Assessment of Pain Onset and Maximum Bearable Pain Thresholds in Physical Contact Situations
Abstract
:1. Introduction
2. Materials and Methods
2.1. Pain Threshold Assessment Apparatus
2.2. Human Subjects
- Adults aged 19 to 59 years old who do not meet the exclusion criteria.
- Adults who voluntarily agreed to the consent form for the clinical trial.
- Acute illness or serious psychological or mental problems
- Chronic diseases that may interfere with the interpretation of therapeutic effects or outcomes (diabetes, hypertension, stroke, arrhythmia, ischemic heart disease, malignant tumor, allergic disease, nervous system disease, musculoskeletal disease, chronic obstructive pulmonary disease, asthma).
- Insertion of artificial metal inserts in the body, such as artificial heart beaters, metal artificial joints, or prosthetics.
- Students belonging to the College of Medicine, Kyung Hee University (undergraduate students, graduate students).
- Students belonging to the Department of Mechanical Engineering, College of Engineering, Kyung Hee University (undergraduate students, graduate students).
- Metal allergy, pain, or sensory abnormalities.
- Other cases of acute infection or adverse drug reactions.
- Presence of a wound or bruise at the pain measurement site (based on checking the case survey before the trial).
- Illiterate.
- In case pregnant or may become pregnant.
2.3. Pain Measurements
- Pain Onset: The point at which a pressing feeling (pressure) is felt as pain (Wong–Baker face pain rating scale 2-4); this corresponds to the degree to which the robot can be used again as it is, despite the fact that the pain was felt after collision with the robot.
- Maximum Bearable Pain: The point in time at which pain can no longer be tolerated (Wong–Baker face pain rating scale 6–8); the degree of avoidance of stimulation by feeling strong pain after collision with the robot.
2.4. Data Collection Procedure
- First, the experimenter explained the purpose and method of the experiment to the subjects. The subjects understood the experiment and decided to participate.
- The subjects received the necessary pre-training to conduct the exam based on the Wong–Baker face pain rating scale used in this study, the concept of pain onset and maximum tolerable pain, and the sequence of trial progression.
- We then fixed the first part to the support according to the subject’s visits.
- The first measurement was acquired at the moment at which contact was initiated and the subject felt a squeezing force (or pressure) as pain.
- We continued to move the contact probe and acquired a second measurement when the subject felt the maximum bearable pain.
- After the measurement was completed, we acquired a photograph of the measurement site.
- This procedure was repeated for the next subject and for all the remaining body parts.
2.5. Residual Pain Questionnaire Assessment
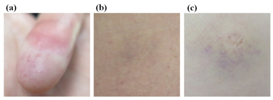
2.6. Skin Injury Evaluation
- A skin reaction that caused the skin to turn red (with or without pain) in the subject’s experimental area after the trial.
- A capillary burst on the subject’s experimental skin surface, resulting in a speckle or petechia (with or without pain), defined as a vascular reaction.
2.7. Energy Density
2.8. Statistical Analysis
