Molecular Modulation of Threadfin Fish Brain to Hypoxia Challenge and Recovery Revealed by Multi-Omics Profiling
Abstract
1. Introduction
2. Results and Discussion
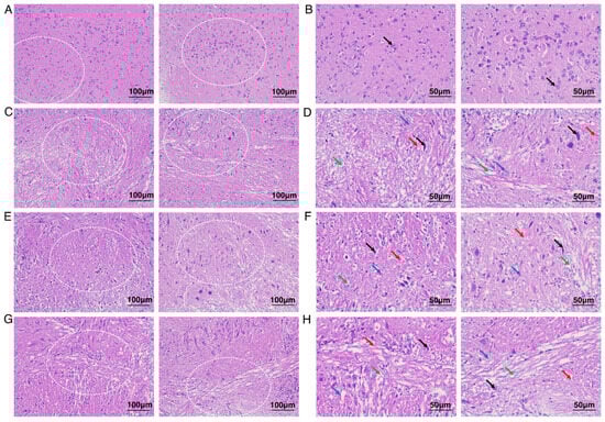
2.1. Morphological Alterations in the Threadfin Fish Brain During Hypoxia and Recovery
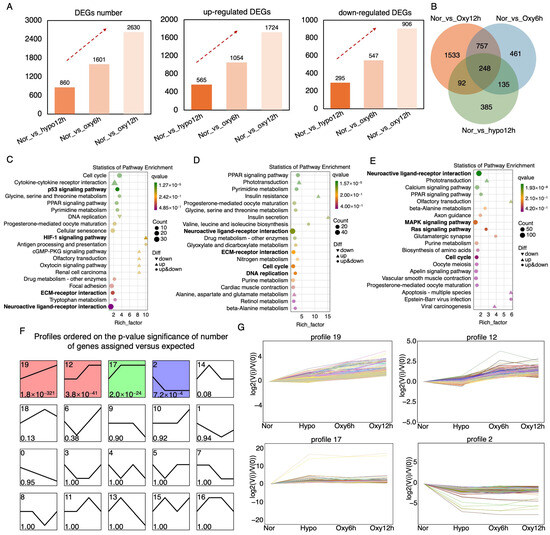
2.2. Comprehensive mRNA Expression Profiling Across the Hypoxia-Recovery Phages
2.3. Dynamic microRNA Modulation Throughout Hypoxia-Recovery Process
2.4. Proteomic Insights into the Hypoxia-Recovery Responses in Threadfin Fish
2.5. Integrated Negative miRNA-mRNA-Protein Regulatory Network Analysis
2.6. Underlying Metabolism Model During the Hypoxia-Recovery Stage in Eleutheronema tetradactylum Brain
3. Materials and Methods
3.1. Threadfin Fish Culture and Hypoxia-Recovery Experiments
3.2. mRNAome Sequencing and Data Processing
3.3. miRNAome Sequencing and Data Analysis
3.4. Proteome Sequencing and Data Exploration
3.5. Integrative Multi-Omics Analysis of mRNA, miRNA, and Proteins
3.6. Imaging of Threadfin Fish Brain During the Hypoxia-Recovery Processes
4. Conclusions
Supplementary Materials
Author Contributions
Funding
Institutional Review Board Statement
Data Availability Statement
Conflicts of Interest
Abbreviations
| ROS | Reactive oxygen species |
| DO | Dissolved oxygen |
| PBS | Phosphate-buffered saline |
| FPKM | Fragments Per Kilobase of transcript per Million fragments mapped |
| PCA | Principal Component Analysis |
| STEM | Short Time-series Expression Miner |
| rRNA | Ribosomal RNA |
| tRNA | Transfer RNA |
| snRNA | Small nuclear RNA |
| snoRNA | Small nucleolar RNA |
| miRNA | Micro RNA |
| FDR | False discovery rate |
| DEGs | Differentially expressed genes |
| DEMIs | Differentially expressed microRNAs |
| DEPs | Differentially expressed proteins |
| MAPK | Mitogen-activated protein kinase |
| GUCA1a | Guanylate cyclase activator 1a |
| LOC111585952 | Potassium voltage-gated channel subfamily V member 2-like |
| LOC110002783 | Retinal cone rhodopsin-sensitive cGMP 3′,5′-cyclic phosphodiesterase. subunit gamma |
| LOC115047007 | Hemoglobin embryonic subunit alpha-like |
| Hbbe1.1 | Hemoglobin subunit beta-2-like |
| MAP1a | Microtubule-associated protein 1A |
| PP6 | Serine/threonine-protein phosphatase 6 |
| PTPRN2 | Receptor-type tyrosine-protein phosphatase N2 |
| NWD2 | NACHT and WD repeat domain-containing protein 2 isoform X2 |
| SND1 | Staphylococcal nuclease domain-containing protein 1 |
| GIT1 | Arf-GAP with GTPase, ANK repeat, and PH domain-containing protein 1-like isoform X1 |
| DCX | Neuronal migration protein doublecortin |
| LARS | Leucine--tRNA ligase, cytoplasmic |
References
- Meng, J.; Wang, W.-X. Highly sensitive and specific responses of oyster hemocytes to copper exposure: Single-cell transcriptomic analysis of different cell populations. Environ. Sci. Technol. 2022, 56, 2497–2510. [Google Scholar] [CrossRef]
- Pollock, M.S.; Clarke, L.M.J.; Dubé, M.G. The effects of hypoxia on fishes: From ecological relevance to physiological effects. Environ. Rev. 2007, 15, 1–14. [Google Scholar] [CrossRef]
