Histology of the Upper Gastrointestinal Tract, Morphometry and Lymphocyte Subpopulations of the Duodenal Mucosa: Insights from Healthy Individuals
Abstract
1. Introduction
2. Results
2.1. Baseline Characteristics of the Study Population
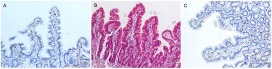
2.2. Histological Features (Lymphocytes, Eosinophils and Mast Cells)
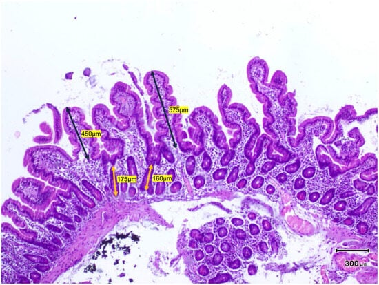
2.3. Duodenal Morphometry
2.4. Intestinal Lymphocyte Subpopulations
3. Discussion
4. Materials and Methods
4.1. Study Design, Definitions, Patients and Controls
4.2. Assessment of Subjects and Endoscopic Sample Collection
4.3. Histopathological Assessment
4.4. Morphometric Assessment
4.5. Coeliac Serology and HLA-DQ Genotyping
4.6. Intestinal Lymphocyte Isolation and Quantification by Flow Cytometry
4.7. Statistical Analysis
5. Conclusions
Supplementary Materials
Author Contributions
Funding
Institutional Review Board Statement
Informed Consent Statement
Data Availability Statement
Acknowledgments
Conflicts of Interest
References
- Martín-Cardona, A.; Carrasco, A.; Arau, B.; Vidal, J.; Tristán, E.; Ferrer, C.; Gonzalez-Puglia, G.; Pallarès, N.; Tebé, C.; Farrais, S.; et al. Γδ+ T-Cells Is a Useful Biomarker for the Differential Diagnosis between Celiac Disease and Non-Celiac Gluten Sensitivity in Patients under Gluten Free Diet. Nutrients 2024, 16, 2294. [Google Scholar] [CrossRef]
- Esteve, M.; Salas, A.; Fernandez-Banares, F.; Lloreta, J.; Marine, M.; Gonzalez, C.I.; Forne, M.; Casalots, J.; Santaolalla, R.; Espinos, J.C.; et al. Intestinal Spirochetosis and Chronic Watery Diarrhea: Clinical and Histological Response to Treatment and Long-Term Follow Up. J. Gastroenterol. Hepatol. 2006, 21, 1326–1333. [Google Scholar] [CrossRef]
- Walker, M.M.; Murray, J.A. An Update in the Diagnosis of Coeliac Disease. Histopathology 2010, 59, 166–179. [Google Scholar] [CrossRef]
- Pellegrino, S.; Villanacci, V.; Sansotta, N.; Scarfã, R.; Bassotti, G.; Vieni, G.; Princiotta, A.; Sferlazzas, C.; Magazzù, G.; Tuccari, G. Redefining the Intraepithelial Lymphocytes Threshold to Diagnose Gluten Sensitivity in Patients with Architecturally Normal Duodenal Histology. Aliment. Pharmacol. Ther. 2011, 33, 697–706. [Google Scholar] [CrossRef]
- Hayat, M.; Cairns, A.; Dixon, M.F.; O’Mahony, S. Quantitation of Intraepithelial Lymphocytes in Human Duodenum: What Is Normal? J. Clin. Pathol. 2002, 55, 393–394. [Google Scholar] [CrossRef] [PubMed]
- Al-Toma, A.; Volta, U.; Auricchio, R.; Castillejo, G.; Sanders, D.S.; Cellier, C.; Mulder, C.J.; Lundin, K.E.A. European Society for the Study of Coeliac Disease (ESsCD) Guideline for Coeliac Disease and Other Gluten-related Disorders. United Eur. Gastroenterol. J. 2019, 7, 583–613. [Google Scholar] [CrossRef] [PubMed]
- Papadopoulou, A.; Amil-Dias, J.; Auth, M.K.H.; Chehade, M.; Collins, M.H.; Gupta, S.K.; Gutiérrez-Junquera, C.; Orel, R.; Vieira, M.C.; Zevit, N.; et al. Joint ESPGHAN/NASPGHAN Guidelines on Childhood Eosinophilic Gastrointestinal Disorders Beyond Eosinophilic Esophagitis. J. Pediatr. Gastroenterol. Nutr. 2024, 78, 122–152. [Google Scholar] [CrossRef]
