Prion-Dependent Lethality of sup35 Missense Mutations Is Caused by Low GTPase Activity of the Mutant eRF3 Protein
Abstract
1. Introduction
2. Results
2.1. Strain-Specific Mutations in the Middle (M) Domain of Sup35 Do Not Affect the Manifestation of Missense Mutations in the C-Terminal Domain of Sup35
2.2. Missense Mutations in the C-Terminal Domain of Sup35 Are Incompatible with the [PSI+] Prion
2.3. Missense Mutations in the C-Terminal Domain of Sup35 Do Not Influence the [PSI+] Prion Induction and Stability
2.4. The Mutant Sup35 Protein Is Capable of Being Incorporated into Pre-Existing [PSI+] Aggregates
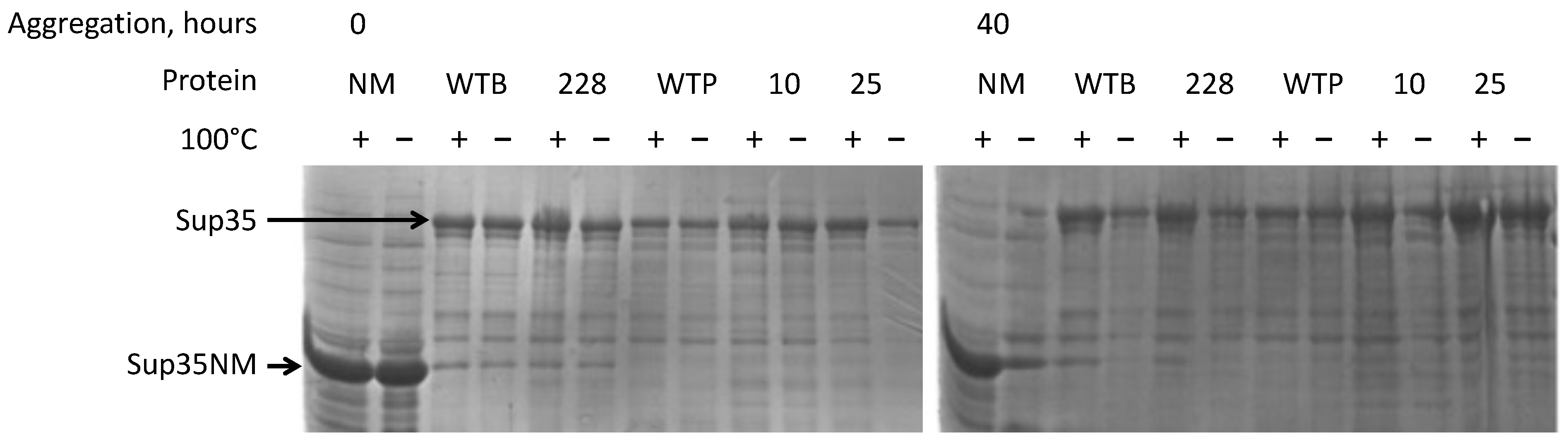
2.5. Mutant Sup35 Proteins Form Amyloid Aggregates in an In Vitro System
2.6. Sup35-m Mutant Proteins Demonstrate Decreased Translation Termination Factor Activity
3. Discussion
4. Materials and Methods
4.1. Strains, Cultivation, and Microscopy
4.2. Plasmids
4.3. [PSI+] Induction
4.4. Semi-Denaturing Detergent Agarose Gel Electrophoresis (SDD-AGE)
4.5. Purification of Proteins
4.6. Assembly of Sup35p into Protein Fibrils
4.7. Electron Microscopy
4.8. Assay for GTPase Activity
4.9. Statistical Analysis
Author Contributions
Funding
Institutional Review Board Statement
Informed Consent Statement
Data Availability Statement
Acknowledgments
Conflicts of Interest
Abbreviations
| sup35-n | sup35 nonsense mutations |
| sup35-m | sup35 missense mutations |
| sup45-n | sup45 nonsense mutations |
| sup45-m | sup45 missense mutations |
| PGC | Peterhof Genetic Collection |
| SDD-AGE | Semi-Denaturing Detergent Agarose Gel Electrophoresis |
| PFD | Prion-Forming Domain |
Appendix A
Appendix A.1

Appendix A.2

References
- Stansfield, I.; Jones, K.M.; Kushnirov, V.V.; Dagkesamanskaya, A.R.; Poznyakovski, A.I.; Paushkin, S.V.; Nierras, C.R.; Cox, B.; Ter-Avanesyan, M.D.; Tuite, M.F. The products of the SUP45 (eRF1) and SUP35 genes interact to mediate translation termination in Saccharomyces cerevisiae. EMBO J. 1995, 14, 4365–4373. [Google Scholar] [CrossRef]
- Zhouravleva, G.; Frolova, L.Y.; LeGoff, X.; Guellec, R.L.; Inge-Vechtomov, S.; Kisselev, L.; Philippe, M. Termination of translation in eukaryotes is governed by two interacting polypeptide chain release factors, eRF1 and eRF3. EMBO J. 1995, 14, 4065–4072. [Google Scholar] [CrossRef] [PubMed]
- Lyke, D.R.; Dorweiler, J.E.; Manogaran, A.L. The three faces of Sup35. Yeast 2019, 36, 465–472. [Google Scholar] [CrossRef]
- Trubitsina, N.; Zemlyanko, O.; Moskalenko, S.; Zhouravleva, G. From past to future: Suppressor mutations in yeast genes encoding translation termination factors. Biol. Commun. 2019, 64. [Google Scholar] [CrossRef]
- Volkov, K.; Kurishko, K.; Inge-Vechtomov, S.; Mironova, L. Polymorphism of the SUP35 gene and its product in the Saccharomyces cerevisiae yeasts. Genetika 2000, 36, 155–158. [Google Scholar] [PubMed]
- Liebman, S.W.; Chernoff, Y.O. Prions in yeast. Genetics 2012, 191, 1041–1072. [Google Scholar] [CrossRef] [PubMed]
