Anti-Inflammatory and Antioxidant Effects of White Grape Pomace Polyphenols on Isoproterenol-Induced Myocardial Infarction
Abstract
1. Introduction
2. Results
2.1. White Grape Pomace Characterization
2.2. The Effect of WGP on ECG Parameters
2.3. The Effect of White Grape Pomace on Oxidative Stress Parameters
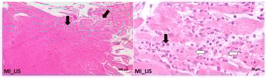
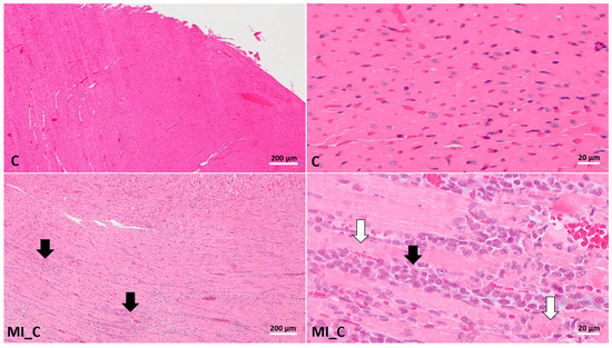
2.4. Histological Findings
3. Discussion
Limitations and Future Directions
4. Materials and Methods
4.1. Ethics Statement
4.2. Chemicals and Reagents
4.3. Plant Material
4.4. Grape Pomace Extraction
4.5. Total Polyphenol Content (TPC)
4.6. Phenolic Compounds Analysis by Liquid Chromatography-Diode Array Detection–Electro-Spray Ionization Mass Spectrometry (HPLC-DAD-ESI MS)
4.7. Animal Grouping and Myocardial Ischemia Induction
- (1)
- Group 1 (C), the control group, in which rats received only saline and no MI was induced.
- (2)
- Group 2 (MI-C), the myocardial infarction model group, in which rats were pre-treated with saline and MI was induced.
- (3)
- Group 3 (MI_WGP1), rats were pre-treated with 795 mg polyphenols from WGP/kg bw and MI was induced.
- (4)
- Group 4 (MI_WGP2), rats were pre-treated with 397.5 mg polyphenols from WGP/kg bw and MI was induced.
- (5)
- Group 5 (MI_LIS), rats were pre-treated with Lisinopril at a dose of 10 mg/kg bw and MI was induced.
4.8. Electrocardiography Monitoring
4.9. Blood Samples
4.10. Tissue Homogenate
4.11. Blood Samples and Serum Analysis
4.12. Histopathological Assessment
4.13. Statistical Analysis
5. Conclusions
Author Contributions
Funding
Institutional Review Board Statement
Informed Consent Statement
Data Availability Statement
Acknowledgments
Conflicts of Interest
Correction Statement
References
- Boarescu, I.; Boarescu, P.-M. Drug-Induced Myocardial Infarction: A Review of Pharmacological Triggers and Pathophysiological Mechanisms. J. Cardiovasc. Dev. Dis. 2024, 11, 406. [Google Scholar] [CrossRef] [PubMed]
- Thygesen, K.; Alpert, J.S.; Jaffe, A.S.; Chaitman, B.R.; Bax, J.J.; Morrow, D.A.; White, H.D.; ESC Scientific Document Group. Fourth universal definition of myocardial infarction. Eur. Heart J. 2019, 40, 237–269. [Google Scholar] [CrossRef] [PubMed]
- Sachdeva, P.; Kaur, K.; Fatima, S.; Mahak, F.; Noman, M.; Siddenthi, S.M.; Surksha, M.A.; Munir, M.; Fatima, F.; Sultanaet, S.S.; et al. Advancements in Myocardial Infarction Management: Exploring Novel Approaches and Strategies. Cureus 2023, 15, e45578. [Google Scholar] [CrossRef]
- Gulati, M.; Levy, P.D.; Mukherjee, D.; Amsterdam, E.; Bhatt, D.L.; Birtcher, K.K.; Blankstein, R.; Boyd, J.; Bullock-Palmeet, R.P.; Conejo, T.; et al. 2021 AHA/ACC/ASE/CHEST/SAEM/SCCT/ SCMR Guideline for the Evaluation and Diagnosis of Chest Pain: A Report of the American College of Cardiology/American Heart Association Joint Committee on Clinical Practice Guidelines. Circulation 2021, 144, E368–E454. [Google Scholar] [CrossRef] [PubMed]
- Damluji, A.A.; Forman, D.E.; Wang, T.Y.; Chikwe, J.; Kunadian, V.; Rich, M.W.; Young, B.A.; Page, R.L., II; DeVon, H.A.; Alexander, K.P.; et al. Management of Acute Coronary Syndrome in the Older Adult Population: A Scientific Statement from the American Heart Association. Circulation 2022, 147, e32–e62. [Google Scholar] [CrossRef]
- Rona, G. Catecholamine cardiotoxicity. J. Mol. Cell. Cardiol. 1985, 17, 291–306. [Google Scholar] [CrossRef]
- Halim, S.A.S.A.; Ghafar, N.A.; Jubri, Z.; Das, S. Induction of myocardial infarction in experimental animals: A review. J. Clin. Diagn. Res. 2018, 12, AE01–AE05. [Google Scholar] [CrossRef]
- Boarescu, P.-M.; Boarescu, I.; Bulboacă, A.E.; Bocșan, I.C.; Pop, R.M.; Gheban, D.; Râjnoveanu, R.-M.; Râjnoveanu, A.; Roşian, Ş.H.; Buzoianu, A.D.; et al. Multi-Organ Protective Effects of Curcumin Nanoparticles on Drug-Induced Acute Myocardial Infarction in Rats with Type 1 Diabetes Mellitus. Appl. Sci. 2021, 11, 5497. [Google Scholar] [CrossRef]
- Pop, R.M.; Vassilopoulou, E.; Jianu, M.E.; Roșian, Ș.H.; Taulescu, M.; Negru, M.; Bercian, C.; Boarescu, P.-M.; Bocsan, I.C.; Feketea, G.; et al. Nigella sativa oil attenuates inflammation and oxidative stress in experimental myocardial infarction. BMC Complement. Med. Ther. 2024, 24, 362. [Google Scholar] [CrossRef]
