Genetic Diversity of Peach (Prunus persica) Accessions Collected in Northern Vietnam Using ISSR Markers
Abstract
1. Introduction
2. Materials and Methods
2.1. Plant Materials
2.2. DNA Extraction
2.3. PCR Amplification
2.4. Data Analysis
3. Results
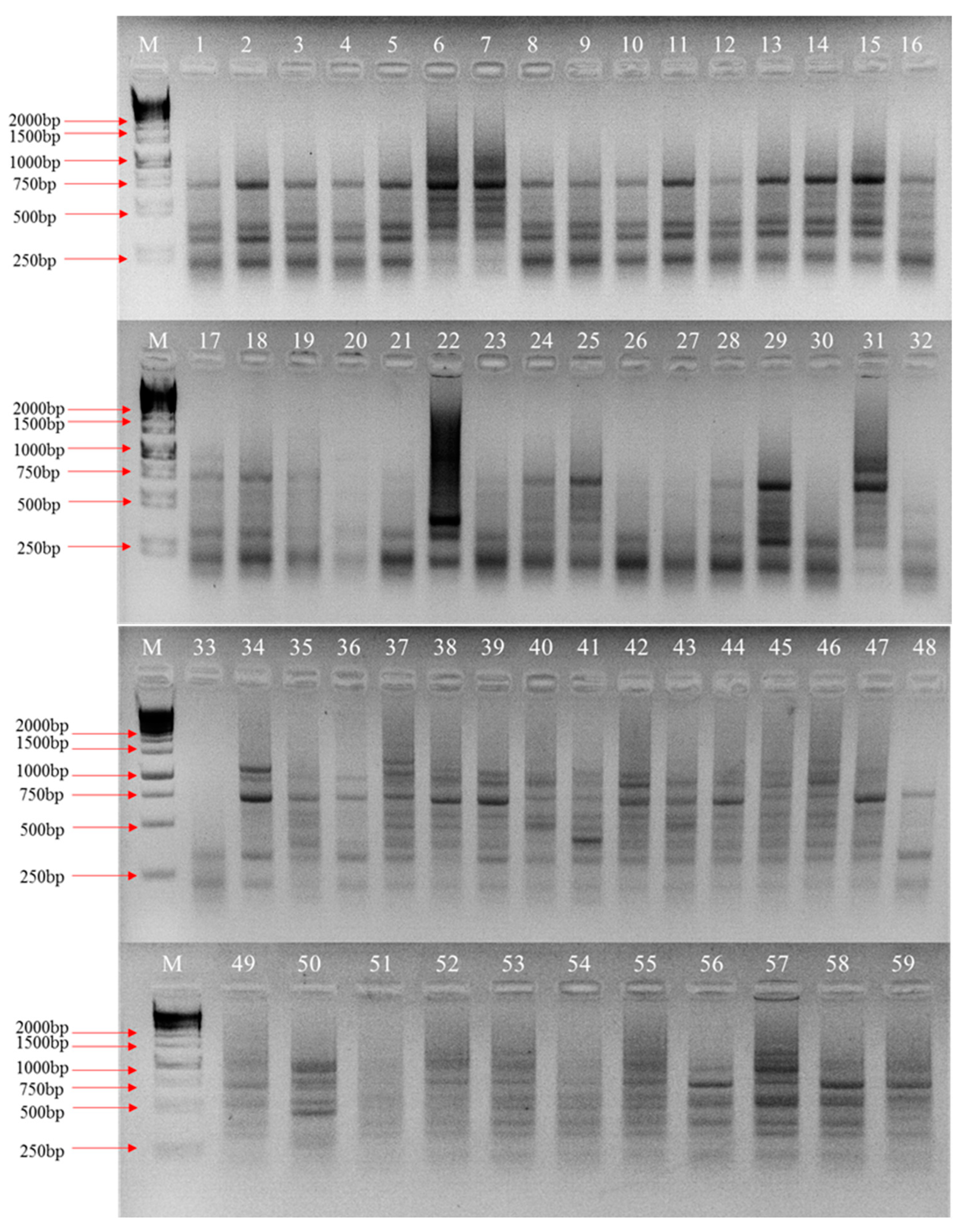
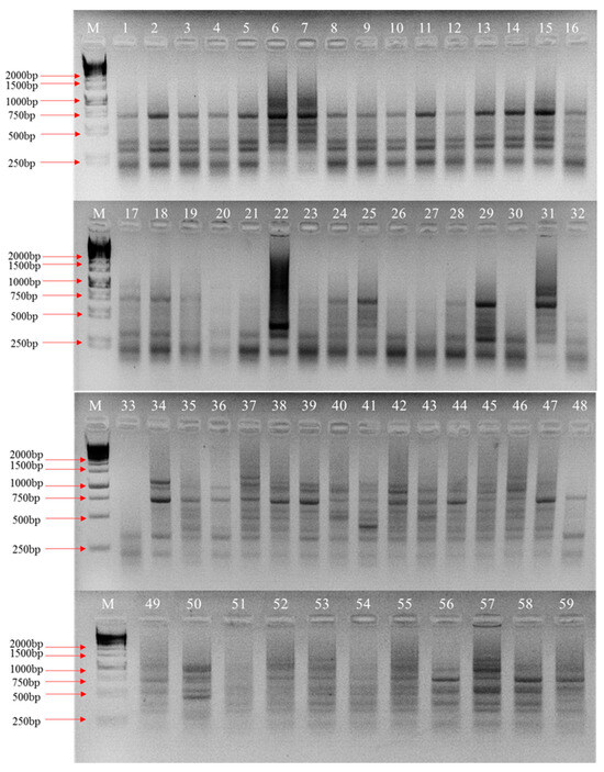
3.1. ISSR Primer Screening and Polymorphism
3.2. Clustering Analyses
3.3. Correlation Analysis Between Geographic and Genetic Distances
4. Discussion
5. Conclusions
Supplementary Materials
Author Contributions
Funding
Institutional Review Board Statement
Data Availability Statement
Acknowledgments
Conflicts of Interest
References
- Wu, H.; Xu, Y.; Wang, H.; Miao, Y.; Li, C.; Zhao, R.; Shi, X.; Wang, B. Physicochemical characteristics, antioxidant activities, and aroma compound analysis of ceven Peach cultivars (Prunus persica L. Batsch) in Shihezi, Xinjiang. Foods 2022, 11, 2944. [Google Scholar] [CrossRef] [PubMed]
- Basayigit, L.; Dedeoglu, M.; Akgul, H. The prediction of iron contents in orchards using VNIR spectroscopy. Turk. J. Agric. For. 2015, 39, 123–134. [Google Scholar] [CrossRef]
- Khomich, L.M.; Perova, I.B.; Eller, K.I. Peach juice-puree nutritional profile. Vopr. Pitan 2019, 88, 100–109. [Google Scholar]
- Gil, M.I.; Tomas-Barberan, F.A.; Hess-Pierce, B.; Kader, A.A. Antioxidant capacities, phenolic compounds, carotenoids, and vitamin C contents of nectarine, peach, and plum cultivars from California. J. Agric. Food Chem. 2002, 50, 4976–4982. [Google Scholar] [CrossRef]
- Rossato, S.B.; Haas, C.; Raseira Mdo, C.; Moreira, J.C.; Zuanazzi, J.A. Antioxidant potential of peels and fleshes of peaches from different cultivars. J. Med. Food 2009, 12, 1119–1126. [Google Scholar] [CrossRef] [PubMed]
- Zhao, X.; Zhang, W.; Yin, X.; Su, M.; Sun, C.; Li, X.; Chen, K. Phenolic composition and antioxidant properties of different peach Prunus persica (L.) Batsch cultivars in China. Int. J. Mol. Sci. 2015, 16, 5762–5778. [Google Scholar] [CrossRef] [PubMed]
- Kono, R.; Okuno, Y.; Nakamura, M.; Inada, K.I.; Tokuda, A.; Yamashita, M.; Hidaka, R.; Utsunomiya, H. Peach (Prunus persica) extract inhibits angiotensin II-induced signal transduction in vascular smooth muscle cells. Food Chem. 2013, 139, 371–376. [Google Scholar] [CrossRef] [PubMed]
