The Fundamental Neurobiological Mechanism of Oxidative Stress-Related 4E-BP2 Protein Deamidation
Abstract
1. Introduction
- It will be crucial to developing therapeutics against Alzheimer’s and Sclerosis because of the following:
- The absence of deamidated 4E-BP2 in the brain leads to memory impairment [9].
- 4E-BP2 is essential in developing long-term synaptic plasticity and social behavior [10].
- Deamidation is related to aggregation and amyloid plaque formation, which is the root cause of memory loss in Alzheimer’s and many other neurodegenerative diseases. Deamidation accelerates amyloid formation and alters amylin fiber structure [11].
- It is indispensable to the survival of the mammalian brain because 4E-BP2 deamidation has been conserved in all mammals for 90 million years. Therefore, this function is crucial to all mammalian brains [12].
2. Results
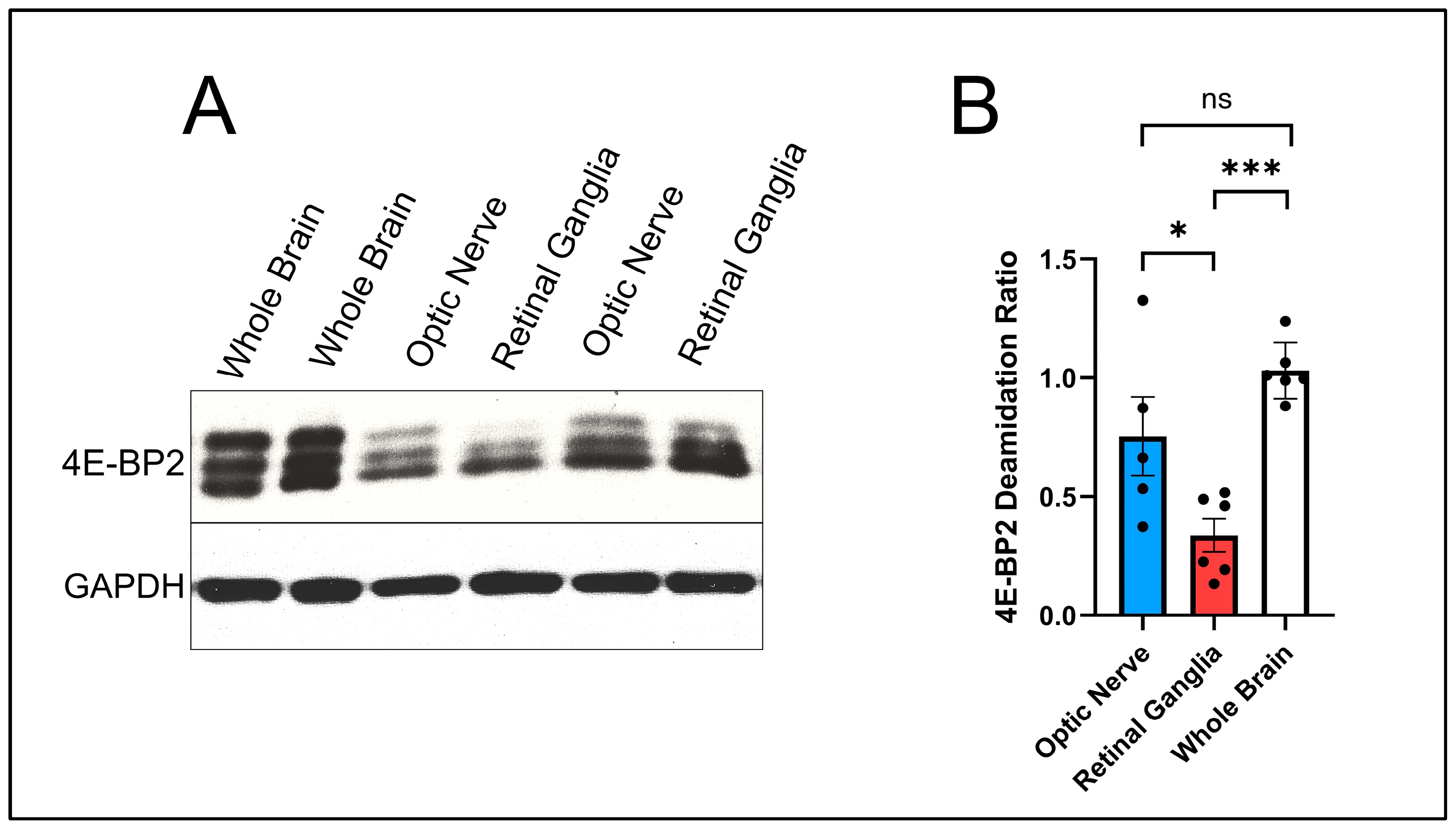
2.1. Experiments in the Whole Brain, the Optic Nerve, and the Retina of the Central Nervous System (CNS)
- (a)
- The axons.
