Breast Cancer Molecular Subtyping in Practice: A Real-World Study of the APIS Breast Cancer Subtyping Assay in a Consecutive Series of Breast Core Biopsies
Abstract
1. Introduction
2. Results
2.1. APIS Molecular Characteristics
2.2. Pathological and IHC Characteristics
2.3. Comparison of APIS mRNA Scores for ER, PR, HER-2, Ki-67 and IHC-Based Results
3. Discussion
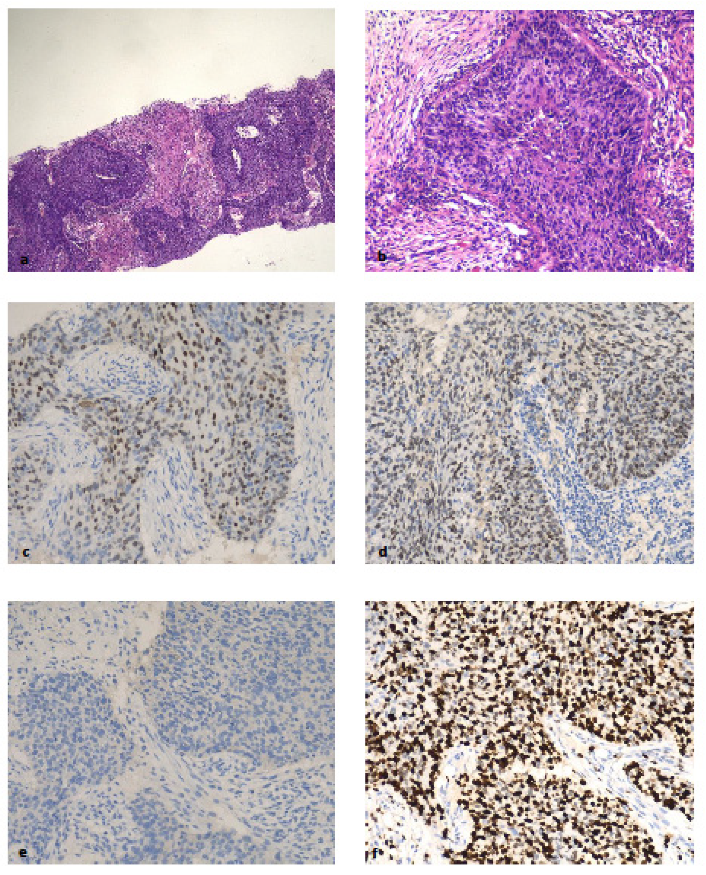
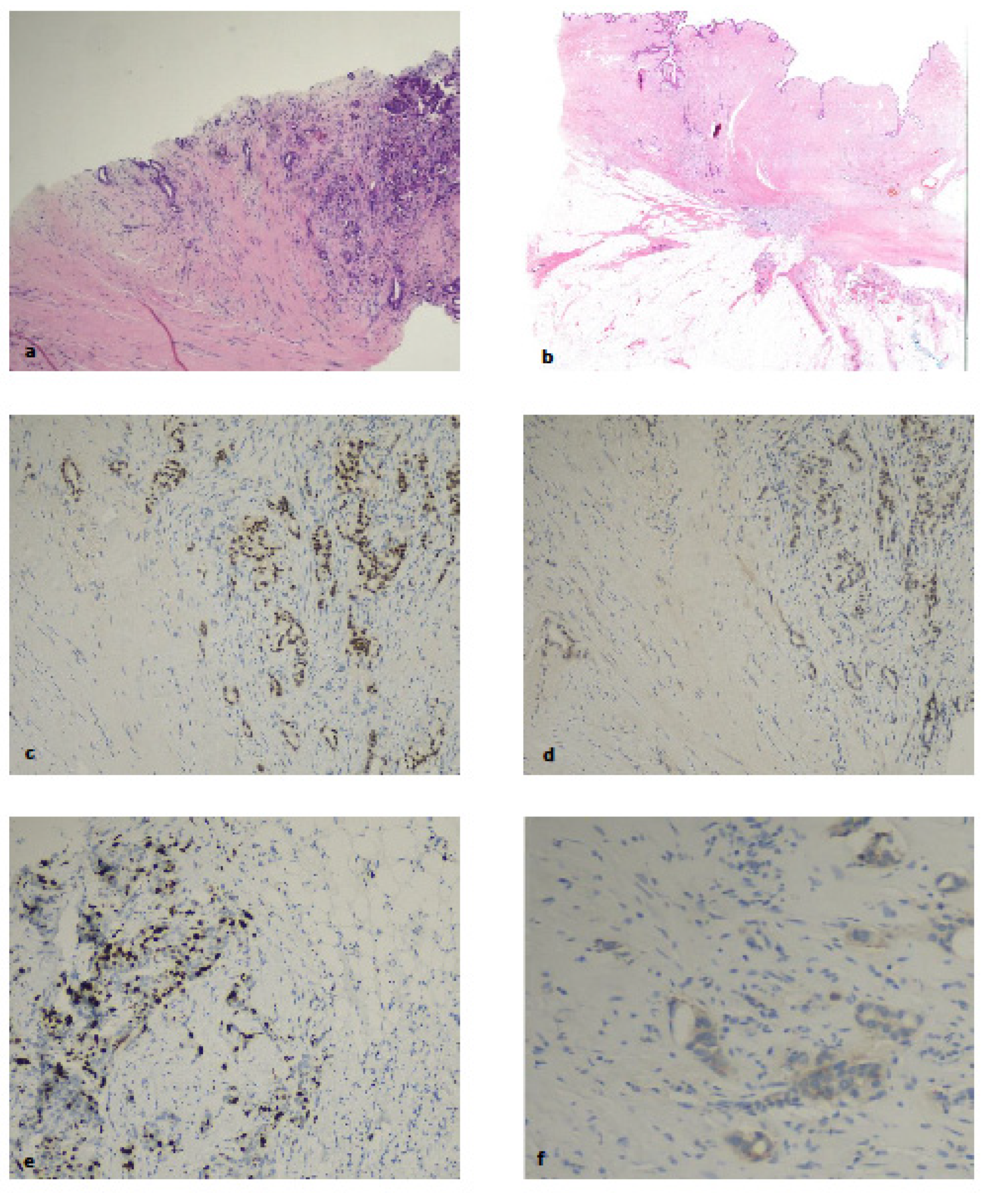
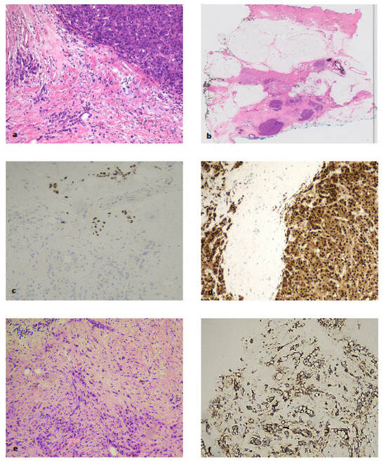
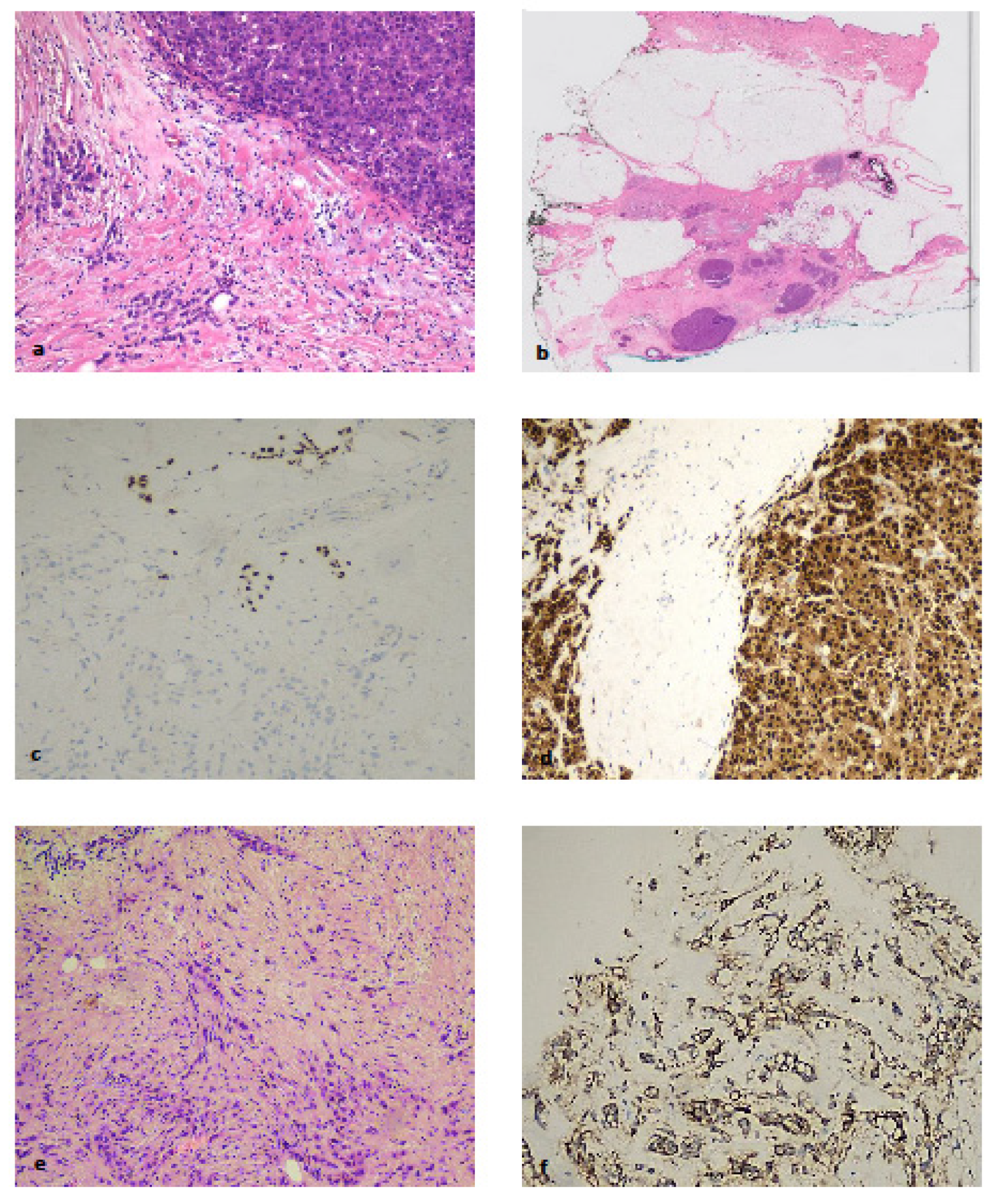
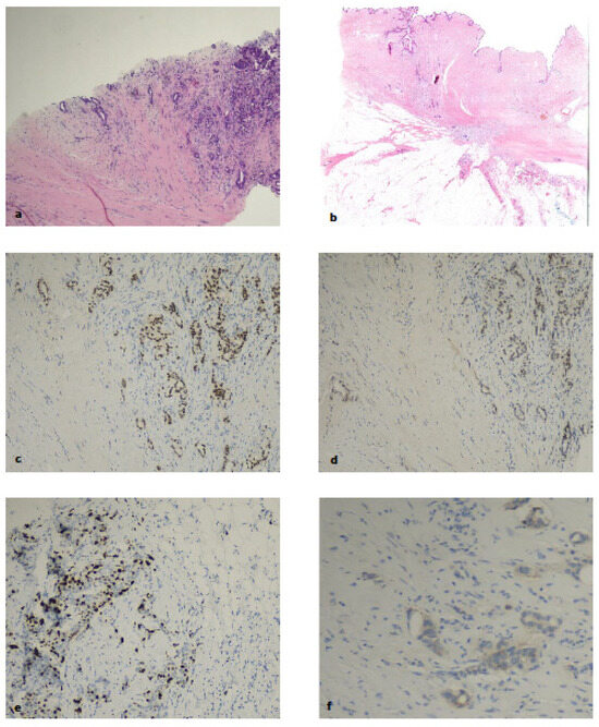
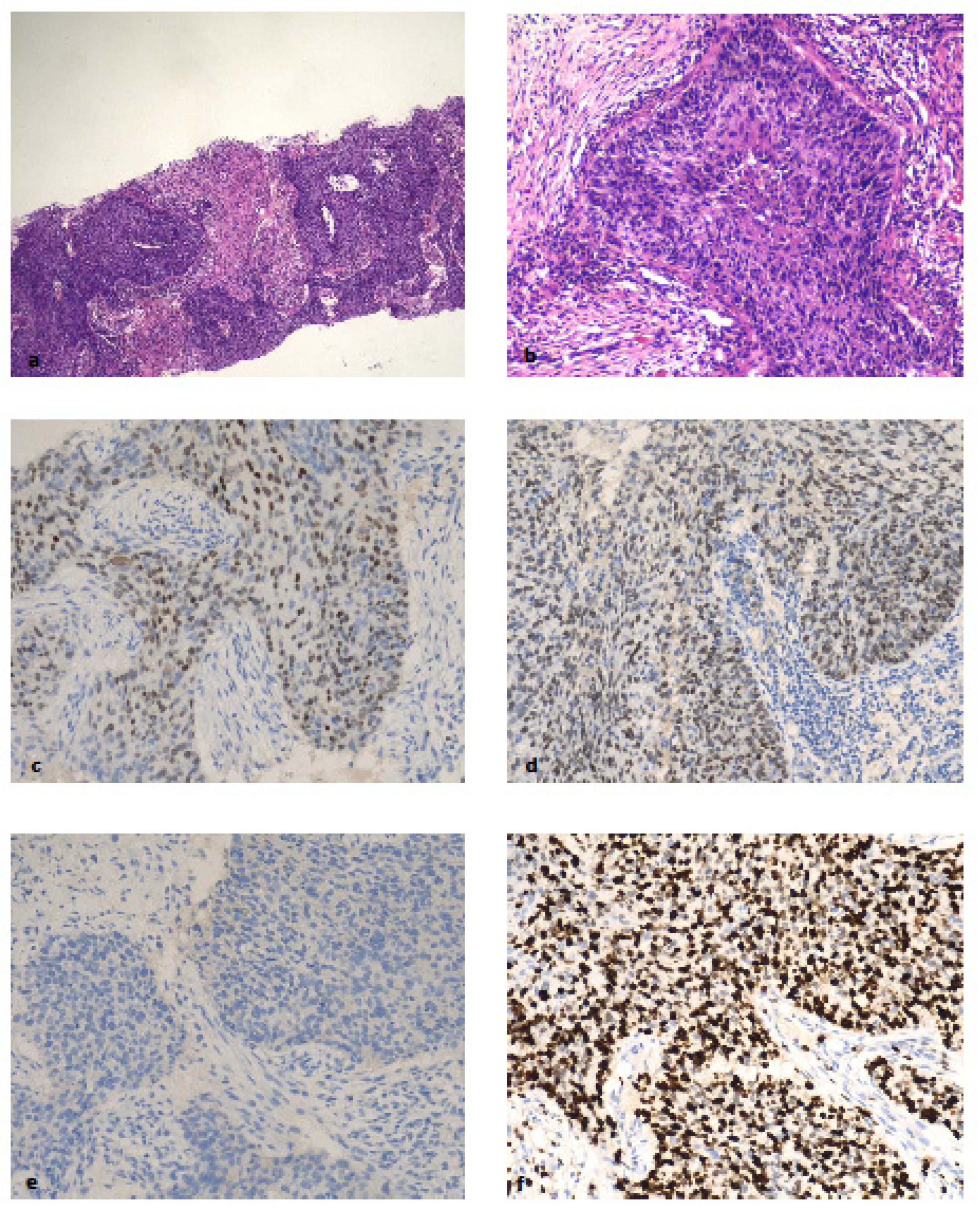
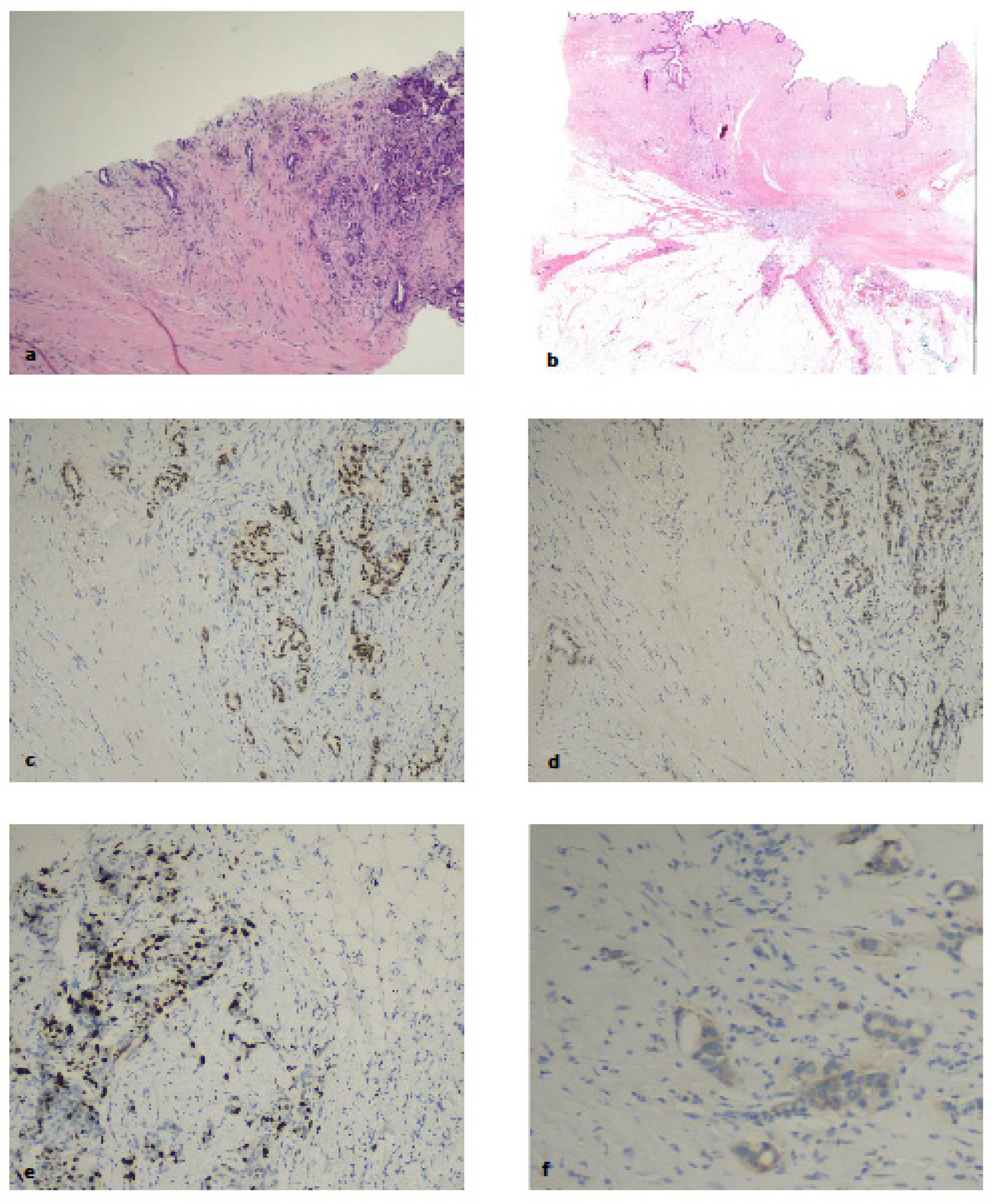
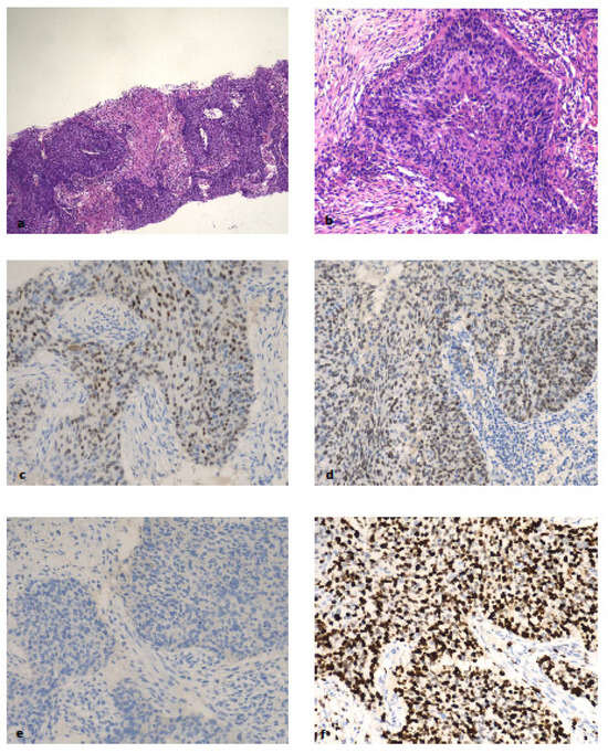
3.1. Clinically Relevant Discordances
3.2. Discordances Requiring Improvements/Refinement
4. Material and Methods
4.1. Samples
4.2. Immunohistochemistry and ‘In Situ‘ Hybridisation
4.3. RNA Extraction
4.4. Gene Expression by RT-qPCR
Author Contributions
Funding
Institutional Review Board Statement
Informed Consent Statement
Data Availability Statement
Acknowledgments
Conflicts of Interest
References
- Perou, C.M.; Sørlie, T.; Eisen, M.B.; Van De Rijn, M.; Jeffrey, S.S.; Rees, C.A.; Pollack, J.R.; Ross, D.T.; Johnsen, H.; Akslen, L.A.; et al. Molecular portraits of human breast tumours. Nature 2000, 406, 747–752. [Google Scholar] [CrossRef] [PubMed]
- Prat, A.; Parker, J.S.; Fan, C.; Perou, C.M. PAM50 assay and the three-gene model for identifying the major and clinically relevant molecular subtypes of breast cancer. Breast Cancer Res. Treat. 2012, 135, 301–306. [Google Scholar] [CrossRef] [PubMed]
- Nielsen, T.O.; Parker, J.S.; Leung, S.; Voduc, D.; Ebbert, M.; Vickery, T.; Davies, S.R.; Snider, J.; Stijleman, I.J.; Reed, J.; et al. A comparison of PAM50 intrinsic subtyping with immunohistochemistry and clinical prognostic factors in tamoxifen-treated estrogen receptor-positive breast cancer. Clin. Cancer Res. 2010, 16, 5222–5232. [Google Scholar] [CrossRef] [PubMed]
- Di Palma, S.; Simpson, R.H.W.; Marchiò, C.; Skálová, A.; Ungari, M.; Sandison, A.; Whitaker, S.; Parry, S.; Reis-Filho, J.S. Salivary duct carcinomas can be classified into luminal androgen receptor-positive, HER2 and basal-like phenotypes. Histopathology 2012, 61, 629–643. [Google Scholar] [CrossRef] [PubMed]
