Functional Study of PTSMAD4 in the Spermatogenesis of the Swimming Crab Portunus trituberculatus
Abstract
1. Introduction
2. Results
2.1. Full-Length cDNA Sequence and Protein Structure Analysis of PTSMAD4
2.2. Multiple-Sequence Alignment and Phylogenetic Tree Analysis of PTSMAD4
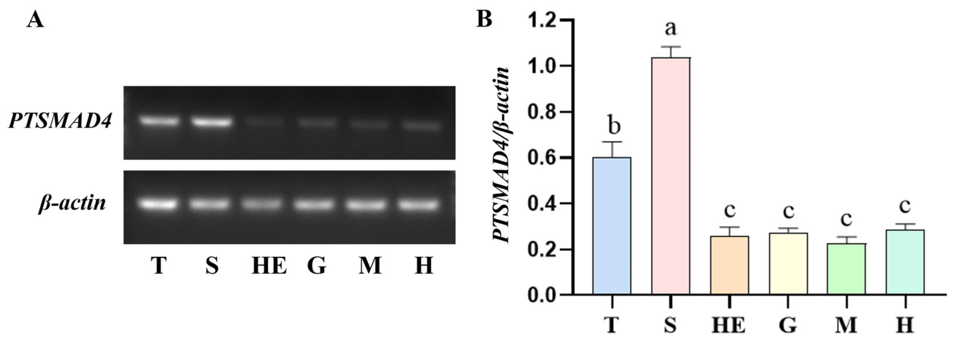
2.3. Expression Characteristics of PTSMAD4 mRNA in Various Tissues
2.4. Preparation and Specificity Testing of PTSMAD4 Antibody
2.5. Abundance and Distribution of PTSMAD4 in the Spermatogenesis of the Swimming Crab P. trituberculatus
2.6. Knockdown of PTSMAD4 In Vivo
2.6.1. Detection of Knockdown Efficiency
2.6.2. The Abundance and Distribution of PTSMAD4 in the Spermatogenesis of the Swimming Crab P. trituberculatus
2.7. The Abundance and Distribution of PTSMAD4 and PTSMAD2 in the Spermatogenesis of the Swimming Crab P. trituberculatus
2.8. Transcriptome Analysis
2.8.1. Differential Gene Expression Analysis
2.8.2. GO Enrichment Analysis
2.8.3. KEGG Enrichment Analysis
2.8.4. RT-qPCR Validation of RNA-Seq
3. Discussion
3.1. Structural Features and Expression Distribution of PTSMAD4
3.2. PTSMAD4 Collaborates with PTSMAD2 in Spermatogenesis
3.3. PTSMAD4 Participates in Gene Regulation and Signal Transduction in Spermatogenesis
4. Materials and Methods
4.1. Preparation of Animals and Samples
4.2. Extraction of Total RNA and Reverse Transcription to cDNA
4.3. Cloning of Full-Length cDNA Sequences
4.4. Semi-Quantitative PCR
4.5. Production of Specific Antibodies
4.5.1. Prokaryotic Expression
4.5.2. Antigen Immunization
4.5.3. Extraction of Total Protein
4.5.4. Western Blot (WB) Validation of Antibodies
4.6. Immunofluorescence
4.7. Preparation of dsRNA and In Vivo Interference in Swimming Crabs
4.7.1. Preparation of dsRNA
4.7.2. In Vivo Interference in Swimming Crabs
4.8. qPCR
4.9. Library Construction and Sequencing Dynabeads
5. Conclusions
Supplementary Materials
Author Contributions
Funding
Institutional Review Board Statement
Informed Consent Statement
Data Availability Statement
Acknowledgments
Conflicts of Interest
References
- Schulz, R.W.; de França, L.R.; Lareyre, J.J.; Le Gac, F.; Chiarini-Garcia, H.; Nobrega, R.H.; Miura, T. Spermatogenesis in fish. Gen. Comp. Endocrinol. 2010, 165, 390–411. [Google Scholar] [CrossRef] [PubMed]
- Breed, W.G. Evolution of the spermatozoon in muroid rodents. J. Morphol. 2005, 265, 271–290. [Google Scholar] [CrossRef] [PubMed]
- Koch, R.A.; Lambert, C.C. Ultrastructure of sperm, spermiogenesis, and sperm-egg interactions in selected invertebrates and lower vertebrates which use external fertilization. J. Electron Microsc. Tech. 1990, 16, 115–154. [Google Scholar] [CrossRef] [PubMed]
- Feng, T.; Paterson, B.; Johnston, S. A morphological study of the male reproductive tract, post-testicular acrosome maturation and spermatophore formation in the black tiger prawn (Penaeus monodon). J. Morphol. 2018, 279, 1290–1300. [Google Scholar] [CrossRef]
