Abstract
The box jellyfish Chiropsalmus quadrumanus (Chirodropida: Cubozoa: Cnidaria) is common in warm waters. Although it is assumed that external fertilization is a characteristic of Chirodropida, the life history of C. quadrumanus is not yet known since its reproductive behavior has never been described, nor has the polyp has been found in nature. As a result, in the absence of documentation of reproductive behavior, we sought to test the hypothesis of external fertilization through a histological analysis of the female gonads. Herein, we analyze ten females collected in São Paulo and Rio de Janeiro (Brazil) and describe the gonadal organization and pattern of oocyte development. The discovery of four distinct stages of oocyte differentiation augments the scant existing reports of the structural and functional maturation of sex cells in Cubozoa species. Furthermore, the gonads of mature females comprise both mature (average diameter of 122 µm) and immature oocytes, suggesting that C. quadrumanus is iteroparous and exhibits multiple reproductive cycles during its life. Medusa bell size was not found to correlate with maturity state as even small females possessed a high percentage of oocytes in late vitellogenesis, suggesting that sexual maturation occurs rapidly in C. quadrumanus females.
Keywords:
oocyte; medusa; box jellyfish; fertilization; oogenesis; differentiation gradient; seasonality 1. Introduction
Reproductive studies in Cubozoa (box jellyfish) are hampered because reports of their jellyfish (cubomedusae) or medusoid form often refer to sightings of a single individual [1] or a limited (seasonal) reproductive period [2,3], and many species are notoriously venomous to humans, making cubomedusae challenging to collect [4]. Cubozoans, like many medusozoans (jellyfishes), have complex metagenetic life cycles, metamorphosing from a sessile polyp stage (asexual larval stage) into the characteristic, free-swimming medusa (sexual adult stage) [5,6,7]. Asexual polypoid reproduction is favorable under certain environmental conditions because it allows for a rapid increase in the number of clonal medusozoan individuals; this is also the case for other bi- or multiphasic marine invertebrates [8,9]. Meanwhile, in marine invertebrates, sexual reproduction, which generates genetic novelties via mixing genotypes, is triggered by specific environmental and genetic factors [8], many of which are undetermined. Unfortunately, female gonadal maturation (oogenesis), reproductive strategies and dynamics, and fertilization modes are particularly understudied in cubozoans [10]. This lack of knowledge limits actions to monitor cubozoan populations with the aim of managing the influence of cubomedusae on tourism and recreation while at the same time considering biodiversity conservation and public safety.
The accumulated knowledge on the sexual reproduction of cubomedusae is derived from seminal lab studies on five species of Carybdeida (Alatina alata (Reynaud, 1830) [3,11,12]; Carybdea marsupialis (Linnaeus, 1758) [13]; Copula sivickisi (Stiasny, 1926) [12,14,15,16,17]; Morbakka virulenta (Kishinouyea, 1910) [18]; Tamoya haplonema F. Müller, 1859 [19,20]) and two species of Chirodropida (Chironex fleckeri Southcott, 1956 [21,22], and Chiropsalmus quadrumanus (F. Müller, 1859) [19]). The sexual behaviors of a few species have been described from the field (e.g., [3,23,24]) or from tank observations (e.g., [15,25]), proving the difficulty of performing in situ observations as cubomedusae are active swimmers [26,27] with long tentacles and the ability to avoid obstacles [27] using their complex eyes [28,29]. Accordingly, only Tripedalia cystophora Conant, 1897, a mild stinger and the second smallest cubomedusan species, has been reared to sexual maturity in vitro (cf. [30]). Therefore, mechanisms of gametogenesis and reproductive behaviors in this small class are often inferred via methods of histomorphology rather than relying exclusively on in situ observations.
The mode of fertilization in cubomedusae can be external or internal depending on the species, but external fertilization is considered plesiomorphic in marine invertebrates (cf. [31]). External fertilization is considered typical for Chirodropida based on scant reports for just two species, C. fleckeri [21] and C. quadrumanus [19]. In contrast, internal fertilization is considered a synapomorphy of Carybdeida [2] and is well documented for two species of Tripedaliidae (C. sivickisi and T. cystophora) that exhibit complex reproductive behaviors involving spermatophore transfer [14,15,16,23,32,33]. However, reports of external fertilization for M. virulenta (Carukiidae) [18] cast doubts on the universality of internal fertilization in Carybdeida. Regarding periodicity, most cubomedusae are considered seasonal spawners based on the few reports of reproductive events witnessed in the field (e.g., C. marsupialis [34]; C. fleckeri [35]; C. sivickisi [15]). However, the scattered knowledge about carybdeid species makes it difficult to establish either semelparity or iteroparity as a universal pattern at the level of class or even order. For example, A. alata medusae reproduce during monthly spermcasting aggregations in which the entire gonad tissue ruptures and the reproductive cells are released [36]; it may be unique among cubozoans as a semelparous species (for references on iteroparous cubomedusae, see [19,20]).
In many gonochoristic marine organisms, sexual dimorphism can be exhibited in the form of marked phenotypic differences between males and females (e.g., in body size, color, and shape), but a disproportionate focus on a handful of “model” species has led to a skewed representation of the underlying mechanisms of the evolution of different modes of reproduction (reviewed by [8]). In cubozoans, although all species are gonochoristic, only species of Tripedaliidae exhibit sexual dimorphism with respect to gonadal shape, development, and/or color (e.g., C. sivickisi [15,16,17,37,38] and T cystophora [23,32,37]). During gametogenesis, male and female cubomedusae develop their gonads (defined as the “area where gametes are formed” by [39], p. 142) from endodermal tissue in the bell [39,40,41,42,43]. In most cubomedusae, subtle phenotypic variation between males and females typically occurs at the level of reproductive tissues and in germ cell morphology [19,37,44]. However, reports of sexually dimorphic gonadal morphologies and patterns of gametogenesis are limited to cubomedusae that exhibit internal fertilization and exhibit sperm “packet” transfer [12], suggesting the potential for gonad morphology to infer reproductive modes in Cubozoa.
Recent histomorphological studies have elucidated spermatogenesis in several species of cubomedusae [19,20], but studies concerning oogenesis are limited to C. marsupialis [13] and C. sivickisi (as Carybdea sivickisi [15,17]). Most recently, oogenesis was reported in Carybdea murrayana Haeckel, 1880 (as Carybdea branchi [45]) from southern African waters, and a “maturation scale” for female sex cells was established for the first time in the class. During the process of vitellogenesis, oocytes accumulate yolk protein granules and subsequently increase in diameter. Oocyte maturation patterns corresponded to significant egg size differences documented during the oogenesis of a single cubozoan species, viz. C. murrayana [45]. Nevertheless, scarce information on egg size and its relation to cubomedusae maturity precludes the ability to establish a baseline of sexual maturation related to reproductive season for the 50 estimated species.
