Semantically Guided Large Deformation Estimation with Deep Networks
Abstract
1. Introduction
1.1. Contributions
1.2. Related Works
2. Materials and Methods
2.1. Semantic Feature Extraction
2.2. Registration Network
2.3. Experiments
2.3.1. Data Preprocessing
2.3.2. Implementation Details
2.3.3. Evaluation Metric
3. Results and Discussion
3.1. Ablation Study
3.1.1. Single vs. Two-Step Registration
3.1.2. Regularization
3.1.3. Semantically Guided Deformation Estimation
3.1.4. Diffeomorphic Transformation
3.2. Comparison with Other Methods
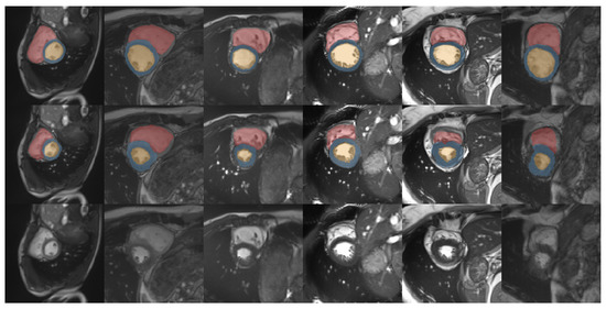
3.3. Medical Cardiac Image Registration
4. Conclusions
Author Contributions
Funding
Conflicts of Interest
References
- Ilg, E.; Mayer, N.; Saikia, T.; Keuper, M.; Dosovitskiy, A.; Brox, T. Flownet 2.0: Evolution of optical flow estimation with deep networks. In Proceedings of the IEEE Conference on Computer Vision and Pattern Recognition (CVPR), Honolulu, HI, USA, 21–26 July 2017; Volume 2, p. 6. [Google Scholar]
- Qin, C.; Bai, W.; Schlemper, J.; Petersen, S.E.; Piechnik, S.K.; Neubauer, S.; Rueckert, D. Joint Learning of Motion Estimation and Segmentation for Cardiac MR Image Sequences. arXiv 2018, arXiv:1806.04066. [Google Scholar]
- Hu, Y.; Modat, M.; Gibson, E.; Ghavami, N.; Bonmati, E.; Moore, C.M.; Emberton, M.; Noble, J.A.; Barratt, D.C.; Vercauteren, T. Label-driven weakly-supervised learning for multimodal deformarle image registration. In Proceedings of the 2018 IEEE 15th International Symposium on Biomedical Imaging (ISBI 2018), Washington, DC, USA, 4–7 April 2018; pp. 1070–1074. [Google Scholar]
- Sun, D.; Yang, X.; Liu, M.Y.; Kautz, J. PWC-Net: CNNs for optical flow using pyramid, warping, and cost volume. In Proceedings of the IEEE Conference on Computer Vision and Pattern Recognition, Salt Lake City, UT, USA, 19–21 June 2018; pp. 8934–8943. [Google Scholar]
- Dosovitskiy, A.; Fischer, P.; Ilg, E.; Hausser, P.; Hazirbas, C.; Golkov, V.; Van Der Smagt, P.; Cremers, D.; Brox, T. Flownet: Learning optical flow with convolutional networks. In Proceedings of the IEEE International Conference on Computer Vision, Santiago, Chile, 13–16 December 2015; pp. 2758–2766. [Google Scholar]
- Rohé, M.M.; Datar, M.; Heimann, T.; Sermesant, M.; Pennec, X. SVF-Net: Learning deformable image registration using shape matching. In Proceedings of the International Conference on Medical Image Computing and Computer-Assisted Intervention, Quebec City, QC, Canada, 11–13 September 2017; pp. 266–274. [Google Scholar]
- Krebs, J.; Mansi, T.; Delingette, H.; Zhang, L.; Ghesu, F.C.; Miao, S.; Maier, A.K.; Ayache, N.; Liao, R.; Kamen, A. Robust non-rigid registration through agent-based action learning. In Proceedings of the International Conference on Medical Image Computing and Computer-Assisted Intervention, Quebec City, QC, Canada, 11–13 September 2017; pp. 344–352. [Google Scholar]
- Sokooti, H.; de Vos, B.; Berendsen, F.; Lelieveldt, B.P.; Išgum, I.; Staring, M. Nonrigid image registration using multi-scale 3D convolutional neural networks. In Proceedings of the International Conference on Medical Image Computing and Computer-Assisted Intervention, Quebec City, QC, Canada, 11–13 September 2017; pp. 232–239. [Google Scholar]
