Morphometric, Biomechanical and Histologic Assessment of Physiologic Ovine Cervical Intervertebral Disc: An Experimental Study and Brief Literature Review
Abstract
1. Introduction
2. Results
2.1. Morphometric Assessment
2.2. Biomechanical Assessment
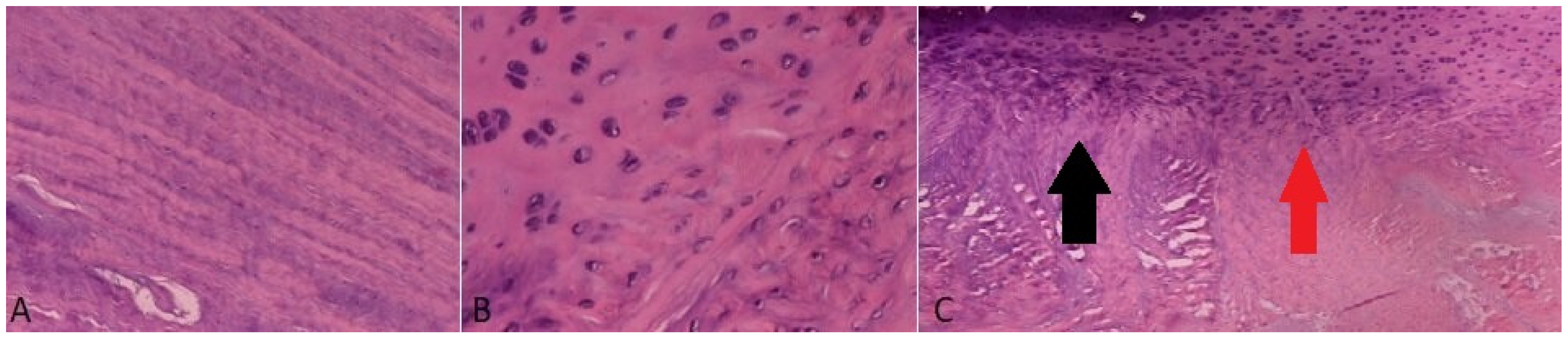
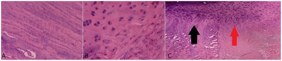
2.3. Histological Assessment
3. Discussion
4. Materials and Methods
4.1. Sample Preparation and Documentations
4.2. Morphometric and Biomechanical Evaluation
4.3. Histological Evaluation
4.4. Statistical Analysis
Author Contributions
Funding
Institutional Review Board Statement
Informed Consent Statement
Data Availability Statement
Conflicts of Interest
References
- Gkantsinikoudis, N.; Kapetanakis, S.; Magras, I.; Tsiridis, E.; Kritis, A. Tissue Engineering of Human Intervertebral Disc: A Concise Review. Tissue Eng. Part B Rev. 2022, 28, 848–860. [Google Scholar] [CrossRef] [PubMed]
- Kos, N.; Gradisnik, L.; Velnar, T. A brief review of the degenerative intervertebral disc disease. Med. Arch. 2019, 73, 421. [Google Scholar] [CrossRef] [PubMed]
- Wilson, R.L.; Bowen, L.; Kim, W.; Cai, L.; Schneider, S.E.; Nauman, E.A.; Neu, C.P. In vivo intervertebral disc deformation: Intratissue strain patterns within adjacent discs during flexion-extension. Sci. Rep. 2021, 11, 729. [Google Scholar] [CrossRef] [PubMed]
- Hong, J.Y.; Kim, H.; Jeon, W.J.; Lee, J.; Yeo, C.; Lee, Y.J.; Ha, I.H. Epigenetic Changes within the Annulus Fibrosus by DNA Methylation in Rat Intervertebral Disc Degeneration Model. Cells 2022, 11, 3547. [Google Scholar] [CrossRef]
- Gullbrand, S.E.; Smith, L.J.; Smith, H.E.; Mauck, R.L. Promise, progress, and problems in whole disc tissue engineering. JOR Spine 2018, 1, e1015. [Google Scholar] [CrossRef]
- Daentzer, D.; Welke, B.; Hurschler, C.; Husmann, N.; Jansen, C.; Flamme, C.H.; Richter, B.I. In vitro-analysis of kinematics and intradiscal pressures in cervical arthroplasty versus fusion—A biomechanical study in a sheep model with two semi-constrained prosthesis. BioMed. Eng. OnLine 2015, 14, 27. [Google Scholar] [CrossRef]
- Tsitsopoulos, P.P.; Tsonidis, C.; Papaioannou, N.; Venizelos, I.; Psalla, D.; Dessiris, A.; Tsitsopoulos, P. Intraoperative facet joint injury during anterior cervical discectomy and fusion: An experimental study. J. Neurosurg. Spine 2007, 7, 429–434. [Google Scholar] [CrossRef]
- Yu, C.C.; Hao, D.J.; Huang, D.G.; Qian, L.X.; Feng, H.; Li, H.K.; Zhao, S.C. Biomechanical Analysis of a Novel Prosthesis Based on the Physiological Curvature of Endplate for Cervical Disc Replacement. PLoS ONE 2016, 11, e0158234. [Google Scholar] [CrossRef]
- Reitmaier, S.; Graichen, F.; Shirazi-Adl, A.; Schmidt, H. Separate the Sheep from the Goats: Use and Limitations of Large Animal Models in Intervertebral Disc Research. J. Bone Jt. Surg. 2017, 99, e102. [Google Scholar] [CrossRef]
- Deml, M.C.; Benneker, L.M.; Schmid, T.; Sakai, D.; Albers, C.E.; Hoppe, S.; Zeiter, S. Ventral Surgical Approach for an Intervertebral Disc Degeneration and Regeneration Model in Sheep Cervical Spine: Anatomic Technical Description, Strengths and Limitations. Vet. Comp. Orthop. Traumatol. 2019, 32, 389–393. [Google Scholar] [CrossRef]