3. Results
3.1. Descriptive Statistics
3.2. Pain Thresholds

3.3. Pressure Pain Thresholds
3.4. Skin Injury Evaluation Analysis
3.5. Residual Pain Questionnaire Analysis
4. Discussion
Author Contributions
Funding
Institutional Review Board Statement
Informed Consent Statement
Data Availability Statement
Conflicts of Interest
Appendix A

| Body Point | Pressure Pain Threshold for Pain Onset [N/cm2] | ||||||||||
|---|---|---|---|---|---|---|---|---|---|---|---|
| Mean | STD | MIN. | P5 | P10 | Q1 | Q2 | Q3 | P90 | P95 | Max. | |
| 1 | 41.65 | 29.45 | 6.21 | 7.27 | 9.37 | 17.81 | 37.81 | 61.04 | 78.53 | 104.10 | 127.06 |
| 2 | 33.97 | 20.28 | 3.74 | 6.21 | 10.44 | 17.41 | 30.70 | 47.81 | 62.41 | 70.28 | 75.88 |
| 3 | 22.21 | 18.31 | 1.89 | 3.73 | 6.64 | 11.76 | 16.84 | 23.27 | 47.55 | 66.57 | 82.58 |
| 4 | 57.92 | 34.11 | 10.21 | 13.82 | 14.89 | 36.36 | 56.57 | 72.83 | 102.6 | 119.7 | 173.67 |
| 5 | 100.14 | 58.17 | 17.56 | 25.02 | 33.64 | 44.43 | 90.06 | 135.17 | 194.83 | 208.43 | 241.01 |
| 6 | 44.64 | 56.49 | 8.35 | 10.71 | 13.58 | 19.55 | 28.28 | 53.12 | 77.25 | 85.69 | 364.39 |
| 7 | 68.24 | 43.59 | 5.84 | 10.49 | 15.34 | 43.39 | 55.41 | 102.42 | 120.35 | 154.6 | 200.32 |
| 8 | 30.95 | 23.27 | 6.56 | 8.44 | 9.98 | 15.93 | 25.56 | 39.44 | 52.19 | 73.46 | 132.36 |
| 9 | 22.72 | 19.36 | 4.74 | 7.67 | 9.41 | 10.93 | 17.93 | 26.05 | 43.69 | 72.2 | 96.96 |
| 10 | 27.86 | 19.83 | 5.56 | 8.17 | 8.66 | 13.8 | 20.19 | 39.35 | 58.14 | 69.31 | 85.09 |
| 11 | 91.1 | 60.12 | 7.08 | 21.22 | 25.07 | 43.01 | 80.76 | 122.23 | 198.68 | 214.83 | 235.48 |
| 12 | 51.47 | 46.28 | 3.35 | 9.08 | 12.92 | 23.13 | 38.12 | 60.58 | 119.83 | 162.98 | 215.72 |
| 13 | 44.56 | 39.11 | 3.44 | 10.78 | 11.21 | 19.87 | 34.26 | 58.6 | 72.95 | 109.32 | 226.13 |
| 14 | 51.31 | 38.29 | 6.86 | 9.53 | 11.92 | 17.76 | 44.03 | 85.85 | 96.03 | 127.2 | 162.44 |
| 15 | 48.75 | 34.8 | 5.14 | 10.16 | 12.12 | 20.53 | 40.32 | 69.89 | 96.85 | 124.15 | 147.54 |
| 16 | 40.55 | 34.86 | 4.83 | 5.49 | 7.75 | 14.33 | 30.24 | 58.94 | 86.83 | 117.78 | 146.4 |
| 17 | 87.92 | 48.67 | 10.15 | 27.81 | 35.35 | 51.75 | 80.9 | 107.1 | 146.55 | 193.49 | 222.86 |
| 18 | 95.56 | 63.83 | 3.23 | 12.07 | 24.32 | 46.59 | 79.12 | 135.13 | 187 | 220.09 | 261.68 |
| 19 | 109.71 | 57.13 | 18.94 | 21.87 | 29.65 | 69.86 | 109.91 | 147.93 | 185.94 | 212.49 | 231.93 |
| 20 | 90.84 | 55.79 | 18.47 | 20.69 | 28.2 | 43.95 | 81.39 | 122.25 | 161.08 | 193.87 | 268.65 |
| 21 | 36.38 | 31.53 | 3.92 | 6.66 | 9.62 | 15.11 | 25.23 | 45.47 | 81.73 | 102.32 | 155.46 |
| 22 | 53.44 | 38.76 | 4.43 | 9.68 | 12.05 | 19.99 | 48.98 | 75 | 103.55 | 131.23 | 173.99 |
| 23 | 60.31 | 38.29 | 2.85 | 4.86 | 9.28 | 31.08 | 55.44 | 87.47 | 111.21 | 125.02 | 147.23 |
| 24 | 95.04 | 55.31 | 16.32 | 22.76 | 34.21 | 56.74 | 81 | 129.3 | 165.31 | 194.29 | 279.89 |
| 25 | 103.51 | 61.95 | 15.1 | 22.59 | 28.32 | 49.4 | 98.76 | 148 | 196.5 | 221.47 | 229.62 |
| 26 | 47.68 | 29.35 | 3.97 | 8.01 | 12.11 | 20.49 | 44.98 | 70.75 | 93.06 | 97.05 | 100.47 |
| 27 | 113.06 | 76.43 | 14.91 | 25.85 | 36.61 | 68.22 | 91.83 | 140.66 | 207.75 | 258.72 | 401.8 |
| 28 | 71.21 | 49.21 | 6.93 | 9.77 | 13.87 | 33.72 | 65.75 | 86.5 | 145.64 | 178.86 | 197.16 |
| 29 | 39.39 | 28.89 | 5.13 | 6.55 | 10.29 | 19.15 | 32.03 | 52.15 | 77.36 | 105.34 | 122.17 |
