Upregulation of miR-200c and miR-429 Suggests Reversal Towards Epithelial State in Venous Tumour Thrombus of Clear Cell Renal Cell Carcinoma
Abstract
1. Introduction
2. Results
2.1. Patients, Tissue Samples, and Follow-Up
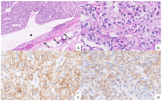
2.2. Morphology and Immunohistochemical Expression of EMT-Related Markers
2.3. Quality Control of Isolated RNA and the Expression of Reference Genes
2.4. Expression of miRNAs
2.4.1. Expression of the miR-200 Family and miR-205 in the Tumour Centre, Tumour Periphery, and Renal Vein Tumour Thrombus Compared to a Non-Neoplastic Kidney
2.4.2. Expression of the miR-200 Family and miR-205 in the Renal Vein Tumour Thrombus Compared to the Tumour Centre and Tumour Periphery
2.5. Expression of EMT-TFs and E-Cadherin in the Tumour Centre, Tumour Periphery, and Renal Vein Tumour Thrombus Compared to a Corresponding Non-Neoplastic Kidney
2.6. Correlation Between the miR-200 Family, Its Targets E-Cadherin, and EMT-TFs
3. Discussion
4. Materials and Methods
4.1. Patients and Tissue Samples
4.2. Immunohistochemistry
4.3. RNA Isolation from FFPE Tissue Samples
4.4. Analysis of Expression of the miR-200 Family
4.4.1. Reverse Transcription (RT) of miRNAs
4.4.2. Quantitative Real-Time PCR (qPCR)
4.5. Analysis of the Expression of EMT-Related Genes
4.5.1. Reverse Transcription (RT) for mRNAs
4.5.2. Quantitative Real-Time PCR (qPCR) and Probes
4.6. Statistical Analysis
Supplementary Materials
Author Contributions
Funding
Institutional Review Board Statement
Informed Consent Statement
Data Availability Statement
Conflicts of Interest
Abbreviations
| ccRCC | Clear cell renal cell carcinoma |
| CDH1 | Gene encoding E-cadherin |
| EMT | Epithelial–mesenchymal transition |
| FFPE | Formalin-fixed paraffin-embedded |
| HIF1A | Hypoxia-inducible factor 1-alpha |
| MET | Mesenchymal–epithelial transition |
| miRNA | MicroRNA |
| N | Non-neoplastic kidney tissue |
| pEMT | partial EMT |
| RCC | Renal cell carcinoma |
| TC | Tumour centre |
| TF | Transcription factor |
| TP | Tumour periphery |
| VEGF | Vascular endothelial growth factor |
| VTT | Venous tumour thrombus |
References
- Siegel, R.L.; Miller, K.D.; Wagle, N.S.; Jemal, A. Cancer statistics, 2023. CA Cancer J. Clin. 2023, 73, 17–48. [Google Scholar] [CrossRef]
- Sung, H.; Ferlay, J.; Siegel, R.L.; Laversanne, M.; Soerjomataram, I.; Jemal, A.; Bray, F. Global Cancer Statistics 2020: GLOBOCAN Estimates of Incidence and Mortality Worldwide for 36 Cancers in 185 Countries. CA Cancer J. Clin. 2021, 71, 209–249. [Google Scholar] [CrossRef]
- Greene, F.L.; Page, D.L.; Fleming, I.D.; Fritz, A.G.; Balch, C.M.; Haller, D.G.; Morrow, M. (Eds.) AJCC Cancer Staging Manual, 8th ed; Springer: New York, NY, USA, 2017. [Google Scholar]
- Osawa, T.; Takeuchi, A.; Kojima, T.; Shinohara, N.; Eto, M.; Nishiyama, H. Overview of current and future systemic therapy for metastatic renal cell carcinoma. Jpn. J. Clin. Oncol. 2019, 49, 395–403. [Google Scholar] [CrossRef]
- Dillekås, H.; Rogers, M.S.; Straume, O. Are 90% of deaths from cancer caused by metastases? Cancer Med. 2019, 8, 5574–5576. [Google Scholar] [CrossRef]
