Genome-Wide Association Study and Marker Development for Fusarium Oxysporum Root Rot Resistance in Soybean
Abstract
1. Introduction
2. Results
2.1. Evaluation of Resistance to FORR in 356 Soybean Germplasm356 Soybean Germplasm Accessions
2.2. Quality Control, Distribution of SNPS, and Linkage Disequilibrium Decay
2.3. Genome-Wide Association Analysis and Candidate Gene Prediction Associated with FORR Resistance
2.4. Candidate Gene Association Analysis and Identification
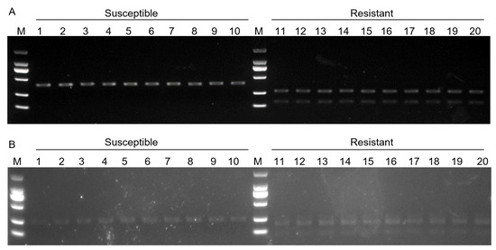
2.5. Development of CAPS Markers for FORR Resistance in Soybean
2.6. KASP Markers for FORR Resistance in Soybean
3. Discussion
4. Materials and Methods
4.1. Plant Materials and F. oxysporum Isolates
4.2. Production of the Inoculum and Inoculation Procedure
4.3. Resistance Evaluation in Greenhouse
4.4. Genotypic Data
4.5. Population Structure Evaluation and Linkage Disequilibrium Analysis
4.6. Genome-Wide Association Study
4.7. Identification of Candidate Genes and qRT-PCR Assay
4.8. Development of CAPS and KASP Molecular Markers
5. Conclusions
Supplementary Materials
Author Contributions
Funding
Institutional Review Board Statement
Informed Consent Statement
Data Availability Statement
Conflicts of Interest
References
- Chang, X.L.; Dai, H.; Wang, D.P.; Zhou, H.H.; He, W.Q.; Fu, Y.; Ibrahim, F.; Zhou, Y.; Gong, G.S.; Shang, J.; et al. Identification of Fusarium species associated with soybean root rot in Sichuan Province, China. Eur. J. Plant Pathol. 2018, 151, 563–577. [Google Scholar] [CrossRef]
- Jiang, Y.; Haudenshield, J.; Hartman, G. Characterization of Pythium spp. from soil samples in Illinois. Can. J. Plant Pathol. 2012, 34, 448–454. [Google Scholar] [CrossRef]
- Giachero, M.L.; Declerck, S.; Marquez, N. Phytophthora root rot: Importance of the disease, current and novel methods of control. Agronomy 2022, 12, 610. [Google Scholar] [CrossRef]
- Ajayi-Oyetunde, O.O.; Bradley, C.A. Identification and Characterization of Rhizoctonia Species Associated with Soybean Seedling Disease. Plant Dis. 2017, 101, 520–533. [Google Scholar] [CrossRef]
- Díaz Arias, M.M.; Leandro, L.F.; Munkvold, G.P. Aggressiveness of Fusarium Species and Impact of Root Infection on Growth and Yield of Soybeans. Phytopathology 2013, 103, 822–832. [Google Scholar] [CrossRef]
- Di Pietro, A.; Madrid, M.P.; Caracuel, Z.; Delgado-Jarana, J.; Roncero, M.I.G. Fusarium oxysporum: Exploring the molecular arsenal of a vascular wilt fungus. Mol. Plant Pathol. 2003, 4, 315–325. [Google Scholar] [CrossRef]
- Rana, A.; Sahgal, M.; Johri, B.N. Fusarium oxysporum: Genomics, Diversity and Plant–Host Interaction. In Developments in Fungal Biology and Applied Mycology; Satyanarayana, T., Deshmukh, S.K., Johri, B.N., Eds.; Springer: Singapore, 2017; pp. 159–199. [Google Scholar] [CrossRef]
- Edel-Hermann, V.; Lecomte, C. Current status of Fusarium oxysporum Formae Speciales and races. Phytopathology 2019, 109, 512–530. [Google Scholar] [CrossRef]
