Effect of GnRH Active Immunisation on Reproductive Performance of Male Sprague Dawley Rats
Abstract
1. Introduction
2. Results
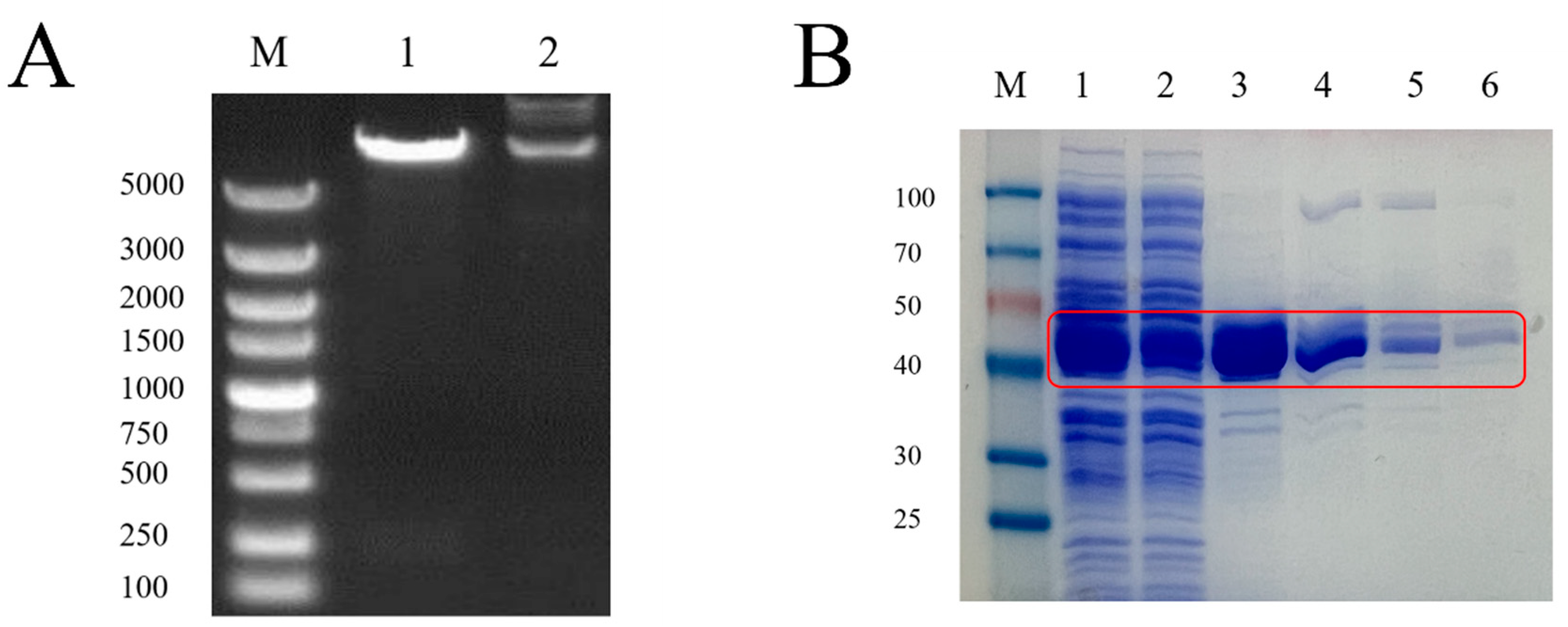
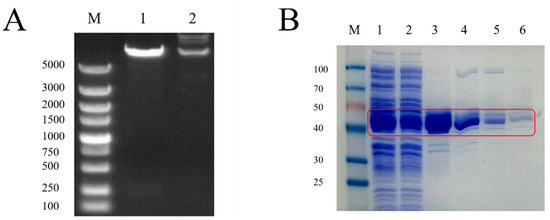
2.1. Identification of Recombinant Plasmid
2.2. Identification of Recombinant Protein
2.3. Identification of Synthetic Protein
2.4. Establishment of an ELISA Method for GnRH6-MBP Antibody Detection
2.5. Results of ELIS, and Sensitivity and Repeatability Tests
2.6. Antibody Detection in Rat Serum
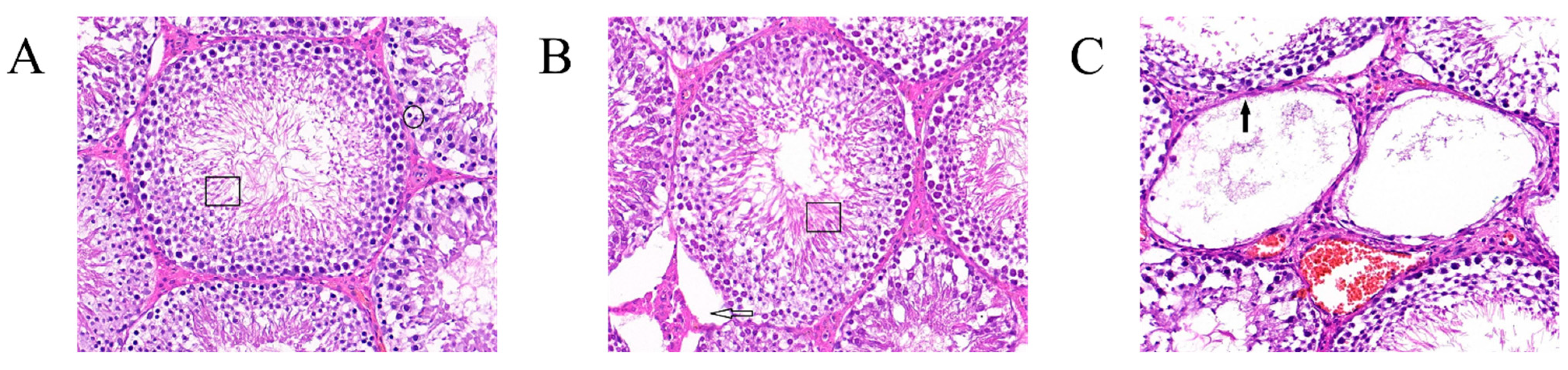
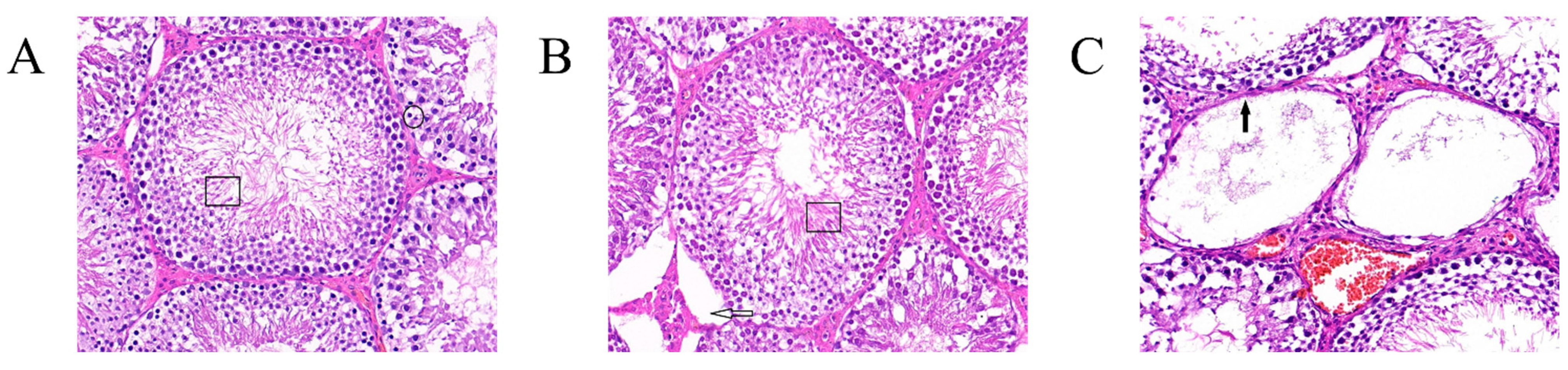
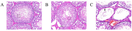
2.7. Changes in the Weight of Rat Testes and Observations of Tissue Sections
2.8. Changes in Serum T, LH, and FSH
3. Discussion
4. Materials and Methods
4.1. Animals and Materials
4.2. Methods
4.2.1. Construction of Recombinant Plasmid
4.2.2. Expression, Purification and Validation of the Target Protein
4.2.3. Preparation of GnRH Synthetic Peptides
4.2.4. Establishment of an ELISA Method for GnRH6-MBP Antibody Detection
4.2.5. ELISA Kit Sensitivity Test and Repeatability Test
4.2.6. Experimental Design and Immunisation Procedure
4.2.7. Collection of Samples
4.2.8. Antibody Detection in Rat Serum
4.2.9. Paraffin Sections and Haematoxylin/Eosin Staining of Testis Tissues
4.2.10. Measurement of Serum T, LH, and FSH
4.2.11. Statistical Analysis
5. Conclusions
Author Contributions
Funding
Institutional Review Board Statement
Informed Consent Statement
Data Availability Statement
Conflicts of Interest
References
- Miyamoto, K.; Hasegawa, Y.; Nomura, M.; Igarashi, M.; Kangawa, K.; Matsuo, H. Identification of the Second Gonadotropin-Releasing Hormone in Chicken Hypothalamus: Evidence That Gonadotropin Secretion Is Probably Controlled by Two Distinct Gonadotropin-Releasing Hormones in Avian Species. Proc. Natl. Acad. Sci. USA 1984, 81, 3874–3878. [Google Scholar] [CrossRef]
- Millar, R.P. GnRHs and GnRH Receptors. Anim. Reprod. Sci. 2005, 88, 5–28. [Google Scholar] [CrossRef]
- Jiang, S.; Hong, M.; Su, S.; Song, M.; Tian, Y.; Cui, P.; Song, S.; Wang, Y.; Li, F.; Fang, F. Effect of Active Immunization against GnRH-I on the Reproductive Function in Cat. Anim. Sci. J. 2015, 86, 747–754. [Google Scholar] [CrossRef]