- Lee, N.N.; Salzer, E.; Bach, F.C.; Bonilla, A.F.; Cook, J.L.; Gazit, Z.; Grad, S.; Ito, K.; Smith, L.J.; Vernengo, A.; et al. A comprehensive tool box for large animal studies of intervertebral disc degeneration. JOR Spine 2021, 4, e1162. [Google Scholar] [CrossRef] [PubMed]
- Yu, C.C.; Hao, D.J.; Ma, Y.L.; Huang, D.G.; Li, H.K.; Feng, H.; Hou, Q. The Role of Posterior Longitudinal Ligament in Cervical Disc Replacement: An Ovine Cadaveric Biomechanical Analysis. Med. Sci. Monit. 2016, 22, 1843–1849. [Google Scholar] [CrossRef] [PubMed]
- Kandziora, F.; Pflugmacher, R.; Scholz, M.; Eindorf, T.; Schnake, K.J.; Haas, N.P. Bioabsorbable interbody cages in a sheep cervical spine fusion model. Spine 2004, 29, 1845–1856. [Google Scholar] [CrossRef] [PubMed]
- Lee, M.Y.; Chang, G.L.; Chang, J.H.; Hung, Y.C.; Chang, C.H.; Lee, E.J. Biomechanical evaluation of cervical spine fixation after healing in a destabilized cervical spine model in sheep: A comparison of the anterior plating and posterior wiring techniques. J. Trauma Acute Care Surg. 2006, 60, 1307–1314. [Google Scholar] [CrossRef]
- Lyons, A.S.; Sherman, B.P.; Puttlitz, C.M.; Patel, V.V.; Abjornson, C.; Turner, A.S.; Seim, H.B.; Burger, E.L., 3rd; Lindley, E.M. Failure of resorbable plates and screws in an ovine model of anterior cervical discectomy and fusion. Spine J. 2011, 11, 876–883. [Google Scholar] [CrossRef]
- Bass, E.C.; Nau, W.H.; Diederich, C.J.; Liebenberg, E.; Shu, R.; Pellegrino, R.; Sutton, J.; Attawia, M.; Hu, S.S.; Ferrier, W.T.; et al. Intradiscal thermal therapy does not stimulate biologic remodeling in an in vivo sheep model. Spine 2006, 31, 139–145. [Google Scholar] [CrossRef]
- Stieber, J.R.; Quirno, M.; Kang, M.; Valdevit, A.; Errico, T.J. The facet joint loading profile of a cervical intervertebral disc replacement incorporating a novel saddle-shaped articulation. J. Spinal Disord. Tech. 2011, 24, 432–436. [Google Scholar] [CrossRef]
- Kong, D.; Zheng, T.; Fang, J.; Li, X. Apoptosis of endplate chondrocytes in post-laminectomy cervical kyphotic deformity: An in vivo animal model in sheep. Eur. Spine J. 2013, 22, 1576–1582. [Google Scholar] [CrossRef][Green Version]
- Kandziora, F.; Bail, H.; Schmidmaier, G.; Schollmeier, G.; Scholz, M.; Knispel, C.; Hiller, T.; Pflugmacher, R.; Mittlmeier, T.; Raschke, M.; et al. Bone morphogenetic protein-2 application by a poly(D,L-lactide)-coated interbody cage: In vivo results of a new carrier for growth factors. J. Neurosurg. 2022, 97, 40–48. [Google Scholar] [CrossRef]
- Goldschlager, T.; Ghosh, P.; Zannettino, A.; Gronthos, S.; Rosenfeld, J.V.; Itescu, S.; Jenkin, G. Cervical motion preservation using mesenchymal progenitor cells and pentosan polysulfate, a novel chondrogenic agent: Preliminary study in an ovine model. Neurosurg. Focus 2010, 28, E4. [Google Scholar] [CrossRef]
- Sheng, S.R.; Wang, X.Y.; Xu, H.Z.; Zhu, G.Q.; Zhou, Y.F. Anatomy of large animal spines and its comparison to the human spine: A systematic review. Eur. Spine J. 2010, 19, 46–56. [Google Scholar] [CrossRef] [PubMed]
