Assessment of Intestinal Ischemia–Reperfusion Injury Using Diffuse Reflectance VIS-NIR Spectroscopy and Histology
Abstract
1. Introduction
2. Methods
2.1. Animals and Experimental Design
- Case 1: Control (Reference)—8 h of normal perfusion;
 - Case 2: Ischemia—8 h of warm full ischemia;
 - Case 3: 2 h of ischemia followed by 6 h of reperfusion;
 - Case 4: 4 h of ischemia followed by 4 h of reperfusion.
 
2.2. Visible and Near-Infrared Diffuse Reflectance Spectroscopy Setup
2.3. Data Analysis and Classification
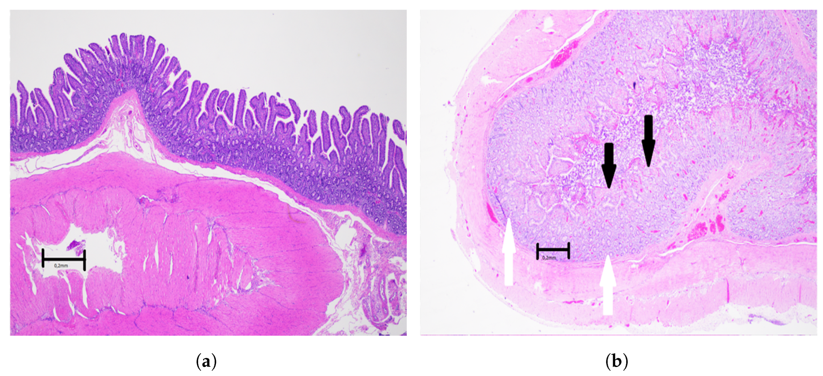
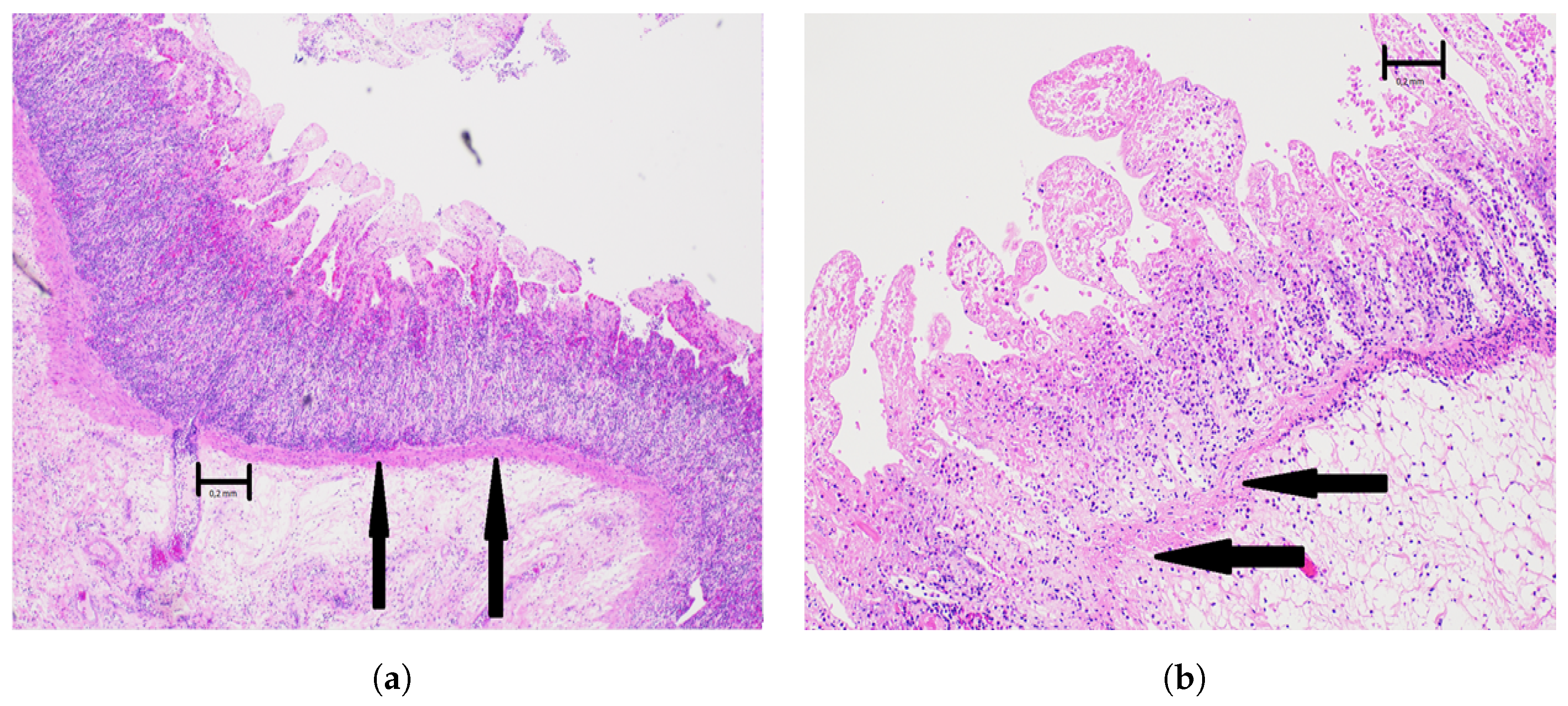
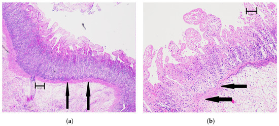
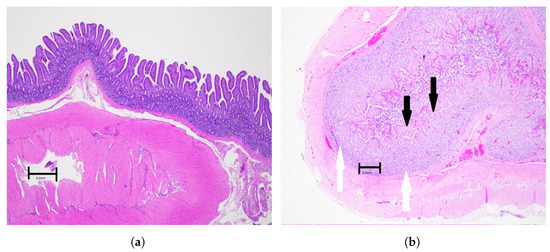
2.4. Histopathological Examination
- Grade 0: No pathological changes;
 - Grade 1: Focal loss of surface epithelium in the mucosa;
 - Grade 2: Mucosal infarction, with extensive loss of surface epithelium and areas with substance loss in the mucosal lamina propria. Sparing of basal parts of glands, and of the lamina muscularis mucoae;
 - Grade 3: Complete mucosal necrosis, variable necrosis of the submucosa, but intact muscularis mucosae;
 - Grade 4: Complete necrosis of both the mucosa and the submucosa, and loss of the muscularis mucosae;
 - Grade 5: In addition to the changes of grade 4 there are also circulatory disturbances of the inner part of the external muscular layer (lamina muscularis externa);
 - Grade 6: Complete necrosis of all layers of the intestinal wall.
 
3. Results
Histopathology
4. Discussion
5. Conclusions
Author Contributions
Funding
Institutional Review Board Statement
Data Availability Statement
Acknowledgments
Conflicts of Interest
References
- Sowa, M.G.; Kohlenberg, E.; Payette, J.R.; Leonardi, L.; Levasseur, M.A.; Riley, C.B. Detecting Intestinal Ischemia Using near Infrared Spectroscopy. J. Near Infrared Spectrosc. 2006, 14, 1–7. [Google Scholar] [CrossRef]
 - Strand-Amundsen, R.J.; Reims, H.M.; Tronstad, C.; Kalvøy, H.; Martinsen, Ø.G.; Høgetveit, J.O.; Ruud, T.E.; Tønnessen, T.I. Ischemic small intestine—in vivoversusex vivobioimpedance measurements. Physiol. Meas. 2017, 38, 715–728. [Google Scholar] [CrossRef]
 - Hou, J.; Strand-Amundsen, R.; Tronstad, C.; Tønnessen, T.I.; Høgetveit, J.O.; Martinsen, Ø.G. Small intestinal viability assessment using dielectric relaxation spectroscopy and deep learning. Sci. Rep. 2022, 12, 3279. [Google Scholar] [CrossRef]
 - Watanabe, T.; Shimizu, T.; Mori, M.; Yamamoto, Y.; Tei, E.; Hirakawa, H. Predicting viability of ischemic small bowel using intraoperative indocyanine green fluorescence angiography. J. Pediatr. Surg. Case Rep. 2022, 79, 102218. [Google Scholar] [CrossRef]
