Photocrosslinkable Biomaterials for 3D Bioprinting: Mechanisms, Recent Advances, and Future Prospects
Abstract
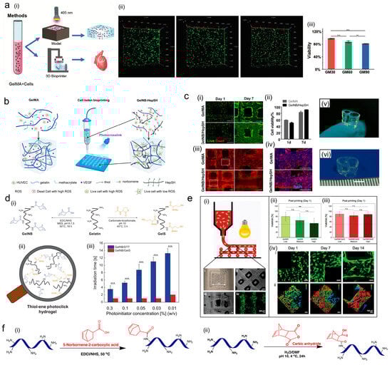
1. Introduction
2. The Major 3D Bioprinting Technologies
2.1. Extrusion-Based 3D Bioprinting
2.2. Inkjet 3D Bioprinting
2.3. Stereolithography 3D Bioprinting
2.4. Laser-Assisted 3D Bioprinting
3. Photocrosslinking Reaction
3.1. Free Radical Chain-Growth Polymerization
3.2. Thiol-Ene Polymerization
3.3. Redox Photocrosslinking
3.4. Photoinitiator
4. Biomaterials for Light-Based 3D Bioprinting
4.1. Natural Materials
4.1.1. Collagen

4.1.2. Gelatin
4.1.3. Hyaluronic Acid

4.1.4. Alginate
4.1.5. Silk Fibroin

4.1.6. Decellularized Extracellular Matrix
4.2. Synthetic Materials
4.2.1. Polyethylene Glycol
4.2.2. Pluronic F127
4.2.3. Polyvinyl Alcohol
4.3. Biocompatibility, Degradation, and Applications
5. Conclusions and Future Perspectives
5.1. Cell Survival
5.2. Development of Crosslinking System
5.3. In Vivo Bioprinting
5.4. Clinical Conversion
Author Contributions
Funding
Conflicts of Interest
References
- Caprio, N.D.; Davidson, M.D.; Daly, A.C.; Burdick, J.A. Injectable MSC Spheroid and Microgel Granular Composites for Engineering Tissue. Adv. Mater. 2024, 36, e2312226. [Google Scholar] [CrossRef] [PubMed]
- Qiu, C.; Sun, Y.; Li, J.; Zhou, J.; Xu, Y.; Qiu, C.; Yu, K.; Liu, J.; Jiang, Y.; Cui, W.; et al. A 3D-Printed Dual Driving Forces Scaffold with Self-Promoted Cell Absorption for Spinal Cord Injury Repair. Adv. Sci. 2023, 10, e2301639. [Google Scholar] [CrossRef]
- Wu, X.; Zhu, H.; Song, C.; Tan, Q.; Zhao, Y.; Shang, L. Breadmaking-Inspired Antioxidant Porous Yeast Microcarriers for Stem Cell Delivery in Diabetic Wound Treatment. Adv. Mater. 2024, 36, e2309719. [Google Scholar] [CrossRef] [PubMed]
- Masri, S.; Zawani, M.; Zulkiflee, I.; Salleh, A.; Fadilah, N.I.M.; Maarof, M.; Wen, A.P.Y.; Duman, F.; Tabata, Y.; Abd Aziz, I.; et al. Cellular Interaction of Human Skin Cells towards Natural Bioink via 3D-Bioprinting Technologies for Chronic Wound: A Comprehensive Review. Int. J. Mol. Sci. 2022, 23, 476. [Google Scholar] [CrossRef] [PubMed]
- Zhou, Z.; Liu, J.; Xiong, T.; Liu, Y.; Tuan, R.S.; Li, Z.A. Engineering Innervated Musculoskeletal Tissues for Regenerative Orthopedics and Disease Modeling. Small 2024, 20, e2310614. [Google Scholar] [CrossRef]
- Yaneva, A.; Shopova, D.; Bakova, D.; Mihaylova, A.; Kasnakova, P.; Hristozova, M.; Semerdjieva, M. The Progress in Bioprinting and Its Potential Impact on Health-Related Quality of Life. Bioengineering 2023, 10, 910. [Google Scholar] [CrossRef]
- Kumar, V.; Packirisamy, G. 3D porous sodium alginate-silk fibroin composite bead based in vitro tumor model for screening of anti-cancer drug and induction of magneto-apoptosis. Int. J. Biol. Macromol. 2023, 242, 124827. [Google Scholar] [CrossRef]
- Li, S.; Jin, J.; Zhang, C.; Yang, X.; Liu, Y.; Lei, P.; Hu, Y. 3D bioprinting vascular networks in suspension baths. Appl. Mater. Today 2023, 30, 101729. [Google Scholar] [CrossRef]
- Mi, H.Y.; Jing, X.; Salick, M.R.; Turng, L.S.; Peng, X.F. Fabrication of thermoplastic polyurethane tissue engineering scaffold by combining microcellular injection molding and particle leaching. J. Mater. Res. 2014, 29, 911–922. [Google Scholar] [CrossRef]
- Lv, Y.; Chen, X.H.; Zhang, P.C.; Zhou, S.Y.; Li, J.F.; Bai, R.Q.; Wang, L. Hydrophilic shape memory polymer hydrogels with virous pore structures and shape changing performance. Polym. Adv. Technol. 2022, 33, 3532–3539. [Google Scholar] [CrossRef]
- Maniglio, D.; Bonani, W.; Migliaresi, C.; Motta, A. Silk fibroin porous scaffolds by N O foaming. J. Biomat. Sci. Polym. E 2018, 29, 491–506. [Google Scholar] [CrossRef] [PubMed]
- Chen, Y.W.; Li, R.; Li, B.; Li, K.; Hao, Y. A controlled light-induced gas-foaming porous hydrogel with adhesion property for infected wound healing. Int. J. Biol. Macromol. 2024, 261, 129751. [Google Scholar] [CrossRef] [PubMed]
- Zhang, L.; Du, H.Y.; Wang, J.Y.; Zhou, T.; Guo, J.K.; Li, X.K.; Yu, S.H. Gas foaming guided fabrication of hydrogel beads with controlled phase and porous structure for durable and highly efficient solar-powered water purification. Chem. Eng. J. 2023, 473, 145338. [Google Scholar] [CrossRef]
- Salimi, E.; Asim, M.H.; Abidin, M.N.Z. Investigating the in-vitro bioactivity, biodegradability and drug release behavior of the newly developed PES/HA/WS biocompatible nanocomposites as bone graft substitute. Sci. Rep. 2024, 14, 10798. [Google Scholar] [CrossRef]
- Wang, Z.X.; Wang, H.; Xiong, J.J.; Li, J.H.; Miao, X.M.; Lan, X.Z.; Liu, X.J.; Wang, W.L.; Cai, N.A.; Tang, Y.D. Fabrication and evaluation of PCL/gelatin hierarchical scaffolds based on melt electrospinning writing and solution electrospinning for bone regeneration. Mater. Sci. Eng. C Mater. Biol. Appl. 2021, 128, 112287. [Google Scholar] [CrossRef]
- Perez-Puyana, V.; Villanueva, P.; Jiménez-Rosado, M.; de la Portilla, F.; Romero, A. Incorporation of Elastin to Improve Polycaprolactone-Based Scaffolds for Skeletal Muscle via Electrospinning. Polymers 2021, 13, 1501. [Google Scholar] [CrossRef]
- You, F.; Wu, X.; Chen, X.B. 3D printing of porous alginate/gelatin hydrogel scaffolds and their mechanical property characterization. Int. J. Polym. Mater. Polym. 2017, 66, 299–306. [Google Scholar] [CrossRef]
- Thompson, B.R.; Horozov, T.S.; Stoyanov, S.D.; Paunov, V.N. Hierarchically porous composites fabricated by hydrogel templating and viscous trapping techniques. Mater. Des. 2018, 137, 384–393. [Google Scholar] [CrossRef]
- Hawkins, A.M.; Milbrandt, T.A.; Puleo, D.A.; Hilt, J.Z. Composite hydrogel scaffolds with controlled pore opening via biodegradable hydrogel porogen degradation. J. Biomed. Mater. Res. A 2014, 102, 400–412. [Google Scholar] [CrossRef]
- Zhang, M.; Wan, Y.; Wen, Y.X.; Li, C.T.; Kanwal, A. A novel Poly(vinyl alcohol)/carboxymethyl cellulose/yeast double degradable hydrogel with yeast foaming and double degradable property. Ecotoxicol. Environ. Saf. 2020, 187, 109765. [Google Scholar] [CrossRef]
- Dang, Q.F.; Yan, J.Q.; Li, J.J.; Cheng, X.J.; Liu, C.S.; Chen, X.G. Controlled gelation temperature, pore diameter and degradation of a highly porous chitosan-based hydrogel. Carbohyd. Polym. 2011, 83, 171–178. [Google Scholar] [CrossRef]
- Kantaros, A.; Ganetsos, T. From Static to Dynamic: Smart Materials Pioneering Additive Manufacturing in Regenerative Medicine. Int. J. Mol. Sci. 2023, 24, 15748. [Google Scholar] [CrossRef] [PubMed]
- Gariboldi, M.I.; Best, S.M. Effect of ceramic scaffold architectural parameters on biological response. Front. Bioeng. Biotech. 2015, 3, 151. [Google Scholar] [CrossRef] [PubMed]
- Wu, S.L.; Liu, X.M.; Yeung, K.W.K.; Liu, C.S.; Yang, X.J. Biomimetic porous scaffolds for bone tissue engineering. Mat. Sci. Eng. R 2014, 80, 1–36. [Google Scholar] [CrossRef]
- Fiedler, T.; Belova, I.V.; Murch, G.E.; Poologasundarampillai, G.; Jones, J.R.; Roether, J.A.; Boccaccini, A.R. A comparative study of oxygen diffusion in tissue engineering scaffolds. J. Mater. Sci. Mater. Med. 2014, 25, 2573–2578. [Google Scholar] [CrossRef]
- Mohanty, S.; Sanger, K.; Heiskanen, A.; Trifol, J.; Szabo, P.; Dufva, M.; Emnéus, J.; Wolff, A. Fabrication of scalable tissue engineering scaffolds with dual-pore microarchitecture by combining 3D printing and particle leaching. Mater. Sci. Eng. C Mater. Biol. Appl. 2016, 61, 180–189. [Google Scholar] [CrossRef]
- Kim, W.; Kim, G.H. Highly bioactive cell-laden hydrogel constructs bioprinted using an emulsion bioink for tissue engineering applications. Biofabrication 2022, 14, 045018. [Google Scholar] [CrossRef]
- Ahn, G.; Park, J.H.; Kang, T.; Lee, J.W.; Kang, H.W.; Cho, D.W. Effect of Pore Architecture on Oxygen Diffusion in 3D Scaffolds for Tissue Engineering. J. Biomech. Eng. 2010, 132, 104506. [Google Scholar] [CrossRef]
- Zhang, Q.; Xu, H.X.; Wu, C.; Shang, Y.H.; Wu, Q.; Wei, Q.C.; Sun, Y.; Wang, Q.G. Tissue Fluid Triggered Enzyme Polymerization for Ultrafast Gelation and Cartilage Repair. Angew. Chem. Int. Edit. 2021, 60, 19982–19987. [Google Scholar] [CrossRef]
- Qiao, Y.S.; Liu, X.Z.; Zhou, X.C.; Zhang, H.B.; Zhang, W.; Xiao, W.; Pan, G.Q.; Cui, W.G.; Santos, H.A.; Shi, Q. Gelatin Templated Polypeptide Co-Cross-Linked Hydrogel for Bone Regeneration. Adv. Healthc. Mater. 2020, 9, 1901239. [Google Scholar] [CrossRef]
- Wang, J.H.; Tsai, C.W.; Tsai, N.Y.; Chiang, C.Y.; Lin, R.S.; Pereira, R.F.; Li, Y.C.E. An injectable, dual crosslinkable hybrid pectin methacrylate (PECMA)/gelatin methacryloyl (GelMA) hydrogel for skin hemostasis applications. Int. J. Biol. Macromol. 2021, 185, 441–450. [Google Scholar] [CrossRef] [PubMed]
- Zhu, L.; Chen, J.J.; Mao, X.; Tang, S.Q. A γ-PGA/KGM-based injectable hydrogel as immunoactive and antibacterial wound dressing for skin wound repair. Mat. Sci. Eng. C Mater. 2021, 129, 112374. [Google Scholar] [CrossRef] [PubMed]
- Zhang, Y.S.; Dolatshahi-Pirouz, A.; Orive, G. Regenerative cell therapy with 3D bioprinting. Science 2024, 385, 604–606. [Google Scholar] [CrossRef]
- Zhu, G.; Houck, H.A.; Spiegel, C.A.; Selhuber-Unkel, C.; Hou, Y.; Blasco, E. Introducing Dynamic Bonds in Light-based 3D Printing. Adv. Funct. Mater. 2023, 34, 2300456. [Google Scholar] [CrossRef]
- Jiang, W.C.; Hsu, W.Y.; Ao-Ieong, W.S.; Wang, C.Y.; Wang, J.; Yet, S.F. A novel engineered vascular construct of stem cell-laden 3D-printed PGSA scaffold enhances tissue revascularization. Biofabrication 2021, 13, 045004. [Google Scholar] [CrossRef]
- Vijayavenkataraman, S.; Yan, W.C.; Lu, W.F.; Wang, C.H.; Fuh, J.Y.H. 3D bioprinting of tissues and organs for regenerative medicine. Adv. Drug Deliv. Rev. 2018, 132, 296–332. [Google Scholar] [CrossRef]
- Kantaros, A.; Ganetsos, T.; Petrescu, F.I.T. Transforming Object Design and Creation: Biomaterials and Contemporary Manufacturing Leading the Way. Biomimetics 2024, 9, 48. [Google Scholar] [CrossRef]
- Gao, G.; Ahn, M.; Cho, W.W.; Kim, B.S.; Cho, D.W. 3D Printing of Pharmaceutical Application: Drug Screening and Drug Delivery. Pharmaceutics 2021, 13, 1373. [Google Scholar] [CrossRef]
- Tan, D.K.; Maniruzzaman, M.; Nokhodchi, A. Advanced Pharmaceutical Applications of Hot-Melt Extrusion Coupled with Fused Deposition Modelling (FDM) 3D Printing for Personalised Drug Delivery. Pharmaceutics 2018, 10, 203. [Google Scholar] [CrossRef]
- Afsana; Jain, V.; Haider, N.; Jain, K. 3D Printing in Personalized Drug Delivery. Curr. Pharm. Des. 2018, 24, 5062–5071. [Google Scholar] [CrossRef]
- Gong, Z.Y.; Huang, L.X.; Tang, X.; Chen, K.K.; Wu, Z.H.; Zhang, L.L.; Sun, Y.; Xia, Y.; Chen, H.; Wei, Y.C.; et al. Acoustic Droplet Printing Tumor Organoids for Modeling Bladder Tumor Immune Microenvironment within a Week. Adv. Healthc. Mater. 2021, 10, 2101312. [Google Scholar] [CrossRef] [PubMed]
- Molley, T.G.; Jalandhra, G.K.; Nemec, S.R.; Tiffany, A.S.; Patkunarajah, A.; Poole, K.; Harley, B.A.C.; Hung, T.T.; Kilian, K.A. Heterotypic tumor models through freeform printing into photostabilized granular microgels. Biomater. Sci. 2021, 9, 4496–4509. [Google Scholar] [CrossRef] [PubMed]
- Gebeyehu, A.; Surapaneni, S.K.; Huang, J.; Mondal, A.; Wang, V.Z.; Haruna, N.F.; Bagde, A.; Arthur, P.; Kutlehria, S.; Patel, N.; et al. Polysaccharide hydrogel based 3D printed tumor models for chemotherapeutic drug screening. Sci. Rep. 2021, 11, 372. [Google Scholar] [CrossRef] [PubMed]