- Kandziora, F.; Pflugmacher, R.; Scholz, M.; Schnake, K.; Lucke, M.; Schröder, R.; Mittlmeier, T. Comparison between sheep and human cervical spines: An anatomic, radiographic, bone mineral density, and biomechanical study. Spine 2001, 26, 1028–1037. [Google Scholar] [CrossRef] [PubMed]
- Cain, C.C.; Fraser, R.D. Bony and vascular anatomy of the normal cervical spine in the sheep. Spine 1995, 20, 759–765. [Google Scholar] [CrossRef] [PubMed]
- Wilke, H.J.; Kettler, A.; Wenger, K.H.; Claes, L.E. Anatomy of the sheep spine and its comparison to the human spine. Anat. Rec. 1998, 247, 542–555. [Google Scholar] [CrossRef]
- Derrouiche, A.; Feki, F.; Zaïri, F.; Taktak, R.; Moulart, M.; Qu, Z.; Ismail, J.; Charfi, S.; Haddar, N.; Zaïri, F. How pre-strain affects the chemo-torsional response of the intervertebral disc. Clin. Biomech. 2020, 76, 105020. [Google Scholar] [CrossRef]
- Wilke, H.J.; Kettler, A.; Claes, L.E. Are sheep spines a valid biomechanical model for human spines? Spine 1997, 22, 2365–2374. [Google Scholar] [CrossRef]
- Gleizes, V.; Viguier, E.; Féron, J.M.; Canivet, S.; Lavaste, F. Effects of freezing on the biomechanics of the intervertebral disc. Surg. Radiol. Anat. 1998, 20, 403–407. [Google Scholar] [CrossRef]
- Long, R.G.; Zderic, I.; Gueorguiev, B.; Ferguson, S.J.; Alini, M.; Grad, S.; Iatridis, J.C. Effects of Level, Loading Rate, Injury and Repair on Biomechanical Response of Ovine Cervical Intervertebral Discs. Ann. Biomed. Eng. 2018, 46, 1911–1920. [Google Scholar] [CrossRef]
- Derrouiche, A.; Zaouali, A.; Zaïri, F.; Ismail, J.; Chaabane, M.; Qu, Z.; Zaïri, F. Osmo-inelastic response of the intervertebral disc. Proc. Inst. Mech. Eng. Part H 2019, 233, 332–341. [Google Scholar] [CrossRef]
- Feki, F.; Taktak, R.; Kandil, K.; Derrouiche, A.; Moulart, M.; Haddar, N.; Zaïri, F.; Zaïri, F. How Osmoviscoelastic Coupling Affects Recovery of Cyclically Compressed Intervertebral Disc. Spine 2020, 45, E1376–E1385. [Google Scholar] [CrossRef]
- Kolf, A.K.; Hesper, T.; Schleich, C.; Hosalkar, H.S.; Jankowiak, S.; Cacchi, C.; Antoch, G.; Zilkens, C.; Krauspe, R.; Bittersohl, B. T2* mapping of ovine intervertebral discs: Normative data for cervical and lumbar spine. J. Orthop. Res. 2016, 34, 717–724. [Google Scholar] [CrossRef] [PubMed]
- Newell, N.; Little, J.P.; Christou, A.; Adams, M.A.; Adam, C.J.; Masouros, S.D. Biomechanics of the human intervertebral disc: A review of testing techniques and results. J. Mech. Behav. Biomed. Mater. 2017, 69, 420–434. [Google Scholar] [CrossRef] [PubMed]
- Johannessen, W.; Cloyd, J.M.; O’Connell, G.D.; Vresilovic, E.J.; Elliott, D.M. Trans-endplate nucleotomy increases deformation and creep response in axial loading. Ann. Biomed. Eng. 2006, 34, 687–696. [Google Scholar] [CrossRef] [PubMed]
- Koch, C.; Kandziora, F.; Huenigen, H.; Plendl, J. Histological evaluation of the sheep’s cervical spine segment 3/4--a histomorphological and histomorphometrical study. Anat. Histol. Embryol. 2008, 37, 200–204. [Google Scholar] [CrossRef]
- European Medicines Agency. Guideline on Quality, Nonclinical and Clinical Requirements for Investigational Advanced Therapy Medicinal Products in Clinical Trials; EMA/CAT/852602/20185; Committee for Advanced Therapies (CAT): Amsterdam, The Netherlands, 2019.