- Dogaru, G.; Bulboaca, A.E.; Gheban, D.; Boarescu, P.M.; Rus, V.; Festila, D.; Sitar-Taut, A.V.; Stanescu, I. Effect of liposomal curcumin on acetaminophen hepatotoxicity by down-regulation of oxidative stress and matrix metalloproteinases. In Vivo 2020, 34, 569–582. [Google Scholar] [CrossRef] [PubMed]
- Bocsan, I.C.; Pop, R.M.; Sabin, O.; Sarkandy, E.; Boarescu, P.-M.; Roşian, Ş.H.; Leru, P.M.; Chedea, V.S.; Socaci, S.A.; Buzoianu, A.D. Comparative Protective Effect of Nigella sativa Oil and Vitis vinifera Seed Oil in an Experimental Model of Isoproterenol-Induced Acute Myocardial Ischemia in Rats. Molecules 2021, 26, 3221. [Google Scholar] [CrossRef]
- Garg, M.; Khanna, D. Exploration of pharmacological interventions to prevent isoproterenol-induced myocardial infarction in experimental models. Ther. Adv. Cardiovasc. Dis. 2014, 8, 155–169. [Google Scholar] [CrossRef]
- Boarescu, P.-M.; Boarescu, I.; Bocșan, I.C.; Pop, R.M.; Gheban, D.; Bulboacă, A.E.; Nicula, C.; Râjnoveanu, R.-M.; Bolboacă, S.D. Curcumin Nanoparticles Protect against Isoproterenol Induced Myocardial Infarction by Alleviating Myocardial Tissue Oxidative Stress, Electrocardiogram, and Biological Changes. Molecules 2019, 24, 2802. [Google Scholar] [CrossRef] [PubMed]
- Balea, Ş.S.; Pârvu, A.E.; Pop, N.; Marín, F.Z.; Pârvu, M. Polyphenolic Compounds; Antioxidant; and Cardioprotective Effects of Pomace Extracts from Fetească Neagră Cultivar. Oxidative Med. Cell. Longev. 2018, 2018, 8194721. [Google Scholar] [CrossRef]
- Roşian, Ş.H.; Boarescu, I.; Boarescu, P.-M. Antioxidant and Anti-Inflammatory Effects of Bioactive Compounds in Atherosclerosis. Int. J. Mol. Sci. 2025, 26, 1379. [Google Scholar] [CrossRef] [PubMed]
- Chedea, V.S.; Macovei, Ș.O.; Bocșan, I.C.; Măgureanu, D.C.; Levai, A.M.; Buzoianu, A.D.; Pop, R.M. Grape Pomace Polyphenols as a Source of Compounds for Management of Oxidative Stress and Inflammation—A Possible Alternative for Non-Steroidal Anti-Inflammatory Drugs? Molecules 2022, 27, 6826. [Google Scholar] [CrossRef]
- Machado, T.O.X.; Portugal, I.; de AC Kodel, H.; Droppa-Almeida, D.; Dos Santos Lima, M.; Fathi, F.; Oliveira, B.P.P.; de Albuquerque-Júnior, R.L.C.; Dariva, C.; Souto, E.B. Therapeutic potential of grape pomace extracts: A review of scientific evidence. Food Biosci. 2024, 60, 104210. [Google Scholar] [CrossRef]
- Zhang, K.; Cao, J.; Yin, H.; Wang, J.; Wang, X.; Yang, Y.; Xi, Z. Microclimate diversity drives grape quality difference at high-altitude: Observation using PCA analysis and structural equation modeling (SEM). Food Res. Int. 2024, 191, 114644. [Google Scholar] [CrossRef]
- Azuma, A. Genetic and Environmental Impacts on the Biosynthesis of Anthocyanins in Grapes. Hortic. J. 2018, 87, 1–17. [Google Scholar] [CrossRef]
- Bocsan, I.C.; Măgureanu, D.C.; Pop, R.M.; Levai, A.M.; Macovei, Ș.O.; Pătrașca, I.M.; Chedea, V.S.; Buzoianu, A.D. Antioxidant and Anti-Inflammatory Actions of Polyphenols from Red and White Grape Pomace in Ischemic Heart Diseases. Biomedicines 2022, 10, 2337. [Google Scholar] [CrossRef]
- Abouelenein, D.; Mustafa, A.M.; Caprioli, G.; Ricciutelli, M.; Sagratini, G.; Vittori, S. Phenolic and nutritional profiles, and antioxidant activity of grape pomaces and seeds from Lacrima di Morro d’Alba and Verdicchio varieties. Food Biosci. 2023, 53, 102808. [Google Scholar] [CrossRef]
- Fuchs, C.; Bakuradze, T.; Steinke, R.; Grewal, R.; Eckert, G.P.; Richling, E. Polyphenolic composition of extracts from winery by-products and effects on cellular cytotoxicity and mitochondrial functions in HepG2 cells. J. Funct. Foods 2020, 70, 103988. [Google Scholar] [CrossRef]
- Peixoto, C.M.; Dias, M.I.; Alves, M.J.; Calhelha, R.C.; Barros, L.; Pinho, S.P.; Ferreira, I.C.F.R. Grape pomace as a source of phenolic compounds and diverse bioactive properties. Food Chem. 2018, 253, 132–138. [Google Scholar] [CrossRef] [PubMed]
- Onache, P.A.; Geana, E.-I.; Ciucure, C.T.; Florea, A.; Sumedrea, D.I.; Ionete, R.E.; Tița, O. Bioactive Phytochemical Composition of Grape Pomace Resulted from Different White and Red Grape Cultivars. Separations 2022, 9, 395. [Google Scholar] [CrossRef]
