An Innovative Immunotoxin Design Against Allergy Based on the IL-33 Cytokine and the Ribotoxin α-Sarcin
Abstract
1. Introduction
2. Results
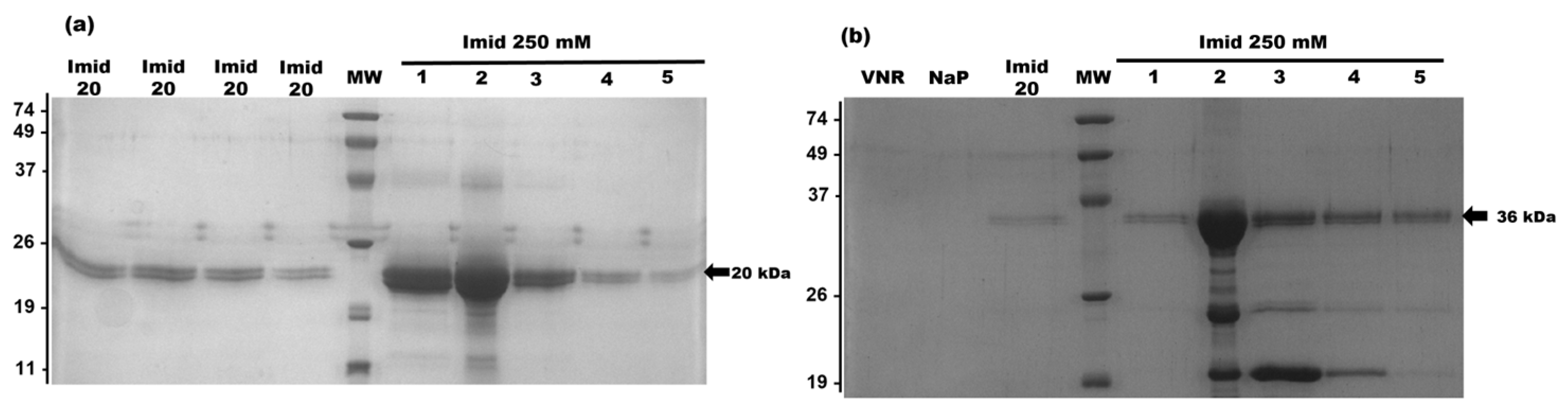
2.1. Production and Purification of mIL-33 and IL-33αS
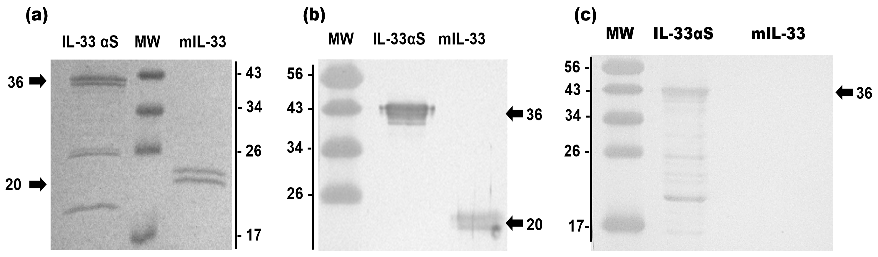
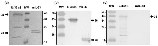
2.2. Structural Characterization of IL-33αS
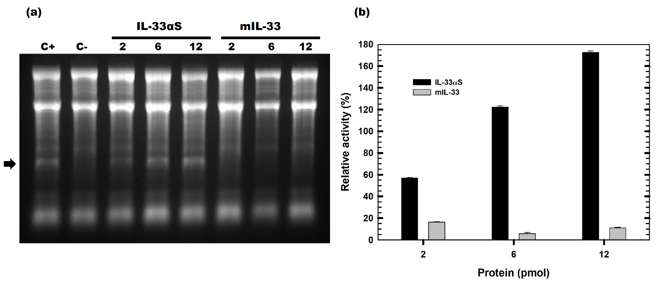
2.3. Ribonucleolytic Activity of Toxic Domain
2.4. Binding Activity
2.5. Cytotoxic Activity
2.6. Immunological Characterization of the IL-33αS
3. Discussion
4. Materials and Methods
4.1. Plasmid Design
4.2. Protein Production and Purification
4.3. Structural Characterization
4.4. Ribonucleolytic Activity Assay
4.5. Cell Line Cultures
4.6. Flow Cytometry Assays
4.7. MTT Viability Assay
4.8. Immunological Analysis
4.9. Equipment and Settings
4.10. Structural Model of IL33/ST2(IL-1RAcP)
5. Conclusions
Supplementary Materials
Author Contributions
Funding
Institutional Review Board Statement
Informed Consent Statement
Data Availability Statement
Conflicts of Interest
References
- Montoro, J.; Antolín-Amérigo, D.; Artés, M.; Izquierdo-Domínguez, A.; Zapata, J.J.; Mur, P.; Carrillo, T.; Antépara, I.; Feo, F.; Moral, A.; et al. Impact of climatechange- related environmental factors on the allergens production and the epidemiology and severity of allergic pathologies. J. Investig. Allergol. Clin. Immunol. 2024, 34, 358–366. [Google Scholar] [CrossRef] [PubMed]
- Luschkova, D.; Traidl-Hoffmann, C.; Ludwig, A. Climate change and allergies. Allergol. J. Int. 2022, 31, 114–120. [Google Scholar] [CrossRef]
- Pemberton, M.A.; Arts, J.H.; Kimber, I. Identification of true chemical respiratory allergens: Current status, limitations and recommendations. Regul. Toxicol. Pharmacol. 2024, 147, 105568. [Google Scholar] [CrossRef]
- Larsen, J.N.; Broge, L.; Jacobi, H. Allergy immunotherapy: The future of allergy treatment. Drug Discov. Today 2016, 21, 26–37. [Google Scholar] [CrossRef]
- Akdis, C.A. Does the epithelial barrier hypothesis explain the increase in allergy, autoimmunity and other chronic conditions? Nat. Rev. Immunol. 2021, 21, 739–751. [Google Scholar] [CrossRef]
- Cayrol, C. IL-33, an Alarmin of the IL-1 Family Involved in Allergic and Non Allergic Inflammation: Focus on the Mechanisms of Regulation of Its Activity. Cells 2023, 11, 107. [Google Scholar] [CrossRef] [PubMed]
- Cayrol, C.; Duval, A.; Schmitt, P.; Roga, S.; Camus, M.; Stella, A.; Burlet-Schilt, O.; Gonzalez-de-Peredo, A.; Girard, J.P. Environmental allergens induce allergic inflammation through proteolytic maturation of IL-33. Nat. Immunol. 2018, 19, 375–385. [Google Scholar] [CrossRef] [PubMed]