- Breitburg, D.; Levin, L.A.; Oschlies, A.; Grégoire, M.; Chavez, F.P.; Conley, D.J.; Garçon, V.; Gilbert, D.; Gutiérrez, D.; Isensee, K.; et al. Declining oxygen in the global ocean and coastal waters. Science 2018, 359, eaam7240. [Google Scholar] [CrossRef] [PubMed]
- Wurtsbaugh, W.A.; Paerl, H.W.; Dodds, W.K. Nutrients, eutrophication and harmful algal blooms along the freshwater to marine continuum. Wiley Interdiscip. Rev. Water 2019, 6, e1373. [Google Scholar] [CrossRef]
- Stramma, L.; Johnson, G.C.; Sprintall, J.; Mohrholz, V. Expanding oxygen-minimum zones in the tropical oceans. Science 2008, 320, 655–658. [Google Scholar] [CrossRef] [PubMed]
- Li, D.; Gan, J.; Hui, R.; Liu, Z.; Yu, L.; Lu, Z.; Dai, M. Vortex and biogeochemical dynamics for the hypoxia formation within the coastal transition zone off the Pearl River Estuary. J. Geophys. Res. Oceans 2020, 125, e2020JC016178. [Google Scholar] [CrossRef]
- Limburg, K.E.; Walther, B.D.; Lu, Z.; Jackman, G.; Mohan, J.; Walther, Y.; Nissling, A.; Weber, P.K.; Schmitt, A.K. In search of the dead zone: Use of otoliths for tracking fish exposure to hypoxia. J. Mar. Syst. 2015, 141, 167–178. [Google Scholar] [CrossRef]
- Iadecola, C. The pathobiology of vascular dementia. Neuron 2013, 80, 844–866. [Google Scholar] [CrossRef]
- Bickler, P.E.; Buck, L.T. Hypoxia tolerance in reptiles, amphibians, and fishes: Life with variable oxygen availability. Annu. Rev. Physiol. 2007, 69, 145–170. [Google Scholar] [CrossRef] [PubMed]
- Michiels, C. Physiological and pathological responses to hypoxia. Am. J. Pathol. 2004, 164, 1875–1882. [Google Scholar] [CrossRef]
- Neubauer, J.A.; Sunderram, J. Oxygen-sensing neurons in the central nervous system. J. Appl. Physiol. 2004, 96, 367–374. [Google Scholar] [CrossRef] [PubMed]
- Watts, M.E.; Pocock, R.; Claudianos, C. Brain energy and oxygen metabolism: Emerging role in normal function and disease. Front. Mol. Neurosci. 2018, 11, 216. [Google Scholar] [CrossRef] [PubMed]
- Hall, C.N.; Klein-Flügge, M.C.; Howarth, C.; Attwell, D. Oxidative phosphorylation, not glycolysis, powers presynaptic and postsynaptic mechanisms underlying brain information processing. J. Neurosci. 2012, 32, 8940–8951. [Google Scholar] [CrossRef] [PubMed]
- Dienel, G.A. Brain glucose metabolism: Integration of energetics with function. Physiol. Rev. 2019, 99, 949–1045. [Google Scholar] [CrossRef]
- McGarry, T.; Biniecka, M.; Veale, D.J.; Fearon, U. Hypoxia, oxidative stress and inflammation. Free Radic. Biol. Med. 2018, 125, 15–24. [Google Scholar] [CrossRef] [PubMed]
- Chen, R.; Lai, U.H.; Zhu, L.; Singh, A.; Ahmed, M.; Forsyth, N.R. Reactive oxygen species formation in the brain at different oxygen levels: The role of hypoxia inducible factors. Front. Cell Dev. Biol. 2018, 6, 132. [Google Scholar] [CrossRef] [PubMed]
- Lushchak, V.I.; Bagnyukova, T.V. Hypoxia induces oxidative stress in tissues of a goby, the rotan Perccottus glenii. Comp. Biochem. Physiol. Part B Biochem. Mol. Biol. 2007, 148, 390–397. [Google Scholar] [CrossRef] [PubMed]
- Johansson, D.; Nilsson, G.E. Roles of energy status, KATP channels and channel arrest in fish brain K+ gradient dissipation during anoxia. J. Exp. Biol. 1995, 198, 2575–2580. [Google Scholar] [CrossRef] [PubMed]
