Altered Sertoli Cell Function Contributes to Spermatogenic Arrest in Dogs with Chronic Asymptomatic Orchitis
Abstract
1. Introduction
2. Results
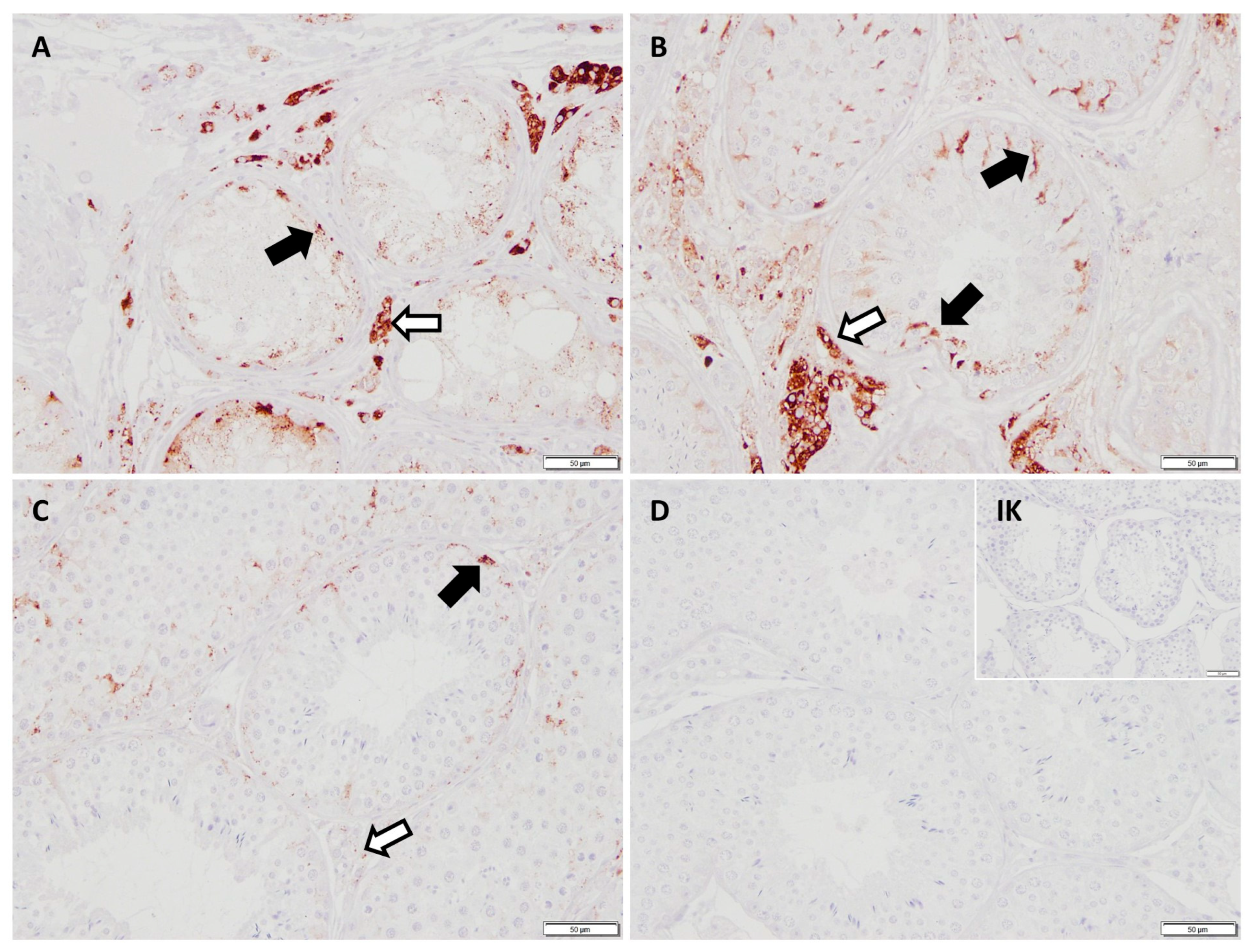
2.1. Expression of bFGF
2.2. Expression of GDNF
2.3. Expression of WNT5A
2.4. BMP4, CXCL12 and LDHC mRNA Expression
3. Discussion
4. Materials and Methods
4.1. Study Populations and Tissue Collection
4.2. Quantitative Real-Time PCR
4.3. Immunohistochemistry
4.4. Western Blot
4.5. Statistical Analysis
5. Conclusions
Author Contributions
Funding
Institutional Review Board Statement
Data Availability Statement
Acknowledgments
Conflicts of Interest
References
- Johnston, S.D.; Root Kustritz, M.V.; Olson, P.N.S. Clinical Approach to Infertility in the Male Dog. In Canine Feline Theriogenology; W.B. Saunders: Philadelphia, PA, USA, 2001; pp. 370–388. [Google Scholar]
- Romagnoli, S. Two common causes of infertility in the male dog. R-Reproduction. In Proceedings of the 2006 World Congress WSAVA/FECAVA/CSAVA, Prague, Czech Republic, 11–14 October 2006; pp. 686–690. [Google Scholar]
- Cervan-Martin, M.; Castilla, J.A.; Palomino-Morales, R.J.; Carmona, F.D. Genetic Landscape of Nonobstructive Azoospermia and New Perspectives for the Clinic. J. Clin. Med. 2020, 9, 300. [Google Scholar] [CrossRef] [PubMed]
- Wosnitzer, M.; Goldstein, M.; Hardy, M.P. Review of Azoospermia. Spermatogenesis 2014, 4, e28218. [Google Scholar] [CrossRef]
- Tuttelmann, F.; Werny, F.; Cooper, T.G.; Kliesch, S.; Simoni, M.; Nieschlag, E. Clinical Experience with Azoospermia: Aetiology and Chances for Spermatozoa Detection Upon Biopsy. Int. J. Androl. 2011, 34, 291–298. [Google Scholar] [CrossRef]
- Goericke-Pesch, S.; Reifarth, L.; Behrens Mathiesen, C.; Schuler, G.; Umbach, A.K.; Körber, H. Chronic Immune-Mediated Orchitis Is the Major Cause of Acquired Non-Obstructive Azoospermia in Dogs. Front. Vet. Sci. 2022, 9, 865967. [Google Scholar] [CrossRef]
- Reifarth, L.; Körber, H.; Packeiser, E.-M.; Goericke-Pesch, S. Alteration of the Canine Spermatogonial Stem Cell Compartment in Testicular Tissues Affected by Chronic Immune-Mediated Orchitis. Cells 2022, 11, 1–25. [Google Scholar]
- Reifarth, L.; Körber, H.; Packeiser, E.M.; Goericke-Pesch, S. Detection of Spermatogonial Stem Cells in Testicular Tissue of Dogs with Chronic Asymptomatic Orchitis. Front. Vet. Sci. 2023, 10, 1205064. [Google Scholar] [CrossRef] [PubMed]
- Pröbstl, C.; Umbach, A.; Beineke, A.; Körber, H.; Goericke-Pesch, S. Immune Cell Characterization in Spontaneous Autoimmune Orchitis in Dogs. Theriogenology 2022, 187, 219–226. [Google Scholar] [CrossRef] [PubMed]
- Matschurat, C.; Rode, K.; Hollenbach, J.; Wolf, K.; Urhausen, C.; Beineke, A.; Gunzel-Apel, A.R.; Brehm, R. Impaired Spermatogenesis, Tubular Wall Disruption, Altered Blood-Testis Barrier Composition and Intratubular Lymphocytes in an Infertile Beagle Dog—A Putative Case of Autoimmune Orchitis. Histol. Histopathol. 2019, 34, 525–535. [Google Scholar] [CrossRef] [PubMed]
- Jensen, H.B.; Holm, J.E.; Körber, H.; Goericke-Pesch, S. Expression of Connexin 43 and Androgen Receptor in Testes of Azoospermic Dogs. Reprod. Domest. Anim. 2018, 53, 5. [Google Scholar]
- Patriarca, C.; Colecchia, M.; Clerici, C.A. Enrico Sertoli and the Supporting Cells of the Testis “Morphology is Function”. Pathologica 2019, 111, 375–381. [Google Scholar] [CrossRef]
- Griswold, M.D. The Central Role of Sertoli Cells in Spermatogenesis. Semin. Cell Dev. Biol. 1998, 9, 411–416. [Google Scholar] [CrossRef]
- Lara, N.; Costa, G.M.J.; Figueiredo, A.F.A.; de França, L.R. The Sertoli Cell: What can We Learn from Different Vertebrate Models? Anim. Reprod. 2020, 16, 81–92. [Google Scholar] [CrossRef] [PubMed]