- Li, B.; Qi, L.W.; Wen, X.D.; Cao, J.; Li, P.; Zeng, J.X.; Yang, H.; Zhao, J.; Hu, R. Rapid and Sensitive Analysis of Tannins and Monoterpene Glycosides in Radix Paeoniae Alba Products by HPLC-MS. J. Liq. Chromatogr. Relat. Technol. 2009, 32, 2232–2245. [Google Scholar] [CrossRef]
- Rasines-Perea, Z.; Ky, I.; Cros, G.; Crozier, A.; Teissedre, P.-L. Grape Pomace: Antioxidant Activity, Potential Effect Against Hypertension and Metabolites Characterization after Intake. Diseases 2018, 6, 60. [Google Scholar] [CrossRef]
- Ky, I.; Crozier, A.; Cros, G.; Teissedre, P. Polyphenols composition of wine and grape sub-products and potential effects on chronic diseases. Nutr. Aging 2014, 2, 165–177. [Google Scholar]
- Deng, Q.; Penner, M.H.; Zhao, Y. Chemical composition of dietary fiber and polyphenols of five different varieties of wine grape pomace skins. Food Res. Int. 2011, 44, 2712–2720. [Google Scholar] [CrossRef]
- González-Centeno, M.R.; Jourdes, M.; Femenia, A.; Simal, S.; Rosselló, C.; Teissedre, P.L. Characterization of polyphenols and antioxidant potential of white grape pomace byproducts (Vitis vinifera L.). J. Agric. Food Chem. 2013, 61, 11579–11587. [Google Scholar] [CrossRef] [PubMed]
- Kammerer, D.; Claus, A.; Carle, R.; Schieber, A. Polyphenol Screening of Pomace from Red and White Grape Varieties (Vitis vinifera L.) by HPLC-DAD-MS/MS. J. Agric. Food Chem. 2004, 52, 4360–4367. [Google Scholar] [CrossRef]
- Acuña-Avila, P.E.; Vasquez-Murrieta, M.S.; Cortés-Camargo, S.; Hernández-Botello, M.T.; Ramos-Monroy, O.; López-Cortéz, M.d.S. Wine Polyphenol Content during the Fermentation of Vitis vinifera CS Grapes and Its Relationship with the Presence of Minerals in the Resulting Wine. Appl. Sci. 2023, 13, 8314. [Google Scholar] [CrossRef]
- Ferrer-Gallego, R.; Hernández-Hierro, J.M.; Rivas-Gonzalo, J.C.; Escribano-Bailón, M.T. Influence of climatic conditions on the phenolic composition of Vitis vinifera L. cv. Graciano. Anal. Chim. Acta 2012, 732, 73–77. [Google Scholar] [CrossRef] [PubMed]
- Li, Z.; Pan, Q.; Jin, Z.; Mu, L.; Duan, C. Comparison on phenolic compounds in Vitis vinifera cv. Cabernet Sauvignon wines from five wine-growing regions in China. Food Chem. 2011, 125, 77–83. [Google Scholar] [CrossRef]
- Ren, R.; Shi, J.; Zeng, M.; Tang, Z.; Xie, S.; Zhang, Z. Inter- and intra-varietal genetic variations co-shape the polyphenol profiles of Vitis vinifera L. grapes and wines. Food Chem. X 2023, 20, 101030. [Google Scholar] [CrossRef] [PubMed]
- Lopes, J.d.C.; Madureira, J.; Margaça, F.M.A.; Cabo Verde, S. Grape Pomace: A Review of Its Bioactive Phenolic Compounds, Health Benefits, and Applications. Molecules 2025, 30, 362. [Google Scholar] [CrossRef]
- Sfaxi, I.; Charradi, K.; Limam, F.; El May, M.V.; Aouani, E. Grape seed and skin extract protects against arsenic trioxide induced oxidative stress in rat heart. Can. J. Physiol. Pharmacol. 2016, 94, 168–176. [Google Scholar] [CrossRef]
- Hao, E.; Lang, F.; Chen, Y.; Zhang, H.; Cong, X.; Shen, X.; Su, G. Resveratrol Alleviates Endotoxin-Induced Myocardial Toxicity via the Nrf2 Transcription Factor. PLoS ONE 2013, 8, e69452. [Google Scholar] [CrossRef] [PubMed]
- Xuan, W.; Wu, B.; Chen, C.; Chen, B.; Zhang, W.; Xu, D.; Bin, J.; Liao, Y. Resveratrol improves myocardial ischemia and ischemic heart failure in mice by antagonizing the detrimental effects of fractalkine. Crit. Care Med. 2012, 40, 3026–3033. [Google Scholar] [CrossRef] [PubMed]
- Curiel-Fernández, M.; Bueno-Herrera, M.; Guadalupe, Z.; Ayestarán, B.; Pérez-Magariño, S. Chemical Characterization of Polysaccharide Extracts Obtained from Pomace By-Products of Different White Grape Varieties. Molecules 2023, 28, 6770. [Google Scholar] [CrossRef]
- Fraga, C.G.; Galleano, M.; Verstraeten, S.V.; Oteiza, P.I. Basic biochemical mechanisms behind the health benefits of polyphenols. Mol. Aspects Med. 2010, 31, 435–445. [Google Scholar] [CrossRef]
- Cherrak, S.A.; Mokhtari-Soulimane, N.; Berroukeche, F.; Bensenane, B.; Cherbonnel, A.; Merzouk, H.; Elhabiri, M. In Vitro Antioxidant versus Metal Ion Chelating Properties of Flavonoids: A Structure-Activity Investigation. PLoS ONE 2016, 11, e0165575. [Google Scholar] [CrossRef]