- Filippou, C.; Themistocleous, S.C.; Marangos, G.; Panayiotou, Y.; Fyrilla, M.; Kousparou, C.A.; Pana, Z.-D.; Tsioutis, C.; Johnson, E.O.; Yiallouris, A. Microbial Therapy and Breast Cancer Management: Exploring Mechanisms, Clinical Efficacy, and Integration within the One Health Approach. Int. J. Mol. Sci. 2024, 25, 1110. [Google Scholar] [CrossRef] [PubMed]
- Jafarinezhad, S.; Darban, R.A.; Javid, H.; Hashemy, S.I. The SP/NK1R system promotes the proliferation of breast cancer cells through NF-κB-mediated inflammatory responses. Cell Biochem. Biophys. 2023, 81, 787–794. [Google Scholar] [CrossRef] [PubMed]
- Purohit, L.; Jones, C.; Gonzalez, T.; Castrellon, A.; Hussein, A. The Role of CD4/6 Inhibitors in Breast Cancer Treatment. Int. J. Mol. Sci. 2024, 25, 1242. [Google Scholar] [CrossRef]
- Kim, H.K.; Park, K.H.; Kim, Y.; Park, S.E.; Lee, H.S.; Lim, S.W.; Cho, J.H.; Kim, J.-Y.; Lee, J.E.; Ahn, J.S.; et al. Discordance of the PAM50 Intrinsic Subtypes Compared with Immunohistochemistry-Based Surrogate in Breast Cancer Patients: Potential Implication of Genomic Alterations of Discordance. Cancer Res. Treat. 2019, 51, 737–747. [Google Scholar] [CrossRef] [PubMed]
- Polley, M.Y.; Leung, S.C.; McShane, L.M.; Gao, D.; Hugh, J.C.; Mastropasqua, M.G.; Viale, G.; Zabaglo, L.A.; Penault-Llorca, F.; Bartlett, J.M.; et al. An international Ki67 reproducibility study. J. Natl. Cancer Inst. 2013, 105, 1897–1906. [Google Scholar] [CrossRef] [PubMed]
- Zaakouk, M.; Quinn, C.; Provenzano, E.; Boyd, C.; Callagy, G.; Elsheikh, S.; Flint, J.; Millican-Slater, R.; Gunavardhan, A.; Mir, Y.; et al. Concordance of HER2-low scoring in breast carcinoma among expert pathologists in the United Kingdom and the republic of Ireland—On behalf of the UK national coordinating committee for breast pathology. Breast 2023, 70, 82–91. [Google Scholar] [CrossRef] [PubMed]
- Erber, R.; Hartmann, A.; Fasching, P.A.; Ruebner, M.; Stöhr, R.; Beckmann, M.W.; Zentgraf, M.; Popp, V.; Weidler, J.; Simon, I.; et al. Reproducibility of mRNA-Based Testing of ESR1, PGR, ERBB2, and MKI67 Expression in Invasive Breast Cancer-A Europe-Wide External Quality Assessment. Cancers 2021, 13, 4718. [Google Scholar] [CrossRef] [PubMed]
- Fauzi, M.F.A.; Ahmad, W.S.H.M.W.; Jamaluddin, M.F.; Lee, J.T.H.; Khor, S.Y.; Looi, L.M.; Abas, F.S.; Aldahoul, N. Allred Scoring of ER-IHC Stained Whole-Slide Images for Hormone Receptor Status in Breast Carcinoma. Diagnostics 2022, 12, 3093. [Google Scholar] [CrossRef] [PubMed]