- Johnson, L.; Thompson, D.L., Jr.; Varner, D.D. Role of Sertoli Cell Number and Function on Regulation of Spermatogenesis. Anim. Reprod. Sci. 2008, 105, 23–51. [Google Scholar] [CrossRef]
- de Rooij, D.G. The Spermatogonial Stem Cell Niche. Microsc. Res. Tech. 2009, 72, 580–585. [Google Scholar] [CrossRef]
- Morawietz, J.; Körber, H.; Packeiser, E.M.; Beineke, A.; Goericke-Pesch, S. Insights into Canine Infertility: Apoptosis in Chronic Asymptomatic Orchitis. Int. J. Mol. Sci. 2023, 24, 6083. [Google Scholar] [CrossRef]
- Morawietz, J.; Körber, H.; Goericke-Pesch, S. Expression of PTGS2 in Testicular Tissue of Dogs with Non-Obstructive Azoospermia. Reprod. Domest. Anim. 2021, 56, 23–24. [Google Scholar]
- Tyagi, G.; Carnes, K.; Morrow, C.; Kostereva, N.V.; Ekman, G.C.; Meling, D.D.; Hostetler, C.; Griswold, M.; Murphy, K.M.; Hess, R.A.; et al. Loss of Etv5 Decreases Proliferation and RET Levels in Neonatal Mouse Testicular Germ Cells and Causes an Abnormal First Wave of Spermatogenesis. Biol. Reprod. 2009, 81, 258–266. [Google Scholar] [CrossRef]
- Griswold, M.D. Spermatogenesis: The Commitment to Meiosis. Physiol. Rev. 2016, 96, 1–17. [Google Scholar] [CrossRef]
- Mäkelä, J.A.; Hobbs, R.M. Molecular Regulation of Spermatogonial Stem Cell Renewal and Differentiation. Reproduction 2019, 158, R169–R187. [Google Scholar] [CrossRef] [PubMed]
- Takashima, S.; Kanatsu-Shinohara, M.; Tanaka, T.; Morimoto, H.; Inoue, K.; Ogonuki, N.; Jijiwa, M.; Takahashi, M.; Ogura, A.; Shinohara, T. Functional Differences between GDNF-Dependent and FGF2-Dependent Mouse Spermatogonial Stem Cell Self-Renewal. Stem Cell Rep. 2015, 4, 489–502. [Google Scholar] [CrossRef] [PubMed]
- Chen, S.R.; Liu, Y.X. Regulation of Spermatogonial Stem Cell Self-Renewal and Spermatocyte Meiosis by Sertoli Cell Signaling. Reproduction 2015, 149, R159–R167. [Google Scholar] [CrossRef]
- Mirzapour, T.; Movahedin, M.; Tengku Ibrahim, T.A.; Koruji, M.; Haron, A.W.; Nowroozi, M.R.; Rafieian, S.H. Effects of Basic Fibroblast Growth Factor and Leukaemia Inhibitory Factor on Proliferation and Short-Term Culture of Human Spermatogonial Stem Cells. Andrologia 2012, 44 (Suppl. S1), 41–55. [Google Scholar] [CrossRef]
- La, H.M.; Mäkelä, J.A.; Chan, A.L.; Rossello, F.J.; Nefzger, C.M.; Legrand, J.M.D.; De Seram, M.; Polo, J.M.; Hobbs, R.M. Identification of Dynamic Undifferentiated Cell States within the Male Germline. Nat. Commun. 2018, 9, 2819. [Google Scholar] [CrossRef] [PubMed]
- Meng, X.; Lindahl, M.; Hyvonen, M.E.; Parvinen, M.; de Rooij, D.G.; Hess, M.W.; Raatikainen-Ahokas, A.; Sainio, K.; Rauvala, H.; Lakso, M.; et al. Regulation of cell fate decision of undifferentiated spermatogonia by GDNF. Science 2000, 287, 1489–1493. [Google Scholar] [CrossRef] [PubMed]
- Tanaka, T.; Kanatsu-Shinohara, M.; Lei, Z.; Rao, C.V.; Shinohara, T. The Luteinizing Hormone-Testosterone Pathway Regulates Mouse Spermatogonial Stem Cell Self-Renewal by Suppressing WNT5A Expression in Sertoli Cells. Stem Cell Rep. 2016, 7, 279–291. [Google Scholar] [CrossRef]
- Young, J.C.; Kerr, G.; Micati, D.; Nielsen, J.E.; Rajpert-De Meyts, E.; Abud, H.E.; Loveland, K.L. WNT Signalling in the Normal Human Adult Testis and in Male Germ Cell Neoplasms. Hum. Reprod. 2020, 35, 1991–2003. [Google Scholar] [CrossRef]
- Yeh, J.R.; Zhang, X.; Nagano, M.C. Wnt5a is a Cell-Extrinsic Factor that Supports Self-Renewal of Mouse Spermatogonial Stem Cells. J. Cell Sci. 2011, 124, 2357–2366. [Google Scholar] [CrossRef]
