Mast Cell Carboxypeptidase A3 Is Associated with Pulmonary Fibrosis Secondary to COVID-19
Abstract
1. Introduction
2. Results
2.1. Sample and Demographic Data
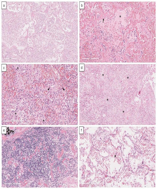
2.2. Morphologic Alterations in Lungs
2.3. Increased CPA3+ Mast Cells in Injured Lung Tissue During SARS-CoV-2 Infection
2.4. Numerous CPA3+ Mast Cells in the Lungs of COVID-19 Patients Are Associated with Fibrosis
3. Discussion
4. Materials and Methods
4.1. COVID-19 Tissue Processing
4.2. Histology and Immunohistochemistry
4.3. Immunofluorescence
4.4. Statistical Analysis
Supplementary Materials
Author Contributions
Funding
Institutional Review Board Statement
Informed Consent Statement
Data Availability Statement
Acknowledgments
Conflicts of Interest
References
- Bhardwaj, A.; Sapra, L.; Saini, C.; Azam, Z.; Mishra, P.K.; Verma, B.; Mishra, G.C.; Srivastava, R.K. COVID-19: Immunology, Immunopathogenesis and Potential Therapies. Int. Rev. Immunol. 2021, 41, 171–206. [Google Scholar] [CrossRef] [PubMed]
- Arnold, D.T.; Hamilton, F.W.; Milne, A.; Morley, A.J.; Viner, J.; Attwood, M.; Noel, A.; Gunning, S.; Hatrick, J.; Hamilton, S.; et al. Patient outcomes after hospitalisation with COVID-19 and implications for follow-up: Results from a prospective UK cohort. Thorax 2020, 76, 399–401. [Google Scholar] [CrossRef] [PubMed]
- Ambardar, S.R.; Hightower, S.L.; Huprikar, N.A.; Chung, K.K.; Singhal, A.; Collen, J.F. Post-COVID-19 Pulmonary Fibrosis: Novel Sequelae of the Current Pandemic. J. Clin. Med. 2021, 10, 2452. [Google Scholar] [CrossRef] [PubMed]
- Nalbandian, A.; Sehgal, K.; Gupta, A.; Madhavan, M.V.; McGroder, C.; Stevens, J.S.; Cook, J.R.; Nordvig, A.S.; Shalev, D.; Sehrawat, T.S.; et al. Post-acute COVID-19 syndrome. Nat. Med. 2021, 27, 601–615. [Google Scholar] [CrossRef]
- Baratella, E.; Bussani, R.; Zanconati, F.; Marrocchio, C.; Fabiola, G.; Braga, L.; Maiocchi, S.; Berlot, G.; Volpe, M.C.; Moro, E.; et al. Radiological–Pathological Signatures of Patients with COVID-19-Related Pneumomediastinum: Is There a Role for the Sonic Hedgehog and Wnt5a Pathways? ERJ Open Res. 2021, 7, 346–2021. [Google Scholar] [CrossRef]
- Iwashita, H.; Kawabata, Y.; Hayashi, H.; Matsushita, S.; Yamashiro, T.; Matsumura, M.; Yoshimura, Y.; Kataoka, T.; Mitsui, H.; Suzuki, T.; et al. Frequency of subclinical interstitial lung disease in COVID-19 autopsy cases: Potential risk factors of severe pneumonia. BMC Pulm. Med. 2023, 23, 408. [Google Scholar] [CrossRef]
- Kalchiem-Dekel, O.; Galvin, J.R.; Burke, A.P.; Atamas, S.P.; Todd, N.W. Interstitial Lung Disease and Pulmonary Fibrosis: A Practical Approach for General Medicine Physicians with Focus on the Medical History. J. Clin. Med. 2018, 7, 476. [Google Scholar] [CrossRef]
- Barisione, E.; Grillo, F.; Ball, L.; Bianchi, R.; Grosso, M.; Morbini, P.; Pelosi, P.; Patroniti, N.A.; De Lucia, A.; Orengo, G.; et al. Fibrotic progression and radiologic correlation in matched lung samples from COVID-19 post-mortems. Virchows Arch. 2020, 478, 471–485. [Google Scholar] [CrossRef]
- Zhong, H.; Zhou, Y.; Mei, S.-Y.; Tang, R.; Feng, J.-H.; He, Z.-Y.; Xu, Q.-Y.; Xing, S.-P. Scars of COVID-19: A bibliometric analysis of post-COVID-19 fibrosis. Front. Public Health 2022, 10, 967829. [Google Scholar] [CrossRef]