- Albiges, L.; Tannir, N.M.; Burotto, M.; McDermott, D.; Plimack, E.R.; Barthélémy, P.; Porta, C.; Powles, T.; Donskov, F.; George, S.; et al. First-line Nivolumab plus Ipilimumab Versus Sunitinib in Patients Without Nephrectomy and With an Evaluable Primary Renal Tumor in the CheckMate 214 Trial. Eur. Urol. 2022, 81, 266–271. [Google Scholar] [CrossRef]
- Tran, J.; Ornstein, M.C. Clinical Review on the Management of Metastatic Renal Cell Carcinoma. JCO Oncol. Pract. 2022, 18, 187–196. [Google Scholar] [CrossRef]
- Chen, Z.; Yang, F.; Ge, L.; Qiu, M.; Liu, Z.; Liu, C.; Tian, X.; Zhang, S.; Ma, L. Outcomes of renal cell carcinoma with associated venous tumor thrombus: Experience from a large cohort and short time span in a single center. BMC Cancer 2021, 21, 766. [Google Scholar] [CrossRef] [PubMed]
- Makhov, P.; Joshi, S.; Ghatalia, P.; Kutikov, A.; Uzzo, R.G.; Kolenko, V.M. Resistance to Systemic Therapies in Clear Cell Renal Cell Carcinoma: Mechanisms and Management Strategies. Mol. Cancer Ther. 2018, 17, 1355–1364. [Google Scholar] [CrossRef] [PubMed]
- Dudani, S.; de Velasco, G.; Wells, J.C.; Gan, C.L.; Donskov, F.; Porta, C.; Fraccon, A.; Pasini, F.; Lee, J.L.; Hansen, A.; et al. Evaluation of Clear Cell, Papillary, and Chromophobe Renal Cell Carcinoma Metastasis Sites and Association With Survival. JAMA Netw. Open 2021, 4, e2021869. [Google Scholar] [CrossRef] [PubMed]
- Bianchi, M.; Sun, M.; Jeldres, C.; Shariat, S.F.; Trinh, Q.D.; Briganti, A.; Tian, Z.; Schmitges, J.; Graefen, M.; Perrotte, P.; et al. Distribution of metastatic sites in renal cell carcinoma: A population-based analysis. Ann. Oncol. 2012, 23, 973–980. [Google Scholar] [CrossRef]
- Sountoulides, P.; Metaxa, L.; Cindolo, L. Atypical presentations and rare metastatic sites of renal cell carcinoma: A review of case reports. J. Med. Case Rep. 2011, 5, 429. [Google Scholar] [CrossRef]
- Fujimoto, N.; Dieterich, L.C. Mechanisms and Clinical Significance of Tumor Lymphatic Invasion. Cells 2021, 10, 2585. [Google Scholar] [CrossRef]
- Kim, K.; Zhou, Q.; Christie, A.; Stevens, C.; Ma, Y.; Onabolu, O.; Chintalapati, S.; McKenzie, T.; Tcheuyap, V.T.; Woolford, L.; et al. Determinants of renal cell carcinoma invasion and metastatic competence. Nat. Commun. 2021, 12, 5760. [Google Scholar] [CrossRef]
- Quencer, K.B.; Friedman, T.; Sheth, R.; Oklu, R. Tumor thrombus: Incidence, imaging, prognosis and treatment. Cardiovasc. Diagn. Ther. 2017, 7, S165–S177. [Google Scholar] [CrossRef]
- Thiery, J.P.; Acloque, H.; Huang, R.Y.; Nieto, M.A. Epithelial-mesenchymal transitions in development and disease. Cell 2009, 139, 871–890. [Google Scholar] [CrossRef] [PubMed]
- Aiello, N.M.; Kang, Y. Context-dependent EMT programs in cancer metastasis. J. Exp. Med. 2019, 216, 1016–1026. [Google Scholar] [CrossRef] [PubMed]
- Li, W.; Kang, Y. Probing the Fifty Shades of EMT in Metastasis. Trends Cancer 2016, 2, 65–67. [Google Scholar] [CrossRef]
- Liao, T.T.; Yang, M.H. Hybrid Epithelial/Mesenchymal State in Cancer Metastasis: Clinical Significance and Regulatory Mechanisms. Cells 2020, 9, 623. [Google Scholar] [CrossRef]
- Bakir, B.; Chiarella, A.M.; Pitarresi, J.R.; Rustgi, A.K. EMT, MET, Plasticity, and Tumor Metastasis. Trends Cell Biol. 2020, 30, 764–776. [Google Scholar] [CrossRef]