- Lefrançais, E.; Roga, S.; Gautier, V.; Gonzalez-de-Peredo, A.; Monsarrat, B.; Girard, J.P.; Cayrol, C. IL-33 is processed into mature bioactive forms by neutrophil elastase and cathepsin G. Proc. Natl. Acad. Sci. USA 2012, 109, 1673–1678. [Google Scholar] [CrossRef]
- Lefrançais, E.; Duval, A.; Mirey, E.; Roga, S.; Espinosa, E.; Cayrol, C.; Girard, J.P. Central domain of IL-33 is cleaved by mast cell proteases for potent activation of group-2 innate lymphoid cells. Proc. Natl. Acad. Sci. USA 2014, 111, 15502–15507. [Google Scholar] [CrossRef]
- Liu, X.; Hammel, M.; He, Y.; Tainer, J.A.; Jeng, U.S.; Zhang, L.; Wang, S.; Wang, X. Structural insights into the interaction of IL-33 with its receptors. Proc. Natl. Acad. Sci. USA 2013, 110, 14918–14923. [Google Scholar] [CrossRef]
- Kan, L.L.; Li, P.; Hon, S.S.; Lai, A.Y.; Li, A.; Wong, K.C.; Huang, D.; Wong, C.K. Deciphering the Interplay between the Epithelial Barrier, Immune Cells, and Metabolic Mediators in Allergic Disease. Int. J. Mol. Sci. 2024, 25, 6913. [Google Scholar] [CrossRef] [PubMed]
- Zemelka-Wiacek, M.; Agache, I.; Akdis, C.A.; Akdis, M.; Casale, T.B.; Dramburg, S.; Jahnz-Rózyk, K.; Kosowska, A.; Matricardi, P.; Pfaar, O.; et al. Hot topics in allergen immunotherapy, 2023: Current status and future perspective. Allergy 2024, 79, 823–842. [Google Scholar] [CrossRef]
- Bortolotti, M.; Polito, L.; Bolognesi, A. Toxin and Immunotoxin Based Therapeutic Approaches. Toxins 2022, 14, 63. [Google Scholar] [CrossRef]
- Narbona, J.; Hernández-Baraza, L.; Gordo, R.G.; Sanz, L.; Lacadena, J. Nanobody-Based EGFR-Targeting Immunotoxins for Colorectal Cancer Treatment. Biomolecules 2013, 13, 1042. [Google Scholar] [CrossRef]
- Lacadena, J.; Alvarez-García, E.; Carreras-Sangrà, N.; Herrero-Galán, E.; Alegre-Cebollada, J.; García-Ortega, L.; Oñaderra, M.; Gavilanes, J.G.; Martínez del Pozo, A. Fungal ribotoxins: Molecular dissection of a family of natural killers. FEMS Microbiol. Rev. 2007, 31, 212–237. [Google Scholar] [CrossRef]
- García-Montoya, C.; García-Linares, S.; Heras-Márquez, D.; Majnik, M.; Laxalde-Fernández, D.; Amigot-Sánchez, R.; Martínez-del-Pozo, A.; Palacios-Ortega, J. The interaction of the ribotoxin α-sarcin with complex model lipid vesicles. Arch. Biochem. Biophys. 2024, 751, 109836. [Google Scholar] [CrossRef] [PubMed]
- Pizzo, E.; Oliva, R.; Morra, R.; Bosso, A.; Ragucci, S.; Petraccone, L.; Del Vecchio, P.; Di Maro, A. Binding of a type 1 RIP and of its chimeric variant to phospholipid bilayers: Evidence for a link between cytotoxicity and protein/membrane interactions. Biochim. Biophys. Acta Biomembr. 2017, 1859, 2106–2112. [Google Scholar] [CrossRef]
