The Molecular Characterization and Antioxidant Defense of a Novel Nrf2 from the Pacific Abalone Haliotis discus hannai Ino
Abstract
1. Introduction
2. Results
2.1. Molecular Characteristics of the HdhNrf2 Gene in H. discus hannai
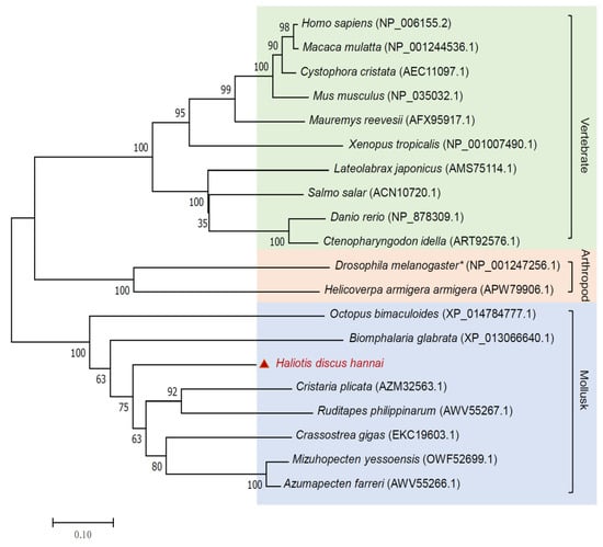
2.2. Multi-Sequence Alignment Comparison and Evolution Analysis of HdhNrf2
2.3. Distribution of HdhNrf2 in Tissues of H. discus hannai
2.4. Quantitative Analysis of the HdhNrf2 and Antioxidant Genes Expression After H2O2 Challenge
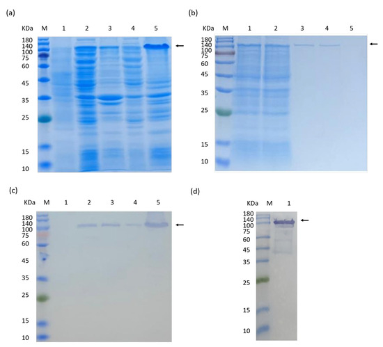
2.5. Expression and Purification of pET28a-Nrf2 Recombinant Protein
3. Discussion
4. Materials and Methods
4.1. Experimental Animals
4.2. H2O2 Challenge and Preparation of Different Tissues
4.3. Cloning of the HdhNrf2 cDNA Sequence
4.4. Sequence Analysis
4.5. Quantitative Real-Time PCR (qPCR)
4.6. Recombinant Expression
4.7. Western Blotting
4.8. Determination of Antioxidant Enzyme Activity in H. discus hannai
4.9. Statistical Analysis
5. Conclusions
Supplementary Materials
Author Contributions
Funding
Institutional Review Board Statement
Informed Consent Statement
Data Availability Statement
Conflicts of Interest
References
- Harris, I.S.; DeNicola, G.M. The Complex Interplay between Antioxidants and ROS in Cancer. Trends Cell Biol. 2020, 30, 440–451. [Google Scholar] [CrossRef] [PubMed]
- Sies, H.; Jones, D.P. Reactive oxygen species (ROS) as pleiotropic physiological signalling agents. Nat. Rev. Mol. Cell Biol. 2020, 21, 363–383. [Google Scholar] [CrossRef] [PubMed]
- Finkel, T.; Holbrook, N.J. Oxidants, oxidative stress and the biology of ageing. Nature 2000, 408, 239–247. [Google Scholar] [CrossRef] [PubMed]
- De la Ballina, N.R.; Maresca, F.; Cao, A.; Villalba, A. Bivalve haemocyte subpopulations: A review. Front. Immunol. 2022, 13, 826255. [Google Scholar] [CrossRef]
- Zhang, S.; He, Y.; Sen, B.; Wang, G. Reactive oxygen species and their applications toward enhanced lipid accumulation in oleaginous microorganisms. Bioresour. Technol. 2020, 307, 123234. [Google Scholar] [CrossRef]
- Douarre, C.; Mergui, X.; Sidibe, A.; Gomez, D.; Alberti, P.; Mailliet, P.; Trentesaux, C.; Riou, J.-F. DNA damage signaling induced by the G-quadruplex ligand 12459 is modulated by PPM1D/WIP1 phosphatase. Nucleic Acids Res. 2013, 41, 3588–3599. [Google Scholar] [CrossRef]
- Cuadrado, A.; Rojo, A.I.; Wells, G.; Hayes, J.D.; Cousin, S.P.; Rumsey, W.L.; Attucks, O.C.; Franklin, S.; Levonen, A.-L.; Kensler, T.W.; et al. Therapeutic targeting of the NRF2 and KEAP1 partnership in chronic diseases. Nat. Rev. Drug Discov. 2019, 18, 295–317. [Google Scholar] [CrossRef]