- Rodriguez, F.J.; Lewis-Tuffin, L.J.; Anastasiadis, P.Z. E-cadherin’s dark side: Possible role in tumor progression. Biochim. Biophys. Acta 2012, 1826, 23–31. [Google Scholar] [CrossRef]
- Nieto, M.A.; Huang, R.Y.; Jackson, R.A.; Thiery, J.P. EMT: 2016. Cell 2016, 166, 21–45. [Google Scholar] [CrossRef] [PubMed]
- Park, S.M.; Gaur, A.B.; Lengyel, E.; Peter, M.E. The miR-200 family determines the epithelial phenotype of cancer cells by targeting the E-cadherin repressors ZEB1 and ZEB2. Genes Dev. 2008, 22, 894–907. [Google Scholar] [CrossRef] [PubMed]
- Georgakopoulos-Soares, I.; Chartoumpekis, D.V.; Kyriazopoulou, V.; Zaravinos, A. EMT Factors and Metabolic Pathways in Cancer. Front. Oncol. 2020, 10, 499. [Google Scholar] [CrossRef] [PubMed]
- Čugura, T.; Boštjančič, E.; Uhan, S.; Hauptman, N.; Jeruc, J. Epithelial-mesenchymal transition associated markers in sarcomatoid transformation of clear cell renal cell carcinoma. Exp. Mol. Pathol. 2024, 138, 104909. [Google Scholar] [CrossRef]
- Xu, J.; Lee, W.; Yang, S.; Gao, S.; Ye, Y.; Deng, G.; Zhang, W.; Di, J. Bibliometric analysis of renal cell carcinoma with venous tumor thrombus. Int. J. Med. Sci. 2024, 21, 2094–2108. [Google Scholar] [CrossRef]
- Almagro, J.; Messal, H.A.; Elosegui-Artola, A.; van Rheenen, J.; Behrens, A. Tissue architecture in tumor initiation and progression. Trends Cancer 2022, 8, 494–505. [Google Scholar] [CrossRef]
- Brabletz, S.; Schuhwerk, H.; Brabletz, T.; Stemmler, M.P. Dynamic EMT: A multi-tool for tumor progression. EMBO J. 2021, 40, e108647. [Google Scholar] [CrossRef]
- Cheung, K.J.; Ewald, A.J. A collective route to metastasis: Seeding by tumor cell clusters. Science 2016, 352, 167–169. [Google Scholar] [CrossRef]
- Wu, Z.; Chen, H.; Chen, Q.; Ge, S.; Yu, N.; Campi, R.; Gómez Rivas, J.; Autorino, R.; Rouprêt, M.; Psutka, S.P.; et al. Prognostic Significance of Grade Discrepancy Between Primary Tumor and Venous Thrombus in Nonmetastatic Clear-cell Renal Cell Carcinoma: Analysis of the REMEMBER Registry and Implications for Adjuvant Therapy. Eur. Urol. Oncol. 2024, 7, 112–121. [Google Scholar] [CrossRef]
- Yamamoto, A.; Doak, A.E.; Cheung, K.J. Orchestration of Collective Migration and Metastasis by Tumor Cell Clusters. Annu. Rev. Pathol. 2023, 18, 231–256. [Google Scholar] [CrossRef]
- Doran, B.R.; Moffitt, L.R.; Wilson, A.L.; Stephens, A.N.; Bilandzic, M. Leader Cells: Invade and Evade-The Frontline of Cancer Progression. Int. J. Mol. Sci. 2024, 25, 10554. [Google Scholar] [CrossRef] [PubMed]
- Gregory, P.A.; Bert, A.G.; Paterson, E.L.; Barry, S.C.; Tsykin, A.; Farshid, G.; Vadas, M.A.; Khew-Goodall, Y.; Goodall, G.J. The miR-200 family and miR-205 regulate epithelial to mesenchymal transition by targeting ZEB1 and SIP1. Nat. Cell Biol. 2008, 10, 593–601. [Google Scholar] [CrossRef]
- Klicka, K.; Grzywa, T.M.; Mielniczuk, A.; Klinke, A.; Włodarski, P.K. The role of miR-200 family in the regulation of hallmarks of cancer. Front. Oncol. 2022, 12, 965231. [Google Scholar] [CrossRef] [PubMed]
- Massagué, J.; Obenauf, A.C. Metastatic colonization by circulating tumour cells. Nature 2016, 529, 298–306. [Google Scholar] [CrossRef] [PubMed]
- Friedl, P.; Locker, J.; Sahai, E.; Segall, J.E. Classifying collective cancer cell invasion. Nat. Cell Biol. 2012, 14, 777–783. [Google Scholar] [CrossRef]