- Lu, J.Q.; Zhu, Z.N.; Zheng, Y.T.; Shaw, P.C. Engineering of Ribosome-inactivating Proteins for Improving Pharmacological Properties. Toxins 2020, 12, 167. [Google Scholar] [CrossRef]
- Wang, Z.; Ma, J.; Zhang, H.; Ramakrishna, R.; Mintzlaff, D.; Mathes, D.W.; Pomfret, E.A.; Lucia, M.S.; Gao, D.; Haverkos, B.M.; et al. CCR4-IL2 bispecific immunotoxin is more effective than brentuximab for targeted therapy of cutaneous T-cell lymphoma in a mouse CTCL model. FEBS Open Bio 2023, 13, 1309–1319. [Google Scholar] [CrossRef] [PubMed]
- Sanz, L.; Ibáñez-Pérez, R.; Guerrero-Ochoa, P.; Lacadena, J.; Anel, A. Antibody-Based Immunotoxins for Colorectal Cancer Therapy. Biomedicines 2021, 9, 1729. [Google Scholar] [CrossRef]
- Zhang, T.; Dong, S.; Zhai, Y.; Naatz, L.; Zhou, Z.; Chen, M. Diphtheria toxin-derived, anti-PD-1 immunotoxin, a potent and practical tool to selectively deplete PD-1(+) cells. Protein Sci. 2023, 32, e4741. [Google Scholar] [CrossRef]
- Lueders, K.K.; De Rosa, S.C.; Valentin, A.; Pavlakis, G.N.; Roederer, M.; Hamer, D.H. A potent anti-HIV immunotoxin blocks spreading infection by primary HIV type 1 isolates in multiple cell types. AIDS Res. Hum. Retroviruses 2004, 20, 145–150. [Google Scholar] [CrossRef]
- Lázaro-Gorines, R.; López-Rodríguez, J.C.; Benedé, S.; González, M.; Mayorga, C.; Vogel, L.; Martínez-del-Pozo, Á.; Lacadena, J.; Villalba, M. Der p 1-based immunotoxin as potential tool for the treatment of dust mite respiratory allergy. Sci. Rep. 2020, 10, 12255. [Google Scholar] [CrossRef]
- Bae, S.; Kang, T.; Hong, J.; Lee, S.; Choi, J.; Jhun, H.; Kwak, A.; Hing, K.; Kim, E.; Jo, S.; et al. Contradictory functions (activation/termination) of neutrophil proteinase 3 enzyme (PR3) in interleukin-33 biological activity. J. Biol. Chem. 2012, 287, 8205–8213. [Google Scholar] [CrossRef] [PubMed]
- Pinto, S.M.; Nirujogi, R.S.; Rojas, P.L.; Patil, A.H.; Manda, S.S.; Subbannayya, Y.; Roa, J.C.; Chatterjee, A.; Prasad, T.S.; Pandey, A. Quantitative phosphoproteomic analysis of IL-33-mediated signaling. Proteomics 2015, 15, 532–544. [Google Scholar] [CrossRef] [PubMed]
- Idriss, H.T.; Naismith, J.H. TNF alpha and the TNF receptor superfamily: Structure-function relationship(s). Microsc. Res. Tech. 2000, 50, 184–195. [Google Scholar] [CrossRef] [PubMed]
- Tanaka, T.; Narazaki, M.; Kishimoto, T. IL-6 in inflammation, immunity, and disease. Cold Spring Harb. Perspect Biol. 2014, 6, a016295. [Google Scholar] [CrossRef]
- Iwaszko, M.; Biały, S.; Bogunia-Kubik, K. Significance of Interleukin (IL)-4 and IL-13 in Inflammatory Arthritis. Cells 2021, 10, 3000. [Google Scholar] [CrossRef]