Herein, we report on the hitherto obscure reproductive strategy of the chirodropid species C. quadrumanus (Chirodropida, Chiropsalmidae), a relatively common species in the western tropical Atlantic from Brazil to the USA [46,47,48,49,50]. Chiropsalmus quadrumanus is represented by conspicuous cubomedusae (with a bell height of 10 cm and a width of 12 cm on average) which are poorly studied; for instance, a mere three sightings have been reported in the literature in the past decade [19,20,51]. This species’ mode of fertilization was previously suggested to be external [19,20], but no evidence supports this claim as the life cycle and cubopolyp location in nature remain undetermined. Herein, we carry out a histolomorphological analysis to elucidate an oocyte structural maturation “scale” in a chirodropid species for the first time while aiming to infer the sexual reproductive strategy and contemplate previous reports speculating on the fertilization mode of this species. We also refute the hypothesis that sexual maturity in all cubomedusae can be inferred accurately by bell size [15,16], as our outcomes for C. quadrumanus fail to align with previous findings on carybdeid species.
2. Materials and Methods
2.1. Material Samples
Medusae of C. quadrumanus have been collected in the field at typical marine ecosystem salinities (20–30‰) and at shallow depths ranging from 5 m to 10 m. In the northern hemisphere, specimens have been found during the summer (May–August) [52,53] and sometimes in the fall (September) (e.g., Matagorda Bay, Texas [54]). Conversely, in the southern hemisphere (e.g., Brazil), specimens have been collected during the winter, in the dry season (July–August) [20], and sometimes during spring (March–April) [19].
In this study, we analyzed 10 females (Table 1) collected via trawling from a depth of 5 m to 40 m during the dry season (April to September) in 2008, 2010, and 2014. The specimens were collected from the São Sebastião Channel (São Paulo State, n = 2), Santos Bay and São Vicente (São Paulo State, n = 2), and Macaé (Rio de Janeiro State, n = 6) (Table 1). The medusae were fixed in 10% formaldehyde solution in seawater. The bell height (BH, from the apex of the umbrella to the margin) and interpedalial distance (IPD, distance along the bell margin between alternate pedalia) were measured for all specimens (cf. [45,55]) (Figure 1A) (Table 1). All necessary approvals for the sampling of specimens were obtained (sampling permit 16802 SISBIO/ICMBIO—Instituto Chico Mendes de Conservação da Biodiversidade). The specimens from Macaé were deposited in the collection of the Museum of Zoology (MZ), and the remaining specimens were deposited in the Marine Evolution Lab (MEL), both belonging to the University of São Paulo (Table 1).
Table 1.
Material data for Chiropsalmus quadrumanus females examined in this study. Abbreviation: MEL: Marine Evolution Lab; MZUSP: Museum of Zoology of the University of São Paulo; RJ: Rio de Janeiro; SP: São Paulo.
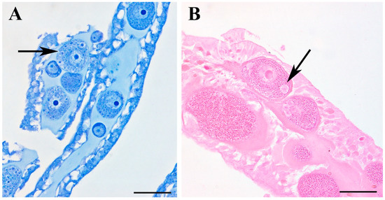
Figure 1.
(A). Chiropsalmus quadrumanus live specimen [20]. (B,C). Gonadal transversal sections of females of C. quadrumanus from São Sebastião Channel bearing oocytes in the four different stages of development. (B). Specimen (CH6, Table 1) stained with hematoxylin–eosin (HE). (C). Specimen (CH2, Table 1) stained with toluidine blue (TB). Scale bars 50 µm. BH—bell height; IPD—interpedalial distance; g—gonads; Oiii—late-vitellogenic oocyte; Oii—mid-vitellogenic oocyte; Oi—early-vitellogenic oocyte; P—pre-vitellogenic oocyte.
2.2. Maturity of Specimens
Chiropsalmus quadrumanus has eight hemi-gonads arranged in four pairs, with each pair located at interradial septa [50]. Mature female medusae were distinguished based on the microscopic observation of oocytes, characterized by white spheres in the female gonads. Sexual maturity was inferred by the presence of more than 15% of gonadal oocytes in the late vitellogenic stage (Oiii) (cf. [45,56]). We propose a maturity scale for the different oocyte developmental states observed in our samples, following the scale proposed for Carybdea murrayana (as Carybdea branchi [45]), based on oocyte diameter and quantity of yolk.
2.3. Histological Analysis
Several fragments over the entire length of each gonad were dissected individually using forceps. The samples were fixed with formalin 4%, dehydrated in an ethanol series, and embedded in glycol methacrylate using the Leica Historesin Embedding Kit (Leica Microsystems Nussloch GmbH, Germany), following the manufacturer’s protocol. The embedded material was cut into 5 µm transversal sections with a Leica RM2255 microtome, with ca. 12 sections set per slide (ca. 60 µm of gonad tissue); each gonad subsample was accommodated on 6–8 slides (i.e., ca. 480 µm of gonadal tissue). The slides were stained with hematoxylin–eosin (HE), toluidine blue (TB) and Gomori’s trichrome (GT) (according to [57,58,59,60,61,62]) and cover-slipped using Entellan. The slides were subsequently analyzed using a Zeiss Axio Imager.M2 microscope, images enhanced with Adobe Photoshop CC 2017 version 24.0.1, and the oocytes were measured using the software ImageJ 1.53s [63].
This study is the first reported attempt to document oogenesis in jellyfish using a glycol methacrylate (historesin) method. This methodology has been successfully used in previous studies on other taxonomic groups [62,64] to obtain high-quality results.
2.4. Statistical Analysis
Several slides per specimen (ca. one third) were selected to measure the oocytes with a 4x objective lens on a compound microscope, and 12 oocytes (per tissue sample) were measured for each of the four established oogenesis stages. The maximum and minimum oocyte diameters of each specimen were averaged, and the standard deviations were calculated (Table 2). Average diameters for each stage were compared using the R package dplyr (v.1.0.7, function “summarise”) to discriminate between the different maturation stages based on size, and the results were visualized using R package ggplot2 (v.3.3.3). One slide per specimen was selected to calculate the percentage of oocytes present at each stage of oogenesis. Furthermore, evidence for a correlation between cubomedusa size (interpedalial distance) and maturity (percentage of oocyte stage) was tested using the Spearman correlation method with the R package ggpubr (v.0.4.0, function “ggscatter”). The code is available as Supplementary Material.
Table 2.
Measurements of oocyte diameter (maximum, minimum, average, and standard deviation) in each stage of gonadal development of Chiropsalmus quadrumanus. Blank cells indicate no oocytes of that specific size category were observed in the sample. Oiii—late-vitellogenic oocyte; Oii—mid-vitellogenic oocyte; Oi—early vitellogenic oocyte; P—pre-vitellogenic oocyte.
3. Results
In Chiropsalmus quadrumanus, oogenesis presented a pattern of increased size and yolk density during the process of sexual maturation. Though late-vitellogenic oocytes were large (on average, 122 µm in diameter), all gonads were intact with no sign of ovulation underway in the cubomedusae examined.