- Allison, K.H.; Hammond, M.E.H.; Dowsett, M.; McKernin, S.E.; Carey, L.A.; Fitzgibbons, P.L.; Hayes, D.F.; Lakhani, S.R.; Chavez-MacGregor, M.; Perlmutter, J.; et al. Estrogen and Progesterone Receptor Testing in Breast Cancer: ASCO/CAP Guideline Update. J. Clin. Oncol. 2020, 38, 1346–1366. [Google Scholar] [CrossRef] [PubMed]
- Wolff, A.C.; Somerfield, M.R.; Dowsett, M.; Hammond, M.E.H.; Hayes, D.F.; McShane, L.M.; Saphner, T.J.; Spears, P.A.; Allison, K.H. Human Epidermal Growth Factor Receptor 2 Testing in Breast Cancer: ASCO-College of American Pathologists Guideline Update. J. Clin. Oncol. 2023, 41, 3867–3872. [Google Scholar] [CrossRef] [PubMed]
- Dieci, M.V.; Guarneri, V.; Tosi, A.; Bisagni, G.; Musolino, A.; Spazzapan, S.; Moretti, G.; Vernaci, G.M.; Griguolo, G.; Giarratano, T.; et al. Neoadjuvant chemotherapy and immunotherapy in luminal B-like breast cancer: Results of the phase II GIADA trial. Clin. Cancer Res. 2022, 28, 308–317. [Google Scholar] [CrossRef] [PubMed]
- Ibrahim, A.; Toss, M.S.; Makhlouf, S.; Miligy, I.M.; Minhas, F.; Rakha, E.A. Improving mitotic cell counting accuracy and efficiency using phosphohistone-H3 (PHH3) antibody counterstained with haematoxylin and eosin as part of breast cancer grading. Histopathology 2023, 82, 393–406. [Google Scholar] [CrossRef] [PubMed]
- Liu, F.; Wu, Y.; Mi, Y.; Gu, L.; Sang, M.; Geng, C. Identification of core genes and potential molecular mechanisms in breast cancer using bioinformatics analysis. Pathol. Res. Pract. 2019, 215, 152436. [Google Scholar] [CrossRef]
- Li, T.-F.; Zeng, H.-J.; Shan, Z.; Ye, R.-Y.; Cheang, T.-Y.; Zhang, Y.-J.; Lu, S.-H.; Zhang, Q.; Shao, N.; Lin, Y. Overexpression of kinesin superfamily members as prognostic biomarkers of breast cancer. Cancer Cell Int. 2020, 20, 123. [Google Scholar] [CrossRef] [PubMed]
- Lu, Y.; Yang, G.; Xiao, Y.; Zhang, T.; Su, F.; Chang, R.; Ling, X.; Bai, Y. Upregulated cyclins may be novel genes for triple-negative breast cancer based on bioinformatic analysis. Breast Cancer 2020, 27, 903–911. [Google Scholar] [CrossRef]
- Sotiriou, C.; Piccart, M.J. Taking gene-expression profiling to the clinic: When will molecular signatures become relevant to patient care? Nat. Rev. Cancer 2007, 7, 545–553. [Google Scholar] [CrossRef] [PubMed]



