Next Article in Journal
Electroencephalography Reflects User Satisfaction in Controlling Robot Hand through Electromyographic Signals
Next Article in Special Issue
User and Professional Aspects for Sustainable Computing Based on the Internet of Things in Europe
Previous Article in Journal
Deep Learning-Based ADHD and ADHD-RISK Classification Technology through the Recognition of Children’s Abnormal Behaviors during the Robot-Led ADHD Screening Game
Previous Article in Special Issue
Sustainable Data-Driven Secured Optimization Using Dynamic Programming for Green Internet of Things
 
 
Font Type:
Arial Georgia Verdana
Font Size:
Aa Aa Aa
Line Spacing:
Column Width:
Background:
Article

Framework to Detect Schizophrenia in Brain MRI Slices with Mayfly Algorithm-Selected Deep and Handcrafted Features

by
K. Suresh Manic
1,
Venkatesan Rajinikanth
2,*,
Ali Saud Al-Bimani
1,
David Taniar
3 and
Seifedine Kadry
4,5,6
1
National University of Science and Technology, Muscat P.O. Box 112, Oman
2
Department of Computer Science and Engineering, Division of Research and Innovation, Saveetha School of Engineering, Saveetha Institute of Medical and Technical Sciences, Chennai 602105, India
3
Faculty of Information Technology, Monash University, Wellington Rd, Clayton, VIC 3800, Australia
4
Department of Applied Data Science, Noroff University College, 4612 Kristiansand, Norway
5
Artificial Intelligence Research Center (AIRC), Ajman University, Ajman P.O. Box 346, United Arab Emirates
6
Department of Electrical and Computer Engineering, Lebanese American University, Byblos P.O. Box 36, Lebanon
*
Author to whom correspondence should be addressed.
Sensors 2023, 23(1), 280; https://doi.org/10.3390/s23010280
Submission received: 21 October 2022 / Revised: 21 December 2022 / Accepted: 24 December 2022 / Published: 27 December 2022

Abstract

Brain abnormality causes severe human problems, and thorough screening is necessary to identify the disease. In clinics, bio-image-supported brain abnormality screening is employed mainly because of its investigative accuracy compared with bio-signal (EEG)-based practice. This research aims to develop a reliable disease screening framework for the automatic identification of schizophrenia (SCZ) conditions from brain MRI slices. This scheme consists following phases: (i) MRI slices collection and pre-processing, (ii) implementation of VGG16 to extract deep features (DF), (iii) collection of handcrafted features (HF), (iv) mayfly algorithm-supported optimal feature selection, (v) serial feature concatenation, and (vi) binary classifier execution and validation. The performance of the proposed scheme was independently tested with DF, HF, and concatenated features (DF+HF), and the achieved outcome of this study verifies that the schizophrenia screening accuracy with DF+HF is superior compared with other methods. During this work, 40 patients’ brain MRI images (20 controlled and 20 SCZ class) were considered for the investigation, and the following accuracies were achieved: DF provided >91%, HF obtained >85%, and DF+HF achieved >95%. Therefore, this framework is clinically significant, and in the future, it can be used to inspect actual patients’ brain MRI slices.

1. Introduction

The brain is one of the chief organs of humans. The abnormality in the brain causes mild to severe unrecognized problems, and untreated brain abnormality will lead to various other problems [1,2,3]. Therefore, the proposed research considers the schizophrenia (SCZ) diagnosis.
SCZ, a severe mental disorder, typically affects a person’s thinking and behavioral capability. The occurrence rate of this disease listed it in the top 10 illnesses in the global burden of diseases reported by the World Health Organization (WHO) [4]. It is generally diagnosed in men (aged early 20 years) and women (aged 20 to 30 years), and its symptoms are not found in humans less than 12 and more than 40 years old [5].
The various causes which initiate the disorder in teens include genetics (parent or sibling having the illness), environmental condition, troubles with brain chemicals, and usage of mind-altering drugs will increase the occurrence rate of SCZ in humans [6,7]. The recent WHO report confirms that nearly 20 million people globally are suffering from mild to severe disease, and appropriate diagnosis and treatment are necessary to reduce the disease impact [8,9].
Common symptoms in most patients include hallucinations, irregular behavior, speech problems, and emotional instability. If these symptoms are noticed, the patient can undergo a clinical examination to confirm the disease. Therefore, controlling the disease with appropriate treatment procedures is essential. Unfortunately, the WHO report also verifies that around 60% of patients suffering from SCZ are not receiving the appropriate diagnostic facility and treatment in low- and middle-income countries. Because of this, SCZ patients are dying two to three times faster than ordinary people.
Clinical-level assessment of the patient with SCZ is mandatory, and the traditional detection procedures must be modified when significant improvement is achieved. In this case, electroconvulsive therapy and transcranial magnetic stimulation are the two most clinically approved procedures, and electroconvulsive therapy is widely adopted as the gold standard clinical methodology commonly implemented to detect the SCZ. The typical brain signal (EEG) and brain image are collected with a recommended protocol which always provides superior results on the chosen medical data. The EEG-supported SCZ detection is a simple and commonly considered methodology due to its reduced cost and non-invasive nature. However, the information collected from this scheme is complex, and the complexity will increase when a multi-channel EEG is considered to diagnose the disease. Hence, bioimaging (MRI and fMRI) schemes are used during the screening, and it is found that the MRI scheme is efficient in detecting the disease compared with its alternatives. Hence, the proposed work considered artificial intelligence (AI)-based methods, which are used to improve the overall performance during decision making and treatment. The cost of AI-based methods is lower compared with the traditional SCZ screening process.
This research aims to improve a reliable disease diagnostic framework to detect the disease using MRI slices. When the disease is recognized in its early phase, appropriate treatment procedures can be employed to reduce the impact. The developed framework consists of the following phases: (i) collection and pre-processing of the test imagery, (ii) pre-trained deep learning (PDL) scheme execution to mine the deep features (DF), (iii) implementation of a chosen handcrafted feature, (HF) mining technique to get essential features, such as gray level co-occurrence matrix (GLCM) and local binary patterns (LBP), (iv) mayfly optimization algorithm (MOA) supported feature optimization, (v) serial feature concatenation to combine DF and HF, and (vi) classification and validation using binary classifiers with five-fold cross-validation. This framework employs the VGG16 as the prime PDL to improve the disease detection process, and its performance is validated with other pre-trained schemes in the literature.
To extract the HF, this study implemented the following protocol (i) MOA-based Otsu’s thresholding and Markov random field (MRF)-based segmentation to get the gray matter (GM) and white matter (WM) from the brain MRI slice and mining the GLCM from GM and WM images, and (ii) LBP-based image enhancement with mining of various weights (W = 1 to 4) and features. The proposed scheme was experimentally investigated using 40 volunteers’ (20 controlled and 20 SCZ class) images collected from [10,11]. The considered test images were in 3D form. The necessary number of 2D slices was extracted with a chosen technique, and every image was resized to an appropriate dimension. In order to improve the diagnostic accuracy, a threshold filter was employed to remove the skull section from the test image, and a skull-stripped brain MRI slice was then considered for the assessment.
The contributions of this research are as follows:
  • Automatic classification of MRI slices into controlled and schizophrenia using chosen binary classifiers.
  • Improving the accuracy in MRI slice evaluation using deep- and machine-learning features.
  • Mayfly-algorithm-based feature selection to avoid overfitting issue.
This study is presented as follows: Section 2 presents the earlier research information, Section 3 shows the methodology employed, and Section 4 and Section 5 presents the experimental result and conclusion, respectively.

