A Simple, Low Cost, Sensitive, and Portable Electrochemical Immunochromatography Sensing Device to Measure Estrone-3-Sulfate
Abstract
1. Introduction
2. Materials and Methods
2.1. Reagents and Apparatus
2.2. Electrochemical Immunochromatography Platform
2.3. Enzyme-Linked Immunosorbent Assay
2.4. Electrochemical Immunochromatography
3. Results and Discussion
3.1. ELISA
3.2. Electrochemical Immunochromatography Measurement
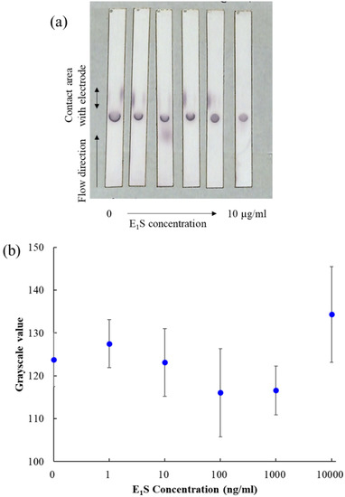
3.3. Colorimetric Evaluation of Electrochemical Immunochromatography Measurement
4. Conclusions
Author Contributions
Funding
Conflicts of Interest
References
- Butler, W.R. Review: Effect of protein nutrition on ovarian and uterine physiology in dairy cattle. J. Dairy Sci. 1998, 81, 2533–2539. [Google Scholar] [CrossRef]
- Lucy, M.C. ADSA Foundation Scholar Award—Reproductive loss in high-producing dairy cattle: Where will it end? J. Dairy Sci. 2001, 84, 1277–1293. [Google Scholar] [CrossRef]
- Takahashi, T.; Hirako, M.; Takahashi, H.; Patel, O.V.; Takenouchi, N.; Domeki, I. Maternal plasma estrone sulfate profile during pregnency in the cow; Comparison between singleton and twin pregnancies. J. Vet. Med. Sci. 1997, 59, 287–288. [Google Scholar] [CrossRef] [PubMed]
- Hirako, M.; Takahashi, H.; Domeki, I. Establishment of a reliable extraction method of estrone sulfate from bovine plasma for detection of the peripheral level during the regular estrous cycle by radioimmunoassay. Domest. Anim. Endocrinol. 1996, 13, 187–195. [Google Scholar] [CrossRef]
- Goudet, G.; Nadal-Desbarats, L.; Douet, C.; Savoie, J.; Staub, C.; Venturi, E.; Ferchaud, S.; Boulot, S.; Prunier, A. Salivary and urinary metabolome analysis for pre-puberty-related biomarkers identification in porcine. Animal 2018, 13, 760–770. [Google Scholar] [CrossRef] [PubMed]
- Song, H.; Wang, Y.; Zhang, L.; Tian, L.; Luo, J.; Zhao, N.; Han, Y.; Zhao, F.; Ying, X.; Li, Y. An ultrasensitive and selective electrochemical sensor for determination of estrone 3-sulfate sodium salt based on molecularly imprinted polymer modified carbon paste electrode. Anal. Bioanal. Chem. 2017, 409, 6509–6519. [Google Scholar] [CrossRef] [PubMed]
- Martinez, A.W.; Phillips, S.T.; Butte, M.J.; Whitesides, G.M. Patterned paper as a platform for inexpensive, low-volume, portable bioassays. Angew. Chem. Int. Ed. 2007, 46, 1318–1320. [Google Scholar] [CrossRef] [PubMed]
- Cheng, C.-M.; Martinez, A.W.; Gong, J.; Mace, C.R.; Phillips, S.T.; Carrilho, E.; Mirica, K.A.; Whitesides, G.M. Paper-based ELISA. Angew. Chem. Int. Ed. 2010, 49, 4771–4774. [Google Scholar] [CrossRef] [PubMed]
- Nie, Z.; Deiss, F.; Liu, X.; Akbulut, O.; Whitesides, G.M. Integration of paper-based microfluidic devices with commercial electrochemical readers. Lab Chip 2010, 10, 3163–3169. [Google Scholar] [CrossRef] [PubMed]
- Yetisen, A.K.; Akram, M.S.; Lowe, C. Paper-based microfluidic point-of-care diagnostic devices. Lab Chip 2013, 13, 2210. [Google Scholar] [CrossRef] [PubMed]
- Kiba, Y.; Otani, Y.; Yasukawa, T.; Mizutani, F. Electrochemical detection of redox species flowing in a nitrocellulose membrane and application to quantitative immunochromatography. Electrochim. Acta 2012, 81, 14–19. [Google Scholar] [CrossRef]
- Yasukawa, T.; Kiba, Y.; Mizutani, F. A dual electrochemical sensor based on a test-strip assay for the quantitative determination of albumin and creatinine. Anal. Sci. 2015, 31, 583–589. [Google Scholar] [CrossRef] [PubMed]
- Fu, L.-M.; Wang, Y.-N. Detection methods and applications of microfluidic paper-based analytical devices. Trac-Trends Anal. Chem. 2018, 107, 196–211. [Google Scholar] [CrossRef]