- de Vos, B.D.; Berendsen, F.F.; Viergever, M.A.; Staring, M.; Išgum, I. End-to-end unsupervised deformable image registration with a convolutional neural network. In Deep Learning in Medical Image Analysis and Multimodal Learning for Clinical Decision Support; Springer: Quebec City, QC, Canada, 2017; pp. 204–212. [Google Scholar]
- Li, H.; Fan, Y. Non-rigid image registration using fully convolutional networks with deep self-supervision. arXiv 2017, arXiv:1709.00799. [Google Scholar]
- Jaderberg, M.; Simonyan, K.; Zisserman, A.; Kavukcuoglu, K. Spatial transformer networks. In Advances in Neural Information Processing Systems; Neural Information Processing Systems Foundation, Inc. (NIPS ): Montreal, QC, Canada, 2015; pp. 2017–2025. [Google Scholar]
- Balakrishnan, G.; Zhao, A.; Sabuncu, M.R.; Guttag, J.; Dalca, A.V. VoxelMorph: A learning framework for deformable medical image registration. IEEE Trans. Med. Imaging 2019, 38, 1788–1800. [Google Scholar] [CrossRef] [PubMed]
- Sevilla-Lara, L.; Sun, D.; Jampani, V.; Black, M.J. Optical flow with semantic segmentation and localized layers. In Proceedings of the IEEE Conference on Computer Vision and Pattern Recognition, Las Vegas, NV, USA, 26 June–1 July 2016; pp. 3889–3898. [Google Scholar]
- Hur, J.; Roth, S. Joint optical flow and temporally consistent semantic segmentation. In Proceedings of the European Conference on Computer Vision, Amsterdam, The Netherlands, 8–16 October 2016; pp. 163–177. [Google Scholar]
- Cheng, J.; Tsai, Y.H.; Wang, S.; Yang, M.H. SegFlow: Joint learning for video object segmentation and optical flow. In Proceedings of the 2017 IEEE International Conference on Computer Vision (ICCV), Venice, Italy, 22–29 October 2017; pp. 686–695. [Google Scholar]
- Tsai, Y.H.; Yang, M.H.; Black, M.J. Video segmentation via object flow. In Proceedings of the IEEE Conference on Computer Vision and Pattern Recognition, Las Vegas, NV, USA, 26 June–1 July 2016; pp. 3899–3908. [Google Scholar]
- Ronneberger, O.; Fischer, P.; Brox, T. U-net: Convolutional networks for biomedical image segmentation. In Proceedings of the International Conference on Medical Image Computing and Computer-Assisted Intervention, Munich, Germany, 5–9 October 2015; pp. 234–241. [Google Scholar]
- Rueckert, D.; Sonoda, L.I.; Hayes, C.; Hill, D.L.; Leach, M.O.; Hawkes, D.J. Nonrigid registration using free-form deformations: Application to breast MR images. IEEE Trans. Med. Imaging 1999, 18, 712–721. [Google Scholar] [CrossRef] [PubMed]
- Le, V.; Brandt, J.; Lin, Z.; Bourdev, L.; Huang, T.S. Interactive facial feature localization. In Proceedings of the European Conference on Computer Vision, Florence, Italy, 7–13 October 2012; pp. 679–692. [Google Scholar]
- Bernard, O.; Lalande, A.; Zotti, C.; Cervenansky, F.; Yang, X.; Heng, P.A.; Cetin, I.; Lekadir, K.; Camara, O.; Ballester, M.A.G.; et al. Deep Learning Techniques for Automatic MRI Cardiac Multi-structures Segmentation and Diagnosis: Is the Problem Solved? IEEE Trans. Med. Imaging 2018, 37, 2514–2525. [Google Scholar] [CrossRef] [PubMed]
- Smith, B.M.; Zhang, L.; Brandt, J.; Lin, Z.; Yang, J. Exemplar-based face parsing. In Proceedings of the IEEE Conference on Computer Vision and Pattern Recognition, Portland, OR, USA, 25–27 June 2013; pp. 3484–3491. [Google Scholar]