2. Related Earlier Works

Early detection of SCZ is necessary to plan and execute the treatment to reduce the impact of the disease on patients. Further, continuous medication and treatment to help the patient recover from the severity of the disease. In the literature, several SCZ detection schemes were proposed to recognize the disease using bio-signal and bio-image-based procedures.
Siuly et al. [12] discussed the detection of SCZ using the EEG signal and achieved improved diagnostic accuracy. Jahmunah et al. [13] proposed detecting the SCZ using non-linear signal processing procedures using multi-channel EEG signals. This was a binary classification to categorize the signals into specific/disease classes. Krishnan et al. [14] discussed the detection of SCZ using the multi-channel EEG processed with intrinsic mode functions (IMF). This work implemented a binary classification to detect the disease with superior accuracy. The recent work of Arunmozhi et al. [15] implemented a joint thresholding and segmentation procedure to extract and evaluate the SCZ from brain MRI slices. Finally, Cetin-Karayumak et al. [16] presented a method to discuss the white matter (WM) abnormality in the brain in SCZ patients. This work presented a detailed examination using diffusion MRI slices.
Along with the EEG, brain MRI-based SCZ diagnosis was also widely discussed by researchers, and these works yielded improved results compared with EEG-based approaches. Oh et al. [17] discussed the detection of SCZ in fMRI slices with the DL scheme. Endres et al. [18] presented a detailed discussion of SCZ detection using EEG and MRI, and this integrated procedure helped achieve an enhanced diagnosis over earlier methods.
Noor et al. [19] presented a detailed review of detecting various brain abnormalities using MRI slices. This work also presented the existing procedures to detect the SCZ with improved accuracy and confirmed the need for the diagnosis’s artificial intelligence (AI) technique.
All the above discussed a chosen AI technique to detect the SCZ using EEG and MRI slices. This work confirms the need for a reliable SCZ detection procedure to reduce the disease diagnostic burden in hospitals, particularly in low- and middle-income countries.
The proposed research aims to develop a novel SCZ detection scheme by integrating the DF and HF to achieve better accuracy. The developed framework helps to detect the SCZ using the MRI slices. The report achieved with this scheme is considered an initial report and must be verified and confirmed medical professionals. The information achieved from the system can support doctors during the treatment planning and implementation.

3. Methodology

This section of the work presents the methodology employed to detect the SCZ using the MRI slices. The proposed work was implemented on the 2D slices extracted from the considered SCZ database. The dataset was in 3D form and 3D to 2D conversion was implemented using the ITK-Snap software [20,21]. This conversion helps to separate the 3D MRI into an axial, coronal, and sagittal plane, and the axial plane was examined in this study for the assessment. This work also employed an artifact removal procedure to eliminate the skull section, as depicted in Figure 1 [22].

3.1. Proposed Scheme

Figure 2 presents the SCZ examination technique implemented in this research. Initially, the pre-processed test images were examined and necessary DF and HF were extracted. To extract the DF, the PDL scheme (VGG16) was employed. This scheme initially supplied a 1D feature vector of dimension 1 × 1 × 4096 , and after the necessary dropout (50%), this feature was then reduced to a value of 1 × 1 × 1024 features. These features were then considered to train and validate the classifiers to detect the SCZ. This framework also consisted of an HF extraction procedure to get the GLCM and LBP features, and optimal values of these features were then identified using MOA. The selected HF were then serially combined with the DF with a dropout rate of 50% (i.e., 1 × 1 × 512 features), and the concatenated features (DF+HF) were then considered to validate the SCZ detection process using the binary classifiers employed with 5-fold cross-validation. The implemented framework confirms that the classifier accuracy achieved using DF+HF is better (>95%) compared with that of other procedures suggested in this research work.