- Raees, S.; Ullah, F.; Javed, F.; Akil, H.M.; Jadoon Khan, M.; Safdar, M.; Din, I.U.; Alotaibi, M.A.; Alharthi, A.I.; Bakht, M.A.; et al. Classification, processing, and applications of bioink and 3D bioprinting: A detailed review. Int. J. Biol. Macromol. 2023, 232, 123476. [Google Scholar] [CrossRef]
- Tan, L.; Huyan, C.; Wang, Y.; Li, M.; Liu, D.; Liu, M.; Luo, Z.; Cai, K.; Hu, Y. Mechanically Robust Hemostatic Hydrogel Membranes with Programmable Strain-Adaptive Microdomain Entanglement for Wound Treatment in Dynamic Tissues. ACS Nano 2024, 18, 8360–8382. [Google Scholar] [CrossRef]
- Shen, S.; Shen, J.; Shen, H.; Wu, C.; Chen, P.; Wang, Q. Dual-Enzyme Crosslinking and Post-polymerization for Printing of Polysaccharide-Polymer Hydrogel. Front. Chem. 2020, 8, 36. [Google Scholar] [CrossRef]
- Wu, Z.; Li, Q.; Xie, S.; Shan, X.; Cai, Z. In vitro and in vivo biocompatibility evaluation of a 3D bioprinted gelatin-sodium alginate/rat Schwann-cell scaffold. Mater. Sci. Eng. C Mater. Biol. Appl. 2020, 109, 110530. [Google Scholar] [CrossRef]
- Li, B.; Zhang, L.; Yin, Y.; Chen, A.; Seo, B.R.; Lou, J.; Mooney, D.J.; Weitz, D.A. Stiff hydrogel encapsulation retains mesenchymal stem cell stemness for regenerative medicine. Matter 2024, 7, 3447–3468. [Google Scholar] [CrossRef]
- Huang, Z.; Xiao, X.; Jiang, X.; Yang, S.; Niu, C.; Yang, Y.; Yang, L.; Li, C.; Feng, L. Preparation and evaluation of a temperature-responsive methylcellulose/polyvinyl alcohol hydrogel for stem cell encapsulation. Polym. Test. 2023, 119, 107936. [Google Scholar] [CrossRef]
- Xiao, X.; Yang, Y.; Lai, Y.; Huang, Z.; Li, C.; Yang, S.; Niu, C.; Yang, L.; Feng, L. Customization of an Ultrafast Thiol-Norbornene Photo-Cross-Linkable Hyaluronic Acid-Gelatin Bioink for Extrusion-Based 3D Bioprinting. Biomacromolecules 2023, 24, 5414–5427. [Google Scholar] [CrossRef]
- He, C.F.; Sun, Y.; Liu, N.; Yu, K.; Qian, Y.; He, Y. Formation Theory and Printability of Photocurable Hydrogel for 3D Bioprinting. Adv. Funct. Mater. 2023, 33, 2301209. [Google Scholar] [CrossRef]
- He, J.; Sun, Y.; Gao, Q.; He, C.; Yao, K.; Wang, T.; Xie, M.; Yu, K.; Nie, J.; Chen, Y.; et al. Gelatin Methacryloyl Hydrogel, from Standardization, Performance, to Biomedical Application. Adv. Healthc. Mater. 2023, 12, e2300395. [Google Scholar] [CrossRef] [PubMed]
- Huang, B.; Hu, D.; Dong, A.; Tian, J.; Zhang, W. Highly Antibacterial and Adhesive Hyaluronic Acid Hydrogel for Wound Repair. Biomacromolecules 2022, 23, 4766–4777. [Google Scholar] [CrossRef] [PubMed]
- Huang, K.; Liu, W.; Wei, W.; Zhao, Y.; Zhuang, P.; Wang, X.; Wang, Y.; Hu, Y.; Dai, H. Photothermal Hydrogel Encapsulating Intelligently Bacteria-Capturing Bio-MOF for Infectious Wound Healing. ACS Nano 2022, 16, 19491–19508. [Google Scholar] [CrossRef]
- Soriente, A.; Amodio, S.P.; Fasolino, I.; Raucci, M.G.; Demitri, C.; Engel, E.; Ambrosio, L. Chitosan/PEGDA based scaffolds as bioinspired materials to control in vitro angiogenesis. Mater. Sci. Eng. C Mater. Biol. Appl. 2021, 118, 111420. [Google Scholar] [CrossRef]
- Algahtani, M.S.; Mohammed, A.A.; Ahmad, J. Extrusion-Based 3D Printing for Pharmaceuticals: Contemporary Research and Applications. Curr. Pharm. Des. 2018, 24, 4991–5008. [Google Scholar] [CrossRef]
- Quodbach, J.; Bogdahn, M.; Breitkreutz, J.; Chamberlain, R.; Eggenreich, K.; Elia, A.G.; Gottschalk, N.; Gunkel-Grabole, G.; Hoffmann, L.; Kapote, D.; et al. Quality of FDM 3D Printed Medicines for Pediatrics: Considerations for Formulation Development, Filament Extrusion, Printing Process and Printer Design. Ther. Innov. Regul. Sci. 2022, 56, 910–928. [Google Scholar] [CrossRef]
- Jiang, Z.; Diggle, B.; Tan, M.L.; Viktorova, J.; Bennett, C.W.; Connal, L.A. Extrusion 3D Printing of Polymeric Materials with Advanced Properties. Adv. Sci. 2020, 7, 2001379. [Google Scholar] [CrossRef]
- Placone, J.K.; Engler, A.J. Recent Advances in Extrusion-Based 3D Printing for Biomedical Applications. Adv. Healthc. Mater. 2018, 7, 1701161. [Google Scholar] [CrossRef]
- Liu, Z.B.; Bhandari, B.; Prakash, S.; Mantihal, S.; Zhang, M. Linking rheology and printability of a multicomponent gel system of carrageenan-xanthan-starch in extrusion based additive manufacturing. Food Hydrocoll. 2019, 87, 413–424. [Google Scholar] [CrossRef]
- Xiao, X.; Jiang, X.; Yang, S.J.; Lu, Z.Y.; Niu, C.; Xu, Y.; Huang, Z.W.; Kang, Y.J.; Feng, L. Solvent evaporation induced fabrication of porous polycaprolactone scaffold via low-temperature 3D printing for regeneration medicine researches. Polymer 2021, 217, 123436. [Google Scholar] [CrossRef]
- Barreiro Carpio, M.; Gonzalez Martinez, E.; Dabaghi, M.; Ungureanu, J.; Arizpe Tafoya, A.V.; Gonzalez Martinez, D.A.; Hirota, J.A.; Moran-Mirabal, J.M. High-Fidelity Extrusion Bioprinting of Low-Printability Polymers Using Carbopol as a Rheology Modifier. ACS Appl. Mater. Interfaces 2023, 15, 54234–54248. [Google Scholar] [CrossRef] [PubMed]
- Lu, Z.Y.; Jiang, X.; Chen, M.Q.; Feng, L.; Kang, Y.J. An oxygen-releasing device to improve the survival of mesenchymal stem cells in tissue engineering. Biofabrication 2019, 11, 045012. [Google Scholar] [CrossRef] [PubMed]
- Paxton, N.; Smolan, W.; Böck, T.; Melchels, F.; Groll, J.; Jungst, T. Proposal to assess printability of bioinks for extrusion-based bioprinting and evaluation of rheological properties governing bioprintability. Biofabrication 2017, 9, 044107. [Google Scholar] [CrossRef]
- Lai, G.; Meagher, L. Versatile xanthan gum-based support bath material compatible with multiple crosslinking mechanisms: Rheological properties, printability, and cytocompatibility study. Biofabrication 2024, 16, 035005. [Google Scholar] [CrossRef]
- Ning, L.Q.; Chen, X.B. A brief review of extrusion-based tissue scaffold bio-printing. Biotechnol. J. 2017, 12, 1600671. [Google Scholar] [CrossRef]
- Fang, Y.; Ji, M.; Yang, Y.; Guo, Y.; Sun, R.; Zhang, T.; Sun, W.; Xiong, Z. 3D printing of vascularized hepatic tissues with a high cell density and heterogeneous microenvironment. Biofabrication 2023, 15, 045004. [Google Scholar] [CrossRef]
- Diamantides, N.; Dugopolski, C.; Blahut, E.; Kennedy, S.; Bonassar, L.J. High density cell seeding affects the rheology and printability of collagen bioinks. Biofabrication 2019, 11, 045016. [Google Scholar] [CrossRef]
- Lee, A.; Hudson, A.R.; Shiwarski, D.J.; Tashman, J.W.; Hinton, T.J.; Yerneni, S.; Bliley, J.M.; Campbell, P.G.; Feinberg, A.W. 3D bioprinting of collagen to rebuild components of the human heart. Science 2019, 365, 482–487. [Google Scholar] [CrossRef]
- Li, X.D.; Liu, B.X.; Pei, B.; Chen, J.W.; Zhou, D.Z.; Peng, J.Y.; Zhang, X.Z.; Jia, W.; Xu, T. Inkjet Bioprinting of Biomaterials. Chem. Rev. 2020, 120, 10596–10636. [Google Scholar] [CrossRef]
- Zhao, D.K.; Xu, H.Q.; Yin, J.; Yang, H.Y. Inkjet 3D bioprinting for tissue engineering and pharmaceutics. J. Zhejiang Univ. Sci. A 2022, 23, 955–973. [Google Scholar] [CrossRef]
- Zhu, H.; Li, R.; Li, S.; Guo, K.; Ji, C.; Gao, F.; Zheng, Y.; Zhu, R.; Wang, H.; Zhang, L.; et al. Multi-physical field control piezoelectric inkjet bioprinting for 3D tissue-like structure manufacturing. Int. J. Bioprinting 2024, 10, 2120–2378. [Google Scholar] [CrossRef]
- Gudapati, H.; Dey, M.; Ozbolat, I. A comprehensive review on droplet-based bioprinting: Past, present and future. Biomaterials 2016, 102, 20–42. [Google Scholar] [CrossRef] [PubMed]
- Kantaros, A. Bio-Inspired Materials: Exhibited Characteristics and Integration Degree in Bio-Printing Operations. Am. J. Eng. Appl. Sci. 2022, 15, 255–263. [Google Scholar] [CrossRef]
- Sun, J.Z.; Li, Y.; Liu, G.P.; Chen, S.R.; Zhang, Y.; Chen, C.; Chu, F.Q.; Song, Y.L. Fabricating High-Resolution Metal Pattern with Inkjet Printed Water-Soluble Sacrificial Layer. ACS Appl. Mater. Interfaces 2020, 12, 22108–22114. [Google Scholar] [CrossRef]
- Kantaros, A. 3D Printing in Regenerative Medicine: Technologies and Resources Utilized. Int. J. Mol. Sci. 2022, 23, 14621. [Google Scholar] [CrossRef]
- Saunders, R.E.; Derby, B. Inkjet printing biomaterials for tissue engineering: Bioprinting. Int. Mater. Rev. 2014, 59, 430–448. [Google Scholar] [CrossRef]
- Graham, A.D.; Olof, S.N.; Burke, M.J.; Armstrong, J.P.K.; Mikhailova, E.A.; Nicholson, J.G.; Box, S.J.; Szele, F.G.; Perriman, A.W.; Bayley, H. High-Resolution Patterned Cellular Constructs by Droplet-Based 3D Printing. Sci. Rep. 2017, 7, 7004. [Google Scholar] [CrossRef]
- Anandakrishnan, N.; Ye, H.; Guo, Z.P.; Chen, Z.W.; Mentkowski, K.I.; Lang, J.K.; Rajabian, N.; Andreadis, S.T.; Ma, Z.; Spernyak, J.A.; et al. Fast Stereolithography Printing of Large-Scale Biocompatible Hydrogel Models. Adv. Healthc. Mater. 2021, 10, e2002103. [Google Scholar] [CrossRef]
- Levato, R.; Dudaryeva, O.; Garciamendez-Mijares, C.E.; Kirkpatrick, B.E.; Rizzo, R.; Schimelman, J.; Anseth, K.S.; Chen, S.; Zenobi-Wong, M.; Zhang, Y.S. Light-based vat-polymerization bioprinting. Nat. Rev. Methods Primers 2023, 3, 47. [Google Scholar] [CrossRef]
- Grigoryan, B.; Paulsen, S.J.; Corbett, D.C.; Sazer, D.W.; Fortin, C.L.; Zaita, A.J.; Greenfield, P.T.; Calafat, N.J.; Gounley, J.P.; Ta, A.H.; et al. BIOMEDICINE Multivascular networks and functional intravascular topologies within biocompatible hydrogels. Science 2019, 364, 458–464. [Google Scholar] [CrossRef] [PubMed]
- Li, J.H.; Wu, C.T.; Chu, P.K.; Gelinsky, M. 3D printing of hydrogels: Rational design strategies and emerging biomedical applications. Mat. Sci. Eng. R 2020, 140, 100543. [Google Scholar] [CrossRef]
- Li, W.; Wang, M.; Ma, H.; Chapa-Villarreal, F.A.; Lobo, A.O.; Zhang, Y.S. Stereolithography apparatus and digital light processing-based 3D bioprinting for tissue fabrication. iScience 2023, 26, 106039. [Google Scholar] [CrossRef] [PubMed]
- Karakaidos, P.; Kryou, C.; Simigdala, N.; Klinakis, A.; Zergioti, I. Laser Bioprinting of Cells Using UV and Visible Wavelengths: A Comparative DNA Damage Study. Bioengineering 2022, 9, 378. [Google Scholar] [CrossRef]
- Hu, Q.; Torres, M.A.; Pan, H.; Williams, S.L.; Ecker, M. Precision Engineering of Chondrocyte Microenvironments: Investigating the Optimal Reaction Conditions for Type B Gelatin Methacrylate Hydrogel Matrix for TC28a2 Cells. J. Funct. Biomater. 2024, 15, 77. [Google Scholar] [CrossRef]
- Hall, G.N.; Fan, Y.; Viellerobe, B.; Iazzolino, A.; Dimopoulos, A.; Poiron, C.; Clapies, A.; Luyten, F.P.; Guillemot, F.; Papantoniou, I. Laser-assisted bioprinting of targeted cartilaginous spheroids for high density bottom-up tissue engineering. Biofabrication 2024, 16, 045029. [Google Scholar] [CrossRef]
- Guillotin, B.; Souquet, A.; Catros, S.; Duocastella, M.; Pippenger, B.; Bellance, S.; Bareille, R.; Remy, M.; Bordenave, L.; Amedee, J.; et al. Laser assisted bioprinting of engineered tissue with high cell density and microscale organization. Biomaterials 2010, 31, 7250–7256. [Google Scholar] [CrossRef]
- Douillet, C.; Nicodeme, M.; Hermant, L.; Bergeron, V.; Guillemot, F.; Fricain, J.C.; Oliveira, H.; Garcia, M. From local to global matrix organization by fibroblasts: A 4D laser-assisted bioprinting approach. Biofabrication 2022, 14, 025006. [Google Scholar] [CrossRef]
- Sorkio, A.; Koch, L.; Koivusalo, L.; Deiwick, A.; Miettinen, S.; Chichkov, B.; Skottman, H. Human stem cell based corneal tissue mimicking structures using laser-assisted 3D bioprinting and functional bioinks. Biomaterials 2018, 171, 57–71. [Google Scholar] [CrossRef]
