Connexin 43 Expression as Biomarker of Oral Squamous Cell Carcinoma and Its Association with Human Papillomavirus 16 and 18
Abstract
1. Introduction
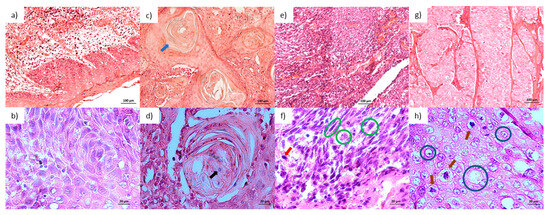
2. Results
3. Discussion
4. Materials and Methods
4.1. Study Design
4.2. Hematoxylin and Eosin Staining
4.3. Detection of Cx43 by Immunofluorescence
4.4. Statistical Analysis
5. Conclusions
Author Contributions
Funding
Institutional Review Board Statement
Informed Consent Statement
Data Availability Statement
Acknowledgments
Conflicts of Interest
Abbreviations
| OSCC | Oral squamous cell carcinoma |
| GJ | Gap junctions |
| Cx | Connexin |
| HPV | Human papillomaviruses |
| GJIC | Gap junctional intercellular communication |
| CDKs | Cyclin-dependent kinases |
| TNM | Tumor, lymph node, metastasis staging system. |
| FFPE | Paraffin-embedded tumor blocks |
| WD | Well differentiated; |
| MD | Moderately differentiated |
| PD | Poorly differentiated |
| hDlg | Human homologue of Drosophila discs (large) |
References
- Sung, H.; Ferlay, J.; Siegel, R.L.; Laversanne, M.; Soerjomataram, I.; Jemal, A.; Bray, F. Global Cancer Statistics 2020: GLOBOCAN Estimates of Incidence and Mortality Worldwide for 36 Cancers in 185 Countries. CA Cancer J. Clin. 2021, 71, 209–249. [Google Scholar] [CrossRef] [PubMed]
- Lin, W.J.; Jiang, R.S.; Wu, S.H.; Chen, F.J.; Liu, S.A. Smoking, alcohol, and betel quid and oral cancer: A prospective cohort study. J. Oncol. 2011, 2011, 525976. [Google Scholar] [CrossRef] [PubMed]
- Danos, K.; Brauswetter, D.; Birtalan, E.; Pato, A.; Bencsik, G.; Krenacs, T.; Petak, I.; Tamas, L. The Potential Prognostic Value of Connexin 43 Expression in Head and Neck Squamous Cell Carcinomas. Appl. Immunohistochem. Mol. Morphol. 2016, 24, 476–481. [Google Scholar] [CrossRef] [PubMed]
- Sohl, G.; Willecke, K. Gap junctions and the connexin protein family. Cardiovasc. Res. 2004, 62, 228–232. [Google Scholar] [CrossRef]
- Willecke, K.; Eiberger, J.; Degen, J.; Eckardt, D.; Romualdi, A.; Guldenagel, M.; Deutsch, U.; Sohl, G. Structural and functional diversity of connexin genes in the mouse and human genome. Biol. Chem. 2002, 383, 725–737. [Google Scholar] [CrossRef]
- Jagielnicki, M.; Kucharska, I.; Bennett, B.C.; Harris, A.L.; Yeager, M. Connexin Gap Junction Channels and Hemichannels: Insights from High-Resolution Structures. Biology 2024, 13, 298. [Google Scholar] [CrossRef]
- Naus, C.C.; Laird, D.W. Implications and challenges of connexin connections to cancer. Nat. Rev. Cancer 2010, 10, 435–441. [Google Scholar] [CrossRef]
- Teleki, I.; Szasz, A.M.; Maros, M.E.; Gyorffy, B.; Kulka, J.; Meggyeshazi, N.; Kiszner, G.; Balla, P.; Samu, A.; Krenacs, T. Correlations of differentially expressed gap junction connexins Cx26, Cx30, Cx32, Cx43 and Cx46 with breast cancer progression and prognosis. PLoS One 2014, 9, e112541. [Google Scholar] [CrossRef]