- Adams, T.E. Using Gonadotropin-Releasing Hormone (GnRH) and GnRH Analogs to Modulate Testis Function and Enhance the Productivity of Domestic Animals. Anim. Reprod. Sci. 2005, 88, 127–139. [Google Scholar] [CrossRef]
- Ferro, V.A.; Garside, D.A. Reproductive Component Vaccine Developments for Contraceptive and Non-Contraceptive Uses. Expert Opin. Ther. Pat. 2011, 21, 1473–1482. [Google Scholar] [CrossRef]
- McIntyre, C.; Li, X.F.; Ivanova, D.; Wang, J.; O’Byrne, K.T. Hypothalamic PVN CRH Neurons Signal Through PVN GABA Neurons to Suppress GnRH Pulse Generator Frequency in Female Mice. Endocrinology 2023, 164, bqad075. [Google Scholar] [CrossRef]
- Karakuş, F.; Yılmaz, A.; Hakan, B.; Stormo, K.; Ülker, H. The Effectiveness of Recombinant OL Fusion Protein (Ovalbumin-LHRH-7) in Suppressing Reproductive Functions When Injected in Single-Dose Vaccination Protocols with Different Adjuvants. Anim. Reprod. Sci. 2013, 138, 228–232. [Google Scholar] [CrossRef]
- Fang, F.; Yang, Y.; Liu, Y.; Zhang, Y.; Tao, Y.; Wang, S.; Pu, Y.; Zhang, X. Immunization of Male Mice with a New Recombinant GnRH Fusion Protein Reduces the Testicular Function. Agric. Sci. China 2009, 8, 380–385. [Google Scholar] [CrossRef]
- Fang, F.; Li, H.; Liu, Y.; Zhang, Y.; Tao, Y.; Li, Y.; Cao, H.; Wang, S.; Wang, L.; Zhang, X. Active Immunization with Recombinant GnRH Fusion Protein in Boars Reduces Both Testicular Development and mRNA Expression Levels of GnRH Receptor in Pituitary. Anim. Reprod. Sci. 2010, 119, 275–281. [Google Scholar] [CrossRef]
- Fang, F.; Liu, Y.; Pu, Y.; Wang, L.; Wang, S.; Zhang, X. Immunogenicity of Recombinant Maltose-Binding Protein (MBP)-Gonadotropin Releasing Hormone I (GnRH-I). Syst. Biol. Reprod. Med. 2010, 56, 478–486. [Google Scholar] [CrossRef][Green Version]
- Palmer, C.; Pedersen, H.G.; Sandøe, P. Beyond Castration and Culling: Should We Use Non-Surgical, Pharmacological Methods to Control the Sexual Behavior and Reproduction of Animals? J. Agric. Environ. Ethics 2018, 31, 197–218. [Google Scholar] [CrossRef]
- Tan, O.; Carr, B.R.; Beshay, V.E.; Bukulmez, O. The Extrapituitary Effects of GnRH Antagonists and Their Potential Clinical Implications: A Narrated Review. Reprod. Sci. 2013, 20, 16–25. [Google Scholar] [CrossRef]