- Dean, R.; Van Kan, J.A.L.; Pretorius, Z.A.; Hammond-Kosack, K.E.; Di Pietro, A.; Spanu, P.D.; Rudd, J.J.; Dickman, M.; Kahmann, R.; Ellis, J.; et al. The Top 10 fungal pathogens in molecular plant pathology. Mol. Plant Pathol. 2012, 13, 414–430. [Google Scholar] [CrossRef]
- De Sain, M.; Rep, M. The role of pathogen-secreted proteins in fungal vascular wilt diseases. Int. J. Mol. Sci. 2015, 16, 23970–23993. [Google Scholar] [CrossRef]
- Thatcher, L.F.; Kidd, B.N.; Kazan, K. Belowground Defence Strategies Against Fusarium oxysporum. In Belowground Defence Strategies in Plants; Vos, C.M.F., Kazan, K., Eds.; Springer International Publishing: Cham, Switzerland, 2016; Part II, pp. 71–98. [Google Scholar] [CrossRef]
- Ellis, M.L.; Jimenez, D.R.C.; Leandro, L.F.; Munkvold, G.P. Genotypic and Phenotypic Characterization of Fungi in the Fusarium oxysporum Species Complex from Soybean Roots. Phytopathology 2014, 104, 1329–1339. [Google Scholar] [CrossRef]
- Chang, H.-X.; Lipka, A.E.; Domier, L.L.; Hartman, G.L. Characterization of Disease Resistance Loci in the USDA Soybean Germplasm Collection Using Genome-Wide Association Studies. Phytopathology 2016, 106, 1139–1151. [Google Scholar] [CrossRef] [PubMed]
- Sestili, S.; Polverari, A.; Luongo, L.; Ferrarini, A.; Scotton, M.; Hussain, J.; Delledonne, M.; Ficcadenti, N.; Belisario, A. Distinct colonization patterns and cDNA-AFLP transcriptome profiles in compatible and incompatible interactions between melon and different races of Fusarium oxysporum f. sp. melonis. BMC Genom. 2011, 12, 1–21. [Google Scholar] [CrossRef] [PubMed][Green Version]
- Zhu, Q.-H.; Stephen, S.; Kazan, K.; Jin, G.; Fan, L.; Taylor, J.; Dennis, E.S.; Helliwell, C.A.; Wang, M.-B. Characterization of the defense transcriptome responsive to Fusarium oxysporum-infection in Arabidopsis using RNA-seq. Gene 2013, 512, 259–266. [Google Scholar] [CrossRef] [PubMed]
- Li, C.; Shao, J.; Wang, Y.; Li, W.; Guo, D.; Yan, B.; Xia, Y.; Peng, M. Analysis of banana transcriptome and global gene expression profiles in banana roots in response to infection by race 1 and tropical race 4 of Fusarium oxysporum f. sp. cubense. BMC Genom. 2013, 14, 1–16. [Google Scholar] [CrossRef]
- Rairdin, A.; Fotouhi, F.; Zhang, J.; Mueller, D.S.; Ganapathysubramanian, B.; Singh, A.K.; Dutta, S.; Sarkar, S.; Singh, A. Deep learning-based phenotyping for genome wide association studies of sudden death syndrome in soybean. Front. Plant Sci. 2022, 13, 966244. [Google Scholar] [CrossRef]
- Jianan, Z.; Li, W.; Zhang, Y.; Song, W.; Jiang, H.; Zhao, J.; Zhan, Y.; Teng, W.; Qiu, L.; Zhao, X.; et al. Identification of glutathione transferase gene associated with partial resistance to Sclerotinia stem rot of soybean using genome-wide association and linkage mapping. Theor. Appl. Genet. 2021, 134, 2699–2709. [Google Scholar] [CrossRef]