| Target | Positive/Negative Cut-Off Values |
|---|---|
| ESR1 | −1.98 |
| PGR | −0.63 |
| ERBB2 | 2.00 |
| MKI67 | −0.64 |
| Immunohistochemistry | APIS Breast Cancer Subtyping Kit Analysis | ||||||||||
|---|---|---|---|---|---|---|---|---|---|---|---|
| Serial No | Type/Met | ER | PR | HER-2 | MIB1 IHC | ESR1 | PGR | ERBB2 | MK167 | Proliferation | Molecula Subtype |
| 1 | IDC G2 | 8/8 | 8/8 | low 2 + ISH-neg | low | +ve | +ve | −ve | low | low | Luminal A |
| 2 | IDC G2 | 8/8 | 8/8 | low 2 + ISH − ve | low | +ve | +ve | −ve | high | high | Luminal B HER-2 − ve |
| 3 | IDC G3 | 8/8 | 8/8 | low 1+ | high | +ve | +ve | −ve | high | high | Luminal B HER-2 − ve |
| 4 | IDC G3 | 0/8 | 6/8 | −ve | high | −ve | −ve | −ve | high | high | TNBC |
| 5 | IDC G3 | 8/8 | 8/8 | −ve | high | +ve | +ve | −ve | high | high | Luminal B HER-2 − ve |
| 6 | IDC G3 | 7/8 | 7/8 | −ve | high | −ve | −ve | −ve | high | high | TNBC |
| 7 | IDC G2 | 8/8 | 8/8 | low 1+ | high | +ve | +ve | −ve | high | high | Luminal B HER-2 − ve |
| 8 | IDC G3 | 8/8 | 8/8 | low 1+ | high | +ve | +ve | −ve | high | high | Luminal B HER-2 − ve |
| 9 | IDC G2 | 8/8 | 0/8 | −ve | low | +ve | −ve | −ve | low | high | Luminal A |
| 10 | IDC G2 | 8/8 | 0/8 | low 1+ | low | +ve | −ve | −ve | low | low | Luminal A |
| 11 | IDC G3 | 0/8 | 0/8 | +ve 3+ | low | −ve | −ve | +ve | low | high | HER-2-enriched |
| 12 | IDC G2 | 8/8 | 0/8 | −ve | low | +ve | −ve | −ve | low | high | Luminal A |
| 13 | IDC G2 | 8/8 | 0/8 | −ve | low | NA | NA | NA | NA | NA | NA |
| 14 | IDC G2 | 8/8 | 4/8 | −ve | high | +ve | −ve | −ve | high | high | Luminal B HER-2 − ve |
| 15 | IDC G1 | 7/8 | 8/8 | −ve | low | +ve | +ve | −ve | low | low | Luminal A |
| 16 | IDC G2 | 8/8 | 8/8 | −ve | low | +ve | +ve | −ve | low | low | Luminal A |
| 17 | IDC G3 | 0/8 | 0/8 | −ve | high | −ve | −ve | −ve | high | high | Triple negative |
| 18 | IDC G3 | 8/8 | 7/8 | −ve | high | +ve | +ve | −ve | high | high | Luminal B HER-2 − ve |
| 19 | IDC G2 | 8/8 | 8/8 | −ve | high | +ve | +ve | −ve | high | high | Luminal B |
| 20 | IDC G3 | 8/8 | 8/8 | −ve | high | +ve | +ve | −ve | high | high | Luminal B HER-2 − ve |
| 21 | IDC G2 | 8/8 | 8/8 | −ve | low | +ve | +ve | −ve | low | low | Luminal A |
| 22 | IDC G2 | 8/8 | 0/8 | −ve | low | +ve | −ve | −ve | low | high | Luminal A |