- Tapia-Galisteo, A.; Sánchez Rodríguez, Í.; Aguilar-Sopeña, O.; Harwood, S.L.; Narbona, J.; Ferreras Gutierrez, M.; Navarro, R.; Martín-García, L.; Corbacho, C.; Compte, M.; et al. Trispecific T-cell engagers for dual tumor-targeting of colorectal cancer. Oncoimmunology 2022, 11, 2034355. [Google Scholar] [CrossRef]
- Li, M.; Liu, Z.S.; Liu, X.L.; Hui, Q.; Lu, S.Y.; Qu, L.L.; Li, Y.S.; Zhou, Y.; Ren, H.L.; Hu, P. Clinical targeting recombinant immunotoxins for cancer therapy. Onco Targets Ther. 2017, 10, 3645–3665. [Google Scholar] [CrossRef]
- Rodak, A.; Stadlbauer, K.; Bobbili, M.R.; Smrzka, O.; Rüker, F.; Wozniak Knopp, G. Development of a Cytotoxic Antibody-Drug Conjugate Targeting Membrane Immunoglobulin E-Positive Cells. Int. J. Mol. Sci. 2023, 24, 14997. [Google Scholar] [CrossRef] [PubMed]
- Oghalaie, A.; Hosseini, M.E.; Hosseininejad-Chafi, M.; Eftekhari, Z.; Behdani, M.; Kazemi-Lomedasht, F. Advances in immunotoxin engineering: Precision therapeutic strategies in modern oncology. Med. Oncol. 2024, 41, 239. [Google Scholar] [CrossRef]
- Carreras-Sangrà, N.; Tomé-Amat, J.; García-Ortega, L.; Batt, C.A.; Oñaderra, M.; Martínez-del-Pozo, A.; Gavilanes, J.G.; Lacadena, J. Production and characterization of a colon cancer-specific immunotoxin based on the fungal ribotoxin α-sarcin. Protein Eng. Des. Sel. 2012, 25, 425–435. [Google Scholar] [CrossRef] [PubMed]
- Gu, S.; Wang, R.; Zhang, W.; Wen, C.; Chen, C.; Liu, S.; Lei, Q.; Zhang, P.; Zeng, S. The production, function, and clinical applications of IL-33 in type 2 inflammation-related respiratory diseases. Front. Immunol. 2024, 15, 1436437. [Google Scholar] [CrossRef]
- Skoog, E.; Feher Castagna, V.; Omer, S.; Madigan, J.; Flagg, V.; Burrick, K.; Jiang, R.; Du, X.; Lönnerdal, B.; Schnitzler, A. Structure and Function of Fermentation-Derived Bovine Lactoferrin Produced from Komagataella phaffii. Biochem. Cell Biol. 2024, 103, 1–17. [Google Scholar] [CrossRef] [PubMed]
- Grinberg, Y.; Benhar, I. Addressing the Immunogenicity of the Cargo and of the Targeting Antibodies with a Focus on Demmunized Bacterial Toxins and on Antibody-Targeted Human Effector Proteins. Biomedicines 2017, 5, 28. [Google Scholar] [CrossRef]
- Tran, A.M.; Nguyen, T.T.; Nguyen, C.T.; Huynh-Thi, X.M.; Nguyen, C.T.; Trinh, M.T.; Tran, L.T.; Cartwright, S.P.; Bill, R.M.; Tran-Van, H. Pichia pastoris versus Saccharomyces cerevisiae: A case study on the recombinant production of human granulocyte-macrophage colony-stimulating factor. BMC Res. Notes 2017, 10, 148. [Google Scholar] [CrossRef]
- Shemesh, P.; Fishman, A. Optimal fermentation conditions for growth and recombinant protein production in Pichia pastoris: Strain selection, ploidy level and carbon source. Curr. Res. Food Sci. 2024, 9, 100840. [Google Scholar] [CrossRef]