- Liu, Q.; Hobbs, H.A.; Domier, L.L. Genome-wide association study of the seed transmission rate of soybean mosaic virus and associated traits using two diverse population panels. Theor. Appl. Genet. 2019, 132, 3413–3424. [Google Scholar] [CrossRef]
- Li, L.; Guo, N.; Niu, J.; Wang, Z.; Cui, X.; Sun, J.; Zhao, T.; Xing, H. Loci and candidate gene identification for resistance to Phytophthora sojae via association analysis in soybean [Glycine max (L.) Merr.]. Mol. Genet. Genom. 2016, 291, 1095–1103. [Google Scholar] [CrossRef]
- Zhang, C.; Zhao, X.; Qu, Y.; Teng, W.; Qiu, L.; Zheng, H.; Wang, Z.; Han, Y.; Li, W. Loci and candidate genes in soybean that confer resistance to Fusarium graminearum. Theor. Appl. Genet. 2018, 132, 431–441. [Google Scholar] [CrossRef]
- Okello, P.; Solanki, S.; Rafi, N.; Mathew, F.M. Sources of Resistance, Effect of Maturity Groups, and Marker-Trait Associ-ations Associated with Fusarium graminearum Causing Root Rot of Soybean (Glycine max). Plant Health Prog. 2023, 24, 411–415. [Google Scholar] [CrossRef]
- Sang, Y.; Liu, X.; Yuan, C.; Yao, T.; Li, Y.; Wang, D.; Zhao, H.; Wang, Y. Genome-wide association study on resistance of cultivated soybean to Fusarium oxysporum root rot in Northeast China. BMC Plant Biol. 2023, 23, 1–17. [Google Scholar] [CrossRef] [PubMed]
- Jia, Q.; Zhou, M.; Xiong, Y.; Wang, J.; Xu, D.; Zhang, H.; Liu, X.; Zhang, W.; Wang, Q.; Sun, X.; et al. Development of KASP markers assisted with soybean drought tolerance in the germination stage based on GWAS. Front. Plant Sci. 2024, 15, 1352379. [Google Scholar] [CrossRef] [PubMed]
- Li, Y.; Liu, X.; Deng, W.; Liu, J.; Fang, Y.; Liu, Y.; Ma, T.; Zhang, Y.; Xue, Y.; Tang, X.; et al. Fine Mapping the Soybean Mosaic Virus Resistance Gene in Soybean Cultivar Heinong 84 and Development of CAPS Markers for Rapid Identification. Viruses 2022, 14, 2533. [Google Scholar] [CrossRef] [PubMed]
- Tian, Y.; Liu, B.; Shi, X.; Reif, J.C.; Guan, R.; Li, Y.-H.; Qiu, L.-J. Deep genotyping of the gene GmSNAP facilitates pyramiding resistance to cyst nematode in soybean. Crop. J. 2019, 7, 677–684. [Google Scholar] [CrossRef]
- Nissan, N.; Hooker, J.; Pattang, A.; Charette, M.; Morrison, M.; Yu, K.; Hou, A.; Golshani, A.; Molnar, S.J.; Cober, E.R.; et al. Novel QTL for Low Seed Cadmium Accumulation in Soybean. Plants 2022, 11, 1146. [Google Scholar] [CrossRef]
- Li, L.; Lin, F.; Wang, W.; Ping, J.; Fitzgerald, J.C.; Zhao, M.; Li, S.; Sun, L.; Cai, C.; Ma, J. Fine mapping and candidate gene analysis of two loci conferring resistance to Phytophthora sojae in soybean. Theor. Appl. Genet. 2016, 129, 2379–2386. [Google Scholar] [CrossRef]
- Jun, T.-H.; Mian, M.A.R.; Kang, S.-T.; Michel, A.P. Genetic mapping of the powdery mildew resistance gene in soybean PI 567301B. Theor. Appl. Genet. 2012, 125, 1159–1168. [Google Scholar] [CrossRef]