- Song, J.; Solmi, M.; Carvalho, A.F.; Shin, J.I.; Ioannidis, J.P. Twelve years after the ARRIVE guidelines: Animal research has not yet arrived at high standards. Lab. Anim. 2024, 58, 109–115. [Google Scholar] [CrossRef]
- Costi, J.J.; Ledet, E.H.; O’Connell, G.D. Spine biomechanical testing methodologies: The controversy of consensus vs scientific evidence. JOR Spine 2021, 4, e1138. [Google Scholar] [CrossRef]








| Parameter | Overall Data Mean ± SD (95% CI) | Range | C3–C4 (Mean ± SD) | C4–C5 (Mean ± SD) | C5–C6 (Mean ± SD) | p Value (Shapiro–Wilk Test) | |
|---|---|---|---|---|---|---|---|
| Measurement (mm) | |||||||
| AP | 24.4 ± 2.6 (22.4–26.4) | 21.0–29.0 | 22.3 ± 1.5 | 24.3 ± 2.1 | 26.7 ± 2.5 | 0.808 | |
| T | 24.4 ± 2.1 (22.8–26.1) | 22.0–28.0 | 22.7 ± 0.6 | 24.0 ± 1.0 | 26.7 ± 2.3 | 0.049 | |
| ADH | 7.1 ± 2.0 (5.6–8.7) | 4.0–10.0 | 5.0 ± 1.0 | 7.3 ± 1.5 | 9.0 ± 1.0 | 0.779 | |
| PDH | 6.6 ± 1.3 (5.5–7.6) | 5.0–9.0 | 5.3 ± 0.6 | 6.3 ± 0.6 | 8.0 ± 1.0 | 0.407 | |
| RDH | 7.7 ± 0.7 (7.1–8.2) | 7.0–9.0 | 7.3 ± 0.6 | 7.7 ± 0.6 | 8.0 ± 1.0 | 0.023 | |
| LDH | 7.4 ± 0.9 (6.8–8.1) | 6.0–9.0 | 7.3 ± 0.6 | 7.0 ± 1.0 | 8.0 ± 1.0 | 0.337 | |
| Authors | Year | Sample Characteristics | Breed (Age) | Comparative Sample | Measurement Methods | Conclusions |
|---|---|---|---|---|---|---|
| Cain and Fraser [23] | 1995 | Total cervical spine specimens (n = 7) | Merino (2 years) | (-) | Not specified | Ovine cervical spine anatomy is comparable to humans. |
| Wilke et al. [24] | 1998 | Total spine specimens (n = 5) | Merino (3–4 years) | (-) | Hand-held micrometer Goniometer | Ovine spine features significant similarities with those of humans regarding thoracic and lumbar spine anatomy, with specific limitations for cervical spine. |
| Kandziora et al. [22] | 2001 | Total cervical spine specimens (n = 20) | Merino (2 years) | Total human cervical spine specimens (n = 20) | Digital ruler Goniometer | Sheep cervical spine features favorable comparability with those of humans, constituting a valid model for cervical spine research. |
| Authors | Year | Sample Features | Breed (Age) | Outcome Measures | Evaluation Methods | Conclusions |
|---|---|---|---|---|---|---|
| Wilke et al. [26] | 1997 | Total spine specimens (n = 14) | Merino (4-year old) | ROM Neutral zone Stiffness quotient | Three-dimensional goniometric spine tester | Ovine spine features remarkable similarities with human, rendering it a satisfactory selection model for spinal implant assessment. |
| Gleizes et al. [27] | 1998 | Entire spine segment specimens (n = 19) | Not specified (2-year old) | Amplitude and rigidity in flexion/extension and lateral inclination | Experimental “2-TM” setup | Ovine spine segments freezing at −18 °C does not alter their biomechanical features, being a reliable method for specimen preservation prior analysis. |
| Long et al. [28] | 2018 | Cervical spine segment specimens (n = 45) | Swiss Alpine (2–5 years old) | Torque range Torsional stiffness Axial ROM Compliance | Servo-hydraulic material testing system (MiniBionix II 858, MTS Systems Corp., Eden Prairie, MN, USA) | Segment level, loading frequency and potential disc injury considerably influence ovine cervical IVD behavior. |