- Yin, D.; Zhao, C. Multi-omics analysis reveals the cerebral sex-specific responses to chronic hypoxia in yellow catfish (Pelteobagrus fulvidraco). Comp. Biochem. Physiol. Part D Genom. Proteom. 2025, 54, 101401. [Google Scholar] [CrossRef]
- Li, J.; Yang, Z.; Yan, J.; Zhang, K.; Ning, X.; Wang, T.; Ji, J.; Zhang, G.; Yin, S.; Zhao, C. Multi-omics analysis revealed the brain dysfunction induced by energy metabolism in Pelteobagrus vachelli under hypoxia stress. Ecotoxicol. Environ. Saf. 2023, 254, 114749. [Google Scholar] [CrossRef]
- Xuan, Z.; Wang, X.; Hajisamae, S.; Tsim, K.; Yang, J.; Wang, W. Otolith microchemistry reveals different environmental histories for two endangered fourfinger threadfin species. Mar. Ecol. Prog. Ser. 2022, 700, 161–178. [Google Scholar] [CrossRef]
- Xuan, Z.; Wang, W.-X. Diversity of life history and population connectivity of threadfin fish Eleutheronema tetradactylum along the coastal waters of Southern China. Sci. Rep. 2023, 13, 3976. [Google Scholar] [CrossRef]
- Huang, C.-T.; Afero, F.; Lu, F.-Y.; Chen, B.-Y.; Huang, P.-L.; Lan, H.-Y.; Hou, Y.-L. Bioeconomic evaluation of Eleutheronema tetradactylum farming: A case study in Taiwan. Fish. Sci. 2022, 88, 437–447. [Google Scholar] [CrossRef]
- Lu, Y.; Amenyogbe, E.; Yang, Y.; Wang, Z.L.; Jin, J.H.; Xie, R.T.; Droepenu, E.K.; Huang, J. Effects of hypoxia on the heart of the juvenile four-finger threadfin (Eleutheronema tetradactylum) based on physiological indicators and transcriptome analysis. Front. Mar. Sci. 2025, 12, 1530224. [Google Scholar] [CrossRef]
- Semenza, G.L. Hypoxia-inducible factor 1 (HIF-1) pathway. Science’s STKE 2007, 2007, cm8. [Google Scholar] [CrossRef] [PubMed]
- Wu, G.S. The functional interactions between the MAPK and p53 signaling pathways. Cancer Biol. Ther. 2004, 3, 156–161. [Google Scholar] [CrossRef] [PubMed]
- Helton, E.S.; Chen, X. p53 modulation of the DNA damage response. J. Cell. Biochem. 2007, 100, 883–896. [Google Scholar] [CrossRef] [PubMed]
- Zhao, D.; Wang, Q.; Zhou, W.T.; Wang, L.B.; Yu, H.; Zhang, K.K.; Chen, L.J.; Xie, X.L. PCB52 exposure alters the neurotransmission ligand-receptors in male offspring and contributes to sex-specific neurodevelopmental toxicity. Environ. Pollut. 2020, 264, 114715. [Google Scholar] [CrossRef]
- Wei, J.; Liu, J.; Liang, S.; Sun, M.; Duan, J. Low-dose exposure of silica nanoparticles induces neurotoxicity via neuroactive ligand–receptor interaction signaling pathway in zebrafish embryos. Int. J. Nanomed. 2020, 15, 4407–4415. [Google Scholar] [CrossRef] [PubMed]
- Maddika, S.; Ande, S.; Panigrahi, S.; Paranjothy, T.; Weglarczyk, K.; Zuse, A.; Eshraghi, M.; Manda, K.; Wiechec, E.; Los, M. Cell survival, cell death and cell cycle pathways are interconnected: Implications for cancer therapy. Drug Resist. Updates 2007, 10, 13–29. [Google Scholar] [CrossRef]
- Kyriakis, J.M.; Avruch, J. Mammalian MAPK signal transduction pathways activated by stress and inflammation: A 10-year update. Physiol. Rev. 2012, 92, 689–737. [Google Scholar] [CrossRef] [PubMed]
- Drosten, M.; Dhawahir, A.; Sum, E.Y.M.; Urosevic, J.; Lechuga, C.G.; Esteban, L.M.; Castellano, E.; Guerra, C.; Santos, E.; Barbacid, M. Genetic analysis of Ras signalling pathways in cell proliferation, migration and survival. EMBO J. 2010, 29, 1091–1104. [Google Scholar] [CrossRef]