- Li, W.; Du, R.; Xia, C.; Zhang, H.; Xie, Y.; Gao, X.; Ouyang, Y.; Yin, Z.; Hu, G. Novel Pituitary Actions of GnRH in Teleost: The Link between Reproduction and Feeding Regulation. Front. Endocrinol. 2022, 13, 982297. [Google Scholar] [CrossRef]
- Pepe, I.M. Recent Advances in Our Understanding of Rhodopsin and Phototransduction. Prog. Retin. Eye Res. 2001, 20, 733–759. [Google Scholar] [CrossRef]
- Han, X.-F.; Li, J.-L.; Zhou, Y.-Q.; Ren, X.-H.; Liu, G.-C.; Cao, X.-H.; Du, X.-G.; Zeng, X.-Y. Active Immunization with GnRH-Tandem-Dimer Peptide in Young Male Rats Reduces Serum Reproductive Hormone Concentrations, Testicular Development and Spermatogenesis. Asian J. Androl. 2016, 18, 485. [Google Scholar] [CrossRef]
- Han, X.; Ren, X.; Zeng, Y.; Zhou, Y.; Song, T.; Cao, X.; Du, X.; Meng, F.; Tan, Y.; Liu, Y.; et al. Physiological Interactions between the Hypothalamic-Pituitary-Gonadal Axis and Spleen in Rams Actively Immunized against GnRH. Int. Immunopharmacol. 2016, 38, 275–283. [Google Scholar] [CrossRef]
- Sáenz, L.; Neira-Carrillo, A.; Paredes, R.; Cortés, M.; Bucarey, S.; Arias, J.L. Chitosan Formulations Improve the Immunogenicity of a GnRH-I Peptide-Based Vaccine. Int. J. Pharm. 2009, 369, 64–71. [Google Scholar] [CrossRef]
- Liu, Y.; Tian, Y.; Zhao, X.; Jiang, S.; Li, F.; Zhang, Y.; Zhang, X.; Li, Y.; Zhou, J.; Fang, F. Immunization of Dogs with Recombinant GnRH-1 Suppresses the Development of Reproductive Function. Theriogenology 2015, 83, 314–319. [Google Scholar] [CrossRef]
- Zhang, C.-Q.; Wan, Y.; Shi, Z.-W.; Luo, J.-C.; Li, H.-Y.; Li, S.-S.; Li, Y.-Z.; Dai, X.-Y.; Bai, X.; Tian, H.; et al. Colloidal Gold and Fluorescent Immunochromatographic Test Strips for Canine Parvovirus Detection. Appl. Microbiol. Biotechnol. 2023, 107, 4903–4915. [Google Scholar] [CrossRef]
- López-Campos, F.; Gajate, P.; Romero-Laorden, N.; Zafra-Martín, J.; Juan, M.; Hernando Polo, S.; Conde Moreno, A.; Couñago, F. Immunotherapy in Advanced Prostate Cancer: Current Knowledge and Future Directions. Biomedicines 2022, 10, 537. [Google Scholar] [CrossRef]
- Massari, F.; Maines, F.; Modena, A.; Brunelli, M.; Bria, E.; Artibani, W.; Martignoni, G.; Tortora, G. Castration Resistant Prostate Cancer (CRPC): State of the Art, Perspectives and New Challenges. Anticancer Agents Med. Chem. 2013, 13, 872–886. [Google Scholar] [CrossRef]