- (b)
- The cell bodies (soma).
- The optic nerve was found to have a deamidation ratio of 0.7539 based on five mice samples (N = 5).
- The retinal ganglia were found to have a deamidation ratio of 0.3365 based on six mice samples (N = 6).
- The axon-enriched whole brain was found to have a deamidation ratio of 1.0302 based on six mice samples (N = 6).
- 4E-BP2 deamidation in the optic nerve axons is significantly higher than in the soma cell body-enriched retinal ganglia (p-value = 0.0312).
- 4E-BP2 deamidation in the optic nerve axons shows no significant difference compared with deamidation in the axon-enriched whole brain (p-value = 0.2116).
- 4E-BP2 deamidation in the cell body-enriched retinal ganglia is significantly lower when compared with deamidation in the axon-enriched whole brain (p-value = 0.0004).
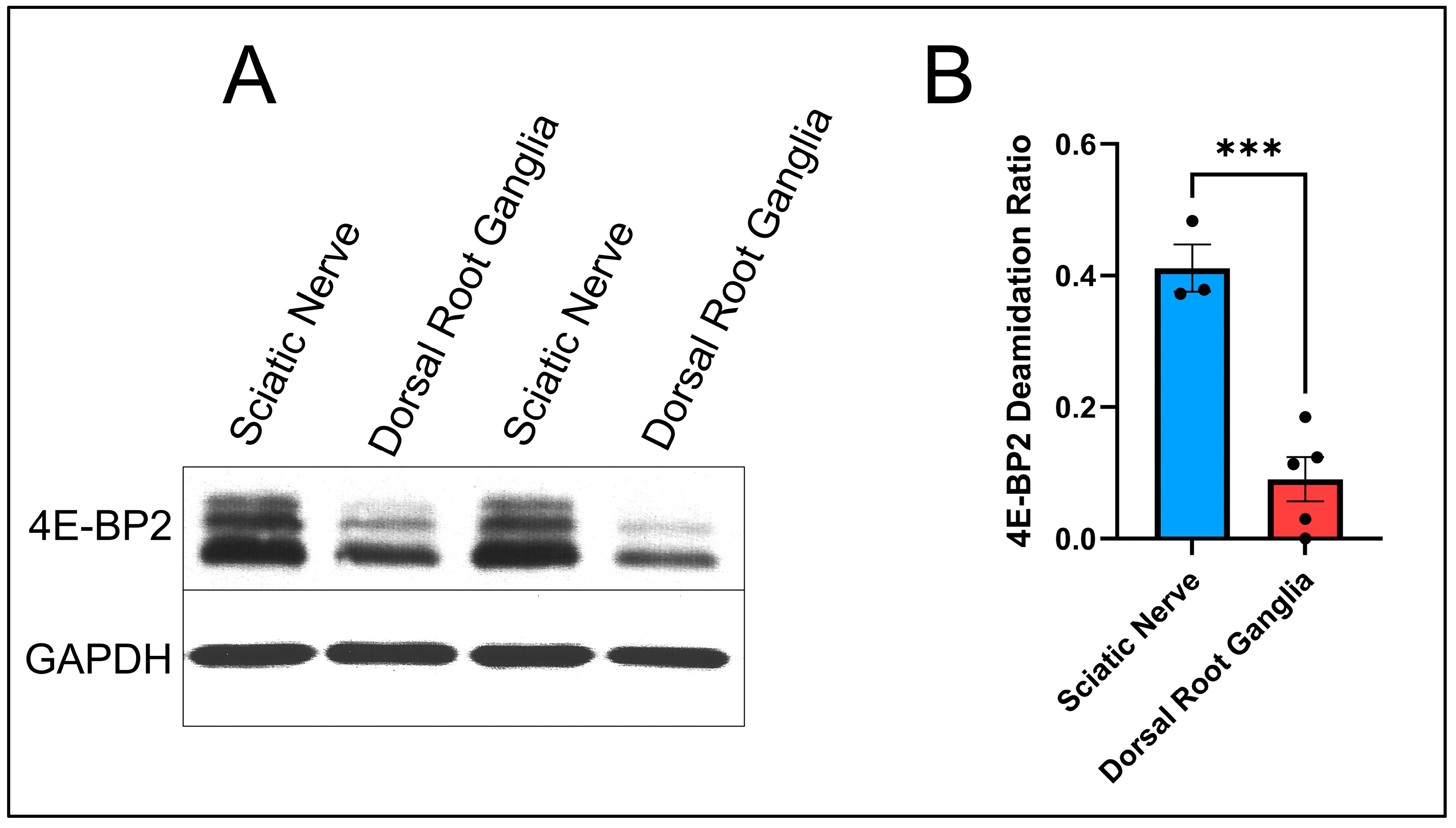
2.2. Experiments in the Sciatic Nerve and the Dorsal Root Ganglia (DRG) of the Peripheral Nervous System (PNS)
- (a)
- The axons.
- (b)
- The cell bodies (soma).
- The sciatic nerve has a deamidation ratio of 0.4112 based on three mice samples (N = 3).
- The DRG have a deamidation ratio of 0.0902 based on five mice samples (N = 5).
3. Discussion
- Deamidation in the central nervous system (CNS) comes from the axons.
- Deamidation in the peripheral nervous system (PNS) comes from the axons.
- Deamidated 4E-BP2 is more enriched in the myelinated axons of the whole brain than in the sciatic nerve’s mostly unmyelinated axons.
3.1. Half-Life Length: The Cause of 4E-BP2 Deamidation Being Neuron-Specific
3.2. Axons: The Cause of the Increase in 4E-BP2 Half-Life in Neurons
3.3. The Proteasome-Poor Environment in Axons—The Cause of the Increase in 4E-BP2 Half-Life
- proteasome-poor environments such as erythrocytes cause significantly longer protein half-lives [34].
- Axons are also proteasome-poor compared with the soma due to ribosome biogenesis mainly being performed in the soma [35].
- Myelinated neurons have less proteasomes compared to neurons without myelin [25].
3.4. Establishment of the Principle Behind 4E-BP2 Deamidation Based on These Findings
4. Materials and Methods
4.1. Animal Tissue Sample Collection
4.2. Immunoblotting
4.3. The Joseph Ratio
4.4. Statistical Analysis
5. Conclusions
Funding
Institutional Review Board Statement
Informed Consent Statement
Data Availability Statement
Conflicts of Interest
References
- Filipowicz, W.; Furuichi, Y.; Sierra, J.M.; Muthukrishnan, S.; Shatkin, A.J.; Ochoa, S. A protein binding the methylated 5′-terminal se-quence, m7GpppN, of eukaryotic messenger RNA. Proc. Natl. Acad. Sci. USA 1976, 73, 1559–1563. [Google Scholar] [CrossRef] [PubMed]