- Yan, W.; Li, J.; Zheng, D.; Friedman, C.; Wang, H. Analysis of genetic population structure and diversity in Mallotusobl ongifolius using ISSR and SRAP markers. PeerJ 2019, 7, e7173. [Google Scholar] [CrossRef] [PubMed]
- Sharma, P.; Sharma, R. DNA fingerprinting of peach (Prunus persica) germplasm in accessing genetic variation using arbitrary oligonucleotide markers system. Indian J. Biotechnol. 2018, 17, 484–491. [Google Scholar]
- Li, W.; Ma, Y.; Kou, Y.; Zeng, Z.; Qiu, D. Analysis of genetic diversity and relationships between late-mature peach (Prunus persica L.) varieties assessed with ISSR and SRAP markers. Fruit Res. 2023, 3, 36. [Google Scholar] [CrossRef]
- Yamamoto, T.; Mochida, K.; Imai, T.; Shi, Y.Z.; Ogiwara, I.; Hayashi, T. Microsatellite markers in peach [Prunus persica (L.) Batsch] derived from an enriched genomic and cDNA libraries. Mol. Ecol. Notes 2002, 2, 298–301. [Google Scholar] [CrossRef]
- Butiuc-Keul, A.; Coste, A.; Postolache, D.; Laslo, V.; Halmagyi, A.; Cristea, V.; Farkas, A. Molecular Characterization of Prunus Cultivars from Romania by Microsatellite Markers. Horticulturae 2022, 8, 291. [Google Scholar] [CrossRef]
- Lu, Z.; Pan, L.; Wei, B.; Niu, L.; Cui, G.; Wang, L.; Zeng, W.; Wang, Z. Fine Mapping of the Gene Controlling the Fruit Skin Hairiness of Prunus persica and Its Uses for MAS in Progenies. Plants 2021, 10, 1433. [Google Scholar] [CrossRef] [PubMed]
- Huang, J.; Qin, Y.; Miao, H.; Zhang, C.; Ye, Z. Molecular marker analysis of ‘Shatangju’ and ‘Wuzishatangju’ mandarin (Citrus reticulata Blanco). Afr. J. Biotechnol. 2012, 11, 15501–15509. [Google Scholar] [CrossRef]
- Shen, J.; Sun, Z.; Hou, S.; Liu, R.; Wang, Y. Assessment of genetic diversity in Ziziphus jujube Mill. cultivars derived from northern China using inter-simple sequence repeat markers. Crop Sci. 2020, 60, 320–329. [Google Scholar] [CrossRef]
- Uzun, A.; Ozongun, S.; Gulsen, O.; Yılmaz, K.U.; Kaymak, S. Determination of genetic relatedness among Turkish apple germplasm based on ISSR markers. J. Appl. Bot. Food Qual. 2016, 89, 82–88. [Google Scholar]
- Tian, Y.; Xing, C.; Cao, Y.; Wang, C.; Guan, F.; Li, R.; Meng, F. Evaluation of genetic diversity on Prunus mira Koehne by using ISSR and RAPD markers. Biotechnol. Biotechnol. Equip. 2015, 29, 1053–1061. [Google Scholar] [CrossRef]