- Perron, N.R.; Brumaghim, J.L. A review of the antioxidant mechanisms of polyphenol compounds related to iron binding. Cell Biochem. Biophys. 2009, 53, 75–100. [Google Scholar] [CrossRef]
- Jaramillo Flores, M.E. Cocoa Flavanols: Natural Agents with Attenuating Effects on Metabolic Syndrome Risk Factors. Nutrients 2019, 11, 751. [Google Scholar] [CrossRef] [PubMed]
- Kim, J.M.; Heo, H.J. The roles of catechins in regulation of systemic inflammation. Food Sci. Biotechnol. 2022, 31, 957–970. Available online: https://pubmed.ncbi.nlm.nih.gov/35345441/ (accessed on 15 December 2024). [CrossRef]
- Thunhorst, R.L.; Grobe, C.L.; Beltz, T.G.; Johnson, A.K. Effects of β-adrenergic receptor agonists on drinking and arterial blood pressure in young and old rats. Am. J. Physiol.-Regul. Integr. Comp. Physiol. 2011, 300, R1001. [Google Scholar] [CrossRef]
- Hareeri, R.H.; Alam, A.M.; Bagher, A.M.; Alamoudi, A.J.; Aldurdunji, M.M.; Shaik, R.A.; Eid, B.G.; Ashour, O.M. Protective Effects of 2-Methoxyestradiol on Acute Isoproterenol-Induced Cardiac Injury in Rats. Saudi Pharm. J. 2023, 31, 101787. [Google Scholar] [CrossRef] [PubMed]
- Králová, E.; Mokrán, T.; Murín, J.; Stankovicová, T. Electrocardiography in two models of isoproterenol-induced left ventricular remodeling. Physiol. Res. 2008, 57, S83–S89. [Google Scholar] [CrossRef] [PubMed]
- Straus, S.M.J.M.; Kors, J.A.; De Bruin, M.L.; Van Der Hooft, C.S.; Hofman, A.; Heeringa, J.; Deckers, J.W.; Kingma, J.H.; Sturkenboom, M.C.J.M.; Stricker, B.H.C. Prolonged QTc interval and risk of sudden cardiac death in a population of older adults. J. Am. Coll. Cardiol. 2006, 47, 362–367. [Google Scholar] [CrossRef]
- Collins, P.; Billings, C.G. Isoprenaline-induced changes in regional myocardial perfusion in the pathogenesis of myocardial necrosis. Br. J. Exp. Pathol. 1976, 57, 637–644. [Google Scholar]
- Soraya, H.; Khorrami, A.; Garjani, A.; Maleki-Dizaji, N.; Garjani, A. Acute treatment with metformin improves cardiac function following isoproterenol induced myocardial infarction in rats. Pharmacol. Rep. 2012, 64, 1476–1484. [Google Scholar] [CrossRef] [PubMed]
- Dias da Silva, V.J.; Ferreira Neto, E.; Salgado, H.C.; Fazan Júnior, R. Chronic converting enzyme inhibition normalizes QT interval in aging rats. Braz. J. Med. Biol. Res. 2002, 35, 1025–1031. [Google Scholar] [CrossRef] [PubMed]
- Brown, N.J.; Vaughan, D.E. Angiotensin-converting enzyme inhibitors. Circulation 1998, 97, 1411–1420. [Google Scholar] [CrossRef] [PubMed]
- Jenča, D.; Melenovský, V.; Stehlik, J.; Staněk, V.; Kettner, J.; Kautzner, J.; Adámková, V.; Wohlfahrt, P. Heart failure after myocardial infarction: Incidence and predictors. ESC Heart Fail. 2021, 8, 222–237. [Google Scholar] [CrossRef] [PubMed]
- Kibel, A.; Lukinac, A.M.; Dambic, V.; Juric, I.; Relatic, K.S. Oxidative Stress in Ischemic Heart Disease. Oxidative Med. Cell. Longev. 2020, 2020, 6627144. [Google Scholar] [CrossRef]
- Surekha, R.H.; Srikanth, B.B.M.V.; Jharna, P.; Ramachandra, R.V.; Dayasagar, R.V.; Jyothy, A. Oxidative stress and total antioxidant status in myocardial infarction. Singapore Med. J. 2007, 48, 137–142. [Google Scholar]
- Ellidag, H.Y.; Eren, E.; Yilmaz, N.; Cekin, Y. Oxidative stress and ischemia-modified albumin in chronic ischemic heart failure. Redox Rep. 2014, 19, 118–123. [Google Scholar] [CrossRef]
- Ulrich, K.; Jakob, U. The role of thiols in antioxidant systems. Free Radic. Biol. Med. 2019, 140, 14–27. [Google Scholar] [CrossRef]
- Babu, S.; Shetty, J.K.; Prakash, M. Total thiols and MDA levels in patients with acute myocardial infarction before and after reperfusion therapy. Online J. Heal. Allied Sci. 2010, 9, 1–4. [Google Scholar]
- Shahzad, S.; Mateen, S.; Hasan, A.; Moin, S. GRACE score of myocardial infarction patients correlates with oxidative stress index, hsCRP and inflammation. Immunobiology 2019, 224, 433–439. [Google Scholar] [CrossRef] [PubMed]
- Blasi, F.; Trovarelli, V.; Mangiapelo, L.; Ianni, F.; Cossignani, L. Grape Pomace for Feed Enrichment to Improve the Quality of Animal-Based Foods. Foods 2024, 13, 3541. [Google Scholar] [CrossRef] [PubMed]
- Balea, Ş.S.; Pârvu, A.E.; Pop, N.; Marín, F.Z.; Andreicuț, A.; Pârvu, M. PHYTOCHEMICAL PROFILING, ANTIOXIDANT AND CARDIOPROTECTIVE PROPERTIES OF PINOT NOIR CULTIVAR POMACE EXTRACTS. Farmacia. 2018, 66, 432–441. [Google Scholar] [CrossRef]