- Fão, L.; Mota, S.I.; Rego, A.C. Shaping the Nrf2-ARE-related pathways in Alzheimer’s and Parkinson’s diseases. Ageing Res. Rev. 2019, 54, 100942. [Google Scholar] [CrossRef]
- Lee, J.M.; Johnson, J.A. An important role of Nrf2-ARE pathway in the cellular defense mechanism. J. Biochem. Mol. Biol. 2004, 37, 139–143. [Google Scholar] [CrossRef]
- Shaw, P.; Chattopadhyay, A. Nrf2–ARE signaling in cellular protection: Mechanism of action and the regulatory mechanisms. J. Cell. Physiol. 2019, 235, 3119–3130. [Google Scholar] [CrossRef]
- Sies, H.; Berndt, C.; Jones, D.P. Oxidative Stress. Annu. Rev. Biochem. 2017, 86, 715–748. [Google Scholar] [CrossRef] [PubMed]
- Kobayashi, M.; Itoh, K.; Suzuki, T.; Osanai, H.; Nishikawa, K.; Katoh, Y.; Takagi, Y.; Yamamoto, M. Identification of the interactive interface and phylogenic conservation of the Nrf2-Keap1 system. Genes Cells 2002, 7, 807–820. [Google Scholar] [CrossRef] [PubMed]
- Takagi, Y.; Kobayashi, M.; Li, L.; Suzuki, T.; Nishikawa, K.; Yamamoto, M. MafT, a new member of the small Maf protein family in zebrafish. Biochem. Biophys. Res. Commun. 2004, 320, 62–69. [Google Scholar] [CrossRef] [PubMed]
- Timme-Laragy, A.R.; Karchner, S.I.; Franks, D.G.; Jenny, M.J.; Harbeitner, R.C.; Goldstone, J.V.; McAuthur, A.G.; Hahn, M.E. Nrf2b, novel zebrafish paralog of oxidant-responsive transcription factor NF-E2-related factor 2 (NRF2). J. Biol. Chem. 2012, 287, 4609–4627. [Google Scholar] [CrossRef]
- Williams, L.M.; Timme-Laragy, A.R.; Goldstone, J.V.; Mcarthur, A.G.; Stegeman, J.J.; Smolowitz, R.M.; Hahn, M.E. Developmental expression of the nfe2-related factor (nrf) transcription factor family in the zebrafish, Danio rerio. PLoS ONE 2013, 8, e79574. [Google Scholar] [CrossRef]
- Giuliani, M.E.; Regoli, F. Identification of the Nrf2–Keap1 pathway in the European eel Anguilla anguilla: Role for a transcriptional regulation of antioxidant genes in aquatic organisms. Aquat. Toxicol. 2014, 150, 117–123. [Google Scholar] [CrossRef]
- Jiang, W.D.; Liu, Y.; Jiang, J.; Wu, P.; Feng, L.; Zhou, X.Q. Copper exposure induces toxicity to the antioxidant system via the destruction of Nrf2/ARE signalling and caspase-3-regulated DNA damage in fish muscle: Amelioration by myo-inositol. Aquat. Toxicol. 2015, 159, 245–255. [Google Scholar] [CrossRef]
- Zheng, J.L.; Zeng, L.; Shen, B.; Xu, M.Y.; Zhu, A.Y.; Wu, C.W. Antioxidant defenses at transcriptional and enzymatic levels and gene expression of Nrf2-Keap1 signalling molecules in response to acute zinc exposure in the spleen of the large yellow croaker Pseudosciaena crocea. Fish Shellfish Immunol. 2016, 52, 1–8. [Google Scholar] [CrossRef]