- Camarero, C.; Leon, F.; Sanchez, L.; Asensio, A.; Roy, G. Age-Related Variation of Intraepithelial Lymphocytes Subsets in Normal Human Duodenal Mucosa. Dig. Dis. Sci. 2007, 52, 685–691. [Google Scholar] [CrossRef] [PubMed]
- Drossman, D.A. Functional Gastrointestinal Disorders: History, Pathophysiology, Clinical Features, and Rome IV. Gastroenterology 2016, 150, 1262–1279.e2. [Google Scholar] [CrossRef] [PubMed]
- Ionescu, V.A.; Gheorghe, G.; Georgescu, T.F.; Bacalbasa, N.; Gheorghe, F.; Diaconu, C.C. The Latest Data Concerning the Etiology and Pathogenesis of Irritable Bowel Syndrome. J. Clin. Med. 2024, 13, 5124. [Google Scholar] [CrossRef]
- Lee, K.N.; Lee, O.Y. The Role of Mast Cells in Irritable Bowel Syndrome. Gastroenterol. Res. Pract. 2016, 2016, 2031480. [Google Scholar] [CrossRef]
- Lazaridis, N.; Germanidis, G. Current Insights into the Innate Immune System Dysfunction in Irritable Bowel Syndrome. Ann. Gastroenterol. 2018, 31, 171–187. [Google Scholar] [CrossRef] [PubMed]
- Reber, L.L.; Sibilano, R.; Mukai, K.; Galli, S.J. Potential Effector and Immunoregulatory Functions of Mast Cells in Mucosal Immunity. Mucosal Immunol. 2015, 8, 444–463. [Google Scholar] [CrossRef] [PubMed]
- Wouters, M.M.; Vicario, M.; Santos, J. The Role of Mast Cells in Functional GI Disorders. Gut 2016, 65, 155–168. [Google Scholar] [CrossRef]
- Walker, M.M.; Talley, N.J.; Prabhakar, M.; Pennaneac’H, C.J.; Aro, P.; Ronkainen, J.; Storskrubb, T.; Harmsen, W.S.; Zinsmeister, A.R.; Agreus, L. Duodenal Mastocytosis, Eosinophilia and Intraepithelial Lymphocytosis as Possible Disease Markers in the Irritable Bowel Syndrome and Functional Dyspepsia. Aliment. Pharmacol. Ther. 2009, 29, 765–773. [Google Scholar] [CrossRef]
- Fernández-Bañares, F.; Carrasco, A.; Martín, A.; Esteve, M. Systematic Review and Meta-Analysis: Accuracy of Both Gamma Delta+ Intraepithelial Lymphocytes and Coeliac Lymphogram Evaluated by Flow Cytometry for Coeliac Disease Diagnosis. Nutrients 2019, 11, 1992. [Google Scholar] [CrossRef]
- Rostami, K.; Ensari, A.; Marsh, M.N.; Srivastava, A.; Villanacci, V.; Carroccio, A.; Asadzadeh Aghdaei, H.; Bai, J.C.; Bassotti, G.; Becheanu, G.; et al. Gluten Induces Subtle Histological Changes in Duodenal Mucosa of Patients with Non-Coeliac Gluten Sensitivity: A Multicentre Study. Nutrients 2022, 14, 2487. [Google Scholar] [CrossRef]
- Dellon, E.S.; Gonsalves, N.; Abonia, J.P.; Alexander, J.A.; Arva, N.C.; Atkins, D.; Attwood, S.E.; Auth, M.K.H.; Bailey, D.D.; Biederman, L.; et al. International Consensus Recommendations for Eosinophilic Gastrointestinal Disease Nomenclature. Clin. Gastroenterol. Hepatol. 2022, 20, 2474–2484.e3. [Google Scholar] [CrossRef]