- Sun, Y.; Yang, H.; Li, J. Transcriptome analysis reveals the response mechanism of frl-mediated resistance to Fusarium oxysporum f. sp. radicis-lycopersici (FORL) infection in tomato. Int. J. Mol. Sci. 2022, 23, 7078. [Google Scholar] [CrossRef]
- Liu, Y.; Chen, Y.; Jiang, H.; Shui, Z.; Zhong, Y.; Shang, J.; Yang, H.; Sun, X.; Du, J. Genome-wide characterization of soybean RALF genes and their expression responses to Fusarium oxysporum. Front. Plant Sci. 2022, 13, 1006028. [Google Scholar] [CrossRef]
- Yang, Z.; Chi, Y.; Cui, Y.; Wang, Z.; Hu, D.; Yang, H.; Bhat, J.A.; Wang, H.; Kan, G.; Yu, D. Ectopic expression of GmRNF1a encoding a soybean E3 ubiquitin ligase affects Arabidopsis silique development and dehiscence. Planta 2022, 255, 55. [Google Scholar] [CrossRef]
- Li, B.; Peng, J.; Wu, Y.; Hu, Q.; Huang, W.; Yuan, Z.; Tang, X.; Cao, D.; Xue, Y.; Luan, X.; et al. Identification of an important QTL for seed oil content in soybean. Mol. Breed. 2023, 43, 1–12. [Google Scholar] [CrossRef] [PubMed]
- Zhou, Y.; Yang, Y.; Zhou, X.; Chi, Y.; Fan, B.; Chen, Z. Structural and Functional Characterization of the VQ Protein Family and VQ Protein Variants from Soybean. Sci. Rep. 2016, 6, 34663. [Google Scholar] [CrossRef] [PubMed]
- Mendel, R.R.; HaÈnsch, R. Molybdoenzymes and molybdenum cofactor in plants. J. Exp. Bot. 2002, 53, 1689–1698. [Google Scholar] [CrossRef] [PubMed]
- Lu, Y.; Li, Y.; Zhang, J.; Xiao, Y.; Yue, Y.; Duan, L.; Zhang, M.; Li, Z. Overexpression of Arabidopsis Molybdenum Cofactor Sulfurase Gene Confers Drought Tolerance in Maize (Zea mays L.). PLoS ONE 2013, 8, e52126. [Google Scholar] [CrossRef]
- Li, Y.; Zhang, J.; Zhang, J.; Hao, L.; Hua, J.; Duan, L.; Zhang, M.; Li, Z. Expression of an Arabidopsis molybdenum cofactor sulphurase gene in soybean enhances drought tolerance and increases yield under field conditions. Plant Biotechnol. J. 2013, 11, 747–758. [Google Scholar] [CrossRef]
- Chen, L.; Xu, Z.; Huang, J.; Shu, H.; Hui, Y.; Zhu, D.; Wu, Y.; Dong, S.; Wu, Z. Plant immunity suppressor SKRP encodes a novel RNA-binding protein that targets exon 3′ end of unspliced RNA. New Phytol. 2023, 240, 1467–1483. [Google Scholar] [CrossRef]
- Butt, H.; Bazin, J.; Prasad, K.V.; Awad, N.; Crespi, M.; Reddy, A.S.; Mahfouz, M.M. The rice serine/arginine splicing factor RS33 regulates pre-mRNA splicing during abiotic stress responses. Cells 2022, 11, 1796. [Google Scholar] [CrossRef]
- Shavrukov, Y. CAPS Markers in Plant Biology. Russ. J. Genet. Appl. Res. 2016, 6, 279–287. [Google Scholar] [CrossRef]
- Dipta, B.; Sood, S.; Mangal, V.; Bhardwaj, V.; Thakur, A.K.; Kumar, V.; Singh, B. KASP: A high-throughput genotyping system and its applications in major crop plants for biotic and abiotic stress tolerance. Mol. Biol. Rep. 2024, 51, 1–16. [Google Scholar] [CrossRef]
- Shu, Y.; Li, Y.; Zhu, Z.; Bai, X.; Cai, H.; Ji, W.; Guo, D.; Zhu, Y. SNPs discovery and CAPS marker conversion in soybean. Mol. Biol. Rep. 2010, 38, 1841–1846. [Google Scholar] [CrossRef]