- Köse, S.; Yersal, N.; Onen, S.; Korkusuz, P. Comparison of Hematopoietic and Spermatogonial Stem Cell Niches from the Regenerative Medicine Aspect. Adv. Exp. Med. Biol. 2018, 1107, 15–40. [Google Scholar] [CrossRef] [PubMed]
- Ma, M.; Yang, S.; Zhang, Z.; Li, P.; Gong, Y.; Liu, L.; Zhu, Y.; Tian, R.; Liu, Y.; Wang, X.; et al. Sertoli Cells from Non-Obstructive Azoospermia and Obstructive Azoospermia Patients Show Distinct Morphology, Raman Spectrum and Biochemical Phenotype. Hum. Reprod. 2013, 28, 1863–1873. [Google Scholar] [CrossRef]
- Yang, Q.E.; Kim, D.; Kaucher, A.; Oatley, M.J.; Oatley, J.M. CXCL12-CXCR4 Signaling is Required for the Maintenance of Mouse Spermatogonial Stem Cells. J. Cell Sci. 2013, 126, 1009–1020. [Google Scholar] [CrossRef] [PubMed]
- Dodo, M.; Kitamura, H.; Shima, H.; Saigusa, D.; Wati, S.M.; Ota, N.; Katsuoka, F.; Chiba, H.; Okae, H.; Arima, T.; et al. Lactate Dehydrogenase C is Required for the Protein Expression of a Sperm-Specific Isoform of Lactate Dehydrogenase A. J. Biochem. 2019, 165, 323–334. [Google Scholar] [CrossRef]
- Blanco, A.; Zinkham, W.H. Lactate Dehydrogenases in Human Testes. Science 1963, 139, 601–602. [Google Scholar] [CrossRef]
- Odet, F.; Duan, C.; Willis, W.D.; Goulding, E.H.; Kung, A.; Eddy, E.M.; Goldberg, E. Expression of the Gene for Mouse Lactate Dehydrogenase C (Ldhc) is Required for Male Fertility. Biol. Reprod. 2008, 79, 26–34. [Google Scholar] [CrossRef] [PubMed]
- Zhou, C.; Zhang, L.; Xu, D.; Ding, H.; Zheng, S.; Liu, M. MeDIP-seq and RNA-seq Analysis during Porcine Testis Development Reveals Functional DMR at the Promoter of LDHC. Genomics 2022, 114, 110467. [Google Scholar] [CrossRef]
- Kubota, H.; Avarbock, M.R.; Brinster, R.L. Growth Factors Essential for Self-Renewal and Expansion of Mouse Spermatogonial Stem Cells. Proc. Natl. Acad. Sci. USA 2004, 101, 16489–16494. [Google Scholar] [CrossRef] [PubMed]
- Hofmann, M.C.; Braydich-Stolle, L.; Dym, M. Isolation of Male Germ-Line Stem Cells; Influence of GDNF. Dev. Biol. 2005, 279, 114–124. [Google Scholar] [CrossRef]
- Zhao, L.; Yao, C.; Xing, X.; Jing, T.; Li, P.; Zhu, Z.; Yang, C.; Zhai, J.; Tian, R.; Chen, H.; et al. Single-Cell Analysis of Developing And Azoospermia Human Testicles Reveals Central Role of Sertoli Cells. Nat. Commun. 2020, 11, 5683. [Google Scholar] [CrossRef] [PubMed]
- Schuppe, H.-C.; Meinhardt, A.; Allam, J.P.; Bergmann, M.; Weidner, W.; Haidl, G. Chronic Orchitis: A Neglected Cause of Male Infertility? Andrologia 2008, 40, 84–91. [Google Scholar] [CrossRef]
- Pilatz, A.; Fijak, M.; Wagenlehner, F.; Schuppe, H.C. Orchitis. Der Urol. 2019, 58, 697–710. [Google Scholar] [CrossRef]
- Lustig, L.; Guazzone, V.A.; Theas, M.S.; Pleuger, C.; Jacobo, P.; Pérez, C.V.; Meinhardt, A.; Fijak, M. Pathomechanisms of Autoimmune Based Testicular Inflammation. Front. Immunol. 2020, 11, 583135. [Google Scholar] [CrossRef] [PubMed]
- Fijak, M.; Pilatz, A.; Hedger, M.P.; Nicolas, N.; Bhushan, S.; Michel, V.; Tung, K.S.K.; Schuppe, H.C.; Meinhardt, A. Infectious, Inflammatory and ’Autoimmune’ Male Factor Infertility: How do Rodent Models Inform Clinical Practice? Hum Reprod Update 2018, 24, 416–441. [Google Scholar] [CrossRef]
- Sumner, R.N.; Harris, I.T.; Van der Mescht, M.; Byers, A.; England, G.C.W.; Lea, R.G. The Dog as a Sentinel Species for Environmental Effects on Human Fertility. Reproduction 2020, 159, R265–R276. [Google Scholar] [CrossRef] [PubMed]
- Sumner, R.N.; Tomlinson, M.; Craigon, J.; England, G.C.W.; Lea, R.G. Independent and Combined Effects of Diethylhexyl phthalate and Polychlorinated Biphenyl 153 on Sperm Quality in the Human and Dog. Sci. Rep. 2019, 9, 3409. [Google Scholar] [CrossRef]