- Cronier, L.; Crespin, S.; Strale, P.O.; Defamie, N.; Mesnil, M. Gap junctions and cancer: New functions for an old story. Antioxid. Redox Signal. 2009, 11, 323–338. [Google Scholar] [CrossRef]
- Zefferino, R.; Piccoli, C.; Gioia, S.D.; Capitanio, N.; Conese, M. Gap Junction Intercellular Communication in the Carcinogenesis Hallmarks: Is This a Phenomenon or Epiphenomenon? Cells 2019, 8, 896. [Google Scholar] [CrossRef]
- Avanzo, J.L.; Mesnil, M.; Hernandez-Blazquez, F.J.; Mackowiak, I.I.; Mori, C.M.; da Silva, T.C.; Oloris, S.C.; Garate, A.P.; Massironi, S.M.; Yamasaki, H.; et al. Increased susceptibility to urethane-induced lung tumors in mice with decreased expression of connexin43. Carcinogenesis 2004, 25, 1973–1982. [Google Scholar] [CrossRef] [PubMed]
- Zhou, M.; Zheng, M.; Zhou, X.; Tian, S.; Yang, X.; Ning, Y.; Li, Y.; Zhang, S. The roles of connexins and gap junctions in the progression of cancer. Cell Commun. Signal. 2023, 21, 8. [Google Scholar] [CrossRef] [PubMed]
- Zhou, Z.; Chai, W.; Liu, Y.; Zhou, M.; Zhang, X. Connexins and angiogenesis: Functional aspects, pathogenesis, and emerging therapies (Review). Int. J. Mol. Med. 2022, 50. [Google Scholar] [CrossRef] [PubMed]
- Tekpli, X.; Rivedal, E.; Gorria, M.; Landvik, N.E.; Rissel, M.; Dimanche-Boitrel, M.T.; Baffet, G.; Holme, J.A.; Lagadic-Gossmann, D. The B[a]P-increased intercellular communication via translocation of connexin-43 into gap junctions reduces apoptosis. Toxicol. Appl. Pharmacol. 2010, 242, 231–240. [Google Scholar] [CrossRef]
- Liu, Q.; Ji, X.; Ge, Z.; Diao, H.; Chang, X.; Wang, L.; Wu, Q. Role of connexin 43 in cadmium-induced proliferation of human prostate epithelial cells. J. Appl. Toxicol. 2017, 37, 933–942. [Google Scholar] [CrossRef]
- Luo, M.; Luo, Y.; Mao, N.; Huang, G.; Teng, C.; Wang, H.; Wu, J.; Liao, X.; Yang, J. Cancer-Associated Fibroblasts Accelerate Malignant Progression of Non-Small Cell Lung Cancer via Connexin 43-Formed Unidirectional Gap Junctional Intercellular Communication. Cell. Physiol. Biochem. 2018, 51, 315–336. [Google Scholar] [CrossRef]
- Jones, J.C.; Miceli, A.M.; Chaudhry, M.M.; Kaunitz, C.S.; Jai, M.A.; Pancho, R.N.; Lazzar, A.; Taylor, B.S.; Bodempudi, V.; Jain, P.P.; et al. Glucose-limiting conditions induce an invasive population of MDA-MB-231 breast cancer cells with increased connexin 43 expression and membrane localization. J. Cell Commun. Signal. 2021, 15, 223–236. [Google Scholar] [CrossRef]
- Esseltine, J.L.; Laird, D.W. Next-Generation Connexin and Pannexin Cell Biology. Trends Cell Biol. 2016, 26, 944–955. [Google Scholar] [CrossRef]
- Leithe, E.; Mesnil, M.; Aasen, T. The connexin 43 C-terminus: A tail of many tales. Biochim. Biophys. Acta Biomembr. 2018, 1860, 48–64. [Google Scholar] [CrossRef]
- Leemans, C.R.; Snijders, P.J.F.; Brakenhoff, R.H. The molecular landscape of head and neck cancer. Nat. Rev. Cancer 2018, 18, 269–282. [Google Scholar] [CrossRef]