- Keriquel, V.; Oliveira, H.; Remy, M.; Ziane, S.; Delmond, S.; Rousseau, B.; Rey, S.; Catros, S.; Amedee, J.; Guillemot, F.; et al. In situ printing of mesenchymal stromal cells, by laser-assisted bioprinting, for in vivo bone regeneration applications. Sci. Rep. 2017, 7, 1778. [Google Scholar] [CrossRef]
- Zhang, J.; Byers, P.; Erben, A.; Frank, C.; Schulte-Spechtel, L.; Heymann, M.; Docheva, D.; Huber, H.P.; Sudhop, S.; Clausen-Schaumann, H. Single Cell Bioprinting with Ultrashort Laser Pulses. Adv. Funct. Mater. 2021, 31, 2100066. [Google Scholar] [CrossRef]
- Jungst, T.; Smolan, W.; Schacht, K.; Scheibel, T.; Groll, J. Strategies and Molecular Design Criteria for 3D Printable Hydrogels. Chem. Rev. 2016, 116, 1496–1539. [Google Scholar] [CrossRef] [PubMed]
- Decante, G.; Costa, J.B.; Silva-Correia, J.; Collins, M.N.; Reis, R.L.; Oliveira, J.M. Engineering bioinks for 3D bioprinting. Biofabrication 2021, 13, 032001. [Google Scholar] [CrossRef]
- Jiang, S.; Jing, H.; Zhuang, Y.; Cui, J.; Fu, Z.; Li, D.; Zhao, C.; Liaqat, U.; Lin, K. BMSCs-laden mechanically reinforced bioactive sodium alginate composite hydrogel microspheres for minimally invasive bone repair. Carbohydr. Polym. 2024, 332, 121933. [Google Scholar] [CrossRef]
- Rehovsky, C.; Bajwa, D.S.; Mallik, S.; Pullan, J.E.; Ara, I. Natural polymer hydrogel based 3D printed bioreactor testing platform for cancer cell culture. Mater. Today Commun. 2024, 39, 108925. [Google Scholar] [CrossRef]
- Chen, N.; He, X.; Lu, Q. Highly Stretchable, Repairable, and Tough Nanocomposite Hydrogel Physically Cross-linked by Hydrophobic Interactions and Reinforced by Surface-Grafted Hydrophobized Cellulose Nanocrystals. Macromol. Rapid Commun. 2023, 44, e2300053. [Google Scholar] [CrossRef]
- Hu, Y.; Gao, S.; Lu, H.; Ying, J.Y. Acid-Resistant and Physiological pH-Responsive DNA Hydrogel Composed of A-Motif and i-Motif toward Oral Insulin Delivery. J. Am. Chem. Soc. 2022, 144, 5461–5470. [Google Scholar] [CrossRef]
- Wang, S.; Chi, J.; Jiang, Z.; Hu, H.; Yang, C.; Liu, W.; Han, B. A self-healing and injectable hydrogel based on water-soluble chitosan and hyaluronic acid for vitreous substitute. Carbohydr. Polym. 2021, 256, 117519. [Google Scholar] [CrossRef]
- Vegas, A.J.; Veiseh, O.; Doloff, J.C.; Ma, M.L.; Tam, H.H.; Bratlie, K.; Li, J.; Bader, A.R.; Langan, E.; Olejnik, K.; et al. Combinatorial hydrogel library enables identification of materials that mitigate the foreign body response in primates. Nat. Biotechnol. 2016, 34, 345–352. [Google Scholar] [CrossRef]
- Madl, C.M.; Katz, L.M.; Heilshorn, S.C. Bio-Orthogonally Crosslinked, Engineered Protein Hydrogels with Tunable Mechanics and Biochemistry for Cell Encapsulation. Adv. Funct. Mater. 2016, 26, 3612–3620. [Google Scholar] [CrossRef]
- Pupkaite, J.; Rosenquist, J.; Hilborn, J.; Samanta, A. Injectable Shape-Holding Collagen Hydrogel for Cell Encapsulation and Delivery Cross-linked Using Thiol-Michael Addition Click Reaction. Biomacromolecules 2019, 20, 3475–3484. [Google Scholar] [CrossRef] [PubMed]
- Thi, P.L.; Lee, Y.; Tran, D.L.; Thi, T.T.H.; Kang, J.I.; Park, K.M.; Park, K.D. In situ forming and reactive oxygen species-scavenging gelatin hydrogels for enhancing wound healing efficacy. Acta Biomater. 2020, 103, 142–152. [Google Scholar] [CrossRef] [PubMed]
- Loebel, C.; D’Este, M.; Alini, M.; Zenobi-Wong, M.; Eglin, D. Precise tailoring of tyramine-based hyaluronan hydrogel properties using DMTMM conjugation. Carbohydr. Polym. 2015, 115, 325–333. [Google Scholar] [CrossRef] [PubMed]
- Sigen, A.; Zeng, M.; Johnson, M.; Creagh-Flynn, J.; Xu, Q.; Tai, H.; Wang, W. Green Synthetic Approach for Photo-Cross-Linkable Methacryloyl Hyaluronic Acid with a Tailored Substitution Degree. Biomacromolecules 2020, 21, 2229–2235. [Google Scholar] [CrossRef]
- Chen, J.Q.; Yang, J.B.; Wang, L.; Zhang, X.W.; Heng, B.C.; Wang, D.A.; Ge, Z.G. Modified hyaluronic acid hydrogels with chemical groups that facilitate adhesion to host tissues enhance cartilage regeneration. Bioact. Mater. 2021, 6, 1689–1698. [Google Scholar] [CrossRef]
- Hao, Y.; Shih, H.; Munoz, Z.; Kemp, A.; Lin, C.C. Visible light cured thiol-vinyl hydrogels with tunable degradation for 3D cell culture. Acta Biomater. 2014, 10, 104–114. [Google Scholar] [CrossRef]
- Shih, H.; Lin, C.C. Visible-Light-Mediated Thiol-Ene Hydrogelation Using Eosin-Y as the Only Photoinitiator. Macromol. Rapid Commun. 2013, 34, 269–273. [Google Scholar] [CrossRef]
- Lee, G.W.; Chandrasekharan, A.; Roy, S.; Thamarappalli, A.; Mahaling, B.; Lee, H.; Seong, K.Y.; Ghosh, S.; Yang, S.Y. 3D bioprinting of stromal cells-laden artificial cornea based on visible light-crosslinkable bioinks forming multilength networks. Biofabrication 2024, 16, 035002. [Google Scholar] [CrossRef]
- Gwon, K.; Jo, E.J.; Sahu, A.; Lee, J.Y.; Kim, M.G.; Tae, G. Improved near infrared-mediated hydrogel formation using diacrylated Pluronic F127-coated upconversion nanoparticles. Mater. Sci. Eng. C Mater. Biol. Appl. 2018, 90, 77–84. [Google Scholar] [CrossRef]
- Dawson, P.; Romanowski, M. Designing ultraviolet upconversion for photochemistry. J. Lumin. 2020, 222, 117143. [Google Scholar] [CrossRef]
- Zhang, C.; Cai, D.P.; Liao, P.; Su, J.W.; Deng, H.; Vardhanabhuti, B.; Ulery, B.D.; Chen, S.Y.; Lin, J. 4D Printing of shape-memory polymeric scaffolds for adaptive biomedical implantation. Acta Biomater. 2021, 122, 101–110. [Google Scholar] [CrossRef] [PubMed]
- Zhao, C.; Wu, Z.; Chu, H.; Wang, T.; Qiu, S.; Zhou, J.; Zhu, Q.; Liu, X.; Quan, D.; Bai, Y. Thiol-Rich Multifunctional Macromolecular Crosslinker for Gelatin-Norbornene-Based Bioprinting. Biomacromolecules 2021, 22, 2729–2739. [Google Scholar] [CrossRef]
- Lim, K.S.; Galarraga, J.H.; Cui, X.; Lindberg, G.C.J.; Burdick, J.A.; Woodfield, T.B.F. Fundamentals and Applications of Photo-Cross-Linking in Bioprinting. Chem. Rev. 2020, 120, 10662–10694. [Google Scholar] [CrossRef] [PubMed]
- Yu, C.; Schimelman, J.; Wang, P.; Miller, K.L.; Ma, X.; You, S.; Guan, J.; Sun, B.; Zhu, W.; Chen, S. Photopolymerizable Biomaterials and Light-Based 3D Printing Strategies for Biomedical Applications. Chem. Rev. 2020, 120, 10695–10743. [Google Scholar] [CrossRef] [PubMed]
- Fang, W.; Yu, Z.; Gao, G.; Yang, M.; Du, X.; Wang, Y.; Fu, Q. Light-based 3D bioprinting technology applied to repair and regeneration of different tissues: A rational proposal for biomedical applications. Mater. Today Bio 2024, 27, 101135. [Google Scholar] [CrossRef]
- Bagheri, A.; Jin, J.Y. Photopolymerization in 3D Printing. ACS Appl. Polym. Mater. 2019, 1, 593–611. [Google Scholar] [CrossRef]
- Zhang, W.; Ye, W.B.; Yan, Y.F. Advances in Photocrosslinkable Materials for 3D Bioprinting. Adv. Eng. Mater. 2022, 24, 2100663. [Google Scholar] [CrossRef]
- Roose, P.; Vermoesen, E.; Van Vlierberghe, S. Non-steady scaling model for the kinetics of the photo-induced free radical polymerization of crosslinking networks. Polym. Chem. 2020, 11, 2475–2484. [Google Scholar] [CrossRef]
- Haehnel, A.P.; Stach, M.; Chovancová, A.; Rueb, J.M.; Delaittre, G.; Misske, A.M.; Lacík, I.; Barner-Kowollik, C. (Meth)acrylic monomers with heteroatom-containing ester side chains: A systematic PLP-SEC and polymerization study. Polym. Chem. 2014, 5, 862–873. [Google Scholar] [CrossRef]
- Kockler, K.B.; Fleischhaker, F.; Barner-Kowollik, C. Free Radical Propagation Rate Coefficients of N-Containing Methacrylates: Are We Family? Macromolecules 2016, 49, 8572–8580. [Google Scholar] [CrossRef]
- Hoyle, C.E.; Bowman, C.N. Thiol-ene click chemistry. Angew. Chem. 2010, 49, 1540–1573. [Google Scholar] [CrossRef] [PubMed]
- Northrop, B.H.; Coffey, R.N. Thiol-ene click chemistry: Computational and kinetic analysis of the influence of alkene functionality. J. Am. Chem. Soc. 2012, 134, 13804–13817. [Google Scholar] [CrossRef]
- Wang, C.; Hao, H.; Wang, J.; Xue, Y.; Huang, J.; Ren, K.; Ji, J. High-throughput hyaluronic acid hydrogel arrays for cell selective adhesion screening. J. Mater. Chem. B 2021, 9, 4024–4030. [Google Scholar] [CrossRef] [PubMed]
- Kim, H.; Kang, B.; Cui, X.L.; Lee, S.H.; Lee, K.; Cho, D.W.; Hwang, W.; Woodfield, T.B.F.; Lim, K.S.; Jang, J. Light-Activated Decellularized Extracellular Matrix-Based Bioinks for Volumetric Tissue Analogs at the Centimeter Scale. Adv. Funct. Mater. 2021, 31, 2011252. [Google Scholar] [CrossRef]
- Cui, X.; Soliman, B.G.; Alcala-Orozco, C.R.; Li, J.; Vis, M.A.M.; Santos, M.; Wise, S.G.; Levato, R.; Malda, J.; Woodfield, T.B.F.; et al. Rapid Photocrosslinking of Silk Hydrogels with High Cell Density and Enhanced Shape Fidelity. Adv. Healthc. Mater. 2020, 9, e1901667. [Google Scholar] [CrossRef] [PubMed]
- Lee, S.; Choi, G.; Yang, Y.J.; Joo, K.I.; Cha, H.J. Visible light-crosslinkable tyramine-conjugated alginate-based microgel bioink for multiple cell-laden 3D artificial organ. Carbohydr. Polym. 2023, 313, 120895. [Google Scholar] [CrossRef]
- Ghaffari-Bohlouli, P.; Siminska-Stanny, J.; Jafari, H.; Mirzaei, M.; Nie, L.; Delporte, C.; Shavandi, A. Printable hyaluronic acid hydrogel functionalized with yeast-derived peptide for skin wound healing. Int. J. Biol. Macromol. 2023, 232, 123348. [Google Scholar] [CrossRef]
- Dadashi-Silab, S.; Doran, S.; Yagci, Y. Photoinduced Electron Transfer Reactions for Macromolecular Syntheses. Chem. Rev. 2016, 116, 10212–10275. [Google Scholar] [CrossRef]
- Choi, J.R.; Yong, K.W.; Choi, J.Y.; Cowie, A.C. Recent advances in photo-crosslinkable hydrogels for biomedical applications. BioTechniques 2019, 66, 40–53. [Google Scholar] [CrossRef]
- Zhou, J.; Allonas, X.; Ibrahim, A.; Liu, X. Progress in the development of polymeric and multifunctional photoinitiators. Prog. Polym. Sci. 2019, 99, 101165. [Google Scholar] [CrossRef]
- Williams, C.G.; Malik, A.N.; Kim, T.K.; Manson, P.N.; Elisseeff, J.H. Variable cytocompatibility of six cell lines with photoinitiators used for polymerizing hydrogels and cell encapsulation. Biomaterials 2005, 26, 1211–1218. [Google Scholar] [CrossRef] [PubMed]
- Xu, H.; Casillas, J.; Krishnamoorthy, S.; Xu, C. Effects of Irgacure 2959 and lithium phenyl-2,4,6-trimethylbenzoylphosphinate on cell viability, physical properties, and microstructure in 3D bioprinting of vascular-like constructs. Biomed. Mater. 2020, 15, 055021. [Google Scholar] [CrossRef] [PubMed]
- Pawar, A.A.; Saada, G.; Cooperstein, I.; Larush, L.; Jackman, J.A.; Tabaei, S.R.; Cho, N.J.; Magdassi, S. High-performance 3D printing of hydrogels by water-dispersible photoinitiator nanoparticles. Sci. Adv. 2016, 2, e1501381. [Google Scholar] [CrossRef] [PubMed]
- Gu, X.; Shi, X.K.; Wu, J.D.; Zhang, Y.M.; Dong, L.Z.; Gong, Y.X.; Meng, Q.H.; Zhang, C.Y. Preparation of a water-dispersible nano-photoinitiator oriented towards 3D printing hydrogel with visible light. J. Appl. Polym. Sci. 2022, 139, 52869. [Google Scholar] [CrossRef]
- Fairbanks, B.D.; Schwartz, M.P.; Bowman, C.N.; Anseth, K.S. Photoinitiated polymerization of PEG-diacrylate with lithium phenyl-2,4,6-trimethylbenzoylphosphinate: Polymerization rate and cytocompatibility. Biomaterials 2009, 30, 6702–6707. [Google Scholar] [CrossRef]
- Zennifer, A.; Manivannan, S.; Sethuraman, S.; Kumbar, S.G.; Sundaramurthi, D. 3D bioprinting and photocrosslinking: Emerging strategies & future perspectives. Biomater. Adv. 2022, 134, 112576. [Google Scholar] [CrossRef]