- Całyniuk, B.; Grochowska-Niedworok, E.; Walkiewicz, K.W.; Kawecka, S.; Popiołek, E.; Fatyga, E. Malondialdehyde (MDA)—Product of lipid peroxidation as marker of homeostasis disorders and aging. Ann. Acad. Medicae Silesiensis 2016, 70, 224–228. [Google Scholar] [CrossRef]
- Boarescu, I.; Pop, R.M.; Boarescu, P.-M.; Bocșan, I.C.; Gheban, D.; Bulboacă, A.E.; Buzoianu, A.D.; Bolboacă, S.D. Ginger (Zingiber officinale) Root Capsules Enhance Analgesic and Antioxidant Efficacy of Diclofenac Sodium in Experimental Acute Inflammation. Antioxidants 2023, 12, 745. [Google Scholar] [CrossRef]
- Kathyaini, R. A Study on Malondialdehyde as an Oxidative Stress Marker in Patients with Myocardial Infarction at a Tertiary Care Centre. Natl. J. Lab. Med. 2017, 6, 13–16. [Google Scholar]
- Yu, H.; Guan, Q.; Guo, L.; Zhang, H.; Pang, X.; Cheng, Y.; Zhang, X.; Sun, Y. Gypenosides alleviate myocardial ischemia-reperfusion injury via attenuation of oxidative stress and preservation of mitochondrial function in rat heart. Cell Stress Chaperones 2016, 21, 429–437. [Google Scholar] [CrossRef]
- Boarescu, P.M.; Chirilă, I.; Bulboacă, A.E.; Bocșan, I.C.; Pop, R.M.; Gheban, D.; Bolboacă, S.D. Effects of curcumin nanoparticles in isoproterenol-induced myocardial infarction. Oxidative Med. Cell. Longev. 2019, 2019, 7847142. [Google Scholar] [CrossRef]
- Kurian, G.A.; Rajagopal, R.; Vedantham, S.; Rajesh, M. The Role of Oxidative Stress in Myocardial Ischemia and Reperfusion Injury and Remodeling: Revisited. Oxidative Med. Cell. Longev. 2016, 2016, 1656450. [Google Scholar] [CrossRef]
- Zivkovic, V.; Jakovljevic, V.; Pechanova, O.; Srejovic, I.; Joksimovic, J.; Selakovic, D.; Barudzic, N.; Djuric, D.M. Effects of DL-homocysteine thiolactone on cardiac contractility, coronary flow, and oxidative stress markers in the isolated rat heart: The role of different gasotransmitters. Biomed. Res. Int. 2013, 2013, 318471. [Google Scholar] [CrossRef]
- Petkovic, A.M.; Jakovljevic, V.L.; Bradic, J.V.; Jeremic, J.N.; Jeremic, N.S.; Nikolic Turnic, T.R.; Jovicic, N.U.; Rosic, V.Z.; Srejovic, I.M.; Zivkovic, V.I. The Effects of Potassium Cyanide on the Functional Recovery of Isolated Rat Hearts after Ischemia and Reperfusion: The Role of Oxidative Stress. Oxidative Med. Cell. Longev. 2018, 2018, 5979721. [Google Scholar] [CrossRef]
- Yu, X.; Ge, L.; Niu, L.; Lian, X.; Ma, H.; Pang, L. The Dual Role of Inducible Nitric Oxide Synthase in Myocardial Ischemia/Reperfusion Injury: Friend or Foe? Oxidative Med. Cell. Longev. 2018, 2018, 8364848. [Google Scholar] [CrossRef]
- Sapanidou, V.G.; Margaritis, I.; Siahos, N.; Arsenopoulos, K.; Dragatidou, E.; Taitzoglou, I.A.; Zervos, I.A.; Theodoridis, A.; Tsantarliotou, M.P. Antioxidant effect of a polyphenol-rich grape pomace extract on motility, viability and lipid peroxidation of thawed bovine spermatozoa. J. Biol. Res. 2014, 21, 19. [Google Scholar] [CrossRef]
- Ong, S.B.; Hernández-Reséndiz, S.; Crespo-Avilan, G.E.; Mukhametshina, R.T.; Kwek, X.Y.; Cabrera-Fuentes, H.A.; Hausenloy, D.J. Inflammation following acute myocardial infarction: Multiple players, dynamic roles, and novel therapeutic opportunities. Pharmacol. Ther. 2018, 186, 73–87. [Google Scholar] [CrossRef]
- Chen, Z.J.; Chen, Y.; Zhang, Q.; Liao, Y.H.; Cao, Z.; Du, Y.M.; Yang, H.; Chen, Z.J. Effect of tumor necrosis factor-α on neutralization of ventricular fibrillation in rats with acute myocardial infarction. Mediat. Inflamm. 2011, 2011, 565238. [Google Scholar] [CrossRef] [PubMed]
- Ritschel, V.N.; Seljeflot, I.; Arnesen, H.; Halvorsen, S.; Weiss, T.; Eritsland, J.; Andersen, G.Ø. IL-6 signalling in patients with acute ST-elevation myocardial infarction. Results Immunol. 2013, 4, 8–13. [Google Scholar] [CrossRef] [PubMed]
- Siwik, D.A.; Chang, D.L.F.; Colucci, W.S. Interleukin-1beta and tumor necrosis factor-alpha decrease collagen synthesis and increase matrix metalloproteinase activity in cardiac fibroblasts in vitro. Circ. Res. 2000, 86, 1259–1265. [Google Scholar] [CrossRef] [PubMed]