3.2. Schizophrenia Database

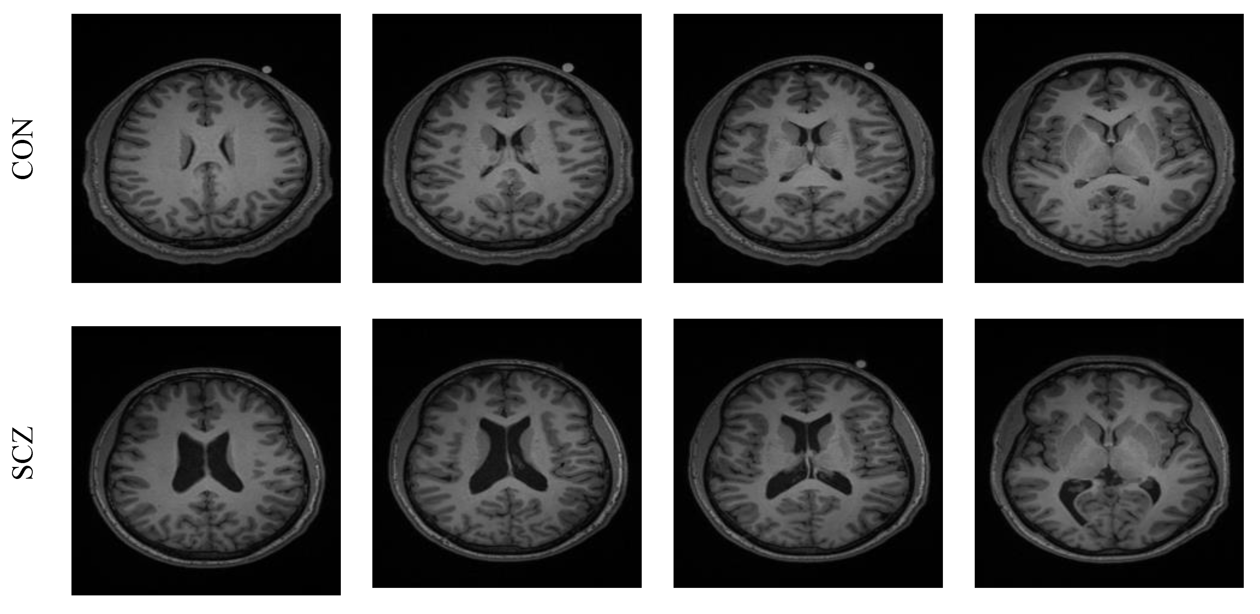
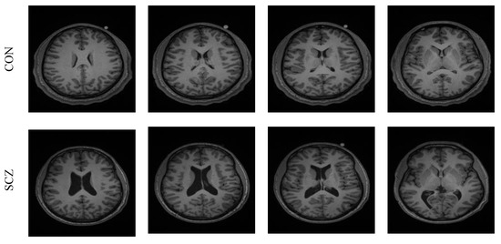
The performance of the developed system was tested and validated using the clinical grade SCZ MRI dataset from [10,11]. This dataset consists of 99 volunteers’ 3D images with the following categories: SCZ, controlled (CON), SCZ-sibling, and CON-sibling. These images were collected from male and female volunteers whose racial demographics included White and African American. The earlier works on this dataset can be found in [21]. In this work, 20 3D MRI images were considered from the CON/SCZ class, and from every volunteer’s 3D data, 30 slices (axial plane) were extracted using ITK-Snap, and every image was then resized to a dimension of 224 × 224 × 3 pixels. The skull section in these images was then eliminated using the thresholding filter/skull stripping algorithm discussed in [22,23]. The test images considered in this work are presented in Table 1 and the sample images are presented in Figure 3.

3.3. Deep Feature Extraction

In the literature, a considerable number of earlier works are available to provide the necessary information about the PDL schemes employed to examine a variety of medical images (gray/RGB scale) [24,25]. The image examination procedures proposed with VGG16 confirm its merits, such as simple architecture, easy training and validation, and better accuracy compared with other PDL schemes. Hence, in this work, the pre-trained VGG16 was adopted to extract the DF from the brain MRI slices, and during this task, the following initial parameters were assigned: conventional augmentation to boost the number of test images, learning rate with a value of 1 × 10−5 to obtain better accuracy, linear dropout rate (LDR) during training with an Adam optimizer. The number of iterations was chosen as 4000 and the total epochs were fixed as 50. In the fully connected (FC) layers, a 50% dropout rate was assigned, which gives a DF dimension of 1 × 1 × 1024 , and these features were considered to train and validate the disease detection performance of VGG16. During this process, a 5-fold cross-validation was assigned and the best value among the trials was chosen as the final result of the PDL scheme. A similar procedure was then repeated with other PDL, such as VGG19. AlexNet, ResNet18, ResNet50, ResNet101, and Inception-V3 were used in this study [26]. Initially, SoftMax was considered for the image classification and a similar procedure was then repeated using other binary classifiers.

3.4. Handcrafted Feature Extraction

HF plays a major role in machine-learning schemes and the extracted features were considered to support the automated detection of diseases from medical images. In this work, the necessary HF, such as GLCM and LBP, were extracted.

3.4.1. Gray Level Co-Occurrence Matrix

In the literature, the GLCM features are widely considered to detect the disease using medical images [27,28,29,30]. In this work, the GLCM features were extracted from the gray matter (GM) and white matter (WM) sections of the brain MRI. This extraction was performed using the joint thresholding and segmentation implemented with MOA, Otsu, and MRF. The earlier works with a similar technique can be found in [22,23].
The proposed work implemented the MOA- and Otsu-based tri-level thresholding to enhance the image and MRF-based pixel improvement and segmentation technique. The various stages involved in this process are as follows: (i) implementation of MOA and Otsu’s thresholding to pre-process the image, (ii) MRF-based image enhancement and pixel-based separation, (iii) obtaining the GM and WM sections, and (iv) GLCM separately feature extraction from GM and WM images. This is an automated scheme and helps to separate the brain MRI slice into two sections. The attained result with the proposed scheme can be found in Figure 4. Figure 4a depicts the sample test image and Figure 4b depicts the reduced energy function during the MRF process, Figure 4c,d depicts the initial and final enhance image labels, and Figure 4e,f presents the extracted GM and WM sections, respectively.

3.4.2. Local Binary Pattern

LBP is one of the commonly employed quality improvement practices, and in this work, the weighted LBP proposed by Gudigar et al. [31] was employed. The LBP is a simple and capable technique to enhance the textural components of the image. The necessary LBP was formed by relating the inmost pixel with neighbor pixels.
In LBP, the average local gray level can be calculated as:
A L G L = i = 1 8 ( N g i + C g ) 9
where C g is the gray level of the midpoint pixel, N g i is the grey level of neighbor pixels, and i = 1, 2, …, 8.
For a typical image, the global weighted gray level can be computed with:
global   weighted   graylevel   = β ( μ + σ )
where μ denotes the mean, σ represents the standard deviation, and β is a control variable with values, such as 1, 2, 3, …
The weighted LBP for an image can be computed as:
L B P = q = 0 Q 1 s ( N g q C g ) 2 q
where N g q shows the neighboring gray values, Q is the number of neighbors, q = 0 , 1 , 2 , , Q 1 , and s is 0 or 1 based on the magnitude and threshold.
Other essential information on the LBP can be found in [32,33,34].
The LBP pattern achieved for the sample test image can be found in Figure 5. In this work, the LBP weight (W) was chosen with a value of 1 to 4, and an enhanced image was then considered to extract a feature with dimension 1 × 1 × 59 features.