- McGowan, K.L.; Passow, C.N.; Arias-Rodriguez, L.; Tobler, M.; Kelley, J.L. Expression analyses of cave mollies (Poecilia mexicana) reveal key genes involved in the early evolution of eye regression. Biol. Lett. 2019, 15, 20190554. [Google Scholar] [CrossRef] [PubMed]
- Pischalnikova, A.V.; Sokolova, O.S. The domain and conformational organization in potassium voltage-gated ion channels. J. Neuroimmune Pharmacol. 2009, 4, 71–82. [Google Scholar] [CrossRef] [PubMed]
- Dell’Orco, D.; Dal Cortivo, G. Normal GCAPs partly compensate for altered cGMP signaling in retinal dystrophies associated with mutations in GUCA1A. Sci. Rep. 2019, 9, 20105. [Google Scholar] [CrossRef] [PubMed]
- Gou, X.; Li, N.; Lian, L.; Yan, D.; Zhang, H.; Wei, Z.; Wu, C. Hypoxic adaptations of hemoglobin in Tibetan chick embryo: High oxygen-affinity mutation and selective expression. Comp. Biochem. Physiol. Part B Biochem. Mol. Biol. 2007, 147, 147–155. [Google Scholar] [CrossRef]
- Storz, J.F.; Moriyama, H. Mechanisms of hemoglobin adaptation to high altitude hypoxia. High Alt. Med. Biol. 2008, 9, 148–157. [Google Scholar] [CrossRef] [PubMed]
- Kang, T.; Ye, J.; Qin, P.; Li, H.; Yao, Z.; Liu, Y.; Ling, Y.; Zhang, Y.; Yu, T.; Cao, H.; et al. Knockdown of Ptprn-2 delays the onset of puberty in female rats. Theriogenology 2021, 176, 137–148. [Google Scholar] [CrossRef] [PubMed]
- Yao, P.; Fox, P.L. Aminoacyl-tRNA synthetases in medicine and disease. EMBO Mol. Med. 2013, 5, 332–343. [Google Scholar] [CrossRef]
- Huo, D.; Liu, S.; Zhang, L.; Yang, H.; Sun, L. Importance of the ECM–receptor interaction for adaptive response to hypoxia based on integrated transcription and translation analysis. Mol. Ecol. 2024, e17352. [Google Scholar] [CrossRef]
- De, A. Wnt/Ca2+ signaling pathway: A brief overview. Acta Biochim. Biophys. Sin 2011, 43, 745–756. [Google Scholar] [CrossRef]
- Faller, E.M.; Brown, D.L. Modulation of microtubule dynamics by the microtubule-associated protein 1a. J. Neurosci. Res. 2009, 87, 1080–1089. [Google Scholar] [CrossRef] [PubMed]
- Faller, E.M.; Villeneuve, T.S.; Brown, D.L. MAP1a associated light chain 3 increases microtubule stability by suppressing microtubule dynamics. Mol. Cell. Neurosci. 2009, 41, 85–93. [Google Scholar] [CrossRef] [PubMed]
- Janssens, V.; Goris, J. Protein phosphatase 2A: A highly regulated family of serine/threonine phosphatases implicated in cell growth and signalling. Biochem. J. 2001, 353, 417–439. [Google Scholar] [CrossRef] [PubMed]
- Brautigan, D.L.; Shenolikar, S. Protein serine/threonine phosphatases: Keys to unlocking regulators and substrates. Annu. Rev. Biochem. 2018, 87, 921–964. [Google Scholar] [CrossRef]
- Yamada, S.; Furukawa, R.; Sakakibara, S. Identification and expression profile of novel STAND gene Nwd2 in the mouse central nervous system. Gene Expr. Patterns 2022, 46, 119284. [Google Scholar] [CrossRef]
- Navarro-Imaz, H.; Ochoa, B.; García-Arcos, I.; Martínez, M.J.; Chico, Y.; Fresnedo, O.; Rueda, Y. Molecular and cellular insights into the role of SND1 in lipid metabolism. Biochim. Biophys. Acta—Mol. Cell Biol. Lipids 2020, 1865, 158589. [Google Scholar] [CrossRef] [PubMed]