- Han, W.T.; Jang, T.; Chen, S.Y.; Chong, L.S.H.; Jung, H.D.; Song, J. Improved cell viability for large-scale biofabrication with photo-crosslinkable hydrogel systems through a dual-photoinitiator approach. Biomater. Sci. 2020, 8, 450–461. [Google Scholar] [CrossRef]
- Lee, Y.B.; Lim, S.; Lee, Y.R.; Park, C.H.; Lee, H.J. Green Chemistry for Crosslinking Biopolymers: Recent Advances in Riboflavin-Mediated Photochemistry. Materials 2023, 16, 1218. [Google Scholar] [CrossRef]
- Zheng, Z.Z.; Eglin, D.; Alini, M.; Richards, G.R.; Qin, L.; Lai, Y.X. Visible Light-Induced 3D Bioprinting Technologies and Corresponding Bioink Materials for Tissue Engineering: A Review. Engineering 2021, 7, 966–978. [Google Scholar] [CrossRef]
- Kim, G.T.; Go, H.B.; Yu, J.H.; Yang, S.Y.; Kim, K.M.; Choi, S.H.; Kwon, J.S. Cytotoxicity, Colour Stability and Dimensional Accuracy of 3D Printing Resin with Three Different Photoinitiators. Polymers 2022, 14, 979. [Google Scholar] [CrossRef]
- Rivarola, C.R.; Biasutti, M.A.; Barbero, C.A. A visible light photoinitiator system to produce acrylamide based smart hydrogels: Ru(bpy)3+2 as photopolymerization initiator and molecular probe of hydrogel microenvironments. Polymer 2009, 50, 3145–3152. [Google Scholar] [CrossRef]
- Sun, G.D.; Huang, Y.; Ma, J.X.; Li, D.P.; Fan, Q.G.; Li, Y.Q.; Shao, J.Z. Photoinitiation mechanisms and photogelation kinetics of blue light induced polymerization of acrylamide with bicomponent photoinitiators. J. Polym. Sci. 2021, 59, 567–577. [Google Scholar] [CrossRef]
- Hu, J.L.; Hou, Y.P.; Park, H.; Choi, B.; Hou, S.Y.; Chung, A.; Lee, M. Visible light crosslinkable chitosan hydrogels for tissue engineering. Acta Biomater. 2012, 8, 1730–1738. [Google Scholar] [CrossRef] [PubMed]
- Sharifi, S.; Sharifi, H.; Akbari, A.; Chodosh, J. Systematic optimization of visible light-induced crosslinking conditions of gelatin methacryloyl (GelMA). Sci. Rep. 2021, 11, 23276. [Google Scholar] [CrossRef]
- Shih, H.; Fraser, A.K.; Lin, C.C. Interfacial Thiol-ene Photoclick Reactions for Forming Multilayer Hydrogels. ACS Appl. Mater. Interfaces 2013, 5, 1673–1680. [Google Scholar] [CrossRef]
- Majima, T.; Schnabel, W.; Weber, W. Phenyl-2,4,6-Trimethylbenzoylphosphinates as water-soluble photoinitiators—Generation and reactivity of O=P(C6H5)(O-) radical-anions. Makromol. Chem. Macromol. Chem. Phys. 1991, 192, 2307–2315. [Google Scholar] [CrossRef]
- Nguyen, T.U.; Watkins, K.E.; Kishore, V. Photochemically crosslinked cell-laden methacrylated collagen hydrogels with high cell viability and functionality. J. Biomed. Mater. Res. A 2019, 107, 1541–1550. [Google Scholar] [CrossRef]
- Billiet, T.; Gevaert, E.; De Schryver, T.; Cornelissen, M.; Dubruel, P. The 3D Printing of Gelatin Methacrylamide Cell-Laden Tissue-Engineered Constructs with High Cell Viability. Biomaterials 2014, 35, 49–62. [Google Scholar] [CrossRef]
- Chandler, E.M.; Berglund, C.M.; Lee, J.S.; Polacheck, W.J.; Gleghorn, J.P.; Kirby, B.J.; Fischbach, C. Stiffness of photocrosslinked RGD-alginate gels regulates adipose progenitor cell behavior. Biotechnol. Bioeng. 2011, 108, 1683–1692. [Google Scholar] [CrossRef]
- Occhetta, P.; Visone, R.; Russo, L.; Cipolla, L.; Moretti, M.; Rasponi, M. VA-086 methacrylate gelatine photopolymerizable hydrogels: A parametric study for highly biocompatible 3D cell embedding. J. Biomed. Mater. Res. A 2015, 103, 2109–2117. [Google Scholar] [CrossRef]
- Ng, W.L.; Goh, M.H.; Yeong, W.Y.; Naing, M.W. Applying macromolecular crowding to 3D bioprinting: Fabrication of 3D hierarchical porous collagen-based hydrogel constructs. Biomater. Sci. 2018, 6, 562–574. [Google Scholar] [CrossRef] [PubMed]
- Ramshaw, J.A.; Werkmeister, J.A.; Dumsday, G.J. Bioengineered Collagens: Emerging Directions for Biomedical Materials. Bioengineered 2014, 5, 227. [Google Scholar] [CrossRef] [PubMed]
- Petta, D.; D’Amora, U.; Ambrosio, L.; Grijpma, D.W.; Eglin, D.; D’Este, M. Hyaluronic acid as a bioink for extrusion-based 3D printing. Biofabrication 2020, 12, 032001. [Google Scholar] [CrossRef] [PubMed]
- Kim, J.A.; Kim, H.N.; Im, S.K.; Chung, S.; Kang, J.Y.; Choi, N. Collagen-based brain microvasculature model in vitro using three-dimensional printed template. Biomicrofluidics 2015, 9, 024115. [Google Scholar] [CrossRef]
- He, Y.; Wang, C.; Wang, C.; Xiao, Y.; Lin, W. An Overview on Collagen and Gelatin-Based Cryogels: Fabrication, Classification, Properties and Biomedical Applications. Polymers 2021, 13, 2299. [Google Scholar] [CrossRef]
- Irastorza, A.; Zarandona, I.; Andonegi, M.; Guerrero, P.; de la Caba, K. The versatility of collagen and chitosan: From food to biomedical applications. Food Hydrocoll. 2021, 116, 106633. [Google Scholar] [CrossRef]
- Sarkar, S.D.; Farrugia, B.L.; Dargaville, T.R.; Dhara, S. Chitosan-collagen scaffolds with nano/microfibrous architecture for skin tissue engineering. J. Biomed. Mater. Res. Part A 2013, 101, 3482–3492. [Google Scholar] [CrossRef]
- Jiang, L.B.; Su, D.H.; Liu, P.; Ma, Y.Q.; Shao, Z.Z.; Dong, J. Shape-memory collagen scaffold for enhanced cartilage regeneration: Native collagen versus denatured collagen. Osteoarthr. Cartil. 2018, 26, 1389–1399. [Google Scholar] [CrossRef]
- Jia, W.; Li, M.; Liu, L.; Zhou, H.; Liu, X.; Gu, G.; Xiao, M.; Chen, Z. Fabrication and assessment of chondroitin sulfate-modified collagen nanofibers for small-diameter vascular tissue engineering applications. Carbohydr. Polym. 2021, 257, 117573. [Google Scholar] [CrossRef]
- Enrico, A.; Voulgaris, D.; Ostmans, R.; Sundaravadivel, N.; Moutaux, L.; Cordier, A.; Niklaus, F.; Herland, A.; Stemme, G. 3D Microvascularized Tissue Models by Laser-Based Cavitation Molding of Collagen. Adv. Mater. 2022, 34, 2109823. [Google Scholar] [CrossRef]
- Muniz, J.; Cavalcante, M.D.; de Menezes, L.R. Chitosan-based dressings containing eggshell calcium carbonate and collagen tripeptide emerge as promising platforms for skin regeneration. Polym. Bull. 2024, 81, 13113–13136. [Google Scholar] [CrossRef]
- Applegate, M.B.; Partlow, B.P.; Coburn, J.; Marelli, B.; Pirie, C.; Pineda, R.; Kaplan, D.L.; Omenetto, F.G. Photocrosslinking of Silk Fibroin Using Riboflavin for Ocular Prostheses. Adv. Mater. 2016, 28, 2417–2420. [Google Scholar] [CrossRef] [PubMed]
- Tirella, A.; Liberto, T.; Ahluwalia, A. Riboflavin and collagen: New crosslinking methods to tailor the stiffness of hydrogels. Mater. Lett. 2012, 74, 58–61. [Google Scholar] [CrossRef]
- Stratesteffen, H.; Kopf, M.; Kreimendahl, F.; Blaeser, A.; Jockenhoevel, S.; Fischer, H. GelMA-collagen blends enable drop-on-demand 3D printablility and promote angiogenesis. Biofabrication 2017, 9, 045002. [Google Scholar] [CrossRef]
- Mazzocchi, A.; Devarasetty, M.; Huntwork, R.; Soker, S.; Skardal, A. Optimization of collagen type I-hyaluronan hybrid bioink for 3D bioprinted liver microenvironments. Biofabrication 2019, 11, 015003. [Google Scholar] [CrossRef]
- Yang, X.X.; Yao, L.Y.; Sun, X.X.; Wang, L.L.; Xiao, J.X. Low-temperature DLP 3D printing of low-concentration collagen methacryloyl for the fabrication of durable and bioactive personalized scaffolds. Chem. Eng. J. 2024, 497, 155650. [Google Scholar] [CrossRef]
- Rezvani Ghomi, E.; Nourbakhsh, N.; Akbari Kenari, M.; Zare, M.; Ramakrishna, S. Collagen-based biomaterials for biomedical applications. J. Biomed. Mater. Res. Part B Appl. Biomater. 2021, 109, 1986–1999. [Google Scholar] [CrossRef]
- Lee, J.M.; Suen, S.K.Q.; Ng, W.L.; Ma, W.C.; Yeong, W.Y. Bioprinting of Collagen: Considerations, Potentials, and Applications. Macromol. Biosci. 2021, 21, e2000280. [Google Scholar] [CrossRef]
- Osidak, E.O.; Kozhukhov, V.I.; Osidak, M.S.; Domogatsky, S.P. Collagen as Bioink for Bioprinting: A Comprehensive Review. Int. J. Bioprinting 2020, 6, 270. [Google Scholar] [CrossRef]
- Guo, K.; Wang, H.; Li, S.; Zhang, H.; Li, S.; Zhu, H.; Yang, Z.; Zhang, L.; Chang, P.; Zheng, X. Collagen-Based Thiol-Norbornene Photoclick Bio-Ink with Excellent Bioactivity and Printability. ACS Appl. Mater. Interfaces 2021, 13, 7037–7050. [Google Scholar] [CrossRef]
- Zhang, T.; Chen, H.; Zhang, Y.; Zan, Y.; Ni, T.; Liu, M.; Pei, R. Photo-crosslinkable, bone marrow-derived mesenchymal stem cells-encapsulating hydrogel based on collagen for osteogenic differentiation. Colloids Surf. B Biointerfaces 2019, 174, 528–535. [Google Scholar] [CrossRef] [PubMed]
- Yang, Y.; Zhang, Y.; Min, Y.; Chen, J. Preparation of methacrylated hyaluronate/methacrylated collagen sponges with rapid shape recovery and orderly channel for fast blood absorption as hemostatic dressing. Int. J. Biol. Macromol. 2022, 222, 30–40. [Google Scholar] [CrossRef] [PubMed]
- Wu, S.Y.; Tsai, W.B. Development of an In Situ Photo-Crosslinking Antimicrobial Collagen Hydrogel for the Treatment of Infected Wounds. Polymers 2023, 15, 4701. [Google Scholar] [CrossRef] [PubMed]
- Tytgat, L.; Dobos, A.; Markovic, M.; Van Damme, L.; Van Hoorick, J.; Bray, F.; Thienpont, H.; Ottevaere, H.; Dubruel, P.; Ovsianikov, A.; et al. High-Resolution 3D Bioprinting of Photo-Cross-linkable Recombinant Collagen to Serve Tissue Engineering Applications. Biomacromolecules 2020, 21, 3997–4007. [Google Scholar] [CrossRef]
- Kim, M.H.; Lin, C.C. Norbornene-functionalized methylcellulose as a thermo- and photo-responsive bioink. Biofabrication 2021, 13, 045023. [Google Scholar] [CrossRef]
- Yue, K.; Trujillo-de Santiago, G.; Alvarez, M.M.; Tamayol, A.; Annabi, N.; Khademhosseini, A. Synthesis, properties, and biomedical applications of gelatin methacryloyl (GelMA) hydrogels. Biomaterials 2015, 73, 254–271. [Google Scholar] [CrossRef]
- Echave, M.C.; Burgo, L.S.; Pedraz, J.L.; Orive, G. Gelatin as Biomaterial for Tissue Engineering. Curr. Pharm. Des. 2017, 23, 3567–3584. [Google Scholar] [CrossRef]
- Bello, A.B.; Kim, D.; Kim, D.; Park, H.; Lee, S.H. Engineering and Functionalization of Gelatin Biomaterials: From Cell Culture to Medical Applications. Tissue Eng. Part B Rev. 2020, 26, 164–180. [Google Scholar] [CrossRef]
- Rajabi, N.; Rezaei, A.; Kharaziha, M.; Bakhsheshi-Rad, H.R.; Luo, H.; RamaKrishna, S.; Berto, F. Recent Advances on Bioprinted Gelatin Methacrylate-Based Hydrogels for Tissue Repair. Tissue Eng. Part A 2021, 27, 679–702. [Google Scholar] [CrossRef]
- Gockler, T.; Haase, S.; Kempter, X.; Pfister, R.; Maciel, B.R.; Grimm, A.; Molitor, T.; Willenbacher, N.; Schepers, U. Tuning Superfast Curing Thiol-Norbornene-Functionalized Gelatin Hydrogels for 3D Bioprinting. Adv. Healthc. Mater. 2021, 10, 2100206. [Google Scholar] [CrossRef]
- Kuss, M.; Kim, J.; Qi, D.J.; Wu, S.H.; Lei, Y.G.; Chung, S.; Duan, B. Effects of tunable, 3D-bioprinted hydrogels on human brown adipocyte behavior and metabolic function. Acta Biomater. 2018, 71, 486–495. [Google Scholar] [CrossRef] [PubMed]
- Van Hoorick, J.; Gruber, P.; Markovic, M.; Rollot, M.; Graulus, G.J.; Vagenende, M.; Tromayer, M.; Van Erps, J.; Thienpont, H.; Martins, J.C.; et al. Highly Reactive Thiol-Norbornene Photo-Click Hydrogels: Toward Improved Processability. Macromol. Rapid Commun. 2018, 39, e1800181. [Google Scholar] [CrossRef] [PubMed]
- Munoz, Z.; Shih, H.; Lin, C.C. Gelatin hydrogels formed by orthogonal thiol-norbornene photochemistry for cell encapsulation. Biomater. Sci. 2014, 2, 1063–1072. [Google Scholar] [CrossRef] [PubMed]
- Xiao, X.; Huang, Z.; Jiang, X.; Yang, Y.; Yang, L.; Yang, S.; Niu, C.; Xu, Y.; Feng, L. Facile synthesize of norbornene-hyaluronic acid to form hydrogel via thiol-norbornene reaction for biomedical application. Polymer 2022, 245, 124696. [Google Scholar] [CrossRef]
