Mechanistic Insights into the Stimulatory Effect of Melanogenesis of 4-Methylcoumarin Derivatives in B16F10 Melanoma Cells
Abstract
1. Introduction
2. Results
2.1. Cell Viability and Melanin Content of 4MC Derivatives in B16F10 Cells
2.2. Effect of 6M-4MC on Tyrosinase Activity in B16F10 Cells
2.3. The Effect of 6M-4MC on the Expression of Melanogenic Enzymes and MITF
2.4. The Effect of 6M-4MC on the Wnt/β-Catenin Signaling Pathway
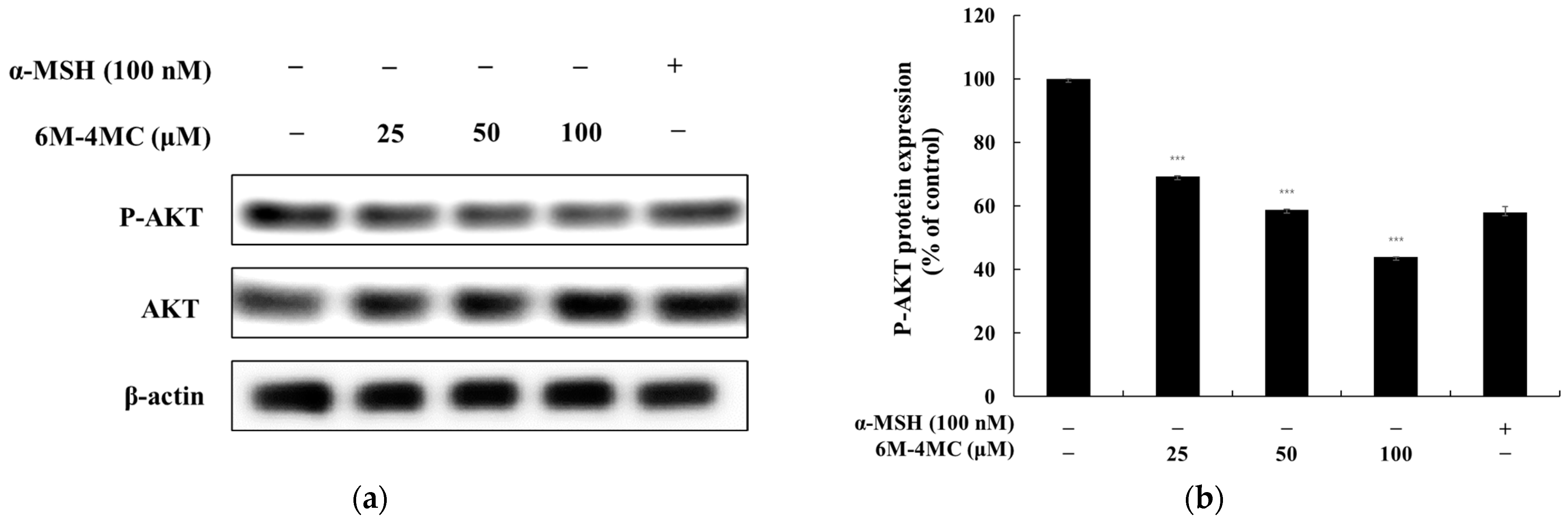
2.5. The Effect of 6M-4MC on the AKT Signaling Pathway
2.6. The Effect of 6M-4MC on the MAPK Signaling Pathway
2.7. 6M-4MC Is Safe for Human Skin
3. Discussion
4. Materials and Methods
4.1. Chemicals and Antibodies
4.2. Cell Culture
4.3. Cell Viability
4.4. Measurement of Melanin Contents
4.5. Measurement of Intracellular Tyrosinase Activity
4.6. Western Blotting
4.7. Human Skin Patch Test
4.8. Statistical Analyses
Author Contributions
Funding
Institutional Review Board Statement
Informed Consent Statement
Data Availability Statement
Conflicts of Interest
References
- Inoue, S.; Suzuki, T.; Sano, S.; Katayama, I. JAK inhibitors for the treatment of vitiligo. J. Dermatol. Sci. 2024, 113, 86–92. [Google Scholar] [CrossRef] [PubMed]
- AL-smadi, K.; Imran, M.; Leite-Silva, V.R.; Mohammed, Y. Vitiligo: A Review of Aetiology, Pathogenesis, Treatment, and Psychosocial Impact. Cosmetics 2023, 10, 84. [Google Scholar] [CrossRef]
- Hu, Z.; Wang, T. Beyond skin white spots: Vitiligo and associated comorbidities. Front. Med. 2023, 10, 1072837. [Google Scholar] [CrossRef] [PubMed]
- Hlača, N.; Žagar, T.; Kaštelan, M.; Brajac, I.; Prpić-Massari, L. Current Concepts of Vitiligo Immunopathogenesis. Biomedicines 2022, 10, 1639. [Google Scholar] [CrossRef]
- Chen, J.; Li, S.; Li, C. Mechanisms of melanocyte death in vitiligo. Med. Res. Rev. 2021, 41, 1138–1166. [Google Scholar] [CrossRef]
- Ezzedine, K.; Eleftheriadou, V.; Jones, H.; Bibeau, K.; Kuo, F.I.; Sturm, D.; Pandya, A.G. Psychosocial Effects of Vitiligo: A Systematic Literature Review. Am. J. Clin. Dermatol. 2021, 22, 757–774. [Google Scholar] [CrossRef]
- Molla, A.; Jannadi, R.; Alayoubi, H.; Altouri, H.; Balkhair, M.; Hafez, D. Assessing the Relationship Between Vitiligo and Major Depressive Disorder Severity: Cross-Sectional Study. JMIR Dermatol. 2024, 7, e60686. [Google Scholar] [CrossRef]
- Mehta, A.B.; Nadkarni, N.J.; Patil, S.P.; Godse, K.V.; Gautam, M.; Agarwal, S. Topical corticosteroids in dermatology. Indian J. Dermatol. Venereol. Leprol. 2016, 82, 371–378. [Google Scholar] [CrossRef]
- Coondoo, A.; Phiske, M.; Verma, S.; Lahiri, K. Side-effects of topical steroids: A long overdue revisit. Indian Dermatol. Online J. 2014, 5, 416–425. [Google Scholar] [CrossRef]