| Body Point | Pressure Pain Threshold for Maximum Bearable Pain [N/cm2] | ||||||||||
|---|---|---|---|---|---|---|---|---|---|---|---|
| Mean | STD | MIN. | P5 | P10 | Q1 | Q2 | Q3 | P90 | P95 | Max. | |
| 1 | 250.81 | 111.59 | 70.95 | 125.24 | 131.87 | 166.15 | 232.01 | 291.66 | 392.49 | 465.6 | 581.68 |
| 2 | 182.06 | 70.6 | 67.15 | 90.93 | 95.28 | 129.42 | 169.41 | 231.61 | 276.18 | 316.26 | 352.09 |
| 3 | 100.27 | 34.17 | 41.18 | 61.52 | 64.6 | 73.51 | 96.2 | 117.86 | 139.44 | 172.5 | 200.61 |
| 4 | 333.69 | 143.52 | 163.71 | 166.21 | 196.89 | 226.13 | 288.05 | 411.51 | 496.29 | 575.12 | 861.31 |
| 5 | 391.12 | 210.59 | 85.41 | 88.86 | 140.05 | 229.23 | 350.61 | 529.81 | 612.71 | 719.62 | 1099.2 |
| 6 | 230.24 | 206.9 | 48.37 | 62.23 | 97.88 | 125.22 | 168.42 | 230.45 | 441.15 | 574.96 | 1238.8 |
| 7 | 287.54 | 118.06 | 136.69 | 145.27 | 165.24 | 205.44 | 267.58 | 342.35 | 451.78 | 563.04 | 636.54 |
| 8 | 148.52 | 104.36 | 36.24 | 55.55 | 60.18 | 75.97 | 115.79 | 179.02 | 299.67 | 354.97 | 541.13 |
| 9 | 155.5 | 68.54 | 45.45 | 66.56 | 85.42 | 108.13 | 144.46 | 192.96 | 241.6 | 279.44 | 386.85 |
| 10 | 144.43 | 58.22 | 54 | 60.53 | 79.86 | 111.63 | 137.56 | 167.27 | 209.75 | 266.22 | 339.49 |
| 11 | 262.99 | 161.16 | 73.99 | 97.52 | 103.98 | 141.2 | 249.26 | 322.31 | 459.56 | 612.33 | 815.71 |
| 12 | 320.11 | 136.25 | 81.52 | 184.43 | 195.4 | 225.56 | 282.45 | 387.2 | 545.55 | 610.38 | 677.16 |
| 13 | 246.83 | 114.12 | 77.55 | 96.22 | 133.54 | 158.48 | 199.69 | 332.35 | 425.89 | 478.69 | 497.09 |
| 14 | 311.27 | 184.17 | 72.33 | 106.54 | 146.02 | 208.82 | 269.55 | 358.88 | 478.53 | 710.3 | 1001.58 |
| 15 | 270.67 | 126.15 | 69.73 | 88.79 | 119.63 | 201.91 | 237.08 | 345.92 | 437.97 | 539.39 | 599.84 |
| 16 | 191.28 | 74.36 | 86.25 | 93.85 | 119.72 | 140.39 | 173.45 | 228.23 | 310.2 | 344.47 | 395.79 |
| 17 | 303.04 | 90 | 107.86 | 158.02 | 197.89 | 236.94 | 298.57 | 370.9 | 430.66 | 448.84 | 519.88 |
| 18 | 292.63 | 84.82 | 110.21 | 185.2 | 196.15 | 236.31 | 277.47 | 355.32 | 412.2 | 431.86 | 519.65 |
| 19 | 409.06 | 175.26 | 180.88 | 198.9 | 210.27 | 269.25 | 387.4 | 518.01 | 592.4 | 785.7 | 895.53 |
| 20 | 368.11 | 157.37 | 137.09 | 177.18 | 201.24 | 264.44 | 341.47 | 445.9 | 522.49 | 608.31 | 1023.57 |
| 21 | 208.56 | 79.87 | 86.53 | 98.74 | 115.57 | 155.41 | 203.38 | 250.19 | 324.52 | 373.8 | 422.23 |
| 22 | 254.64 | 72.12 | 125.46 | 140.78 | 163.94 | 202.47 | 242.5 | 295.9 | 370.66 | 396.48 | 410.28 |
| 23 | 249.34 | 76.67 | 135.72 | 137.32 | 163.3 | 193.46 | 238.95 | 273.38 | 361.68 | 405.76 | 470.79 |
| 24 | 523.88 | 298.49 | 229.71 | 247.14 | 262.88 | 356.01 | 438.19 | 571.61 | 874.21 | 1105.65 | 1817.93 |
| 25 | 529.02 | 316.81 | 126 | 188 | 218.04 | 290.25 | 460 | 667.59 | 1018.14 | 1090.5 | 1623.49 |
| 26 | 220.12 | 88.3 | 86.55 | 93.15 | 108.02 | 163.1 | 210.39 | 266.77 | 361.96 | 388.03 | 430.48 |
| 27 | 310.89 | 140.86 | 129.88 | 149.5 | 170.86 | 230.56 | 290.02 | 352.17 | 459.31 | 596.11 | 854.23 |
| 28 | 279.19 | 130.73 | 122.12 | 140.76 | 151.96 | 189.99 | 257.37 | 340.91 | 394 | 472.65 | 849.65 |
| 29 | 224.11 | 75.22 | 86.92 | 110.79 | 142.26 | 156.86 | 209.26 | 289.1 | 330.46 | 339.47 | 369.63 |
| Body Point | Force Pain Threshold for Pain Onset [N] | ||||||||||
|---|---|---|---|---|---|---|---|---|---|---|---|
