Potentiation of Catalase-Mediated Plant Thermotolerance by N-Terminal Attachment of Solubilizing/Thermostabilizing Fusion Partners
Abstract
1. Introduction
2. Results
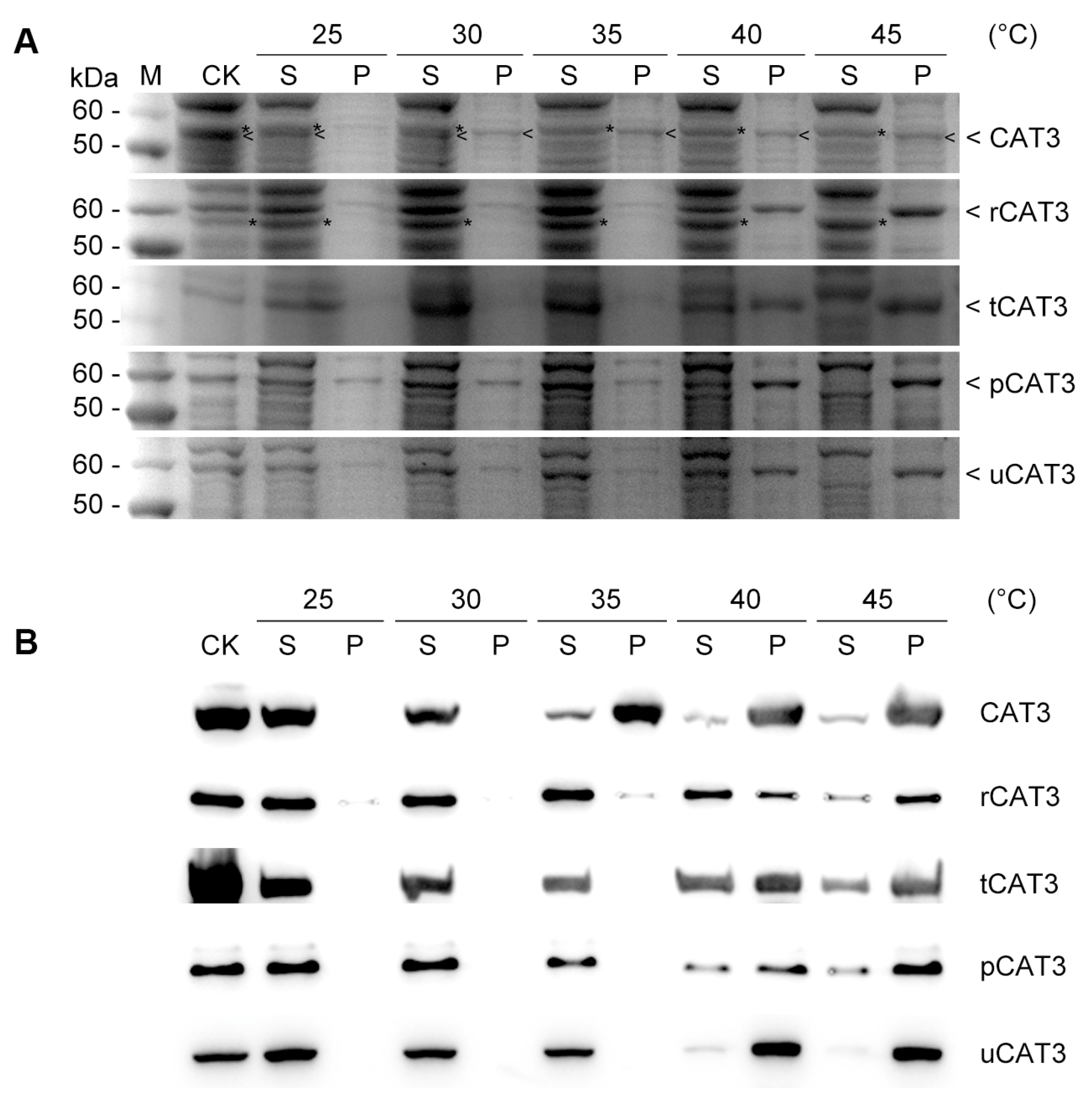
2.1. Fusion Expression Enhances the Solubility and Thermostability of Arabidopsis CAT3 and Protects It from Heat Inactivation
2.2. Fusion Expression Potentiates CAT3-Mediated Thermotolerance in Its Recombinant E. coli and Yeast Strains
2.3. Fusion Expression Magnifies CAT3-Mediated Thermotolerance in Transgenic Tobacco
2.3.1. Obtainment of Transgenic Tobacco Expressing CAT3 or Its Fusion Form
2.3.2. Fusion Expression Improves the Recovery Growth of CAT3-Expressing Transgenic Tobacco Plants After Heat Stress
2.3.3. Fusion Expression Improves the Seed Germination and Seedling Growth of CAT3-Expressing Transgenic Tobacco After Heat Stress
2.3.4. Fusion Expression Enhances the Ability of CAT3 to Prevent Chlorophyll Destruction and Membrane Lipid Peroxidation from Heat Stress in Transgenic Tobacco Plants
2.3.5. Lower H2O2 Level and Less Cell Damage Under Heat Stress Exist in the Leaves of Transgenic Tobacco with CAT3 Fusion Expression
2.3.6. Fusion Expression with CAT3 Provides Enhanced Protection for Tobacco Roots Under Heat Stress
2.3.7. Enhanced Thermotolerance in Tobacco Is Solely Ascribed to the Catalase Activity of Introduced CAT3 or Its Fusion Form
2.3.8. Fusion Variants of CAT3 Are More Thermostable than Its Native Form in Transgenic Tobaccos Under Heat Stress
3. Discussion
3.1. Fusion Expression Improves the Thermostability of Arabidopsis CAT3 with Better Activity Maintenance Under Heat and Enlarges CAT3-Mediated Thermotolerance in Transgenic Organisms (E. coli, Yeast, and Tobacco)
3.2. HAMP Fusion Tags Demonstrate a Common Thermostabilizing Effect That Is, However, Not Parallel to Their Acidity
3.3. Unique Features Imbue P. furiosus Rubredoxin with a Thermostabilizing Efficacy Similar to That of HAMP Tags
3.4. Fusion Expression May Promote CAT-Mediated Tolerance to Other Environmental Stresses Beyond Heat
3.5. Fusion Expression-Directed Protein Engineering Can Be Potentially Applicable for Developing Climate-Resilient Crops in Future Agriculture
4. Materials and Methods
4.1. Vector Construction
4.2. Recombinant Protein Expression in E. coli
4.3. Thermostability and Activity Analysis of E. coli-Expressed Recombinant CAT3 Proteins
4.4. Survival Test by Dot-Plating of Heat-Treated Recombinant E. coli and Yeast Strains
4.5. Tobacco Transformation and Identification of Transgenic Plants
4.6. Heterologous Gene Expression in Transgenic Tobacco Analyzed by RT-PCR