3.5. Mayfly Algorithm Selected Features

MOA is one of the recently proposed soft computing techniques developed by integrating the best factions of the firefly algorithm (FA), particle swarm optimization (PSO), and genetic algorithm (GA), the mathematical expression for this algorithm is discussed below:
Assuming that MOA has equal male ( M ) and female ( F ) flies, which are randomly distributed in a D-dimensional search location, every fly is symbolized by i = 1 , 2 , , n (forn = 30). During the exploration stage, each fly is permitted to join at the finest location ( G b e s t ). Afterward, M is approved to meet at G b e s t by altering its location and speed. The junction M close to the finest place will be decided by the Cartesian distance (CD) enlarged with respect to iteration. This process is shown in Equations (4) and (5):
P i t + 1 = P i t + V i t + 1
V i , j t + 1 = V i , j t + C 1 e β D p 2 ( p b e s t i , j P i , j t ) + C 2 e β D g 2 ( G b e s t i , j P i , j t )
where P i t and P i t + 1 are initial and final locations, V i t + 1 and V i , j t + 1 initial and final velocities, respectively. C 1 = 1 and C 2 = 1.5 indicate local and global learning parameters. β = 2 , D p , and D g are the CD. When the update in flies persists, every M will attain G b e s t and performs a velocity update to attract F by performing a unique nuptial dance.
The velocity update during this process can be defined as:
V i , j t + 1 = V i , j t + d R
where nuptial dance (d) = 5 and R = random numeral [−1,1].
When the search by M is over, each F is allowed to find a M converged at G b e s t .
The expression for position and velocity update for the F is depicted below.
P i t + 1 = P i t + V i t + 1
F i , j t + 1 = F i , j t + C 2 e β D m f 2 ( M i , j t Y i , j t )             if   O ( F i ) > O ( M i )   F i , j t + W r   if   O ( F i ) O ( M i )    
where O = maximized objective value.
When the iteration improves, every F will reach the M and the offspring generation takes place. Other information on MOA can be found in [35,36,37].
The objective of this study is to select the best features based on the CD of the CON and SCZ images. This process is shown in Figure 6.
The MOA parameters were assigned as follows, the number of flies = 30, total iterations = 3000, objective value = maximization of CD, and terminating criteria = maximum iteration. Other parameters were assigned as in [38].
In this work, the MOA is considered to select the finest HF by comparing the features of CON and SCZ class images, and this process is presented in Equations (9)–(15)
G L C M W M ( 1 × 1 × 25 ) = G L C M W M 1 , G L C M W M 2 , , G L C M W M 25
G L C M G M ( 1 × 1 × 25 ) = G L C M G M 1 , G L C M G M 2 , , G L C M G M 25
L B P W 1 ( 1 × 1 × 59 ) = L B P W 1 1 , L B P W 1 2 , L B P W 1 59
L B P W 2 ( 1 × 1 × 59 ) = L B P W 2 1 , L B P W 2 2 , L B P W 2 59
L B P W 3 ( 1 × 1 × 59 ) = L B P W 3 1 , L B P W 3 2 , L B P W 3 59
L B P W 4 ( 1 × 1 × 59 ) = L B P W 4 1 , L B P W 4 2 , L B P W 4 59
H F ( 1 × 1 × 286 ) = G L C M W M + G L C M G M + L B P W 1 + L B P W 2 + L B P W 3 + L B P W 4
In this work, the MOA-based feature selection was adopted to select 1 × 1 × 103 HF from 1 × 1 × 286 features.

3.6. Serial Features Concatenation

Serial feature concatenation is one of the commonly adopted features uniting the procedures, which is employed to combine the HF and DF. In this work, the DF of VFF16 was initially reduced to 1 × 1 × 512 by implementing a feature ranking and a 50% dropout process. The reduced feature was then combined with the optimal HF of value 1 × 1 × 103 to get the concatenated feature shown in Equation (16). These features were then considered to train and validate the considered disease detection scheme [39,40,41,42,43].
C o n c a t i n a t e d   f e a t u r e s   D F + H F = 1 × 1 × 512 + 1 × 1 × 103 = 1 × 1 × 615

3.7. Classification and Validation

The performance of the disease detection system depends on the scientific measures computed using an experimental investigation. The performance of the proposed scheme was confirmed using an experimental investigation, and during this investigation, the binary classifiers, such as SoftMax, decision tree (DT), logistic regression, Naïve Bayes, SVM linear kernel, boosted trees and K-nearest neighbour (KNN) were considered. During this investigation, the necessary measures, such as the true positive (TP), false negative (FN), true negative (TN), and false positive (FP) were initially computed and from these values, other values, such as accuracy (ACC), precision (PRE), sensitivity (SEN), specificity (SPE), negative predictive value (NPV), and F1-Score (FS) were achieved. The expression for these values can be found in Equations (17)–(22) [39,40]:
A C C = T P + T N T P + T N + F P + F N
P R E = T P T P + F P
S E N = T P T P + F N
S P E = T N T N + F P
N P V = T N T N + F N
F S = 2 T P 2 T P + F N + F P