- Nueraihemaiti, M.; Deng, Z.; Kamoldinov, K.; Chao, N.; Habasi, M.; Aisa, H.A. The Anti-Vitiligo Effects of Feshurin In Vitro from Ferula samarcandica and the Mechanism of Action. Pharmaceuticals 2024, 17, 1252. [Google Scholar] [CrossRef]
- Lu, L.; He, H.; Feng, J.; Hu, Z.; Zhang, S.; Yang, L.; Liu, Y.; Wang, T. Post-translational modification in the pathogenesis of vitiligo. Immunol. Res. 2024; Epub ahead of print. [Google Scholar] [CrossRef] [PubMed]
- Touni, A.A.; Shivde, R.S.; Echuri, H.; Abdel-Aziz, R.T.A.; Abdel-Wahab, H.; Kundu, R.V.; Le Poole, I.C. Melanocyte-keratinocyte cross-talk in vitiligo. Front. Med. 2023, 10, 1176781. [Google Scholar] [CrossRef] [PubMed]
- Bento-Lopes, L.; Cabaço, L.C.; Charneca, J.; Neto, M.V.; Seabra, M.C.; Barral, D.C. Melanin’s Journey from Melanocytes to Keratinocytes: Uncovering the Molecular Mechanisms of Melanin Transfer and Processing. Int. J. Mol. Sci. 2023, 24, 11289. [Google Scholar] [CrossRef] [PubMed]
- Karkoszka, M.; Rok, J.; Wrześniok, D. Melanin Biopolymers in Pharmacology and Medicine-Skin Pigmentation Disorders, Implications for Drug Action, Adverse Effects and Therapy. Pharmaceuticals 2024, 17, 521. [Google Scholar] [CrossRef]
- Guo, L.; Li, W.; Gu, Z.; Wang, L.; Guo, L.; Ma, S.; Li, C.; Sun, J.; Han, B.; Chang, J. Recent Advances and Progress on Melanin: From Source to Application. Int. J. Mol. Sci. 2023, 24, 4360. [Google Scholar] [CrossRef]
- Snyman, M.; Walsdorf, R.E.; Wix, S.N.; Gill, J.G. The metabolism of melanin synthesis—From melanocytes to melanoma. Pigment Cell Melanoma Res. 2024, 37, 438–452. [Google Scholar] [CrossRef]
- Hsiao, J.J.; Fisher, D.E. The roles of microphthalmia-associated transcription factor and pigmentation in melanoma. Arch. Biochem. Biophys. 2014, 563, 28–34. [Google Scholar] [CrossRef]
- Wang, F.; Ma, W.; Fan, D.; Hu, J.; An, X.; Wang, Z. The biochemistry of melanogenesis: An insight into the function and mechanism of melanogenesis-related proteins. Front. Mol. Biosci. 2024, 11, 1440187. [Google Scholar] [CrossRef]
- Kim, I.W.; Park, W.J.; Yun, H.Y.; Kim, D.S. Methylsulfonylmethane promotes melanogenesis via activation of JNK in Mel-Ab cells. Int. J. Cosmet. Sci. 2024, 46, 918–926. [Google Scholar] [CrossRef]
- Kabeya, L.M.; Fuzissaki, C.N.; Andrade, M.F.; Azzolini, A.E.; Taleb-Contini, S.H.; Vermelho, R.B.; Lopes, J.L.; Lucisano-Valim, Y.M. 4-methylcoumarin derivatives inhibit human neutrophil oxidative metabolism and elastase activity. J. Med. Food 2013, 16, 692–700. [Google Scholar] [CrossRef]
- Miri, R.; Nejati, M.; Saso, L.; Khakdan, F.; Parshad, B.; Mathur, D.; Parmar, V.S.; Bracke, M.E.; Prasad, A.K.; Sharma, S.K.; et al. Structure-activity relationship studies of 4-methylcoumarin derivatives as anticancer agents. Pharm. Biol. 2016, 54, 105–110. [Google Scholar] [CrossRef] [PubMed]