- Pradhan, A.K.; Budhlakoti, N.; Mishra, D.C.; Prasad, P.; Bhardwaj, S.C.; Sareen, S.; Sivasamy, M.; Jayaprakash, P.; Geetha, M.; Nisha, R.; et al. Identification of Novel QTLs/Defense Genes in Spring Wheat Germplasm Panel for Seedling and Adult Plant Resistance to Stem Rust and Their Validation Through KASP Marker Assays. Plant Dis. 2023, 107, 1847–1860. [Google Scholar] [CrossRef] [PubMed]
- Swisher Grimm, K.D.; Porter, L.D. Development and Validation of KASP Markers for the Identification of Pea seedborne mosaic virus Pathotype P1 Resistance in Pisum sativum. Plant Dis. 2020, 104, 1824–1830. [Google Scholar] [CrossRef] [PubMed]
- Cao, Y.; Diao, Q.; Chen, Y.; Jin, H.; Zhang, Y.; Zhang, H. Development of KASP Markers and Identification of a QTL Underlying Powdery Mildew Resistance in Melon (Cucumis melo L.) by Bulked Segregant Analysis and RNA-Seq. Front. Plant Sci. 2021, 11, 593207. [Google Scholar] [CrossRef] [PubMed]
- Cheng, P.; Gedling, C.R.; Patil, G.; Vuong, T.D.; Shannon, J.G.; Dorrance, A.E.; Nguyen, H.T. Genetic mapping and haplotype analysis of a locus for quantitative resistance to Fusarium graminearum in soybean accession PI 567516C. Theor. Appl. Genet. 2017, 130, 999–1010. [Google Scholar] [CrossRef]
- Tran, D.T.; Steketee, C.J.; Boehm Jr, J.D.; Noe, J.; Li, Z. Genome-wide association analysis pinpoints additional major genomic regions conferring resistance to soybean cyst nematode (Heterodera glycines Ichinohe). Front. Plant Sci. 2019, 10, 401. [Google Scholar] [CrossRef]
- Zhang, L.; Geng, X.; Wang, C.; Li, Y. Identification and virulence of Fusarium spp. Causing soybean root rot in Heilongjiang Province. Plant Prot. 2014, 40, 165–168. [Google Scholar] [CrossRef]
- Han, Y.; Zhao, X.; Cao, G.; Wang, Y.; Li, Y.; Liu, D.; Teng, W.; Zhang, Z.; Li, D.; Qiu, L.; et al. Genetic characteristics of soybean resistance to HG type 0 and HG type 1.2.3.5.7 of the cyst nematode analyzed by genome-wide association mapping. BMC Genom. 2015, 16, 1–11. [Google Scholar] [CrossRef]
- Lipka, A.E.; Tian, F.; Wang, Q.; Peiffer, J.; Li, M.; Bradbury, P.J.; Gore, M.A.; Buckler, E.S.; Zhang, Z. GAPIT: Genome association and prediction integrated tool. Bioinformatics 2012, 28, 2397–2399. [Google Scholar] [CrossRef]
- Bradbury, P.J.; Zhang, Z.; Kroon, D.E.; Casstevens, T.M.; Ramdoss, Y.; Buckler, E.S. TASSEL: Software for association mapping of complex traits in diverse samples. Bioinformatics 2007, 23, 2633–2635. [Google Scholar] [CrossRef]
- Wang, J.; Zhang, Z. GAPIT Version 3: Boosting Power and Accuracy for Genomic Association and Prediction. Genom. Proteom. Bioinform. 2021, 19, 629–640. [Google Scholar] [CrossRef]
- Wang, K.; Li, M.; Hakonarson, H. ANNOVAR: Functional annotation of genetic variants from high-throughput sequencing data. Nucleic Acids Res. 2010, 38, e164. [Google Scholar] [CrossRef] [PubMed]
