Tepary Bean (Phaseolus acutifolius) Lectins as Modulators of Intracellular Calcium Mobilization in Breast Cancer and Normal Breast Cells
Abstract
1. Introduction
2. Results
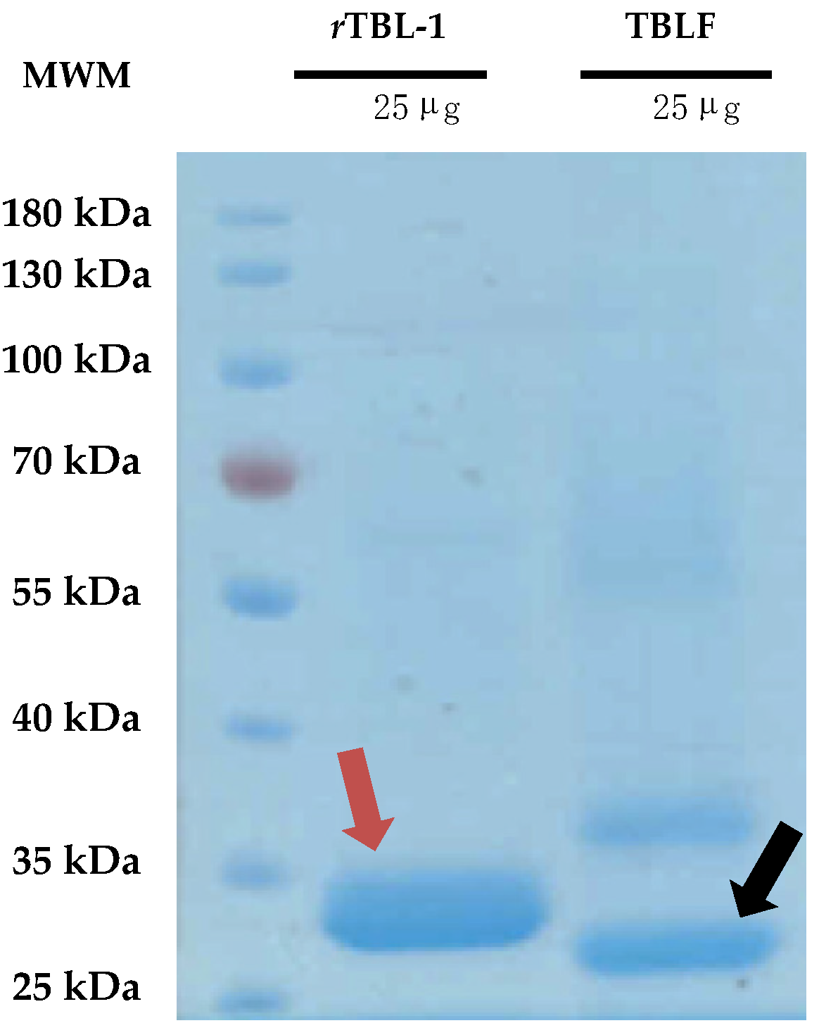
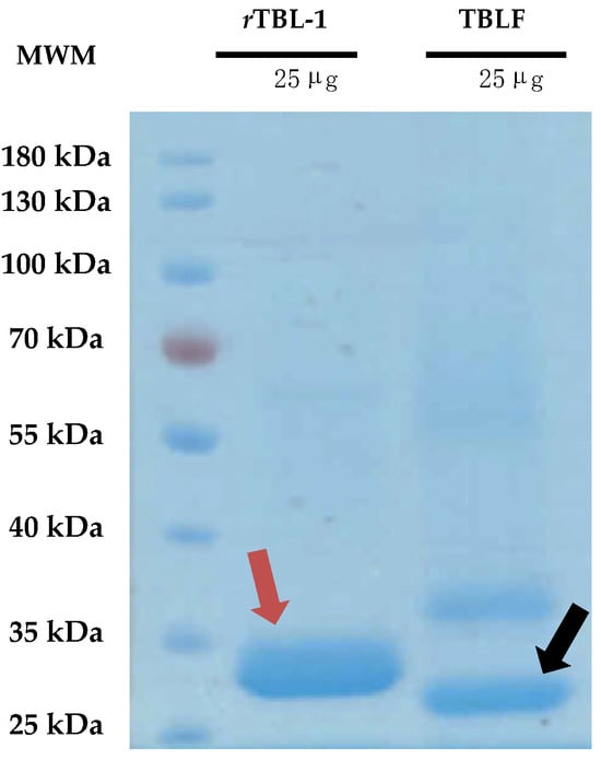
2.1. TBLF and rTBL-1 Equivalences
2.2. TBLF Induces an Increase in [Ca2+]i and Calcium Release from Intracellular Stores in MCF-12F Cells
2.3. TBLF-Induced [Ca2+]i Mobilization Originates from the Endoplasmic Reticulum Through the IP3 Receptor Pool
2.4. [Ca2+]i Modulation by TBLF and rTBL-1 in MCF-12F and MCF-7 Cells
2.5. TBLF Decreases Cell Viability (CVi) of MCF-7 and MCF12F Clones
3. Discussion
4. Materials and Methods
4.1. Tepary Bean Lectin Fraction (TBLF) Production
4.2. rTBL-1 Production
4.3. Protein Quantification
4.4. Cell Culture
4.5. Intracellular Ca2+ Mobilization
4.6. Cell Viability with AlamarBlue®
4.7. Statistical Analysis
5. Conclusions
Author Contributions
Funding
Informed Consent Statement
Data Availability Statement
Acknowledgments
Conflicts of Interest
References
- Dan, X.; Liu, W.; Ng, T.B. Development and applications of lectins as biological tools in biomedical research. Med. Res. Rev. 2016, 36, 221–247. [Google Scholar] [CrossRef]
- Coulibaly, F.S.; Youan, B.B.C. Current status of lectin-based cancer diagnosis and therapy. AIMS Mol. Sci. 2017, 4, 1–27. [Google Scholar] [CrossRef]
- Sharon, N.; Lis, H. History of lectins: From hemagglutinins to biological recognition molecules. Glycobiology 2004, 14, 53R–62R. [Google Scholar] [CrossRef]
- Mazalovska, M.; Kouokam, J.C. Plant-Derived Lectins as Potential Cancer Therapeutics and Diagnostic Tools. Biomed. Res. Int. 2020, 2020, 1631394. [Google Scholar] [CrossRef]
- Lagarda-Diaz, I.; Guzman-Partida, A.M.; Vazquez-Moreno, L. Legume lectins: Proteins with diverse applications. Int. J. Mol. Sci. 2017, 18, 1242. [Google Scholar] [CrossRef]
- Valadez-Vega, C.; Morales-González, J.; Sumaya-Martínez, M.; Delgado-Olivares, L.; Cruz-Castañeda, A.; Bautista, M.; Zuñiga-Pérez, C. Cytotoxic and antiproliferative effect of tepary bean lectins on C33-A, MCF-7, SKNSH, and SW480 cell lines. Molecules 2014, 19, 9610–9627. [Google Scholar] [CrossRef] [PubMed]
- García-Gasca, T.; García-Cruz, M.; Hernandez-Rivera, E.; López-Matínez, J.; Castaneda-Cuevas, A.L.; Yllescas-Gasca, L.; Rodríguez-Méndez, A.J.; Mendiola-Olaya, E.; Castro-Guillén, J.L.; Blanco-Labra, A. Effects of Tepary bean (Phaseolus acutifolius) protease inhibitor and semipure lectin fractions on cancer cells. Nutr. Cancer 2012, 64, 1269–1278. [Google Scholar] [CrossRef]
- Yau, T.; Dan, X.; Ng, C.C.; Ng, T.B. Lectins with potential for anti-cancer therapy. Molecules 2015, 20, 3791–3810. [Google Scholar] [CrossRef] [PubMed]