- Kawaguchi, M.; Takahashi, M.; Hata, T.; Kashima, Y.; Usui, F.; Morimoto, H.; Izawa, A.; Takahashi, Y.; Masumoto, J.; Koyama, J.; et al. Inflammasome activation of cardiac fibroblasts is essential for myocardial ischemia/reperfusion injury. Circulation 2011, 123, 594–604. [Google Scholar] [CrossRef]
- Nagaraju, C.K.; Dries, E.; Popovic, N.; Singh, A.A.; Haemers, P.; Roderick, H.L.; Claus, P.; Sipido, K.R.; Driesen, R.B. Global fibroblast activation throughout the left ventricle but localized fibrosis after myocardial infarction. Sci. Rep. 2017, 7, 10801. [Google Scholar] [CrossRef]
- Pomerantz, B.J.; Reznikov, L.L.; Harken, A.H.; Dinarello, C.A. Inhibition of caspase 1 reduces human myocardial ischemic dysfunction via inhibition of IL-18 and IL-1β. Proc. Natl. Acad. Sci. USA 2021, 98, 2871. [Google Scholar] [CrossRef]
- Fariña, E.; Daghero, H.; Bollati-Fogolín, M.; Boido, E.; Cantero, J.; Moncada-Basualto, M.; Olea-Azar, C.; Polticelli, F.; Paulino, M. Antioxidant Capacity and NF-kB-Mediated Anti-Inflammatory Activity of Six Red Uruguayan Grape Pomaces. Molecules 2023, 28, 3909. [Google Scholar] [CrossRef] [PubMed]
- Nishiumi, S.; Mukai, R.; Ichiyanagi, T.; Ashida, H. Suppression of lipopolysaccharide and galactosamine-induced hepatic inflammation by red grape pomace. J. Agric. Food Chem. 2012, 60, 9315–9320. [Google Scholar] [CrossRef]
- Caponio, G.R.; Minervini, F.; Tamma, G.; Gambacorta, G.; De Angelis, M. Promising Application of Grape Pomace and Its Agri-Food Valorization: Source of Bioactive Molecules with Beneficial Effects. Sustainability 2023, 15, 9075. [Google Scholar] [CrossRef]
- Martins, I.M.; Macedo, G.A.; Macedo, J.A. Biotransformed grape pomace as a potential source of anti-inflammatory polyphenolics: Effects in Caco-2 cells. Food Biosci. 2020, 35, 100607. [Google Scholar] [CrossRef]
- Martins, I.M.; Macedo, G.A.; Macedo, J.A.; Roberto, B.S.; Chen, Q.; Blumberg, J.B.; Chen, C.Y.O. Tannase enhances the anti-inflammatory effect of grape pomace in Caco-2 cells treated with IL-1β. J. Funct. Foods 2017, 29, 69–76. [Google Scholar] [CrossRef]
- Pop, A.; Bogdan, C.; Fizesan, I.; Iurian, S.; Carpa, R.; Bacali, C.; Vlase, L.; Benedec, D.; Moldovan, M.L. In Vitro Evaluation of Biological Activities of Canes and Pomace Extracts from Several Varieties of Vitis vinifera L. for Inclusion in Freeze-Drying Mouthwashes. Antioxidants 2022, 11, 218. [Google Scholar] [CrossRef] [PubMed]
- Nour, M.S.; Sarhan, N.R.; Mazroa, S.A.; Gawish, S.A. Histological and immunohistochemical study of cardiac telocytes in a rat model of isoproterenol-induced myocardial infarction with a reference to the effect of grape seed extract. Acta Histochem. 2017, 119, 747–758. [Google Scholar] [CrossRef] [PubMed]
- Pop, R.M.; Puia, I.C.; Puia, A.; Chedea, V.S.; Levai, A.M.; Bocsan, L.C.; Buzoianu, A.D. Pot Aloe vera gel—A natural source of antioxidants. Not. Bot. Horti Agrobot. Cluj-Napoca 2022, 50, 12732. [Google Scholar] [CrossRef]
- Pop, R.M.; Puia, I.C.; Puia, A.; Chedea, V.S.; Leopold, N.; Bocsan, I.C.; Buzoianu, A.D. Characterization of Trametes versicolor: Medicinal Mushroom with Important Health Benefits. Not. Bot. Horti Agrobot. Cluj. Napoca 2018, 46, 343–349. [Google Scholar] [CrossRef]
- Hassan, M.A.; Elmageed, G.M.A.; El-Qazaz, I.G.; El-Sayed, D.S.; El-Samad, L.M.; Abdou, H.M. The Synergistic Influence of Polyflavonoids from Citrus aurantifolia on Diabetes Treatment and Their Modulation of the PI3K/AKT/FOXO1 Signaling Pathways: Molecular Docking Analyses and In Vivo Investigations. Pharmaceutics 2023, 15, 2306. [Google Scholar] [CrossRef]
- Nabil-Adam, A.; Ashour, M.L.; Tamer, T.M.; Shreadah, M.A.; Hassan, M.A. Interaction of Jania rubens Polyphenolic Extract as an Antidiabetic Agent with α-Amylase, Lipase, and Trypsin: In Vitro Evaluations and In Silico Studies. Catalysts 2023, 13, 443. [Google Scholar] [CrossRef]
- Konopelski, P.; Ufnal, M. Electrocardiography in rats: A comparison to human. Physiol. Res. 2016, 65, 717–725. [Google Scholar] [CrossRef]
- Boarescu, I.; Boarescu, P.-M.; Pop, R.M.; Bocșan, I.C.; Gheban, D.; Bulboacă, A.E.; Buzoianu, A.D.; Bolboacă, S.D. Zingiber officinale Root Capsule Extract Synergistically Enhance the Anti-Inflammatory Effects of Diclofenac Sodium in Experimental Acute Inflammation. Int. J. Mol. Sci. 2024, 25, 1781. [Google Scholar] [CrossRef] [PubMed]