| 23 | IDC G2 | 8/8 | 8/8 | −ve | low | +ve | +ve | −ve | low | high | Luminal A |
| 24 | IDC G3 | 8/8 | 4/8 | −ve | high | +ve | −ve | −ve | high | high | Luminal B HER-2 − ve |
| 25 | IDC G2 | 8/8 | 6/8 | low 1+ | low | −ve | +ve | −ve | low | high | Luminal A |
| 26 | IDC G2 | 8/8 | 8/8 | −ve | low | +ve | +ve | −ve | low | high | Luminal A |
| 27 | IDC G3 | 8/8 | 8/8 | −ve | low | +ve | +ve | −ve | low | low | Luminal A |
| 28 | IDC G2 | 8/8 | 8/8 | −ve | low | +ve | +ve | −ve | low | high | Luminal A |
| 29 | IDC G3 | 0/8 | 0/8 | +ve 3+ | low | −ve | −ve | −ve | low | high | HER-2-enriched |
| 30 | IDC G2 | 8/8 | 7/8 | −ve | low | +ve | +ve | −ve | low | low | Luminal A |
| 31 | IDC G3 | 8/8 | 8/8 | +ve 3+ | high | +ve | +ve | +ve | high | high | Luminal B HER-2 + ve |
| 32 | IDC G3 | 0/8 | 2/8 | −ve | high | −ve | −ve | −ve | low | high | TNBC |
| 33 | IDC G2 | 8/8 | 8/8 | −ve | high | +ve | +ve | −ve | high | high | Luminal B HER-2 − ve |
| 34 | IDC G2 | 8/8 | 8/8 | low 2 + ISH −ve | high | +ve | +ve | −ve | high | high | Luminal B HER-2 − ve |
| 35 | IDC G2 | 8/8 | 0/8 | −ve | low | +ve | −ve | −ve | low | high | Luminal A |
| 36 | IDC G3 | 8/8 | 8/8 | −ve | high | +ve | +ve | −ve | high | high | Luminal B HER-2 − ve |
| 37 | IDC G2 | 0/8 | 0/8 | −ve | low | −ve | −ve | −ve | low | low | Triple negative |
| 38 | IDC G2 | 7/8 | 8/8 | low 1+ | low | +ve | +ve | neg | low | low | Luminal A |
| 39 | IDC G3 | 7/8 | 8/8 | low 1+ | high | positive | positive | neg | high | high | Luminal B HER-2 − ve |
| 40 | IDC G3 | 0/8 | 0/8 | +ve 3+ | high | −ve | +ve | high | high | Luminal B HER-2 + ve | |
| 41 | IDC G2 | 8/8 | 8/8 | −ve | high | +ve | +ve | −ve | high | high | Luminal B HER-2 −ve |
| 42 | IDC G3 | 8/8 | 8/8 | +ve 3+ | high | +ve | +ve | +ve | high | high | Luminal B HER-2 + ve |
| 43 | IDC G3 | 0/8 | 3/8 | low 1+ | high | −ve | −ve | −ve | high | high | TNBC |
| 44 | IDC G2 | 8/8 | 6/8 | 2 + ISH −ve | low | +ve | −ve | −ve | low | low | Luminal A |
| 45 | ILC G2 | 8/8 | 8/8 | −ve | low | +ve | +ve | negative | low | high | Luminal A |
| 46 | ILC G2 | 8/8 | 8/8 | −ve | low | +ve | +ve | −ve | low | high | Luminal A |
| 47 | IDC G2 | 8/8 | 8/8 | low +1 | high | +ve | +ve | −ve | high | high | Luminal B HER-2 − ve |
| 48 | IDC G3 | 0/8 | 3/8 | −ve | high | −ve | −ve | −ve | high | high | TNBC |