- Lingel, A.; Weiss, T.M.; Niebuhr, M.; Pan, B.; Appleton, B.A.; Wiesmann, C.; Bazan, J.F.; Fairbrother, W.J. Structure of IL-33 and its interaction with the ST2 and IL-1RAcP receptors—insight into heterotrimeric IL-1 signaling complexes. Structure 2009, 17, 1398–1410. [Google Scholar] [CrossRef]
- Campos-Olivas, R.; Bruix, M.; Santoro, J.; Martínez del Pozo, A.; Lacadena, J.; Gavilanes, J.G.; Rico, M. 1H and 15N nuclear magnetic resonance assignment and secondary structure of the cytotoxic ribonuclease alpha-Sarcin. Protein Sci. 1996, 5, 969–972. [Google Scholar] [CrossRef]
- Pérez-Cañadillas, J.M.; Santoro, J.; Campos-Olivas, R.; Lacadena, J.; Martínez del Pozo, A.; Gavilanes, J.G.; Rico, M.; Bruix, M. The highly refined solution structure of the cytotoxic ribonuclease alpha-sarcin reveals the structural requirements for substrate recognition and ribonucleolytic activity. J. Mol. Biol. 2000, 299, 1061–1073. [Google Scholar] [CrossRef] [PubMed]
- Narbona, J.; Gordo, R.G.; Tomé-Amat, J.; Lacadena, J. A New Optimized Version of a Colorectal Cancer-Targeted Immunotoxin Based on a Non-Immunogenic Variant of the Ribotoxin α-Sarcin. Cancers 2023, 15, 1114. [Google Scholar] [CrossRef]
- Esmael, A.; Petro, T.M. IL-33 promotes increased replication of Theiler’s Murine Encephalomyelitis Virus in RAW264.7 macrophage cells with an IRF3-dependent response. Virus Res. 2023, 323, 199007. [Google Scholar] [CrossRef]
- Ruiz-de-la-Herrán, J.; Tomé-Amat, J.; Lázaro-Gorines, R.; Gavilanes, J.G.; Lacadena, J. Inclusion of a Furin Cleavage Site Enhances Antitumor Efficacy against Colorectal Cancer Cells of Ribotoxin α-Sarcin- or RNase T1-Based Immunotoxins. Toxins 2019, 11, 593. [Google Scholar] [CrossRef]
- Kim, J.S.; Jun, S.Y.; Kim, Y.S. Critical Issues in the Development of Immunotoxins for Anticancer Therapy. J. Pharm. Sci. 2020, 109, 104–115. [Google Scholar] [CrossRef]
- Tomé-Amat, J.; Ruiz-de-la-Herrán, J.; Martínez-del-Pozo, Á.; Gavilanes, J.G.; Lacadena, J. α-sarcin and RNase T1 based immunoconjugates: The role of intracellular trafficking in cytotoxic efficiency. FEBS J. 2015, 282, 673–684. [Google Scholar] [CrossRef]
- Yang, F.; Wang, L.; Song, D.; Zhang, L.; Wang, X.; Du, D.; Jiang, X. Signaling pathways and targeted therapy for rosacea. Front. Immunol. 2024, 15, 1367994. [Google Scholar] [CrossRef]
- Molofsky, A.B.; Savage, A.K.; Locksley, R.M. Interleukin-33 in Tissue Homeostasis, Injury, and Inflammation. Immunity 2015, 42, 1005–1019. [Google Scholar] [CrossRef]
- Molgora, M.; Supino, D.; Mantovani, A.; Garlanda, C. Tuning inflammation and immunity by the negative regulators IL-1R2 and IL-1R8. Immunol. Rev. 2018, 281, 233–247. [Google Scholar] [CrossRef] [PubMed]