- Graham, L.S.; Schweizer, M.T. Mismatch Repair Deficiency and Clinical Implications in Prostate Cancer. Prostate 2022, 82, S37–S44. [Google Scholar] [CrossRef]
- Wesp, L.M.; Malcoe, L.H.; Elliott, A.; Poteat, T. Intersectionality Research for Transgender Health Justice: A Theory-Driven Conceptual Framework for Structural Analysis of Transgender Health Inequities. Transgender Health 2019, 4, 287–296. [Google Scholar] [CrossRef]
- Weinand, J.D.; Safer, J.D. Hormone Therapy in Transgender Adults Is Safe with Provider Supervision; A Review of Hormone Therapy Sequelae for Transgender Individuals. J. Clin. Transl. Endocrinol. 2015, 2, 55–60. [Google Scholar] [CrossRef]
- Hoffman, C.L.; Thibault, M.; Hong, J. Characterizing Pet Acquisition and Retention during the COVID-19 Pandemic. Front. Vet. Sci. 2021, 8, 781403. [Google Scholar] [CrossRef]
- Van der Saag, D.; Lomax, S.; Windsor, P.A.; Hall, E.; White, P.J. Effect of Lignocaine and a Topical Vapocoolant Spray on Pain Response during Surgical Castration of Beef Calves. Animals 2019, 9, 126. [Google Scholar] [CrossRef]
- Colditz, I.G.; Paull, D.R.; Lee, C. Social Transmission of Physiological and Behavioural Responses to Castration in Suckling Merino Lambs. Appl. Anim. Behav. Sci. 2012, 136, 136–145. [Google Scholar] [CrossRef]
- Fernández, L.A. Prokaryotic Expression of Antibodies and Affibodies. Curr. Opin. Biotechnol. 2004, 15, 364–373. [Google Scholar] [CrossRef]
- Mital, S.; Christie, G.; Dikicioglu, D. Recombinant Expression of Insoluble Enzymes in Escherichia coli: A Systematic Review of Experimental Design and Its Manufacturing Implications. Microb. Cell Fact. 2021, 20, 208. [Google Scholar] [CrossRef]
- Peng, P.; Liu, C.; Li, Z.; Xue, Z.; Mao, P.; Hu, J.; Xu, F.; Yao, C.; You, M. Emerging ELISA Derived Technologies for In Vitro Diagnostics. Trends Analyt. Chem. 2022, 152, 116605. [Google Scholar] [CrossRef]
- Shim, J.-E.; Kim, Y.J.; Choe, J.-H.; Lee, T.G.; You, E.-A. Single-Nanoparticle-Based Digital SERS Sensing Platform for the Accurate Quantitative Detection of SARS-CoV-2. ACS Appl. Mater. Interfaces 2022, 14, 38459–38470. [Google Scholar] [CrossRef]