- Morabito, G.; Trombetta, D.; Singh Brajendra, K.; Prasad Ashok, K.; Parmar Virinder, S.; Naccari, C.; Mancari, F.; Saija, A.; Cristani, M.; Firuzi, O.; et al. Antioxidant properties of 4-methylcoumarins in in vitro cell-free systems. Biochimie 2010, 92, 1101–1107. [Google Scholar] [CrossRef] [PubMed]
- Kancheva, V.D.; Slavova-Kazakova, A.K.; Angelova, S.E.; Singh, S.K.; Malhotra, S.; Singh, B.K.; Saso, L.; Prasad, A.K.; Parmar, V.S. Protective effects of 4-methylcoumarins and related compounds as radical scavengers and chain-breaking antioxidants. Biochimie 2017, 140, 133–145. [Google Scholar] [CrossRef] [PubMed]
- Togna, A.R.; Firuzi, O.; Latina, V.; Parmar, V.S.; Prasad, A.K.; Salemme, A.; Togna, G.I.; Saso, L. 4-Methylcoumarin derivatives with anti-inflammatory effects in activated microglial cells. Biol. Pharm. Bull. 2014, 37, 60–66. [Google Scholar] [CrossRef]
- Tandon, R.; Ponnan, P.; Aggarwal, N.; Pathak, R.; Baghel, A.S.; Gupta, G.; Arya, A.; Nath, M.; Parmar, V.S.; Raj, H.G.; et al. Characterization of 7-amino-4-methylcoumarin as an effective antitubercular agent: Structure-activity relationships. J. Antimicrob. Chemother. 2011, 66, 2543–2555. [Google Scholar] [CrossRef] [PubMed]
- Liu, X.; Dong, M.; Chen, X.; Jiang, M.; Lv, X.; Zhou, J. Antimicrobial activity of an endophytic Xylaria sp.YX-28 and identifi-cation of its antimicrobial compound 7-amino-4-methylcoumarin. Appl. Microbiol. Biotechnol. 2008, 78, 241–247. [Google Scholar] [CrossRef]
- Jin, X.; Wang, Y.; Li, X.; Tan, X.; Miao, Z.; Chen, Y.; Hamdy, R.C.; Chua, B.H.; Kong, J.; Zhao, H.; et al. 7,8-Dihydroxy-4-methylcoumarin provides neuroprotection by increasing hippocalcin expression. Neurotox. Res. 2015, 27, 268–274. [Google Scholar] [CrossRef]
- Macáková, K.; Řeháková, Z.; Mladěnka, P.; Karlíčková, J.; Filipský, T.; Říha, M.; Prasad, A.K.; Parmar, V.S.; Jahodář, L.; Pávek, P.; et al. In vitro platelet antiaggregatory properties of 4-methylcoumarins. Biochimie 2012, 94, 2681–2686. [Google Scholar] [CrossRef]
- Bae, S.; Lee, J.N.; Hyun, C.G. Anti-Melanogenic and Anti-Inflammatory Effects of 2′-Hydroxy-4′,6′-dimethoxychalcone in B16F10 and RAW264.7 Cells. Curr. Issues Mol. Biol. 2024, 46, 6018–6040. [Google Scholar] [CrossRef]
- Bae, S.; Hyun, C.G. The Effects of 2′-Hydroxy-3,6′-Dimethoxychalcone on Melanogenesis and Inflammation. Int. J. Mol. Sci. 2023, 24, 10393. [Google Scholar] [CrossRef]
- Lee, Y.; Hyun, C.G. Anti-Inflammatory Effects of Psoralen Derivatives on RAW264.7 Cells via Regulation of the NF-κB and MAPK Signaling Pathways. Int. J. Mol. Sci. 2022, 23, 5813. [Google Scholar] [CrossRef] [PubMed]