- Xie, X.; Tao, T.; Liu, M.; Zhou, Y.; Liu, Z.; Zhu, D. The potential role of juvenile hormone acid methyltransferase in methyl farnesoate (MF) biosynthesis in the swimming crab, Portunus trituberculatus. Anim. Reprod. Sci. 2016, 168, 40–49. [Google Scholar] [CrossRef]
- Ni, F.D.; Hao, S.L.; Yang, W.X. Multiple signaling pathways in Sertoli cells: Recent findings in spermatogenesis. Cell Death Dis. 2019, 10, 541. [Google Scholar] [CrossRef]
- Chen, K.Q.; Wei, B.H.; Hao, S.L.; Yang, W.X. The PI3K/AKT signaling pathway: How does it regulate development of Sertoli cells and spermatogenic cells? Histol. Histopathol. 2022, 37, 621–636. [Google Scholar] [PubMed]
- Kerr, G.E.; Young, J.C.; Horvay, K.; Abud, H.E.; Loveland, K.L. Regulated Wnt/beta-catenin signaling sustains adult spermatogenesis in mice. Biol. Reprod. 2014, 90, 3. [Google Scholar] [CrossRef]
- Damestoy, A.; Perrard, M.H.; Vigier, M.; Sabido, O.; Durand, P. Transforming growth factor beta-1 decreases the yield of the second meiotic division of rat pachytene spermatocytes in vitro. Reprod. Biol. Endocrinol. RBE 2005, 3, 22. [Google Scholar]
- Davies, E.L.; Lim, J.G.; Joo, W.J.; Tam, C.H.; Fuller, M.T. The transcriptional regulator lola is required for stem cell maintenance and germ cell differentiation in the Drosophila testis. Dev. Biol. 2013, 373, 310–321. [Google Scholar] [CrossRef]
- Wakefield, L.M.; Hill, C.S. Beyond TGFβ: Roles of other TGFβ superfamily members in cancer. Nat. Rev. Cancer 2013, 13, 328–341. [Google Scholar] [CrossRef]
- Macias, M.J.; Martin-Malpartida, P.; Massagué, J. Structural determinants of Smad function in TGF-β signaling. Trends Biochem. Sci. 2015, 40, 296–308. [Google Scholar] [CrossRef]
- Feng, X.H.; Derynck, R. Specificity and versatility in tgf-beta signaling through Smads. Annu. Rev. Cell Dev. Biol. 2005, 21, 659–693. [Google Scholar] [CrossRef]
- Savage, C.; Das, P.; Finelli, A.L.; Townsend, S.R.; Sun, C.Y.; Baird, S.E.; Padgett, R.W. Caenorhabditis elegans genes sma-2, sma-3, and sma-4 define a conserved family of transforming growth factor beta pathway components. Proc. Natl. Acad. Sci. 1996, 93, 790–794. [Google Scholar] [CrossRef]
- Yue, J.; Mulder, K.M. Transforming growth factor-beta signal transduction in epithelial cells. Pharmacol. Ther. 2001, 91, 1–34. [Google Scholar] [CrossRef]
- Sekelsky, J.J.; Newfeld, S.J.; Raftery, L.A.; Chartoff, E.H.; Gelbart, W.M. Genetic characterization and cloning of mothers against dpp, a gene required for decapentaplegic function in Drosophila melanogaster. Genetics 1995, 139, 1347–1358. [Google Scholar] [CrossRef]
- Azhar, M.; Runyan, R.B.; Gard, C.; Sanford, L.P.; Miller, M.L.; Andringa, A.; Pawlowski, S.; Rajan, S.; Doetschman, T. Ligand-specific function of transforming growth factor beta in epithelial-mesenchymal transition in heart development. Dev. Dyn. 2009, 238, 431–442. [Google Scholar] [CrossRef]
- Bartram, U.; Molin, D.G.; Wisse, L.J.; Mohamad, A.; Sanford, L.P.; Doetschman, T.; Speer, C.P.; Poelmann, R.E.; Gittenberger-de Groot, A.C. Double-outlet right ventricle and overriding tricuspid valve reflect disturbances of looping, myocardialization, endocardial cushion differentiation, and apoptosis in TGF-beta(2)-knockout mice. Circulation 2001, 103, 2745–2752. [Google Scholar] [CrossRef]