Four different oocyte states (Figure 2 and Figure 3) are defined for C. quadrumanus females according to their diameter and vitellogenic content, following the scale previously established by [45]: (1) pre-vitellogenic oocytes (p), round-shaped, average diameter of 21 ± 6.88 μm, without vitellogenic content and basophil cytoplasm; (2) early-vitellogenic oocytes (Oi) with some yolk granules, average diameter of 42 ± 13.5 µm; (3) mid-vitellogenic oocytes (Oii), average diameter of 84 ± 21.6 μm; (4) late-vitellogenic oocytes (Oiii), rich in yolk granules, average diameter of 122 ± 39.1 μm. The average oocyte size differs significantly among the stages (χ2 = 355.82; df = 3; p < 2.2 × 10−16), although their ranges overlap (Figure 2).
Figure 2.
Distribution of oocyte diameter for each of the four stages of development in C. quadrumanus. Images on the right reveal morphological variations in oocyte features, including vitellogenic content.
Figure 3.
Boxplot representing the four stages of development based on the oocyte diameter of Chiropsalmus quadrumanus.
Oogenesis in C. quadrumanus was found to be asynchronous, and oocytes of all four stages of development (p—Oiii) were observed in almost all specimens analyzed (Figure 1B,C and Table 2). All the specimens possessed pre-vitellogenic oocytes, but late-vitellogenic oocytes (Oiii) were not present in four specimens from Macaé, suggesting that they were immature despite their relatively large bells (IPD 4–5 mm). Conversely, a small specimen (IPD 3.8 mm) from the São Sebastião Channel had late-vitellogenic oocytes (Oiii), suggesting a non-linear relationship between sexual maturity and bell size. Although all females examined possessed gonads, the maximum oocyte diameter observed for each of the four stages varied between specimens collected at different geographic localities, with maximum diameters of 235 μm for the São Sebastião Channel and 113 μm for Macaé, despite the similarity of the bell sizes (IPD 4.7 mm) (Table 2).
Female gonads are composed of an epithelial bilayer corresponding to the external gastrodermal epithelium and an internal gonadal layer within the mesoglea composed of oocytes (Figure 4A). Epithelial gonadal cells are columnar with basal vacuoles (Figure 4B). While there is no developmental gradient seen along the length of the gonad, oocytes increase in size due to the accumulation of yolk (vitellogenesis) during maturation (Figure 1 and Figure 2). Histological cross-sections revealed that late-vitellogenic oocytes (Oiii) were found across the entire length of the gonad within the gonadal epithelium (Figure 1C). Neither trophocytes (specialized nutritive gastrodermal cells) nor nurse cells were found in contact with the oocytes and gastrodermal epithelium (Figure 1 and Figure 4), suggesting that mature oocytes develop freely in the mesoglea (in direct contact with the gastrodermis) (cf. [65]). However, we also report here that some specimens did show inclusions of unknown natures within the oocytes (Figure 5).
Figure 4.
Gonadal section of the most immature studied female of Chiropsalmus quadrumanus (from Macaé, Rio de Janeiro). Stained with Gomori trichrome and hematoxylin (GT + H) and HE, respectively (A,B). Arrows show the columnar gonadal epithelium with basal vacuoles. Scale bars: 50 μm. gt—gastrodermal epithelium; m—mesoglea; Oi—early-vitellogenic oocyte; P = pre-vitellogenic oocyte.
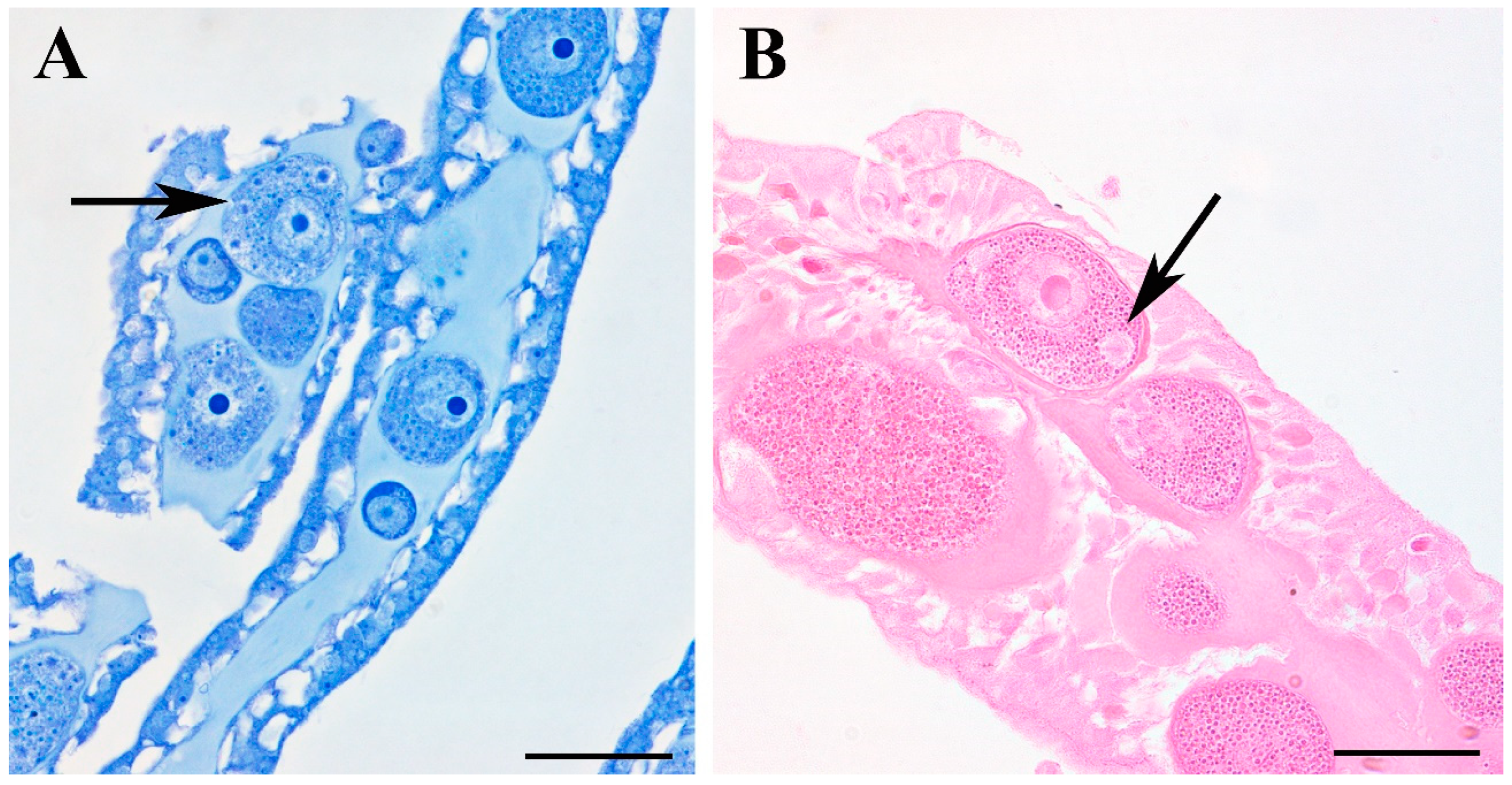
Figure 5.