- Mirabello, L.; Clarke, M.A.; Nelson, C.W.; Dean, M.; Wentzensen, N.; Yeager, M.; Cullen, M.; Boland, J.F.; Workshop, N.H.; Schiffman, M.; et al. The Intersection of HPV Epidemiology, Genomics and Mechanistic Studies of HPV-Mediated Carcinogenesis. Viruses 2018, 10, 80. [Google Scholar] [CrossRef] [PubMed]
- Gaglia, M.M.; Munger, K. More than just oncogenes: Mechanisms of tumorigenesis by human viruses. Curr. Opin. Virol. 2018, 32, 48–59. [Google Scholar] [CrossRef] [PubMed]
- Egawa, N.; Doorbar, J. The low-risk papillomaviruses. Virus Res. 2017, 231, 119–127. [Google Scholar] [CrossRef] [PubMed]
- Aasen, T.; Mesnil, M.; Naus, C.C.; Lampe, P.D.; Laird, D.W. Gap junctions and cancer: Communicating for 50 years. Nat. Rev. Cancer 2017, 17, 74. [Google Scholar] [CrossRef]
- Aasen, T.; Graham, S.V.; Edward, M.; Hodgins, M.B. Reduced expression of multiple gap junction proteins is a feature of cervical dysplasia. Mol. Cancer 2005, 4, 31. [Google Scholar] [CrossRef]
- Sun, P.; Dong, L.; MacDonald, A.I.; Akbari, S.; Edward, M.; Hodgins, M.B.; Johnstone, S.R.; Graham, S.V. HPV16 E6 Controls the Gap Junction Protein Cx43 in Cervical Tumour Cells. Viruses 2015, 7, 5243–5256. [Google Scholar] [CrossRef]
- Gallego, C.; Jaracz-Ros, A.; Lagana, M.; Mercier-Nome, F.; Domenichini, S.; Fumagalli, A.; Roingeard, P.; Herfs, M.; Pidoux, G.; Bachelerie, F.; et al. Reprogramming of connexin landscape fosters fast gap junction intercellular communication in human papillomavirus-infected epithelia. Front. Cell. Infect. Microbiol. 2023, 13, 1138232. [Google Scholar] [CrossRef]
- Aasen, T.; Hodgins, M.B.; Edward, M.; Graham, S.V. The relationship between connexins, gap junctions, tissue architecture and tumour invasion, as studied in a novel in vitro model of HPV-16-associated cervical cancer progression. Oncogene 2003, 22, 7969–7980. [Google Scholar] [CrossRef]
- Gorsky, M.; Epstein, J.B.; Oakley, C.; Le, N.D.; Hay, J.; Stevenson-Moore, P. Carcinoma of the tongue: A case series analysis of clinical presentation, risk factors, staging, and outcome. Oral Surg. Oral Med. Oral Pathol. Oral Radiol. Endodontology 2004, 98, 546–552. [Google Scholar] [CrossRef]
- Hashmi, A.A.; Mudassir, G.; Rashid, K.; Malik, U.A.; Zia, S.; Zia, F.; Irfan, M. Risk Factors of Oral Squamous Cell Carcinoma with Special Emphasis on Areca Nut Usage and Its Association with Clinicopathological Parameters and Recurrence. Int. J. Surg. Oncol. 2024, 2024, 9725822. [Google Scholar] [CrossRef]
- Gervasio, O.L.; Dutra, R.A.; Tartaglia, S.M.; Vasconcellos, W.A.; Barbosa, A.A.; Aguiar, M.C. Oral squamous cell carcinoma: A retrospective study of 740 cases in a Brazilian population. Braz. Dent. J. 2001, 12, 57–61. [Google Scholar] [PubMed]
- Oliver, A.J.; Helfrick, J.F.; Gard, D. Primary oral squamous cell carcinoma: A review of 92 cases. J. Oral Maxillofac. Surg. 1996, 54, 949–954. [Google Scholar] [CrossRef] [PubMed]
- Pinholt, E.M.; Rindum, J.; Pindborg, J.J. Oral cancer: A retrospective study of 100 Danish cases. Br. J. Oral Maxillofac. Surg. 1997, 35, 77–80. [Google Scholar] [CrossRef] [PubMed]