- Kim, H.; Shin, M.; Han, S.; Kwon, W.; Hahn, S.K. Hyaluronic Acid Derivatives for Translational Medicines. Biomacromolecules 2019, 20, 2889–2903. [Google Scholar] [CrossRef]
- Wolf, K.J.; Kumar, S. Hyaluronic Acid: Incorporating the Bio into the Material. ACS Biomater. Sci. Eng. 2019, 5, 3753–3765. [Google Scholar] [CrossRef]
- Burdick, J.A.; Prestwich, G.D. Hyaluronic acid hydrogels for biomedical applications. Adv. Mater. 2011, 23, H41–H56. [Google Scholar] [CrossRef]
- Chen, S.; Han, Y.; Huang, J.; Dai, L.; Du, J.; McClements, D.J.; Mao, L.; Liu, J.; Gao, Y. Fabrication and Characterization of Layer-by-Layer Composite Nanoparticles Based on Zein and Hyaluronic Acid for Codelivery of Curcumin and Quercetagetin. ACS Appl. Mater. Interfaces 2019, 11, 16922–16933. [Google Scholar] [CrossRef]
- Ouyang, L.L.; Armstrong, J.P.K.; Lin, Y.Y.; Wojciechowski, J.P.; Lee-Reeves, C.; Hachim, D.; Zhou, K.; Burdick, J.A.; Stevens, M.M. Expanding and optimizing 3D bioprinting capabilities using complementary network bioinks. Sci. Adv. 2020, 6, eabc5529. [Google Scholar] [CrossRef]
- Stichler, S.; Bock, T.; Paxton, N.; Bertlein, S.; Levato, R.; Schill, V.; Smolan, W.; Malda, J.; Tessmar, J.; Blunk, T.; et al. Double printing of hyaluronic acid/poly(glycidol) hybrid hydrogels with poly(epsilon-caprolactone) for MSC chondrogenesis. Biofabrication 2017, 9, 044108. [Google Scholar] [CrossRef]
- Hanjaya-Putra, D.; Wong, K.T.; Hirotsu, K.; Khetan, S.; Burdick, J.A.; Gerecht, S. Spatial control of cell-mediated degradation to regulate vasculogenesis and angiogenesis in hyaluronan hydrogels. Biomaterials 2012, 33, 6123–6131. [Google Scholar] [CrossRef] [PubMed]
- Peng, Z.W.; Xue, H.; Liu, X.; Wang, S.G.; Liu, G.D.; Jia, X.H.; Zhu, Z.Q.; Orvy, M.J.; Yang, Y.; Wang, Y.Q.; et al. Tough, adhesive biomimetic hyaluronic acid methacryloyl hydrogels for effective wound healing. Front. Bioeng. Biotech. 2023, 11, 1222088. [Google Scholar] [CrossRef] [PubMed]
- Law, N.; Doney, B.; Glover, H.; Qin, Y.H.; Aman, Z.M.; Sercombe, T.B.; Liew, L.J.; Dilley, R.J.; Doyle, B.J. Characterisation of hyaluronic acid methylcellulose hydrogels for 3D bioprinting. J. Mech. Behav. Biomed. Mater. 2018, 77, 389–399. [Google Scholar] [CrossRef] [PubMed]
- Eke, G.; Mangir, N.; Hasirci, N.; MacNeil, S.; Hasirci, V. Development of a UV crosslinked biodegradable hydrogel containing adipose derived stem cells to promote vascularization for skin wounds and tissue engineering. Biomaterials 2017, 129, 188–198. [Google Scholar] [CrossRef] [PubMed]
- Duan, B.; Kapetanovic, E.; Hockaday, L.A.; Butcher, J.T. Three-dimensional printed trileaflet valve conduits using biological hydrogels and human valve interstitial cells. Acta Biomater. 2014, 10, 1836–1846. [Google Scholar] [CrossRef]
- Muir, V.G.; Burdick, J.A. Chemically Modified Biopolymers for the Formation of Biomedical Hydrogels. Chem. Rev. 2020, 121, 10908–10949. [Google Scholar] [CrossRef]
- Trujillo, S.; Vega, S.L.; Song, K.H.; San Felix, A.; Dalby, M.J.; Burdick, J.A.; Salmeron-Sanchez, M. Engineered Full-Length Fibronectin-Hyaluronic Acid Hydrogels for Stem Cell Engineering. Adv. Healthc. Mater. 2020, 9, e2000989. [Google Scholar] [CrossRef]
- Mendes, B.B.; Daly, A.C.; Reis, R.L.; Domingues, R.M.A.; Gomes, M.E.; Burdick, J.A. Injectable hyaluronic acid and platelet lysate-derived granular hydrogels for biomedical applications. Acta Biomater. 2021, 119, 101–113. [Google Scholar] [CrossRef]
- Vega, S.L.; Kwon, M.Y.; Song, K.H.; Wang, C.; Mauck, R.L.; Han, L.; Burdick, J.A. Combinatorial hydrogels with biochemical gradients for screening 3D cellular microenvironments. Nat. Commun. 2018, 9, 614. [Google Scholar] [CrossRef]
- Gramlich, W.M.; Kim, I.L.; Burdick, J.A. Synthesis and orthogonal photopatterning of hyaluronic acid hydrogels with thiol-norbornene chemistry. Biomaterials 2013, 34, 9803–9811. [Google Scholar] [CrossRef]
- Shrestha, S.; Li, F.; Truong, V.X.; Forsythe, J.S.; Frith, J.E. Interplay of Hydrogel Composition and Geometry on Human Mesenchymal Stem Cell Osteogenesis. Biomacromolecules 2020, 21, 5323–5335. [Google Scholar] [CrossRef] [PubMed]
- Acosta-Velez, G.F.; Linsley, C.S.; Craig, M.C.; Wu, B.M. Photocurable Bioink for the Inkjet 3D Pharming of Hydrophilic Drugs. Bioengineering 2017, 4, 11. [Google Scholar] [CrossRef] [PubMed]
- Kwon, M.Y.; Wang, C.; Galarraga, J.H.; Pure, E.; Han, L.; Burdick, J.A. Influence of hyaluronic acid modification on CD44 binding towards the design of hydrogel biomaterials. Biomaterials 2019, 222, 119451. [Google Scholar] [CrossRef] [PubMed]
- Galarraga, J.H.; Dhand, A.P.; Enzmann, B.P.; Burdick, J.A. Synthesis, Characterization, and Digital Light Processing of a Hydrolytically Degradable Hyaluronic Acid Hydrogel. Biomacromolecules 2023, 24, 413–425. [Google Scholar] [CrossRef]
- Clark, C.C.; Aleman, J.; Mutkus, L.; Skardal, A. A mechanically robust thixotropic collagen and hyaluronic acid bioink supplemented with gelatin nanoparticles. Bioprinting 2019, 16, e00058. [Google Scholar] [CrossRef]
- Henriksson, I.; Gatenholm, P.; Hagg, D.A. Increased lipid accumulation and adipogenic gene expression of adipocytes in 3D bioprinted nanocellulose scaffolds. Biofabrication 2017, 9, 015022. [Google Scholar] [CrossRef]
- Rajaram, A.; Schreyer, D.J.; Chen, D.X.B. Use of the polycation polyethyleneimine to improve the physical properties of alginate-hyaluronic acid hydrogel during fabrication of tissue repair scaffolds. J. Biomat. Sci. Polym. E 2015, 26, 433–445. [Google Scholar] [CrossRef]
- Ning, L.Q.; Sun, H.Y.; Lelong, T.; Guilloteau, R.; Zhu, N.; Schreyer, D.J.; Chen, X.B. 3D bioprinting of scaffolds with living Schwann cells for potential nerve tissue engineering applications. Biofabrication 2018, 10, 035014. [Google Scholar] [CrossRef]
- Costantini, M.; Idaszek, J.; Szoke, K.; Jaroszewicz, J.; Dentini, M.; Barbetta, A.; Brinchmann, J.E.; Swieszkowski, W. 3D bioprinting of BM-MSCs-loaded ECM biomimetic hydrogels for in vitro neocartilage formation. Biofabrication 2016, 8, 035002. [Google Scholar] [CrossRef]
- Abbadessa, A.; Landín, M.; Oude Blenke, E.; Hennink, W.E.; Vermonden, T. Two-component thermosensitive hydrogels: Phase separation affecting rheological behavior. Eur. Polym. J. 2017, 92, 13–26. [Google Scholar] [CrossRef]
- Abbadessa, A.; Mouser, V.H.M.; Blokzijl, M.M.; Gawlitta, D.; Dhert, W.J.A.; Hennink, W.E.; Malda, J.; Vermonden, T. A Synthetic Thermosensitive Hydrogel for Cartilage Bioprinting and Its Biofunctionalization with Polysaccharides. Biomacromolecules 2016, 17, 2137–2147. [Google Scholar] [CrossRef] [PubMed]
- Muller, M.; Becher, J.; Schnabelrauch, M.; Zenobi-Wong, M. Nanostructured Pluronic hydrogels as bioinks for 3D bioprinting. Biofabrication 2015, 7, 035006. [Google Scholar] [CrossRef] [PubMed]
- Mouser, V.H.M.; Abbadessa, A.; Levato, R.; Hennink, W.E.; Vermonden, T.; Gawlitta, D.; Malda, J. Development of a thermosensitive HAMA-containing bio-ink for the fabrication of composite cartilage repair constructs. Biofabrication 2017, 9, 015026. [Google Scholar] [CrossRef]
- Raus, R.A.; Nawawi, W.M.F.W.; Nasaruddin, R.R. Alginate and alginate composites for biomedical applications. Asian J. Pharm. Sci. 2021, 16, 280–306. [Google Scholar] [CrossRef]
- Bastami, F.; Safavi, S.M.; Seifi, S.; Nadjmi, N.; Khojasteh, A. Addition of Bone-Marrow Mesenchymal Stem Cells to 3D-Printed Alginate/Gelatin Hydrogel Containing Freeze-Dried Bone Nanoparticles Accelerates Regeneration of Critical Size Bone Defects. Macromol. Biosci. 2024, 24, e2300065. [Google Scholar] [CrossRef]
- Ferreras, A.; Matesanz, A.; Mendizabal, J.; Artola, K.; Nishina, Y.; Acedo, P.; Jorcano, J.L.; Ruiz, A.; Reina, G.; Martin, C. Light-Responsive and Antibacterial Graphenic Materials as a Holistic Approach to Tissue Engineering. ACS Nanosci. Au 2024, 4, 263–272. [Google Scholar] [CrossRef]
- Pfarr, J.; Zitta, K.; Hummitzsch, L.; Lutter, G.; Steinfath, M.; Jansen, O.; Tiwari, S.; Haj Mohamad, F.; Knueppel, P.; Lichte, F.; et al. 4D Printing of Bioartificial, Small-Diameter Vascular Grafts with Human-Scale Characteristics and Functional Integrity. Adv. Mater. Technol. 2024, 9, 2301785. [Google Scholar] [CrossRef]
- Ooi, H.W.; Mota, C.; Ten Cate, A.T.; Calore, A.; Moroni, L.; Baker, M.B. Thiol-Ene Alginate Hydrogels as Versatile Bioinks for Bioprinting. Biomacromolecules 2018, 19, 3390–3400. [Google Scholar] [CrossRef]
- Liu, Y.; Liu, X.; Zhang, Y.; Cao, Y.; Luo, B.; Wang, Z.; Pei, R. Interpenetrating Polymer Network HA/Alg-RGD Hydrogel: An Equilibrium of Macroscopic Stability and Microscopic Adaptability for 3D Cell Growth and Vascularization. Biomacromolecules 2023, 24, 5977–5988. [Google Scholar] [CrossRef]
- Hunt, N.C.; Smith, A.M.; Gbureck, U.; Shelton, R.M.; Grover, L.M. Encapsulation of fibroblasts causes accelerated alginate hydrogel degradation. Acta Biomater. 2010, 6, 3649–3656. [Google Scholar] [CrossRef]
- Axpe, E.; Oyen, M.L. Applications of Alginate-Based Bioinks in 3D Bioprinting. Int. J. Mol. Sci. 2016, 17, 1976. [Google Scholar] [CrossRef] [PubMed]
- Kim, Y.B.; Kim, G.H. PCL/alginate composite scaffolds for hard tissue engineering: Fabrication, characterization, and cellular activities. ACS Comb. Sci. 2015, 17, 87–99. [Google Scholar] [CrossRef] [PubMed]
- Chan, G.; Mooney, D.J. Ca2+ released from calcium alginate gels can promote inflammatory responses in vitro and in vivo. Acta Biomater. 2013, 9, 9281–9291. [Google Scholar] [CrossRef] [PubMed]
- He, Y.; Tian, Y.; Zhang, W.; Wang, X.; Yang, X.; Li, B.; Ge, L.; Bai, D.; Li, D. Fabrication of oxidized sodium alginate-collagen heterogeneous bilayer barrier membrane with osteogenesis-promoting ability. Int. J. Biol. Macromol. 2022, 202, 55–67. [Google Scholar] [CrossRef]
- Ionescu, O.M.; Mignon, A.; Minsart, M.; Van Hoorick, J.; Gardikiotis, I.; Caruntu, I.-D.; Giusca, S.E.; Van Vlierberghe, S.; Profire, L. Gelatin-Based Versus Alginate-Based Hydrogels: Providing Insight in Wound Healing Potential. Macromol. Biosci. 2021, 21, 2100230. [Google Scholar] [CrossRef]
- Sandvig, I.; Karstensen, K.; Rokstad, A.M.; Aachmann, F.L.; Formo, K.; Sandvig, A.; Skjåk-Braek, G.; Strand, B.L. RGD-peptide modified alginate by a chemoenzymatic strategy for tissue engineering applications. J. Biomed. Mater. Res. Part A 2015, 103, 896–906. [Google Scholar] [CrossRef]
- Inoue, S.; Tanaka, K.; Arisaka, F.; Kimura, S.; Ohtomo, K.; Mizuno, S. Silk fibroin of Bombyx mori is secreted, assembling a high molecular mass elementary unit consisting of H-chain, L-chain, and P25, with a 6:6:1 molar ratio. J. Biol. Chem. 2000, 275, 40517–40528. [Google Scholar] [CrossRef]
- Tran, H.A.; Hoang, T.T.; Maraldo, A.; Do, T.N.; Kaplan, D.L.; Lim, K.S.; Rnjak-Kovacina, J. Emerging silk fibroin materials and their applications: New functionality arising from innovations in silk crosslinking. Mater. Today 2023, 65, 244–259. [Google Scholar] [CrossRef]
- Agostinacchio, F.; Biada, E.; Gambari, L.; Grassi, F.; Bucciarelli, A.; Motta, A. Surfactant-assisted photo-crosslinked silk fibroin sponges: A versatile platform for the design of bone scaffolds. Biomater. Adv. 2024, 161, 213887. [Google Scholar] [CrossRef]
- Chen, W.; Xu, Y.; Li, H.; Dai, Y.; Zhou, G.; Zhou, Z.; Xia, H.; Liu, H. Tanshinone IIA Delivery Silk Fibroin Scaffolds Significantly Enhance Articular Cartilage Defect Repairing via Promoting Cartilage Regeneration. ACS Appl. Mater. Interfaces 2020, 12, 21470–21480. [Google Scholar] [CrossRef]