- Riva, F.; Bonavita, E.; Barbati, E.; Muzio, M.; Mantovani, A.; Garlanda, C. TIR8/SIGIRR is an Interleukin-1 Receptor/Toll Like Receptor Family Member with Regulatory Functions in Inflammation and Immunity. Front. Immunol. 2012, 3, 322. [Google Scholar] [CrossRef] [PubMed]
- Günther, S.; Deredge, D.; Bowers, A.L.; Luchini, A.; Bonsor, D.A.; Beadenkopf, R.; Liotta, L.; Wintrode, P.L.; Sundberg, E.J. IL-1 Family Cytokines Use Distinct Molecular Mechanisms to Signal through Their Shared Co-receptor. Immunity 2017, 47, 510–523.e4. [Google Scholar] [CrossRef] [PubMed]
- Fields, J.K.; Kihn, K.; Birkedal, G.S.; Klontz, E.H.; Sjöström, K.; Günther, S.; Beadenkopf, R.; Forsberg, G.; Liberg, D.; Snyder, G.A.; et al. Molecular Basis of Selective Cytokine Signaling Inhibition by Antibodies Targeting a Shared Receptor. Front. Immunol. 2021, 12, 779100. [Google Scholar] [CrossRef]
- Kurowska-Stolarska, M.; Kewin, P.; Murphy, G.; Russo, R.C.; Stolarski, B.; Garcia, C.C.; Komai-Koma, M.; Pitman, N.; Li, Y.; Niedbala, W.; et al. IL-33 induces antigen-specific IL-5+ T cells and promotes allergic-induced airway inflammation independent of IL-4. J. Immunol. 2008, 181, 4780–4790. [Google Scholar] [CrossRef] [PubMed]
- Halim, T.Y.; Krauss, R.H.; Sun, A.C.; Takei, F. Lung natural helper cells are a critical source of Th2 cell-type cytokines in protease allergen-induced airway inflammation. Immunity 2012, 36, 451–463. [Google Scholar] [CrossRef] [PubMed]
- Baumann, C.; Bonilla, W.V.; Fröhlich, A.; Helmstetter, C.; Peine, M.; Hegazy, A.N.; Pinschewer, D.D.; Löhning, M. T-bet- and STAT4-dependent IL-33 receptor expression directly promotes antiviral Th1 cell responses. Proc. Natl. Acad. Sci. USA 2015, 112, 4056–4061. [Google Scholar] [CrossRef]
- Kaur, D.; Chachi, L.; Gomez, E.; Sylvius, N.; Singh, S.R.; Ramsheh, M.Y.; Saunders, R.; Brightling, C.E. ST2 expression and release by the bronchial epithelium is downregulated in asthma. Allergy 2020, 75, 3184–3194. [Google Scholar] [CrossRef]
- Peng, Y.Q.; Chen, D.H.; Xu, Z.B.; Fang, S.B.; He, B.X.; Liu, X.Q.; Akdis, C.A.; Fu, Q.L. IL-33 receptor expression on myeloid and plasmacytoid dendritic cells after allergen challenge in patients with allergic rhinitis. Int. Immunopharmacol. 2021, 101 Pt B, 108233. [Google Scholar] [CrossRef]
- Zhou, Y.; Xu, Z.; Liu, Z. Role of IL-33-ST2 pathway in regulating inflammation: Current evidence and future perspectives. J. Transl. Med. 2025, 21, 902. [Google Scholar] [CrossRef]
- Luo, H.; Liu, L.; Liu, X.; Xie, Y.; Huang, X.; Yang, M.; Shao, C.; Li, D. Interleukin-33 (IL-33) promotes DNA damage-resistance in lung cancer. Cell Death Dis. 2025, 16, 274. [Google Scholar] [CrossRef]