| Mean | STD | MIN. | P5 | P10 | Q1 | Q2 | Q3 | P90 | P95 | Max. | |
| 1 | 86.57 | 66.74 | 7.72 | 15.56 | 20.06 | 44.7 | 71.13 | 111.44 | 181.23 | 242.12 | 300.59 |
| 2 | 38.7 | 22.84 | 2 | 3.33 | 6.19 | 22.05 | 38.23 | 52.04 | 70.44 | 75.64 | 102.07 |
| 3 | 23.65 | 16.66 | 2.72 | 4.17 | 6.13 | 10.21 | 18.2 | 36.25 | 45.54 | 51.84 | 68.45 |
| 4 | 40.12 | 28.15 | 3 | 6.08 | 11 | 19.81 | 31.69 | 56.72 | 78.66 | 92.32 | 134.9 |
| 5 | 49.35 | 31.18 | 8.48 | 13.89 | 20.01 | 30.31 | 38.68 | 65.98 | 85.35 | 101.23 | 174.52 |
| 6 | 35.86 | 24.11 | 8.51 | 12.86 | 16.95 | 21.55 | 29.67 | 45.15 | 58.74 | 69.59 | 149.92 |
| 7 | 70.98 | 42.92 | 19.85 | 20.6 | 23.91 | 39.89 | 59.8 | 91.34 | 124.46 | 167.91 | 195.19 |
| 8 | 39.82 | 20.26 | 10.3 | 16.74 | 18.2 | 25.57 | 34.6 | 49.89 | 73.44 | 81.92 | 85.22 |
| 9 | 24.74 | 18.14 | 5.4 | 8.42 | 9.21 | 12.46 | 19.51 | 33.28 | 44.04 | 54.75 | 102.46 |
| 10 | 25.21 | 14.51 | 5.87 | 7.22 | 8.19 | 13.55 | 22.75 | 36.59 | 44.85 | 53.73 | 61.19 |
| 11 | 52.7 | 26.67 | 11.8 | 15.11 | 21.78 | 32.45 | 50.98 | 66.63 | 84.51 | 109.17 | 123.06 |
| 12 | 44.98 | 30.29 | 2.54 | 7.51 | 10.68 | 26.07 | 37.09 | 59.38 | 85.04 | 117.98 | 125.92 |
| 13 | 41.58 | 24.02 | 4.97 | 8.85 | 14.11 | 25.05 | 34.14 | 57.97 | 78.91 | 83.72 | 103.71 |
| 14 | 39.56 | 24.98 | 4.61 | 6.26 | 13.72 | 24.14 | 33.58 | 51.19 | 78.57 | 84.01 | 121.92 |
| 15 | 36.04 | 25.93 | 4.72 | 7.76 | 9.19 | 18.69 | 32.24 | 45.31 | 65.18 | 92.02 | 127.21 |
| 16 | 36.04 | 17.42 | 6.94 | 8.05 | 12 | 25.52 | 33.4 | 45.28 | 59.69 | 63.93 | 78.07 |
| 17 | 106.86 | 66.39 | 10.48 | 15.77 | 33.13 | 65.34 | 92.36 | 138.69 | 198.81 | 227.68 | 312.46 |
| 18 | 99.79 | 66.84 | 7.8 | 11.46 | 20.72 | 45.9 | 86.96 | 156.93 | 196.61 | 218.37 | 245.55 |
| 19 | 80.26 | 51.65 | 9.55 | 16 | 17.86 | 33.85 | 74.71 | 108.9 | 154.96 | 189.4 | 201.42 |
| 20 | 90.57 | 60.57 | 6.44 | 14.16 | 22.8 | 47.33 | 78.32 | 110.06 | 175.13 | 228.78 | 252.56 |
| 21 | 56.83 | 43.82 | 4.11 | 12.12 | 14.13 | 25.09 | 46.55 | 74.94 | 110.51 | 147.77 | 211.93 |
| 22 | 74.93 | 46.76 | 4.4 | 11.21 | 15.56 | 37.27 | 72.19 | 104.41 | 136.94 | 161.2 | 204.53 |
| 23 | 66.21 | 40.19 | 7.12 | 7.62 | 19.01 | 33.9 | 59.37 | 83.52 | 130.37 | 145.54 | 151.53 |
| 24 | 66.25 | 51.01 | 8.12 | 12.55 | 19.6 | 33.33 | 55.31 | 86.87 | 129.46 | 167.84 | 267.69 |
| 25 | 79.11 | 50.93 | 11.62 | 19.29 | 21.92 | 43.09 | 70.18 | 96.01 | 158.63 | 193.26 | 199.56 |
| 26 | 64.97 | 35.03 | 9.41 | 12.5 | 21.89 | 41.22 | 60.51 | 87.06 | 122.68 | 132.72 | 134.43 |
| 27 | 102.56 | 45.7 | 21.24 | 26.86 | 43.83 | 68.41 | 106.57 | 135.81 | 163.08 | 183.36 | 212.61 |
| 28 | 76.83 | 44.95 | 12.84 | 16.77 | 34.15 | 45.54 | 65 | 93.86 | 146.11 | 172.18 | 210.36 |
| 29 | 61.14 | 37.23 | 7.76 | 15.61 | 22.96 | 33.12 | 51.89 | 84.38 | 100.8 | 121.5 | 198.7 |
| Body Point | Force Pain Threshold for Maximum Bearable Pain [N] | ||||||||||
|---|---|---|---|---|---|---|---|---|---|---|---|
| Mean | STD | MIN. | P5 | P10 | Q1 | Q2 | Q3 | P90 | P95 | Max. | |
| 1 | 350.94 | 106.4 | 165.48 | 187.47 | 204.73 | 287.03 | 347.22 | 412.72 | 474.74 | 503.13 | 699.77 |
| 2 | 183.15 | 64.74 | 82.22 | 103.16 | 111.54 | 135.97 | 169.11 | 226.16 | 273.16 | 290.75 | 402.48 |
| 3 | 90.36 | 39.98 | 23.68 | 37.27 | 44.78 | 63.89 | 80.56 | 110.44 | 138.4 | 172.66 | 215.47 |