Gonads section of two different specimens of Chiropsalmus quadrumanus (from Macaé, Rio de Janeiro) stained with toluidine blue (A) and HE (B), respectively. Arrows show inclusions of unknown natures within the oocytes. Scale bars 50 μm.
We defined mature females by the presence of gonads with >15% of oocytes in the late-vitellogenic stage [45]. Accordingly, there were four females with this pattern; therefore, they were considered sexually mature (Table 3). Although the ten female specimens had IPD values ≥ 4.4 mm, not all were found to be mature. Two specimens from Macaé (IPDs = 4.5 and 5 mm) had no late-vitellogenic oocytes. One specimen from Macaé (MA57, IPD = 4 mm) had pre-vitellogenic (14%) and early-vitellogenic (86%) oocytes, representing the most immature female studied herein (Figure 4). The Spearman correlation test indicates that the bell size of C. quadrumanus is not correlated with the proportion of late-vitellogenic oocytes present (r = 0.019; p = 0.96).
Table 3.
Percentage of oocytes in the four different stages of the oogenesis of Chiropsalmus quadrumanus. * Mature females; IPD—interpedalial distance (mm); Oiii—late-vitellogenic oocyte; Oii—mid-vitellogenic oocyte; Oi—early-vitellogenic oocyte; P—pre-vitellogenic oocyte.
4. Discussion
Patterns of female sex cell maturation (oogenesis) and the reproductive strategy of the cubomedusa C. quadrumanus are presented for the first time based on our histological approach. Females have four different stages of oocyte development, as determined via a comparative analysis of vitellogenic content, which was present in most specimens examined (Figure 2 and Figure 3). The presence of pre-vitellogenic oocytes even in mature female gonads is interpreted as an indication of asynchronous oogenesis in which a mature female develops immature oocytes in order to reproduce more than once in her lifetime. This pattern diverges from the pattern reported for C. murrayana in which only late-vitellogenic oocytes were observed in mature females, suggesting a single spawning event occurring upon cubomedusae maturity [45]. Several reports of oogenesis in non-cubozoan jellyfishes (e.g., Cassiopea andromeda, cf. [66]) have mentioned trophocytes associated with mature oocytes during ovulation; the absence of these specialized nutritive cells in C. quadrumanus corroborates findings reported by [45] for the cubomedsusa C. murayana. The absence of embryos or planulae within the gastrovascular cavity in females, taken together with knowledge that sperm are released via the rupture of the follicle wall in males of this species [19], strongly indicates that C. quadrumanus exhibits external fertilization as a reproductive strategy.
4.1. Seasonality
Chiropsalmus quadrumanus is a shallow-water species inhabiting the Atlantic coast of the Americas. Its seasonality is marked by the presence of mature medusae from April to September in the Southern Hemisphere (e.g., [19,20] and this study). To date, the most sexually mature female (>37% of Oiii) was trawled in São Paulo in August (Table 2 and Table 3), suggesting that the reproductive season occurs in the dry season in the Southern Hemisphere. Occurrence data for C. quadrumanus for the Northern Hemisphere recorded “blooms” in Georgia in July of 1971 [52], a “predominance” in the Mississippi Sound in August of 1968 [53], and floating dead specimens in the fall (September–November) after a Texas rainy season [54]. However, a broader understanding of the distribution and seasonality of this species requires phylogenetic studies to determine whether specimens in Brazil, the Gulf of Mexico, and North Carolina [46] belong to the same species or if a complex of cryptic species exists instead (cf. [1] for a similar western Atlantic cubomedusae). Elucidating the taxonomy of the species will provide a better understanding beyond seasonality, for example, in determining possible differences in relation to its venom, an important public safety area given the case of the death of a child in the Gulf of Mexico associated with C. quadrumanus [67].
The female cubomedusae studied herein presented oocytes at different stages of development, but none of the females was undergoing ovulation. The presence of pre-vitellogenic oocytes in all specimens (4–22%, Table 2 and Table 3) supports the existence of continuous oogenesis, making it likely that C. quadrumanus cubomedusae are iteroparous (shedding their gametes more than once during their lifetime), a pattern observed in a few cubomedusae (e.g., [68]) and the tripedaliid cubozoans [15]. Although the histological data are robust, in situ data on spawning females are needed to corroborate our findings of a maturation scale and its persistence within the population in order to fully validate C. quadrumanus as a truly iteroparous species. Large and predictable spermcasting aggregations of the semelparous A. alata demonstrated that the leaf-like hemi-gonads visible on radial septa break, becoming a thin line after spawning, and stranded medusae along the rocks on the beach have varying degrees of gonadal rupture (from partial to almost complete) (more details in [3]). However, as is the case for most cubozoan species due to a dearth of histological data on cubomedusa gonad maturation, it remains difficult to corroborate observations on cubomedusae sexual reproduction in situ.
4.2. Fertilization Mode and Oocyte Nutrition
The challenges inherent in rearing cubomedusae for observing sexual reproduction in vitro hamper the experimental study of the modes of fertilization in this class. Even without visual confirmation of sexual reproduction, the presence of fertilized eggs or planulae in the gastric cavity of collected females has served as evidence of internal fertilization in some medusozoan species [15,69]. Additionally, external fertilization in Chirodropida is inferred for C. fleckeri [21] and C. quadrumanus based on observations of sperm release via the rupture of the follicle wall [19]. Our data corroborate the external fertilization theory for C. quadrumanus due to the absence of sperm or embryos within the female gastrovascular cavity, but as no samples had signs of insufficient spawning, gonadal maturity may have precluded the females from signaling males of an ensuing spawning event (for a review of such genetic signals, see [25]).
The presence of inclusions of unknown nature in some oocytes (Figure 5) may indicate that the yolk is supplied to the oocytes by phagocytic bodies, a mode of vitellogenesis previously reported in at least one medusozoan (viz., Hydra, [70,71]). However, we avoid further speculation on their origin or function prior to conducting further investigations.
4.3. Individual Size and Maturity
Egg size can indicate the degree of sexual maturity [72,73,74], defined as the period in which a female is able to reproduce sexually [75]. The average oocyte diameter in C. quadrumanus (122 µm) is considerably larger than that reported for the cubomedusa C. murrayana (55 µm). This difference may be related to general medusa size, since the bell height of a mature C. quadrumanus specimen (>4.4 cm) is greater than that of a mature C. murrayana (3.68 cm, as C. branchi in [45]). Aside from indicating sexual maturity, egg size is often considered a proxy for understanding the reproductive and developmental traits of medusozoans, as large eggs are related to direct development [76,77,78] and are found in some deep-sea scyphomedusae [79].