- Liu, R.; Wang, F.; Luo, X.; Yang, F.; Gao, J.; Shen, H.; Zheng, Z. The immunomodulatory of interleukin-33 in rheumatoid arthritis: A systematic review. Clin. Immunol. 2024, 265, 110264. [Google Scholar] [CrossRef]
- Kao, R.; Martínez-Ruiz, A.; Martínez del Pozo, A.; Crameri, R.; Davies, J. Mitogillin and related fungal ribotoxins. Methods Enzymol. 2001, 341, 324–335. [Google Scholar] [CrossRef] [PubMed]
- Martínez-Ruiz, A.; García-Ortega, L.; Kao, R.; Lacadena, J.; Oñaderra, M.; Mancheño, J.M.; Davies, J.; Martínez del Pozo, A.; Gavilanes, J.G. RNase U2 and alpha-sarcin: A study of relationships. Methods Enzymol. 2001, 341, 335–351. [Google Scholar] [CrossRef] [PubMed]










| Protein/Immunotoxin (1 µM) | Viability (%) on Raw 264.7 Cell Line |
|---|---|
| α-Sarcin | 95 |
| proDerp1-α-sarcin | 60 |
| mIL-33 | 85 |
| IL-33αS | 40 |
Disclaimer/Publisher’s Note: The statements, opinions and data contained in all publications are solely those of the individual author(s) and contributor(s) and not of MDPI and/or the editor(s). MDPI and/or the editor(s) disclaim responsibility for any injury to people or property resulting from any ideas, methods, instructions or products referred to in the content. |
© 2025 by the authors. Licensee MDPI, Basel, Switzerland. This article is an open access article distributed under the terms and conditions of the Creative Commons Attribution (CC BY) license (https://creativecommons.org/licenses/by/4.0/).
Share and Cite
Narbona, J.; Lázaro-Gorines, R.; Gutiérrez-Carmona, A.; López-Rodríguez, J.C.; Villalba, M.; Lacadena, J. An Innovative Immunotoxin Design Against Allergy Based on the IL-33 Cytokine and the Ribotoxin α-Sarcin. Int. J. Mol. Sci. 2025, 26, 9827. https://doi.org/10.3390/ijms26199827
Narbona J, Lázaro-Gorines R, Gutiérrez-Carmona A, López-Rodríguez JC, Villalba M, Lacadena J. An Innovative Immunotoxin Design Against Allergy Based on the IL-33 Cytokine and the Ribotoxin α-Sarcin. International Journal of Molecular Sciences. 2025; 26(19):9827. https://doi.org/10.3390/ijms26199827
Chicago/Turabian StyleNarbona, Javier, Rodrigo Lázaro-Gorines, Adrián Gutiérrez-Carmona, Juan Carlos López-Rodríguez, Mayte Villalba, and Javier Lacadena. 2025. "An Innovative Immunotoxin Design Against Allergy Based on the IL-33 Cytokine and the Ribotoxin α-Sarcin" International Journal of Molecular Sciences 26, no. 19: 9827. https://doi.org/10.3390/ijms26199827
APA StyleNarbona, J., Lázaro-Gorines, R., Gutiérrez-Carmona, A., López-Rodríguez, J. C., Villalba, M., & Lacadena, J. (2025). An Innovative Immunotoxin Design Against Allergy Based on the IL-33 Cytokine and the Ribotoxin α-Sarcin. International Journal of Molecular Sciences, 26(19), 9827. https://doi.org/10.3390/ijms26199827