| 4 | 185.31 | 57.91 | 49.64 | 103.28 | 130.3 | 141.85 | 182.75 | 226.25 | 259.89 | 288.14 | 339.03 |
| 5 | 202.41 | 65.57 | 70.2 | 101.44 | 118.73 | 146.31 | 205.89 | 262.88 | 283.76 | 308.44 | 324.33 |
| 6 | 196.3 | 86.61 | 56.86 | 60.17 | 82.15 | 124.12 | 194.6 | 254.54 | 304.68 | 338.32 | 418.86 |
| 7 | 331.97 | 93.72 | 163.51 | 189.62 | 205.01 | 275.37 | 320.87 | 393.45 | 453.12 | 498.93 | 595.27 |
| 8 | 191.71 | 78.07 | 66.63 | 78.84 | 101.3 | 140.76 | 179.19 | 246.16 | 288.3 | 346.65 | 393.57 |
| 9 | 136.03 | 46.46 | 51.5 | 56.27 | 74.19 | 106.91 | 140.67 | 159.48 | 195.44 | 231.21 | 235.28 |
| 10 | 112.34 | 50.83 | 28.47 | 39.3 | 53.05 | 70.11 | 107.99 | 148.77 | 171.13 | 202.67 | 243.3 |
| 11 | 142.39 | 62.1 | 49.93 | 59.92 | 80.63 | 99.96 | 131.32 | 178.12 | 218.76 | 232.3 | 375.69 |
| 12 | 248.13 | 92.12 | 78.75 | 118.57 | 149.1 | 175.04 | 232.23 | 306.85 | 382.61 | 408.09 | 483.37 |
| 13 | 240.08 | 102.67 | 63.09 | 104.8 | 115.3 | 168.6 | 223.59 | 280.56 | 404.84 | 440.92 | 450.68 |
| 14 | 250.82 | 94.65 | 112.44 | 145.73 | 152.17 | 164.83 | 242.99 | 314.77 | 414.58 | 433.72 | 451.72 |
| 15 | 184.23 | 88.12 | 63.37 | 776.73 | 98.72 | 117.53 | 162.51 | 236.09 | 311.58 | 399.33 | 408.34 |
| 16 | 160.28 | 58.98 | 70.74 | 87.1 | 102.71 | 116.21 | 148.43 | 190.56 | 209.12 | 311.89 | 336.28 |
| 17 | 425.87 | 122.97 | 234.32 | 277.31 | 286.75 | 324.3 | 421.82 | 509.94 | 605.4 | 656.89 | 699.13 |
| 18 | 429.69 | 141.82 | 168.16 | 235.86 | 271.01 | 328.38 | 398.95 | 529.04 | 663.58 | 678.1 | 685.33 |
| 19 | 396.47 | 108.61 | 136.22 | 246.69 | 284.49 | 306.29 | 400.37 | 499.25 | 552.27 | 559.62 | 569.92 |
| 20 | 360.78 | 119.4 | 165.48 | 182.12 | 209.09 | 274.19 | 339.62 | 430.57 | 516.4 | 567.54 | 668.45 |
| 21 | 270.34 | 97.56 | 112.01 | 129.35 | 146.65 | 205.15 | 260.41 | 320.4 | 384.52 | 426.72 | 602.93 |
| 22 | 310.56 | 97.63 | 177.17 | 182.5 | 195.95 | 222.7 | 293.26 | 391.19 | 457.1 | 461.5 | 467.1 |
| 23 | 325.24 | 90.8 | 193.69 | 211.39 | 224.2 | 252.41 | 317.99 | 395.04 | 425.51 | 509.82 | 566.81 |
| 24 | 362.36 | 125.85 | 120.02 | 182.5 | 217.62 | 286.3 | 338.62 | 437.26 | 539.2 | 629.28 | 681.75 |
| 25 | 357.27 | 124.13 | 103.93 | 144.8 | 174.86 | 272.8 | 367.82 | 460 | 494.39 | 534.46 | 654.39 |
| 26 | 219.79 | 54.94 | 112.44 | 129.53 | 142.75 | 184.07 | 215.02 | 260.96 | 303.66 | 311.82 | 323.91 |
| 27 | 275.79 | 92.17 | 153.17 | 165.98 | 181.51 | 216.12 | 254.99 | 323.44 | 403.53 | 471.93 | 577.04 |
| 28 | 321.91 | 100.26 | 147.2 | 163.69 | 207.46 | 245.87 | 311.03 | 384.13 | 457.05 | 501.43 | 569.38 |
| 29 | 294.95 | 103.95 | 100.03 | 119.52 | 154.23 | 214.97 | 293.18 | 382.32 | 412.4 | 463.76 | 490.42 |
References
- Bayram, B.; İnce, G. Advances in Robotics in the Era of Industry 4.0. In Industry 4.0: Managing The Digital Transformation; Springer: Berlin/Heidelberg, Germany, 2018; pp. 187–200. [Google Scholar]
- Bartoš, M.; Bulej, V.; Bohušík, M.; Stanček, J.; Ivanov, V.; Macek, P. An overview of robot applications in automotive industry. Transp. Res. Procedia 2021, 55, 837–844. [Google Scholar] [CrossRef]
- IFR presents World Robotics Report 2020. Available online: https://ifr.org/ifr-press-releases/news/record-2.7-million-robotswork-in-factories-around-the-globe (accessed on 31 January 2022).