- Jung, M.-J.; Moon, Y.-C.; Cho, I.-H.; Yeh, J.-Y.; Kim, S.-E.; Chang, W.-S.; Park, S.-Y.; Song, C.-S.; Kim, H.-Y.; Park, K.-K.; et al. Induction of Castration by Immunization of Male Dogs with Recombinant Gonadotropin-Releasing Hormone (GnRH)-Canine Distemper Virus (CDV) T Helper Cell Epitope P35. J. Vet. Sci. 2005, 6, 21–24. [Google Scholar] [CrossRef] [PubMed]
- Oonk, H.B.; Turkstra, J.A.; Schaaper, W.M.M.; Erkens, J.H.F.; Schuitemaker-de Weerd, M.H.; van Nes, A.; Verheijden, J.H.M.; Meloen, R.H. New GnRH-like Peptide Construct to Optimize Efficient Immunocastration of Male Pigs by Immunoneutralization of GnRH. Vaccine 1998, 16, 1074–1082. [Google Scholar] [CrossRef] [PubMed]
- Amoss, M.; Burgus, R.; Blackwell, R.; Vale, W.; Fellows, R.; Guillemin, R. Purification, Amino Acid Composition and N-Terminus of the Hypothalamic Luteinizing Hormone Releasing Factor (LRF) of Ovine Origin. Biochem. Biophys. Res. Commun. 1971, 44, 205–210. [Google Scholar] [CrossRef]
- Guan, S.; Zhang, R.; Zhao, Y.; Meng, Z.; Lu, J. 1,3-Dichloro-2-Propanol Induced Ferroptosis through Nrf2/ARE Signaling Pathway in Hepatocytes. Environ. Toxicol. 2022, 37, 2515–2528. [Google Scholar] [CrossRef]







| Serum Dilution Folds | Samples | Coating Antigen Mass Concentration (μg/mL) | |||||
|---|---|---|---|---|---|---|---|
| 0.5 | 1 | 1.5 | 2 | 2.5 | 3 | ||
| 1: 5 | P | 0.836 | 1.159 | 1.191 | 1.310 | 1.258 | 1.287 |
| N | 0.124 | 0.131 | 0.125 | 0.132 | 0.132 | 0.121 | |
| P/N | 6.742 | 8.847 | 9.528 | 9.924 | 9.53 | 10.636 | |
| 1: 10 | P | 0.635 | 0.852 | 0.895 | 1.012 | 0.985 | 0.997 |
| N | 0.111 | 0.121 | 0.125 | 0.115 | 0.131 | 0.131 | |
| P/N | 5.721 | 7.041 | 7.16 | 10.896 | 9.908 | 10.092 | |
| 1: 20 | P | 0.520 | 0.629 | 0.732 | 0.921 | 0.901 | 0.923 |
| N | 0.079 | 0.091 | 0.102 | 0.091 | 0.098 | 0.096 | |
| P/N | 6.582 | 6.912 | 7.718 | 10.121 | 9.194 | 9.615 | |
| 1: 40 | P | 0.481 | 0.588 | 0.679 | 0.836 | 0.849 | 0.899 |
| N | 0.074 | 0.077 | 0.098 | 0.080 | 0.099 | 0.091 | |
| P/N | 6.500 | 7.636 | 6.929 | 10.450 | 8.576 | 9.879 | |
| 1: 80 | P | 0.416 | 0.549 | 0.689 | 0.780 | 0.811 | 0.803 |
| N | 0.073 | 0.069 | 0.085 | 0.078 | 0.084 | 0.088 | |
| P/N | 5.699 | 7.957 | 8.106 | 10.000 | 9.655 | 9.125 | |
| 1: 160 | P | 0.430 | 0.506 | 0.596 | 0.741 | 0.765 | 0.772 |
| N | 0.062 | 0.065 | 0.078 | 0.073 | 0.073 | 0.079 | |
| P/N | 0.935 | 7.785 | 7.641 | 10.151 | 10.479 | 9.772 | |
| 1: 320 | P | 0.386 | 0.552 | 0.576 | 0.703 | 0.697 | 0.719 |