Sexual maturity in medusozoans has previously been connected with bell size [15,80], but these studies have the caveat of defining the sexual maturity of a female cubomedusae simply through the presence of visible oocytes [3], during the act of ovulation [25], or stating that the gonads are full of “mature eggs” [81]. However, our maturation scale and statistical analysis thereof demonstrate that bell size is not necessarily correlated with gonadal maturity in C. quadrumanus. A possible explanation for the lack of correlation between bell size and sexual maturity could be that small individuals with high percentages of late-vitellogenic oocytes (e.g., specimen MA52, Table 3) might have undergone more rapid development under different environmental parameters such as temperature, food availability, or breeding period, even within the same population (cf. [3,56,80] for other medusozoan examples). Future in situ studies documenting the reproductive behavior of cubomedusae that are carried out in conjunction with histological studies of the gonads should further elucidate and complement the patterns revealed in this study.
5. Conclusions
In this study, we presented a female oocyte maturation scale based on histological data for the cubozoan Chiropsalmus quadrumanus, making it the first of its kind presented for a chirodropid. We demonstrated the existence of four distinct stages of oogenesis, congruent with an iteroparous mode of sexual reproduction with external fertilization. This framework shall serve as a standard for future investigations into sexual maturation and reproductive strategies in cubomedusae. Although large and unpredictable aggregations or “blooms’’ of C. quadrumanus have not been recorded on the Brazilian coast, it is important to be vigilant for potential events related to the emergence of these cubomedusae at the surface to understand the environmental conditions that favor both the sexual and asexual proliferation of this species. Thus, year-round local surveys along the Brazilian coast are needed to fully elucidate the reproductive season of C. quadrumanus and corroborate our hypotheses of its iteroparity. Furthermore, additional specimen collections directed at molecular phylogenetic analyses will be important to validate whether the widely distributed C. quadrumanus lineage (Gulf of Mexico, North Carolina, Brazil) correspond, in fact, to the same species examined in this work. We expect our findings will serve as a baseline for understanding the structural and functional maturation of female sex cells and the evolution of sexual reproductive strategies within species of the order Chirodropida.
Supplementary Materials
The following supporting information can be downloaded at: https://www.mdpi.com/article/10.3390/d15070816/s1.
Author Contributions
A.C.M. (André Carrara Morandini) and A.C.M. (Antonio Carlos Marques): Conceptualization, Writing—review & editing. All authors contributed to the study conception and design. J.G.-R. and A.J.-B. conceived the ideas; Material preparation, data collection, and analysis were performed by J.G.-R., A.J.-B. and G.R.T. The first draft of the manuscript was written by J.G.-R. and C.L.A., and all authors reviewed and commented on previous versions of the manuscript. All authors have read and agreed to the published version of the manuscript.
Funding
This study was supported by the São Paulo Research Foundation (FAPESP) (grants 2011/50242-5 to A.C.M. (Antonio Carlos Marques), 2017/12970-5 to G.R.T., 2019/01370-2 and 2021/09739-5 to J.G.R.), CNPq (grants 140235/2018-3 to J.G.R., 481399/2007-0 and 309440/2019-0 to A.C.M. (André Carrara Morandini), 316095/2021-4 to A.C.M. (Antonio Carlos Marques)), and CAPES (grant 23650751852 to A.J.B.) and FAPERJ (grant E-26/171.150/2006 to A.C.M. (André Carrara Morandini)).
Data Availability Statement
Our manuscript has data included in the electronic Supplementary Material (DOI 10.5281/zenodo.7901541).
Acknowledgments
We thank R. Mohamed (University of the Western Cape, Cape Town, South Africa) for sharing oocyte data from his study with Carybdea murrayana (as Carybdea branchi) and Fernando Zara (Univiversidade Estadual Paulista, Brazil) for assistance with field samples. This manuscript was improved due to thorough review and kind feedback by external reviewers.
Conflicts of Interest
The authors declare no conflict of interest.
References
- Collins, A.G.; Bentlage, B.; Gillan, W.; Lynn, T.H.; Morandini, A.C.; Marques, A.C. Naming the Bonaire Banded Box Jelly, Tamoya Ohboya, n. sp. (Cnidaria: Cubozoa: Carybdeida: Tamoyidae). Zootaxa 2011, 68, 53–68. [Google Scholar] [CrossRef]
- Bentlage, B.; Cartwright, P.; Yanagihara, A.A.; Lewis, C.; Richards, G.S.; Collins, A.G. Evolution of Box Jellyfish (Cnidaria: Cubozoa), a Group of Highly Toxic Invertebrates. Proc. R. Soc. B Biol. Sci. 2010, 277, 493–501. [Google Scholar] [CrossRef] [PubMed]
- Lewis, C.; Bentlage, B.; Yanagihara, A.; Gillan, W.; van Blerk, J.; Keil, D.P.; Bely, A.E.; Collins, A.G. Redescription of Alatina alata (Reynaud, 1830) (Cnidaria: Cubozoa) from Bonaire, Dutch Caribbean. Zootaxa 2013, 3737, 473–487. [Google Scholar] [CrossRef]
- Baxter, E.H.; Marr, A.G.M. Sea Wasp (Chironex Fleckeri) Venom: Lethal, Haemolytic and Dermonecrotic Properties. Toxicon 1969, 7, 195–210. [Google Scholar] [CrossRef]
- Werner, B.; Cutress, C.E.; Studebaker, J.P. Life Cycle of Tripedalia cystophora, Conant (Cubomedusae). Nature 1971, 232, 655–657. [Google Scholar] [CrossRef]
- Ceh, J.; Gonzalez, J.; Pacheco, A.S.; Riascos, J.M. The Elusive Life Cycle of Scyphozoan Jellyfish—Metagenesis Revisited. Sci. Rep. 2015, 5, 12037. [Google Scholar] [CrossRef]
- Morandini, A.C.; Schiariti, A.; Stampar, S.N.; Maronna, M.M.; Straehler-Pohl, I.; Marques, A.C. Succession of Generations Is Still the General Paradigm for Scyphozoan Life Cycles. Bull. Mar. Sci. 2016, 92, 343–351. [Google Scholar] [CrossRef]
- Picard, M.A.L.; Vicoso, B.; Bertrand, S.; Escriva, H. Diversity of Modes of Reproduction and Sex Determination Systems in Invertebrates, and the Putative Contribution of Genetic Conflic. Genes 2021, 12, 1136. [Google Scholar] [CrossRef]
- Siebert, S.; Juliano, C.E. Sex, Polyps, and Medusae: Determination and Maintenance of Sex in Cnidarians. Mol. Reprod. Dev. 2017, 84, 105–119. [Google Scholar] [CrossRef]
- Eckelbarger, K.J.; Hodgson, A.N. Invertebrate Oogenesis—A Review and Synthesis: Comparative Ovarian Morphology, Accessory Cell Function and the Origins of Yolk Precursors. Invertebr. Reprod. Dev. 2021, 65, 71–140. [Google Scholar] [CrossRef]
- Arneson, A.C.; Cutress, C.E. Life History of Carybdea alata Reynaud, 1830 (Cubomedusae). In Coelenterate Ecology and Behavior; Mackie, G.O., Ed.; Springer: New York, NY, USA, 1976; pp. 227–236. [Google Scholar]
- García-Rodríguez, J.; Lewis Ames, C.; Marian, J.E.A.R.; Marques, A.C. Gonadal Histology of Box Jellyfish (Cnidaria: Cubozoa) Reveals Variation between Internal Fertilizing Species Alatina alata (Alatinidae) and Copula sivickisi (Tripedaliidae). J Morphol 2018, 279, 841–856. [Google Scholar] [CrossRef]
- Avian, M.; Bonivento, P.; Montanari, G.; Rinaldi, A.; Rottini Sandrini, L. Carybdea marsupialis L. (Cubozoa), Istologia Delle Gonadi. Biol. Mar. Suppl. Notiz. SIBM 1993, 1, 75–78. [Google Scholar]
- Hartwick, R.F. Observations on the Anatomy, Behaviour, Reproduction and Life Cycle of the Cubozoan Carybdea sivickisi. Hydrobiologia 1991, 216–217, 171–179. [Google Scholar] [CrossRef]
- Lewis, C.; Long, T.A.F. Courtship and Reproduction in Carybdea sivickisi (Cnidaria: Cubozoa). Mar. Biol. 2005, 147, 477–483. [Google Scholar] [CrossRef]
- Lewis, C.; Kubota, S.; Migotto, A.E.; Collins, A.G. Sexually Dimorphic Cubomedusa Carybdea sivickisi in Seto, Wakayama, Japan. Publ. Seto Mar. Biol. Lab. 2008, 40, 1–8. Available online: https://repository.si.edu/handle/10088/6250 (accessed on 22 June 2023).