- Shen, Y.; Guo, D.; Long, F.; Mateos, L.A.; Ding, H.; Xiu, Z.; Hellman, R.B.; King, A.; Chen, S.; Zhang, C.; et al. Robots under COVID-19 pandemic: A comprehensive survey. IEEE Access 2020, 9, 1590–1615. [Google Scholar] [CrossRef] [PubMed]
- Antonelli, D.; Astanin, S.; Bruno, G. Applicability of human-robot collaboration to small batch production. In Proceedings of the Working Conference on Virtual Enterprises, Porto, Portugal, 3–5 October 2016; pp. 24–32. [Google Scholar]
- Djuric, A.M.; Urbanic, R.J.; Rickli, J.L. A framework for collaborative robot (CoBot) integration in advanced manufacturing systems. SAE Int. J. Mater. Manuf. 2016, 9, 457–464. [Google Scholar] [CrossRef]
- Haddadin, S.; Haddadin, S.; Khoury, A.; Rokahr, T.; Parusel, S.; Burgkart, R.; Bicchi, A.; Albu-Schäffer, A. A truly safely moving robot has to know what injury it may cause. In Proceedings of the 2012 IEEE/RSJ International Conference on Intelligent Robots and Systems, Vilamoura-Algarve, Portugal, 7–12 October 2016; pp. 5406–5413. [Google Scholar]
- Guiochet, J.; Machin, M.; Waeselynck, H. Safety-critical advanced robots: A survey. Robot. Auton. Syst. 2017, 94, 43–52. [Google Scholar] [CrossRef] [Green Version]
- Haddadin, S.; Albu-Schäffer, A.; Hirzinger, G. Safe physical human-robot interaction: Measurements, analysis and new insights. In Robotics Research; Springer: Berlin/Heidelberg, Germany, 2010; pp. 395–407. [Google Scholar]
- ISO/TS 15066:2016; Robots and Robotic Devices—Collaborative Robots. International Organization for Standardization: Geneva, Switzerland, 2016.
- Rosenstrauch, M.J.; Krüger, J. Safe human-robot-collaboration-introduction and experiment using ISO/TS 15066. In Proceedings of the 2017 3rd International Conference on Control, Automation and Robotics (ICCAR), Nagoya, Japan, 24–26 April 2017; pp. 740–744. [Google Scholar]
- Matthias, B.; Reisinger, T. Example application of ISO/TS 15066 to a collaborative assembly scenario. In Proceedings of the ISR 2016: 47st International Symposium on Robotics, Munich, Germany, 21–22 June 2016; pp. 1–5. [Google Scholar]
- Sugiura, R.; Fujikawa, T.; Nishikata, R.; Nishimoto, T. Soft tissue bruise injury by blunt impact in human-robot interaction-difference of tolerance between chest and extremities. In Proceedings of the 2019 19th International Conference on Control, Automation and Systems (ICCAS), Jeju, Korea, 15–18 October 2019; pp. 792–797. [Google Scholar]
- Han, D.; Park, M.Y.; Shin, H.; Kim, K.S.; Rhim, S. Identifying Safety Conditions of Human-Robot Collision based on Skin Injury Analysis. In Proceedings of the 2018 15th International Conference on Ubiquitous Robots (UR), Honolulu, HI, USA, 26–30 June 2018; pp. 420–423. [Google Scholar]
- Haddadin, S.; Haddadin, S.; Khoury, A.; Rokahr, T.; Parusel, S.; Burgkart, R.; Bicchi, A.; Albu-Schäffer, A. On making robots understand safety: Embedding injury knowledge into control. Int. J. Robot. Res. 2012, 31, 1578–1602. [Google Scholar] [CrossRef]
- Melia, M.; Schmidt, M.; Geissler, B.; König, J.; Krahn, U.; Ottersbach, H.J.; Letzel, S.; Muttray, A. Measuring mechanical pain: The refinement and standardization of pressure pain threshold measurements. Behav. Res. Methods 2015, 47, 216–227. [Google Scholar] [CrossRef] [PubMed]
- Park, M.Y.; Han, D.; Lim, J.H.; Shin, M.K.; Han, Y.R.; Kim, D.H.; Rhim, S.; Kim, K.S. Assessment of pressure pain thresholds in collisions with collaborative robots. PLoS ONE 2019, 14, e0215890. [Google Scholar] [CrossRef] [PubMed]
- Shin, H.; Kim, S.; Seo, K.; Rhim, S. A Virtual Pressure and Force Sensor for Safety Evaluation in Collaboration Robot Application. Sensors 2019, 19, 4328. [Google Scholar] [CrossRef] [PubMed] [Green Version]
- Garra, G.; Singer, A.J.; Taira, B.R.; Chohan, J.; Cardoz, H.; Chisena, E.; Thode, H.C., Jr. Validation of the Wong-Baker FACES pain rating scale in pediatric emergency department patients. Acad. Emerg. Med. 2010, 17, 50–54. [Google Scholar] [CrossRef] [PubMed]