- Dorrington, J.H.; Bendell, J.J.; Khan, S.A. Interactions between FSH, estradiol-17 beta and transforming growth factor-beta regulate growth and differentiation in the rat gonad. J. Steroid Biochem. Mol. Biol. 1993, 44, 441–447. [Google Scholar] [CrossRef]
- Fang, X.; Nie, L.; Putluri, S.; Ni, N.; Bartholin, L.; Li, Q. Sertoli Cell-Specific Activation of Transforming Growth Factor Beta Receptor 1 Leads to Testicular Granulosa Cell Tumor Formation. Cells 2023, 12, 2717. [Google Scholar] [CrossRef]
- Droździk, M.; Kaczmarek, M.; Malinowski, D.; Broś, U.; Kazienko, A.; Kurzawa, R.; Kurzawski, M. TGFβ3 (TGFB3) polymorphism is associated with male infertility. Sci. Rep. 2015, 5, 17151. [Google Scholar] [CrossRef]
- Shibata, Y.; Paul-Prasanth, B.; Suzuki, A.; Usami, T.; Nakamoto, M.; Matsuda, M.; Nagahama, Y. Expression of gonadal soma derived factor (GSDF) is spatially and temporally correlated with early testicular differentiation in medaka. Gene Expr. Patterns GEP 2010, 10, 283–289. [Google Scholar] [CrossRef]
- Yang, T.; Wei, B.H.; Hao, S.L.; Wei, Y.L.; Yang, W.X. Bone morphogenetic protein 2 (BMP2) mediates spermatogenesis in Chinese mitten crab Eriocheir sinensis by regulating kinesin motor KIFC1 expression. Gene 2020, 754, 144848. [Google Scholar] [CrossRef]
- Liu, T.; Feng, X.H. Regulation of TGF-beta signalling by protein phosphatases. Biochem. J. 2010, 430, 191–198. [Google Scholar] [CrossRef]
- Wrighton, K.H.; Lin, X.; Feng, X.H. Phospho-control of TGF-beta superfamily signaling. Cell Res. 2009, 19, 8–20. [Google Scholar] [CrossRef]
- Xu, J.; Beyer, A.R.; Walker, W.H.; McGee, E.A. Developmental and stage-specific expression of Smad2 and Smad3 in rat testis. J. Androl. 2003, 24, 192–200. [Google Scholar] [CrossRef]
- Lagna, G.; Hata, A.; Hemmati-Brivanlou, A.; Massagué, J. Partnership between DPC4 and SMAD proteins in TGF-beta signalling pathways. Nature 1996, 383, 832–836. [Google Scholar] [CrossRef]
- Zhang, Y.; Feng, X.; We, R.; Derynck, R. Receptor-associated Mad homologues synergize as effectors of the TGF-beta response. Nature 1996, 383, 168–172. [Google Scholar] [CrossRef]
- Hoshino, Y.; Nishida, J.; Katsuno, Y.; Koinuma, D.; Aoki, T.; Kokudo, N.; Miyazono, K.; Ehata, S. Smad4 Decreases the Population of Pancreatic Cancer-Initiating Cells through Transcriptional Repression of ALDH1A1. Am. J. Pathol. 2015, 185, 1457–1470. [Google Scholar] [CrossRef]
- Wang, C.; Wu, Y.; Li, Y.; Zhang, Y.; Fung, Y.L.; Tong, K.K.; Lau, C.W.; Xiang, L.; Kwan, K.M.; You, L.R.; et al. Smad4-mediated angiogenesis facilitates the beiging of white adipose tissue in mice. iScience 2023, 26, 106272. [Google Scholar] [CrossRef]
- Tan, X.; Weng, T.; Zhang, J.; Wang, J.; Li, W.; Wan, H.; Lan, Y.; Cheng, X.; Hou, N.; Liu, H.; et al. Smad4 is required for maintaining normal murine postnatal bone homeostasis. J. Cell Sci. 2007, 120, 2162–2170. [Google Scholar] [CrossRef]