- Gunasinghe, N.P.; Wells, A.; Thompson, E.W.; Hugo, H.J. Mesenchymal-epithelial transition (MET) as a mechanism for metastatic colonisation in breast cancer. Cancer Metastasis Rev. 2012, 31, 469–478. [Google Scholar] [CrossRef]
- Shi, X.; Pang, Q.; Nian, X.; Jiang, A.; Shi, H.; Liu, W.; Gan, X.; Gao, Y.; Yang, Y.; Ji, J.; et al. Integrative transcriptome and proteome analyses of clear cell renal cell carcinoma develop a prognostic classifier associated with thrombus. Sci. Rep. 2023, 13, 9778. [Google Scholar] [CrossRef]
- Akhmetkaliyev, A.; Alibrahim, N.; Shafiee, D.; Tulchinsky, E. EMT/MET plasticity in cancer and Go-or-Grow decisions in quiescence: The two sides of the same coin? Mol. Cancer 2023, 22, 90. [Google Scholar] [CrossRef]
- Zheng, R.; Liu, Y.; Lei, Y.; Yue, Y. Upregulated microRNA-429 confers endometrial stromal cell dysfunction by targeting HIF1AN and regulating the HIF1A/VEGF pathway. Open Med. 2023, 18, 20230775. [Google Scholar] [CrossRef]
- Roviello, G.; De Gennaro, I.; Vascotto, I.; Venturi, G.; D’Angelo, A.; Winchler, C.; Guarino, A.; Cacioppo, S.; Modesti, M.; Mela, M.M.; et al. Hypoxia-Inducible Factor in Renal Cell Carcinoma: From Molecular Insights to Targeted Therapies. Genes 2025, 16, 6. [Google Scholar] [CrossRef]
- Bacigalupa, Z.A.; Rathmell, W.K. Beyond glycolysis: Hypoxia signaling as a master regulator of alternative metabolic pathways and the implications in clear cell renal cell carcinoma. Cancer Lett. 2020, 489, 19–28. [Google Scholar] [CrossRef]
- Fan, Y.; Li, H.; Ma, X.; Gao, Y.; Chen, L.; Li, X.; Bao, X.; Du, Q.; Zhang, Y.; Zhang, X. Prognostic Significance of Hypoxia-Inducible Factor Expression in Renal Cell Carcinoma: A PRISMA-compliant Systematic Review and Meta-Analysis. Medicine 2015, 94, e1646. [Google Scholar] [CrossRef]
- Bartoszewska, S.; Kochan, K.; Piotrowski, A.; Kamysz, W.; Ochocka, R.J.; Collawn, J.F.; Bartoszewski, R. The hypoxia-inducible miR-429 regulates hypoxia-inducible factor-1α expression in human endothelial cells through a negative feedback loop. FASEB J. 2015, 29, 1467–1479. [Google Scholar] [CrossRef]
- Ge, L.; Wang, Y.; Cao, Y.; Li, G.; Sun, R.; Teng, P.; Wang, Y.; Bi, Y.; Guo, Z.; Yuan, Y.; et al. MiR-429 improved the hypoxia tolerance of human amniotic cells by targeting HIF-1α. Biotechnol. Lett. 2018, 40, 1477–1486. [Google Scholar] [CrossRef] [PubMed]
- Janaszak-Jasiecka, A.; Bartoszewska, S.; Kochan, K.; Piotrowski, A.; Kalinowski, L.; Kamysz, W.; Ochocka, R.J.; Bartoszewski, R.; Collawn, J.F. miR-429 regulates the transition between Hypoxia-Inducible Factor (HIF)1A and HIF3A expression in human endothelial cells. Sci. Rep. 2016, 6, 22775. [Google Scholar] [CrossRef] [PubMed]
- Xu, H.; Yang, B.; Ren, Z.; Wu, D.; Hu, A.; Hu, J. miR-429 negatively regulates the progression of hypoxia-induced retinal neovascularization by the HPSE-VEGF pathway. Exp. Eye Res. 2022, 223, 109196. [Google Scholar] [CrossRef] [PubMed]
- Ye, G.; Feng, S.; Yang, Y.; Cao, Z.; Zhang, B.; Wang, F. Establishment and Comprehensive Analysis of Underlying microRNA-mRNA Interactive Networks in Ovarian Cancer. J. Oncol. 2022, 2022, 5120342. [Google Scholar] [CrossRef]