- Lee, Y.; Hyun, C.G. Mechanistic Insights into the Ameliorating Effect of Melanogenesis of Psoralen Derivatives in B16F10 Melanoma Cells. Molecules 2022, 27, 2613. [Google Scholar] [CrossRef] [PubMed]
- Liu, J.; Xiao, Q.; Xiao, J.; Niu, C.; Li, Y.; Zhang, X.; Zhou, Z.; Shu, G.; Yin, G. Wnt/β-catenin signalling: Function, biological mechanisms, and therapeutic opportunities. Signal Transduct. Target Ther. 2022, 7, 3. [Google Scholar] [CrossRef] [PubMed]
- Bellei, B.; Pitisci, A.; Catricalà, C.; Larue, L.; Picardo, M. Wnt/β-catenin signaling is stimulated by α-melanocyte-stimulating hormone in melanoma and melanocyte cells: Implication in cell differentiation. Pigment Cell Melanoma Res. 2011, 24, 309–325. [Google Scholar] [CrossRef] [PubMed]
- Cho, M.; Ryu, M.; Jeong, Y.; Chung, Y.H.; Kim, D.E.; Cho, H.S.; Kang, S.; Han, J.S.; Chang, M.Y.; Lee, C.K.; et al. Cardamonin suppresses melanogenesis by inhibition of Wnt/beta-catenin signaling. Biochem. Biophys. Res. Commun. 2009, 390, 500–505. [Google Scholar] [CrossRef] [PubMed]
- Pang, M.; Yao, H.; Bao, K.; Xu, R.; Xi, R.; Peng, R.; Zhi, H.; Zhang, K.; He, R.; Du, Y.; et al. Phenolic Glycoside Monomer from Reed Rhizome Inhibits Melanin Production via PI3K-Akt and Ras-Raf-MEK-ERK Pathways. Curr. Med. Chem. 2024, 27. [Google Scholar] [CrossRef]
- Han, H.; Hyun, C.G. Syringetin Promotes Melanogenesis in B16F10 Cells. Int. J. Mol. Sci. 2023, 24, 9960. [Google Scholar] [CrossRef]
- Cheng, Z.J.; Dai, G.F.; Hsu, J.L.; Lin, J.J.; Wu, W.T.; Su, C.C.; Wu, Y.J. Antimelanogenesis Effect of Methyl Gallate through the Regulation of PI3K/Akt and MEK/ERK in B16F10 Melanoma Cells. Evid.-Based Complement. Altern. Med. 2022, 2022, 5092655. [Google Scholar] [CrossRef]
- Anywar, G.; Muhumuza, E. Bioactivity and toxicity of coumarins from African medicinal plants. Front. Pharmacol. 2024, 14, 1231006. [Google Scholar] [CrossRef]
- El-Sawy, E.R.; Abdel-Aziz, M.S.; Abdelmegeed, H.; Kirsch, G. Coumarins: Quorum Sensing and Biofilm Formation Inhibition. Molecules 2024, 29, 4534. [Google Scholar] [CrossRef]
- Saadati, F.; Modarresi Chahardehi, A.; Jamshidi, N.; Jamshidi, N.; Ghasemi, D. Coumarin: A natural solution for alleviating inflammatory disorders. Curr. Res. Pharmacol. Drug Discov. 2024, 7, 100202. [Google Scholar] [CrossRef] [PubMed]
- Abdelaziz, E.; El-Deeb, N.M.; Zayed, M.F.; Hasanein, A.M.; El Sayed, I.E.; Elmongy, E.I.; Kamoun, E.A. Synthesis and in-vitro anti-proliferative with antimicrobial activity of new coumarin containing heterocycles hybrids. Sci. Rep. 2023, 13, 22791. [Google Scholar] [CrossRef] [PubMed]