- Garm, A.; Lebouvier, M.; Tolunay, D. Mating in the Box Jellyfish Copula sivickisi—Novel Function of Cnidocytes. J. Morphol. 2015, 276, 1055–1064. [Google Scholar] [CrossRef]
- Toshino, S.; Hiroshi, M.; Ohtsuka, S.; Okuizumi, K.; Adachi, A.; Hamatsu, Y.; Urata, M.; Nakaguchi, K.; Yamaguchi, S. Development and Polyp Formation of the Giant Box Jelly Fish Morbakka virulenta (Kishinouye, 1910) (Cnidaria: Cubozoa) Collected from the Seto Inland Sea, Western Japan. Plankton Benthos Res. Benthos Res. 2013, 8, 1–8. [Google Scholar] [CrossRef]
- Tiseo, G.R.; García-Rodríguez, J.; Zara, F.J.; Ames, C.L.; Marques, A.C.; Morandini, A.C. Spermatogenesis and Gonadal Cycle in Male Tamoya haplonema and Chiropsalmus quadrumanus (Cnidaria, Cubozoa). Zool. Anz. 2019, 279, 59–67. [Google Scholar] [CrossRef]
- García-Rodríguez, J.; Ames, C.L.; Marian, J.E.A.R.; Marques, A.C. Histomorphological Comparison of Testes in Species of Box Jellyfish (Cnidaria; Cubozoa): Does Morphology Differ with Mode of Reproduction and Fertilization? Org. Divers. Evol. 2020, 20, 25–36. [Google Scholar] [CrossRef]
- Yamaguchi, M.; Hartwick, R. Early Life History of the Sea Wasp Chironex fleckeri (Class Cubozoa). In Development and Cellular Biology of Coelenterates; Elsevier: Amsterdam, The Netherlands, 1980; pp. 11–16. [Google Scholar]
- Hartwick, R.F. Distributional Ecology and Behaviour of the Early Life Stages of the Box-Jellyfish Chironex fleckeri. Hydrobiologia 1991, 216–217, 181–188. [Google Scholar] [CrossRef]
- Stewart, S. Field Behavior of Tripedalia cystophora (Class Cubozoa). Mar Freshw. Behav. Physiol. 1996, 27, 175–188. [Google Scholar] [CrossRef]
- Carrette, T.; Straehler-Pohl, I.; Seymour, J. Early Life History of Alatina Cf. moseri Populations from Australia and Hawaii with Implications for Taxonomy (Cubozoa: Carybdeida, Alatinidae). PLoS ONE 2014, 9, e84377. [Google Scholar] [CrossRef]
- Lewis Ames, C.; Ryan, J.F.; Bely, A.E.; Cartwright, P.; Collins, A.G. A New Transcriptome and Transcriptome Profiling of Adult and Larval Tissue in the Box Jellyfish Alatina alata: An Emerging Model for Studying Venom, Vision and Sex. BMC Genom. 2016, 17, 650. [Google Scholar] [CrossRef]
- Hamner, W.M.; Jones, M.S.; Hamner, P.P. Swimming, Feeding, Circulation and Vision in the Australian Box Jellyfish, Chironex fleckeri (Cnidaria: Cubozoa). Mar. Freshw. Res. 1995, 46, 985–990. [Google Scholar] [CrossRef]
- Garm, A.; O’Connor, M.; Parkefelt, L.; Nilsson, D.E. Visually Guided Obstacle Avoidance in the Box Jellyfish Tripedalia cystophora and Chiropsella bronzie. J. Exp. Biol. 2007, 210, 3616–3623. [Google Scholar] [CrossRef]
- Berger, E.W. Physiology and Histology of the Cubomedusae, including Dr. F. S. Conant’s Notes on the Physiology; Memoirs from the Biological Laboratory of the Johns Hopkins University; The Johns Hopkins Press: Baltimore, MD, USA, 1900; Volume 4, 84p. [Google Scholar]
- Coates, M.M. Visual Ecology and Functional Morphology of Cubozoa (Cnidaria). Integr. Comp. Biol. 2003, 43, 542–548. [Google Scholar] [CrossRef]
- Werner, B. Killermedusen und Ihr Liebesspiel. Umschau 1976, 76, 80–81. [Google Scholar]
- Subramoniam, T. Mode of Reproduction: Invertebrate Animals. In Encyclopedia of Reproduction; Elsevier: Amsterdam, the Netherlands, 2018; pp. 32–40. ISBN 9780128151457. [Google Scholar]
- Werner, B. Spermatozeugmen und Paarungsverhalten Bei Tripedalia cystophora (Cubomedusae). Mar. Biol. 1973, 18, 212–217. [Google Scholar] [CrossRef]
- Helmark, S.; Garm, A. Gonadal Cnidocytes in the Cubozoan Tripedalia cystophora Conant, 1897 (Cnidaria: Cubozoa). J. Morphol. 2019, 280, 1530–1536. [Google Scholar] [CrossRef] [PubMed]
- Bordehore, C.; Fuentes, V.L.; Atienza, D.; Barberá, C.; Fernandez-Jover, D.; Roig, M.; Acevedo-Dudley, M.J.; Canepa, A.J.; Gili, J.M. Detection of an Unusual Presence of the Cubozoan Carybdea marsupialis at Shallow Beaches Located near Denia, Spain (South-Western Mediterranean). Mar. Biodivers. Rec. 2011, 4, E69. [Google Scholar] [CrossRef]
- Keesing, J.K.; Strzelecki, J.; Stowar, M.; Wakeford, M.; Miller, K.J.; Gershwin, L.A.; Liu, D. Abundant Box Jellyfish, Chironex sp. (Cnidaria: Cubozoa: Chirodropidae), Discovered at Depths of over 50 m on Western Australian Coastal Reefs. Sci. Rep. 2016, 6, 22290. [Google Scholar] [CrossRef]
- Lawley, J.W.; Ames, C.L.; Bentlage, B.; Yanagihara, A.; Goodwill, R.; Kayal, E.; Hurwitz, K.; Collins, A.G. Box Jellyfish Alatina alata Has a Circumtropical Distribution. Biol. Bull. 2016, 231, 152–169. [Google Scholar] [CrossRef]
- Straehler-Pohl, I.; Garm, A.; Morandini, A.C. Sexual Dimorphism in Tripedaliidae (Conant 1897) (Cnidaria, Cubozoa, Carybdeida). Zootaxa 2014, 3785, 533–549. [Google Scholar] [CrossRef] [PubMed]