- Huang, E.; Peng, N.; Xiao, F.; Hu, D.; Wang, X.; Lu, L. The Roles of Immune Cells in the Pathogenesis of Fibrosis. Int. J. Mol. Sci. 2020, 21, 5203. [Google Scholar] [CrossRef]
- Wismans, L.V.; Lopuhaä, B.; de Koning, W.; Moeniralam, H.; van Oosterhout, M.; Ambarus, C.; Hofman, F.N.; Kuiken, T.; Endeman, H.; Mustafa, D.A.M.; et al. Increase of mast cells in COVID-19 pneumonia may contribute to pulmonary fibrosis and thrombosis. Histopathology 2022, 82, 407–419. [Google Scholar] [CrossRef] [PubMed]
- Soria-Castro, R.; Meneses-Preza, Y.G.; Rodríguez-López, G.M.; Romero-Ramírez, S.; Sosa-Hernández, V.A.; Cervantes-Díaz, R.; Pérez-Fragoso, A.; Torres-Ruíz, J.J.; Gómez-Martín, D.; Campillo-Navarro, M.; et al. Severe COVID-19 is marked by dysregulated serum levels of carboxypeptidase A3 and serotonin. J. Leukoc. Biol. 2021, 110, 425–431. [Google Scholar] [CrossRef] [PubMed]
- Li, L.; Li, Y.; Reddel, S.W.; Cherrian, M.; Friend, D.S.; Stevens, R.L.; Krilis, S.A. Identification of Basophilic Cells that Express Mast Cell Granule Proteases in the Peripheral Blood of Asthma, Allergy, and Drug-Reactive Patients. J. Immunol. 1998, 161, 5079–5086. [Google Scholar] [CrossRef] [PubMed]
- Pejler, G.; Åbrink, M.; Ringvall, M.; Wernersson, S. Mast Cell Proteases. Adv. Immunol. 2007, 95, 167–255. [Google Scholar]
- Atiakshin, D.; Kostin, A.; Trotsenko, I.; Samoilova, V.; Buchwalow, I.; Tiemann, M. Carboxypeptidase A3—A Key Component of the Protease Phenotype of Mast Cells. Cells 2022, 11, 570. [Google Scholar] [CrossRef]
- Siddhuraj, P.; Clausson, C.-M.; Sanden, C.; Alyamani, M.; Kadivar, M.; Marsal, J.; Wallengren, J.; Bjermer, L.; Erjefält, J.S. Lung Mast Cells Have a High Constitutive Expression of Carboxypeptidase A3 mRNA That Is Independent from Granule-Stored CPA3. Cells 2021, 10, 309. [Google Scholar] [CrossRef]
- Siddhuraj, P.; Jönsson, J.; Alyamani, M.; Prabhala, P.; Magnusson, M.; Lindstedt, S.; Erjefält, J.S. Dynamically upregulated mast cell CPA3 patterns in chronic obstructive pulmonary disease and idiopathic pulmonary fibrosis. Front. Immunol. 2022, 13, 924244. [Google Scholar] [CrossRef]
- Maiese, A.; Manetti, A.C.; La Russa, R.; Di Paolo, M.; Turillazzi, E.; Frati, P.; Fineschi, V. Autopsy findings in COVID-19-related deaths: A literature review. Forensic Sci. Med. Pathol. 2020, 17, 279–296. [Google Scholar] [CrossRef]
- Zhou, Y.; Pan, P.; Yao, L.; Su, M.; He, P.; Niu, N.; McNutt, M.A.; Gu, J. CD117-positive Cells of the Heart: Progenitor Cells or Mast Cells? J. Histochem. Cytochem. 2009, 58, 309–316. [Google Scholar] [CrossRef]
- Dwyer, D.F.; Ordovas-Montanes, J.; Allon, S.J.; Buchheit, K.M.; Vukovic, M.; Derakhshan, T.; Feng, C.; Lai, J.; Hughes, T.K.; Nyquist, S.K.; et al. Human airway mast cells proliferate and acquire distinct inflammation-driven phenotypes during type 2 inflammation. Sci. Immunol. 2021, 6, eabb7221. [Google Scholar] [CrossRef]
- Hellman, L.; Akula, S.; Fu, Z.; Wernersson, S. Mast Cell and Basophil Granule Proteases—In Vivo Targets and Function. Front. Immunol. 2022, 13, 918305. [Google Scholar] [CrossRef] [PubMed]