- Dhar, A.; Haboubi, H.N.; Attwood, S.E.; Auth, M.K.H.; Dunn, J.M.; Sweis, R.; Morris, D.; Epstein, J.; Novelli, M.R.; Hunter, H.; et al. British Society of Gastroenterology (BSG) and British Society of Paediatric Gastroenterology, Hepatology and Nutrition (BSPGHAN) Joint Consensus Guidelines on the Diagnosis and Management of Eosinophilic Oesophagitis in Children and Adults. Gut 2022, 71, 1459–1487. [Google Scholar] [CrossRef]
- Liacouras, C.A.; Furuta, G.T.; Hirano, I.; Atkins, D.; Attwood, S.E.; Bonis, P.A.; Burks, A.W.; Chehade, M.; Collins, M.H.; Dellon, E.S.; et al. Eosinophilic Esophagitis: Updated Consensus Recommendations for Children and Adults. J. Allergy Clin. Immunol. 2011, 128, 3–20.e6. [Google Scholar] [CrossRef] [PubMed]
- Barbara, G.; Stanghellini, V.; De Giorgio, R.; Cremon, C.; Cottrell, G.S.; Santini, D.; Pasquinelli, G.; Morselli-Labate, A.M.; Grady, E.F.; Bunnett, N.W.; et al. Activated Mast Cells in Proximity to Colonic Nerves Correlate with Abdominal Pain in Irritable Bowel Syndrome. Gastroenterology 2004, 126, 693–702. [Google Scholar] [CrossRef] [PubMed]
- Cremon, C.; Carini, G.; Wang, B.; Vasina, V.; Cogliandro, R.F.; De Giorgio, R.; Stanghellini, V.; Grundy, D.; Tonini, M.; De Ponti, F.; et al. Intestinal Serotonin Release, Sensory Neuron Activation, and Abdominal Pain in Irritable Bowel Syndrome. Am. J. Gastroenterol. 2011, 106, 1290–1298. [Google Scholar] [CrossRef] [PubMed]
- Aziz, I.; Peerally, M.F.; Barnes, J.H.; Kandasamy, V.; Whiteley, J.C.; Partridge, D.; Vergani, P.; Cross, S.S.; Green, P.H.; Sanders, D.S. The Clinical and Phenotypical Assessment of Seronegative Villous Atrophy; A Prospective UK Centre Experience Evaluating 200 Adult Cases over a 15-Year Period (2000–2015). Gut 2017, 66, 1563–1572. [Google Scholar] [CrossRef]
- Rajilic-Stojanovic, M.; Figueiredo, C.; Smet, A.; Hansen, R.; Kupcinskas, J.; Rokkas, T.; Andersen, L.; Machado, J.C.; Ianiro, G.; Gasbarrini, A.; et al. Systematic Review: Gastric Microbiota in Health and Disease. Aliment. Pharmacol. Ther. 2020, 51, 582–602. [Google Scholar] [CrossRef]
- Su, T.; Lai, S.; Lee, A.; He, X.; Chen, S. Meta-Analysis: Proton Pump Inhibitors Moderately Increase the Risk of Small Intestinal Bacterial Overgrowth. J. Gastroenterol. 2018, 53, 27–36. [Google Scholar] [CrossRef]
- Fernández-Bañares, F.; Crespo, L.; Núñez, C.; López-Palacios, N.; Tristán, E.; Vivas, S.; Farrais, S.; Arau, B.; Vidal, J.; Roy, G.; et al. Gamma Delta+ Intraepithelial Lymphocytes and Coeliac Lymphogram in a Diagnostic Approach to Coeliac Disease in Patients with Seronegative Villous Atrophy. Aliment. Pharmacol. Ther. 2020, 51, 699–705. [Google Scholar] [CrossRef] [PubMed]
- Peña, A.S. What Is the Best Histopathological Classification for Celiac Disease? Does It Matter? Gastroenterol. Hepatol. Bed Bench 2015, 8, 239–243. [Google Scholar] [PubMed]
- Fuchs, A.; Colonna, M. Natural Killer (NK) and NK-like Cells at Mucosal Epithelia: Mediators of Anti-Microbial Defense and Maintenance of Tissue Integrity. Eur. J. Microbiol. Immunol. 2011, 1, 257–266. [Google Scholar] [CrossRef]