- Kahl, C.; Cleland, J.A. Visual analogue scale, numeric pain rating scale and the McGill Pain Questionnaire: An overview of psychometric properties. Phys. Ther. Rev. 2005, 10, 123–128. [Google Scholar] [CrossRef]
- Povse, B.; Koritnik, D.; Bajd, T.; Munih, M. Correlation between impact-energy density and pain intensity during robot-man collision. In Proceedings of the 2010 3rd IEEE RAS & EMBS International Conference on Biomedical Robotics and Biomechatronics, Tokyo, Japan, 26–29 September 2010; pp. 179–183. [Google Scholar]
- Desmoulin, G.T.; Anderson, G.S. Method to investigate contusion mechanics in living humans. J. Forensic Biomech. 2011, 17, 2. [Google Scholar]
- Resnick, B. Wound care for the elderly. Geriatr. Nurs. 1993, 14, 26–29. [Google Scholar] [CrossRef]
- Sim, H.Y.; Jung, S.Y.; Lee, Y.J.; Park, B. Relationship of Calcium–Magnesium Ratio in Hair with Triglyceride-Glucose Index and Triglyceride/High-Density Lipoprotein-Cholesterol Ratio among Overweight or Obese Korean Individuals: A Pilot Study. Korean J. Fam. Pract. 2020, 10, 442–447. [Google Scholar] [CrossRef]







| Characteristics | Description |
|---|---|
| Number of participants | 40 |
| Sex | Male |
| Age | 20 to 29 years |
| Weight | 72.0 ± 12.15 kg |
| Height | 173.6 ± 5.80 cm |
| Body mass index (BMI) | 23.82 ± 3.31 |
| Mood | Good to normal |
| Arm circumference | 29.14 ± 4.95 cm |
| Thigh circumference | 48.75 ± 5.25 cm |
| Calf circumference | 37.45 ± 3.41 cm |
| Pain Assessment Tools | |
|---|---|
| Scale | Image |
| Wong–Baker face pain rating scale | ![]() |
| Numeric pain rating scale | ![]() |
| No | Body Part | Measurement Point |
|---|---|---|
| 1 | Skull and forehead | Middle of forehead |
| 2 | Temple | |
| 3 | Face | Masticatory muscle |
| 4 | Neck | Neck muscle |
| 5 | Seventh neck vertebra | |
| 6 | Back and shoulder | Shoulder joint |
| 7 | Fifth lumbar vertebra | |
| 8 | Chest | Sternum |
| 9 | Pectoral muscle | |
| 10 | Abdomen | Abdominal muscle |
| 11 | Pelvis | Pelvic bone |
| 12 | Upper arms and elbow joints | Deltoid muscle |
| 13 | Humeral bone | |
| 14 | Lower arms and wrist joints | Radial bone |
| 15 | Forearm muscle | |
| 16 | Arm nerve | |
| 17 | Hands and fingers | Forefinger pad D 1 |
| 18 | Forefinger pad ND 1 | |
| 19 | Forefinger end joint D 1 | |
| 20 | Forefinger end joint ND 1 | |
| 21 | Thenar eminence | |
| 22 | Palm D 1 | |
| 23 | Palm ND 1 | |
| 24 | Back of the hand D 1 | |
| 25 | Back of the hand ND 1 | |
| 26 | Thighs and knees | Thigh muscle |
| 27 | Kneecap | |
| 28 | Lower legs | Middle of shin |
| 29 | Calf muscle |
| Skin Reaction Severity Score (SRSS) | Vascular Reaction Severity Score (VRSS) | ||
|---|---|---|---|
| Grade | Criteria/Characteristics | Grade | Criteria/Characteristics |
| 0 | No reaction | 0 | No reaction |
| 1 | Transient faint erythema | 1 | Petechia-asymptomatic 1 |
| 2 | Transient moderate erythema | 2 | Prickling petechia-symptomatic 1 |
| 3 | Severe erythema or papular dermatitis | 3 | Violaceous purpura |
| 4 | Abrasion | 4 | Nontender ecchymoses |
| 5 | Scar | 5 | Tender ecchymoses |
| Body Point | Pain Onset Force [N] | Pain Tolerance Force [N] | ISO Force Limits [N] | Pain Onset Pressure [N/cm2] | Pain Tolerance Pressure [N/cm2] | ISO Pressure Limits [N/cm2] |
|---|---|---|---|---|---|---|
| 1 | 111.4 | 412.7 | 130 | 61.0 | 291.7 | 130 |
| 2 | 52.0 | 226.2 | 130 | 47.8 | 231.6 | 110 |
| 3 | 36.3 | 110.4 | 65 | 23.3 | 117.9 | 110 |
| 4 | 56.7 | 226.3 | 150 | 72.8 | 411.5 | 140 |
| 5 | 66.0 | 262.9 | 150 | 135.2 | 529.8 | 210 |
| 6 | 45.2 | 254.5 | 210 | 53.1 | 230.5 | 160 |
| 7 | 91.3 | 393.5 | 210 | 102.4 | 342.4 | 210 |
| 8 | 49.9 | 246.2 | 140 | 39.4 | 179.0 | 120 |
| 9 | 33.3 | 159.5 | 140 | 26.1 | 193.0 | 170 |
| 10 | 36.6 | 148.8 | 110 | 39.4 | 167.3 | 140 |