- Ahmad Alhiyari, M.; Ata, F.; Islam Alghizzawi, M.; Bint I Bilal, A.; Salih Abdulhadi, A.; Yousaf, Z. Post COVID-19 fibrosis, an emerging complicationof SARS-CoV-2 infection. IDCases 2020, 23, e01041. [Google Scholar] [CrossRef] [PubMed]
- Tan, J.Y.J.; Anderson, D.E.; Rathore, A.P.S.; O’Neill, A.; Mantri, C.K.; Saron, W.A.A.; Lee, C.Q.E.; Cui, C.W.; Kang, A.E.Z.; Foo, R.; et al. Mast cell activation in lungs during SARS-CoV-2 infection associated with lung pathology and severe COVID-19. J. Clin. Investig. 2023, 133, e149834. [Google Scholar] [CrossRef]
- Jiménez, M.; Cervantes-García, D.; Córdova-Dávalos, L.E.; Pérez-Rodríguez, M.J.; Gonzalez-Espinosa, C.; Salinas, E. Responses of Mast Cells to Pathogens: Beneficial and Detrimental Roles. Front. Immunol. 2021, 12, 685865. [Google Scholar] [CrossRef]
- Wernersson, S.; Pejler, G. Mast cell secretory granules: Armed for battle. Nat. Rev. Immunol. 2014, 14, 478–494. [Google Scholar] [CrossRef]
- Budnevsky, A.V.; Avdeev, S.N.; Kosanovic, D.; Ovsyannikov, E.S.; Savushkina, I.A.; Alekseeva, N.G.; Feigelman, S.N.; Shishkina, V.V.; Filin, A.A.; Esaulenko, D.I.; et al. Involvement of Mast Cells in the Pathology of COVID-19: Clinical and Laboratory Parallels. Cells 2024, 13, 711. [Google Scholar] [CrossRef]
- Motta Junior, J.d.S.; Miggiolaro, A.F.R.d.S.; Nagashima, S.; de Paula, C.B.V.; Baena, C.P.; Scharfstein, J.; de Noronha, L. Mast Cells in Alveolar Septa of COVID-19 Patients: A Pathogenic Pathway That May Link Interstitial Edema to Immunothrombosis. Front. Immunol. 2020, 11, 574862. [Google Scholar] [CrossRef]
- Krysko, O.; Bourne, J.H.; Kondakova, E.; Galova, E.A.; Whitworth, K.; Newby, M.L.; Bachert, C.; Hill, H.; Crispin, M.; Stamataki, Z.; et al. Severity of SARS-CoV-2 infection is associated with high numbers of alveolar mast cells and their degranulation. Front. Immunol. 2022, 13, 968981. [Google Scholar] [CrossRef]
- Furuta, T.; Murao, L.A.; Lan, N.T.P.; Huy, N.T.; Huong, V.T.Q.; Thuy, T.T.; Tham, V.D.; Nga, C.T.P.; Ha, T.T.N.; Ohmoto, Y.; et al. Association of Mast Cell-Derived VEGF and Proteases in Dengue Shock Syndrome. PLoS Neglected Trop. Dis. 2012, 6, e1505. [Google Scholar] [CrossRef]
- Hu, Y.; Jin, Y.; Han, D.; Zhang, G.; Cao, S.; Xie, J.; Xue, J.; Li, Y.; Meng, D.; Fan, X.; et al. Mast Cell-Induced Lung Injury in Mice Infected with H5N1 Influenza Virus. J. Virol. 2012, 86, 3347–3356. [Google Scholar] [CrossRef]
- Rathore, A.P.S.; Mantri, C.K.; Aman, S.A.B.; Syenina, A.; Ooi, J.; Jagaraj, C.J.; Goh, C.C.; Tissera, H.; Wil-der-Smith, A.; Ng, L.G.; et al. Dengue virus-elicited tryptase induces endothelial permeability and shock. J. Clin. Investig. 2019, 129, 4180–4193. [Google Scholar] [CrossRef] [PubMed]
- Cha, S.I.; Chang, C.S.; Kim, E.K.; Lee, J.W.; Matthay, M.A.; Golden, J.A.; Elicker, B.M.; Jones, K.; Collard, H.R.; Wolters, P.J. Lung mast cell density defines a subpopulation of patients with idiopathic pulmonary fibrosis. Histopathology 2012, 61, 98–106. [Google Scholar] [CrossRef]