 - Karakaş, B.R.; Sırcan-Küçüksayan, A.; Elpek, O.E.; Canpolat, M. Investigating viability of intestine using spectroscopy: A pilot study. J. Surg. Res. 2014, 191, 91–98. [Google Scholar] [CrossRef] [PubMed]
 - Bulkley, G.B.; Zuidema, G.D.; Hamilton, S.R.; O’Mara, C.S.; Klacsmann, P.G.; Horn, S.D. Intraoperative determination of small intestinal viability following ischemic injury: A prospective, controlled trial of two adjuvant methods (Doppler and fluorescein) compared with standard clinical judgment. Ann. Surg. 1981, 193, 628–637. [Google Scholar] [CrossRef] [PubMed]
 - Bryski, M.G.; Sulyok, L.G.F.; Kaplan, L.; Singhal, S.; Keating, J.J. Techniques for intraoperative evaluation of bowel viability in mesenteric ischemia: A review. Am. J. Surg. 2020, 220, 309–315. [Google Scholar] [CrossRef]
 - Seike, K.; Koda, K.; Saito, N.; Oda, K.; Kosugi, C.; Shimizu, K.; Miyazaki, M. Laser Doppler assessment of the influence of division at the root of the inferior mesenteric artery on anastomotic blood flow in rectosigmoid cancer surgery. Int. J. Color. Dis. 2007, 22, 689–697. [Google Scholar] [CrossRef]
 - Singh, D.B.; Stansby, G.; Harrison, D.K. Assessment of oxygenation and perfusion in the tongue and oral mucosa by visible spectrophotometry and laser Doppler flowmetry in healthy subjects. Adv. Exp. Med. Biol. 2008, 614, 227–233. [Google Scholar] [CrossRef]
 - Singh, D.B.; Stansby, G.; Bain, I.; Harrison, D.K. Intraoperative measurement of colonic oxygenation during bowel resection. Adv. Exp. Med. Biol. 2009, 645, 261–266. [Google Scholar] [CrossRef]
 - Urbanavičius, L.; Pattyn, P.; Van de Putte, D.; Venskutonis, D. How to assess intestinal viability during surgery: A review of techniques. World J. Gastrointest. Surg. 2011, 3, 59–69. [Google Scholar] [CrossRef] [PubMed]
 - Dyess, D.L.; Bruner, B.W.; Donnell, C.A.; Ferrara, J.J.; Powell, R.W. Intraoperative evaluation of intestinal ischemia: A comparison of methods. South. Med. J. 1991, 84, 966–969. [Google Scholar] [CrossRef]
 - Deeba, S.; Corcoles, E.P.; Hanna, G.B.; Hanna, B.G.; Pareskevas, P.; Aziz, O.; Boutelle, M.G.; Darzi, A. Use of rapid sampling microdialysis for intraoperative monitoring of bowel ischemia. Dis. Colon Rectum 2008, 51, 1408–1413. [Google Scholar] [CrossRef] [PubMed]
 - Strand-Amundsen, R.J.; Reims, H.M.; Reinholt, F.P.; Ruud, T.E.; Yang, R.; Høgetveit, J.O.; Tønnessen, T.I. Ischemia/reperfusion injury in porcine intestine—Viability assessment. World J. Gastroenterol. 2018, 24, 2009–2023. [Google Scholar] [CrossRef]