- Bondarev, S.A.; Zhouravleva, G.A.; Belousov, M.V.; Kajava, A.V. Structure-based view on [PSI+] prion properties. Prion 2015, 9, 190–199. [Google Scholar] [CrossRef][Green Version]
- Trubitsina, N.; Zemlyanko, O.; Bondarev, S.; Zhouravleva, G. Nonsense mutations in the yeast SUP35 gene affect the [PSI+] prion propagation. Int. J. Mol. Sci. 2020, 21, 1648. [Google Scholar] [CrossRef]
- Maksiutenko, E.M.; Barbitoff, Y.A.; Matveenko, A.G.; Moskalenko, S.E.; Zhouravleva, G.A. Gene amplification as a mechanism of yeast adaptation to nonsense mutations in release factor genes. Genes 2021, 12, 2019. [Google Scholar] [CrossRef]
- Chabelskaya, S.; Kiktev, D.; Inge-Vechtomov, S.; Philippe, M.; Zhouravleva, G. Nonsense mutations in the essential gene SUP35 of Saccharomyces cerevisiae are non-lethal. Mol. Genet. Genom. 2004, 272, 297–307. [Google Scholar] [CrossRef]
- Biavasco, F.; Lupidi, R.; Varaldo, P.E. In vitro activities of three semisynthetic amide derivatives of teicoplanin, MDL 62208, MDL 62211, and MDL 62873. Antimicrob. Agents Chemother. 1992, 36, 331–338. [Google Scholar] [CrossRef] [PubMed][Green Version]
- Volkov, K.V.; Aksenova, A.Y.; Soom, M.J.; Osipov, K.V.; Svitin, A.V.; Kurischko, C.; Shkundina, I.S.; Ter-Avanesyan, M.D.; Inge-Vechtomov, S.G.; Mironova, L.N. Novel non-Mendelian determinant involved in the control of translation accuracy in Saccharomyces cerevisiae. Genetics 2002, 160, 25–36. [Google Scholar] [CrossRef]
- Osherovich, L.Z.; Cox, B.; Tuite, M.F.; Weissman, J.S. Dissection and design of yeast prions. PLoS Biol. 2004, 2, 442–451. [Google Scholar] [CrossRef]
- Baxa, U.; Keller, P.W.; Cheng, N.; Wall, J.S.; Steven, A.C. In Sup35p filaments (the [PSI+] prion), the globular C-terminal domains are widely offset from the amyloid fibril backbone. Mol. Microbiol. 2011, 79, 523–532. [Google Scholar] [CrossRef]
- Krzewska, J.; Melki, R. Molecular chaperones and the assembly of the prion Sup35p, an in vitro study. EMBO J. 2006, 25, 822–833. [Google Scholar] [CrossRef] [PubMed]
- Cheng, Z.; Saito, K.; Pisarev, A.V.; Pisareva, V.P.W.M.; Pestova, T.V.; Gajda, M.; Round, A.; Kong, C.; Lim, M.; Nakamura, Y.; et al. Structural insights into eRF3 and stop codon recognition by eRF1. Genes Dev. 2009, 23, 1106–1118. [Google Scholar] [CrossRef]
- Fabret, C.; Cosnier, B.; Lekomtsev, S.; Gillet, S.; Hatin, I.; Le Maréchal, P.; Rousset, J.P. A novel mutant of the Sup35 protein of Saccharomyces cerevisiae defective in translation termination and in GTPase activity still supports cell viability. BMC Mol. Biol. 2008, 9, 22. [Google Scholar] [CrossRef]
- Frolova, L.Y.; LeGoff, X.; Rasmussen, H.H.; Cheperegin, S.; Drugeon, G.; Kress, M.; Arman, I.; Haenni, A.L.; Celis, J.E.; Philippe, M. A highly conserved eukaryotic protein family possessing properties of polypeptide chain release factor. Nature 1994, 372, 701–703. [Google Scholar] [CrossRef]
- Inge-Vechtomov, S.; Zhouravleva, G.; Philippe, M. Eukaryotic release factors (eRFs) history. Biol. Cell 2003, 95, 195–209. [Google Scholar] [CrossRef]