- Ryu, S.; Lim, M.; Kim, J.; Kim, H.Y. Versatile Roles of Innate Lymphoid Cells at the Mucosal Barrier: From Homeostasis to Pathological Inflammation. Exp. Mol. Med. 2023, 55, 1845–1857. [Google Scholar] [CrossRef]
- Krämer, B.; Goeser, F.; Lutz, P.; Glässner, A.; Boesecke, C.; Schwarze-Zander, C.; Kaczmarek, D.; Nischalke, H.D.; Branchi, V.; Manekeller, S.; et al. Compartment-Specific Distribution of Human Intestinal Innate Lymphoid Cells Is Altered in HIV Patients under Effective Therapy. PLoS Pathog. 2017, 13, e1006373. [Google Scholar] [CrossRef]
- Jiao, Y.; Yan, Z.; Yang, A. The Roles of Innate Lymphoid Cells in the Gastric Mucosal Immunology and Oncogenesis of Gastric Cancer. Int. J. Mol. Sci. 2023, 24, 6652. [Google Scholar] [CrossRef]
- Schulz, K.F.; Altman, D.G.; Moher, D. CONSORT 2010 Statement: Updated Guidelines for Reporting Parallel Group Randomised Trials. BMJ 2010, 340, c332. [Google Scholar] [CrossRef] [PubMed]
- Bossuyt, P.M.; Reitsma, J.B.; Bruns, D.E.; Gatsonis, C.A.; Glasziou, P.P.; Irwig, L.; Lijmer, J.G.; Moher, D.; Rennie, D.; De Vet, H.C.W.; et al. STARD 2015: An Updated List of Essential Items for Reporting Diagnostic Accuracy Studies. BMJ 2015, 351, h5527. [Google Scholar] [CrossRef] [PubMed]
- Whiting, P.F.; Rutjes, A.W.; Westwood, M.E.; Mallett, S.; Deeks, J.J.; Reitsma, J.B.; Leeflang, M.M.; Sterne, J.A.; Bossuyt, P.M. QUADAS-2 Group Bossuyt QUADAS-2: A Revised Tool for the Quality Assessment of Diagnostic Accuracy Studies. Ann. Intern. Med. 2011, 155, 529. [Google Scholar] [CrossRef] [PubMed]
- Veress, B.; Franzén, L.; Bodin, L.; Borch, K. Duodenal Intraepithelial Lymphocyte-Count Revisited. Scand. J. Gastroenterol. 2004, 39, 138–144. [Google Scholar] [CrossRef]
- Heidari, S.; Babor, T.F.; De Castro, P.; Tort, S.; Curno, M. Sex and Gender Equity in Research: Rationale for the SAGER Guidelines and Recommended Use. Res. Integr. Peer Rev. 2016, 1, 2. [Google Scholar] [CrossRef]
- Oberhuber, G.; Granditsch, G.; Vogelsang, H. The Histopathology of Coeliac Disease: Time for a Standardized Report Scheme for Pathologists. Eur. J. Gastroenterol. Hepatol. 1999, 11, 1185–1194. [Google Scholar] [CrossRef] [PubMed]
- Brown, N.K.; Guandalini, S.; Semrad, C.; Kupfer, S.S. A Clinician’s Guide to Celiac Disease HLA Genetics. Am. J. Gastroenterol. 2019, 114, 1587–1592. [Google Scholar] [CrossRef] [PubMed]






| Variables | Healthy Group (n = 23) | GERD Group (n = 14) |
|---|---|---|
| Age (years) a | 24.00 [21.00; 27.00] | 31.00 [23.00; 37.00] |
| Female gender, n (%) | 13 (56.52%) | 8 (57.14%) |
| Toxic Habits or Medication | ||
| Nonsmoker, n (%) | 23 (100.00%) | 12 (85.71%) |
| Former smoker, n (%) | 0 (0.00%) | 2 (14.29%) |
| Use of PPIs, n (%) | 0 (0.00%) | 11 (78.57%) |
| HLA-DQ Genotype and Blood Count | ||
| HLA-DQ2.5, n (%) | 0 (0.00%) | 5 (50.00%) |
| HLA-DQ8, n (%) | 0 (0.00%) | 1 (10.00%) |
| HLA-DQ2.2, n (%) | 5 (21.74%) | 0 (0.00%) |