- Ruple, A.; MacLean, E.; Snyder-Mackler, N.; Creevy, K.E.; Promislow, D. Dog Models of Aging. Annu. Rev. Anim. Biosci. 2022, 10, 419–439. [Google Scholar] [CrossRef] [PubMed]
- Gherman, L.M.; Chiroi, P.; Nuţu, A.; Bica, C.; Berindan-Neagoe, I. Profiling Canine Mammary Tumors: A Potential Model for Studying Human Breast Cancer. Vet. J. 2024, 303, 106055. [Google Scholar] [CrossRef]
- Reifarth, L.; Körber, H.; Goericke-Pesch, S. Analysis of Putative Stem Cell Markers in Dogs with Spontaneous Immune Mediated Orchitis. Reprod. Domest. Anim. 2022, 57 (Suppl. S2), 12. [Google Scholar]
- Kasak, L.; Laan, M. Monogenic Causes of Non-Obstructive Azoospermia: Challenges, Established Knowledge, Limitations and Perspectives. Hum. Genet. 2021, 140, 135–154. [Google Scholar] [CrossRef]
- Vij, S.C.; Sabanegh, E., Jr.; Agarwal, A. Biological Therapy for Non-Obstructive Azoospermia. Expert Opin. Biol. Ther. 2018, 18, 19–23. [Google Scholar] [CrossRef]
- Ishii, K.; Kanatsu-Shinohara, M.; Toyokuni, S.; Shinohara, T. FGF2 Mediates Mouse Spermatogonial Stem Cell Self-Renewal via Upregulation of Etv5 and Bcl6b through MAP2K1 Activation. Development 2012, 139, 1734–1743. [Google Scholar] [CrossRef] [PubMed]
- Van Dissel-Emiliani, F.M.; De Boer-Brouwer, M.; De Rooij, D.G. Effect of Fibroblast Growth Factor-2 on Sertoli Cells and Gonocytes in Coculture during the Perinatal Period. Endocrinology 1996, 137, 647–654. [Google Scholar] [CrossRef] [PubMed][Green Version]
- Mullaney, B.P.; Skinner, M.K. Basic Fibroblast Growth Factor (bFGF) Gene Expression and Protein Production during Pubertal Development of the Seminiferous Tubule: Follicle-Stimulating Hormone-Induced Sertoli Cell bFGF Expression. Endocrinology 1992, 131, 2928–2934. [Google Scholar] [CrossRef] [PubMed]
- Suk Han, I.; Ft Sylvester, S.; Hee Kim, K.; Schelling, M.E.; Venkateswaran, S.; Blanckaert, V.D.; McGuinness, M.P.; Griswold, M.D. Basic Fibroblast Growth Factor Is a Testicular Germ Cell Product Which May Regulate Sertoli Cell Function. Mol. Endocrinol. 1993, 7, 889–897. [Google Scholar]
- Abd-Elmaksoud, A.; Vermehren, M.; Nutzel, F.; Habermann, F.A.; Sinowatz, F. Analysis of Fibroblast Growth Factor 2 (FGF2) Gene Transcription and Protein Distribution in the Bovine Testis. Growth Factors 2005, 23, 295–301. [Google Scholar] [CrossRef] [PubMed]
- Schteingart, H.F.; Meroni, S.B.; Cánepa, D.F.; Pellizzari, E.H.; Cigorraga, S.B. Effects of Basic Fibroblast Growth Factor and Nerve Growth Factor on Lactate Production, G-Glutamyl Transpeptidase and Aromatase Activities in Cultured Sertoli Cells. Eur. J. Endocrinol. 1999, 141, 539–545. [Google Scholar] [CrossRef][Green Version]
- Zhang, Y.; Wang, S.; Wang, X.; Liao, S.; Wu, Y.; Han, C. Endogenously Produced FGF2 is Essential for the Survival and Proliferation of Cultured Mouse Spermatogonial Stem Cells. Cell Res. 2012, 22, 773–776. [Google Scholar] [CrossRef] [PubMed]
- Azizi, H.; Skutella, T.; Shahverdi, A. Generation of Mouse Spermatogonial Stem-Cell-Colonies in a Non-Adherent Culture. Cell J. 2017, 19, 238–249. [Google Scholar] [CrossRef]
- Kanatsu-Shinohara, M.; Ogonuki, N.; Inoue, K.; Miki, H.; Ogura, A.; Toyokuni, S.; Shinohara, T. Long-term proliferation in culture and germline transmission of mouse male germline stem cells. Biol. Reprod. 2003, 69, 612–616. [Google Scholar] [CrossRef]
- Jijiwa, M.; Kawai, K.; Fukihara, J.; Nakamura, A.; Hasegawa, M.; Suzuki, C.; Sato, T.; Enomoto, A.; Asai, N.; Murakumo, Y.; et al. GDNF-Mediated Signaling via RET Tyrosine 1062 is Essential for Maintenance of Spermatogonial Stem Cells. Genes Cells 2008, 13, 365–374. [Google Scholar] [CrossRef] [PubMed]