- Archambeault, D.R.; Yao, H.H. Loss of smad4 in Sertoli and Leydig cells leads to testicular dysgenesis and hemorrhagic tumor formation in mice. Biol. Reprod. 2014, 90, 62. [Google Scholar] [CrossRef] [PubMed]
- Xing, N.; Liang, Y.; Gao, Z.; He, J.; He, X.; Li, H.; Dong, C. Expression and localization of Smad2 and Smad4 proteins in the porcine ovary. Acta Histochem. 2014, 116, 1301–1306. [Google Scholar] [CrossRef] [PubMed]
- Zhang, X.J.; Wen, X.X.; Zhao, L.; He, J.P. Immunolocalization of Smad4 protein in the testis of domestic fowl (Gallus domesticus) during postnatal development. Acta Histochem. 2012, 114, 429–433. [Google Scholar] [CrossRef]
- Xiang, Q.M.; Chang, L.; Zhu, J.Q.; Mu, C.K.; Wang, C.L.; Hou, C.C. The function of the cytoplasmic dynein light chain PTKM23 in the transport of PTSMAD2 during spermatogenesis in Portunus trituberculatus. Biol. Reprod. 2024, 111, 942–958. [Google Scholar] [CrossRef]
- Shi, Y.; Wang, Y.F.; Jayaraman, L.; Yang, H.; Massagué, J.; Pavletich, N.P. Crystal structure of a Smad MH1 domain bound to DNA: Insights on DNA binding in TGF-beta signaling. Cell 1998, 94, 585–594. [Google Scholar] [CrossRef]
- Lo, R.S.; Chen, Y.G.; Shi, Y.; Pavletich, N.P.; Massagué, J. The L3 loop: A structural motif determining specific interactions between SMAD proteins and TGF-beta receptors. EMBO J. 1998, 17, 996–1005. [Google Scholar] [CrossRef]
- Kuang, C.; Chen, Y. Tumor-derived C-terminal mutations of Smad4 with decreased DNA binding activity and enhanced intramolecular interaction. Oncogene 2004, 23, 1021–1029. [Google Scholar] [CrossRef]
- Itman, C.; Loveland, K.L. SMAD expression in the testis: An insight into BMP regulation of spermatogenesis. Dev. Dyn. Off. Publ. Am. Assoc. Anat. 2008, 237, 97–111. [Google Scholar] [CrossRef] [PubMed]
- Zhang, X.J.; He, J.P.; Wen, X.X.; Zhao, L. Immunolocalisation and expression of Smad2 and Smad4 proteins in dog testis during postnatal development. Andrologia 2011, 43, 254–260. [Google Scholar] [CrossRef]
- Massagué, J.; Wotton, D. Transcriptional control by the TGF-beta/Smad signaling system. EMBO J. 2000, 19, 1745–1754. [Google Scholar] [CrossRef] [PubMed]
- Saka, Y.; Hagemann, A.I.; Piepenburg, O.; Smith, J.C. Nuclear accumulation of Smad complexes occurs only after the midblastula transition in Xenopus. Development 2007, 134, 4209–4218. [Google Scholar] [CrossRef][Green Version]
- Nong, J.; Shen, S.; Hong, F.; Xiao, F.; Meng, L.; Li, P.; Lei, X.; Chen, Y.G. Verteporfin inhibits TGF-β signaling by disrupting the Smad2/3-Smad4 interaction. Mol. Biol. Cell 2024, 35, ar95. [Google Scholar] [CrossRef] [PubMed]
- Attisano, L.; Wrana, J.L. Smads as transcriptional co-modulators. Curr. Opin. Cell Biol. 2000, 12, 235–243. [Google Scholar] [CrossRef]
- Abdurahman, A.; Du, X.; Yao, Y.; Sulaiman, Y.; Aniwashi, J.; Li, Q. Smad4 Feedback Enhances BMPR1B Transcription in Ovine Granulosa Cells. Int. J. Mol. Sci. 2019, 20, 2732. [Google Scholar] [CrossRef]