4. Result and Discussion

This section of the paper demonstrates the results attained using an Intel i7 2.9 GHz processor with 12GB RAM and 4GB VRAM equipped with MATLAB®.
In this proposed work, the considered system was tested and its performance was confirmed using the images presented in Table 1. Initially, the performance of the VGG16 was verified using considered images. During this process, the 2D MRI slices with dimension 224 × 224 × 3 pixels were considered and 420 images along with specified augmentation (rotation of images with an angle of ± 60 o in steps of 10 o ) were initially performed to train the PDL scheme. After the training, its disease detection performance was then verified using the SoftMax classifier with a 5-fold cross-validation. Figure 7 presents the sample results extracted from the initial convolution layer of VGG16. Figure 7a,b presents the convolutional and MaxPool layer values, which are transferred to the next level of the PDL, this process continues unti the FC layer offers a feature vector with a dimension 1 × 1 × 1024 . Finally, the SoftMax layer considers these features to categorize the testing images into CON/SCZ classes.
Figure 8 depicts the convergence of the VGG16’s training and validation operation. From Figure 8a, it can be noted that the accuracy is around 90% and the loss value is closer to 10%, as in Figure 8b. This process was repeated five times and the best value achieved during this process (trial 4 value) was considered the final result. The sample confusion matrix and ROC curves for this process are depicted in Figure 9a,b, respectively.
Various performance values achieved during the 5-fold cross-validation are presented in Table 2, and the corresponding accuracy is depicted in Figure 10. From this Table and Figure, it is confirmed that the performance of trial 4 is better for VGG16, and this value was chosen as the final output. A similar procedure was repeated with other existing pre-trained DL schemes in the literature, and the results achieved for a SoftMax classifier are depicted in Table 3. The overall performance of the PDL schemes with the SoftMax classifier is presented as a glyph plot in Figure 11. This information also confirms that the disease detection accuracy of VGG16 is better compared with other PDL methods. In Figure 11, the image with a broader area is considered the best result, which confirms that VGG16 offers better overall results on the considered brain MRI database.
After verifying the disease detection performance of the PDL scheme, the binary classification was once again implemented using the optimally selected HF and its outcome was then verified. During this operation, 1 × 1 × 103 features were considered to verify disease detection with various binary classifiers. Table 4 presents the results achieved with various classifiers considered in this research work. For DT and KNN, its variants, such as coarse, medium, and fine were considered, and the results depicted in this table confirm that the optimal HF feature helped to achieve a classification accuracy of up to 85.2778% (DT-fine) and this value is lower compared with the VGG16 with SoftMax classifier.
In order to improve the accuracy achieved using individual DF and HF, a commonly adopted serial concatenation was then employed (DF+HF) and the disease detection process was once again repeated with various binary classifiers. During this process, the feature sub-set with a dimension of 1 × 1 × 615 features was then considered and the image classification task was once again repeated.
The classification results achieved with concatenated features (DF+HF) are depicted in Table 5, and these results confirm that the overall result by boosted trees is better (accuracy > 95%) compared with other methods. The confusion matrix achieved for this classifier is depicted in Figure 12. Figure 13 presents the glyph plot constructed using Table 4 values. This also confirms that the boosted trees classifier outperforms other classifiers considered in this research work.
In the proposed research, a novel procedure was developed to classify the brain MRI slices into CON and SCZ classes, and this procedure helped to achieve a classification accuracy of >95%. In the future, the proposed scheme can be improved by considering other handcrafted features existing in the literature. Further, the performance of the proposed scheme can be tested and validated on other brain abnormalities, such as brain tumors and ischemic strokes recorded with MRI imaging modalities.

5. Conclusions

In recent years, the incidence rate of schizophrenia (SCZ) has increased among teenagers due to various causes, and early diagnosis and treatment is necessary to reduce the impact of this abnormality. Medical image-supported SCZ detection is essential for the appropriate treatment planning and for helping patients to have a better life. The proposed research aims to develop a disease detection system to identify the SCZ class brain MRI slice with better accuracy. The performance of the proposed system was individually tested using (i) DF alone, (ii) HF alone, and (iii) serially concatenated features (DF+HF). The proposed scheme employs the VGG16 architecture to get the necessary DF from the MRI slices, and then the necessary HF is obtained using the MRF segmented images (GM and WM) and LBP patterns. This work also employed the MOA-based optimal feature selection process to reduce the dimension of the HF. The concatenated features with a dimension of 1 × 1 × 615 helped to achieve a classification accuracy of >95% with a binary classification executed with the boosted trees classifier. The result achieved with this classifier is better compared with other binary classifiers considered in this research. In the future, the classification result of this scheme can be improved by considering other HF existing in the literature.

Author Contributions

Conceptualization, S.K. and V.R. methodology, S.K. and V.R. software, V.R.; validation, S.K., K.S.M., D.T. and A.S.A.-B.; formal analysis, S.K. and V.R.; investigation, V.R., K.S.M.; resources, D.T.; data curation, D.T.; writing—original draft preparation, S.K. and V.R.; writing—review and editing, D.T.; visualization, K.S.M.; supervision, S.K.; project administration, A.S.A.-B.; funding acquisition, S.K. All authors have read and agreed to the published version of the manuscript.

Funding

This research received no external funding.

Data Availability Statement

The brain MRI images considered in this research work can be accessed from https://openneuro.org/datasets/ds000115/versions/00001 (accessed on 15 September 2022).

Acknowledgments

The authors of this paper would like to thank the contributors of the dataset.

Conflicts of Interest

The authors declare no conflict of interest.