- Segura, I.G.; Secchi, D.G.; Galindez, M.F.; Carrica, A.; Bologna-Molina, R.; Brunotto, M.; Centeno, V.A. Connexin 43, Bcl-2, Bax, Ki67, and E-cadherin patterns in oral squamous cell carcinoma and its relationship with GJA1 rs12197797 C/G. Med. Oral Patol. Oral Cirugia Bucal 2022, 27, e366–e374. [Google Scholar] [CrossRef]
- Dubina, M.V.; Iatckii, N.A.; Popov, D.E.; Vasil’ev, S.V.; Krutovskikh, V.A. Connexin 43, but not connexin 32, is mutated at advanced stages of human sporadic colon cancer. Oncogene 2002, 21, 4992–4996. [Google Scholar] [CrossRef]
- Brockmeyer, P.; Jung, K.; Perske, C.; Schliephake, H.; Hemmerlein, B. Membrane connexin 43 acts as an independent prognostic marker in oral squamous cell carcinoma. Int. J. Oncol. 2014, 45, 273–281. [Google Scholar] [CrossRef]
- Szatmari, T.; Mocan, S.; Neagos, C.M.; Pap, Z. Biomarker Profiles and Clinicopathological Features in Head and Neck Squamous Cell Carcinoma Patients. Medicina 2024, 60, 1681. [Google Scholar] [CrossRef]
- Tabernero, A.; Gangoso, E.; Jaraiz-Rodriguez, M.; Medina, J.M. The role of connexin43-Src interaction in astrocytomas: A molecular puzzle. Neuroscience 2016, 323, 183–194. [Google Scholar] [CrossRef]
- Ozawa, H.; Matsunaga, T.; Kamiya, K.; Tokumaru, Y.; Fujii, M.; Tomita, T.; Ogawa, K. Decreased expression of connexin-30 and aberrant expression of connexin-26 in human head and neck cancer. Anticancer Res. 2007, 27, 2189–2195. [Google Scholar]
- Schneider, B.; Teschner, M.; Sudermann, T.; Pikula, B.; Lautermann, J. Expression of gap junction proteins (connexin 26, 30, 32, 43) in normal mucosa, hyperkeratosis and carcinoma of the human larynx. ORL 2002, 64, 324–329. [Google Scholar] [CrossRef]
- Frank, D.K.; Szymkowiak, B.; Hughes, C.A. Connexin expression and gap junctional intercellular communication in human squamous cell carcinoma of the head and neck. Otolaryngol. Head Neck Surg. 2006, 135, 736–743. [Google Scholar] [CrossRef] [PubMed]
- Akhter, M.; Hossain, S.; Rahman, Q.B.; Molla, M.R. A study on histological grading of oral squamous cell carcinoma and its co-relationship with regional metastasis. J. Oral Maxillofac. Pathol. 2011, 15, 168. [Google Scholar] [CrossRef] [PubMed]
- Guzmán, P.; Villaseca, M.; Antonio, L.; Araya, J.; Aravena, P.; Cravero, C.; Pino, P.; Roa, J. Carcinoma epidermoide oral y orofaríngeo: Estudio clínico-patológico. Rev. Chil. De Cirugía 2011, 63, 250–256. [Google Scholar] [CrossRef]
- Rivera, C.; González-Arriagada, W.A.; Loyola-Brambilla, M.; de Almeida, O.P.; Della Coletta, R.; Venegas, B. Clinicopathological and immunohistochemical evaluation of oral and oropharyngeal squamous cell carcinoma in Chilean population. Int. J. Clin. Exp. Pathol. 2014, 7, 5968. [Google Scholar]
- Head and Neck Cancer Study Group (HNCSG); Monden, N.; Asakage, T.; Kiyota, N.; Homma, A.; Matsuura, K.; Hanai, N.; Kodaira, T.; Zenda, S.; Fujii, H.; et al. A review of head and neck cancer staging system in the TNM classification of malignant tumors (eighth edition). Jpn. J. Clin. Oncol. 2019, 49, 589–595. [Google Scholar] [CrossRef]