- Lin, T.-A.; Kong, X.; Haystead, T.A.J.; Pause, A.; Belsham, G.; Sonenberg, N.; Lawrence, J.C., Jr. PHAS-I as a Link Between Mitogen-Activated Protein Kinase and Translation Initiation. Science 1994, 266, 653–656. [Google Scholar] [CrossRef] [PubMed]
- Watanabe, A.; Takio, K.; Ihara, Y. Deamidation and Isoaspartate Formation in Smeared Tau in Paired Helical Filaments: Unusual Properties of The Microtubule-Binding Domain of Tau. J. Biol. Chem. 1999, 274, 7368–7378. [Google Scholar] [CrossRef] [PubMed]
- Shimizu, T.; Matsuoka, Y.; Shirasawa, T. Biological Significance of Isoaspartate and Its Repair System. Biol. Pharm. Bull. 2005, 28, 1590–1596. [Google Scholar] [CrossRef]
- Reisz, J.A.; Nemkov, T.; Dzieciatkowska, M.; Culp-Hill, R.; Stefanoni, D.; Hill, R.C.; Yoshida, T.; Dunham, A.; Kanias, T.; Dumont, L.J.; et al. Methylation of protein aspartates and deamidated asparagines as a function of blood bank storage and oxidative stress in human red blood cells. Transfusion 2018, 58, 2978–2991. [Google Scholar] [CrossRef] [PubMed]
- Bidinosti, M.; Ran, I.; Sanchez-Carbente, M.R.; Martineau, Y.; Gingras, A.-C.; Gkogkas, C.; Raught, B.; Bramham, C.R.; Sossin, W.S.; Costa-Mattioli, M.; et al. Postnatal Deamidation of 4E-BP2 in Brain Enhances Its Association with Raptor and Alters Kinetics of Excitatory Synaptic Transmission. Mol. Cell 2010, 37, 797–808. [Google Scholar] [CrossRef] [PubMed] [PubMed Central]
- Truong, V.T. Identifying the Mechanism Underlying Tissue-Specific Deamidation of Translation Repressor 4E-BP2. Master’s Thesis, McGill University, Montréal, QC, Canada, 2017. [Google Scholar]
- Nedergaard, M.; Kraig, R.P.; Tanabe, J.; Pulsinelli, W.A. Dynamics of interstitial and intracellular pH in evolving brain infarct. Am. J. Physiol. Integr. Comp. Physiol. 1991, 260, R581–R588. [Google Scholar] [CrossRef]
- Banko, J.L.; Poulin, F.; Hou, L.; DeMaria, C.T.; Sonenberg, N.; Klann, E. The Translation Repressor 4E-BP2 Is Critical for eIF4F Complex Formation, Synaptic Plasticity, and Memory in the Hippocampus. J. Neurosci. 2005, 25, 9581–9590. [Google Scholar] [CrossRef]
- Gkogkas, C.G.; Khoutorsky, A.; Ran, I.; Rampakakis, E.; Nevarko, T.; Weatherill, D.B.; Vasuta, C.; Yee, S.; Truitt, M.; Dallaire, P.; et al. Autism-related deficits via dysregulated eIF4E-dependent translational control. Nature 2013, 493, 371–377. [Google Scholar] [CrossRef]
- Dunkelberger, E.B.; Buchanan, L.E.; Marek, P.; Cao, P.; Raleigh, D.P.; Zanni, M.T. Deamidation Accelerates Amyloid Formation and Alters Amylin Fiber Structure. J. Am. Chem. Soc. 2012, 134, 12658–12667. [Google Scholar] [CrossRef] [PubMed] [PubMed Central]