 - Strand-Amundsen, R.J.; Tronstad, C.; Reims, H.M.; Reinholt, F.P.; Høgetveit, J.O.; Tønnessen, T.I. Machine learning for intraoperative prediction of viability in ischemic small intestine. Physiol. Meas. 2018, 39, 105011. [Google Scholar] [CrossRef] [PubMed]
 - Hou, J.; Strand-Amundsen, R.; Hødnebø, S.; Tønnessen, T.I.; Høgetveit, J.O. Assessing ischemic injury in human intestine ex vivo with electrical impedance spectroscopy. J. Electr. Bioimpedance 2021, 12, 82–88. [Google Scholar] [CrossRef]
 - Kohlenberg, E.; Payette, J.R.; Sowa, M.G.; Levasseur, M.A.; Riley, C.B.; Leonardi, L. Determining intestinal viability by near infrared spectroscopy: A veterinary application. Vib. Spectrosc. 2005, 38, 223–228. [Google Scholar] [CrossRef]
 - Gay, A.N.; Lazar, D.A.; Stoll, B.; Naik-Mathuria, B.; Mushin, O.P.; Rodriguez, M.A.; Burrin, D.; Olutoye, O. Near-Infrared Spectroscopy Measurement of Abdominal Tissue Oxygenation is a Useful Indicator of Intestinal Blood Flow and Necrotizing Enterocolitis in Premature Piglets. J. Pediatr. Surg. 2011, 46, 1034–1040. [Google Scholar] [CrossRef]
 - Strand-Amundsen, R.J.; Tronstad, C.; Kalvøy, H.; Gundersen, Y.; Krohn, C.D.; Aasen, A.O.; Holhjem, L.; Reims, H.M.; Martinsen, Ø.G.; Høgetveit, J.O.; et al. In vivocharacterization of ischemic small intestine using bioimpedance measurements. Physiol. Meas. 2016, 37, 257–275. [Google Scholar] [CrossRef]
 - Weingarten, M.S.; Papazoglou, E.S.; Zubkov, L.; Zhu, L.; Neidrauer, M.; Savir, G.; Peace, K.; Newby, J.G.; Pourrezaei, K. Correlation of near infrared absorption and diffuse reflectance spectroscopy scattering with tissue neovascularization and collagen concentration in a diabetic rat wound healing model. Wound Repair Regen. 2008, 16, 234–242. [Google Scholar] [CrossRef]
 - Rinnan, Å.; Berg, F.v.d.; Engelsen, S.B. Review of the most common pre-processing techniques for near-infrared spectra. TrAC Trends Anal. Chem. 2009, 28, 1201–1222. [Google Scholar] [CrossRef]
 - Swerdlow, S.H.; Antonioli, D.A.; Goldman, H. Intestinal infarction: A new classification. Arch. Pathol. Lab. Med. 1981, 105, 218. [Google Scholar] [PubMed]
 - Lingqin, K.; Zhao, Y.; Dong, L.; Jian, Y.; Jin, X.; Li, B.; Feng, Y.; Liu, M.; Liu, X.; Wu, H. Non-contact detection of oxygen saturation based on visible light imaging device using ambient light. Opt. Express 2013, 21, 17464–17471. [Google Scholar] [CrossRef]
 - Mordant, D.J.; Al-Abboud, I.; Muyo, G.; Gorman, A.; Sallam, A.; Ritchie, P.; Harvey, A.R.; McNaught, A.I. Spectral imaging of the retina. Eye 2011, 25, 309–320. [Google Scholar] [CrossRef]
 - Martinsen, Ø.G.; Grimnes, S.; Mirtaheri, P. Non-invasive measurements of post-mortem changes in dielectric properties of haddock muscle—A pilot study. J. Food Eng. 2000, 43, 189–192. [Google Scholar] [CrossRef]