- Fouchecourt, S.; Godet, M.; Sabido, O.; Durand, P. Glial Cell-Line-Derived Neurotropic Factor and Its Receptors are Expressed by Germinal and Somatic Cells of the Rat Testis. J. Endocrinol. 2006, 190, 59–71. [Google Scholar] [CrossRef] [PubMed]
- Chen, L.Y.; Brown, P.R.; Willis, W.B.; Eddy, E.M. Peritubular Myoid Cells Participate in Male Mouse Spermatogonial Stem Cell Maintenance. Endocrinology 2014, 155, 4964–4974. [Google Scholar] [CrossRef]
- Wright, W.W. The Regulation of Spermatogonial Stem Cells in an Adult Testis by Glial Cell Line-Derived Neurotrophic Factor. Front. Endocrinol. 2022, 13, 896390. [Google Scholar] [CrossRef] [PubMed]
- Jensen, C.F.S.; Wang, D.; Mamsen, L.S.; Giwercman, A.; Jorgensen, N.; Fode, M.; Ohl, D.; Dong, L.; Hildorf, S.E.; Pors, S.E.; et al. Sertoli and Germ Cells within Atrophic Seminiferous Tubules of Men with Non-Obstructive Azoospermia. Front. Endocrinol. 2022, 13, 825904. [Google Scholar] [CrossRef] [PubMed]
- Chen, H.; Mruk, D.; Xiao, X.; Cheng, C.Y. Human Spermatogenesis and Its Regulation. In Male Hypogonadism: Basic, Clinical and Therapeutic Principles; Humana: Cham, Switzerland, 2017; pp. 49–72. [Google Scholar]
- Ding, L.J.; Yan, G.J.; Ge, Q.Y.; Yu, F.; Zhao, X.; Diao, Z.Y.; Wang, Z.Q.; Yang, Z.Z.; Sun, H.X.; Hu, Y.L. FSH Acts on the Proliferation of type a Spermatogonia Via Nur77 that Increases GDNF Expression in the Sertoli Cells. FEBS Lett. 2011, 585, 2437–2444. [Google Scholar] [CrossRef] [PubMed]
- Lamberti, D.; Vicini, E. Promoter Analysis of the Gene Encoding GDNF in Murine Sertoli Cells. Mol. Cell. Endocrinol. 2014, 394, 105–114. [Google Scholar] [CrossRef]
- Parekh, P.A.; Garcia, T.X.; Hofmann, M.C. Regulation of Gdnf Expression in Sertoli Cells. Reproduction 2019, 157, R95–R107. [Google Scholar] [CrossRef] [PubMed]
- Tadokoro, Y.; Yomogida, K.; Ohta, H.; Tohda, A.; Nishimune, Y. Homeostatic Regulation of Germinal Stem Cell Proliferation by the GDNF/FSH Pathway. Mech. Dev. 2002, 113, 29–39. [Google Scholar] [CrossRef]
- Kavoussi, P.K.; Hudson, K.; Machen, G.L.; Barsky, M.; Lebovic, D.I.; Kavoussi, S.K. FSH Levels and Testicular Volumes are Associated with the Severity of Testicular Histopathology in Men with Non-Obstructive Azoospermia. J. Assist. Reprod. Genet. 2021, 38, 3015–3018. [Google Scholar] [CrossRef]
- Parker, N.; Falk, H.; Singh, D.; Fidaleo, A.; Smith, B.; Lopez, M.S.; Shokat, K.M.; Wright, W.W. Responses to Glial Cell Line-Derived Neurotrophic Factor Change in Mice as Spermatogonial Stem Cells form Progenitor Spermatogonia which Replicate and Give Rise to More Differentiated Progeny. Biol. Reprod. 2014, 91, 92. [Google Scholar] [CrossRef] [PubMed]
- Grasso, M.; Fuso, A.; Dovere, L.; de Rooij, D.G.; Stefanini, M.; Boitani, C.; Vicini, E. Distribution of GFRA1-Expressing Spermatogonia in Adult Mouse Testis. Reproduction 2012, 143, 325–332. [Google Scholar] [CrossRef] [PubMed]
- Hobbs, R.M.; Seandel, M.; Falciatori, I.; Rafii, S.; Pandolfi, P.P. Plzf Regulates Germline Progenitor Self-Renewal by Opposing mTORC1. Cell 2010, 142, 468–479. [Google Scholar] [CrossRef] [PubMed]
- Yang, F.; Whelan, E.C.; Guan, X.; Deng, B.; Wang, S.; Sun, J.; Avarbock, M.R.; Wu, X.; Brinster, R.L. FGF9 Promotes Mouse Spermatogonial Stem Cell Proliferation Mediated by p38 MAPK Signalling. Cell Prolif. 2021, 54, e12933. [Google Scholar] [CrossRef] [PubMed]
- Nagano, M.; Ryu, B.Y.; Brinster, C.J.; Avarbock, M.R.; Brinster, R.L. Maintenance of Mouse Male Germ Line Stem Cells In Vitro. Biol. Reprod. 2003, 68, 2207–2214. [Google Scholar] [CrossRef] [PubMed]