- Sharma, V.; Sood, R.; Lou, D.; Hung, T.-Y.; Lévesque, M.; Han, Y.; Levett, J.Y.; Wang, P.; Murthy, S.; Tansley, S.; et al. 4E-BP2–dependent translation in parvalbumin neurons controls epileptic seizure threshold. Proc. Natl. Acad. Sci. USA 2021, 118, e2025522118. [Google Scholar] [CrossRef] [PubMed]
- McNamara, N.B.; Munro, D.A.D.; Bestard-Cuche, N.; Uyeda, A.; Bogie, J.F.J.; Hoffmann, A.; Holloway, R.K.; Molina-Gonzalez, I.; Askew, K.E.; Mitchell, S.; et al. Microglia regulate central nervous system myelin growth and integrity. Nature 2023, 613, 120–129. [Google Scholar] [CrossRef] [PubMed]
- London, A.; Benhar, I.; Schwartz, M. The retina as a window to the brain—From eye research to CNS disorders. Nat. Rev. Neurol. 2013, 9, 44–53. [Google Scholar] [CrossRef]
- Zhao, B.; Li, Y.; Fan, Z.; Wu, Z.; Shu, J.; Yang, X.; Yang, Y.; Wang, X.; Li, B.; Wang, X.; et al. Eye-brain connections revealed by multimodal retinal and brain imaging genetics. Nat. Commun. 2024, 15, 6064. [Google Scholar] [CrossRef] [PubMed]
- Butt, A.M.; Pugh, M.; Hubbard, P.; James, G. Functions of optic nerve glia: Axoglial signalling in physiology and pathology. Eye 2004, 18, 1110–1121. [Google Scholar] [CrossRef] [PubMed]
- Akobeng, A.K. Understanding type I and type II errors, statistical power and sample size. Acta Paediatr. 2016, 105, 605–609. [Google Scholar] [CrossRef] [PubMed]
- Prakash Bhardwaj, A.K.; Devi, M.N.; Sridevi, N.S.; Rao, P.K.; Singh, G. Sciatic nerve division: A cadaver study in the Indian population and review of the literature. Singap. Med. J. 2010, 51, 721–723. [Google Scholar] [PubMed]
- De Lima, S.; Koriyama, Y.; Kurimoto, T.; Oliveira, J.T.; Yin, Y.; Li, Y.; Gilbert, H.-Y.; Fagiolini, M.; Martinez, A.M.B.; Benowitz, L. Full-length axon regeneration in the adult mouse optic nerve and partial recovery of simple visual behaviors. Proc. Natl. Acad. Sci. USA 2012, 109, 9149–9154. [Google Scholar] [CrossRef]
- Bala, U.; Tan, K.-L.; Ling, K.-H.; Cheah, P.-S. Harvesting the maximum length of sciatic nerve from adult mice: A step-by-step approach. BMC Res. Notes 2014, 7, 714. [Google Scholar] [CrossRef] [PubMed] [PubMed Central]
- Mayoral, S.R.; Etxeberria, A.; Shen, Y.-A.A.; Chan, J.R. Initiation of CNS Myelination in the Optic Nerve Is Dependent on Axon Caliber. Cell Rep. 2018, 25, 544–550.e3. [Google Scholar] [CrossRef]
- Schmalbruch, H. Fiber composition of the rat sciatic nerve. Anat. Rec. 1986, 215, 71–81. [Google Scholar] [CrossRef] [PubMed]
- Saliani, A.; Perraud, B.; Duval, T.; Stikov, N.; Rossignol, S.; Cohen-Adad, J. Axon and Myelin Morphology in Animal and Human Spinal Cord. Front. Neuroanat. 2017, 11, 129. [Google Scholar] [CrossRef] [PubMed]