| 49 | ILC G2 | 8/8 | 8/8 | low 1+ | low | +ve | +ve | −ve | low | low | Luminal A |
| 50 | IDC G3 | 8/8 | 8/8 | −ve | high | +ve | +ve | −ve | high | high | Luminal B HER-2 − ve |
| 51 | IDC G3 | 8/8 | 6/8 | +ve 3+ | high | +ve | −ve | +ve | high | high | Luminal B HER-2 + ve |
| 52 | IDC G3 | 8/8 | 8/8 | low 1+ | high | +ve | +ve | −ve | high | high | Luminal B HER-2 − ve |
| 53 | IDC G3 | 0/8 | 2/8 | +ve 3+ | high | −ve | +ve | +ve | high | high | Luminal B HER-2 + ve |
| 54 | IDC G2 | 8/8 | 8/8 | −ve | high | +ve | +ve | −ve | high | high | Luminal B HER-2 − ve |
| 55 | IDC G3 | 8/8 | 8/8 | low 1+ | high | +ve | +ve | −ve | high | high | Luminal B HER-2 − ve |
| 56 | IDC G2 | 8/8 | 8/8 | −ve | high | +ve | +ve | −ve | high | high | Luminal B HER-2 − ve |
| 57 | IDC G2 | 0/8 | 3/8 | +ve 3+ | high | −ve | +ve | +ve | high | high | Luminal B HER-2 + ve |
| 58 | IDC G3 | 8/8 | 8/8 | +ve 3+ | high | +ve | +ve | +ve | high | high | Luminal B HER-2 + ve |
| 59 | Mucinous ca G2 | 8/8 | 8/8 | Low 1+ | low | +ve | +ve | −ve | low | high | Luminal A |
| 60 | IDC G2 | 8/8 | 8/8 | low 2 +, ISH −ve | low | −ve | −ve | −ve | low | high | Triple negative |
| 61 | IDC G2 | 8/8 | 8/8 | +ve 3+ | low | +ve | +ve | +ve | low | high | Luminal B HER-2 + ve |
| 62 | IDC G2 | 8/8 | 8/8 | low 1+ | low | +ve | +ve | −ve | low | low | Luminal A |
| 63 | IDC G2 | 8/8 | 8/8 | −ve | low | +ve | +ve | −ve | low | high | Luminal A |
| 64 | IDC G3 | 8/8 | 8/8 | −ve | high | +ve | +ve | −ve | high | high | Luminal B |
| 65 | IDC G2 | 8/8 | 2/8 | −ve | low | +ve | −ve | −ve | low | high | Luminal A |
| 66 | IDC G1 | 8/8 | 5/8 | −ve | low | +ve | +ve | −ve | low | low | Luminal A |
| 67 | IDC G3 | 8/8 | 8/8 | −ve | high | +ve | +ve | −ve | high | high | Luminal B HER-2 − ve |
| 68 | IDC G2 | 8/8 | 8/8 | low 1+ | high | +ve | +ve | −ve | high | high | Luminal B HER-2 − ve |
| 69 | IDC G3 | 0/8 | 0/8 | −ve | high | −ve | −ve | −ve | high | high | TNBC |
| 70 | ILC G2 | 8/8 | 8/8 | low 1+ | low | +ve | +ve | −ve | low | low | Luminal A |
| 71 | IDC G3 | 7/8 | 7/8 | −ve | high | −ve | −ve | −ve | high | high | TNBC |
| 72 | ILC G2 | 8/8 | 8/8 | −ve | low | +ve | +ve | −ve | low | high | Luminal A |
| 73 | ILC G2 | 8/8 | 8/8 | −ve | low | +ve | +ve | −ve | low | high | Luminal B HER-2 − ve |