- Liu, J.; Yu, J.; Chen, H.; Zou, Y.; Wang, Y.; Zhou, C.; Tong, L.; Wang, P.; Liu, T.; Liang, J.; et al. Porous gradient hydrogel promotes skin regeneration by angiogenesis. J. Colloid Interface Sci. 2024, 671, 312–324. [Google Scholar] [CrossRef]
- Hua, Y.; He, Z.; Ni, Y.; Sun, L.; Wang, R.; Li, Y.; Li, X.; Jiang, G. Silk fibroin and hydroxypropyl cellulose composite injectable hydrogel-containing extracellular vesicles for myocardial infarction repair. Biomed. Phys. Eng. Express 2024, 10, 045001. [Google Scholar] [CrossRef]
- Melke, J.; Midha, S.; Ghosh, S.; Ito, K.; Hofmann, S. Silk fibroin as biomaterial for bone tissue engineering. Acta Biomater. 2016, 31, 1–16. [Google Scholar] [CrossRef]
- Zhou, L.; Chen, D.; Wu, R.; Li, L.; Shi, T.; Shangguang, Z.; Lin, H.; Chen, G.; Wang, Z.; Liu, W. An injectable and photocurable methacrylate-silk fibroin/nano-hydroxyapatite hydrogel for bone regeneration through osteoimmunomodulation. Int. J. Biol. Macromol. 2024, 263, 129925. [Google Scholar] [CrossRef]
- Qi, Y.; Wang, H.; Wei, K.; Yang, Y.; Zheng, R.Y.; Kim, I.S.; Zhang, K.Q. A Review of Structure Construction of Silk Fibroin Biomaterials from Single Structures to Multi-Level Structures. Int. J. Mol. Sci. 2017, 18, 237. [Google Scholar] [CrossRef]
- Das, S.; Pati, F.; Choi, Y.J.; Rijal, G.; Shim, J.H.; Kim, S.W.; Ray, A.R.; Cho, D.W.; Ghosh, S. Bioprintable, cell-laden silk fibroin-gelatin hydrogel supporting multilineage differentiation of stem cells for fabrication of three-dimensional tissue constructs. Acta Biomater. 2015, 11, 233–246. [Google Scholar] [CrossRef]
- Moon, S.H.; Park, T.Y.; Cha, H.J.; Yang, Y.J. Photo-/thermo-responsive bioink for improved printability in extrusion-based bioprinting. Mater. Today Bio 2024, 25, 100973. [Google Scholar] [CrossRef]
- Compaan, A.M.; Christensen, K.; Huang, Y. Inkjet Bioprinting of 3D Silk Fibroin Cellular Constructs Using Sacrificial Alginate. ACS Biomater. Sci. Eng. 2017, 3, 1519–1526. [Google Scholar] [CrossRef]
- Chakraborty, J.; Mu, X.; Pramanick, A.; Kaplan, D.L.; Ghosh, S. Recent advances in bioprinting using silk protein-based bioinks. Biomaterials 2022, 287, 121672. [Google Scholar] [CrossRef]
- Sun, G.; He, X.; Feng, M.; Xu, X.; Chen, J.; Wang, Y. Flavin mononucleotide in visible light photoinitiating systems for multiple-photocrosslinking and photoencapsulation strategies. Acta Biomater. 2023, 172, 272–279. [Google Scholar] [CrossRef]
- Ryu, S.; Kim, H.H.; Park, Y.H.; Lin, C.C.; Um, I.C.; Ki, C.S. Dual mode gelation behavior of silk fibroin microgel embedded poly(ethylene glycol) hydrogels. J. Mater. Chem. B 2016, 4, 4574–4584. [Google Scholar] [CrossRef] [PubMed]
- Bucciarelli, A.; Muthukumar, T.; Kim, J.S.; Kim, W.K.; Quaranta, A.; Maniglio, D.; Khang, G.; Motta, A. Preparation and Statistical Characterization of Tunable Porous Sponge Scaffolds using UV Cross-linking of Methacrylate-Modified Silk Fibroin. ACS Biomater. Sci. Eng. 2019, 5, 6374–6388. [Google Scholar] [CrossRef] [PubMed]
- Bhar, B.; Das, E.; Manikumar, K.; Mandal, B.B. 3D Bioprinted Human Skin Model Recapitulating Native-Like Tissue Maturation and Immunocompetence as an Advanced Platform for Skin Sensitization Assessment. Adv. Healthc. Mater. 2024, 13, e2303312. [Google Scholar] [CrossRef] [PubMed]
- Upadhyay, U.; Kolla, S.; Maredupaka, S.; Priya, S.; Srinivasulu, K.; Chelluri, L.K. Development of an alginate–chitosan biopolymer composite with dECM bioink additive for organ-on-a-chip articular cartilage. Sci. Rep. 2024, 14, 11765. [Google Scholar] [CrossRef]
- Hogan, K.J.; Perez, M.R.; Öztatlı, H.; Si, S.; Wang, Z.; Jiang, E.Y.; Diba, M.; Garipcan, B.; Mikos, A.G. Development of 3D-printing composite inks based on photoreactive cartilage extracellular matrix and gelatin nanoparticles. Bioprinting 2023, 36, e00317. [Google Scholar] [CrossRef]
- Yu, X.; Deng, Z.; Li, H.; Ma, Y.; Zheng, Q. In situ fabrication of an anisotropic double-layer hydrogel as a bio-scaffold for repairing articular cartilage and subchondral bone injuries. RSC Adv. 2023, 13, 34958–34971. [Google Scholar] [CrossRef]
- Wu, K.; Wang, Y.; Yang, H.; Chen, Y.; Lu, K.; Wu, Y.; Liu, C.; Zhang, H.; Meng, H.; Yu, Q.; et al. Injectable Decellularized Extracellular Matrix Hydrogel Containing Stromal Cell-Derived Factor 1 Promotes Transplanted Cardiomyocyte Engraftment and Functional Regeneration after Myocardial Infarction. ACS Appl. Mater. Interfaces 2023, 15, 2578–2589. [Google Scholar] [CrossRef]
- Li, Y.; Zhang, Y.; Zhong, K.; Liao, S.; Zhang, G. The Development of a 3D PET Fibrous Scaffold Modified with an Umbilical Cord dECM for Liver Tissue Engineering. Polymers 2024, 16, 1794. [Google Scholar] [CrossRef]
- Kim, M.K.; Jeong, W.; Kang, H.-W. Liver dECM–Gelatin Composite Bioink for Precise 3D Printing of Highly Functional Liver Tissues. J. Funct. Biomater. 2023, 14, 417. [Google Scholar] [CrossRef]
- Bui, H.-T.D.; Cho, W.; Park, J.K.; Lee, M.S.; Kim, H.K.; Yoo, H.S. Korean Amberjack Skin-Inspired Hyaluronic Acid Bioink for Reconstruction of Human Skin. ACS Omega 2023, 8, 22752–22761. [Google Scholar] [CrossRef]
- Zhang, X.; Song, W.; Han, K.; Fang, Z.; Cho, E.; Huangfu, X.; He, Y.; Zhao, J. Three-Dimensional Bioprinting of a Structure-, Composition-, and Mechanics-Graded Biomimetic Scaffold Coated with Specific Decellularized Extracellular Matrix to Improve the Tendon-to-Bone Healing. ACS Appl. Mater. Interfaces 2023, 15, 28964–28980. [Google Scholar] [CrossRef] [PubMed]
- Zhang, H.; Wang, Y.; Zheng, Z.; Wei, X.; Chen, L.; Wu, Y.; Huang, W.; Yang, L. Strategies for improving the 3D printability of decellularized extracellular matrix bioink. Theranostics 2023, 13, 2562–2587. [Google Scholar] [CrossRef] [PubMed]
- Monteiro, M.V.; Henriques-Pereira, M.; Neves, B.M.; Duarte, I.D.; Gaspar, V.M.; Mano, J.F. Photo-Compartmentalized Decellularized Matrix-Hyaluronan Hybrid Units for Pancreatic Tumor-Stroma Modeling. Adv. Funct. Mater. 2023, 34, 2305473. [Google Scholar] [CrossRef]
- Almalla, A.; Elomaa, L.; Fribiczer, N.; Landes, T.; Tang, P.; Mahfouz, Z.; Koksch, B.; Hillebrandt, K.H.; Sauer, I.M.; Heinemann, D.; et al. Chemistry matters: A side-by-side comparison of two chemically distinct methacryloylated dECM bioresins for vat photopolymerization. Biomater. Adv. 2024, 160, 213850. [Google Scholar] [CrossRef]
- Duong, V.T.; Nguyen, H.D.; Luong, N.H.; Chang, C.Y.; Lin, C.C. Photo-Responsive Decellularized Small Intestine Submucosa Hydrogels. Adv. Funct. Mater. 2024, 34, 2401952. [Google Scholar] [CrossRef]
- Jang, J.; Kim, T.G.; Kim, B.S.; Kim, S.-W.; Kwon, S.-M.; Cho, D.-W. Tailoring mechanical properties of decellularized extracellular matrix bioink by vitamin B2-induced photo-crosslinking. Acta Biomater. 2016, 33, 88–95. [Google Scholar] [CrossRef]
- Yeleswarapu, S.; Dash, A.; Chameettachal, S.; Pati, F. 3D bioprinting of tissue constructs employing dual crosslinking of decellularized extracellular matrix hydrogel. Biomater. Adv. 2023, 152, 213494. [Google Scholar] [CrossRef]
- Alconcel, S.N.S.; Baas, A.S.; Maynard, H.D. FDA-approved poly(ethylene glycol)-protein conjugate drugs. Polym. Chem. 2011, 2, 1442–1448. [Google Scholar] [CrossRef]
- Fan, Y.; Luchow, M.; Badria, A.; Hutchinson, D.J.; Malkoch, M. Placenta Powder-Infused Thiol-Ene PEG Hydrogels as Potential Tissue Engineering Scaffolds. Biomacromolecules 2023, 24, 1617–1626. [Google Scholar] [CrossRef]
- Friend, N.E.; McCoy, A.J.; Stegemann, J.P.; Putnam, A.J. A combination of matrix stiffness and degradability dictate microvascular network assembly and remodeling in cell-laden poly(ethylene glycol) hydrogels. Biomaterials 2023, 295, 122050. [Google Scholar] [CrossRef]
- Yi, S.; Liu, Q.; Luo, Z.; He, J.J.; Ma, H.L.; Li, W.; Wang, D.; Zhou, C.; Garciamendez, C.E.; Hou, L.; et al. Micropore-Forming Gelatin Methacryloyl (GelMA) Bioink Toolbox 2.0: Designable Tunability and Adaptability for 3D Bioprinting Applications. Small 2022, 18, e2106357. [Google Scholar] [CrossRef] [PubMed]
- Lin, C.-C. Recent advances in crosslinking chemistry of biomimetic poly(ethylene glycol) hydrogels. RSC Adv. 2015, 5, 39844–39853. [Google Scholar] [CrossRef] [PubMed]
- Fairbanks, B.D.; Schwartz, M.P.; Halevi, A.E.; Nuttelman, C.R.; Bowman, C.N.; Anseth, K.S. A Versatile Synthetic Extracellular Matrix Mimic via Thiol-Norbornene Photopolymerization. Adv. Mater. 2009, 21, 5005–5010. [Google Scholar] [CrossRef] [PubMed]
- Lin, C.-C.; Raza, A.; Shih, H. PEG hydrogels formed by thiol-ene photo-click chemistry and their effect on the formation and recovery of insulin-secreting cell spheroids. Biomaterials 2011, 32, 9685–9695. [Google Scholar] [CrossRef]
- Yom-Tov, O.; Seliktar, D.; Bianco-Peled, H. PEG-Thiol based hydrogels with controllable properties. Eur. Polym. J. 2016, 74, 1–12. [Google Scholar] [CrossRef]
- Schwegler, N.; Gebert, T.; Villiou, M.; Colombo, F.; Schamberger, B.; Selhuber-Unkel, C.; Thomas, F.; Blasco, E. Multimaterial 3D Laser Printing of Cell-Adhesive and Cell-Repellent Hydrogels. Small 2024, 20, e2401344. [Google Scholar] [CrossRef]
- Wiley, K.L.; Sutherland, B.P.; Ogunnaike, B.A.; Kloxin, A.M. Rational Design of Hydrogel Networks with Dynamic Mechanical Properties to Mimic Matrix Remodeling. Adv. Healthc. Mater. 2022, 11, e2101947. [Google Scholar] [CrossRef]
- Zengin, A.; Teixeira, F.C.; Feliciano, T.; Habibovic, P.; Mota, C.D.; Baker, M.B.; van Rijt, S. MMP, Matrix metalloproteinase degradable, in situ photocrosslinked nanocomposite bioinks for bioprinting applications. Biomater. Adv. 2023, 154, 213647. [Google Scholar] [CrossRef]
- Piluso, S.; Skvortsov, G.A.; Altunbek, M.; Afghah, F.; Khani, N.; Koc, B.; Patterson, J. 3D bioprinting of molecularly engineered PEG-based hydrogels utilizing gelatin fragments. Biofabrication 2021, 13, 045008. [Google Scholar] [CrossRef]
- Banche-Niclot, F.; Montalbano, G.; Fiorilli, S.; Vitale-Brovarone, C. PEG-Coated Large Mesoporous Silicas as Smart Platform for Protein Delivery and Their Use in a Collagen-Based Formulation for 3D Printing. Int. J. Mol. Sci. 2021, 22, 1718. [Google Scholar] [CrossRef]
- Higuchi, A.; Ling, Q.D.; Hsu, S.T.; Umezawa, A. Biomimetic cell culture proteins as extracellular matrices for stem cell differentiation. Chem. Rev. 2012, 112, 4507–4540. [Google Scholar] [CrossRef] [PubMed]
- Zhang, X.; He, Z.; Xiang, L.; Li, L.; Zhang, H.; Lin, F.; Cao, H. Codelivery of GRP78 siRNA and docetaxel via RGD-PEG-DSPE/DOPA/CaP nanoparticles for the treatment of castration-resistant prostate cancer. Drug Des. Dev. Ther. 2019, 13, 1357–1372. [Google Scholar] [CrossRef] [PubMed]
- Sun, B.; Liu, S.; Hao, R.; Dong, X.; Fu, L.; Han, B. RGD-PEG-PLA Delivers MiR-133 to Infarct Lesions of Acute Myocardial Infarction Model Rats for Cardiac Protection. Pharmaceutics 2020, 12, 575. [Google Scholar] [CrossRef] [PubMed]
- Schoonraad, S.A.; Jaimes, A.A.; Singh, A.J.X.; Croland, K.J.; Bryant, S.J. Osteogenic effects of covalently tethered rhBMP-2 and rhBMP-9 in an MMP-sensitive PEG hydrogel nanocomposite. Acta Biomater. 2023, 170, 53–67. [Google Scholar] [CrossRef]
- Ouyang, L.; Dan, Y.; Shao, Z.; Yang, S.; Yang, C.; Liu, G.; Duan, D. MMP-sensitive PEG hydrogel modified with RGD promotes bFGF, VEGF and EPC-mediated angiogenesis. Exp. Ther. Med. 2019, 18, 2933–2941. [Google Scholar] [CrossRef]