- Stassart, R.M.; Möbius, W.; Nave, K.-A.; Edgar, J.M. The Axon-Myelin Unit in Development and Degenerative Disease. Front. Neurosci. 2018, 12, 467. [Google Scholar] [CrossRef] [PubMed]
- Yadav, D.; Lee, J.Y.; Puranik, N.; Chauhan, P.S.; Chavda, V.; Jin, J.-O.; Lee, P.C.W. Modulating the Ubiquitin–Proteasome System: A Therapeutic Strategy for Autoimmune Diseases. Cells 2022, 11, 1093. [Google Scholar] [CrossRef] [PubMed]
- Shi, Y.; Rhodes, N.R.; Abdolvahabi, A.; Kohn, T.; Cook, N.P.; Marti, A.A.; Shaw, B.F. Deamidation of Asparagine to Aspartate Destabilizes Cu, Zn Superoxide Dismutase, Accelerates Fibrillization, and Mirrors ALS-Linked Mutations. J. Am. Chem. Soc. 2013, 135, 15897–15908. [Google Scholar] [CrossRef] [PubMed]
- Robinson, N.E.; Robinson, A.B. Deamidation of human proteins. Proc. Natl. Acad. Sci. USA 2001, 98, 12409–12413. [Google Scholar] [CrossRef] [PubMed] [PubMed Central]
- Robinson, N.E.; Robinson, A.B. Molecular clocks. Proc. Natl. Acad. Sci. USA 2001, 98, 944–949. [Google Scholar] [CrossRef] [PubMed] [PubMed Central]
- Dawson, J.E.; Bah, A.; Zhang, Z.; Vernon, R.M.; Lin, H.; Chong, P.A.; Vanama, M.; Sonenberg, N.; Gradinaru, C.C.; Forman-Kay, J.D. Non-cooperative 4E-BP2 folding with exchange between eIF4E-binding and binding-incompatible states tunes cap-dependent translation inhibition. Nat. Commun. 2020, 11, 3146. [Google Scholar] [CrossRef]
- Borchelt, D.R.; Ratovitski, T.; van Lare, J.; Lee, M.K.; Gonzales, V.; Jenkins, N.A.; Copeland, N.G.; Price, D.L.; Sisodia, S.S. Accelerated Amyloid Deposition in the Brains of Transgenic Mice Coexpressing Mutant Presenilin 1 and Amyloid Precursor Proteins. Neuron 1997, 19, 939–945. [Google Scholar] [CrossRef] [PubMed]
- Valentine, J.S.; Doucette, P.A.; Potter, S.Z. Copper-Zinc Superoxide Dismutase and Amyotrophic Lateral Sclerosis. Annu. Rev. Biochem. 2005, 74, 563–593. [Google Scholar] [CrossRef]
- Yamaguchi, M.; Kubo, M.; Fukuda, H.; Demura, T. VASCULAR-RELATED NAC-DOMAIN7 is involved in the differentiation of all types of xylem vessels in Arabidopsis roots and shoots. Plant J. 2008, 55, 652–664. [Google Scholar] [CrossRef] [PubMed]
- Kouloulia, S.; Hallin, E.I.; Simbriger, K.; Amorim, I.S.; Lach, G.; Amvrosiadis, T.; Chalkiadaki, K.; Kampaite, A.; Truong, V.T.; Hooshmandi, M.; et al. Raptor-Mediated Proteasomal Degradation of Deamidated 4E-BP2 Regulates Postnatal Neuronal Translation and NF-κB Activity. Cell Rep. 2019, 29, 3620–3635.e7. [Google Scholar] [CrossRef] [PubMed] [PubMed Central]
- Rolfs, Z.; Frey, B.L.; Shi, X.; Kawai, Y.; Smith, L.M.; Welham, N.V. An atlas of protein turnover rates in mouse tissues. Nat. Commun. 2021, 12, 6778. [Google Scholar] [CrossRef] [PubMed]