| 74 | Nodal met IDC G2 | 8/8 | 8/8 | −ve | high | +ve | +ve | −ve | high | high | Luminal B HER-2 − ve |
| 75 | IDC G3 | 8/8 | 5/8 | low 1+ | high | +ve | +ve | −ve | high | high | Luminal B HER-2 − ve |
| 76 | IDC G3 | 8/8 | 3/8 | −ve | high | +ve | −ve | −ve | high | high | Luminal B HER-2 − ve |
| 77 | IDC G2 | 8/8 | 8/8 | −ve | low | +ve | +ve | −ve | low | high | Luminal A |
| 78 | ILC G2 | 8/8 | 7/8 | −ve | low | +ve | +ve | −ve | low | high | Luminal A |
| 79 | IDC G2 | 8/8 | 8/8 | −ve | low | +ve | +ve | −ve | low | low | Luminal A |
| 80 | IDC G2 | 8/8 | 3/8 | −ve | low | +ve | +ve | −ve | low | low | Luminal A |
| 81 | ILC G2 | 8/8 | 3/8 | −ve | low | +ve | −ve | −ve | low | high | Luminal A |
| 82 | IDC G3 | 7/8 | 7/8 | −ve | high | +ve | +ve | +ve | high | high | Luminal B HER-2 − ve |
| 83 | IDC G3 | 8/8 | 8/8 | +ve 3+ | high | +ve | +ve | +ve | high | high | Luminal B HER-2 + ve |
| 84 | IDC G2 | 8/8 | 0/8 | −ve | low | +ve | −ve | −ve | low | low | Luminal A |
| 85 | IDC G2 | 8/8 | 8/8 | low 1+ | low | −ve | +ve | −ve | low | high | Luminal A |
| 86 | IDC G3 | 8/8 | 8/8 | −ve | low | +ve | +ve | −ve | low | high | Luminal A |
| 87 | IDC N met | 0/8 | 0/8 | 2 + ISH −ve | high | −ve | −ve | −ve | high | high | TNBC |
| 88 | IDC G1 | 8/8 | 4/8 | −ve | low | +ve | +ve | −ve | low | low | Luminal A |
| 89 | IDC G3 | 8/8 | 5/8 | +ve 3+ | high | +ve | −ve | +ve | high | high | Luminal B HER-2 + ve |
| 90 | IDC G2 | 8/8 | 8/8 | −ve | high | +ve | +ve | −ve | high | high | Luminal B HER-2 − ve |
| 91 | Muc G2 | 8/8 | 8/8 | −ve | low | +ve | +ve | −ve | low | low | Luminal A |
| 92 | IDC G2 | 8/8 | 8/8 | −ve | high | +ve | +ve | −ve | high | high | Luminal B HER-2 − ve |
| 93 | Pleom ILC | 8/8 | 3/8 | +ve 3+ | low | −ve | −ve | +ve | low | high | HER-2-enriched |
| 94 | IDC G3 | 7/8 | 6/8 | low 1+ | high | +ve | +ve | −ve | high | high | Luminal B HER-2 − ve |
| 95 | IDC G3 | 7/8 | 8/8 | low 1+ | high | +ve | +ve | −ve | high | high | Luminal B HER-2 − ve |
| 96 | IDC G2 | 8/8 | 4/8 | −ve | low | +ve | −ve | −ve | high | high | Luminal B HER-2 −ve |
| 97 | IDC G2 | 8/8 | 8/8 | −ve | high | +ve | +ve | −ve | high | high | Luminal B HER-2 − ve |
| 98 | IDC G2 | 8/8 | 8/8 | low 1+ | low | +ve | +ve | −ve | low | high | Luminal A |
| 99 | IDC G3 | 0/8 | 3/8 | −ve | high | −ve | −ve | +ve | high | high | HER-2-enriched |