 - Hou, J.; Liavåg, O.M.I.; Færden, I.H.; Martinsen, Ø.G.; Tønnessen, T.I.; Line, P.D.; Hagness, M.; Høgetveit, J.O.; Pischke, S.E.; Strand-Amundsen, R. Utilization of dielectric properties for assessment of liver ischemia–reperfusion injury in vivo and during machine perfusion. Sci. Rep. 2022, 12, 11183. [Google Scholar] [CrossRef]
 - O’Farrell, M.; Tschudi, J.; Schulerud, H.; Wold, J.P.; Ottestad, S.; Høy, M. Online NIR Multispectral Imaging using Non-Contact Interactance for Fish and Meat Quality Measurements. In Proceedings of the Imaging and Applied Optics Congress (2010), Tucson, AZ, USA, 7–8 June 2010; Optica Publishing Group: Washington, DC, USA, 2010; p. ATuA3. [Google Scholar] [CrossRef]
 - Gürsoy, D.; Scharfetter, H. Magnetic induction pneumography: A planar coil system for continuous monitoring of lung function via contactless measurements. J. Electr. Bioimpedance 2010, 1, 56–62. [Google Scholar] [CrossRef]
 - Grimnes, S.; Martinsen, Ø.G. Sources of error in tetrapolar impedance measurements on biomaterials and other ionic conductors. J. Phys. Appl. Phys. 2006, 40, 9. [Google Scholar] [CrossRef]
 - Kalogeris, T.; Baines, C.P.; Krenz, M.; Korthuis, R.J. Cell Biology of Ischemia/Reperfusion Injury. Int. Rev. Cell Mol. Biol. 2012, 298, 229–317. [Google Scholar] [CrossRef]
 - Carden, D.L.; Granger, D.N. Pathophysiology of ischaemia-reperfusion injury. J. Pathol. 2000, 190, 255–266. [Google Scholar] [CrossRef]
 - Cowled, P.; Fitridge, R. Pathophysiology of Reperfusion Injury. In Mechanisms of Vascular Disease: A Reference Book for Vascular Specialists; Fitridge, R., Thompson, M., Eds.; University of Adelaide Press: Adelaide, Australia, 2011. [Google Scholar]
 - Redaelli, C.A.; Schilling, M.K.; Büchler, M.W. Intraoperative Laser Doppler Flowmetry: A Predictor of Ischemic Injury in Acute Mesenteric Infarction. Dig. Surg. 1998, 15, 55–59. [Google Scholar] [CrossRef] [PubMed]
 - Douglas, W.R. Of pigs and men and research. Space Life Sci. 1972, 3, 226–234. [Google Scholar] [CrossRef] [PubMed]
 - Yandza, T.; Tauc, M.; Saint-Paul, M.C.; Ouaissi, M.; Gugenheim, J.; Hébuterne, X. The pig as a preclinical model for intestinal ischemia–reperfusion and transplantation studies. J. Surg. Res. 2012, 178, 807–819. [Google Scholar] [CrossRef] [PubMed]
 - Hillman, H. Limitations of clinical and biological histology. Med. Hypotheses 2000, 54, 553–564. [Google Scholar] [CrossRef]
 - Dabareiner, R.M.; Sullins, K.E.; White, N.A.; Snyder, J.R. Serosal injury in the equine jejunum and ascending colon after ischemia–reperfusion or intraluminal distention and decompression. Vet. Surg. VS 2001, 30, 114–125. [Google Scholar] [CrossRef]