| Derrouiche et al. [29] | 2019 | Cervical spine segment specimens (n = 18) | Not specified (8–10 months) | Load–displacement curves (tension, compression and torsion) under various NaCl concentrations | Displacement-controlled universal axial testing machine (Instron-5500) Angle-controlled universal torsion testing machine (Instron-8874) | Torsional stiffness was observed to be chemically independent in contrast to compression and tension, advocating for the chemo-mechanical coupling of ovine cervical IVD. |
| Derrouiche et al. [25] | 2020 | Cervical spine segment specimens (n = 15) | Not specified (12 ± 1 months) | Axial and torsional responses with or without pre-strain under various NaCl concetrations | Universal testing machine (Instron-8874) | Pre-strain significantly affects the interactions between torsional response and the internal osmotic pressure of ovine cervical IVD. |
| Feki et al. [30] | 2020 | Cervical spine segment specimens (n = 8) | Not specified (1–2 years) | Effect of a normal axial cyclic compression on viscoelastic properties of cervical IVD | Universal axial testing machine (Instron-5500) | Compressive cyclic loading and surrounding osmotic conditions remarkably affect the viscoelastic behavior of ovine cervical IVD. |
Disclaimer/Publisher’s Note: The statements, opinions and data contained in all publications are solely those of the individual author(s) and contributor(s) and not of MDPI and/or the editor(s). MDPI and/or the editor(s) disclaim responsibility for any injury to people or property resulting from any ideas, methods, instructions or products referred to in the content. |
© 2024 by the authors. Licensee MDPI, Basel, Switzerland. This article is an open access article distributed under the terms and conditions of the Creative Commons Attribution (CC BY) license (https://creativecommons.org/licenses/by/4.0/).
Share and Cite
Gkantsinikoudis, N.; Koltsakidis, S.; Prodromou, P.; Aggelidou, E.; Kapetanakis, S.; Tsiridis, E.; Magras, I.; Psalla, D.; Kazakos, G.; Tzetzis, D.; et al. Morphometric, Biomechanical and Histologic Assessment of Physiologic Ovine Cervical Intervertebral Disc: An Experimental Study and Brief Literature Review. Int. J. Mol. Sci. 2024, 25, 12579. https://doi.org/10.3390/ijms252312579
Gkantsinikoudis N, Koltsakidis S, Prodromou P, Aggelidou E, Kapetanakis S, Tsiridis E, Magras I, Psalla D, Kazakos G, Tzetzis D, et al. Morphometric, Biomechanical and Histologic Assessment of Physiologic Ovine Cervical Intervertebral Disc: An Experimental Study and Brief Literature Review. International Journal of Molecular Sciences. 2024; 25(23):12579. https://doi.org/10.3390/ijms252312579
Chicago/Turabian StyleGkantsinikoudis, Nikolaos, Savvas Koltsakidis, Panagiotis Prodromou, Eleni Aggelidou, Stylianos Kapetanakis, Eleftherios Tsiridis, Ioannis Magras, Dimitra Psalla, George Kazakos, Dimitrios Tzetzis, and et al. 2024. "Morphometric, Biomechanical and Histologic Assessment of Physiologic Ovine Cervical Intervertebral Disc: An Experimental Study and Brief Literature Review" International Journal of Molecular Sciences 25, no. 23: 12579. https://doi.org/10.3390/ijms252312579
APA StyleGkantsinikoudis, N., Koltsakidis, S., Prodromou, P., Aggelidou, E., Kapetanakis, S., Tsiridis, E., Magras, I., Psalla, D., Kazakos, G., Tzetzis, D., & Kritis, A. (2024). Morphometric, Biomechanical and Histologic Assessment of Physiologic Ovine Cervical Intervertebral Disc: An Experimental Study and Brief Literature Review. International Journal of Molecular Sciences, 25(23), 12579. https://doi.org/10.3390/ijms252312579