- Zhu, Q.; Hu, J.; Wang, L.; Wang, W.; Wang, Z.; Li, P.L.; Boini, K.M.; Li, N. Inhibition of microRNA-429 in the renal medulla increased salt sensitivity of blood pressure in Sprague Dawley rats. J. Hypertens. 2017, 35, 1872–1880. [Google Scholar] [CrossRef]
- Mikami, S.; Katsube, K.; Oya, M.; Ishida, M.; Kosaka, T.; Mizuno, R.; Mukai, M.; Okada, Y. Expression of Snail and Slug in renal cell carcinoma: E-cadherin repressor Snail is associated with cancer invasion and prognosis. Lab. Investig. 2011, 91, 1443–1458. [Google Scholar] [CrossRef]
- Yang, J.; Mani, S.A.; Donaher, J.L.; Ramaswamy, S.; Itzykson, R.A.; Come, C.; Savagner, P.; Gitelman, I.; Richardson, A.; Weinberg, R.A. Twist, a master regulator of morphogenesis, plays an essential role in tumor metastasis. Cell 2004, 117, 927–939. [Google Scholar] [CrossRef]
- Harada, K.; Miyake, H.; Kusuda, Y.; Fujisawa, M. Expression of epithelial-mesenchymal transition markers in renal cell carcinoma: Impact on prognostic outcomes in patients undergoing radical nephrectomy. BJU Int. 2012, 110, E1131–E1137. [Google Scholar] [CrossRef]
- Ohba, K.; Miyata, Y.; Matsuo, T.; Asai, A.; Mitsunari, K.; Shida, Y.; Kanda, S.; Sakai, H. High expression of Twist is associated with tumor aggressiveness and poor prognosis in patients with renal cell carcinoma. Int. J. Clin. Exp. Pathol. 2014, 7, 3158–3165. [Google Scholar]
- Rasti, A.; Madjd, Z.; Abolhasani, M.; Mehrazma, M.; Janani, L.; Saeednejad Zanjani, L.; Asgari, M. Cytoplasmic expression of Twist1, an EMT-related transcription factor, is associated with higher grades renal cell carcinomas and worse progression-free survival in clear cell renal cell carcinoma. Clin. Exp. Med. 2018, 18, 177–190. [Google Scholar] [CrossRef]
- Tsai, J.H.; Donaher, J.L.; Murphy, D.A.; Chau, S.; Yang, J. Spatiotemporal regulation of epithelial-mesenchymal transition is essential for squamous cell carcinoma metastasis. Cancer Cell 2012, 22, 725–736. [Google Scholar] [CrossRef] [PubMed]
- Yang, M.H.; Wu, M.Z.; Chiou, S.H.; Chen, P.M.; Chang, S.Y.; Liu, C.J.; Teng, S.C.; Wu, K.J. Direct regulation of TWIST by HIF-1alpha promotes metastasis. Nat. Cell Biol. 2008, 10, 295–305. [Google Scholar] [CrossRef] [PubMed]
- Sheinerman, K.; Tsivinsky, V.; Mathur, A.; Kessler, D.; Shaz, B.; Umansky, S. Age- and sex-dependent changes in levels of circulating brain-enriched microRNAs during normal aging. Aging 2018, 10, 3017–3041. [Google Scholar] [CrossRef] [PubMed]
- Martino, M.T.D.; Tagliaferri, P.; Tassone, P. MicroRNA in cancer therapy: Breakthroughs and challenges in early clinical applications. J. Exp. Clin. Cancer Res. 2025, 44, 126. [Google Scholar] [CrossRef]
- Huang, Y.; Hong, W.; Wei, X. The molecular mechanisms and therapeutic strategies of EMT in tumor progression and metastasis. J. Hematol. Oncol. 2022, 15, 129. [Google Scholar] [CrossRef]
- Raspollini, M.R.; Moch, H.; Tan, P.H.; Amin, M.B.; Turajlic, S. (Eds.) Chapter 2: Tumours of the kidney. In WHO Classification of Tumors Editorial Board. Urinary and Male Genital Tumours, 5th ed.; WHO Classification of Tumours Series; International Agency for Research on Cancer: Lyon, France, 2022; Volume 8. Available online: https://publications.iarc.fr/610 (accessed on 2 March 2025).