- Xing, Y.; Xiao, Y.; Zeng, F.; Zhao, J.; Xiao, C.; Xiong, P.; Feng, W. Altered expression of connexin-43 and impaired capacity of gap junctional intercellular communication in prostate cancer cells. J. Huazhong Univ. Sci. Technol. 2007, 27, 291–294. [Google Scholar] [CrossRef]
- Vogel, C.; Marcotte, E.M. Insights into the regulation of protein abundance from proteomic and transcriptomic analyses. Nat. Rev. Genet. 2012, 13, 227–232. [Google Scholar] [CrossRef]
- Andrews, E.; Seaman, W.T.; Webster-Cyriaque, J. Oropharyngeal carcinoma in non-smokers and non-drinkers: A role for HPV. Oral Oncol. 2009, 45, 486–491. [Google Scholar] [CrossRef]
- Liang, X.H.; Lewis, J.; Foote, R.; Smith, D.; Kademani, D. Prevalence and significance of human papillomavirus in oral tongue cancer: The Mayo Clinic experience. J. Oral Maxillofac. Surg. 2008, 66, 1875–1880. [Google Scholar] [CrossRef]
- Hobbs, C.G.; Sterne, J.A.; Bailey, M.; Heyderman, R.S.; Birchall, M.A.; Thomas, S.J. Human papillomavirus and head and neck cancer: A systematic review and meta-analysis. Clin. Otolaryngol. 2006, 31, 259–266. [Google Scholar] [CrossRef]
- Koppikar, P.; deVilliers, E.M.; Mulherkar, R. Identification of human papillomaviruses in tumors of the oral cavity in an Indian community. Int. J. Cancer 2005, 113, 946–950. [Google Scholar] [CrossRef]
- Gichki, A.S.; Buajeeb, W.; Doungudomdacha, S.; Khovidhunkit, S.O. Detection of human papillomavirus in normal oral cavity in a group of Pakistani subjects using real-time PCR. Asian Pac. J. Cancer Prev. 2012, 13, 2299–2304. [Google Scholar] [CrossRef]
- Venkatesh, A.; Elengkumaran, S.; Ravindran, C.; Malathi, N. Association of Human Papilloma Virus in Oral Squamous Cell Carcinoma: An Alarming Need for Human Papillomavirus 16 Screening in Cancer Patients. J. Pharm. Bioallied Sci. 2021, 13, S1224–S1227. [Google Scholar] [CrossRef]
- Machado, J.; Reis, P.P.; Zhang, T.; Simpson, C.; Xu, W.; Perez-Ordonez, B.; Goldstein, D.P.; Brown, D.H.; Gilbert, R.W.; Gullane, P.J.; et al. Low prevalence of human papillomavirus in oral cavity carcinomas. Head Neck Oncol. 2010, 2, 6. [Google Scholar] [CrossRef][Green Version]
- Marur, S.; D’Souza, G.; Westra, W.H.; Forastiere, A.A. HPV-associated head and neck cancer: A virus-related cancer epidemic. Lancet Oncol. 2010, 11, 781–789. [Google Scholar] [CrossRef]
- Ragin, C.C.; Taioli, E. Survival of squamous cell carcinoma of the head and neck in relation to human papillomavirus infection: Review and meta-analysis. Int. J. Cancer 2007, 121, 1813–1820. [Google Scholar] [CrossRef]
- Elango, K.J.; Suresh, A.; Erode, E.M.; Subhadradevi, L.; Ravindran, H.K.; Iyer, S.K.; Iyer, S.K.; Kuriakose, M.A. Role of human papilloma virus in oral tongue squamous cell carcinoma. Asian Pac. J. Cancer Prev. 2011, 12, 889–896. [Google Scholar]