- Moreno-Celis, U.; López-Martínez, F.J.; Cervantes-Jiménez, R.; Ferríz-Martínez, R.A.; Blanco-Labra, A.; García-Gasca, T. Tepary Bean (Phaseolus acutifolius) Lectins Induce Apoptosis and Cell Arrest in G0/G1 by P53(Ser46) Phosphorylation in Colon Cancer Cells. Molecules 2020, 25, 1021. [Google Scholar] [CrossRef]
- Moreno-Celis, U.; López-Martínez, J.; Blanco-Labra, A.; Cervantes-Jiménez, R.; Estrada-Martínez, L.E.; García-Pascalin, A.E.; García-Gasca, T. Phaseolus acutifolius Lectin Fractions Exhibit Apoptotic Effects on Colon Cancer: Preclinical Studies Using Dimethilhydrazine or Azoxi-Methane as Cancer Induction Agents. Molecules 2017, 22, 1670. [Google Scholar] [CrossRef]
- Martínez-Alarcón, D.; Varrot, A.; Fitches, E.; Gatehouse, J.A.; Cao, M.; Pyati, P.; Blanco-Labra, A.; Garcia-Gasca, T. Recombinant Lectin from Tepary Bean (Phaseolus acutifolius) with Specific Recognition for Cancer-Associated Glycans: Production, Structural Characterization, and Target Identification. Biomolecules 2020, 10, 654. [Google Scholar] [CrossRef] [PubMed]
- Palmerín-Carreño, D.; Martínez-Alarcón, D.; Dena-Beltrán, J.L.; Vega-Rojas, L.J.; Blanco-Labra, A.; Escobedo-Reyes, A.; García-Gasca, T. Optimization of a Recombinant Lectin Production in Pichia pastoris Using Crude Glycerol in a Fed-Batch System. Processes 2021, 9, 876. [Google Scholar] [CrossRef]
- Dena-Beltrán, J.L.; Nava-Domínguez, P.; Palmerín-Carreño, D.; Martínez-Alarcón, D.; Moreno-Celis, U.; Valle-Pacheco, M.; Castro-Guillén, J.L.; Blanco-Labra, A.; García-Gasca, T. EGFR and p38MAPK Contribute to the Apoptotic Effect of the Recombinant Lectin from Tepary Bean (Phaseolus acutifolius) in Colon Cancer Cells. Pharmaceuticals 2023, 16, 290. [Google Scholar] [CrossRef]
- Berridge, M.J. Inositol trisphosphate and calcium signalling. Nature 1993, 361, 315–325. [Google Scholar] [CrossRef]
- Berridge, M.J. Capacitative calcium entry. Biochem. J. 1995, 312 Pt 1, 1. [Google Scholar] [CrossRef] [PubMed]
- Berridge, M.J.; Lipp, P.; Bootman, M.D. The versatility and universality of calcium signalling. Nat. Rev. Mol. Cell Biol. 2000, 1, 11–21. [Google Scholar] [CrossRef]
- Berridge, M.J.; Bootman, M.D.; Roderick, H.L. Calcium signalling: Dynamics, homeostasis and remodelling. Nat. Rev. Mol. Cell Biol. 2003, 4, 517–529. [Google Scholar] [CrossRef] [PubMed]
- Orrenius, S.; Zhivotovsky, B.; Nicotera, P. Regulation of cell death: The calcium–apoptosis link. Nat. Rev. Mol. Cell Biol. 2002, 4, 552–565. [Google Scholar] [CrossRef] [PubMed]
- Saldana, C.; Díaz-Muñoz, M.; Antaramián, A.; González-Gallardo, A.; García-Solís, P.; Morales-Tlalpan, V. MCF-7 breast carcinoma cells express ryanodine receptor type 1: Functional characterization and subcellular localization. Mol. Cell. Biochem. 2009, 323, 39–47. [Google Scholar] [CrossRef] [PubMed]
- Morales-Tlalpan, V.; Arellano, R.O.; Diaz-Munoz, M. Interplay between ryanodine and IP3 receptors in ATP-stimulated mouse luteinized-granulosa cells. Cell Calcium 2005, 37, 203–213. [Google Scholar] [CrossRef] [PubMed]