- Feng, Q.-M.; Cai, M.; Shi, C.-G.; Bao, N.; Gu, H.-Y. Integrated paper-based electroanalytical devices for determination of dopamine extracted from striatum of rat. Sens. Actuators B Chem. 2015, 209, 870–876. [Google Scholar] [CrossRef]
- Primpray, V.; Chailapakul, O.; Tokeshi, M.; Rojanarata, T.; Laiwattanapaisal, W. A paper-based analytical device coupled with electrochemical detection for the determination of dexamethasone and prednisolone in adulterated traditional medicines. Anal. Chim. Acta 2019, 1078, 16–23. [Google Scholar] [CrossRef] [PubMed]
- Iwasaki, W.; Sathuluri, R.R.; Niwa, O.; Miyazaki, M. Influence of contact force on electrochemical responses of redox species flowing in nitrocellulose membrane at micropyramid array electrode. Anal. Sci. 2015, 31, 729–732. [Google Scholar] [CrossRef] [PubMed]
- Iwasaki, W.; Sathuluri, R.R.; Kurita, R.; Niwa, O.; Miyazaki, M. Effects of electrode placement and measurement time on electrochemical signal of redox species flowing through porous material. Sens. Mater. 2016, 28, 1329–1335. [Google Scholar]
- Apilux, A.; Dungchai, W.; Siangproh, W.; Praphairaksit, N.; Henry, C.S.; Chailapakul, O. Lab-on-paper with dual electrochemical/colorimetric detection for simultaneous determination of gold and iron. Anal. Chem. 2010, 82, 1727–1732. [Google Scholar] [CrossRef] [PubMed]
- Pavithra, M.; Muruganand, S.; Parthiban, C. Development of novel paper based electrochemical immunosensor with self-made gold nanoparticle ink and quinone derivate for highly sensitive carcinoembryonic antigen. Sens. Actuators B Chem. 2018, 257, 496–503. [Google Scholar] [CrossRef]
- Bard, A.J.; Faulkner, L.R. Electrochemical Methods, Fundamentals and Applications, 2nd ed.; John Wiley and Sons: New York, NY, USA; Chichester, UK; Weinheim, Germany; Brisbane, Australia; Singapore; Toronto, QC, Canada, 2001. [Google Scholar]
- Martinez, A.W.; Phillips, S.T.; Carrilho, E.; Thomas, S.W.; Sindi, H.; Whitesides, G.M. Simple telemedicine for developing regions: Camera phones and paper-based microfluidic devices for real-time, off-site diagnosis. Anal. Chem. 2008, 80, 3699–3707. [Google Scholar] [CrossRef] [PubMed]





© 2020 by the authors. Licensee MDPI, Basel, Switzerland. This article is an open access article distributed under the terms and conditions of the Creative Commons Attribution (CC BY) license (http://creativecommons.org/licenses/by/4.0/).
Share and Cite
Iwasaki, W.; Kataoka, C.; Sawadaishi, K.; Suyama, K.; Morita, N.; Miyazaki, M. A Simple, Low Cost, Sensitive, and Portable Electrochemical Immunochromatography Sensing Device to Measure Estrone-3-Sulfate. Sensors 2020, 20, 4781. https://doi.org/10.3390/s20174781
Iwasaki W, Kataoka C, Sawadaishi K, Suyama K, Morita N, Miyazaki M. A Simple, Low Cost, Sensitive, and Portable Electrochemical Immunochromatography Sensing Device to Measure Estrone-3-Sulfate. Sensors. 2020; 20(17):4781. https://doi.org/10.3390/s20174781
Chicago/Turabian StyleIwasaki, Wataru, Chiwa Kataoka, Kazuyuki Sawadaishi, Keitaro Suyama, Nobutomo Morita, and Masaya Miyazaki. 2020. "A Simple, Low Cost, Sensitive, and Portable Electrochemical Immunochromatography Sensing Device to Measure Estrone-3-Sulfate" Sensors 20, no. 17: 4781. https://doi.org/10.3390/s20174781
APA StyleIwasaki, W., Kataoka, C., Sawadaishi, K., Suyama, K., Morita, N., & Miyazaki, M. (2020). A Simple, Low Cost, Sensitive, and Portable Electrochemical Immunochromatography Sensing Device to Measure Estrone-3-Sulfate. Sensors, 20(17), 4781. https://doi.org/10.3390/s20174781