- Helsen, C.W.; Glover, J.R. Insight into molecular basis of curing of [PSI+] prion by overexpression of 104-kDa heat shock protein (Hsp104). J. Biol. Chem. 2012, 287, 542–556. [Google Scholar] [CrossRef]
- Kushnirov, V.V.; Dergalev, A.A.; Alexandrov, A.I. Amyloid fragmentation and disaggregation in yeast and animals. Biomolecules 2021, 11, 1884. [Google Scholar] [CrossRef] [PubMed]
- Barbitoff, Y.A.; Matveenko, A.G.; Zhouravleva, G.A. Differential interactions of molecular chaperones and yeast prions. J. Fungi 2022, 8, 122. [Google Scholar] [CrossRef] [PubMed]
- Masison, D.C.; Reidy, M.; Kumar, J. J proteins counteract amyloid propagation and toxicity in yeast. Biology 2022, 11, 1292. [Google Scholar] [CrossRef]
- Franzmann, T.M.; Jahnel, M.; Pozniakovsky, A.; Mahamid, J.; Holehouse, A.S.; Nuske, E.; Richter, D.; Baumeister, W.; Grill, S.W.; Pappu, R.V.; et al. Phase separation of a yeast prion protein promotes cellular fitness. Science 2018, 359, eaao5654. [Google Scholar] [CrossRef]
- Grimes, B.; Jacob, W.; Liberman, A.R.; Kim, N.; Zhao, X.; Masison, D.C.; Greene, L.E. The properties and domain requirements for phase separation of the Sup35 prion protein in vivo. Biomolecules 2023, 13, 1370. [Google Scholar] [CrossRef]
- Grizel, A.V.; Gorsheneva, N.A.; Stevenson, J.B.; Pflaum, J.; Wilfling, F.; Rubel, A.A.; Chernoff, Y.O. Osmotic stress induces formation of both liquid condensates and amyloids by a yeast prion domain. J. Biol. Chem. 2024, 300, 107766. [Google Scholar] [CrossRef] [PubMed]
- Jensen, M.A.; True, H.L.; Chernoff, Y.O.; Lindquist, S. Molecular population genetics and evolution of a prion-like protein in Saccharomyces cerevisiae. Genetics 2001, 159, 527–535. [Google Scholar] [CrossRef]
- Resende, C.G.; Outeiro, T.F.; Sands, L.; Lindquist, S.; Tuite, M.F. Prion protein gene polymorphisms in Saccharomyces cerevisiae. Mol. Microbiol. 2003, 49, 1005–1017. [Google Scholar] [CrossRef][Green Version]
- Parham, S.N.; Resende, C.G.; Tuite, M.F. Oligopeptide repeats in the yeast protein Sup35p stabilize intermolecular prion interactions. EMBO J. 2001. [Google Scholar] [CrossRef]
- Kabani, M.; Melki, R. Yeast prions assembly and propagation: Contributions of the prion and non-prion moieties and the nature of assemblies. Prion 2011, 5, 277–284. [Google Scholar] [CrossRef]
- Moskalenko, S.E.; Chabelskaya, S.V.; Inge-Vechtomov, S.G.; Philippe, M.; Zhouravleva, G.A. Viable nonsense mutants for the essential gene SUP45 of Saccharomyces cerevisiae. BMC Mol. Biol. 2003, 4, 2. [Google Scholar] [CrossRef]
- Kiktev, D.; Inge-Vechtomov, S.; Zhouravleva, G. Prion-dependent lethality of sup45 mutants in Saccharomyces cerevisiae. Prion 2007, 1, 136–143. [Google Scholar] [CrossRef] [PubMed]
- Salas-Marco, J.; Bedwell, D.M. GTP hydrolysis by eRF3 facilitates stop codon decoding during eukaryotic translation termination. Mol. Cell. Biol. 2004, 24, 7769–7778. [Google Scholar] [CrossRef] [PubMed]
- Kong, C.; Ito, K.; Walsh, M.A.; Wada, M.; Liu, Y.; Kumar, S.; Barford, D.; Nakamura, Y.; Song, H. Crystal structure and functional analysis of the eukaryotic class II release factor eRF3 from S. pombe. Mol. Cell 2004, 14, 233–245. [Google Scholar] [CrossRef]