4.7. Growth Status Evaluation of Tobacco Seedlings and Plants After Heat Stress
4.8. Evaluation of Tobacco Seed Germination Rate and Seedling Survival Rate After Heat Stress
4.9. Physiological Analyses of Tobacco Plants After Heat Stress
4.10. Fractionation of Soluble and Insoluble Proteins from Yeast Cells and Tobacco Plants for Immunoblotting
4.11. Bioinformatic and Statistical Analyses
5. Conclusions
Supplementary Materials
Author Contributions
Funding
Institutional Review Board Statement
Informed Consent Statement
Data Availability Statement
Conflicts of Interest
References
- Baker, A.; Lin, C.C.; Lett, C.; Karpinska, B.; Wright, M.H.; Foyer, C.H. Catalase: A critical node in the regulation of cell fate. Free Radic. Biol. Med. 2023, 199, 56–66. [Google Scholar] [CrossRef] [PubMed]
- Díaz, A.; Loewen, P.C.; Fita, I.; Carpena, X. Thirty years of heme catalases structural biology. Arch. Biochem. Biophys. 2012, 525, 102–110. [Google Scholar] [CrossRef] [PubMed]
- Mhamdi, A.; Noctor, G.; Baker, A. Plant catalases: Peroxisomal redox guardians. Arch. Biochem. Biophys. 2012, 525, 181–194. [Google Scholar] [CrossRef] [PubMed]
- Oshima, Y.; Kamigaki, A.; Nakamori, C.; Mano, S.; Hayashi, M.; Nishimura, M.; Esaka, M. Plant catalase is imported into peroxisomes by Pex5p but is distinct from typical PTS1 import. Plant Cell Physiol. 2008, 49, 671–677. [Google Scholar] [CrossRef]
- Mhamdi, A.; Queval, G.; Chaouch, S.; Vanderauwera, S.; Van Breusegem, F.; Noctor, G. Catalase function in plants: A focus on Arabidopsis mutants as stress-mimic models. J. Exp. Bot. 2010, 61, 4197–4220. [Google Scholar] [CrossRef]
- Zhang, Z.; Xu, Y.; Xie, Z.; Li, X.; He, Z.H.; Peng, X.X. Association-dissociation of glycolate oxidase with catalase in rice: A potential switch to modulate intracellular H2O2 levels. Mol. Plant 2016, 9, 737–748. [Google Scholar] [CrossRef]
- Kan, C.; Zhang, Y.; Wang, H.L.; Shen, Y.; Xia, X.; Guo, H.; Li, Z. Transcription factor NAC075 delays leaf senescence by deterring reactive oxygen species accumulation in Arabidopsis. Front. Plant Sci. 2021, 12, 634040. [Google Scholar]
- Shibata, M.; Oikawa, K.; Yoshimoto, K.; Kondo, M.; Mano, S.; Yamada, K.; Hayashi, M.; Sakamoto, W.; Ohsumi, Y.; Nishimura, M. Highly oxidized peroxisomes are selectively degraded via autophagy in Arabidopsis. Plant Cell 2013, 25, 4967–4983. [Google Scholar] [CrossRef]
- Zhu, X.; Guo, L.; Zhu, R.; Zhou, X.; Zhang, J.; Li, D.; He, S.; Qiao, Y. Phytophthora sojae effector PsAvh113 associates with the soybean transcription factor GmDPB to inhibit catalase-mediated immunity. Plant Biotechnol. J. 2023, 21, 1393–1407. [Google Scholar] [CrossRef]