References

  1. She, Q.; Chen, K.; Luo, Z.; Nguyen, T.; Potter, T.; Zhang, Y. Double-criteria active learning for multiclass brain-computer interfaces. Comput. Intell. Neurosci. 2020, 2020, 6405930. [Google Scholar] [CrossRef] [PubMed]
  2. Chen, Z.; Yan, T.; Wang, E.; Jiang, H.; Tang, Y.; Yu, X.; Zhang, J.; Liu, C. Detecting abnormal brain regions in schizophrenia using structural MRI via machine learning. Comput. Intell. Neurosci. 2020, 2020, 3287589. [Google Scholar] [CrossRef] [PubMed]
  3. Achanccaray, D.; Izumi, S.I.; Hayashibe, M. Visual-Electrotactile Stimulation Feedback to Improve Immersive Brain-Computer Interface Based on Hand Motor Imagery. Comput. Intell. Neurosci. 2021, 2021, 8832686. [Google Scholar] [CrossRef]
  4. Available online: https://www.who.int/news-room/fact-sheets/detail/schizophrenia (accessed on 15 September 2022).
  5. Fischer, B.A.; Buchanan, R.W. Schizophrenia in Adults: Epidemiology and Pathogenesis; U: UpToDate Post TW ur. UpToDate [Internet]; UpToDate: Waltham, MA, USA, 2013. [Google Scholar]
  6. Lopez, A.D.; Murray, C.C. The global burden of disease, 1990–2020. Nat. Med. 1998, 4, 1241–1243. [Google Scholar] [CrossRef] [PubMed]
  7. Available online: https://www.nami.org/About-Mental-Illness/Mental-Health-Conditions/Schizophrenia (accessed on 15 September 2022).
  8. James, S.L.; Abate, D.; Abate, K.H.; Abay, S.M.; Abbafati, C.; Abbasi, N.; Abd, F.; Briggs, A.M. Global, regional, and national incidence, prevalence, and years lived with disability for 354 diseases and injuries for 195 countries and territories, 1990–2017: A systematic analysis for the Global Burden of Disease Study 2017. Lancet 2018, 392, 1789–1858. [Google Scholar] [CrossRef]
  9. Lawlor-Savage, L.; Goghari, V.M. Working memory training in schizophrenia and healthy populations. Behav. Sci. 2014, 4, 301–319. [Google Scholar] [CrossRef]
  10. Available online: https://openneuro.org/datasets/ds000115/versions/00001 (accessed on 15 September 2022).
  11. Repovs, G.; Barch, D.M. Working memory related brain network connectivity in individuals with schizophrenia and their siblings. Front. Hum. Neurosci. 2012, 6, 137. [Google Scholar] [CrossRef]
  12. Siuly, S.; Khare, S.K.; Bajaj, V.; Wang, H.; Zhang, Y. A computerized method for automatic detection of schizophrenia using EEG signals. IEEE Trans. Neural Syst. Rehabil. Eng. 2020, 28, 2390–2400. [Google Scholar] [CrossRef]
  13. Jahmunah, V.; Oh, S.L.; Rajinikanth, V.; Ciaccio, E.J.; Cheong, K.H.; Arunkumar, N.; Acharya, U.R. Automated detection of schizophrenia using nonlinear signal processing methods. Artif. Intell. Med. 2019, 100, 101698. [Google Scholar] [CrossRef]
  14. Krishnan, P.T.; Raj, A.N.J.; Balasubramanian, P.; Chen, Y. Schizophrenia detection using Multivariate Empirical Mode Decomposition and entropy measures from multichannel EEG signal. Biocybern. Biomed. Eng. 2020, 40, 1124–1139. [Google Scholar] [CrossRef]
  15. Arunmozhi, S.; Raja, N.S.M.; Rajinikanth, V.; Aparna, K.; Vallinayagam, V. Schizophrenia Detection using Brain MRI—A Study with Watershed Algorithm. In Proceedings of the 2020 International Conference on System, Computation, Automation and Networking (ICSCAN), Pondicherry, India, 3–4 July 2020; pp. 1–4. [Google Scholar]
  16. Cetin-Karayumak, S.; Di Biase, M.A.; Chunga, N.; Reid, B.; Somes, N.; Lyall, A.E.; Kelly, S.; Solgun, B.; Kubicki, M. White matter abnormalities across the lifespan of schizophrenia: A harmonized multi-site diffusion MRI study. Mol. Psychiatry 2020, 25, 3208–3219. [Google Scholar] [CrossRef]
  17. Oh, J.; Oh, B.L.; Lee, K.U.; Chae, J.H.; Yun, K. Identifying schizophrenia using structural MRI with a deep learning algorithm. Front. Psychiatry 2020, 11, 16. [Google Scholar] [CrossRef]
  18. Endres, D.; Meixensberger, S.; Dersch, R.; Feige, B.; Stich, O.; Venhoff, N.; Matysik, M.; Maier, S.J.; Michel, M.; Runge, K.; et al. Cerebrospinal fluid, antineuronal autoantibody, EEG, and MRI findings from 992 patients with schizophreniform and affective psychosis. Transl. Psychiatry 2020, 10, 279. [Google Scholar] [CrossRef]
  19. Noor, M.B.T.; Zenia, N.Z.; Kaiser, M.S.; Al Mamun, S.; Mahmud, M. Application of deep learning in detecting neurological disorders from magnetic resonance images: A survey on the detection of Alzheimer’s disease, Parkinson’s disease and schizophrenia. Brain Inform. 2020, 7, 11. [Google Scholar] [CrossRef]
  20. Yushkevich, P.A.; Piven, J.; Hazlett, H.C.; Smith, R.G.; Ho, S.; Gee, J.C.; Gerig, G. User-guided 3D active contour segmentation of anatomical structures: Significantly improved efficiency and reliability. Neuroimage 2006, 31, 1116–1128. [Google Scholar] [CrossRef]
  21. Available online: http://www.itksnap.org/pmwiki/pmwiki.php (accessed on 15 September 2022).
  22. Rajinikanth, V.; Raja, N.S.M.; Kamalanand, K. Firefly algorithm assisted segmentation of tumor from brain MRI using Tsallis function and Markov random field. J. Control Eng. Appl. Inform. 2017, 19, 97–106. [Google Scholar]
  23. Krishnan, P.T.; Balasubramanian, P.; Krishnan, C. Segmentation of brain regions by integrating meta heuristic multilevel threshold with markov random field. Curr. Med. Imaging 2016, 12, 4–12. [Google Scholar] [CrossRef]
  24. Saeed, F.; Khan, M.A.; Sharif, M.; Mittal, M.; Goyal, L.M.; Roy, S. Deep neural network features fusion and selection based on PLS regression with an application for crops diseases classification. Appl. Soft Comput. 2021, 103, 107164. [Google Scholar] [CrossRef]
  25. Khan, M.A.; Kadry, S.; Alhaisoni, M.; Nam, Y.; Zhang, Y.; Rajinikanth, V.; Sarfraz, M.S. Computer-aided gastrointestinal diseases analysis from wireless capsule endoscopy: A framework of best features selection. IEEE Access 2020, 8, 132850–132859. [Google Scholar] [CrossRef]
  26. Rahman, T.; Khandakar, A.; Kadir, M.A.; Islam, K.R.; Islam, K.F.; Mazhar, R.; Hamid, T.; Islam, M.T.; Kashem, S.; Bin Mahbub, Z.; et al. Reliable tuberculosis detection using chest X-ray with deep learning, segmentation and visualization. IEEE Access 2020, 8, 191586–191601. [Google Scholar] [CrossRef]
  27. Zulpe, N.; Pawar, V. GLCM textural features for brain tumor classification. Int. J. Comput. Sci. Issues (IJCSI) 2012, 9, 354. [Google Scholar]
  28. Manic, K.S.; Al Shibli, N.; Al Sulaimi, R. SGO and Tsallis entropy assisted segmentation of abnormal regions from brain MRI. J. Eng. Sci. Technol. 2018, 13, 52–62. [Google Scholar]
  29. Rajinikanth, V.; Kadry, S. Development of a Framework for Preserving the Disease-Evidence-Information to Support Efficient Disease Diagnosis. Int. J. Data Warehous. Min. (IJDWM) 2021, 17, 63–84. [Google Scholar] [CrossRef]
  30. Dey, N.; Rajinikanth, V.; Fong, S.J.; Kaiser, M.S.; Mahmud, M. Social group optimization–assisted Kapur’s entropy and morphological segmentation for automated detection of COVID-19 infection from computed tomography images. Cogn. Comput. 2020, 12, 1011–1023. [Google Scholar] [CrossRef] [PubMed]
  31. Gudigar, A.; Raghavendra, U.; Devasia, T.; Nayak, K.; Danish, S.M.; Kamath, G.; Samanth, J.; Pai, U.M.; Nayak, V.; Tan, R.S.; et al. Global weighted LBP based entropy features for the assessment of pulmonary hypertension. Pattern Recognit. Lett. 2019, 125, 35–41. [Google Scholar] [CrossRef]
  32. Unay, D.; Ekin, A.; Cetin, M.; Jasinschi, R.; Ercil, A. Robustness of local binary patterns in brain MR image analysis. In Proceedings of the 2007 29th Annual International Conference of the IEEE Engineering in Medicine and Biology Society, Lyon, France, 22–26 August 2007; pp. 2098–2101. [Google Scholar]
  33. Kaplan, K.; Kaya, Y.; Kuncan, M.; Ertunç, H.M. Brain tumor classification using modified local binary patterns (LBP) feature extraction methods. Med. Hypotheses 2020, 139, 109696. [Google Scholar] [CrossRef]