- Erel, O. A new automated colorimetric method for measuring total oxidant status. Clin. Biochem. 2005, 38, 1103–1111. [Google Scholar] [CrossRef]
- Miranda, K.M.; Espey, M.G.; Wink, D.A. A rapid, simple spectrophotometric method for simultaneous detection of nitrate and nitrite. Nitric Oxide 2001, 5, 62–71. [Google Scholar] [CrossRef]
- Draper, H.H.; Squires, E.J.; Mahmoodi, H.; Wu, J.; Agarwal, S.; Hadley, M. A comparative evaluation of thiobarbituric acid methods for the determination of malondialdehyde in biological materials. Free Radic. Biol. Med. 1993, 15, 353–363. [Google Scholar] [CrossRef] [PubMed]
- Erel, O. A novel automated method to measure total antioxidant response against potent free radical reactions. Clin. Biochem. 2004, 37, 112–119. [Google Scholar] [CrossRef] [PubMed]
- Hu, M.L. Measurement of protein thiol groups and glutathione in plasma. Methods Enzymol. 1994, 233, 380–385. [Google Scholar] [CrossRef]
- Abuelo, Á.; Hernández, J.; Benedito, J.L.; Castillo, C. Oxidative stress index (OSi) as a new tool to assess redox status in dairy cattle during the transition period. Animal 2013, 7, 1374–1378. [Google Scholar] [CrossRef]
- Metias, E.F.; Aboelmaaty, N.M.; Hussein, A.M.; Abdallah, E.W.; Abdelaziz, A. Modulation of ECG, Myocardial Oxidative Stress Markers and Connexion 43 Expression by Ascorbic Acid and Ferulic Acid in Isoproterenol-Induced Myocardial Infarction in Rats. Biochem. Physiol. Open Access 2016, 5, 1–10. [Google Scholar] [CrossRef]
- Jokinen, M.P.; Lieuallen, W.G.; Johnson, C.L.; Dunnick, J.; Nyska, A. Characterization of spontaneous and chemically induced cardiac lesions in rodent model systems: The national toxicology program experience. Cardiovasc. Toxicol. 2005, 5, 227–244. [Google Scholar] [CrossRef]










| No | Rt (min) | UV λmax (nm) | [M+H]+ (m/z) | Compound | Subclass | Concentration (μg/mL) | References |
|---|---|---|---|---|---|---|---|
| 1 | 3.29 | 270 | 138 | Hydroxybenzoic acid | Hydroxybenzoic acid | 133.80 ± 0.21 | [21] |
| 2 | 5.96 | 279 | 171 | Gallic acid | Hydroxybenzoic acid | 292.91 ± 18.30 | [21] |
| 3 | 9.23 | 280 | 155 | Dihydroxybenzoic acid | Hydroxybenzoic acid | 68.76 ± 1.98 | [22] |
| 4 | 9.45 | 260, 290 | 155 | Protocatechuic acid | Hydroxybenzoic acid | 75.05 ± 2.16 | [22] |
| 5 | 11.26 | 280 | 579, 291 | Procyanidin dimer I | Flavanol | 416.07 ± 13.04 | [21] |
| 6 | 11.81 | 280 | 579, 291 | Procyanidin dimer II | Flavanol | 408.84 ± 9.68 | [21] |
| 7 | 12.21 | 280 | 291 | Catechin | Flavanol | 1407.33 ± 22.82 | [21] |
| 8 | 12.51 | 280 | 1155, 291 | Procyanidin tetramer | Flavanol | 224.27 ± 3.94 | [23] |
| 9 | 12.97 | 280 | 579, 291 | Procyanidin dimer III | Flavanol | 406.15 ± 6.73 | [23] |
| 10 | 13.66 | 280 | 291 | Epicatechin | Flavanol | 1083.30 ± 21.46 | [21] |
| 11 | 14.05 | 2803 | 867, 291 | Procyanidin trimer | Flavanol | 268.54 ± 7.63 | [23] |
| 12 | 14.50 | 280 | 579, 291 | Procyanidin dimer IV | Flavanol | 1026.22 ± 15.65 | [23] |
| 13 | 15.67 | 261, 355 | 611, 303 | Quercetin-rutinoside | Flavonols | 55.87 ± 2.02 | [21] |
| 14 | 16.23 | 263, 355 | 465, 303 | Quercetin-glucoside | Flavonols | 126.30 ± 2.73 | [21] |
| 15 | 16.30 | 280 | 443 | Epicatechin gallate | Flavanol | 70.16 ± 1.16 | [24] |
| 16 | 16.72 | 262, 355 | 479, 303 | Quercetin-glucuronide | Flavonols | 295.59 ± 9.35 | [23] |
| 17 | 17.33 | 253, 350 | 449 | Kaempferol-glucoside | Flavonols | 117.68 ± 1.93 | [21] |
| 18 | 22.91 | 280 | 422, 346 | NI | Tannin | 825.69 ± 13.96 | [25] |
| 19 | 24.88 | 370 | 764, 548 | NI | Tannin | 574.12 ± 3.68 | [25] |
| Total | 7876.71 ± 158.41 | ||||||
| Groups | RR (mS) | HR (b/min) | PR (ms) | QRS (ms) | QT (ms) | QTc (ms) | AmpR |
|---|---|---|---|---|---|---|---|
| C | 202.0 (194.0–210.0) | 297.0 (285.7–309.2) | 43.5 (42.0–47.0) | 39.0 (37.0–40.0) | 87.0 (71.0–88.0) | 74.5 (60.2–79.4) | 2.5 (2.0–3.0) |
| MI_C | 196.5 (188.0–213.0) | 305.5 (281.6–319.1) | 46.0 (43.0–51.0) | 38.0 (36.0–43.0) | 81.0 (76.0–87.0) | 70.1 (66.2–73.3) | 2.0 (2.0–3.0) |
| MI_WGP1 | 201.0 (190.0–212.0) | 298.5 (283.0 –315.7) | 48.5 (43.0–51.0) | 38.0 (36.0–42.0) | 80.0 (74.0–85.0) | 70.3 (66.1–71.1) | 3.0 (2.0–3.0) |