 - Horgan, P.G.; Gorey, T.F. Operative Assessment of Intestinal Viability. Surg. Clin. N. Am. 1992, 72, 143–155. [Google Scholar] [CrossRef]
 






| Hours | Case 1 | Case 2 | Case 3 | Case 4 | 
|---|---|---|---|---|
| 1–2 | Viable | Viable | Viable | Viable | 
| 3–4 | Viable | Non-viable | Viable | Non-viable | 
| 5–6 | Viable | Non-viable | Viable | Non-viable | 
| 7–8 | Viable | Non-viable | Viable | Non-viable | 
| a. Three-class model classification results | |||
|---|---|---|---|
| Control VS ischemia VS Reperfusion | |||
| Data | Accuracy [%] | Sensitivity [%] | Specificity [%] | 
| SNV | 97.8 ± 1.3 | 99.1 ± 1.3 | 97.8 ± 3.1 | 
| SNV Deri | 99.2 ± 0.9 | 99.5 ± 0.8 | 98.9 ± 1.9 | 
| b. Two-class model classification results | |||
| Viable VS Non-viable | |||
| Data | Accuracy [%] | Sensitivity [%] | Specificity [%] | 
| SNV | 92.5 ± 2.9 | 87.8 ± 11.3 | 95.3 ± 4.4 | 
| SNV Deri | 96.0 ± 2.8 | 94.2 ± 6.5 | 97.2 ± 2.6 | 
Publisher’s Note: MDPI stays neutral with regard to jurisdictional claims in published maps and institutional affiliations.  | 
© 2022 by the authors. Licensee MDPI, Basel, Switzerland. This article is an open access article distributed under the terms and conditions of the Creative Commons Attribution (CC BY) license (https://creativecommons.org/licenses/by/4.0/).
Share and Cite
Hou, J.; Ness, S.S.; Tschudi, J.; O’Farrell, M.; Veddegjerde, R.; Martinsen, Ø.G.; Tønnessen, T.I.; Strand-Amundsen, R. Assessment of Intestinal Ischemia–Reperfusion Injury Using Diffuse Reflectance VIS-NIR Spectroscopy and Histology. Sensors 2022, 22, 9111. https://doi.org/10.3390/s22239111
Hou J, Ness SS, Tschudi J, O’Farrell M, Veddegjerde R, Martinsen ØG, Tønnessen TI, Strand-Amundsen R. Assessment of Intestinal Ischemia–Reperfusion Injury Using Diffuse Reflectance VIS-NIR Spectroscopy and Histology. Sensors. 2022; 22(23):9111. https://doi.org/10.3390/s22239111
Chicago/Turabian StyleHou, Jie, Siri Schøne Ness, Jon Tschudi, Marion O’Farrell, Rune Veddegjerde, Ørjan Grøttem Martinsen, Tor Inge Tønnessen, and Runar Strand-Amundsen. 2022. "Assessment of Intestinal Ischemia–Reperfusion Injury Using Diffuse Reflectance VIS-NIR Spectroscopy and Histology" Sensors 22, no. 23: 9111. https://doi.org/10.3390/s22239111
APA StyleHou, J., Ness, S. S., Tschudi, J., O’Farrell, M., Veddegjerde, R., Martinsen, Ø. G., Tønnessen, T. I., & Strand-Amundsen, R. (2022). Assessment of Intestinal Ischemia–Reperfusion Injury Using Diffuse Reflectance VIS-NIR Spectroscopy and Histology. Sensors, 22(23), 9111. https://doi.org/10.3390/s22239111
        