| N | 0.055 | 0.060 | 0.065 | 0.068 | 0.063 | 0.071 | |
| P/N | 7.018 | 9.200 | 8.862 | 10.338 | 11.063 | 10.127 | |
| 1: 640 | P | 0.379 | 0.486 | 0.555 | 0.663 | 0.645 | 0.656 |
| N | 0.053 | 0.050 | 0.058 | 0.065 | 0.062 | 0.065 | |
| P/N | 7.151 | 9.720 | 9.569 | 10.200 | 10.403 | 10.092 | |
| Samples | Dilution | |||
|---|---|---|---|---|
| 1:5000 | 1:10,000 | 1:15,000 | 1:20,000 | |
| P | 1.856 | 1.574 | 1.098 | 0.854 |
| N | 0.156 | 0.128 | 0.117 | 0.098 |
| P/N | 11.897 | 12.297 | 9.385 | 8.714 |
| Samples | Blocking Solution | ||
|---|---|---|---|
| 50 g/L Bovine Serum Albumin | 50 mL/L Bovine Serum Albumin | 50 g/L Non-Fat Milk Solution | |
| P | 1.472 | 1.528 | 1.513 |
| N | 0.123 | 0.120 | 0.118 |
| P/N | 11.967 | 12.733 | 12.822 |
| Samples | Coating Conditions | ||||
|---|---|---|---|---|---|
| 4 °C 8 h | 4 °C 10 h | 4 °C 12 h | 37 °C 1 h | 37 °C 2 h | |
| P | 1.359 | 1.452 | 1.568 | 1.421 | 1.499 |
| N | 0.111 | 0.117 | 0.120 | 0.108 | 0.123 |
| P/N | 12.243 | 12.410 | 13.067 | 12.981 | 12.187 |
| Samples | Colour Time/min | |||
|---|---|---|---|---|
| 5 min | 10 min | 15 min | 20 min | |
| P | 1.633 | 1.745 | 1.895 | 1.942 |
| N | 0.102 | 0.109 | 0.123 | 0.121 |
| P/N | 16.010 | 16.009 | 15.407 | 16.050 |
| Samples | Intra-Assay Variability | Inter-Assay Variability | ||||
|---|---|---|---|---|---|---|
| Mean | SD | CV/% | Mean | SD | CV/% | |
| A | 1.572 | 0.052 | 3.296 | 1.588 | 0.011 | 0.694 |
| B | 1.592 | 0.064 | 4.026 | 1.621 | 0.043 | 2.627 |
| C | 1.593 | 0.067 | 4.212 | 1.578 | 0.043 | 2.744 |
| D | 1.591 | 0.036 | 2.232 | 1.683 | 0.033 | 1.945 |
| E | 1.674 | 0.033 | 1.949 | 1.692 | 0.057 | 3.339 |
| F | 1.650 | 0.027 | 1.614 | 1.657 | 0.074 | 4.477 |
| G | 1.632 | 0.059 | 3.633 | 1.666 | 0.089 | 5.358 |
| H | 1.649 | 0.033 | 1.971 | 1.549 | 0.044 | 2.860 |
| I | 1.579 | 0.045 | 2.818 | 1.555 | 0.035 | 2.250 |
| J | 1.632 | 0.043 | 2.636 | 1.539 | 0.031 | 2.023 |
| DNA Sequence of GnRH Hexamer | ||||||||||||
|---|---|---|---|---|---|---|---|---|---|---|---|---|
| 5′ | GAATTC | CAA | CAT | TGG | AGT | GGT | GGC | TTA | CGT | CCT | GGT | |
| EcoRI | Gln | His | Trp | Ser | Gly | Gly | Leu | Arg | Pro | Gly | ||
| GGC | AGT | AGC | GAA | CAC | TGG | AGC | TAC | GGT | TTG | AGA | ||
| Gly | Ser | Ser | Glu | His | Trp | Ser | Tyr | Gly | Leu | Arg | ||