- Miranda, E.; Dunmore, R.; Rassl, D.; Parfrey, H.; Overed-Sayer, C.; Lewis, A.; Sherry, L.; Sleeman, M.; May, R.; Clarke, D. Tryptase+ mast cells associate with fibrotic regions in the lungs of idiopathic pulmonary fibrosis patients; A multiplex staining approach. Eur. Respir. Soc. 2016, 48, PA3412. [Google Scholar] [CrossRef]
- Akers, I.A.; Parsons, M.; Hill, M.R.; Hollenberg, M.D.; Sanjar, S.; Laurent, G.J.; McAnulty, R.J. Mast cell tryptase stimulates human lung fibroblast proliferation via protease-activated receptor-2. Am. J. Physiol. Lung. Cell. Mol. Physiol. 2000, 278, L193–L201. [Google Scholar] [CrossRef] [PubMed]
- Cairns, J.A.; Walls, A.F. Mast cell tryptase stimulates the synthesis of type I collagen in human lung fibroblasts. J. Clin. Investig. 1997, 99, 1313–1321. [Google Scholar] [CrossRef]
- Wygrecka, M.; Kwapiszewska, G.; Jablonska, E.; von Gerlach, S.; Henneke, I.; Zakrzewicz, D.; Guenther, A.; Preissner, K.T.; Markart, P. Role of Protease-activated Receptor-2 in Idiopathic Pulmonary Fibrosis. Am. J. Respir. Crit. Care Med. 2011, 183, 1703–1714. [Google Scholar] [CrossRef]
- Tchougounova, E.; Lundequist, A.; Fajardo, I.; Winberg, J.-O.; Åbrink, M.; Pejler, G. A Key Role for Mast Cell Chymase in the Activation of Pro-matrix Metalloprotease-9 and Pro-matrix Metalloprotease-2. J. Biol. Chem. 2005, 280, 9291–9296. [Google Scholar] [CrossRef]
- Overed-Sayer, C.; Rapley, L.; Mustelin, T.; Clarke, D.L. Are Mast Cells Instrumental for Fibrotic Diseases? Front. Pharmacol. 2014, 4, 174. [Google Scholar] [CrossRef]
- Goldstein, S.M.; Leong, J.; Bunnett, N.W. Human mast cell proteases hydrolyze neurotensin, kinetensin and Leu5-enkephalin. Peptides 1991, 12, 995–1000. [Google Scholar] [CrossRef]
- Bunnett, N.W.; Goldstein, S.M.; Nakazato, P. Isolation of a neuropeptide-degrading carboxypeptidase from the human stomach. Gastroenterology 1992, 102, 76–87. [Google Scholar] [CrossRef]
- Lundequist, A.; Tchougounova, E.; Åbrink, M.; Pejler, G. Cooperation between Mast Cell Carboxypeptidase A and the Chymase Mouse Mast Cell Protease 4 in the Formation and Degradation of Angiotensin II. J. Biol. Chem. 2004, 279, 32339–32344. [Google Scholar] [CrossRef] [PubMed]
- Metsärinne, K.P.; Vehmaan-Kreula, P.; Kovanen, P.T.; Saijonmaa, O.; Baumann, M.; Wang, Y.; Nyman, T.; Fyhrquist, F.Y.; Eklund, K.K. Activated Mast Cells Increase the Level of Endothelin-1 mRNA in Cocultured Endothelial Cells and Degrade the Secreted Peptide. Arter. Thromb. Vasc. Biol. 2002, 22, 268–273. [Google Scholar] [CrossRef] [PubMed]
- Ross, B.; D’Orléans-Juste, P.; Giaid, A. Potential Role of Endothelin-1 in Pulmonary Fibrosis: From the Bench to the Clinic. Am. J. Respir. Cell Mol. Biol. 2010, 42, 16–20. [Google Scholar] [CrossRef] [PubMed]
- Li, X.; Zhuang, J.; Rayford, H.; Zhang, H.; Shu, R.; Uhal, B. Attenuation of Bleomycin-Induced Pulmonary Fibrosis by Intratracheal Administration of Antisense Oligonucleotides Against Angiotensinogen mRNA. Curr. Pharm. Des. 2007, 13, 1257–1268. [Google Scholar] [CrossRef] [PubMed]
- Marshall, R.P.; McANULTY, R.J.; Laurent, G.J. Angiotensin II Is Mitogenic for Human Lung Fibroblasts via Activation of the Type 1 Receptor. Am. J. Respir. Crit. Care Med. 2000, 161, 1999–2004. [Google Scholar] [CrossRef]