| HLA-DQ7.5, n (%) | 0 (0.00%) | 2 (20.00%) |
| HLA-DQ2 and HLA-DQ8-negative, n (%) | 18 (78.26%) | 2 (20.00%) |
| Haemoglobin b | 14.20 (1.36) | 14.08 (1.51) |
| Upper Gastrointestinal Endoscopy Findings | ||
| Normal, n (%) | 19 (82.61%) | 7 (50.00%) |
| Antritis, n (%) | 2 (8.70%) | 1 (7.14%) |
| Reflux oesophagitis, n (%) | 0 (0.00%) | 3 (21.43%) |
| Hiatal hernia, n (%) | 0 (0.00%) | 2 (14.30%) |
| Incompetent cardia, n (%) | 0 (0.00%) | 1 (7.14) |
| Gastric diverticulum, n (%) | 1 (4.35%) | 0 (0.00%) |
| Gastric polyp, n (%) | 1 (4.35%) | 0 (0.00%) |
| Variables | Healthy Group (n = 23) | GERD Group (n = 14) | p Value b | |
|---|---|---|---|---|
| Oesophageal Histology | ||||
| Normal, n (%) | 19 (82.6%) | 11 (78.6%) | >0.999 | |
| Pathological, n (%) | Peptic oesophagitis, n (%) | 1 (4.3%) | 0 (0.0%) | 0.200 |
| Idiopathic oesophagitis, n (%) | 2 (8.7%) | 0 (0.0%) | ||
| Eosinophilic oesophagitis, n (%) | 0 (0.0%) | 2 (14.3%) | ||
| Oesophageal IEL count a | 16.50 [7.00; 37.00] | 13.50 [6.00; 21.00] | 0.464 | |
| Oesophageal EOS count a | 0.00 [0.00; 0.00] | 0.00 [0.00; 0.00] | >0.999 | |
| Oesophageal MC count a | 1.00 [0.00; 3.00] | 2.00 [1.00; 8.00] | 0.187 | |
| Gastric Histology | ||||
| Normal, n (%) | 19 (82.6%) | 7 (50.0%) | 0.063 | |
| Pathological, n (%) | Mild chronic gastritis, n (%) | 4 (17.4%) | 4 (28.6%) | 0.236 |
| Gastritis due to Helicobacter pylori, n (%) | 0 (0.0%) | 3 (21.4%) | ||
| Gastric IEL count a | 8.50 [6.00; 11.00] | 9.00 [9.00; 13.00] | 0.098 | |
| Gastric EOS count a | 4.50 [1.00; 8.00] | 3.00 [1.00; 7.00] | 0.566 | |
| Gastric MC count a | 30.00 [19.00; 39.00] | 22.50 [12.00; 29.00] | 0.132 | |
| Duodenal Histology | ||||
| Duodenal IEL count a | 15.00 [12.00; 18.00] | 19.5 [17.00; 22.00] | 0.005 | |
| Duodenal Intraepithelial EOS count a | 3.00 [2.00; 5.00] | 3.00 [2.00; 4.00] | 0.836 | |
| Duodenal lamina propria EOS count a | 14.00 [8.00; 28.00] | 16.00 [12.00; 19.00] | 0.863 | |
| Duodenal Intraepithelial MC count a | 3.80 [2.80; 5.60] | 4.90 [3.20; 5.40] | 0.424 | |
| Duodenal lamina propria MC count a | 30.00 [23.00; 35.00] | 31.5 [25.00; 40.00] | 0.415 | |
| Absence of duodenal parasites, n (%) | 23 (100.00%) | 14 (100.00%) | ||
| Variables | Male Sex (n = 10) | Female Sex (n = 13) | p Value b | |
|---|---|---|---|---|
| Oesophageal Histology | ||||
| Normal, n (%) | 9 (90.0%) | 10 (76.92%) | 0.240 | |
| Pathological, n (%) | Peptic oesophagitis, n (%) | 0 (0.0%) | 1 (7.70%) | |
| Idiopathic oesophagitis, n (%) | 0 (0.0%) | 2 (15.38%) | ||
| Oesophageal IEL count a | 14.00 [9.00; 24.00] | 21.00 [5.00; 42.00] | 0.789 | |
| Oesophageal EOS count a | 0.00 [0.00; 0.00] | 0.00 [0.00; 0.00] | 0.486 | |
| Oesophageal MC count a | 1.00 [1.00; 1.00] | 1.00 [0.00; 4.00] | >0.999 | |
| Gastric Histology | ||||
| Normal, n (%) | 9 (90.00%) | 10 (76.92%) | 0.604 | |
| Pathological, n (%) | Mild chronic gastritis, n (%) | 1 (10.00%) | 3 (23.08%) | |
| Gastric IEL count a | 8.50 [7.00; 11.00] | 8.00 [5.50; 12.00] | 0.715 | |