- Derkatch, I.L.; Bradley, M.E.; Zhou, P.; Chernoff, Y.O.; Liebman, S.W. Genetic and environmental factors affecting the de novo appearance of the [PSI+] prion in Saccharomyces cerevisiae. Genetics 1997, 147, 507–519. [Google Scholar] [CrossRef]
- Grant, S.G.; Jessee, J.; Bloom, F.R.; Hanahan, D. Differential plasmid rescue from transgenic mouse DNAs into Escherichia coli methylation-restriction mutants. Proc. Natl. Acad. Sci. USA 1990, 87, 4645–4649. [Google Scholar] [CrossRef]
- Studier, F.W.; Moffatt, B.A. Use of bacteriophage T7 RNA polymerase to direct selective high-level expression of cloned genes. J. Mol. Biol. 1986, 189, 113–130. [Google Scholar] [CrossRef]
- Kaiser, C.; Michaelis, S.; Mitchell, A. Methods in Yeast Genetics; Cold Spring Harbor Laboratory Press: Cold Spring Harbor, NY, USA, 1994; p. 234. [Google Scholar]
- Sambrook, J.; Fritsch, E.F.; Maniatis, T. Molecular Cloning: A Laboratory Manual; Cold Spring Harbor Laboratory Press: Cold Spring Harbor, NY, USA, 1989; p. 723. [Google Scholar]
- Eaglestone, S.S.; Ruddock, L.W.; Cox, B.; Tuite, M.F. Guanidine hydrochloride blocks a critical step in the propagation of the prion-like determinant [PSI+] of Saccharomyces cerevisiae. Proc. Natl. Acad. Sci. USA 2000, 97, 240–244. [Google Scholar] [CrossRef]
- Bondarev, S.A.; Shchepachev, V.V.; Kajava, A.V.; Zhouravleva, G.A. Effect of charged residues in the N-domain of Sup35 protein on prion [PSI+] stability and propagation. J. Biol. Chem. 2013, 288, 28503–28513. [Google Scholar] [CrossRef]
- Baker Brachmann, C.; Davies, A.; Cost, G.J.; Caputo, E.; Li, J.; Hieter, P.; Boeke, J.D. Designer deletion strains derived from Saccharomyces cerevisiae S288C: A useful set of strains and plasmids for PCR-mediated gene disruption and other applications. Yeast 1998, 14, 115–132. [Google Scholar] [CrossRef]
- Gietz, R.D.; Woods, R.A. Transformation of yeast by lithium acetate/single-stranded carrier DNA/polyethylene glycol method. In Methods in Enzymology; Elsevier: Amsterdam, The Netherlands, 2002; Volume 350, pp. 87–96. [Google Scholar] [CrossRef]
- Serio, T.R.; Cashikar, A.G.; Moslehi, J.J.; Kowal, A.S.; Lindquist, S.L. Yeast prion [PSI+] and its determinant, Sup35p. Methods Enzymol. 1999, 309, 649–673. [Google Scholar] [CrossRef] [PubMed]
- Frolova, L.Y.; Seit-Nebi, A.; Kisselev, L. Highly conserved NIKS tetrapeptide is functionally essential in eukaryotic translation termination factor eRF1. Rna 2002, 8, 129–136. [Google Scholar]
- Shuvalov, A.; Klishin, A.; Biziaev, N.; Shuvalova, E.; Alkalaeva, E. Functional activity of isoform 2 of human eRF1. Int. J. Mol. Sci. 2024, 25, 7997. [Google Scholar] [CrossRef] [PubMed]
- Allen, K.D.; Wegrzyn, R.D.; Chernova, T.A.; Müller, S.; Newnam, G.P.; Winslett, P.A.; Wittich, K.B.; Wilkinson, K.D.; Chernoff, Y.O. Hsp70 chaperones as modulators of prion life cycle: Novel effects of Ssa and Ssb on the Saccharomyces cerevisiae prion [PSI+]. Genetics 2005, 169, 1227–1242. [Google Scholar] [CrossRef]