- Pellegrini, M.; Grimaldi, P.; Rossi, P.; Geremia, R.; Dolci, S. Developmental Expression of BMP4\ALK3\SMAD5 Signaling Pathway in the Mouse Testis: A Potential Role of BMP4 in Spermatogonia Differentiation. J. Cell Sci. 2003, 116, 3363–3372. [Google Scholar] [CrossRef]
- Ma, K.; Chen, N.; Wang, H.; Li, Q.; Shi, H.; Su, M.; Zhang, Y.; Ma, Y.; Li, T. The Regulatory Role of BMP4 in Testicular Sertoli Cells of Tibetan Sheep. J. Anim. Sci. 2023, 101, skac393. [Google Scholar] [CrossRef] [PubMed]
- Caires, K.C.; de Avila, J.; McLean, D.J. Endocrine Regulation of Spermatogonial Stem Cells in the Seminiferous Epithelium of Adult Mice. BioRes. Open Access 2012, 1, 222–230. [Google Scholar] [CrossRef] [PubMed]
- Fu, Y.; Wei, Y.; Zhou, Y.; Wu, H.; Hong, Y.; Long, C.; Wang, J.; Wu, Y.; Wu, S.; Shen, L.; et al. Wnt5a Regulates Junctional Function of Sertoli Cells through Pcp-Mediated Effects on mTORC1 and mTORC2. Endocrinology 2021, 162, bqab149. [Google Scholar] [CrossRef]
- Mei, X.X.; Wang, J.; Wu, J. Extrinsic and Intrinsic Factors Controlling Spermatogonial Stem Cell Self-Renewal and Differentiation. Asian J. Androl. 2015, 17, 347–354. [Google Scholar] [CrossRef] [PubMed]
- Tanwar, P.S.; Kaneko-Tarui, T.; Zhang, L.; Rani, P.; Taketo, M.M.; Teixeira, J. Constitutive WNT/Beta-Catenin Signaling in Murine Sertoli Cells Disrupts Their Differentiation and Ability to Support Spermatogenesis. Biol. Reprod. 2010, 82, 422–432. [Google Scholar] [CrossRef] [PubMed]
- Boyer, A.; Hermo, L.; Paquet, M.; Robaire, B.; Boerboom, D. Seminiferous Tubule Degeneration and Infertility in Mice with Sustained Activation of WNT/CTNNB1 Signaling in Sertoli Cells. Biol. Reprod. 2008, 79, 475–485. [Google Scholar] [CrossRef]
- Hilbold, E.A. Elucidation of Molecular Mechanisms by which Deletion of Connexin 43 in Sertoli Cells Prevents Murine Spermatogenesis, and Investigation of the Murine Candidate Gene Dmrtb1 in Human Testis Showing Normal and Impaired Spermatogenesis. Ph.D. Dissertation, Tierärztliche Hochschule Hannover, Hannover, Germany, 2020. [Google Scholar]
- Payne, C.J.; Gallagher, S.J.; Foreman, O.; Dannenberg, J.H.; Depinho, R.A.; Braun, R.E. Sin3a is Required by Sertoli Cells to Establish a Niche for Undifferentiated Spermatogonia, Germ Cell Tumors, and Spermatid Elongation. Stem Cells 2010, 28, 1424–1434. [Google Scholar] [CrossRef]
- Kanatsu-Shinohara, M.; Inoue, K.; Takashima, S.; Takehashi, M.; Ogonuki, N.; Morimoto, H.; Nagasawa, T.; Ogura, A.; Shinohara, T. Reconstitution of Mouse Spermatogonial Stem Cell Niches in Culture. Cell Stem Cell 2012, 11, 567–578. [Google Scholar] [CrossRef] [PubMed]
- Westernstroer, B.; Terwort, N.; Ehmcke, J.; Wistuba, J.; Schlatt, S.; Neuhaus, N. Profiling of Cxcl12 Receptors, Cxcr4 and Cxcr7 in Murine Testis Development and a Spermatogenic Depletion Model Indicates a Role for Cxcr7 in Controlling Cxcl12 Activity. PLoS ONE 2014, 9, e112598. [Google Scholar] [CrossRef] [PubMed]
- Chen, Y.; Liu, X.; Zhang, L.; Zhu, F.; Yan, L.; Tang, W.; Zhang, Z.; Liu, Q.; Jiang, H.; Qiao, J. Deciphering the Molecular Characteristics of Human Idiopathic Nonobstructive Azoospermia from the Perspective of Germ Cells. Adv. Sci. 2023, 10, e2206852. [Google Scholar] [CrossRef]
- Yoon, K.A.; Chae, Y.M.; Cho, J.Y. Fgf2 Stimulates Sdf-1 Expression through the Erm Transcription Factor in Sertoli Cells. J. Cell. Physiol. 2009, 220, 245–256. [Google Scholar] [CrossRef]
- Goldberg, E.; Eddy, E.M.; Duan, C.; Odet, F. LDHC: The Ultimate Testis-Specific Gene. J. Androl. 2010, 31, 86–94. [Google Scholar] [CrossRef] [PubMed]