- Fusco, C.M.; Desch, K.; Dörrbaum, A.R.; Wang, M.; Staab, A.; Chan, I.C.W.; Vail, E.; Villeri, V.; Langer, J.D.; Schuman, E.M. Neuronal ribosomes exhibit dynamic and context-dependent exchange of ribosomal proteins. Nat. Commun. 2021, 12, 6127. [Google Scholar] [CrossRef]
- Cheng, H.C.; Ulane, C.M.; Burke, R.E. Clinical progression in Parkinson disease and the neurobiology of axons. Ann. Neurol. 2010, 67, 715–725. [Google Scholar] [CrossRef] [PubMed] [PubMed Central]
- Nishimune, H.; Shigemoto, K. Practical Anatomy of the Neuromuscular Junction in Health and Disease. Neurol. Clin. 2018, 36, 231–240. [Google Scholar] [CrossRef]
- MacDougall, J.D.; Sale, D.G.; Alway, S.E.; Sutton, J.R. Muscle fiber number in biceps brachii in bodybuilders and control subjects. J. Appl. Physiol. 1984, 57, 1399–1403. [Google Scholar] [CrossRef]
- Ham, D.J.; Börsch, A.; Lin, S.; Thürkauf, M.; Weihrauch, M.; Reinhard, J.R.; Delezie, J.; Battilana, F.; Wang, X.; Kaiser, M.S.; et al. The neuromuscular junction is a focal point of mTORC1 signaling in sarcopenia. Nat. Commun. 2020, 11, 4510. [Google Scholar] [CrossRef]
- Leeuwin, R.S.; Wolters, E.C.M.J. Effect of corticosteroids on sciatic nerve-tibialis anterior muscle of rats treated with hemicholinium-3. An experimental approach to a possible mechanism of action of corticosteroids in myasthenia gravis. Neurology 1977, 27, 171. [Google Scholar] [CrossRef] [PubMed]
- Colasante, C.; Brouard, M.O.; Pécot-Dechavassine, M. Synaptophysin (p38) immunolabelling at the mouse neuromuscular junction. Neuromuscul. Disord. 1993, 3, 395–400. [Google Scholar] [CrossRef] [PubMed]
- Neto, W.K.; Gama, E.F.; Silva, W.d.A.; de Oliveira, T.V.A.; Boas, A.E.d.S.V.; Ciena, A.P.; Anaruma, C.A.; Caperuto, C. The sciatic and radial nerves seem to adapt similarly to different ladder-based resistance training protocols. Exp. Brain Res. 2022, 240, 887–896. [Google Scholar] [CrossRef] [PubMed]
- Abdollahifar, M.-A.; Farahni, R.M.; Rashidiani-Rashidabadi, A.; Heidari, M.H.; Sajadi, E.; Hejazi, F.; Fathabady, F.F.; Sadeghi, Y.; Aliaghaei, A.; Raoofi, A. Sciatic nerve injury alters the spatial arrangement of neurons and glial cells in the anterior horn of the spinal cord. Neural Regen. Res. 2019, 14, 1833–1840. [Google Scholar] [CrossRef]
- Livingston, A. Microtubules in myelinated and unmyelinated axons of rat sciatic nerve. Cell Tissue Res. 1977, 182, 401–407. [Google Scholar] [CrossRef]
- Sleigh, J.N.; West, S.J.; Schiavo, G. A video protocol for rapid dissection of mouse dorsal root ganglia from defined spinal levels. BMC Res. Notes 2020, 13, 302. [Google Scholar] [CrossRef]