- Carafoli, E.; Santella, L.; Branca, D.; Brini, M. Generation, control, and processing of cellular calcium signals. Crit. Rev. Biochem. Mol. Biol. 2001, 36, 107–260. [Google Scholar] [CrossRef] [PubMed]
- Gerasimenko, O.V.; Gerasimenko, J.V.; Tepikin, A.V.; Petersen, O.H. ATP-dependent accumulation and inositol trisphosphate-or cyclic ADP-ribose-mediated release of Ca2+ from the nuclear envelope. Cell 1995, 80, 439–444. [Google Scholar] [CrossRef]
- Wu, X.; Zhang, T.; Bossuyt, J.; Li, X.; McKinsey, T.A.; Dedman, J.R.; Olson, E.N.; Chen, J.; Brown, J.H.; Bers, D.M. Local InsP3-dependent perinuclear Ca2+ signaling in cardiac myocyte excitation-transcription coupling. J. Clin. Investig. 2006, 116, 675–682. [Google Scholar] [CrossRef]
- Echevarría, W.; Leite, M.F.; Guerra, M.T.; Zipfel, W.R.; Nathanson, M.H. Regulation of calcium signals in the nucleus by a nucleoplasmic reticulum. Nat. Cell Biol. 2003, 5, 440–446. [Google Scholar] [CrossRef] [PubMed]
- Marius, P.; Guerra, M.T.; Nathanson, M.H.; Ehrlich, B.E.; Leite, M.F. Calcium release from ryanodine receptors in the nucleoplasmic reticulum. Cell Calcium 2006, 39, 65–73. [Google Scholar] [CrossRef] [PubMed]
- Santella, L.; Carafoli, E. Calcium signaling in the cell nucleus. FASEB J. 1997, 11, 1091–1109. [Google Scholar] [CrossRef] [PubMed]
- Deng, Y.; Bennink, J.R.; Kang, H.C.; Haugland, R.P.; Yewdell, J.W. Fluorescent conjugates of brefeldin A selectively stain the endoplasmic reticulum and Golgi complex of living cells. J. Histochem. Cytochem. 1995, 43, 907–915. [Google Scholar] [CrossRef] [PubMed]
- Ramaschi, G.; Torti, M.; Sinigaglia, F.; Balduini, C. Intracellular calcium mobilization is triggered by clustering of membrane glycoproteins in concanavalin A-stimulated platelets. Cell Biochem. Function 1993, 11, 241–249. [Google Scholar] [CrossRef] [PubMed]
- Joshi, S.S.; Gabius, H.J. Measurement of Intracellular Calcium Levels by Flow Cytometry Following Treatment of Murine Macrophage/Monocytes with Mistletoe Lectin. In Lectins and Glycobiology; Gabius, H.J., Gabius, S., Eds.; Springer Laboratory; Springer: Berlin/Heidelberg, Germany, 1993. [Google Scholar] [CrossRef]
- Williams, D.B.; Perera, M.A.; Dorrington, K.J.; Klein, M.H. Respective contribution of intracellular calcium release and extracellular calcium influx for interleukin-2 synthesis in activated T-cell hybrids. Immunology 1990, 69, 468–475. [Google Scholar] [PubMed]
- Mishra, A.; Behura, A.; Mawatwal, S.; Kumar, A.; Naik, L.; Mohanty, S.S.; Manna, D.; Dokania, P.; Mishra, A.; Patra, S.K.; et al. Structure-function and application of plant lectins in disease biology and immunity. Food Chem. Toxicol. 2019, 134, 110827. [Google Scholar] [CrossRef]
- Ghazarian, H.; Idoni, B.; Oppenheimer, S.B. A glycobiology review: Carbohydrates, lectins and implications in cancer therapeutics. Acta Histochem. 2011, 113, 236–247. [Google Scholar] [CrossRef] [PubMed]