- Danielli, N.M.; Trevisan, R.; Mello, D.F.; Fishcer, K.; Deconto, V.S.; Acosta, D.S.; Bianchini, A.; Bainy, A.C.D.; Dafre, A.L. Upregulating Nrf2-dependent antioxidant defenses in Pacific oysters Crassostrea gigas: Investigating the Nrf2/Keap1 pathway in bivalves. Comp. Biochem. Physiol. C Toxicol. Pharmacol. 2017, 195, 16–26. [Google Scholar] [CrossRef]
- Danielli, N.M.; Trevisan, R.; Mello, D.F.; Fishcer, K.; Deconto, V.S.; Bianchini, A.; Bainy, A.C.D.; Dafre, A.L. Contrasting effects of a classic Nrf2 activator, tert-butylhydroquinone, on the glutathione-related antioxidant defenses in Pacific oysters, Crassostrea gigas. Mar. Env. Res. 2017, 130, 142–149. [Google Scholar] [CrossRef]
- Wang, H.; Pan, L.; Si, L.; Milao, J. The role of Nrf2-Keap1 signalling pathway in the antioxidant defense response induced by PAHs in the calm Ruditapes philippinarum. Fish Shellfish Immunol. 2018, 80, 325–334. [Google Scholar] [CrossRef] [PubMed]
- De Zoysa, M.; Whang, I.; Lee, Y.; Lee, S.; Lee, J.S.; Lee, J. Transcriptional analysis of antioxidant and immune defense genes in disk abalone (Haliotis discus discus) during thermal, low-salinity and hypoxic stress. Comp. Biochem. Physiol. B Biochem. Mol. Biol. 2009, 154, 387–395. [Google Scholar] [CrossRef] [PubMed]
- Karunatilleke, N.C.; Fast, C.S.; Ngo, V.; Brickenden, A.; Duennwald, M.L.; Konermann, L.; Choy, W.-Y. Nrf2, the Major Regulator of the Cellular Oxidative Stress Response, is Partially Disordered. Int. J. Mol. Sci. 2021, 22, 7434. [Google Scholar] [CrossRef] [PubMed]
- Nioi, P.; Nguyen, T.; Sherratt, P.J.; Pickett, C.B. The carboxy-terminal neh3 domain of nrf2 is required for transcriptional activation. Mol. Cell. Biol. 2005, 25, 10895–10906. [Google Scholar] [CrossRef]
- Katoh, Y.; Itoh, K.; Yoshida, E.; Miyagishi, M.; Fukamizu, A.; Yamamoto, M. Two domains of Nrf2 cooperatively bind CBP, a CREB binding protein, and synergistically activate transcription. Genes Cells 2001, 6, 857–868. [Google Scholar] [CrossRef]
- Hayes, J.D.; Dinkova-Kostova, A.T. The Nrf2 regulatory network provides an interface between redox and intermediary metabolism. Trends Biochem. Sci. 2014, 39, 199–218. [Google Scholar] [CrossRef]
- Wang, H.; Liu, K.; Geng, M.; Gao, P.; Wu, X.; Hai, Y.; Li, Y.; Li, Y.; Luo, L.; Hayes, J.D.; et al. RXRα inhibits the NRF2–ARE signaling pathway through a direct interaction with the Neh7 domain of NRF2. Cancer Res. 2013, 73, 3097–3108. [Google Scholar] [CrossRef]
- Hine, P.M. The inter–relationships of bivalve haemocytes. Fish Shellfish Immunol. 1999, 9, 367–385. [Google Scholar] [CrossRef]
- Lu, X.; Wang, C.; Liu, B. The role of Cu/Zn-SOD and Mn-SOD in the immune response to oxidative stress and pathogen challenge in the clam Meretrix meretrix. Fish Shellfish Immunol. 2015, 42, 58–65. [Google Scholar] [CrossRef]