- Fietz, D.; Sgaier, R.; O’Donnell, L.; Stanton, P.; Dagley, L.; Webb, A.I.; Schuppe, H.-C.; Diemer, T.; Pilatz, A. Proteomic Biomarkers in Seminal Plasma as Predictors of Reproductive Potential in Azoospermic Men. Front. Endocrinol. 2023, 15, 1327800. [Google Scholar] [CrossRef] [PubMed]
- Yang, Y.; Han, C. GDNF Stimulates the Proliferation of Cultured Mouse Immature Sertoli Cells via Its Receptor Subunit NCAM and ERK1/2 Signaling Pathway. BMC Mol. Cell Biol. 2010, 11, 78. [Google Scholar] [CrossRef] [PubMed]
- Hu, J.; Shima, H.; Nakagawa, H. Glial Cell Line-Derived Neurotropic Factor Stimulates Sertoli Cell Proliferation in the early Postnatal Period of Rat Testis Development. Endocrinology 1999, 140, 3416–3421. [Google Scholar] [CrossRef] [PubMed]
- Jaillard, C.; Chatelain, P.G.; Saez, J.M. In Vitro Regulation of Pig Sertoli Cell Growth and Function: Effects of Fibroblast Growth Factor and Somatomedin-C. Biol. Reprod. 1987, 37, 665–674. [Google Scholar] [CrossRef]
- Aydos, O.S.; Yukselten, Y.; Ozkan, T.; Ozkavukcu, S.; Tuten Erdogan, M.; Sunguroglu, A.; Aydos, K. Co-Culture of Cryopreserved Healthy Sertoli Cells with Testicular Tissue of Non-Obstructive Azoospermia (NOA) Patients in Culture Media Containing Follicle-Stimulating Hormone (Fsh)/Testosterone Has No Advantage in Germ Cell Maturation. J. Clin. Med. 2023, 12, 1073. [Google Scholar] [CrossRef] [PubMed]
- Goericke-Pesch, S.; Spang, A.; Schulz, M.; Ozalp, G.; Bergmann, M.; Ludwig, C.; Hoffmann, B. Recrudescence of Spermatogenesis in the Dog Following Downregulation Using a Slow Release GnRH Agonist Implant. Reprod. Domest. Anim. 2009, 44 (Suppl. S2), 302–308. [Google Scholar] [CrossRef] [PubMed]
- Morawietz, J.; Körber, H.; Goericke-Pesch, S. Which Role Does PTGS2 Play in Testicular Tissue of Dogs with Non-Obstructive Azoospermia? Reprod. Domest. Anim. 2022, 57, 4–64. [Google Scholar] [CrossRef]
- Jungmann, C.; Houghton, C.G.; Nielsen, F.G.; Packeiser, E.M.; Körber, H.; Reichler, I.M.; Balogh, O.; Goericke-Pesch, S. Involvement of Oxytocin and Progesterone Receptor Expression in the Etiology of Canine Uterine Inertia. Int. J. Mol. Sci. 2022, 23, 13601. [Google Scholar] [CrossRef]
- Pfaffl, M.W. A new Mathematical Model for Relative Quantification in Real-Time RT-PCR. Nucleic Acids Res. 2001, 29, e45. [Google Scholar] [CrossRef]
- Hellemans, J.; Mortier, G.; De Paepe, A.; Speleman, F.; Vandesompele, J. qBase Relative Quantification Framework and Software for Management and Automated Analysis of Real-Time Quantitative PCR Data. Genome Biol. 2007, 8, R19. [Google Scholar] [CrossRef] [PubMed]
- Körber, H.; Goericke-Pesch, S. Expression of PTGS2, PGFS and PTGFR during Downregulation and Restart of Spermatogenesis Following GnRH Agonist Treatment in the Dog. Cell Tissue Res. 2019, 375, 531–541. [Google Scholar] [CrossRef] [PubMed]











| Sertoli Cell-Derived Factor | Protein (Gene) Symbol | Function | Reference |
|---|---|---|---|
| basic fibroblast growth factor | bFGF (FGF2) | bFGF and leukemia inhibitory factor (LIF) promote proliferation of human SSCs in short-term Sertoli germ cell co-culture | [22,23,24] |
| glia cell line-derived neurotrophic factor | GDNF (GDNF) | Undifferentiated spermatogonia convert between stem cells and progenitor cells, based on the presence of GDNF in mice | [23,25,26] |
| Wnt oncogene analog 5a | WNT5A (WNT5A) | Androgen-regulated Sertoli cell gene, involved in the precisely controlled regulation of SSC self-renewal; inhibition of WNT signaling promotes Sertoli cell maturation in mice | [27,28,29] |
| bone morphogenetic protein 4 | BMP4 (BMP4) | Influences Sertoli cell proliferation and DNA synthesis and directs the differentiation of spermatogonia in mice; downregulated in NOA-affected men | [30,31] |