- Xing, Y.; Jia, W.; Zhang, J. AtMEK1 mediates stress-induced gene expression of CAT1 catalase by triggering H2O2 production in Arabidopsis. J. Exp. Bot. 2007, 58, 2969–2981. [Google Scholar] [CrossRef]
- Mishra, N.; Jiang, C.; Chen, L.; Paul, A.; Chatterjee, A.; Shen, G. Achieving abiotic stress tolerance in plants through antioxidative defense mechanisms. Front. Plant Sci. 2023, 14, 1110622. [Google Scholar] [CrossRef] [PubMed]
- Zou, J.J.; Li, X.D.; Ratnasekera, D.; Wang, C.; Liu, W.X.; Song, L.F.; Zhang, W.Z.; Wu, W.H. Arabidopsis CALCIUM-DEPENDENT PROTEIN KINASE8 and CATALASE3 function in abscisic acid-mediated signaling and H2O2 homeostasis in stomatal guard cells under drought stress. Plant Cell 2015, 27, 1445–1460. [Google Scholar] [CrossRef] [PubMed]
- Zhou, Y.B.; Liu, C.; Tang, D.Y.; Yan, L.; Wang, D.; Yang, Y.Z.; Gui, J.S.; Zhao, X.Y.; Li, L.G.; Tang, X.D.; et al. The receptor-like cytoplasmic kinase STRK1 phosphorylates and activates CatC, thereby regulating H2O2 homeostasis and improving salt tolerance in rice. Plant Cell 2018, 30, 1100–1118. [Google Scholar] [CrossRef] [PubMed]
- Zhang, S.; Li, C.; Ren, H.; Zhao, T.; Li, Q.; Wang, S.; Zhang, Y.; Xiao, F.; Wang, X. BAK1 mediates light intensity to phosphorylate and activate catalases to regulate plant growth and development. Int. J. Mol. Sci. 2020, 21, 1437. [Google Scholar] [CrossRef]
- Hasanuzzaman, M.; Nahar, K.; Alam, M.M.; Roychowdhury, R.; Fujita, M. Physiological, biochemical, and molecular mechanisms of heat stress tolerance in plants. Int. J. Mol. Sci. 2013, 14, 9643–9684. [Google Scholar] [CrossRef]
- Dat, J.F.; Lopez-Delgado, H.; Foyer, C.H.; Scott, I.M. Parallel changes in H2O2 and catalase during thermotolerance induced by salicylic acid or heat acclimation in mustard seedlings. Plant Physiol. 1998, 116, 1351–1357. [Google Scholar] [CrossRef]
- Liao, M.; Ma, Z.; Kang, Y.; Zhang, B.; Gao, X.; Yu, F.; Yang, P.; Ke, Y. ENHANCED DISEASE SUSCEPTIBILITY 1 promotes hydrogen peroxide scavenging to enhance rice thermotolerance. Plant Physiol. 2023, 192, 3106–3119. [Google Scholar] [CrossRef]
- Wang, J.; Xu, J.; Wang, L.; Zhou, M.; Nian, J.; Chen, M.; Lu, X.; Liu, X.; Wang, Z.; Cen, J.; et al. SEMI-ROLLED LEAF 10 stabilizes catalase isozyme B to regulate leaf morphology and thermotolerance in rice (Oryza sativa L.). Plant Biotechnol. J. 2023, 21, 819–838. [Google Scholar] [CrossRef]
- Wu, Q.; Lin, J.; Liu, J.Z.; Wang, X.; Lim, W.; Oh, M.; Park, J.; Rajashekar, C.B.; Whitham, S.A.; Cheng, N.H.; et al. Ectopic expression of Arabidopsis glutaredoxin AtGRXS17 enhances thermotolerance in tomato. Plant Biotechnol. J. 2012, 10, 945–955. [Google Scholar] [CrossRef]