- Shi, A.D.; Zhao, L.M.; Sheng, G.L.; Zhang, G.N.; Tang, Y.C.; Li, K.S.; Zhang, Z.L. SMAD4 regulates the progression of cholangiocarcinoma by modulating the expression of STING1. J. Cell. Mol. Med. 2023, 27, 2547–2561. [Google Scholar] [CrossRef]
- Du, X.; Li, Q.; Yang, L.; Liu, L.; Cao, Q.; Li, Q. SMAD4 activates Wnt signaling pathway to inhibit granulosa cell apoptosis. Cell Death Dis. 2020, 11, 373. [Google Scholar] [CrossRef] [PubMed]
- Salcedo, E.C.; Winter, M.B.; Khuri, N.; Knudsen, G.M.; Sali, A.; Craik, C.S. Global Protease Activity Profiling Identifies HER2-Driven Proteolysis in Breast Cancer. ACS Chem. Biol. 2021, 16, 712–723. [Google Scholar] [CrossRef]
- Xiong, Y.; Yu, C.; Zhang, Q. Ubiquitin-Proteasome System-Regulated Protein Degradation in Spermatogenesis. Cells 2022, 11, 1058. [Google Scholar] [CrossRef]
- Freitas, M.J.; Vijayaraghavan, S.; Fardilha, M. Signaling mechanisms in mammalian sperm motility. Biol. Reprod. 2017, 96, 2–12. [Google Scholar]
- Jiao, H.; Chen, Y.; Han, T.; Pan, Q.; Gao, F.; Li, G. GGA1 participates in spermatogenesis in mice under stress. PeerJ 2023, 11, e15673. [Google Scholar] [CrossRef] [PubMed]
- Pereira, R.; Sá, R.; Barros, A.; Sousa, M. Major regulatory mechanisms involved in sperm motility. Asian J. Androl. 2017, 19, 5–14. [Google Scholar] [PubMed]
- Liang, Y.J.; Ni, J.H.; Wang, L.M.; Tan, F.Q.; Yang, W.X. KIF3A regulates the Wnt/β-catenin pathway via transporting β-catenin during spermatogenesis in Eriocheir sinensis. Cell Tissue Res. 2020, 381, 527–541. [Google Scholar] [CrossRef] [PubMed]
- Tinikul, Y.; Poljaroen, J.; Tinikul, R.; Anuracpreeda, P.; Chotwiwatthanakun, C.; Senin, N.; Poomtong, T.; Hanna, P.J.; Sobhon, P. Effects of gonadotropin-releasing hormones and dopamine on ovarian maturation in the pacific white shrimp, litopenaeus vannamei, and their presence in the ovary during ovarian development. Aquaculture 2014, 420–421, 79–88. [Google Scholar] [CrossRef]
- Senarai, T.; Saetan, J.; Tamtin, M.; Weerachatyanukul, W.; Sobhon, P.; Sretarugsa, P. Presence of gonadotropin-releasing hormone-like peptide in the central nervous system and reproductive organs of the male blue swimming crab, Portunus pelagicus, and its effect on spermatogenesis. Cell Tissue Res. 2016, 365, 265–277. [Google Scholar] [CrossRef]











| Primer | Sequence (5′-3′) | Purpose |
|---|---|---|
| PTSMAD4-F | CAAGTGTGACTCGGTGTGC | PCR-cloning |
| PTSMAD4-R | GCGGGATGGTGTGTAGAA | PCR-cloning |
| PTSMAD4-3′F1 | CCCTCCGTCACTGTGGATGGCTAT | 3′RACE |
| PTSMAD4-3′F2 | CTGAGCAGAGTGAGAGGGCAAGGC | 3′RACE |
| PTSMAD4-3′F3 | AAGGAAACCCCCTGCTGGATTGAG | 3′RACE |
| PTSMAD4-5′R1 | GACGGCACGGAGTCGGTGAAGAAT | 5′RACE |
| PTSMAD4-5′R2 | CGCTGAGGCGGAAACTGTCTGG | 5′RACE |
| PTSMAD4-5′R3 | GGGACACGACACGCTCATAGTGGTAG | 5′RACE |
| PTSMAD4-BF | CGTGCCATTGAAAGTCTCGTC | qPCR |
| PTSMAD4-BR | CCCACTCACCTCACACTCCATA | qPCR |
| β-actin-F | CATCAAGGAAAAGTTGTGCTACG | qPCR |
| β-actin-R | CCATACCCAGGAAGGAAGGC | qPCR |
| PTSMAD4-YF | CGCGGATCCCAGGTAGGGGAGACATTCAAGGT | Antibody |
| PTSMAD4-YR | CCGCTCGAGCTCAATCCAGCAGGGGGTT | Antibody |