- Wen, L.; Wang, Y.; Deng, Q.; He, S.; Huang, Y. Identification of a yellow-flesh sport of piqiutao peach (Prunus Persica) using ISSR and SRAP markers. Genom. Appl. Biol. 2020, 39, 5180–5185. [Google Scholar]
- Demirel, S.; Pehluvan, M.; Aslantaş, R. Evaluation of genetic diversity and population structure of peach (Prunus persica L.) genotypes using inter-simple sequence repeat (ISSR) markers. Genet. Resour. Crop Evol. 2024, 71, 1301–1312. [Google Scholar] [CrossRef]
- Serrote, C.M.L.; Reiniger, L.R.S.; Silva, K.B.; Rabaiolli, S.M.D.S.; Stefanel, C.M. Determining the polymorphism information content of a molecular marker. Gene 2020, 726, 144175. [Google Scholar] [CrossRef]
- Rohlf, F.J. NTSYS Pc: Numerical Taxonomy System, Version 2.1; Exeter Publishing: Setauket, NY, USA, 2002. [Google Scholar]
- Ramzan, M.; Sarwar, S.; Kauser, N.; Saba, R.; Hussain, I.; Shah, A.A.; Aslam, M.N.; Alkahtani, J.; Alwahibi, M.S. Assessment of Inter simple sequence repeat (ISSR) and simple sequence repeat (SSR) markers to reveal genetic diversity among Tamarix ecotypes. J. King Saud Univ. Sci. 2020, 32, 3437–3446. [Google Scholar] [CrossRef]
- Hu, D.; Zhang, Z.; Zhang, Q.; Zhang, D.; Li, J. Ornamental peach and its genetic relationships revealed by inter simple sequence repeat (ISSR) fingerprints. Acta Hortic. 2006, 713, 113–120. [Google Scholar] [CrossRef]
- Drogoudi, P.; Pantelidis, G.; Karapetsi, L.; Ziakou, K.; Kazantzis, K.; Madesis, P.; Thomidis, T. Exploring the Genetic and Morphological Variation and Disease Resistance in Local and Foreign Prunus persica (L.) Batsch Cultivars. Agriculture 2023, 13, 800. [Google Scholar] [CrossRef]
- Aranzana, M.J.; Abbassi, E.K.; Howad, W.; Arús, P. Genetic variation, population structure and linkage disequilibrium in peach commercial varieties. BMC Genet. 2010, 11, 69. [Google Scholar] [CrossRef] [PubMed]
- Pérez, V.; Larrañaga, N.; Abdallah, D.; Wünsch, A.; Hormaza, J.I. Genetic Diversity of Local Peach (Prunus persica) Accessions from La Palma Island (Canary Islands, Spain). Agronomy 2020, 10, 457. [Google Scholar] [CrossRef]
- Li, T.; Liu, J.; Xie, Y.; Wang, Q.; Meng, F. Analysis of genetic diversity in Prunus mira Koehne ex Sargent populations using AFLP markers. Plant Syst. Evol. 2014, 300, 475–482. [Google Scholar] [CrossRef]