- Pushpamali, W.A.; De Zoysa, M.; Kang, H.S.; Oh, C.H.; Whang, I.; Kim, S.J.; Lee, J. Comparative study of two thioredoxin peroxidases from disk abalone (Haliotis discus discus): Cloning, recombinant protein purification, characterization of antioxidant activities and expression analysis. Fish Shellfish Immunol. 2008, 24, 294–307. [Google Scholar] [CrossRef]
- Wang, D.; Li, F.; Chi, Y.; Xiang, J. Potential relationship among three antioxidant enzymes in eliminating hydrogen peroxide in penaeid shrimp. Cell Stress Chaperone 2012, 17, 423–433. [Google Scholar] [CrossRef] [PubMed]
- De Zoysa, M.; Pushpamali, W.A.; Whang, I.; Kim, S.J.; Lee, J. Mitochondrial thioredoxin-2 from disk abalone (Haliotis discus discus): Molecular characterization, tissue expression and DNA protection activity of its recombinant protein. Comp. Biochem. Physiol. B Biochem. Mol. Biol. 2008, 149, 630–639. [Google Scholar] [CrossRef] [PubMed]
- Kim, Y.C.; Masutani, H.; Yamaguchi, Y.; Itoh, K.; Yamamoto, M.; Yodoi, J. Hemin-induced Activation of the Thioredoxin Gene by Nrf2 A differential regulation of the antioxidant responsive element by a switch of its binding factors. J. Bio. Chem. 2001, 276, 18399–18406. [Google Scholar] [CrossRef] [PubMed]
- Itoh, K.; Wakabayashi, N.; Katoh, Y.; Ishii, T.; O’Connor, T.; Yamamoto, M. Keap1 regulates both cytoplasmic–nuclear shuttling and degradation of nrf2 in response to electrophiles. Genes Cells 2003, 8, 379–391. [Google Scholar] [CrossRef] [PubMed]
- Van der Horst, D.; Carter-Timofte, M.E.; van Grevenynghe, J.; Laguette, N.; Dinkova-Kostova, A.T.; Olagnier, D. Regulation of innate immunity by Nrf2. Curr. Opin. Immunol. 2022, 78, 102247. [Google Scholar] [CrossRef]
- Ma, F.; Luo, S.; Lu, C.; Jiang, X.; Chen, K.; Deng, J.; Ma, S.; Li, Z. The role of Nrf2 in periodontal disease by regulating lipid peroxidation, inflammation and apoptosis. Front. Endocrinol. 2022, 13, 963451. [Google Scholar] [CrossRef]
- Gallorini, M.; Carradori, S.; Panieri, E.; Sova, M.; Saso, L. Modulation of NRF2: Biological dualism in cancer, targets and possible therapeutic applications. Antioxid. Redox Signal. 2023, 40, 636–662. [Google Scholar] [CrossRef]
- Wang, Y.; Duan, Y.F.; Huang, J.H.; Wang, J.; Zhou, C.P.; Jiang, S.G.; Lin, H.Z.; Zhang, Z. Characterization and functional study of nuclear factor erythroid 2-related factor 2 (Nrf2) in black tiger shrimp (Penaeus monodon). Fish Shellfish Immunol. 2021, 119, 289–299. [Google Scholar] [CrossRef]
- Chen, X.; Wang, Q.; Guo, Z.; Zhao, Y.; Luo, S.; Yu, T.; Zhang, D.; Wang, G. Identification of the Nrf2 in the fathead minnow muscle cell line: Role for a regulation in response to H2O2 induced the oxidative stress in fish cell. Fish Physiol. Biochem. 2020, 46, 1699–1711. [Google Scholar] [CrossRef]