- Wang, R.; Zagariya, A.; Ibarra-Sunga, O.; Gidea, C.; Ang, E.; Deshmukh, S.; Chaudhary, G.; Baraboutis, J.; Filippatos, G.; Uhal, B.D. Angiotensin II Induces Apoptosis in Human and Rat Alveolar Epithelial Cells. Am. J. Physiol.-Lung Cell. Mol. Physiol. 1999, 276, L885–L889. [Google Scholar] [CrossRef]





| Control | COVID-19 | ||
|---|---|---|---|
| n | 6 | 8 | p-Value |
| Age (Mean ± SD) | 55.33 ± 28.42 | 62.5 ± 11.90 | 0.5291 |
| Gender, male (%) | 2/6 (33.33%) | 6/8 (75%) | 0.2774 |
| Gender, female (%) | 4/6 (66.67%) | 2/8 (25%) | 0.2774 |
| Overweight (%) | 1/6 (16.67%) | 3/8 (37.5%) | 0.5804 |
| Hypertension (%) | 2/6 (33.33%) | 2/8 (25%) | >0.9999 |
| Diabetes (%) | 2/6 (33.33%) | 2/8 (25%) | >0.9999 |
| Smoker (%) | 0/6 (0%) | 2/8 (25%) | 0.4725 |
| COPD (%) | 0/6 (0%) | 2/8 (25%) | 0.4725 |
| Days of intubation * [Median (Q1–Q3)] | - | 20 (3–48) | - |
Disclaimer/Publisher’s Note: The statements, opinions and data contained in all publications are solely those of the individual author(s) and contributor(s) and not of MDPI and/or the editor(s). MDPI and/or the editor(s) disclaim responsibility for any injury to people or property resulting from any ideas, methods, instructions or products referred to in the content. |
© 2024 by the authors. Licensee MDPI, Basel, Switzerland. This article is an open access article distributed under the terms and conditions of the Creative Commons Attribution (CC BY) license (https://creativecommons.org/licenses/by/4.0/).
Share and Cite
Meneses-Preza, Y.G.; Martínez-Martínez, R.; Meixueiro-Calderón, C.; Hernández, U.M.; Retana, E.A.; Ponce-Regalado, M.D.; Gamboa-Domínguez, A.; León-Contreras, J.C.; Muñoz-Cruz, S.; Hernández-Pando, R.; et al. Mast Cell Carboxypeptidase A3 Is Associated with Pulmonary Fibrosis Secondary to COVID-19. Int. J. Mol. Sci. 2024, 25, 12258. https://doi.org/10.3390/ijms252212258
Meneses-Preza YG, Martínez-Martínez R, Meixueiro-Calderón C, Hernández UM, Retana EA, Ponce-Regalado MD, Gamboa-Domínguez A, León-Contreras JC, Muñoz-Cruz S, Hernández-Pando R, et al. Mast Cell Carboxypeptidase A3 Is Associated with Pulmonary Fibrosis Secondary to COVID-19. International Journal of Molecular Sciences. 2024; 25(22):12258. https://doi.org/10.3390/ijms252212258
Chicago/Turabian StyleMeneses-Preza, Yatsiri G., Ricardo Martínez-Martínez, Claudia Meixueiro-Calderón, Ulises Manuel Hernández, Elizabeth Angelica Retana, María Dolores Ponce-Regalado, Armando Gamboa-Domínguez, Juan Carlos León-Contreras, Samira Muñoz-Cruz, Rogelio Hernández-Pando, and et al. 2024. "Mast Cell Carboxypeptidase A3 Is Associated with Pulmonary Fibrosis Secondary to COVID-19" International Journal of Molecular Sciences 25, no. 22: 12258. https://doi.org/10.3390/ijms252212258
APA StyleMeneses-Preza, Y. G., Martínez-Martínez, R., Meixueiro-Calderón, C., Hernández, U. M., Retana, E. A., Ponce-Regalado, M. D., Gamboa-Domínguez, A., León-Contreras, J. C., Muñoz-Cruz, S., Hernández-Pando, R., Pérez-Tapia, S. M., Chávez-Blanco, A. D., Becerril-Villanueva, E., & Chacón-Salinas, R. (2024). Mast Cell Carboxypeptidase A3 Is Associated with Pulmonary Fibrosis Secondary to COVID-19. International Journal of Molecular Sciences, 25(22), 12258. https://doi.org/10.3390/ijms252212258