- Cosson, B.; Couturier, A.; Chabelskaya, S.; Kiktev, D.; Inge-Vechtomov, S.; Philippe, M.; Zhouravleva, G. Poly (A)-binding protein acts in translation termination via eukaryotic release factor 3′ interaction and does not influence [PSI+] propagation. Mol. Cell. Biol. 2002, 22, 3301–3315. [Google Scholar]
- Kryndushkin, D.S.; Alexandrov, I.M.; Ter-Avanesyan, M.D.; Kushnirov, V.V. Yeast [PSI+] prion aggregates are formed by small Sup35 polymers fragmented by Hsp104. J. Biol. Chem. 2003, 278, 49636–49643. [Google Scholar] [CrossRef]
- Halfmann, R.; Lindquist, S. Screening for amyloid aggregation by Semi-Denaturing Detergent-Agarose Gel Electrophoresis. J. Vis. Exp. JoVE 2008, 17, e838. [Google Scholar] [CrossRef]
- Kushnirov, V.V.; Alexandrov, I.M.; Mitkevich, O.V.; Shkundina, I.S.; Ter-Avanesyan, M.D. Purification and analysis of prion and amyloid aggregates. Methods 2006, 39, 50–55. [Google Scholar] [CrossRef] [PubMed]
- Alkalaeva, E.Z.; Pisarev, A.V.; Frolova, L.Y.; Kisselev, L.L.; Pestova, T.V. In vitro reconstitution of eukaryotic translation reveals cooperativity between release factors eRF1 and eRF3. Cell 2006, 125, 1125–1136. [Google Scholar] [CrossRef]
- Rodríguez-Mateos, M.; Abia, D.; García-Gómez, J.J.; Morreale, A.; de la Cruz, J.; Santos, C.; Remacha, M.; Ballesta, J.P. The amino terminal domain from Mrt4 protein can functionally replace the RNA binding domain of the ribosomal P0 protein. Nucleic Acids Res. 2009, 37, 3514–3521. [Google Scholar] [CrossRef]
- Ivanov, A.; Mikhailova, T.; Eliseev, B.; Yeramala, L.; Sokolova, E.; Susorov, D.; Shuvalov, A.; Schaffitzel, C.; Alkalaeva, E. PABP enhances release factor recruitment and stop codon recognition during translation termination. Nucleic Acids Res. 2016, 44, 7766–7776. [Google Scholar] [CrossRef] [PubMed]
- Laemmli, U.K. Cleavage of structural proteins during the assembly of the head of bacteriophage T4. Nature 1970, 227, 680–685. [Google Scholar] [CrossRef] [PubMed]
- R Core Team. R: A Language and Environment for Statistical Computing; R Foundation for Statistical Computing: Vienna, Austria, 2021. [Google Scholar]
- Shen, C.h.H.; Komi, Y.; Nakagawa, Y.; Kamatari, Y.O.; Nomura, T.; Kimura, H.; Shida, T.; Burke, J.; Tamai, S.; Ishida, Y.; et al. Exposed Hsp70-binding site impacts yeast Sup35 prion disaggregation and propagation. Proc. Natl. Acad. Sci. USA 2024, 121, e2318162121. [Google Scholar] [CrossRef] [PubMed]







| Strain | Genotype | Reference |
|---|---|---|
| 7A-D832 | MATαade1-14 his7-1 leu2-3,112 lys2-739 trp1-289 ura3-52 SUP35::TRP1 [pYCH-U2] [PIN+] [psi−] | [41] |
| 10-7A-D832 | MATαade1-14 his7-1 leu2-3,112 lys2-739 trp1-289 ura3-52 SUP35::TRP1 [pYCH-U2] [PIN+] [PSI+] | [41] |
| U-14-D1690 | MATαade1-14 trp1-289 his3-Δ200 lys2 ura3-52 leu2-3,112 SUP35::HIS3MX [pRSU2] [PIN+] [psi−] | [9] |
| BY4742 | MATα his3Δ1 leu2Δ0 lys2Δ0 ura3Δ0 [PIN+] [psi−] | [42] (A gift from Youri I. Pavlov) |
| SUP35 Allele | Nucleotide Position in SUP35 | Nucleotide Position in hGSPT1 | Mutation | Amino Acid Position in Sup35 | Amino Acid Position in hGSPT1 (eRF3a) | Codon Substitution |