| C-X-C motif chemokine ligand 12 | CXCL12 (CXCL12) | Regulation of self-renewal and maintenance of SSC; blockage of the CXCL12-CXCR4 signaling pathway leads to SSC death in mice | [23,32] |
| lactate dehydrogenase C | LDHC (LDHC) | Testis-specific, produced post-pubertally by germ cells and Sertoli cells; LDHC-deficient male mice are infertile; LDHC-expressing Sertoli cells provide lactate as energy resource for spermatocytes and spermatids in pigs | [33,34,35,36] |
| Primer | Oligonucleotide Sequence (5′-3′) | Amplicon Length (bp) | Efficiency | Accession Number |
|---|---|---|---|---|
| GAPDH | 228 | 2.05 | NM 001003142 | |
| for | GGCCAAGAGGGTCATCATCTC | |||
| rev | GGGGCCGTCCACGGTCTTCT | |||
| HPRT | 94 | 2.05 | NM 001003357.2 | |
| for | TGACACTGGGAAAACAATGCA | |||
| rev | GGTCCTTTTCACCAGCAAGCT | |||
| FGF2 | 148 | 2.08 | XM 038565228.1 | |
| for | ACCTTCCTTTCACACTCCACCC | |||
| rev | TGTTTCCCTCCACTGTTTCATTCA | |||
| BMP4 | 216 | 1.90 | NM 001287170.2 | |
| for | TTGATGTGAGCCCTGCGGTC | |||
| rev | GTCGGGTCAAGGCATGTCCG | |||
| CXCL12 | 142 | 2.12 | NM 001128097.1 | |
| for | ACTCCGAACTGTGCCCTTCA | |||
| rev | CCACCTGCGCCTCTCACAT | |||
| GDNF | 175 | 2.11 | XM_038663888.1 | |
| for | CGCCTACGATGACGACCTGT | |||
| rev | CGGGGCAAACATTTCCTGGG | |||
| LDHC | 92 | 1.98 | NM 001271792.1 | |
| for | ACCATTGTTGGAACTGGTGCTG | |||
| rev | GCAACATCAACGAGCGCAAG | |||
| WNT5A | 198 | 2.16 | NM 001287075.1 | |
| for | TTCTCCTTCGCCCAGGTTGT | |||
| rev | CGTCTTTGCGCCTTCTCCAA |
| Antibody | SKU | Source | Clonality | Dilution | Concentration (µg/mL) | Positive Control |
|---|---|---|---|---|---|---|
| bFGF | Bs-2235r * | rabbit anti-human | polyclonal | 1:50 | 20 | Rat brain |
| GDNF | orb1089007 ** | rabbit anti-human | polyclonal | 1:100 | 2 | Rat dorsal root ganglion |
| WNT5A | ab235966 *** | rabbit anti-human | polyclonal | 1:500 | 1 | Human tonsil |
Disclaimer/Publisher’s Note: The statements, opinions and data contained in all publications are solely those of the individual author(s) and contributor(s) and not of MDPI and/or the editor(s). MDPI and/or the editor(s) disclaim responsibility for any injury to people or property resulting from any ideas, methods, instructions or products referred to in the content. |
© 2025 by the authors. Licensee MDPI, Basel, Switzerland. This article is an open access article distributed under the terms and conditions of the Creative Commons Attribution (CC BY) license (https://creativecommons.org/licenses/by/4.0/).
Share and Cite
Rehder, P.; Packeiser, E.-M.; Körber, H.; Goericke-Pesch, S. Altered Sertoli Cell Function Contributes to Spermatogenic Arrest in Dogs with Chronic Asymptomatic Orchitis. Int. J. Mol. Sci. 2025, 26, 1108. https://doi.org/10.3390/ijms26031108
Rehder P, Packeiser E-M, Körber H, Goericke-Pesch S. Altered Sertoli Cell Function Contributes to Spermatogenic Arrest in Dogs with Chronic Asymptomatic Orchitis. International Journal of Molecular Sciences. 2025; 26(3):1108. https://doi.org/10.3390/ijms26031108
Chicago/Turabian StyleRehder, Pauline, Eva-Maria Packeiser, Hanna Körber, and Sandra Goericke-Pesch. 2025. "Altered Sertoli Cell Function Contributes to Spermatogenic Arrest in Dogs with Chronic Asymptomatic Orchitis" International Journal of Molecular Sciences 26, no. 3: 1108. https://doi.org/10.3390/ijms26031108
APA StyleRehder, P., Packeiser, E.-M., Körber, H., & Goericke-Pesch, S. (2025). Altered Sertoli Cell Function Contributes to Spermatogenic Arrest in Dogs with Chronic Asymptomatic Orchitis. International Journal of Molecular Sciences, 26(3), 1108. https://doi.org/10.3390/ijms26031108