- González De Mejía, E.; Prisecaru, V.I. Lectins as bioactive plant proteins: A potential in cancer treatment. Crit. Rev. Food Sci. Nutr. 2005, 45, 425–445. [Google Scholar] [CrossRef]
- Fu, L.; Zhou, C.; Yao, S.; Yu, J.-Y.; Liu, B.; Bao, J.-K. Plant lectins: Targeting programmed cell death pathways as antitumor agents. Int. J. Biochem. Cell Biol. 2011, 43, 1442–1449. [Google Scholar] [CrossRef] [PubMed]
- Sethi, M.K.; Fanayan, S. Mass Spectrometry-Based N-Glycomics of Colorectal Cancer. Int. J. Mol. Sci. 2015, 16, 29278–29304. [Google Scholar] [CrossRef]
- Roberts-Thomson, S.J.; Chalmers, S.B.; Monteith, G.R. The Calcium-Signaling Toolkit in Cancer: Remodeling and Targeting. Cold Spring Harb. Perspect. Biol. 2019, 11, a035204. [Google Scholar] [CrossRef] [PubMed]
- Bootman, M.D.; Bultynck, G. Fundamentals of Cellular Calcium Signaling: A Primer. Cold Spring Harb. Perspect. Biol. 2020, 12, a038802. [Google Scholar] [CrossRef] [PubMed]
- El Hiani, Y.; Lehen’kyi, V.; Ouadid-Ahidouch, H.; Ahidouch, A. Activation of the calcium-sensing receptor by high calcium induced breast cancer cell proliferation and TRPC1 cation channel over-expression potentially through EGFR pathways. Arch. Biochem. Biophys. 2009, 486, 58–63. [Google Scholar] [CrossRef] [PubMed]
- Bryant, J.A.; Finn, R.S.; Slamon, D.J.; Cloughesy, T.F.; Charles, A.C. EGF activates intracellular and intercellular calcium signaling by distinct pathways in tumor cells. Cancer Biol. Ther. 2004, 3, 1243–1249. [Google Scholar] [CrossRef] [PubMed]
- Sampieri, A.; Zepeda, A.; Saldaña, C.; Salgado, A.; Vaca, L. STIM1 converts TRPC1 from a receptor-operated to a store-operated channel: Moving TRPC1 in and out of lipid rafts. Cell Calcium 2008, 44, 479–491. [Google Scholar] [CrossRef]
- Vaou, N.; Stavropoulou, E.; Voidarou, C.; Tsakris, Z.; Rozos, G.; Tsigalou, C.; Bezirtzoglou, E. Interactions between Medical Plant-Derived Bioactive Compounds: Focus on Antimicrobial Combination Effects. Antibiotics 2022, 11, 1014. [Google Scholar] [CrossRef] [PubMed]
- Bradford, M.A. A rapid and sensitive method for the quantitationthequantitation of microgram quantities of protein utilizing the utilizing the principle of protein-dye binding. Anal. Biochem. 1976, 7, 248–254. [Google Scholar] [CrossRef] [PubMed]
- Laemmli, U.K. Cleavage of structural proteins during the assembly of the head of bacteriophage T4. Nature 1970, 227, 680–685. [Google Scholar] [CrossRef]
- Rampersad, S.N. Multiple applications of Alamar Blue as an indicator of metabolic function and cellular health in cell viability bioassays. Sensors 2012, 12, 12347–12360. [Google Scholar] [CrossRef]
- Han, J.; Zhang, L.; Guo, H.; Wysham, W.Z.; Roque, D.R.; Willson, A.K.; Sheng, X.; Zhou, C.; Bae-Jump, V.L. Glucose promotes cell proliferation, glucose uptake and invasion in endometrial cancer cells via AMPK/mTOR/S6 and MAPK signaling. Gynecol. Oncol. 2015, 138, 668–675. [Google Scholar] [CrossRef] [PubMed]