|---|---|---|---|---|---|---|
| sup35-10 | 1087 | 931 | G → A | 363 | 315 | Asp → Asn |
| sup35-25 | 1133 | 977 | C → T | 378 | 330 | Thr → Ile |
| sup35-228 | 1115 | 959 | C → T | 372 | 324 | Arg → Lys |
| Primer | Sequence 5′–3′ * |
|---|---|
| 10-eRF3a-human-F | GTGCCTCTCAAGCTAATTTGGCTGTGCTG |
| 10-eRF3a-human-R | CAGCACAGCCAAATTAGCTTGAGAGGCAC |
| 25-eRF3a-human-F | GAAAGGAGAGTTTGAAATTGGATTTGAAAAAGGAG |
| 25-eRF3a-human-R | CTCCTTTTTCAAATCCAATTTCAAACTCTCCTTTC |
| 228-eRF3a-human-F | CTGGTAATCTCAGCCAAGAAAGGAGAGTTTG |
| 228-eRF3a-human-R | CAAACTCTCCTTTCTTGGCTGAGATTACCAG |
| T341A-eRF3a-human-F | GAAAAGAAGCATTTCGCAATTCTAGATGCCCCTG |
| T341A-eRF3a-human-R | CAGGGGCATCTAGAATTGCGAAATGCTTCTTTTC |
| T341D-eRF3a-human-F | ACCGAAAAGAAGCATTTCGACATTCTAGATGCCCCTGG |
| T341D-eRF3a-human-R | CCAGGGGCATCTAGAATGTCGAAATGCTTCTTTTCGGT |
Disclaimer/Publisher’s Note: The statements, opinions and data contained in all publications are solely those of the individual author(s) and contributor(s) and not of MDPI and/or the editor(s). MDPI and/or the editor(s) disclaim responsibility for any injury to people or property resulting from any ideas, methods, instructions or products referred to in the content. |
© 2025 by the authors. Licensee MDPI, Basel, Switzerland. This article is an open access article distributed under the terms and conditions of the Creative Commons Attribution (CC BY) license (https://creativecommons.org/licenses/by/4.0/).
Share and Cite
Trubitsina, N.P.; Zemlyanko, O.M.; Matveenko, A.G.; Bondarev, S.A.; Moskalenko, S.E.; Maksiutenko, E.M.; Zudilova, A.A.; Rogoza, T.M.; Zhouravleva, G.A. Prion-Dependent Lethality of sup35 Missense Mutations Is Caused by Low GTPase Activity of the Mutant eRF3 Protein. Int. J. Mol. Sci. 2025, 26, 3434. https://doi.org/10.3390/ijms26073434
Trubitsina NP, Zemlyanko OM, Matveenko AG, Bondarev SA, Moskalenko SE, Maksiutenko EM, Zudilova AA, Rogoza TM, Zhouravleva GA. Prion-Dependent Lethality of sup35 Missense Mutations Is Caused by Low GTPase Activity of the Mutant eRF3 Protein. International Journal of Molecular Sciences. 2025; 26(7):3434. https://doi.org/10.3390/ijms26073434
Chicago/Turabian StyleTrubitsina, Nina P., Olga M. Zemlyanko, Andrew G. Matveenko, Stanislav A. Bondarev, Svetlana E. Moskalenko, Evgeniia M. Maksiutenko, Anna A. Zudilova, Tatiana M. Rogoza, and Galina A. Zhouravleva. 2025. "Prion-Dependent Lethality of sup35 Missense Mutations Is Caused by Low GTPase Activity of the Mutant eRF3 Protein" International Journal of Molecular Sciences 26, no. 7: 3434. https://doi.org/10.3390/ijms26073434
APA StyleTrubitsina, N. P., Zemlyanko, O. M., Matveenko, A. G., Bondarev, S. A., Moskalenko, S. E., Maksiutenko, E. M., Zudilova, A. A., Rogoza, T. M., & Zhouravleva, G. A. (2025). Prion-Dependent Lethality of sup35 Missense Mutations Is Caused by Low GTPase Activity of the Mutant eRF3 Protein. International Journal of Molecular Sciences, 26(7), 3434. https://doi.org/10.3390/ijms26073434