  34. Oppedal, K.; Engan, K.; Aarsland, D.; Beyer, M.; Tysnes, O.B.; Eftestøl, T. Using local binary pattern to classify dementia in MRI. In Proceedings of the 2012 9th IEEE International Symposium on Biomedical Imaging (ISBI), Barcelona, Spain, 2–5 May 2012; pp. 594–597. [Google Scholar]
  35. Zervoudakis, K.; Tsafarakis, S. A mayfly optimization algorithm. Comput. Ind. Eng. 2020, 145, 106559. [Google Scholar] [CrossRef]
  36. Gao, Z.M.; Zhao, J.; Li, S.R.; Hu, Y.R. The improved mayfly optimization algorithm. In Journal of Physics: Conference Series, Proceedings of the 2020 International Seminar on Artificial Intelligence, Networking and Information Technology, Shanghai, China, 18–20 September 2020; IOP Publishing: Bristol, UK, 2020; Volume 1684, p. 012077. [Google Scholar]
  37. Bhattacharyya, T.; Chatterjee, B.; Singh, P.K.; Yoon, J.H.; Geem, Z.W.; Sarkar, R. Mayfly in harmony: A new hybrid meta-heuristic feature selection algorithm. IEEE Access 2020, 8, 195929–195945. [Google Scholar] [CrossRef]
  38. Kadry, S.; Rajinikanth, V.; Koo, J.; Kang, B. Image multi-level-thresholding with Mayfly optimization. Int. J. Electr. Comput. Eng. (IJECE) 2021, 11, 6. [Google Scholar] [CrossRef]
  39. Dey, N.; Zhang, Y.D.; Rajinikanth, V.; Pugalenthi, R.; Raja, N.S.M. Customized VGG19 architecture for pneumonia detection in chest X-rays. Pattern Recognit. Lett. 2021, 143, 67–74. [Google Scholar] [CrossRef]
  40. Rajinikanth, V.; Joseph Raj, A.N.; Thanaraj, K.P.; Naik, G.R. A customized VGG19 network with concatenation of deep and handcrafted features for brain tumor detection. Appl. Sci. 2020, 10, 3429. [Google Scholar] [CrossRef]
  41. Komolovaitė, D.; Maskeliūnas, R.; Damaševičius, R. Deep Convolutional Neural Network-Based Visual Stimuli Classification Using Electroencephalography Signals of Healthy and Alzheimer’s Disease Subjects. Life 2022, 12, 374. [Google Scholar] [CrossRef]
  42. Langer, N.; Plomecka, M.B.; Tröndle, M.; Negi, A.; Popov, T.; Milham, M.; Haufe, S. A benchmark for prediction of psychiatric multimorbidity from resting EEG data in a large pediatric sample. NeuroImage 2022, 258, 119348. [Google Scholar] [CrossRef]
  43. Figueroa-Barra, A.; Del Aguila, D.; Cerda, M.; Gaspar, P.A.; Terissi, L.D.; Durán, M.; Valderrama, C. Automatic language analysis identifies and predicts schizophrenia in first-episode of psychosis. Schizophrenia 2022, 8, 53. [Google Scholar] [CrossRef]
Figure 1. Image processing technique employed to get necessary 2D slices.
Figure 1. Image processing technique employed to get necessary 2D slices.
Sensors 23 00280 g001
Figure 2. Proposed SCZ detection procedure.
Figure 2. Proposed SCZ detection procedure.
Sensors 23 00280 g002
Figure 3. Sample test images of CON and SCZ class.
Figure 3. Sample test images of CON and SCZ class.
Sensors 23 00280 g003
Figure 4. Separation of brain MRI slice into GM and WM: (a) Image; (b) Convergence; (c) Initial; (d) Final; (e) GM; (f) WM.
Figure 4. Separation of brain MRI slice into GM and WM: (a) Image; (b) Convergence; (c) Initial; (d) Final; (e) GM; (f) WM.
Sensors 23 00280 g004
Figure 5. Sample LBP images for W = 1 to 4: (a) Image; (b) W = 1; (c) W = 2; (d) W = 3; (e) W = 4.
Figure 5. Sample LBP images for W = 1 to 4: (a) Image; (b) W = 1; (c) W = 2; (d) W = 3; (e) W = 4.
Sensors 23 00280 g005
Figure 6. Selection of optimal HF using MOA.
Figure 6. Selection of optimal HF using MOA.
Sensors 23 00280 g006
Figure 7. Initial convolution layer result of VGG16: (a) Convolution ( 8 × 8 = 64 ); (b) MaxPool ( 8 × 8 = 64 ).
Figure 7. Initial convolution layer result of VGG16: (a) Convolution ( 8 × 8 = 64 ); (b) MaxPool ( 8 × 8 = 64 ).
Sensors 23 00280 g007
Figure 8. Convergence of the training and validation operation for a trial with VGG16: (a) Accuracy; (b) Loss.
Figure 8. Convergence of the training and validation operation for a trial with VGG16: (a) Accuracy; (b) Loss.
Sensors 23 00280 g008
Figure 9. Sample results attained with VGG16: (a) Confusion matrix; (b) ROC curve.
Figure 9. Sample results attained with VGG16: (a) Confusion matrix; (b) ROC curve.
Sensors 23 00280 g009
Figure 10. Accuracy values achieved during various trials.
Figure 10. Accuracy values achieved during various trials.
Sensors 23 00280 g010
Figure 11. Glyph plot to verify the overall performance of various schemes.
Figure 11. Glyph plot to verify the overall performance of various schemes.
Sensors 23 00280 g011
Figure 12. Confusion matrix achieved for boosted trees classifier.
Figure 12. Confusion matrix achieved for boosted trees classifier.
Sensors 23 00280 g012
Figure 13. Glyph plot constructed using the overall performance achieved during DF+HF based classification.
Figure 13. Glyph plot constructed using the overall performance achieved during DF+HF based classification.
Sensors 23 00280 g013
Table 1. Test images considered in this research work.
Table 1. Test images considered in this research work.
Image ClassImage DimensionNumber of MRI Slices Considered
TotalTrainingValidation
Controlled 224 × 224 × 3 600420180
Schizo 224 × 224 × 3 600420180
Table 2. Performance values achieved with SoftMax during 5-fold cross-validation.
Table 2. Performance values achieved with SoftMax during 5-fold cross-validation.
FoldsTPFNTNFPACCPRESENSPENPVFS
Trial1155251483284.166782.887786.111182.222285.549184.4687
Trial2159211522886.388985.026788.333384.444487.861386.6485
Trial3154261611987.500089.017385.555689.444486.096387.2521
Trial4168121611991.388989.839693.333389.444493.063691.5531
Trial5156241602087.777888.636486.666788.888986.956587.6404
Table 3. Performance values achieved with other pre-trained schemes with SoftMax classifier.
Table 3. Performance values achieved with other pre-trained schemes with SoftMax classifier.
Deep-Learning SchemeACCPRESENSPENPVFS
VGG1691.388989.839693.333389.444493.063691.5531
VGG1990.555688.421193.333387.777892.941290.8108
AlexNet90.833389.304892.777888.888992.485591.0082
ResNet1889.722287.830792.222287.222291.812989.9729
ResNet5090.277889.189291.666788.888991.428690.4110
ResNet10190.277890.055290.555690.000090.502890.3047
Inception-V391.111190.217492.222290.000092.045591.2088
Table 4. Disease detection performance of binary classifiers with optimal HF.
Table 4. Disease detection performance of binary classifiers with optimal HF.
Binary ClassifiersACCPRESENSPENPVFS
DT-coarse84.166784.357583.888984.444483.977984.1226
DT-medium84.444484.065985.000083.888984.831584.5304
DT-fine85.277885.082985.555685.000085.474985.3186
Logistic regression83.611183.798983.333383.888983.425483.5655
Naive Bayes82.777883.146182.222283.333382.417682.6816
SVM-linear83.611183.798983.333383.888983.425483.5655
Boosted trees84.722283.783886.111183.333385.714384.9315
KNN-coarse83.333382.967083.888982.777883.707983.4254
KNN-medium83.055682.513783.888982.222283.615883.1956
KNN-fine84.166783.977984.444483.888984.357584.2105
Table 5. Disease detection performance of binary classifiers with DF+HF.
Table 5. Disease detection performance of binary classifiers with DF+HF.
Binary ClassifiersACCPRESENSPENPVFS
SoftMax94.444494.943893.888995.000093.956094.4134
DT-coarse92.777893.258492.222293.333392.307792.7374
DT-medium94.444495.977092.777896.111193.010894.3503
DT-fine94.722295.480293.888995.555693.989194.6779
Logistic regression92.222291.758292.777891.666792.696692.2652
Naive Bayes93.055693.296192.777893.333392.817793.0362
SVM-linear93.333393.333393.333393.333393.333393.3333
Boosted trees95.277895.027695.555695.000095.530795.2909
KNN-coarse93.888993.406694.444493.333394.382093.9227
KNN-medium94.722294.972194.444495.000094.475194.7075
KNN-fine94.166793.922794.444493.888994.413494.1828
Disclaimer/Publisher’s Note: The statements, opinions and data contained in all publications are solely those of the individual author(s) and contributor(s) and not of MDPI and/or the editor(s). MDPI and/or the editor(s) disclaim responsibility for any injury to people or property resulting from any ideas, methods, instructions or products referred to in the content.