- Citarella, A.; Vittorio, S.; Dank, C.; Ielo, L. Syntheses, reactivity, and biological applications of coumarins. Front. Chem. 2024, 12, 1362992. [Google Scholar] [CrossRef] [PubMed]
- Rohman, N.; Ardiansah, B.; Wukirsari, T.; Judeh, Z. Recent Trends in the Synthesis and Bioactivity of Coumarin, Coumarin–Chalcone, and Coumarin–Triazole Molecular Hybrids. Molecules 2024, 29, 1026. [Google Scholar] [CrossRef] [PubMed]
- Song, Z.; Zhang, Q.; Wu, W.; Pu, Z.; Yu, H. Rational design of enzyme activity and enantioselectivity. Front. Bioeng. Biotechnol. 2023, 11, 1129149. [Google Scholar] [CrossRef]
- Hajipour, A.R.; Guo, L.W.; Pal, A.; Mavlyutov, T.; Ruoho, A.E. Electron-donating para-methoxy converts a benzamide-isoquinoline derivative into a highly Sigma-2 receptor selective ligand. Bioorg. Med. Chem. 2011, 19, 7435–7440. [Google Scholar] [CrossRef]
- Vasić, J.; Dimić, D.; Antonijević, M.; Avdović, E.H.; Milenković, D.; Nakarada, Đ.; Dimitrić Marković, J.; Molnar, M.; Lončarić, M.; Bešlo, D.; et al. The Electronic Effects of 3-Methoxycarbonylcoumarin Substituents on Spectral, Antioxidant, and Protein Binding Properties. Int. J. Mol. Sci. 2023, 24, 11820. [Google Scholar] [CrossRef]
- Karamitros, C.S.; Murray, K.; Kumada, Y.; Johnson, K.A.; D’Arcy, S.; Georgiou, G. Mechanistic conformational and substrate selectivity profiles emerging in the evolution of enzymes via parallel trajectories. Nat. Commun. 2024, 15, 7068. [Google Scholar] [CrossRef]
- Karamitros, C.S.; Murray, K.; Winemiller, B.; Lamb, C.; Stone, E.M.; D’Arcy, S.; Johnson, K.A.; Georgiou, G. Leveraging intrinsic flexibility to engineer enhanced enzyme catalytic activity. Proc. Natl. Acad. Sci. USA 2022, 119, e2118979119. [Google Scholar] [CrossRef]
- Patil, R.; Das, S.; Stanley, A.; Yadav, L.; Sudhakar, A.; Varma, A.K. Optimized hydrophobic interactions and hydrogen bonding at the target-ligand interface leads the pathways of drug-designing. PLoS ONE 2010, 5, e12029. [Google Scholar] [CrossRef]
- Roterman, I.; Konieczny, L.; Stapor, K.; Słupina, M. Hydrophobicity-Based Force Field in Enzymes. ACS Omega 2024, 9, 8188–8203. [Google Scholar] [CrossRef] [PubMed]
- Kim, T.; Hyun, C.G. Imperatorin Positively Regulates Melanogenesis through Signaling Pathways Involving PKA/CREB, ERK, AKT, and GSK3β/β-Catenin. Molecules 2022, 27, 6512. [Google Scholar] [CrossRef] [PubMed]
- Lee, N.; Chung, Y.C.; Kim, Y.B.; Park, S.M.; Kim, B.S.; Hyun, C.G. 7,8-Dimethoxycoumarin stimulates melanogenesis via MAPKs mediated MITF upregulation. Pharmazie 2020, 75, 107–111. [Google Scholar] [CrossRef] [PubMed]
- Chen, J.; Liu, Y.; Zhao, Z.; Qiu, J. Oxidative stress in the skin: Impact and related protection. Int. J. Cosmet. Sci. 2021, 43, 495–509. [Google Scholar] [CrossRef] [PubMed]