- Huang, Y.; Li, Q.; Yuan, Y.; Zhang, Z.; Jiang, B.; Yang, S.; Jian, J. Silencing of Nrf2 in Litopenaeus vannamei, decreased the antioxidant capacity, and increased apoptosis and autophagy. Fish Shellfish Immunol. 2022, 122, 257–267. [Google Scholar] [CrossRef]
- Huang, W.B.; Ren, H.L.; Gopalakrishnan, S.; Xu, D.D.; Qiao, K.; Wang, K.L. First molecular cloning of a molluscan caspase from variously colored abalone (Haliotis diversicolor) and gene expression analysis with bacterial challenge. Fish Shellfish Immunol. 2010, 28, 587–595. [Google Scholar] [CrossRef] [PubMed]
- Qiao, K.; Jiang, C.; Xu, M.; Chen, B.; Qiu, W.; Su, Y.; Hao, H.; Lin, Z.Y.; Cai, S.L.; Su, J.; et al. Molecular characterization of the von Willebrand factor type D domain of vitellogenin from Takifugu flavidus. Mar. Drugs 2021, 19, 181. [Google Scholar] [CrossRef] [PubMed]
- Qiao, K.; Wang, C.; Huang, L.; Feng, H.; Chen, B.; Xu, M.; Su, Y.; Liu, S.J.; Pan, N.; Su, J.; et al. Molecular Characterization of a New Tetrodotoxin-Binding Protein, Peroxiredoxin-1, from Takifugu bimaculatus. Int. J. Mol. Sci. 2022, 23, 3071. [Google Scholar] [CrossRef] [PubMed]
- Lee, S.Y.; Nam, Y.K. Evaluation of reference genes for RT-qPCR study in abalone Haliotis discus hannai during heavy metal overload stress. Fish Aquat. Sci. 2016, 19, 21. [Google Scholar] [CrossRef]
- Qiao, K.; Zheng, C.; Chen, B.; Su, Y.; Hao, H.; Xu, M.; Cai, S.; Liu, Z. Expression characteristics of peptidoglycan recognition protein in Haliotis Discus Hannai. J. Dalian Ocean Univ. 2023, 38, 947–955. [Google Scholar]







| Protein | Species | Accession Number | Query Cover | Identity | E-Value |
|---|---|---|---|---|---|
| Nrf2 | Cristaria plicata | AZM32563.1 | 95% | 47% | 0.0 |
| Nrf2 | Crassostrea gigas | EKC19603.1 | 97% | 40% | 2 × 10−112 |
| Nrf2 | Azumapecten farreri | AWV55266.1 | 95% | 46.62% | 2 × 10−172 |
| Nrf2 | Ruditapes philippinarum | AWV55267.1 | 71% | 44.72% | 9 × 10−126 |
| Nrf2 | Danio rerio | NP_878309.1 | 34% | 45.02% | 8 × 10−51 |
| CNC | Drosophila melanogaster | NP_001247256.1 | 25% | 42.50% | 1 × 10−43 |
| Nrf2 | Mus musculus | NP_035032.1 | 67% | 42.73% | 3 × 10−46 |
| Nrf2 | Homo sapiens | NP_006155.2 | 55% | 52.41% | 7 × 10−47 |
| Gene | Usage | Primer Sequences (5′-3′) | GenBank ID |
|---|---|---|---|
| HdhNrf2-F1 | 3′-RACE | TTACAATGTGCATGGATATAACGTTTGCCTG | MK848864 |
| HdhNrf2-F2 | 3′-RACE | TGCCTGGAATGAAGAGACACATTGAAAT | |
| HdhNrf2-R1 | 5′-RACE | CCCGTATGTGGCATCACGGACTGTA | MK848864 |
| HdhNrf2-R2 | 5′-RACE | GCAACATTTTCGAGGTTTTCAATACCACAA | |
