69 | 64.26 |
| HRSTNet-2 | 79.40 | 40.75 | 60.07 |
| HRSTNet-3 | 82.40 | 45.23 | 63.81 |
| HRSTNet-4 | 80.81 | 41.36 | 61.09 |
| Methods | Spl | RKid | LKid | Gall | Eso | Liv | Sto | Aor | IVC | Veins | Pan | AG | Avg. |
|---|---|---|---|---|---|---|---|---|---|---|---|---|---|
| UNETR | 0.926 | 0.888 | 0.860 | 0.390 | 0.713 | 0.953 | 0.687 | 0.897 | 0.802 | 0.703 | 0.621 | 0.556 | 0.735 |
| Swin UNETR | 0.959 | 0.949 | 0.941 | 0.442 | 0.754 | 0.963 | 0.707 | 0.912 | 0.823 | 0.758 | 0.692 | 0.662 | 0.787 |
| VT-UNet-B | 0.953 | 0.942 | 0.940 | 0.568 | 0.751 | 0.964 | 0.702 | 0.896 | 0.802 | 0.731 | 0.697 | 0.626 | 0.784 |
| HRSTNet-4 | 0.945 | 0.934 | 0.936 | 0.457 | 0.689 | 0.962 | 0.754 | 0.881 | 0.785 | 0.718 | 0.710 | 0.610 | 0.769 |
| Optimized UNet (S) | Extending nnUNet (S) | HRSTNet-4 (S) |
|---|---|---|
| 412.82 | 443.85 | 389.45 |
Disclaimer/Publisher’s Note: The statements, opinions and data contained in all publications are solely those of the individual author(s) and contributor(s) and not of MDPI and/or the editor(s). MDPI and/or the editor(s) disclaim responsibility for any injury to people or property resulting from any ideas, methods, instructions or products referred to in the content. |
© 2023 by the authors. Licensee MDPI, Basel, Switzerland. This article is an open access article distributed under the terms and conditions of the Creative Commons Attribution (CC BY) license (https://creativecommons.org/licenses/by/4.0/).
Share and Cite
Wei, C.; Ren, S.; Guo, K.; Hu, H.; Liang, J. High-Resolution Swin Transformer for Automatic Medical Image Segmentation. Sensors 2023, 23, 3420. https://doi.org/10.3390/s23073420
Wei C, Ren S, Guo K, Hu H, Liang J. High-Resolution Swin Transformer for Automatic Medical Image Segmentation. Sensors. 2023; 23(7):3420. https://doi.org/10.3390/s23073420
Chicago/Turabian StyleWei, Chen, Shenghan Ren, Kaitai Guo, Haihong Hu, and Jimin Liang. 2023. "High-Resolution Swin Transformer for Automatic Medical Image Segmentation" Sensors 23, no. 7: 3420. https://doi.org/10.3390/s23073420
APA StyleWei, C., Ren, S., Guo, K., Hu, H., & Liang, J. (2023). High-Resolution Swin Transformer for Automatic Medical Image Segmentation. Sensors, 23(7), 3420. https://doi.org/10.3390/s23073420