| CCC | GGG | AGC | GGG | CAG | CAC | TGG | AGC | TAT | GGG | CTG | ||
| Pro | Gly | Ser | Gly | Gln | His | Trp | Ser | Tyr | Gly | Leu | ||
| AGG | CCA | GGA | GGT | GGA | AGT | GAG | GAT | AGT | TAT | GGA | ||
| Arg | Pro | Gly | Gly | Gly | Ser | Glu | Asp | Ser | Tyr | Gly | ||
| CTA | CGG | CCG | GGC | AGT | CAG | CAC | TGG | AGC | TAC | GGC | ||
| Leu | Arg | Pro | Gly | Ser | Gln | His | Trp | Ser | Tyr | Gly | ||
| CTG | CAG | CAT | TGG | AGT | TAT | GGA | TTA | CGG | CCA | GTCGAC | 3′ | |
| Leu | Gln | His | Trp | Ser | Tyr | Gly | Leu | Arg | Pro | SalI | ||
Disclaimer/Publisher’s Note: The statements, opinions and data contained in all publications are solely those of the individual author(s) and contributor(s) and not of MDPI and/or the editor(s). MDPI and/or the editor(s) disclaim responsibility for any injury to people or property resulting from any ideas, methods, instructions or products referred to in the content. |
© 2024 by the authors. Licensee MDPI, Basel, Switzerland. This article is an open access article distributed under the terms and conditions of the Creative Commons Attribution (CC BY) license (https://creativecommons.org/licenses/by/4.0/).
Share and Cite
Zhang, C.-Q.; Li, S.-S.; Hu, B.; Xu, L.-W.; Liu, J.-J.; Sun, Y.-J.; Bai, X. Effect of GnRH Active Immunisation on Reproductive Performance of Male Sprague Dawley Rats. Int. J. Mol. Sci. 2024, 25, 3193. https://doi.org/10.3390/ijms25063193
Zhang C-Q, Li S-S, Hu B, Xu L-W, Liu J-J, Sun Y-J, Bai X. Effect of GnRH Active Immunisation on Reproductive Performance of Male Sprague Dawley Rats. International Journal of Molecular Sciences. 2024; 25(6):3193. https://doi.org/10.3390/ijms25063193
Chicago/Turabian StyleZhang, Cheng-Qi, Shuang-Shuang Li, Bo Hu, Li-Wen Xu, Jia-Jia Liu, Ya-Jie Sun, and Xue Bai. 2024. "Effect of GnRH Active Immunisation on Reproductive Performance of Male Sprague Dawley Rats" International Journal of Molecular Sciences 25, no. 6: 3193. https://doi.org/10.3390/ijms25063193
APA StyleZhang, C.-Q., Li, S.-S., Hu, B., Xu, L.-W., Liu, J.-J., Sun, Y.-J., & Bai, X. (2024). Effect of GnRH Active Immunisation on Reproductive Performance of Male Sprague Dawley Rats. International Journal of Molecular Sciences, 25(6), 3193. https://doi.org/10.3390/ijms25063193