- Trifonova, A.A.; Boris, K.V.; Mesyats, N.V.; Tsiupka, V.A.; Smykov, A.V.; Mitrofanova, I.V. Genetic Diversity of Peach Cultivars from the Collection of the Nikita Botanical Garden Based on SSR Markers. Plants 2021, 10, 2609. [Google Scholar] [CrossRef] [PubMed]




| Primers | Sequence (5′-3′) | Size (bp) | Total of Alleles | Polymorphism Alleles | Polymorphisim (%) | PIC Value |
|---|---|---|---|---|---|---|
| ISSR1 | 200–1000 | 8 | 6 | 75 | 0.26 | |
| ISSR3 | 200–2000 | 10 | 8 | 80 | 0.18 | |
| ISSR4 | 200–1000 | 7 | 7 | 100 | 0.3 | |
| ISSR8 | 200–1500 | 11 | 11 | 100 | 0.26 | |
| ISSR11 | RC | 200–2000 | 14 | 14 | 100 | 0.3 |
| ISSR14 | YG | 200–1500 | 11 | 11 | 100 | 0.27 |
Disclaimer/Publisher’s Note: The statements, opinions and data contained in all publications are solely those of the individual author(s) and contributor(s) and not of MDPI and/or the editor(s). MDPI and/or the editor(s) disclaim responsibility for any injury to people or property resulting from any ideas, methods, instructions or products referred to in the content. |
© 2025 by the authors. Licensee MDPI, Basel, Switzerland. This article is an open access article distributed under the terms and conditions of the Creative Commons Attribution (CC BY) license (https://creativecommons.org/licenses/by/4.0/).
Share and Cite
Tran, D.H.; Dao, T.H.; Ngo, X.B.; Nguyen, V.H.; Dao, T.V.; Nguyen, T.D. Genetic Diversity of Peach (Prunus persica) Accessions Collected in Northern Vietnam Using ISSR Markers. Diversity 2025, 17, 151. https://doi.org/10.3390/d17030151
Tran DH, Dao TH, Ngo XB, Nguyen VH, Dao TV, Nguyen TD. Genetic Diversity of Peach (Prunus persica) Accessions Collected in Northern Vietnam Using ISSR Markers. Diversity. 2025; 17(3):151. https://doi.org/10.3390/d17030151
Chicago/Turabian StyleTran, Dinh Ha, Thanh Huyen Dao, Xuan Binh Ngo, Van Hong Nguyen, Thanh Van Dao, and Tien Dung Nguyen. 2025. "Genetic Diversity of Peach (Prunus persica) Accessions Collected in Northern Vietnam Using ISSR Markers" Diversity 17, no. 3: 151. https://doi.org/10.3390/d17030151
APA StyleTran, D. H., Dao, T. H., Ngo, X. B., Nguyen, V. H., Dao, T. V., & Nguyen, T. D. (2025). Genetic Diversity of Peach (Prunus persica) Accessions Collected in Northern Vietnam Using ISSR Markers. Diversity, 17(3), 151. https://doi.org/10.3390/d17030151