- Kim, N.H.; Lee, A.Y. Oxidative Stress Induces Skin Pigmentation in Melasma by Inhibiting Hedgehog Signaling. Antioxidants 2023, 12, 1969. [Google Scholar] [CrossRef]
- Yun, J.H.; Kim, Y.S.; Kang, H.Y.; Kang, S.U.; Kim, C.H. A novel liquid plasma derivative inhibits melanogenesis through upregulation of Nrf2. Sci. Rep. 2024, 14, 21851. [Google Scholar] [CrossRef]








| No. | Test Sample | No. of Responses | 1st Assessment | 2nd Assessment | Reaction Grade (R) * | ||||||
|---|---|---|---|---|---|---|---|---|---|---|---|
| +1 | +2 | +3 | +4 | +1 | +2 | +3 | +4 | ||||
| 1 | 6M-4MC (50 μM) | 0 | 0 | 0 | 0 | 0 | 0 | 0 | 0 | 0 | 0 |
| 2 | 6M-4MC (100 μM) | 0 | 0 | 0 | 0 | 0 | 0 | 0 | 0 | 0 | 0 |
| Grade | Description of Clinical Observations |
|---|---|
| +1 | Slight erythema |
| +2 | Moderate erythema, possibly with barely perceptible edema at the margin; papules may be present |
| +3 | Moderate erythema, with generalized edema |
| +4 | Severe erythema with severe edema, with or without vesicles |
| +5 | Severe reaction spreading beyond the area of the patch |
Disclaimer/Publisher’s Note: The statements, opinions and data contained in all publications are solely those of the individual author(s) and contributor(s) and not of MDPI and/or the editor(s). MDPI and/or the editor(s) disclaim responsibility for any injury to people or property resulting from any ideas, methods, instructions or products referred to in the content. |
© 2024 by the authors. Licensee MDPI, Basel, Switzerland. This article is an open access article distributed under the terms and conditions of the Creative Commons Attribution (CC BY) license (https://creativecommons.org/licenses/by/4.0/).
Share and Cite
Lee, Y.-J.; Hyun, C.-G. Mechanistic Insights into the Stimulatory Effect of Melanogenesis of 4-Methylcoumarin Derivatives in B16F10 Melanoma Cells. Int. J. Mol. Sci. 2024, 25, 12421. https://doi.org/10.3390/ijms252212421
Lee Y-J, Hyun C-G. Mechanistic Insights into the Stimulatory Effect of Melanogenesis of 4-Methylcoumarin Derivatives in B16F10 Melanoma Cells. International Journal of Molecular Sciences. 2024; 25(22):12421. https://doi.org/10.3390/ijms252212421
Chicago/Turabian StyleLee, Ye-Jin, and Chang-Gu Hyun. 2024. "Mechanistic Insights into the Stimulatory Effect of Melanogenesis of 4-Methylcoumarin Derivatives in B16F10 Melanoma Cells" International Journal of Molecular Sciences 25, no. 22: 12421. https://doi.org/10.3390/ijms252212421
APA StyleLee, Y.-J., & Hyun, C.-G. (2024). Mechanistic Insights into the Stimulatory Effect of Melanogenesis of 4-Methylcoumarin Derivatives in B16F10 Melanoma Cells. International Journal of Molecular Sciences, 25(22), 12421. https://doi.org/10.3390/ijms252212421