- De Petrini, M.; Ritta, M.; Schena, M.; Chiusa, L.; Campisi, P.; Giordano, C.; Landolfo, V.; Pecorari, G.; Landolfo, S. Head and neck squamous cell carcinoma: Role of the human papillomavirus in tumour progression. N. Microbiol. 2006, 29, 25–33. [Google Scholar]
- Chen, P.C.; Kuo, C.; Pan, C.C.; Chou, M.Y. Risk of oral cancer associated with human papillomavirus infection, betel quid chewing, and cigarette smoking in Taiwan--an integrated molecular and epidemiological study of 58 cases. J. Oral Pathol. Med. 2002, 31, 317–322. [Google Scholar] [CrossRef]
- Zhang, Z.Y.; Sdek, P.; Cao, J.; Chen, W.T. Human papillomavirus type 16 and 18 DNA in oral squamous cell carcinoma and normal mucosa. Int. J. Oral Maxillofac. Surg. 2004, 33, 71–74. [Google Scholar] [CrossRef]
- Macdonald, A.I.; Sun, P.; Hernandez-Lopez, H.; Aasen, T.; Hodgins, M.B.; Edward, M.; Roberts, S.; Massimi, P.; Thomas, M.; Banks, L.; et al. A functional interaction between the MAGUK protein hDlg and the gap junction protein connexin 43 in cervical tumour cells. Biochem. J. 2012, 446, 9–21. [Google Scholar] [CrossRef] [PubMed]
- Thomas, M.; Massimi, P.; Navarro, C.; Borg, J.P.; Banks, L. The hScrib/Dlg apico-basal control complex is differentially targeted by HPV-16 and HPV-18 E6 proteins. Oncogene 2005, 24, 6222–6230. [Google Scholar] [CrossRef] [PubMed]
- Contreras-Paredes, A.; De la Cruz-Hernandez, E.; Martinez-Ramirez, I.; Duenas-Gonzalez, A.; Lizano, M. E6 variants of human papillomavirus 18 differentially modulate the protein kinase B/phosphatidylinositol 3-kinase (akt/PI3K) signaling pathway. Virology 2009, 383, 78–85. [Google Scholar] [CrossRef] [PubMed]
- Spangle, J.M.; Munger, K. The human papillomavirus type 16 E6 oncoprotein activates mTORC1 signaling and increases protein synthesis. J. Virol. 2010, 84, 9398–9407. [Google Scholar] [CrossRef]
- Spangle, J.M.; Munger, K. The HPV16 E6 oncoprotein causes prolonged receptor protein tyrosine kinase signaling and enhances internalization of phosphorylated receptor species. PLoS Pathog. 2013, 9, e1003237. [Google Scholar] [CrossRef]
- Johnstone, S.R.; Billaud, M.; Lohman, A.W.; Taddeo, E.P.; Isakson, B.E. Posttranslational modifications in connexins and pannexins. J. Membr. Biol. 2012, 245, 319–332. [Google Scholar] [CrossRef]
- Solan, J.L.; Lampe, P.D. Connexin43 phosphorylation: Structural changes and biological effects. Biochem. J. 2009, 419, 261–272. [Google Scholar] [CrossRef]
- Sanchez, O.F.; Rodriguez, A.V.; Velasco-Espana, J.M.; Murillo, L.C.; Sutachan, J.J.; Albarracin, S.L. Role of Connexins 30, 36, and 43 in Brain Tumors, Neurodegenerative Diseases, and Neuroprotection. Cells 2020, 9, 846. [Google Scholar] [CrossRef]
- DeOcesano-Pereira, C.; Machado, R.A.C.; Chudzinski-Tavassi, A.M.; Sogayar, M.C. Emerging Roles and Potential Applications of Non-Coding RNAs in Glioblastoma. Int. J. Mol. Sci. 2020, 21, 2611. [Google Scholar] [CrossRef]
- Ai, X.; Yan, J.; Pogwizd, S.M. Serine-threonine protein phosphatase regulation of Cx43 dephosphorylation in arrhythmogenic disorders. Cell. Signal. 2021, 86, 110070. [Google Scholar] [CrossRef]