- Cao, X.; Wei, Y.; Wen, F.; Sun, J. Face alignment by explicit shape regression. Int. J. Comput. Vis. 2014, 107, 177–190. [Google Scholar] [CrossRef]
- Myronenko, A.; Song, X. Point set registration: Coherent point drift. IEEE Trans. Pattern Anal. Mach. Intell. 2010, 32, 2262–2275. [Google Scholar] [CrossRef] [PubMed]
- Balakrishnan, G.; Zhao, A.; Sabuncu, M.R.; Guttag, J.; Dalca, A.V. An Unsupervised Learning Model for Deformable Medical Image Registration. In Proceedings of the IEEE Conference on Computer Vision and Pattern Recognition, Granada, Spain, 16–20 September 2018; pp. 9252–9260. [Google Scholar]
- Krebs, J.; Mansi, T.; Mailhé, B.; Ayache, N.; Delingette, H. Unsupervised Probabilistic Deformation Modeling for Robust Diffeomorphic Registration. In Deep Learning in Medical Image Analysis and Multimodal Learning for Clinical Decision Support; Springer: Granada, Spain, 2018; pp. 101–109. [Google Scholar]
- Lorenzi, M.; Ayache, N.; Frisoni, G.B.; Pennec, X. Alzheimer’s Disease Neuroimaging Initiative (ADNI). LCC-Demons: A robust and accurate symmetric diffeomorphic registration algorithm. NeuroImage 2013, 81, 470–483. [Google Scholar] [CrossRef] [PubMed]








| Method | Dice (%) | Contour Distance (px) | Jacobian Std. | Jacobian Negatives | Inference Time (s/img) |
|---|---|---|---|---|---|
| no registration | 23.0 | 15.55 | - | - | - |
| ESR ([22]) + CPD ([23]) | 65.6 | 1.96 | 0.154 | - | - |
| B-Spline FlowNet | 49.4 | 5.96 | 0.579 | 0.03124 | ≈0.007 |
| FlowNet w/ smaller images ([1]) | 30.6 | 12.83 | - | - | - |
| ours (without guidance, ∼[3]) | 55.5 | 5.41 | 0.257 | 0.00062 | ≈0.007 |
| ours (shared RegNet weights, ∼[2]) | 60.4 | 5.02 | 0.269 | 0.00061 | ≈0.007 |
| ours (diffeomorphic) | 52.0 | 5.66 | 0.240 | 0.00062 | ≈0.007 |
| ours (poly-affine) | 65.8 | 3.95 | 0.281 | 0.00093 | ≈0.024 |
| ours | 66.0 | 4.01 | 0.285 | 0.00106 | ≈0.007 |
| Unregistered | LCC-Demons [26] | Voxel-Morph [24] | Krebs et al. [25] | Ours | |
|---|---|---|---|---|---|
| R.V. | 65.1 | 70.6 | 68.1 | 68.4 | 77.4 |
| L.V. | 66.0 | 77.6 | 74.3 | 75.6 | 82.5 |
| Myocard | 52.5 | 73.0 | 69.7 | 70.4 | 73.4 |
| Mean | 61.2 | 73.7 | 70.7 | 71.5 | 77.8 |
© 2020 by the authors. Licensee MDPI, Basel, Switzerland. This article is an open access article distributed under the terms and conditions of the Creative Commons Attribution (CC BY) license (http://creativecommons.org/licenses/by/4.0/).
Share and Cite
Ha, I.Y.; Wilms, M.; Heinrich, M. Semantically Guided Large Deformation Estimation with Deep Networks. Sensors 2020, 20, 1392. https://doi.org/10.3390/s20051392
Ha IY, Wilms M, Heinrich M. Semantically Guided Large Deformation Estimation with Deep Networks. Sensors. 2020; 20(5):1392. https://doi.org/10.3390/s20051392
Chicago/Turabian StyleHa, In Young, Matthias Wilms, and Mattias Heinrich. 2020. "Semantically Guided Large Deformation Estimation with Deep Networks" Sensors 20, no. 5: 1392. https://doi.org/10.3390/s20051392
APA StyleHa, I. Y., Wilms, M., & Heinrich, M. (2020). Semantically Guided Large Deformation Estimation with Deep Networks. Sensors, 20(5), 1392. https://doi.org/10.3390/s20051392