- Wu, L.; Huang, X.; Kuang, Y.; Xing, Z.; Deng, X.; Luo, Z. Thapsigargin induces apoptosis in adrenocortical carcinoma by activating endoplasmic reticulum stress and the JNK signaling pathway: An in vitro and in vivo study. Drug Des. Dev. Ther. 2019, 2, 787–2798. [Google Scholar] [CrossRef] [PubMed]
- Borner, M.M.; Schneider, E.; Pirnia, F.; Sartor, O.; Trepel, J.B.; Myers, C.E. The detergent Triton X-100 induces a death pattern in human carcinoma cell lines that resembles cytotoxic lymphocyte-induced apoptosis. FEBS Lett. 1994, 353, 129–132. [Google Scholar] [CrossRef] [PubMed]







Disclaimer/Publisher’s Note: The statements, opinions and data contained in all publications are solely those of the individual author(s) and contributor(s) and not of MDPI and/or the editor(s). MDPI and/or the editor(s) disclaim responsibility for any injury to people or property resulting from any ideas, methods, instructions or products referred to in the content. |
© 2025 by the authors. Licensee MDPI, Basel, Switzerland. This article is an open access article distributed under the terms and conditions of the Creative Commons Attribution (CC BY) license (https://creativecommons.org/licenses/by/4.0/).
Share and Cite
Díaz-Betancourt, A.; Galicia-Castillo, M.E.; Morales-Tlalpan, V.; Chávez-Servín, J.L.; Blanco-Labra, A.; García-Gasca, T.; Saldaña, C. Tepary Bean (Phaseolus acutifolius) Lectins as Modulators of Intracellular Calcium Mobilization in Breast Cancer and Normal Breast Cells. Int. J. Mol. Sci. 2025, 26, 1064. https://doi.org/10.3390/ijms26031064
Díaz-Betancourt A, Galicia-Castillo ME, Morales-Tlalpan V, Chávez-Servín JL, Blanco-Labra A, García-Gasca T, Saldaña C. Tepary Bean (Phaseolus acutifolius) Lectins as Modulators of Intracellular Calcium Mobilization in Breast Cancer and Normal Breast Cells. International Journal of Molecular Sciences. 2025; 26(3):1064. https://doi.org/10.3390/ijms26031064
Chicago/Turabian StyleDíaz-Betancourt, Andrea, María Elizabeth Galicia-Castillo, Verónica Morales-Tlalpan, Jorge Luis Chávez-Servín, Alejandro Blanco-Labra, Teresa García-Gasca, and Carlos Saldaña. 2025. "Tepary Bean (Phaseolus acutifolius) Lectins as Modulators of Intracellular Calcium Mobilization in Breast Cancer and Normal Breast Cells" International Journal of Molecular Sciences 26, no. 3: 1064. https://doi.org/10.3390/ijms26031064
APA StyleDíaz-Betancourt, A., Galicia-Castillo, M. E., Morales-Tlalpan, V., Chávez-Servín, J. L., Blanco-Labra, A., García-Gasca, T., & Saldaña, C. (2025). Tepary Bean (Phaseolus acutifolius) Lectins as Modulators of Intracellular Calcium Mobilization in Breast Cancer and Normal Breast Cells. International Journal of Molecular Sciences, 26(3), 1064. https://doi.org/10.3390/ijms26031064