| HdhTPX1 QS3 | qPCR | TCAACACTCCACGTGACCAG | MN123623 |
| HdhTPX1 QA3 | qPCR | GCGTAGGACTCCCTTGTTGT | |
| HdhTPX2 QS3 | qPCR | CTGTTGGACGCTCAGTGGAT | MK257743 |
| HdhTPX2 QA3 | qPCR | AGTAGTTCTGGCTGCCCTTG | |
| HdhCu/Zn-SOD QS2 | qPCR | CAGTTCGGGGACAACACCAA | KX302627 |
| HdhCu/Zn-SOD QA2 | qPCR | TGTTTGCTACTCCTGATGCGT | |
| HdhMn-SOD QS3 | qPCR | GGACTGGTTCCCCTCTTTGG | KX302628 |
| HdhMn-SOD QA3 | qPCR | GCCACATTTTCCCAGTTGGC | |
| HdhTrX2 QS2 | qPCR | GGCAAAGCAGGCAAAGTGATT | MN123624 |
| HdhTrX2 QA2 | qPCR | GCTGACCATTTCTGATGCCC | |
| HdhNrf2 QS2 | qPCR | CGAGGCAAACACTACAAGCG | MK848864 |
| HdhNrf2 QA2 | qPCR | GGGCGACATGCTTTGAGTTG | |
| 3RPL-FW | qPCR | TCATTGCACACACCCAGACT | KP698943 |
| 3RPL-RV | qPCR | CAATGACCTCATCCTGTTCG | |
| 7RPL-FW | qPCR | CAAGCTGAACACTCCAAACG | KP698945 |
| 7RPL-RV | qPCR | TCCACAGCACTGATGTTTCC |
Disclaimer/Publisher’s Note: The statements, opinions and data contained in all publications are solely those of the individual author(s) and contributor(s) and not of MDPI and/or the editor(s). MDPI and/or the editor(s) disclaim responsibility for any injury to people or property resulting from any ideas, methods, instructions or products referred to in the content. |
© 2024 by the authors. Licensee MDPI, Basel, Switzerland. This article is an open access article distributed under the terms and conditions of the Creative Commons Attribution (CC BY) license (https://creativecommons.org/licenses/by/4.0/).
Share and Cite
Qiao, K.; Huang, Q.; Chen, B.; Xu, M.; Hao, H.; Su, Y.; Liu, S.; Pan, N.; Liu, Z. The Molecular Characterization and Antioxidant Defense of a Novel Nrf2 from the Pacific Abalone Haliotis discus hannai Ino. Int. J. Mol. Sci. 2024, 25, 12429. https://doi.org/10.3390/ijms252212429
Qiao K, Huang Q, Chen B, Xu M, Hao H, Su Y, Liu S, Pan N, Liu Z. The Molecular Characterization and Antioxidant Defense of a Novel Nrf2 from the Pacific Abalone Haliotis discus hannai Ino. International Journal of Molecular Sciences. 2024; 25(22):12429. https://doi.org/10.3390/ijms252212429
Chicago/Turabian StyleQiao, Kun, Qiongmei Huang, Bei Chen, Min Xu, Hua Hao, Yongchang Su, Shuji Liu, Nan Pan, and Zhiyu Liu. 2024. "The Molecular Characterization and Antioxidant Defense of a Novel Nrf2 from the Pacific Abalone Haliotis discus hannai Ino" International Journal of Molecular Sciences 25, no. 22: 12429. https://doi.org/10.3390/ijms252212429
APA StyleQiao, K., Huang, Q., Chen, B., Xu, M., Hao, H., Su, Y., Liu, S., Pan, N., & Liu, Z. (2024). The Molecular Characterization and Antioxidant Defense of a Novel Nrf2 from the Pacific Abalone Haliotis discus hannai Ino. International Journal of Molecular Sciences, 25(22), 12429. https://doi.org/10.3390/ijms252212429