| Gastric EOS count a | 3.00 [1.00; 7.00] | 4.50 [2.50; 10.50] | 0.207 | |
| Gastric MC count a | 25.00 [19.00; 32.00] | 34.00 [25.00; 39.00] | 0.321 | |
| Duodenal Histology | ||||
| Duodenal IEL count a | 15.00 [14.00; 18.00] | 14.00 [12.00; 17.00] | 0.686 | |
| Duodenal Intraepithelial EOS count a | 3.00 [1.00; 5.00] | 4.00 [2.00; 5.00] | 0.359 | |
| Duodenal lamina propria EOS count a | 12.50 [8.00; 23.00 | 15.00 [11.00; 28.00] | 0.641 | |
| Duodenal Intraepithelial MC count a | 2.80 [2.60; 3.80] | 4.80 [3.80; 6.00] | 0.009 | |
| Duodenal lamina propria MC count a | 27.50 [18.00; 34.00] | 30.00 [27.00; 35.00] | 0.319 | |
| Variables | Healthy Group (n = 23) | GERD Group (n = 14) | p Value b |
|---|---|---|---|
| Villus height (µm) a | 450.00 [425.00; 525.00] | 450.00 [400.00; 475.00] | 0.126 |
| Crypt depth (µm) a | 130.00 [115.00; 150.00] | 130.00 [120.00; 150.00] | 0.691 |
| Villus height to crypt depth ratio a | 3.64 [3.00; 4.26] | 3.41 [2.69; 3.75] | 0.193 |
| Variables/Groups | Intraepithelial Lymphocytes | Lamina Propria Lymphocytes | ||||
|---|---|---|---|---|---|---|
| Healthy Individuals Group (n = 23) a | GERD Group (n = 14) a | p Value b | Healthy Individuals Group (n = 23) a | GERD Group (n = 14) a | p Value b | |
| CD3+ | 73.80 [62.85; 77.20] | 73.90 [64.50; 83.60] | 0.509 | 91.40 [83.00; 93.70] | 93.40 [88.10; 96.05] | 0.136 |
| CD4+ c | 9.11 [5.62; 13.70] | 8.32 [5.17; 13.10] | 0.951 | 35.65 [31.10; 42.40] | 21.50 [19.40; 33.05] | 0.008 |
| CD8+ c | 71.85 [64.25; 78.50] | 72.40 [64.50; 76.50] | >0.999 | 51.60 [39.80; 55.20] | 64.80 [53.25; 71.00] | 0.014 |
| CD8α+CD8β− d | 39.40 [31.65; 53.90] | 54.70 [39.70; 57.90] | 0.157 | 43.65 [36.40; 69.00] | 59.10 [46.30; 70.70] | 0.274 |
| CD8α+CD8β+ d | 60.60 [46.10; 68.35] | 45.30 [42.10; 60.30] | 0.157 | 56.35 [31.00; 63.60] | 40.90 [29.30; 53.70] | 0.274 |
| Double Positive (CD4+CD8+) c | 8.76 [5.85; 11.30] | 9.85 [7.47; 19.30] | 0.087 | 10.40 [6.37; 12.40] | 9.12 [6.32; 10.00] | 0.354 |
| Double Negative (CD4− CD8−) c | 9.26 [3.92; 13.95] | 6.67 [1.99; 9.83] | 0.123 | 2.42 [1.77; 3.40] | 2.99 [0.69; 5.00] | 0.857 |
| TCRγδ+ c | 5.75 [1.70; 8.63] | 3.95 [2.60; 5.40] | 0.704 | 4.00 [1.70; 4.50] | 2.40 [1.30; 2.60] | 0.187 |
| Vδ1+T cells e | 2.81 [1.02; 4.90] | 1.80 [0.94; 8.45] | 0.951 | 1.70 [0.55; 3.07] | 1.32 [0.35; 3.67] | 0.940 |
| Vδ2+T cells e | 9.63 [3.67; 19.55] | 7.42 [4.32; 12.10] | 0.611 | 1.34 [0.98; 3.07] | 1.98 [1.13; 3.08] | 0.462 |
| CD45+CD3− cells | 21.97 [16.67; 26.40] | 24.85 [15.20; 30.70] | 0.834 | 7.80 [5.00; 9.60] | 3.70 [2.30; 4.50] | 0.007 |
| Natural killer cells (CD3−CD56+) f | 32.20 [23.10; 52.00] | 42.60 [31.00; 49.90] | 0.471 | 40.00 [26.30; 52.50] | 53.70 [38.20; 57.20] | 0.129 |
| Natural killer T cells (CD3+CD56+) c | 13.90 [6.00; 24.30] | 24.00 [17.00; 34.50] | 0.036 | 16.60 [9.94; 21.50] | 14.95 [12.00; 27.10] | 0.699 |