- Wang, H.; Gao, Z.; Chen, X.; Li, E.; Li, Y.; Zhang, C.; Hou, X. BcWRKY22 activates BcCAT2 to enhance catalase (CAT) activity and reduce hydrogen peroxide (H2O2) accumulation, promoting thermotolerance in non-heading chinese cabbage (Brassica campestris ssp. chinensis). Antioxidants 2023, 12, 1710. [Google Scholar] [CrossRef]
- Bai, Y.; Dong, Y.; Zheng, L.; Zeng, H.; Wei, Y.; Shi, H. Cassava phosphatase PP2C1 modulates thermotolerance via fine-tuning dephosphorylation of antioxidant enzymes. Plant Physiol. 2024, 194, 2724–2738. [Google Scholar] [CrossRef] [PubMed]
- Qiao, B.; Zhang, Q.; Liu, D.; Wang, H.; Yin, J.; Wang, R.; He, M.; Cui, M.; Shang, Z.; Wang, D.; et al. A calcium-binding protein, rice annexin OsANN1, enhances heat stress tolerance by modulating the production of H2O2. J. Exp. Bot. 2015, 66, 5853–5866. [Google Scholar] [CrossRef] [PubMed]
- Li, Y.; Chen, L.; Mu, J.; Zuo, J. LESION SIMULATING DISEASE1 interacts with catalases to regulate hypersensitive cell death in Arabidopsis. Plant Physiol. 2013, 163, 1059–1070. [Google Scholar] [CrossRef]
- Tian, G.; Wang, S.; Wu, J.; Wang, Y.; Wang, X.; Liu, S.; Han, D.; Xia, G.; Wang, M. Allelic variation of TaWD40-4B.1 contributes to drought tolerance by modulating catalase activity in wheat. Nat. Commun. 2023, 14, 1200. [Google Scholar] [CrossRef] [PubMed]
- Li, J.; Liu, J.; Wang, G.; Cha, J.Y.; Li, G.; Chen, S.; Li, Z.; Guo, J.; Zhang, C.; Yang, Y.; et al. A chaperone function of NO CATALASE ACTIVITY1 is required to maintain catalase activity and for multiple stress responses in Arabidopsis. Plant Cell 2015, 27, 908–925. [Google Scholar] [CrossRef]
- Li, G.; Li, J.; Hao, R.; Guo, Y. Activation of catalase activity by a peroxisome-localized small heat shock protein Hsp17.6CII. J. Genet. Genom. 2017, 44, 395–404. [Google Scholar] [CrossRef]
- Zhou, J.; Zhang, Y.; Qi, J.; Chi, Y.; Fan, B.; Yu, J.Q.; Chen, Z. E3 ubiquitin ligase CHIP and NBR1-mediated selective autophagy protect additively against proteotoxicity in plant stress responses. PLoS Genet. 2014, 10, e1004116. [Google Scholar] [CrossRef]
- Ó’Fágáin, C. Protein stability: Enhancement and measurement. Methods Mol. Biol. 2023, 2699, 369–419. [Google Scholar]
- Listov, D.; Goverde, C.A.; Correia, B.E.; Fleishman, S.J. Opportunities and challenges in design and optimization of protein function. Nat. Rev. Mol. Cell. Biol. 2024, 25, 639–653. [Google Scholar] [CrossRef]
- Teufl, M.; Zajc, C.U.; Traxlmayr, M.W. Engineering strategies to overcome the stability-function trade-off in proteins. ACS Synth. Biol. 2022, 11, 1030–1039. [Google Scholar] [CrossRef]