| 11 | 66.6 | 178.1 | 180 | 122.2 | 322.3 | 210 |
| 12 | 59.4 | 306.9 | 150 | 60.6 | 387.2 | 190 |
| 13 | 58.0 | 280.6 | 150 | 58.6 | 332.4 | 220 |
| 14 | 51.2 | 314.8 | 160 | 85.9 | 358.9 | 190 |
| 15 | 45.3 | 236.1 | 160 | 69.9 | 345.9 | 180 |
| 16 | 45.3 | 190.6 | 160 | 58.9 | 228.2 | 180 |
| 17 | 138.7 | 509.9 | 140 | 107.1 | 370.9 | 300 |
| 18 | 156.9 | 529.0 | 140 | 135.1 | 355.3 | 270 |
| 19 | 108.9 | 499.3 | 140 | 147.9 | 518.0 | 280 |
| 20 | 110.1 | 430.6 | 140 | 122.3 | 445.9 | 220 |
| 21 | 74.9 | 320.4 | 140 | 45.5 | 250.2 | 200 |
| 22 | 104.4 | 391.2 | 140 | 75.0 | 295.9 | 260 |
| 23 | 83.5 | 395.0 | 140 | 87.5 | 273.4 | 260 |
| 24 | 86.9 | 437.3 | 140 | 129.3 | 571.6 | 200 |
| 25 | 96.0 | 460.0 | 140 | 148.0 | 667.6 | 190 |
| 26 | 87.1 | 261.0 | 220 | 70.8 | 266.8 | 250 |
| 27 | 135.8 | 323.4 | 220 | 140.7 | 352.2 | 220 |
| 28 | 93.9 | 384.1 | 130 | 86.5 | 340.9 | 220 |
| 29 | 84.4 | 382.3 | 130 | 52.2 | 289.1 | 210 |
| Body Point | Pain Onset Force [N] | Pain Tolerance Force [N] | ISO Force Limits [N] | Pain Onset Pressure [N/cm2] | Pain Tolerance Pressure [N/cm2] | ISO Pressure Limits [N/cm2] |
|---|---|---|---|---|---|---|
| 1 | 112.4 | 413.8 | 130 | 54.3 | 307.8 | 130 |
| 2 | 54.6 | 217.3 | 130 | 44.9 | 221.4 | 110 |
| 3 | 30.9 | 111.4 | 65 | 28.5 | 118.7 | 110 |
| 4 | 53.1 | 222.4 | 150 | 75.2 | 402.3 | 140 |
| 5 | 62.5 | 243.4 | 150 | 130.0 | 502.8 | 210 |
| 6 | 44.4 | 247.4 | 210 | 52.8 | 281.6 | 160 |
| 7 | 90.1 | 387.3 | 210 | 91.0 | 345.2 | 210 |
| 8 | 49.7 | 234.7 | 140 | 39.0 | 184.9 | 120 |
| 9 | 31.0 | 164.7 | 140 | 27.8 | 190.8 | 170 |
| 10 | 32.3 | 141.3 | 110 | 35.3 | 174.8 | 140 |
| 11 | 66.9 | 173.7 | 180 | 120.1 | 329.1 | 210 |
| 12 | 60.3 | 300.8 | 150 | 65.5 | 390.1 | 190 |
| 13 | 54.3 | 296.4 | 150 | 57.0 | 305.5 | 220 |
| 14 | 52.0 | 301.0 | 160 | 66.6 | 385.8 | 190 |
| 15 | 46.4 | 226.4 | 160 | 63.5 | 338.9 | 180 |
| 16 | 46.6 | 190.4 | 160 | 51.9 | 229.2 | 180 |
| 17 | 141.7 | 496.3 | 140 | 113.2 | 359.7 | 300 |
| 18 | 134.4 | 511.4 | 140 | 131.1 | 343.4 | 270 |
| 19 | 106.0 | 467.0 | 140 | 144.4 | 498.3 | 280 |
| 20 | 120.6 | 429.8 | 140 | 117.3 | 443.7 | 220 |
| 21 | 73.9 | 324.9 | 140 | 46.1 | 252.2 | 200 |
| 22 | 101.8 | 366.9 | 140 | 70.4 | 297.4 | 260 |
| 23 | 89.2 | 376.3 | 140 | 84.6 | 291.5 | 260 |
| 24 | 85.0 | 435.9 | 140 | 122.3 | 634.6 | 200 |
| 25 | 102.6 | 437.6 | 140 | 135.5 | 664.1 | 190 |
| 26 | 85.0 | 254.3 | 220 | 63.9 | 268.6 | 250 |
| 27 | 131.2 | 323.0 | 220 | 145.2 | 375.4 | 220 |
| 28 | 98.5 | 380.9 | 130 | 94.8 | 337.0 | 220 |
| 29 | 79.0 | 360.6 | 130 | 51.1 | 269.5 | 210 |
Publisher’s Note: MDPI stays neutral with regard to jurisdictional claims in published maps and institutional affiliations. |
© 2022 by the authors. Licensee MDPI, Basel, Switzerland. This article is an open access article distributed under the terms and conditions of the Creative Commons Attribution (CC BY) license (https://creativecommons.org/licenses/by/4.0/).
Share and Cite
Han, D.; Park, M.; Choi, J.; Shin, H.; Kim, D.; Rhim, S. Assessment of Pain Onset and Maximum Bearable Pain Thresholds in Physical Contact Situations. Sensors 2022, 22, 2996. https://doi.org/10.3390/s22082996
Han D, Park M, Choi J, Shin H, Kim D, Rhim S. Assessment of Pain Onset and Maximum Bearable Pain Thresholds in Physical Contact Situations. Sensors. 2022; 22(8):2996. https://doi.org/10.3390/s22082996
Chicago/Turabian StyleHan, Doyeon, Moonyoung Park, Junsuk Choi, Heonseop Shin, Donghwan Kim, and Sungsoo Rhim. 2022. "Assessment of Pain Onset and Maximum Bearable Pain Thresholds in Physical Contact Situations" Sensors 22, no. 8: 2996. https://doi.org/10.3390/s22082996
APA StyleHan, D., Park, M., Choi, J., Shin, H., Kim, D., & Rhim, S. (2022). Assessment of Pain Onset and Maximum Bearable Pain Thresholds in Physical Contact Situations. Sensors, 22(8), 2996. https://doi.org/10.3390/s22082996