- Toshino, S.; Miyake, H.; Iwanaga, S. Development of Copula sivickisi (Stiasny, 1926) (Cnidaria: Cubozoa: Carybdeidae: Tripedaliidae) Collected from the Ryukyu Archipelago, Southern Japan. Plankton Benthos Res. 2014, 9, 32–41. [Google Scholar] [CrossRef][Green Version]
- Campbell, R.D. Cnidaria. Reprod. Mar. Invertebr. 1974, 1, 133–199. [Google Scholar]
- Hyman, L.H. Metazoa of the Tissue Grade of Construction—The Radiate Phyla—Phylum Cnidaria. In The Invertebrates: Protozoa through Ctenophora; McGraw-Hill: New York, NY, USA; London, UK, 1940; Volume 1. [Google Scholar]
- Widersten, B. Genital Organs and Fertilization in Some Scyphozoa. Zool. Bidr. Fran Upps. 1965, 37, 45–58. [Google Scholar] [CrossRef]
- Miller, R.L. Cnidaria. Reprod. Biol. Invertebr. 1983, 2, 23–73. [Google Scholar]
- Marques, A.C.; Collins, A.G. Cladistic Analysis of Medusozoa and Cnidarian Evolution. Invertebr. Biol. 2004, 123, 23–42. [Google Scholar] [CrossRef]
- Southcott, R.V. Studies on Australian Cubomedusae, Including a New Genus and Species Apparently Harmful to Man. Mar. Freshw. Res. 1955, 7, 254–280. [Google Scholar] [CrossRef]
- Mohamed, R.; Skrypzeck, H.; Gibbons, M.J. Describing Gonad Development and Gametogenesis in Southern Africa’s Endemic Box Jellyfish Carybdea branchi (Cubozoa, Carybdeidae). Afr. J. Mar. Sci. 2019, 41, 83–91. [Google Scholar] [CrossRef]
- Mayer, A.G. Medusae of the World; Publication no. 109; Carnegie Institution of Washington: Washington, DC, USA, 1910; Volume 3. [Google Scholar]
- Migotto, A.E.; Marques, A.C.; Morandini, A.C.; da Silveira, F.L. Checklist of the Cnidaria Medusozoa of Brazil. Biota Neotrop. 2002, 2, 1–31. [Google Scholar] [CrossRef]
- Morandini, A.C.; Ascher, D.; Stampar, S.N.; Ferreira, J.F.V. Cubozoa e Scyphozoa (Cnidaria: Medusozoa) de Águas Costeiras Do Brasil. Iheringia Ser. Zool. 2005, 95, 281–294. [Google Scholar] [CrossRef]
- Nogueira, M., Jr.; Haddad, M.A. Macromedusae (Cnidaria) from the Paraná coast, southern Brazil. J. Coast. Res. 2006, 2, 1161–1164. [Google Scholar]
- Gershwin, L.A. Comments on Chiropsalmus (Cnidaria: Cubozoa: Chirodropida): A Preliminary Revision of the Chiropsalmidae, with Descriptions of Two New Genera and Two New Species. Zootaxa 2006, 42, 1–42. [Google Scholar] [CrossRef]
- Nogueira Júnior, M. Article Gelatinous Zooplankton Fauna (Cnidaria, Ctenophora and Thaliacea) from Baía da Babitonga (Southern Brazil). Zootaxa 2012, 3398, 1–21. [Google Scholar]
- Guest, W.C. The Occurence of the Jelllyfish Chiropsalmus quadrumanus in Matagorda Bay, Texas. Bull. Mar. Sci. 1959, 9, 79–83. [Google Scholar]
- Kraeuter, J.N.; Setzler, E.M. The Seasonal Cycle of Scyphozoa and Cubozoa. Bull. Mar. Sci. 1975, 25, 66–74. [Google Scholar]
- Phillips, P.J.; Burke, W.D. The Occurrence of Sea Waps (Cubomedusae) in Mississipi Sound and the Northern Gulf of Mexico. Bull. Mar. Sci. 1970, 20, 853–859. [Google Scholar]
- Straehler-Pohl, I. Critical Evaluation of Characters for Species Identification in the Cubomedusa Genus Malo (Cnidaria, Cubozoa, Carybdeida, Carukiidae). Plankton Benthos Res. 2014, 9, 83–98. [Google Scholar] [CrossRef]
- Pitt, K.A.; Kingsford, M.J. Reproductive Biology of the Edible Jellyfish Catostylus mosaicus (Rhizostomeae). Mar. Biol. 2000, 137, 791–799. [Google Scholar] [CrossRef]
- Humason, G.L. Animal Tissue Techniques; W.H. Freeman and Company: San Francisco, CA, USA, 1962. [Google Scholar]
- Behmer, O.A.; Tolosa, E.M.C.; Freitas Neto, A.G. Manual de Tecnicas Para Histologia Normal e Patologica; Livraria Editora: São Paulo, Brazil, 1976. [Google Scholar]
- Bancroft, J.; Stevens, A. Theory and Practice of Histological Techniques; Churchill Livingstone: London, UK, 1982. [Google Scholar]
- Pearse, A.G.E. Histochemistry Theoretical and Applied. In Analytical Tehnology; Churchill Livingstone: London, UK, 1985; Volume 2. [Google Scholar]
- Junqueira, L.C. Histology Revisited—Technical Improvement Promoted by the Use of Hydrophilic Resin Embedding. Cienc. Cult. 1995, 47, 92–95. [Google Scholar]
- Mendoza-Becerril, M.A.; Marian, J.E.A.R.; Migotto, A.E.; Marques, A.C. Exoskeletons of Bougainvilliidae and Other Hydroidolina (Cnidaria, Hydrozoa): Structure and Composition. PeerJ 2017, 5, e2964. [Google Scholar] [CrossRef]
- Schneider, C.; Rasband, W.; Eliceiri, K.W. NIH Image to ImageJ: 25 Years of Image Analysis. Nat. Methods 2010, 9, 671–675. [Google Scholar] [CrossRef] [PubMed]
- Marian, J.E.A.R. Spermatophoric Reaction Reappraised: Novel Insights into the Functioning of the Loliginid Spermatophore Based on Doryteuthis Plei (Mollusca: Cephalopoda). J. Morphol. 2012, 273, 248–278. [Google Scholar] [CrossRef]