- Pavlič, A.; Urh, K.; Boštjančič, E.; Zidar, N. Analyzing the invasive front of colorectal cancer—By punching tissue block or laser capture microdissection? Pathol. Res. Pract. 2023, 248, 154727. [Google Scholar] [CrossRef]
- Glenn, S.T.; Jones, C.A.; Liang, P.; Kaushik, D.; Gross, K.W.; Kim, H.L. Expression profiling of archival renal tumors by quantitative PCR to validate prognostic markers. Biotechniques 2007, 43, 639–640. [Google Scholar] [CrossRef]






| Male/female | 13:1 |
| Age (mean ± SD) | 64.5 ± 7.2 |
| Largest tumour diameter (mean in cm) | 6.5 |
| pTNM 1 | pT3a N0 (n = 11) pT3a N1 (n = 2) pT3b N0 (n = 1) |
| WHO/ISUP grade | Grade 2 (n = 1) Grade 3 (n = 13) |
| E-Cadherin | N-Cadherin | ZEB2 | ||||||||||
|---|---|---|---|---|---|---|---|---|---|---|---|---|
| +++ | ++ | + | − | +++ | ++ | + | − | +++ | ++ | + | − | |
| N | 14 * (100%) | 0 (0%) | 0 (0%) | 0 (0%) | 14 ** (100%) | 0 (0%) | 0 (0%) | 0 (0%) | 0 (0%) | 0 (0%) | 0 (0%) | 14 (100%) |
| TC | 5 (36%) | 6 (43%) | 1 (7%) | 2 (14%) | 10 (71%) | 4 (29%) | 0 (0%) | 0 (0%) | 0 (0%) | 0 (0%) | 0 (0%) | 14 (100%) |
| TP | 3 (21%) | 8 (58%) | 2 (14%) | 1 (7%) | 7 (50%) | 4 (29%) | 3 (21%) | 0 (0%) | 0 (0%) | 0 (0%) | 2 (14%) | 12 (86%) |
| VTT | 5 (36%) | 6 (43%) | 2 (14%) | 1 (7%) | 6 (43%) | 4 (29%) | 4 (29%) | 0 (0%) | 0 (0%) | 0 (0%) | 0 (0%) | 14 (100%) |
Disclaimer/Publisher’s Note: The statements, opinions and data contained in all publications are solely those of the individual author(s) and contributor(s) and not of MDPI and/or the editor(s). MDPI and/or the editor(s) disclaim responsibility for any injury to people or property resulting from any ideas, methods, instructions or products referred to in the content. |
© 2025 by the authors. Licensee MDPI, Basel, Switzerland. This article is an open access article distributed under the terms and conditions of the Creative Commons Attribution (CC BY) license (https://creativecommons.org/licenses/by/4.0/).
Share and Cite
Čugura, T.; Boštjančič, E.; Jeruc, J. Upregulation of miR-200c and miR-429 Suggests Reversal Towards Epithelial State in Venous Tumour Thrombus of Clear Cell Renal Cell Carcinoma. Int. J. Mol. Sci. 2025, 26, 7951. https://doi.org/10.3390/ijms26167951
Čugura T, Boštjančič E, Jeruc J. Upregulation of miR-200c and miR-429 Suggests Reversal Towards Epithelial State in Venous Tumour Thrombus of Clear Cell Renal Cell Carcinoma. International Journal of Molecular Sciences. 2025; 26(16):7951. https://doi.org/10.3390/ijms26167951
Chicago/Turabian StyleČugura, Tanja, Emanuela Boštjančič, and Jera Jeruc. 2025. "Upregulation of miR-200c and miR-429 Suggests Reversal Towards Epithelial State in Venous Tumour Thrombus of Clear Cell Renal Cell Carcinoma" International Journal of Molecular Sciences 26, no. 16: 7951. https://doi.org/10.3390/ijms26167951
APA StyleČugura, T., Boštjančič, E., & Jeruc, J. (2025). Upregulation of miR-200c and miR-429 Suggests Reversal Towards Epithelial State in Venous Tumour Thrombus of Clear Cell Renal Cell Carcinoma. International Journal of Molecular Sciences, 26(16), 7951. https://doi.org/10.3390/ijms26167951