- Kjenseth, A.; Fykerud, T.A.; Sirnes, S.; Bruun, J.; Yohannes, Z.; Kolberg, M.; Omori, Y.; Rivedal, E.; Leithe, E. The gap junction channel protein connexin 43 is covalently modified and regulated by SUMOylation. J. Biol. Chem. 2012, 287, 15851–15861. [Google Scholar] [CrossRef] [PubMed]
- Hanahan, D.; Weinberg, R.A. Hallmarks of cancer: The next generation. Cell 2011, 144, 646–674. [Google Scholar] [CrossRef] [PubMed]
- Chen, Q.; Boire, A.; Jin, X.; Valiente, M.; Er, E.E.; Lopez-Soto, A.; Jacob, L.; Patwa, R.; Shah, H.; Xu, K.; et al. Carcinoma-astrocyte gap junctions promote brain metastasis by cGAMP transfer. Nature 2016, 533, 493–498. [Google Scholar] [CrossRef] [PubMed]
- Paunikar, S.; Tamagnone, L. Connexin-43 in Cancer: Above and Beyond Gap Junctions! Cancers 2024, 16, 4191. [Google Scholar] [CrossRef]
- Chasampalioti, M.; Green, A.R.; Ellis, I.O.; Rakha, E.A.; Jackson, A.M.; Spendlove, I.; Ramage, J.M. Connexin 43 is an independent predictor of patient outcome in breast cancer patients. Breast Cancer Res. Treat. 2019, 174, 93–102. [Google Scholar] [CrossRef]
- Padma, R.; Kalaivani, A.; Sundaresan, S.; Sathish, P. The relationship between histological differentiation and disease recurrence of primary oral squamous cell carcinoma. J. Oral Maxillofac. Pathol. 2017, 21, 461. [Google Scholar] [CrossRef]
- Goertzen, C.; Mahdi, H.; Laliberte, C.; Meirson, T.; Eymael, D.; Gil-Henn, H.; Magalhaes, M. Oral inflammation promotes oral squamous cell carcinoma invasion. Oncotarget 2018, 9, 29047–29063. [Google Scholar] [CrossRef]




| Variable Category | Frequency (%), n = 39 |
|---|---|
| Age in years <65 ≥65 | 19 (48.7) 20 (53.3) |
| Sex Male Female | 22 (56.4) 17 (43.6) |
| Tumor Location Palate Tongue Lower lip Gum Floor of mouth | 7 (17.9) 14 (35.9) 5 (12.8) 5 (12.8) 8 (20.5) |
| Smoking Yes No | 20 (51.3) 19 (48.7) |
| Alcohol intake Yes No | 12 (30.8) 27 (69.2) |
| TNM 1 staging I II III IV | 13 (33.3) 7 (17.9) 10 (25.6) 9 (23.1) |
| Invasion pattern Infiltrative Cohesive | 26 (66.7) 13 (33.3) |
| Inflammatory response Absent/mild Moderate/marked | 24 (61.5) 15 (38.5) |
| Survival in years ≥5 <5 | 10 (25.6) 29 (74.4) |
| Connexin 43 in % 10–30 31–50 51–70 | 12 (30.8) 15 (38.5) 12 (30.8) |
| Human Papillomavirus 16/18 Positive Negative | 9 (23.1) 30 (76.9) |
| Degree of differentiation Well Moderate Poor | 24 (61.5) 7 (18.0) 8 (20.5) |
| Variables | Connexin 43 | HPV 16/18 | ||
|---|---|---|---|---|
| r (95%CI) | p-Value | r (95%CI) | p-Value | |
| Age | 0.197 (−0.110–0.509) | 0.229 | −0.022 (−0.380–0.317) | 0.896 |
| Sex | −0.049 (−0.407–0.270) | 0.769 | 0.113 (−0.207–0.399) | 0.492 |
| Tumor location | −0.227 (−0.520–0.069) | 0.164 | 0.103 (−0.254–0.415) | 0.534 |
| Smoking | 0.162 (−0.144–0.471) | 0.326 | −0.197 (−0.462–0.118) | 0.230 |
| Alcohol intake | 0.123 (−0.218–0.424) | 0.456 | −0.233 (−0.443–0.051) | 0.153 |