- Cheng, Y.; Ma, Q.; Ren, H.; Xia, Q.; Song, E.; Tan, Z.; Li, S.; Zhang, G.; Nian, H. Fine mapping of a Phytophthora-resistance gene RpsWY in soybean (Glycine max L.) by high-throughput genome-wide sequencing. Theor. Appl. Genet. 2017, 130, 1041–1051. [Google Scholar] [CrossRef] [PubMed]







| DSI | Type of Reaction | SGAs | Percentage (%) |
|---|---|---|---|
| DSI = 0 | Immune, I | 0 | 0.0 |
| 0 < DSI ≤ 10 | High Resistant, HR | 19 | 5.3 |
| 10 < DSI ≤ 20 | Medium Resistant, MR | 96 | 27.0 |
| 20 < DSI ≤ 30 | Medium Susceptible, MS | 114 | 32.0 |
| 30 < DSI ≤ 60 | Susceptible, S | 120 | 33.7 |
| DSI ≥ 60 | High Susceptible, HS | 7 | 2.0 |
| SNP | Chr. | Position (bp) | Alleles | Candidate Genes | Region |
|---|---|---|---|---|---|
| S07_19078765 | 7 | 19,078,765 | G/T | Glyma.07G155300 | upstream |
| S09_45842672 | 9 | 45,842,672 | A/G | Glyma.09G235800 | upstream |
| S15_50447372 | 15 | 50,447,372 | C/T | Glyma.15G268100 | 3′UTR |
| S15_50452626 | 15 | 50,452,626 | C/A | Glyma.15G268200 | 3′UTR |
| S15_50482172 | 15 | 50,482,172 | A/G | Glyma.15G268300 | upstream |
| S15_50486939 | 15 | 50,486,939 | C/A | Glyma.15G268400 | 3′UTR |
Disclaimer/Publisher’s Note: The statements, opinions and data contained in all publications are solely those of the individual author(s) and contributor(s) and not of MDPI and/or the editor(s). MDPI and/or the editor(s) disclaim responsibility for any injury to people or property resulting from any ideas, methods, instructions or products referred to in the content. |
© 2024 by the authors. Licensee MDPI, Basel, Switzerland. This article is an open access article distributed under the terms and conditions of the Creative Commons Attribution (CC BY) license (https://creativecommons.org/licenses/by/4.0/).
Share and Cite
Wang, Y.; Han, J.; Meng, X.; Sun, M.; Qu, S.; Liu, Y.; Li, Y.; Zhan, Y.; Teng, W.; Li, H.; et al. Genome-Wide Association Study and Marker Development for Fusarium Oxysporum Root Rot Resistance in Soybean. Int. J. Mol. Sci. 2024, 25, 12573. https://doi.org/10.3390/ijms252312573
Wang Y, Han J, Meng X, Sun M, Qu S, Liu Y, Li Y, Zhan Y, Teng W, Li H, et al. Genome-Wide Association Study and Marker Development for Fusarium Oxysporum Root Rot Resistance in Soybean. International Journal of Molecular Sciences. 2024; 25(23):12573. https://doi.org/10.3390/ijms252312573
Chicago/Turabian StyleWang, Yuhe, Jinfeng Han, Xiangkun Meng, Maolin Sun, Shuo Qu, Yuanyuan Liu, Yongguang Li, Yuhang Zhan, Weili Teng, Haiyan Li, and et al. 2024. "Genome-Wide Association Study and Marker Development for Fusarium Oxysporum Root Rot Resistance in Soybean" International Journal of Molecular Sciences 25, no. 23: 12573. https://doi.org/10.3390/ijms252312573
APA StyleWang, Y., Han, J., Meng, X., Sun, M., Qu, S., Liu, Y., Li, Y., Zhan, Y., Teng, W., Li, H., Zhao, X., & Han, Y. (2024). Genome-Wide Association Study and Marker Development for Fusarium Oxysporum Root Rot Resistance in Soybean. International Journal of Molecular Sciences, 25(23), 12573. https://doi.org/10.3390/ijms252312573