Share and Cite

MDPI and ACS Style

Manic, K.S.; Rajinikanth, V.; Al-Bimani, A.S.; Taniar, D.; Kadry, S. Framework to Detect Schizophrenia in Brain MRI Slices with Mayfly Algorithm-Selected Deep and Handcrafted Features. Sensors 2023, 23, 280. https://doi.org/10.3390/s23010280

AMA Style

Manic KS, Rajinikanth V, Al-Bimani AS, Taniar D, Kadry S. Framework to Detect Schizophrenia in Brain MRI Slices with Mayfly Algorithm-Selected Deep and Handcrafted Features. Sensors. 2023; 23(1):280. https://doi.org/10.3390/s23010280

Chicago/Turabian Style

Manic, K. Suresh, Venkatesan Rajinikanth, Ali Saud Al-Bimani, David Taniar, and Seifedine Kadry. 2023. "Framework to Detect Schizophrenia in Brain MRI Slices with Mayfly Algorithm-Selected Deep and Handcrafted Features" Sensors 23, no. 1: 280. https://doi.org/10.3390/s23010280

APA Style

Manic, K. S., Rajinikanth, V., Al-Bimani, A. S., Taniar, D., & Kadry, S. (2023). Framework to Detect Schizophrenia in Brain MRI Slices with Mayfly Algorithm-Selected Deep and Handcrafted Features. Sensors, 23(1), 280. https://doi.org/10.3390/s23010280

Note that from the first issue of 2016, this journal uses article numbers instead of page numbers. See further details here.

Article Metrics

Back to TopTop