| MI_WGP2 | 198.5 (187.0–224.0) | 302.3 (267.8–320.8) | 48.5 (44.0–50.0) | 41.0 (39.0–44.0) | 81.5 (76.0–84.0) | 67.8 (66.2–72.5) | 2.5 (2.0–3.0) |
| MI_LIS | 199.0 (187.0–224.0) | 301.5 (267.8–320.8) | 43.5 (41.0–46.0) | 39.0 (36.0–41.0) | 79.5 (74.0–87.0) | 69.6 (63.9–72.7) | 2.0 (2.0–3.0) |
| Groups | RR (mS) | HR (b/min) | PR (ms) | QRS (ms) | QT (ms) | QTc (ms) | AmpR |
|---|---|---|---|---|---|---|---|
| C | 196.5 (186.0–224.0) | 305.4 b,c,d,e (267.8–322.5) | 46.5 (44.0–49.0) | 39.0 b,c,d,e (36.0–40.0) | 80.0 b,e (74.0–87.0) | 70.5 b,c,d,e (66.3–71.3) | 3.0 b,c,d,e (2.0–3.0) |
| MI_C | 157.0 a (151.0–165.0) | 382.2 (363.6–397.3) | 43.5 (40.0–47.0) | 46.05 (44.0–53.0) | 93.0 (89.0–101.0) | 91.5 (87.8–97.4) | 0.0 (0.0–0.0) |
| MI_WGP1 | 159.0 a (142.0–168.0) | 377.4 (357.1–422.5) | 42.5 (39.0–47.0) | 50.5 (46.0–52.0) | 86.5 (82.0–89.0) | 84.6 (80.7–87.8) | 1.0 b (1.0–1.0) |
| MI_WGP2 | 158.5 a (142.0–162.0) | 378.5 (370.3–422.5) | 44.0 (43.0–45.0) | 46.5 (44.0–55.0) | 81.0 e (78.0–85.0) | 78.0 b (76.0–78.9) | 1.0 b (1.0–2.0) |
| MI_LIS | 154.0 a (148.0–172.0) | 389.6 (348.8–405.4) | 42.5 (40.0–46.0) | 51.5 (43.0–54.0) | 90.0 (83.0–95.0) | 87.9 (80.7–91.0) | 1.0 b (1.0–1.0) |
| Groups | TAC (mmol Trolox eq/L) | TOS (mmol H2O2/eq/L) | NO (mmol/L) | MDA (nmol/L) | Total Thiols (mmol/L) | OSI |
|---|---|---|---|---|---|---|
| C | 1096 (1.093–1.100) | 7.7 b,c,e (6.7–8.5) | 39.5 b (38.7–43.6) | 3.4 b,c,e (3.2–3.6) | 368.0 (267.0–587.0) | 7.0 b,c,e (6.1–7.7) |
| MI_C | 1097 (1.095–1.099) | 10.7 (9.7–12.2) | 46.2 (44.5–50.8) | 4.2 (3.3–4.5) | 319.0 c,e (297.0–395.0) | 9.7 (8.8–12.1) |
| MI_WGP1 | 1095 (1.094–1.096) | 13.0 (11.8–13.7) | 36.2 b (34.2–40.0) | 4.0 a (3.8–4.3) | 438.0 (405.0–505.0) | 11.8 (10.7–12.5) |
| MI_WGP2 | 1090 a,b,c,e (1.089–1.091) | 5.9 b,c,e (5.3–6.4) | 30.0 b,e (28.0–38.0) | 3.6 c,e (3.5–3.9) | 275.0 a,c,e (250.0–309.0) | 5.4 b,c,e (4.9–5.9) |
| MI_LIS | 1093 b (1.092–1.095) | 15.2 (8.0–17.6) | 40.3 b (39.0–43.1) | 4.3 (4.1–4.7) | 415.0 (397.0–481.0) | 13.8 (7.3–16.1) |
Disclaimer/Publisher’s Note: The statements, opinions and data contained in all publications are solely those of the individual author(s) and contributor(s) and not of MDPI and/or the editor(s). MDPI and/or the editor(s) disclaim responsibility for any injury to people or property resulting from any ideas, methods, instructions or products referred to in the content. |
© 2025 by the authors. Licensee MDPI, Basel, Switzerland. This article is an open access article distributed under the terms and conditions of the Creative Commons Attribution (CC BY) license (https://creativecommons.org/licenses/by/4.0/).
Share and Cite
Pop, R.M.; Boarescu, P.-M.; Bocsan, C.I.; Gherman, M.L.; Chedea, V.S.; Jianu, E.-M.; Roșian, Ș.H.; Boarescu, I.; Ranga, F.; Tomoiagă, L.L.; et al. Anti-Inflammatory and Antioxidant Effects of White Grape Pomace Polyphenols on Isoproterenol-Induced Myocardial Infarction. Int. J. Mol. Sci. 2025, 26, 2035. https://doi.org/10.3390/ijms26052035
Pop RM, Boarescu P-M, Bocsan CI, Gherman ML, Chedea VS, Jianu E-M, Roșian ȘH, Boarescu I, Ranga F, Tomoiagă LL, et al. Anti-Inflammatory and Antioxidant Effects of White Grape Pomace Polyphenols on Isoproterenol-Induced Myocardial Infarction. International Journal of Molecular Sciences. 2025; 26(5):2035. https://doi.org/10.3390/ijms26052035
Chicago/Turabian StylePop, Raluca Maria, Paul-Mihai Boarescu, Corina Ioana Bocsan, Mădălina Luciana Gherman, Veronica Sanda Chedea, Elena-Mihaela Jianu, Ștefan Horia Roșian, Ioana Boarescu, Floricuța Ranga, Liliana Lucia Tomoiagă, and et al. 2025. "Anti-Inflammatory and Antioxidant Effects of White Grape Pomace Polyphenols on Isoproterenol-Induced Myocardial Infarction" International Journal of Molecular Sciences 26, no. 5: 2035. https://doi.org/10.3390/ijms26052035
APA StylePop, R. M., Boarescu, P.-M., Bocsan, C. I., Gherman, M. L., Chedea, V. S., Jianu, E.-M., Roșian, Ș. H., Boarescu, I., Ranga, F., Tomoiagă, L. L., Sîrbu, A. D., Ungur, A., Taulescu, M., Pârvu, A. E., & Buzoianu, A. D. (2025). Anti-Inflammatory and Antioxidant Effects of White Grape Pomace Polyphenols on Isoproterenol-Induced Myocardial Infarction. International Journal of Molecular Sciences, 26(5), 2035. https://doi.org/10.3390/ijms26052035