- Finch, A.J.; Kim, J.R. Thermophilic proteins as versatile scaffolds for protein engineering. Microorganisms 2018, 6, 97. [Google Scholar] [CrossRef] [PubMed]
- Pierre, B.; Labonte, J.W.; Xiong, T.; Aoraha, E.; Williams, A.; Shah, V.; Chau, E.; Helal, K.Y.; Gray, J.J.; Kim, J.R. Molecular determinants for protein stabilization by insertional fusion to a thermophilic host protein. Chembiochem 2015, 16, 2392–2402. [Google Scholar] [CrossRef] [PubMed]
- Shah, V.; Pierre, B.; Kirtadze, T.; Shin, S.; Kim, J.R. Stabilization of Bacillus circulans xylanase by combinatorial insertional fusion to a thermophilic host protein. Protein Eng. Des. Sel. 2017, 30, 281–290. [Google Scholar]
- Śpibida, M.; Krawczyk, B.; Zalewska-Piątek, B.; Piątek, R.; Wysocka, M.; Olszewski, M. Fusion of DNA-binding domain of Pyrococcus furiosus ligase with TaqStoffel DNA polymerase as a useful tool in PCR with difficult targets. Appl. Microbiol. Biotechnol. 2018, 102, 713–721. [Google Scholar] [CrossRef]
- Jo, B.H. Improved solubility and stability of a thermostable carbonic anhydrase via fusion with marine-derived intrinsically disordered solubility enhancers. Int. J. Mol. Sci. 2024, 25, 1139. [Google Scholar] [CrossRef]
- Wu, J.; Yu, G.; Yuan, H.; Liu, X.; Gao, Y.; Gong, M.; Zou, Z. Improvement on the thermostability of target proteins by fusing rubredoxin from hyperthermophile Pyrococcus furiosus. Biotechnol. Bull. 2021, 37, 110–119. (In Chinese) [Google Scholar] [CrossRef]
- Zhang, M.; Gong, M.; Yang, Y.; Li, X.; Wang, H.; Zou, Z. Improvement on the thermal stability and activity of plant cytosolic ascorbate peroxidase 1 by tailing hyper-acidic fusion partners. Biotechnol. Lett. 2015, 37, 891–898. [Google Scholar] [CrossRef]
- Zhang, M.; Li, X.; Yang, Y.; Luo, Z.; Liu, C.; Gong, M.; Zou, Z. An acidified thermostabilizing mini-peptide derived from the carboxyl extension of the larger isoform of the plant Rubisco activase. J. Biotechnol. 2015, 212, 116–124. [Google Scholar] [CrossRef]
- Liu, Y.; Zhang, M.; Yuan, H.; Zou, Z. Potentiation of the activity of Escherichia coli chaperone DnaJ by tailing hyper-acidic minipeptides. J. Biotechnol. 2021, 341, 86–95. [Google Scholar] [CrossRef]
- Thorgersen, M.P.; Stirrett, K.; Scott, R.A.; Adams, M.W. Mechanism of oxygen detoxification by the surprisingly oxygen-tolerant hyperthermophilic archaeon, Pyrococcus furiosus. Proc. Natl. Acad. Sci. USA 2012, 109, 18547–18552. [Google Scholar] [CrossRef]