- Phillips, M.R.; Wykoff, C.C.; Thabane, L.; Bhandari, M.; Chaudhary, V. The clinician’s guide to p values, confidence intervals, and magnitude of effects. Eye 2022, 36, 341–342. [Google Scholar] [CrossRef]
- Jumper, J.; Evans, R.; Pritzel, A.; Green, T.; Figurnov, M.; Ronneberger, O.; Tunyasuvunakool, K.; Bates, R.; Žídek, A.; Potapenko, A.; et al. Highly accurate protein structure prediction with AlphaFold. Nature 2021, 596, 583–589. [Google Scholar] [CrossRef]
- Varadi, M.; Bertoni, D.; Magana, P.; Paramval, U.; Pidruchna, I.; Radhakrishnan, M.; Tsenkov, M.; Nair, S.; Mirdita, M.; Yeo, J.; et al. AlphaFold Protein Structure Database in 2024: Providing structure coverage for over 214 million protein sequences. Nucleic Acids Res. 2023, 52, D368–D375. [Google Scholar] [CrossRef]
- Varadi, M.; Anyango, S.; Deshpande, M.; Nair, S.; Natassia, C.; Yordanova, G.; Yuan, D.; Stroe, O.; Wood, G.; Laydon, A.; et al. AlphaFold Protein Structure Database: Massively expanding the structural coverage of protein-sequence space with high-accuracy models. Nucleic Acids Res. 2022, 50, D439–D444. [Google Scholar] [CrossRef]




Disclaimer/Publisher’s Note: The statements, opinions and data contained in all publications are solely those of the individual author(s) and contributor(s) and not of MDPI and/or the editor(s). MDPI and/or the editor(s) disclaim responsibility for any injury to people or property resulting from any ideas, methods, instructions or products referred to in the content. |
© 2024 by the author. Licensee MDPI, Basel, Switzerland. This article is an open access article distributed under the terms and conditions of the Creative Commons Attribution (CC BY) license (https://creativecommons.org/licenses/by/4.0/).
Share and Cite
Joseph, D. The Fundamental Neurobiological Mechanism of Oxidative Stress-Related 4E-BP2 Protein Deamidation. Int. J. Mol. Sci. 2024, 25, 12268. https://doi.org/10.3390/ijms252212268
Joseph D. The Fundamental Neurobiological Mechanism of Oxidative Stress-Related 4E-BP2 Protein Deamidation. International Journal of Molecular Sciences. 2024; 25(22):12268. https://doi.org/10.3390/ijms252212268
Chicago/Turabian StyleJoseph, Davis. 2024. "The Fundamental Neurobiological Mechanism of Oxidative Stress-Related 4E-BP2 Protein Deamidation" International Journal of Molecular Sciences 25, no. 22: 12268. https://doi.org/10.3390/ijms252212268
APA StyleJoseph, D. (2024). The Fundamental Neurobiological Mechanism of Oxidative Stress-Related 4E-BP2 Protein Deamidation. International Journal of Molecular Sciences, 25(22), 12268. https://doi.org/10.3390/ijms252212268