| Tumor staging | −0.091 (−0.389–0.242) | 0.581 | 0.232 (−0.065–0.521) | 0.155 |
| Invasion pattern | 0.066 (−0.269–0.373) | 0.689 | 0.129 (−0.192–0.370) | 0.433 |
| Inflammatory response | −0.009 (−0.346–0.311) | 0.956 | −0.183 (−0.445–0.154) | 0.265 |
| Survival | 0.415 (0.127–0.700) | 0.009 | −0.354 (−0.706–−0.085) | 0.559 |
| HPV 16/18 | −0.32 (−0.519–−0.087) | 0.047 | - | - |
| Degree of differentiation | 0.679 (0.556–0.790) | <0.001 | −0.397 (−0.542–−0.254) | 0.012 |
| Connexin 43 | - | - | −0.32 (−0.519–−0.087) | 0.047 |
Disclaimer/Publisher’s Note: The statements, opinions and data contained in all publications are solely those of the individual author(s) and contributor(s) and not of MDPI and/or the editor(s). MDPI and/or the editor(s) disclaim responsibility for any injury to people or property resulting from any ideas, methods, instructions or products referred to in the content. |
© 2025 by the authors. Licensee MDPI, Basel, Switzerland. This article is an open access article distributed under the terms and conditions of the Creative Commons Attribution (CC BY) license (https://creativecommons.org/licenses/by/4.0/).
Share and Cite
Gutierrez-Camacho, J.R.; Avila-Carrasco, L.; Garza-Veloz, I.; Monárrez-Espino, J.; Martinez-Vazquez, M.C.; Araujo-Espino, R.; Trejo-Ortiz, P.M.; Martinez-Flores, R.B.; Gurrola-Carlos, R.; Troncoso-Vazquez, L.; et al. Connexin 43 Expression as Biomarker of Oral Squamous Cell Carcinoma and Its Association with Human Papillomavirus 16 and 18. Int. J. Mol. Sci. 2025, 26, 1232. https://doi.org/10.3390/ijms26031232
Gutierrez-Camacho JR, Avila-Carrasco L, Garza-Veloz I, Monárrez-Espino J, Martinez-Vazquez MC, Araujo-Espino R, Trejo-Ortiz PM, Martinez-Flores RB, Gurrola-Carlos R, Troncoso-Vazquez L, et al. Connexin 43 Expression as Biomarker of Oral Squamous Cell Carcinoma and Its Association with Human Papillomavirus 16 and 18. International Journal of Molecular Sciences. 2025; 26(3):1232. https://doi.org/10.3390/ijms26031232
Chicago/Turabian StyleGutierrez-Camacho, Jose Roberto, Lorena Avila-Carrasco, Idalia Garza-Veloz, Joel Monárrez-Espino, Maria Calixta Martinez-Vazquez, Roxana Araujo-Espino, Perla M. Trejo-Ortiz, Rosa B. Martinez-Flores, Reinaldo Gurrola-Carlos, Lorena Troncoso-Vazquez, and et al. 2025. "Connexin 43 Expression as Biomarker of Oral Squamous Cell Carcinoma and Its Association with Human Papillomavirus 16 and 18" International Journal of Molecular Sciences 26, no. 3: 1232. https://doi.org/10.3390/ijms26031232
APA StyleGutierrez-Camacho, J. R., Avila-Carrasco, L., Garza-Veloz, I., Monárrez-Espino, J., Martinez-Vazquez, M. C., Araujo-Espino, R., Trejo-Ortiz, P. M., Martinez-Flores, R. B., Gurrola-Carlos, R., Troncoso-Vazquez, L., & Martinez-Fierro, M. L. (2025). Connexin 43 Expression as Biomarker of Oral Squamous Cell Carcinoma and Its Association with Human Papillomavirus 16 and 18. International Journal of Molecular Sciences, 26(3), 1232. https://doi.org/10.3390/ijms26031232