- Fass, D.M.; Lewis, M.C.; Ahmad, R.; Szucs, M.J.; Zhang, Q.; Fleishman, M.; Wang, D.; Kim, M.J.; Biag, J.; Carr, S.A.; et al. Brain-specific deletion of GIT1 impairs cognition and alters phosphorylation of synaptic protein networks implicated in schizophrenia susceptibility. Mol. Psychiatry 2022, 27, 3272–3285. [Google Scholar] [CrossRef] [PubMed]
- Yu, J.A.; Foley, F.C.; Amack, J.D.; Turner, C.E. The cell adhesion-associated protein Git2 regulates morphogenetic movements during zebrafish embryonic development. Dev. Biol. 2011, 349, 225–237. [Google Scholar] [CrossRef] [PubMed]
- Reiner, O. LIS1 and DCX: Implications for brain development and human disease in relation to microtubules. Scientifica 2013, 2013, 393975. [Google Scholar] [CrossRef] [PubMed]
- Pang, Y.L.J.; Poruri, K.; Martinis, S.A. tRNA synthetase: tRNA aminoacylation and beyond. Wiley Interdiscip. Rev. RNA 2014, 5, 461–480. [Google Scholar] [CrossRef]
- Zhao, X.; Guan, J.L. Focal adhesion kinase and its signaling pathways in cell migration and angiogenesis. Adv. Drug Deliv. Rev. 2011, 63, 610–615. [Google Scholar] [CrossRef] [PubMed]
- MacArthur Clark, J.A.; Sun, D. Guidelines for the ethical review of laboratory animal welfare People’s Republic of China National Standard GB/T 35892-2018 [Issued 6 February 2018 Effective from 1 September 2018]. Anim. Models Exp. Med. 2020, 3, 103–113. [Google Scholar] [CrossRef]
- Brown, J.; Pirrung, M.; McCue, L.A. FQC Dashboard: Integrates FastQC results into a web-based, interactive, and extensible FASTQ quality control tool. Bioinformatics 2017, 33, 3137–3139. [Google Scholar] [CrossRef] [PubMed]
- Bolger, A.M.; Lohse, M.; Usadel, B. Trimmomatic: A flexible trimmer for Illumina sequence data. Bioinformatics 2014, 30, 2114–2120. [Google Scholar] [CrossRef]
- Kim, D.; Paggi, J.M.; Park, C.; Bennett, C.; Salzberg, S.L. Graph-based genome alignment and genotyping with HISAT2 and HISAT-genotype. Nat. Biotechnol. 2019, 37, 907–915. [Google Scholar] [CrossRef] [PubMed]
- Pertea, M.; Pertea, G.M.; Antonescu, C.M.; Chang, T.-C.; Mendell, J.T.; Salzberg, S.L. StringTie enables improved reconstruction of a transcriptome from RNA-seq reads. Nat. Biotechnol. 2015, 33, 290–295. [Google Scholar] [CrossRef] [PubMed]
- Abdi, H.; Williams, L.J. Principal component analysis. Wiley Interdiscip. Rev. Comput. Stat. 2010, 2, 433–459. [Google Scholar] [CrossRef]
- Love, M.I.; Huber, W.; Anders, S. Moderated estimation of fold change and dispersion for RNA-seq data with DESeq2. Genome Biol. 2014, 15, 550. [Google Scholar] [CrossRef]
- Yu, G.; Wang, L.-G.; Han, Y.; He, Q.-Y. clusterProfiler: An R package for comparing biological themes among gene clusters. Omics J. Integr. Biol. 2012, 16, 284–287. [Google Scholar] [CrossRef] [PubMed]
- Ernst, J.; Bar-Joseph, Z. STEM: A tool for the analysis of short time series gene expression data. BMC Bioinform. 2006, 7, 191. [Google Scholar] [CrossRef] [PubMed]
- Langmead, B. Aligning short sequencing reads with Bowtie. Curr. Protoc. Bioinform. 2010, 32, 11.7.1–11.7.14. [Google Scholar] [CrossRef] [PubMed]