- Eckelbarger, K.J.; Larson, R. Ultrastructure of the Ovary and Oogenesis in the Jellyfish Linuche unguiculata and Stomolophus meleagris, with a Review of Ovarian Structure in the Scyphozoa. Mar. Biol. 1992, 114, 633–643. [Google Scholar] [CrossRef]
- Mammone, M.; Bosch-Belmar, M.; Milisenda, G.; Castriota, L.; Sinopoli, M.; Allegra, A.; Falautano, M.; Maggio, T.; Rossi, S.; Piraino, S. Reproductive Cycle and Gonadal Output of the Lessepsian Jellyfish Cassiopea andromeda in NW Sicily (Central Mediterranean Sea). PLoS ONE 2023, 18, e0281787. [Google Scholar] [CrossRef] [PubMed]
- Bengston, K.; Nichols, M.M.; Schnadig, V.; Ellis, M.D. Sudden Death in a Child Following Jellyfish Envenomation by Chiropsalmus quadrumanus: Case Report and Autopsy Findings. JAMA J. Am. Med. Assoc. 1991, 266, 1404–1406. [Google Scholar] [CrossRef]
- Eckelbarger, K.J.; Larson, R.J. Ultrastructural Study of the Ovary of the Sessile Scyphozoan, Haliclystus octoradiatus (Cnidaria: Stauromedusae). J. Morphol. 1993, 218, 225–236. [Google Scholar] [CrossRef] [PubMed]
- Toshino, S.; Miyake, H.; Srinui, K.; Luangoon, N.; Muthuwan, V.; Sawatpeera, S.; Honda, S.; Shibata, H. Development of Tripedalia binata Moore, 1988 (Cubozoa: Carybdeida: Tripedaliidae) Collected from the Eastern Gulf of Thailand with Implications for the Phylogeny of the Cubozoa. Hydrobiologia 2017, 792, 37–51. [Google Scholar] [CrossRef]
- Alexandrova, O.; Schade, M.; Böttger, A.; David, C.N. Oogenesis in Hydra: Nurse Cells Transfer Cytoplasm Directly to the Growing Oocyte. Dev. Biol. 2005, 281, 91–101. [Google Scholar] [CrossRef]
- Honegger, T.G.; Zürrer, D.; Tardent, P. Oogenesis in Hydra carnea: A New Model Based on Light and Electron Microscopic Analyses of Oocyte and Nurse Cell Diferentiation. Tissue Cell 1989, 21, 381–393. [Google Scholar] [CrossRef]
- Toyokawa, M.; Shimizu, A.; Sugimoto, K.; Nishiuchi, K.; Yasuda, T. Seasonal Changes in Oocyte Size and Maturity of the Giant Jellyfish, Nemopilema nomurai. Fish. Sci. 2010, 76, 55–62. [Google Scholar] [CrossRef]
- Iguchi, N.; Lee, H.E.; Yoon, W.D.; Kim, S. Reproduction of the Giant Jellyfish, Nemopilema Nomurai (Scyphozoa: Rhizostomeae), in 2006–2008 as Peripherally-Transported Populations. Ocean. Sci. J. 2010, 45, 129–138. [Google Scholar] [CrossRef]
- Jarms, G.; Tiemann, H.; Båmstedt, U. Development and Biology of Periphylla Periphylla (Scyphozoa: Coronatae) in a Norwegian Fjord. Mar. Biol. 2002, 141, 647–657. [Google Scholar] [CrossRef]
- Schiariti, A.Í.; Christiansen, E.; Morandini, A.C.; da silveira, F.L.; Giberto, D.A.; Mianzan, H.W. Reproductive Biology of Lychnorhiza lucerna (Cnidaria: Scyphozoa: Rhizostomeae): Individual Traits Related to Sexual Reproduction. Mar. Biol. Res. 2012, 8, 255–264. [Google Scholar] [CrossRef]
- Hargitt, G.T. Germ Cells of Coelenterates. VI. General Considerations, Discussion, Conclusions. J. Morphol. 1919, 33, 1–59. [Google Scholar] [CrossRef]
- Jarms, G.; Båmstedt, U.; Tiemann, H.; Martinussen, M.B.; Fosså, J.H.; Høisœter, T. The Holopelagic Life Cycle of the Deep-Sea Medusa Periphylla periphylla (Scyphozoa, Coronatae). Sarsia 1999, 84, 55–65. [Google Scholar] [CrossRef]
- Berrill, N.J. Developmental Analysis of Scyphomedusae. Biol. Rev. 1949, 24, 393–409. [Google Scholar] [CrossRef]
- Russell, F.S. On the Scyphomedusa Poralia Rufescens Vanhöffen. J. Mar. Biol. Assoc. UK 1962, 42, 387–390. [Google Scholar] [CrossRef]
- Lucas, C.H.; Reed, A.J. Gonad Morphology and Gametogenesis in the Deep-Sea Jellyfish Atolla wyvillei and Periphylla periphylla (Scyphozoa: Coronatae) Collected from Cape Hatteras and the Gulf of Mexico. J. Mar. Biol. Assoc. UK 2010, 90, 1095–1104. [Google Scholar] [CrossRef]
- Toshino, S.; Miyake, H.; Shibata, H. Development of Carybdea brevipedalia Kishinouye, 1891 (Cnidaria: Cubozoa: Carybdeida: Carybdeidae) Collected from Northern Japan. Plankton Benthos Res. 2018, 13, 116–128. [Google Scholar] [CrossRef]
Disclaimer/Publisher’s Note: The statements, opinions and data contained in all publications are solely those of the individual author(s) and contributor(s) and not of MDPI and/or the editor(s). MDPI and/or the editor(s) disclaim responsibility for any injury to people or property resulting from any ideas, methods, instructions or products referred to in the content. |
© 2023 by the authors. Licensee MDPI, Basel, Switzerland. This article is an open access article distributed under the terms and conditions of the Creative Commons Attribution (CC BY) license (https://creativecommons.org/licenses/by/4.0/).