- Schoonraad, S.A.; Trombold, M.L.; Bryant, S.J. The Effects of Stably Tethered BMP-2 on MC3T3-E1 Preosteoblasts Encapsulated in a PEG Hydrogel. Biomacromolecules 2021, 22, 1065–1079. [Google Scholar] [CrossRef]
- Chen, W.; Sheng, S.; Tan, K.; Wang, S.; Wu, X.; Yang, J.; Hu, Y.; Cao, L.; Xu, K.; Zhou, F.; et al. Injectable hydrogels for bone regeneration with tunable degradability via peptide chirality modification. Mater. Horiz. 2024, 11, 4367–4377. [Google Scholar] [CrossRef]
- Chatterjee, S.; Hui, P.C.-l. Review of Applications and Future Prospects of Stimuli-Responsive Hydrogel Based on Thermo-Responsive Biopolymers in Drug Delivery Systems. Polymers 2021, 13, 2086. [Google Scholar] [CrossRef]
- Sokmen, S.; Cakmak, S.; Oksuz, I. 3D printing of an artificial intelligence-generated patient-specific coronary artery segmentation in a support bath. Biomed. Mater. 2024, 19, 035038. [Google Scholar] [CrossRef]
- Shamma, R.N.; Sayed, R.H.; Madry, H.; El Sayed, N.S.; Cucchiarini, M. Triblock Copolymer Bioinks in Hydrogel Three-Dimensional Printing for Regenerative Medicine: A Focus on Pluronic F127. Tissue Eng. Part B Rev. 2021, 28, 451–463. [Google Scholar] [CrossRef]
- Scalzone, A.; Imparato, G.; Urciuolo, F.; Netti, P.A. Bioprinting of human dermal microtissues precursors as building blocks for endogenousin vitroconnective tissue manufacturing. Biofabrication 2024, 16, 035009. [Google Scholar] [CrossRef] [PubMed]
- Zheng, F.; Derby, B.; Wong, J. Fabrication of microvascular constructs using high resolution electrohydrodynamic inkjet printing. Biofabrication 2021, 13, 035006. [Google Scholar] [CrossRef] [PubMed]
- Bedell, M.L.; Navara, A.M.; Du, Y.; Zhang, S.; Mikos, A.G. Polymeric Systems for Bioprinting. Chem. Rev. 2020, 120, 10744–10792. [Google Scholar] [CrossRef] [PubMed]
- Qiu, W.; Gehlen, J.; Bernero, M.; Gehre, C.; Schädli, G.N.; Müller, R.; Qin, X.H. A Synthetic Dynamic Polyvinyl Alcohol Photoresin for Fast Volumetric Bioprinting of Functional Ultrasoft Hydrogel Constructs. Adv. Funct. Mater. 2023, 33, 2214393. [Google Scholar] [CrossRef]
- Dai, W.; Guo, H.; Gao, B.; Ruan, M.; Xu, L.; Wu, J.; Kirk, T.B.; Xu, J.; Ma, D.; Xue, W. F127DA-Double network shape memory hydrogels activated by near-infrared with high mechanical toughness, nontoxicity, and 3D printability. Chem. Eng. J. 2019, 356, 934–949. [Google Scholar] [CrossRef]
- Di Biase, M.; de Leonardis, P.; Castelletto, V.; Hamley, I.W.; Derby, B.; Tirelli, N. F127DA-Photopolymerization of Pluronic F127 diacrylate: A colloid-templated polymerization. Soft Matter 2011, 7, 4928–4937. [Google Scholar] [CrossRef]
- Shi, W.; Jang, S.; Kuss, M.A.; Alimi, O.A.; Liu, B.; Palik, J.; Tan, L.; Krishnan, M.A.; Jin, Y.; Yu, C.; et al. Digital Light Processing 4D Printing of Poloxamer Micelles for Facile Fabrication of Multifunctional Biocompatible Hydrogels as Tailored Wearable Sensors. ACS Nano 2024, 18, 7580–7595. [Google Scholar] [CrossRef]
- Millik, S.C.; Dostie, A.M.; Karis, D.G.; Smith, P.T.; McKenna, M.; Chan, N.; Curtis, C.D.; Nance, E.; Theberge, A.B.; Nelson, A. 3D printed coaxial nozzles for the extrusion of hydrogel tubes toward modeling vascular endothelium. Biofabrication 2019, 11, 045009. [Google Scholar] [CrossRef]
- Ren, B.; Song, K.; Chen, Y.; Murfee, W.L.; Huang, Y. Laponite nanoclay-modified sacrificial composite ink for perfusable channel creation via embedded 3D printing. Compos. Part B Eng. 2023, 263, 110851. [Google Scholar] [CrossRef]
- Ni, F.; Wang, G.; Zhao, H. Fabrication of water-soluble poly(vinyl alcohol)-based composites with improved thermal behavior for potential three-dimensional printing application. J. Appl. Polym. Sci. 2017, 134, 44966. [Google Scholar] [CrossRef]
- Zhang, X.; Gan, J.; Fan, L.; Luo, Z.; Zhao, Y. Bioinspired Adaptable Indwelling Microneedles for Treatment of Diabetic Ulcers. Adv. Mater. 2023, 35, e2210903. [Google Scholar] [CrossRef] [PubMed]
- Li, Z.; Wang, D.; Bai, H.; Zhang, S.; Ma, P.; Dong, W. Photo-Crosslinking Strategy Constructs Adhesive, Superabsorbent, and Tough PVA-Based Hydrogel through Controlling the Balance of Cohesion and Adhesion. Macromol. Mater. Eng. 2019, 305, 1900623. [Google Scholar] [CrossRef]
- Das, R.; Kundu, D. Structural and Transport Properties of Norbornene-Functionalized Poly(vinyl alcohol) “Click” Hydrogel: A Molecular Dynamics Study. ACS Sustain. Chem. Eng. 2023, 11, 10812–10824. [Google Scholar] [CrossRef]
- Setayeshmehr, M.; Hafeez, S.; van Blitterswijk, C.; Moroni, L.; Mota, C.; Baker, M.B. Bioprinting Via a Dual-Gel Bioink Based on Poly(Vinyl Alcohol) and Solubilized Extracellular Matrix towards Cartilage Engineering. Int. J. Mol. Sci. 2021, 22, 3901. [Google Scholar] [CrossRef]
- Chen, X.; Zhang, M.; Zhu, D.; Zhang, J.; Shi, K.; Yang, H.; Gu, S.; Xiao, P.; Zhou, Y. Photocrosslinkable carboxylated polyvinyl alcohol nanocomposite hydrogels with enhanced compressive strength and cell adhesion. Eur. Polym. J. 2023, 196, 112252. [Google Scholar] [CrossRef]
- Amin, M.L.; Mawad, D.; Dokos, S.; Sorrell, C.C. Comparative Bioactivities of Chemically Modified Fucoidan and lambda-Carrageenan toward Cells Encapsulated in Covalently Cross-Linked Hydrogels. Biomacromolecules 2024, 25, 3131–3140. [Google Scholar] [CrossRef]
- Suchaoin, W.; Pereira de Sousa, I.; Netsomboon, K.; Rohrer, J.; Hoffmann Abad, P.; Laffleur, F.; Matuszczak, B.; Bernkop-Schnurch, A. Mucoadhesive polymers: Synthesis and in vitro characterization of thiolated poly(vinyl alcohol). Int. J. Pharm. 2016, 503, 141–149. [Google Scholar] [CrossRef]
- Kuo, Y.-C.; Lee, I.H.; Rajesh, R. Self-assembled ternary poly(vinyl alcohol)-alginate-gelatin hydrogel with controlled-release nanoparticles for pancreatic differentiation of iPS cells. J. Taiwan Inst. Chem. Eng. 2019, 104, 27–39. [Google Scholar] [CrossRef]
- Lim, K.S.; Levato, R.; Costa, P.F.; Castilho, M.D.; Alcala-Orozco, C.R.; van Dorenmalen, K.M.A.; Melchels, F.P.W.; Gawlitta, D.; Hooper, G.J.; Malda, J.; et al. Bio-resin for high resolution lithography-based biofabrication of complex cell-laden constructs. Biofabrication 2018, 10, 034101. [Google Scholar] [CrossRef]
- Zhu, Y.; Kwok, T.; Haug, J.C.; Guo, S.; Chen, X.; Xu, W.; Ravichandran, D.; Tchoukalova, Y.D.; Cornella, J.L.; Yi, J.; et al. 3D Printable Hydrogel with Tunable Degradability and Mechanical Properties as a Tissue Scaffold for Pelvic Organ Prolapse Treatment. Adv. Mater. Technol. 2023, 8, 2201421. [Google Scholar] [CrossRef]
- Goldvaser, M.; Epstein, E.; Rosen, O.; Jayson, A.; Natan, N.; Ben-Shalom, T.; Saphier, S.; Katalan, S.; Shoseyov, O. Poly(vinyl alcohol)-methacrylate with CRGD peptide: A photocurable biocompatible hydrogel. J. Tissue Eng. Regen. Med. 2022, 16, 140–150. [Google Scholar] [CrossRef] [PubMed]
- Liu, T.T.; Jin, M.Q.; Zhang, Y.Z.; Weng, W.X.; Wang, T.L.; Yang, H.Z.; Zhou, L. K+/Sr2+/Na+ triple-doped hydroxyapatites/GelMA composite hydrogel scaffold for the repair of bone defects. Ceram. Int. 2021, 47, 30929–30937. [Google Scholar] [CrossRef]
- Yuan, Z.Y.; Yuan, X.J.; Zhao, Y.M.; Cai, Q.; Wang, Y.; Luo, R.C.; Yu, S.; Wang, Y.Y.; Han, J.M.; Ge, L.H.; et al. Injectable GelMA Cryogel Microspheres for Modularized Cell Delivery and Potential Vascularized Bone Regeneration. Small 2021, 17, 2006596. [Google Scholar] [CrossRef] [PubMed]
- Goto, R.; Nishida, E.; Kobayashi, S.; Aino, M.; Ohno, T.; Iwamura, Y.; Kikuchi, T.; Hayashi, J.I.; Yamamoto, G.; Asakura, M.; et al. Gelatin Methacryloyl-Riboflavin (GelMA-RF) Hydrogels for Bone Regeneration. Int. J. Mol. Sci. 2021, 22, 1635. [Google Scholar] [CrossRef] [PubMed]
- Hu, H.X.; Dong, L.L.; Bu, Z.H.; Shen, Y.F.; Luo, J.; Zhang, H.; Zhao, S.C.; Lv, F.; Liu, Z.T. miR-23a-3p-abundant small extracellular vesicles released from Gelma/nanoclay hydrogel for cartilage regeneration. J. Extracell. Vesicles 2020, 9, 1778883. [Google Scholar] [CrossRef]
- Cuvellier, M.; Ezan, F.; Oliveira, H.; Rose, S.; Fricain, J.C.; Langouët, S.; Legagneux, V.; Baffet, G. 3D culture of HepaRG cells in GelMa and its application to bioprinting of a multicellular hepatic model. Biomaterials 2021, 269, 120611. [Google Scholar] [CrossRef]
- Chu, B.; Zhang, A.L.; Huang, J.Y.; Peng, X.H.; You, L.L.; Wu, C.X.; Tang, S.Q. Preparation and biological evaluation of a novel agarose-grafting-hyaluronan scaffold for accelerated wound regeneration. Biomed. Mater. 2020, 15, 045009. [Google Scholar] [CrossRef]
- Teshima, R.; Osawa, S.; Yoshikawa, M.; Kawano, Y.; Otsuka, H.; Hanawa, T. Low-adhesion and low-swelling hydrogel based on alginate and carbonated water to prevent temporary dilation of wound sites. Int. J. Biol. Macromol. 2024, 254, 127928. [Google Scholar] [CrossRef]
- Zarandi, F.M.; Alizadeh, P.; Kohoolat, G.; Kaviani, A. Novel multifunctional bioactive glass incorporated alginate/poly(amidoamine) hydrogels with controlled drug release for cartilage tissue regeneration. J. Mater. Sci. 2024, 59, 1550–1569. [Google Scholar] [CrossRef]
- Lou, R.Y.; Zheng, G.S.; Chen, X.F.; Liu, X.D.; Yu, W.T. Homogeneously complexed alginate-chitosan hydrogel microspheres for the viability enhancement of entrapped hepatocytes. Int. J. Biol. Macromol. 2024, 277, 134407. [Google Scholar] [CrossRef]
- Akin, B.; Akgul, B.; Tasdurmazli, S.; Abamor, E.S.; Ozbek, T.; Ozcelik, B.; Su, E.; Ozmen, M.M. Tannic Acid Incorporated Antibacterial Polyethylene Glycol Based Hydrogel Sponges for Management of Wound Infections. Macromol. Biosci. 2024, 24, e2400101. [Google Scholar] [CrossRef] [PubMed]
- Hoshi, S.; Okamoto, F.; Arai, M.; Hirose, T.; Sugiura, Y.; Murakami, T.; Oshika, T. Patching retinal breaks with polyethylene glycol-based synthetic hydrogel sealant for retinal detachment in rabbits. Exp. Eye Res. 2018, 177, 117–121. [Google Scholar] [CrossRef] [PubMed]
- Zhang, X.; Xu, B.; Puperi, D.S.; Yonezawa, A.L.; Wu, Y.; Tseng, H.; Cuchiara, M.L.; West, J.L.; Grande-Allen, K.J. Integrating valve-inspired design features into poly(ethylene glycol) hydrogel scaffolds for heart valve tissue engineering. Acta Biomater. 2015, 14, 11–21. [Google Scholar] [CrossRef] [PubMed]
- Rajabi, M.; Cabral, J.D.; Saunderson, S.; Ali, M.A. 3D printing of chitooligosaccharide-polyethylene glycol diacrylate hydrogel inks for bone tissue regeneration. J. Biomed. Mater. Res. A 2023, 111, 1468–1481. [Google Scholar] [CrossRef] [PubMed]
- Liu, Z.W.; Tang, W.Z.; Liu, J.Y.; Han, Y.Y.; Yan, Q.N.; Dong, Y.C.; Liu, X.M.; Yang, D.Z.; Ma, G.X.; Cao, H.L. A novel sprayable thermosensitive hydrogel coupled with zinc modified metformin promotes the healing of skin wound. Bioact. Mater. 2023, 20, 610–626. [Google Scholar] [CrossRef]
- Guo, J.C.; Yang, Y.J.; Xiang, Y.; Guo, X.Y.; Zhang, S.F. Pluronic F127 hydrogel-loaded extracellular vesicles from adipose-derived mesenchymal stem cells promote tracheal cartilage regeneration via SCNN1B delivery. Nanomed. Nanotechnol. Biol. Med. 2024, 58, 102748. [Google Scholar] [CrossRef]
- He, L.L.; Zhou, Q.; Zhang, H.W.; Zhao, N.B.; Liao, L.F. PF127 Hydrogel-Based Delivery of Exosomal CTNNB1 from Mesenchymal Stem Cells Induces Osteogenic Differentiation during the Repair of Alveolar Bone Defects. Nanomaterials 2023, 13, 1083. [Google Scholar] [CrossRef]
- Abd El-Fattah, A.; Hassan, M.N.; Rashad, A.; Marei, M.; Kandil, S. Viscoelasticity, mechanical properties, and in vivo biocompatibility of injectable polyvinyl alcohol/bioactive glass composite hydrogels as potential bone tissue scaffolds. Int. J. Polym. Anal. Charact. 2020, 25, 362–373. [Google Scholar] [CrossRef]