| Innate lymphoid cells f | 0.11 [0.04; 0.25] | 0.09 [0.03; 0.14] | 0.308 | 2.40 [0.81; 4.00] | 0.45 [0.09; 1.32] | 0.007 |
| Innate lymphoid cells 1 g | 50.00 [33.30; 85.70] | 75.00 [0.00; 83.70] | 0.705 | 53.70 [40.50; 68.80] | 15.53 [0.00; 50.00] | 0.012 |
| Innate lymphoid cells 2 g | 0.00 [0.00; 0.00] | 0.00 [0.00; 0.00] | 0.461 | 0.00 [0.00; 0.00] | 0.00 [0.00; 0.00] | |
| Innate lymphoid cells 3 g | 26.00 [0.00; 58.30] | 7.15 [0.00; 25.00] | 0.049 | 46.30 [31.20; 59.50] | 53.55 [0.00; 92.40] | 0.607 |
Disclaimer/Publisher’s Note: The statements, opinions and data contained in all publications are solely those of the individual author(s) and contributor(s) and not of MDPI and/or the editor(s). MDPI and/or the editor(s) disclaim responsibility for any injury to people or property resulting from any ideas, methods, instructions or products referred to in the content. |
© 2025 by the authors. Licensee MDPI, Basel, Switzerland. This article is an open access article distributed under the terms and conditions of the Creative Commons Attribution (CC BY) license (https://creativecommons.org/licenses/by/4.0/).
Share and Cite
Martín-Cardona, A.; Carrasco, A.; Ferrer, C.; González-Mínguez, C.; Luizaga-Velasco, L.; Tarroch, X.; Gonzalez-Puglia, G.; Tristán, E.; Cardozo-Rembado, N.B.; Pallarès, N.; et al. Histology of the Upper Gastrointestinal Tract, Morphometry and Lymphocyte Subpopulations of the Duodenal Mucosa: Insights from Healthy Individuals. Int. J. Mol. Sci. 2025, 26, 1349. https://doi.org/10.3390/ijms26031349
Martín-Cardona A, Carrasco A, Ferrer C, González-Mínguez C, Luizaga-Velasco L, Tarroch X, Gonzalez-Puglia G, Tristán E, Cardozo-Rembado NB, Pallarès N, et al. Histology of the Upper Gastrointestinal Tract, Morphometry and Lymphocyte Subpopulations of the Duodenal Mucosa: Insights from Healthy Individuals. International Journal of Molecular Sciences. 2025; 26(3):1349. https://doi.org/10.3390/ijms26031349
Chicago/Turabian StyleMartín-Cardona, Albert, Anna Carrasco, Carme Ferrer, Clarisa González-Mínguez, Luis Luizaga-Velasco, Xavier Tarroch, Gerardo Gonzalez-Puglia, Eva Tristán, Natalia Berenice Cardozo-Rembado, Natàlia Pallarès, and et al. 2025. "Histology of the Upper Gastrointestinal Tract, Morphometry and Lymphocyte Subpopulations of the Duodenal Mucosa: Insights from Healthy Individuals" International Journal of Molecular Sciences 26, no. 3: 1349. https://doi.org/10.3390/ijms26031349
APA StyleMartín-Cardona, A., Carrasco, A., Ferrer, C., González-Mínguez, C., Luizaga-Velasco, L., Tarroch, X., Gonzalez-Puglia, G., Tristán, E., Cardozo-Rembado, N. B., Pallarès, N., Tebé, C., Arau, B., Salvador, I., Fajardo, I., Rifà, R., Ruiz, L., Ruiz-Ramírez, P., Fernández-Herrera, S., Raga, A., ... Esteve, M. (2025). Histology of the Upper Gastrointestinal Tract, Morphometry and Lymphocyte Subpopulations of the Duodenal Mucosa: Insights from Healthy Individuals. International Journal of Molecular Sciences, 26(3), 1349. https://doi.org/10.3390/ijms26031349