| 100 | ILC G2 | 8/8 | 8/8 | −ve | low | +ve | +ve | neg | low | low | Luminal A |
Disclaimer/Publisher’s Note: The statements, opinions and data contained in all publications are solely those of the individual author(s) and contributor(s) and not of MDPI and/or the editor(s). MDPI and/or the editor(s) disclaim responsibility for any injury to people or property resulting from any ideas, methods, instructions or products referred to in the content. |
© 2024 by the authors. Licensee MDPI, Basel, Switzerland. This article is an open access article distributed under the terms and conditions of the Creative Commons Attribution (CC BY) license (https://creativecommons.org/licenses/by/4.0/).
Share and Cite
Di Palma, S.; Koliou, P.; Simonovic, A.; Costa, D.; Faulkes, C.; Kobutungi, B.; Paterson, F.; Horsnell, J.D.; Pakzad, F.; Irvine, T.; et al. Breast Cancer Molecular Subtyping in Practice: A Real-World Study of the APIS Breast Cancer Subtyping Assay in a Consecutive Series of Breast Core Biopsies. Int. J. Mol. Sci. 2024, 25, 2616. https://doi.org/10.3390/ijms25052616
Di Palma S, Koliou P, Simonovic A, Costa D, Faulkes C, Kobutungi B, Paterson F, Horsnell JD, Pakzad F, Irvine T, et al. Breast Cancer Molecular Subtyping in Practice: A Real-World Study of the APIS Breast Cancer Subtyping Assay in a Consecutive Series of Breast Core Biopsies. International Journal of Molecular Sciences. 2024; 25(5):2616. https://doi.org/10.3390/ijms25052616
Chicago/Turabian StyleDi Palma, Silvana, Panagiotis Koliou, Alex Simonovic, Daniela Costa, Catherine Faulkes, Brenda Kobutungi, Felicity Paterson, Jonathan David Horsnell, Farrokh Pakzad, Tracey Irvine, and et al. 2024. "Breast Cancer Molecular Subtyping in Practice: A Real-World Study of the APIS Breast Cancer Subtyping Assay in a Consecutive Series of Breast Core Biopsies" International Journal of Molecular Sciences 25, no. 5: 2616. https://doi.org/10.3390/ijms25052616
APA StyleDi Palma, S., Koliou, P., Simonovic, A., Costa, D., Faulkes, C., Kobutungi, B., Paterson, F., Horsnell, J. D., Pakzad, F., Irvine, T., Partlett, P., Clayton, E., & Collins, N. (2024). Breast Cancer Molecular Subtyping in Practice: A Real-World Study of the APIS Breast Cancer Subtyping Assay in a Consecutive Series of Breast Core Biopsies. International Journal of Molecular Sciences, 25(5), 2616. https://doi.org/10.3390/ijms25052616