- Kozomara, A.; Birgaoanu, M.; Griffiths-Jones, S. miRBase: From microRNA sequences to function. Nucleic Acids Res. 2019, 47, D155–D162. [Google Scholar] [CrossRef]
- Friedländer, M.R.; Mackowiak, S.D.; Li, N.; Chen, W.; Rajewsky, N. miRDeep2 accurately identifies known and hundreds of novel microRNA genes in seven animal clades. Nucleic Acids Res. 2012, 40, 37–52. [Google Scholar] [CrossRef]
- Ye, J.; McGinnis, S.; Madden, T.L. BLAST: Improvements for better sequence analysis. Nucleic Acids Res. 2006, 34 (Suppl. S2), W6–W9. [Google Scholar] [CrossRef]
- Tyanova, S.; Temu, T.; Cox, J. The MaxQuant computational platform for mass spectrometry-based shotgun proteomics. Nat. Protoc. 2016, 11, 2301–2319. [Google Scholar] [CrossRef] [PubMed]
- McKinney, W. pandas: A foundational Python library for data analysis and statistics. Python High Perform. Sci. Comput. 2011, 14, 1–9. [Google Scholar]
- Wickham, H. ggplot2. Wiley Interdiscip. Rev. Comput. Stat. 2011, 3, 180–185. [Google Scholar] [CrossRef]
- Buchfink, B.; Xie, C.; Huson, D.H. Fast and sensitive protein alignment using DIAMOND. Nat. Methods 2015, 12, 59–60. [Google Scholar] [CrossRef] [PubMed]
- Chen, H.; Boutros, P.C. VennDiagram: A package for the generation of highly-customizable Venn and Euler diagrams in R. BMC Bioinform. 2011, 12, 35. [Google Scholar] [CrossRef] [PubMed]
- Shannon, P.; Markiel, A.; Ozier, O.; Baliga, N.S.; Wang, J.T.; Ramage, D.; Amin, N.; Schwikowski, B.; Ideker, T. Cytoscape: A software environment for integrated models of biomolecular interaction networks. Genome Res. 2003, 13, 2498–2504. [Google Scholar] [CrossRef]






Disclaimer/Publisher’s Note: The statements, opinions and data contained in all publications are solely those of the individual author(s) and contributor(s) and not of MDPI and/or the editor(s). MDPI and/or the editor(s) disclaim responsibility for any injury to people or property resulting from any ideas, methods, instructions or products referred to in the content. |
© 2025 by the authors. Licensee MDPI, Basel, Switzerland. This article is an open access article distributed under the terms and conditions of the Creative Commons Attribution (CC BY) license (https://creativecommons.org/licenses/by/4.0/).
Share and Cite
Ma, X.; Wang, W.-X. Molecular Modulation of Threadfin Fish Brain to Hypoxia Challenge and Recovery Revealed by Multi-Omics Profiling. Int. J. Mol. Sci. 2025, 26, 1703. https://doi.org/10.3390/ijms26041703
Ma X, Wang W-X. Molecular Modulation of Threadfin Fish Brain to Hypoxia Challenge and Recovery Revealed by Multi-Omics Profiling. International Journal of Molecular Sciences. 2025; 26(4):1703. https://doi.org/10.3390/ijms26041703
Chicago/Turabian StyleMa, Xiaoli, and Wen-Xiong Wang. 2025. "Molecular Modulation of Threadfin Fish Brain to Hypoxia Challenge and Recovery Revealed by Multi-Omics Profiling" International Journal of Molecular Sciences 26, no. 4: 1703. https://doi.org/10.3390/ijms26041703
APA StyleMa, X., & Wang, W.-X. (2025). Molecular Modulation of Threadfin Fish Brain to Hypoxia Challenge and Recovery Revealed by Multi-Omics Profiling. International Journal of Molecular Sciences, 26(4), 1703. https://doi.org/10.3390/ijms26041703