- Liu, S.D.; Li, D.S.; Wang, Y.; Zhou, G.Q.; Ge, K.; Jiang, L. Adhesive, antibacterial and double crosslinked carboxylated polyvinyl alcohol/chitosan hydrogel to enhance dynamic skin wound healing. Int. J. Biol. Macromol. 2023, 228, 744–753. [Google Scholar] [CrossRef]
- Xiang, C.X.; Guo, Z.J.; Zhang, Q.; Wang, Z.H.; Li, X.N.; Chen, W.Y.; Wei, X.C.; Li, P.C.; Xiang, C. Physically crosslinked poly(vinyl alcohol)-based hydrogels for cartilage tissue engineering. Mater. Des. 2024, 243, 113048. [Google Scholar] [CrossRef]
- Kirchmajer, D.M.; Gorkin, R.; Panhuis, M.I.H. An overview of the suitability of hydrogel-forming polymers for extrusion-based 3D-printing. J. Mat. Chem. B 2015, 3, 4105–4117. [Google Scholar] [CrossRef] [PubMed]
- Lee, C.; O’Connell, C.D.; Onofrillo, C.; Choong, P.F.M.; Di Bella, C.; Duchi, S. Concise review: Human articular cartilage repair: Sources and detection of cytotoxicity and genotoxicity in photo-crosslinkable hydrogel bioscaffolds. Stem Cells Transl. Med. 2020, 9, 302–315. [Google Scholar] [CrossRef] [PubMed]
- Didwischus, N.; Guduru, A.; Badylak, S.F.; Modo, M. In vitro dose-dependent effects of matrix metalloproteinases on ECM hydrogel biodegradation. Acta Biomater. 2024, 174, 104–115. [Google Scholar] [CrossRef]
- Laronha, H.; Caldeira, J. Structure and Function of Human Matrix Metalloproteinases. Cells 2020, 9, 1076. [Google Scholar] [CrossRef]
- Wang, C.; Huang, W.; Zhou, Y.; He, L.B.; He, Z.; Chen, Z.L.; He, X.; Tian, S.; Liao, J.M.; Lu, B.H.; et al. 3D printing of bone tissue engineering scaffolds. Bioact. Mater. 2020, 5, 82–91. [Google Scholar] [CrossRef]
- Xin, W.W.; Gao, Y.J.; Yue, B. Recent Advances in Multifunctional Hydrogels for the Treatment of Osteomyelitis. Front. Bioeng. Biotech. 2022, 10, 865250. [Google Scholar] [CrossRef]
- Zhang, C.; Hao, J.T.; Shi, W.L.; Su, Y.; Mitchell, K.; Hua, W.J.; Jin, W.B.; Lee, S.; Wen, L.; Jin, Y.F.; et al. Sacrificial scaffold-assisted direct ink writing of engineered aortic valve prostheses. Biofabrication 2023, 15, 045015. [Google Scholar] [CrossRef]
- Morales, K.J.D.; Santosa, U.; Brazhkina, O.; Rajurkar, P.; Jo, H.; Davis, M.E. A Biomimetic Leaflet Scaffold for Aortic Valve Remodeling. Adv. Healthc. Mater. 2024, 13, e2303972. [Google Scholar] [CrossRef]
- Fang, Y.; Guo, Y.; Wu, B.; Liu, Z.; Ye, M.; Xu, Y.; Ji, M.; Chen, L.; Lu, B.; Nie, K.; et al. Expanding Embedded 3D Bioprinting Capability for Engineering Complex Organs with Freeform Vascular Networks. Adv. Mater. 2023, 35, e2205082. [Google Scholar] [CrossRef]
- Wagner, A.; Mühlberger, M.; Paulik, C. Photoinitiator-free photopolymerization of acrylate-bismaleimide mixtures and their application for inkjet printing. J. Appl. Polym. Sci. 2019, 136, 47789. [Google Scholar] [CrossRef]
- Farkas, B.; Dante, S.; Brandi, F. Photoinitiator-free 3D scaffolds fabricated by excimer laser photocuring. Nanotechnology 2017, 28, 034001. [Google Scholar] [CrossRef] [PubMed]
- Chang, H.; Shi, M.; Sun, Y.-N.; Jiang, J.-Q. Photo-dimerization characteristics of coumarin pendants within amphiphilic random copolymer micelles. Chin. J. Polym. Sci. 2015, 33, 1086–1095. [Google Scholar] [CrossRef]
- Wang, L.; Liu, F.; Zhai, X.; Dong, W.; Wei, W.; Hu, Z. An adhesive gelatin-coated small intestinal submucosa composite hydrogel dressing aids wound healing. Int. J. Biol. Macromol. 2023, 241, 124622. [Google Scholar] [CrossRef] [PubMed]
- Mao, H.; Zhao, S.; He, Y.; Feng, M.; Wu, L.; He, Y.; Gu, Z. Multifunctional polysaccharide hydrogels for skin wound healing prepared by photoinitiator-free crosslinking. Carbohydr. Polym. 2022, 285, 119254. [Google Scholar] [CrossRef] [PubMed]
- Rickett, T.A.; Amoozgar, Z.; Tuchek, C.A.; Park, J.; Yeo, Y.; Shi, R. Rapidly Photo-Cross-Linkable Chitosan Hydrogel for Peripheral Neurosurgeries. Biomacromolecules 2011, 12, 57–65. [Google Scholar] [CrossRef]
- Li, Z.; Kumar, H.; Guo, C.; Shin, J.; He, X.; Lu, Q.; Bai, H.; Kim, K.; Hu, J. Development of Antifreezing, Printable, Adhesive, Tough, Biocompatible, High-Water Content Hydrogel for Versatile Applications. ACS Appl. Mater. Interfaces 2023, 15, 16034–16045. [Google Scholar] [CrossRef]
- Hua, Y.; Xia, H.; Jia, L.; Zhao, J.; Zhao, D.; Yan, X.; Zhang, Y.; Tang, S.; Zhou, G.; Zhu, L.; et al. Ultrafast, tough, and adhesive hydrogel based on hybrid photocrosslinking for articular cartilage repair in water-filled arthroscopy. Sci. Adv. 2021, 7, eabg0628. [Google Scholar] [CrossRef]
- Urciuolo, A.; Poli, I.; Brandolino, L.; Raffa, P.; Scattolini, V.; Laterza, C.; Giobbe, G.G.; Zambaiti, E.; Selmin, G.; Magnussen, M.; et al. Intravital three-dimensional bioprinting. Nat. Biomed. Eng. 2020, 4, 901–915. [Google Scholar] [CrossRef]
- Zhang, P.; Teng, Z.; Zhou, M.; Yu, X.; Wen, H.; Niu, J.; Liu, Z.; Zhang, Z.; Liu, Y.; Qiu, J.; et al. Upconversion 3D Bioprinting for Noninvasive In Vivo Molding. Adv. Mater. 2024, 36, e2310617. [Google Scholar] [CrossRef]
- Chen, Y.; Zhang, J.; Liu, X.; Wang, S.; Tao, J.; Huang, Y.; Wu, W.; Li, Y.; Zhou, K.; Wei, X.; et al. Noninvasive in vivo 3D bioprinting. Sci. Adv. 2020, 6, eaba7406. [Google Scholar] [CrossRef]
- Tripathi, S.; Dash, M.; Chakraborty, R.; Lukman, H.J.; Kumar, P.; Hassan, S.; Mehboob, H.; Singh, H.; Nanda, H.S. Engineering considerations in the design of tissue specific bioink for 3D bioprinting applications. Biomater. Sci. 2024. [Google Scholar] [CrossRef] [PubMed]
- Zhang, Q.; Bei, H.P.; Zhao, M.N.; Dong, Z.F.; Zhao, X. Shedding light on 3D printing: Printing photo-crosslinkable constructs for tissue engineering. Biomaterials 2022, 286, 121566. [Google Scholar] [CrossRef] [PubMed]
- Tian, J.X.; Song, X.; Wang, Y.Q.; Cheng, M.B.; Lu, S.; Xu, W.; Gao, G.B.; Sun, L.; Tang, Z.L.; Wang, M.H.; et al. Regulatory perspectives of combination products. Bioact. Mater. 2022, 10, 492–503. [Google Scholar] [CrossRef] [PubMed]













| Name | TPO | Irgacure 2959 | LAP | VA-086 | Riboflavin |
|---|---|---|---|---|---|
| Absorption spectrum (λmax nm) | 350–380 420–440 | 365 | 365/405 | 365–385 | 444 |
| Structure | ![]() | ![]() | ![]() | ![]() | ![]() |
| Strengths | Good thermal stability | Low cytotoxicity and minimal immunogenicity | High water solubility and high molar absorptivity | Good biocompatibility | Nontoxic, biocompatible, high water solubility |
| Weaknesses | Low water solubility | Low molar absorptivity and water solubility | Lithium toxicity | Bubble generation during crosslinking | Co-initiator required, ROS generation |
| Applicable hydrogels | GelMA, PEGDA | GelMA, MeHA, PEGDA, HAMA | PEGDA, GelMA | GelMA, PEGDA | HA-Tyr |
| Ref. | [133,134] | [114] | [135,136] | [137] | [138,139] |
| Name | CQ | [Ru(bpy)3]Cl2 | FR | Eosin Y | |
| Absorption spectrum (λmax nm) | 450–500 | 452 | 490 | 450–550 | |
| Structure | ![]() | ![]() | ![]() | ![]() | |
| Strengths | Good photochemical stability | Good photophysical properties, less oxygen inhibition | Good chemical stability | High water solubility | |
| Weaknesses | Low water solubility, slow initiating rate | Low water solubility | Co-initiators required | Co-initiators required | |
| Applicable hydrogels | HAMA | Gtn-HPA, GelMA | MeGC | PEGDA, GelMA, HA-Tyr | |
| Ref. | [140] | [141,142] | [139,143] | [144,145] |
| Biomaterials | Typical Photocrosslinkable Derivatives | Strengths | Weaknesses | Applications | Refs. | |
|---|---|---|---|---|---|---|
| Natural | Collagen | ColMA; NorCol | Good biocompatibility and bioactivity; Thermally responsive; Minimal antigenicity; MMP-degradable; Abundant cell adhesion sites | Poor mechanical strength; Poor solubility | Skin, cartilage, blood vessel, etc. | [157,158,159,160,161,164,165,166] |
| Gelatin | GelMA; GelNB; GelSH | Excellent biocompatibility; Thermally responsive; Stable physical properties; MMP-degradable; Abundant cell adhesion sites | Poor mechanical strength; Limited tunability of mechanical properties | Bone, cartilage, liver, heart, blood vessel, skin, etc. | [112,175,180,181,302,303,304,305,306] | |
| Hyaluronic acid | HAMA; HA-Tyr; NorHA | Good biocompatibility; Biodegradable; Superior hydrophilicity | Lack of cell adhesion sites | Drug delivery, wound dressing, bone, cartilage, etc. | [105,188,189,190,191,192,204,307] | |
| Alginate | AlgMA; AlgNB | Good biocompatibility; Biodegradable | Lack of cell adhesion sites | Skin, cartilage, liver, etc. | [214,222,223,308,309,310] | |
| Silk fibroin | SFMA; SF-NB | Stable mechanical properties; Biocompatibility; Biodegradable; Low cytotoxicity | Lack of cell adhesion sites | Bone regeneration, cartilage repair, wound dressing, angiogenesis, etc. | [229,230,231,232,241,242] | |
| Decellularized Extracellular Matrix | dECM-MA; dECM-NB | Good biocompatibility; Biodegradable; Simulation of the microenvironment in vivo | Slow gelation speed; Insufficient mechanical strength | Cartilage, heart, liver, skin, tendon regeneration, etc. | [244,245,246,247,248,249,250,251,253] | |
| Synthetic | Polyethylene Glycol | PEGMA; PEGDA; PEG-SH/PEG-NB | Good biocompatibility; Hydrophilicity; Low immune inflammation | Lack of cell adhesion sites and enzymatically degradable sites | Wound dressing, eye, heart, bone, etc. | [55,258,262,263,264,265,311,312,313,314] |
| Pluronic F127 | PF127MA; PF127DA | Good biocompatibility; Thermally responsive | Lack of cell adhesion sites and enzymatically degradable sites | Skin, cartilage, bone, etc. | [280,285,286,287,315,316,317] | |
| Polyvinyl alcohol | PVAMA; PVA-NB | Good biocompatibility; Enough sites for chemical modifications | Lack of cell adhesion sites and enzymatically degradable sites | Skin, bone, cartilage, etc. | [298,300,318,319,320] |
Disclaimer/Publisher’s Note: The statements, opinions and data contained in all publications are solely those of the individual author(s) and contributor(s) and not of MDPI and/or the editor(s). MDPI and/or the editor(s) disclaim responsibility for any injury to people or property resulting from any ideas, methods, instructions or products referred to in the content. |
© 2024 by the authors. Licensee MDPI, Basel, Switzerland. This article is an open access article distributed under the terms and conditions of the Creative Commons Attribution (CC BY) license (https://creativecommons.org/licenses/by/4.0/).
Share and Cite
Lai, Y.; Xiao, X.; Huang, Z.; Duan, H.; Yang, L.; Yang, Y.; Li, C.; Feng, L. Photocrosslinkable Biomaterials for 3D Bioprinting: Mechanisms, Recent Advances, and Future Prospects. Int. J. Mol. Sci. 2024, 25, 12567. https://doi.org/10.3390/ijms252312567
Lai Y, Xiao X, Huang Z, Duan H, Yang L, Yang Y, Li C, Feng L. Photocrosslinkable Biomaterials for 3D Bioprinting: Mechanisms, Recent Advances, and Future Prospects. International Journal of Molecular Sciences. 2024; 25(23):12567. https://doi.org/10.3390/ijms252312567
Chicago/Turabian StyleLai, Yushang, Xiong Xiao, Ziwei Huang, Hongying Duan, Liping Yang, Yuchu Yang, Chenxi Li, and Li Feng. 2024. "Photocrosslinkable Biomaterials for 3D Bioprinting: Mechanisms, Recent Advances, and Future Prospects" International Journal of Molecular Sciences 25, no. 23: 12567. https://doi.org/10.3390/ijms252312567
APA StyleLai, Y., Xiao, X., Huang, Z., Duan, H., Yang, L., Yang, Y., Li, C., & Feng, L. (2024). Photocrosslinkable Biomaterials for 3D Bioprinting: Mechanisms, Recent Advances, and Future Prospects. International Journal of Molecular Sciences, 25(23), 12567. https://doi.org/10.3390/ijms252312567