| PTSMAD4-WF | GGAGTTCTGGTGTTCTATCGCA | RNAi |
| PTSMAD4-WR | GAGCGGGATGGTGTGTAAAAC | RNAi |
| PTSMAD4-dsT7F | TAATACGACTCACTATAGGGCTGTGGATGGCTATGTGGACCC | RNAi |
| PTSMAD4-dsR | TCAGGCGTAGGATACAGAGGCG | RNAi |
| PTSMAD4-dsF | CTGTGGATGGCTATGTGGACCC | RNAi |
| PTSMAD4-dsT7R | TAATACGACTCACTATAGGGTCAGGCGTAGGATACAGAGGCG | RNAi |
| PTSMAD4-qF | CTGAGCAGAGTGAGAGGGCA | qPCR |
| PTSMAD4-qR | AATACAGGCACACGGGTAAATC | qPCR |
| bdh-F | AACTTCAATGCTGCGACCCA | qPCR |
| bdh-R | GCTTGCCGTAATCAGACCTCAC | qPCR |
| Sod1-F | CCCTCCGTCACTGTGGATGGCTAT | qPCR |
| Sod1-R | CTGAGCAGAGTGAGAGGGCAAGGC | qPCR |
| PLD beta1-F | GACCCAGCACCCAAGCAT | qPCR |
| PLD beta1-R | CAAAGCCGCACTCACCCT | qPCR |
| ste20-F | CATCCTTACCGCTCGCTGG | qPCR |
| ste20-R | GAAAGTGTCGTCCCCGCA | qPCR |
| β-actin-F | CATCAAGGAAAAGTTGTGCTACG | qPCR |
| β-actin-R | CCATACCCAGGAAGGAAGGC | qPCR |
| mys-F | AGACCTCCTCTTTTGGCTTGC | qPCR |
| mys-R | GTGATGGCGTTGGTGCTGT | qPCR |
| CenG1A-F | TCTGGTCCAATGCCAATGTGA | qPCR |
| CenG1A-R | GGCTAAGAGCAGGGGTGTGAG | qPCR |
| Bbox1-F | CGTCCTAACCGATGCTCCC | qPCR |
| Bbox1-R | ACCCTTGCCCTCAAACTGTG | qPCR |
| Rab-35-F | AACGCTTCCGAACTATCACATC | qPCR |
| Rab-35-R | ACAGTCATTCTTATTCCCCACG | qPCR |
| Ago4-F | CCATCCACCAGGGGCTTCT | qPCR |
| Ago4-R | CTGCCGTGACGCAATCTCC | qPCR |
| mov10b.1-F | GGACCAGATGCTGATTCGCT | qPCR |
| mov10b.1-R | TTCTTCACCCACGCCACC | qPCR |
Disclaimer/Publisher’s Note: The statements, opinions and data contained in all publications are solely those of the individual author(s) and contributor(s) and not of MDPI and/or the editor(s). MDPI and/or the editor(s) disclaim responsibility for any injury to people or property resulting from any ideas, methods, instructions or products referred to in the content. |
© 2024 by the authors. Licensee MDPI, Basel, Switzerland. This article is an open access article distributed under the terms and conditions of the Creative Commons Attribution (CC BY) license (https://creativecommons.org/licenses/by/4.0/).
Share and Cite
Zhang, Y.; Xiang, Q.-M.; Mu, C.-K.; Wang, C.-L.; Hou, C.-C. Functional Study of PTSMAD4 in the Spermatogenesis of the Swimming Crab Portunus trituberculatus. Int. J. Mol. Sci. 2024, 25, 13126. https://doi.org/10.3390/ijms252313126
Zhang Y, Xiang Q-M, Mu C-K, Wang C-L, Hou C-C. Functional Study of PTSMAD4 in the Spermatogenesis of the Swimming Crab Portunus trituberculatus. International Journal of Molecular Sciences. 2024; 25(23):13126. https://doi.org/10.3390/ijms252313126
Chicago/Turabian StyleZhang, Yu, Qiu-Meng Xiang, Chang-Kao Mu, Chun-Lin Wang, and Cong-Cong Hou. 2024. "Functional Study of PTSMAD4 in the Spermatogenesis of the Swimming Crab Portunus trituberculatus" International Journal of Molecular Sciences 25, no. 23: 13126. https://doi.org/10.3390/ijms252313126
APA StyleZhang, Y., Xiang, Q.-M., Mu, C.-K., Wang, C.-L., & Hou, C.-C. (2024). Functional Study of PTSMAD4 in the Spermatogenesis of the Swimming Crab Portunus trituberculatus. International Journal of Molecular Sciences, 25(23), 13126. https://doi.org/10.3390/ijms252313126