- Hiller, R.; Zhou, Z.H.; Adams, M.W.; Englander, S.W. Stability and dynamics in a hyperthermophilic protein with melting temperature close to 200 degrees C. Proc. Natl. Acad. Sci. USA 1997, 94, 11329–11332. [Google Scholar] [CrossRef] [PubMed]
- Kohli, B.M.; Ostermeier, C. A Rubredoxin based system for screening of protein expression conditions and on-line monitoring of the purification process. Protein Expr. Purif. 2003, 28, 362–367. [Google Scholar] [CrossRef] [PubMed]
- Tan, C.; Niitsu, A.; Sugita, Y. Highly charged proteins and their repulsive interactions antagonize biomolecular condensation. JACS Au 2023, 3, 834–848. [Google Scholar] [CrossRef] [PubMed]
- Zou, Z.; Cao, L.; Zhou, P.; Su, Y.; Sun, Y.; Li, W. Hyper-acidic protein fusion partners improve solubility and assist correct folding of recombinant proteins expressed in Escherichia coli. J. Biotechnol. 2008, 135, 333–339. [Google Scholar] [CrossRef]
- Zhao, C.; Liu, B.; Piao, S.; Wang, X.; Lobell, D.B.; Huang, Y.; Huang, M.; Yao, Y.; Bassu, S.; Ciais, P.; et al. Temperature increase reduces global yields of major crops in four independent estimates. Proc. Natl. Acad. Sci. USA 2017, 114, 9326–9331. [Google Scholar] [CrossRef]
- Weinberg, M.V.; Jenney, F.E., Jr.; Cui, X.; Adams, M.W. Rubrerythrin from the hyperthermophilic archaeon Pyrococcus furiosus is a rubredoxin-dependent, iron-containing peroxidase. J. Bacteriol. 2004, 186, 7888–7895. [Google Scholar] [CrossRef]
- Jenney, F.E., Jr.; Verhagen, M.F.; Cui, X.; Adams, M.W. Anaerobic microbes: Oxygen detoxification without superoxide dismutase. Science 1999, 286, 306–309. [Google Scholar] [CrossRef]
- Lumppio, H.L.; Shenvi, N.V.; Summers, A.O.; Voordouw, G.; Kurtz, D.M., Jr. Rubrerythrin and rubredoxin oxidoreductase in Desulfovibrio vulgaris: A novel oxidative stress protection system. J. Bacteriol. 2001, 183, 101–108. [Google Scholar] [CrossRef]
- Williams, S.C.; Forsberg, A.P.; Lee, J.; Vizcarra, C.L.; Lopatkin, A.J.; Austin, R.N. Investigation of the prevalence and catalytic activity of rubredoxin-fused alkane monooxygenases (AlkBs). J. Inorg. Biochem. 2021, 219, 111409. [Google Scholar] [CrossRef]
- Williams, S.C.; Austin, R.N. An Overview of the electron-transfer proteins that activate alkane monooxygenase (AlkB). Front. Microbiol. 2022, 13, 845551. [Google Scholar] [CrossRef]
- Li, Y.; Liu, P.P.; Ni, X. Molecular evolution and functional analysis of rubredoxin-like proteins in plants. Biomed. Res. Int. 2019, 2019, 2932585. [Google Scholar] [CrossRef]
- García-Cerdán, J.G.; Furst, A.L.; McDonald, K.L.; Schünemann, D.; Francis, M.B.; Niyogi, K.K. A thylakoid membrane-bound and redox-active rubredoxin (RBD1) functions in de novo assembly and repair of photosystem II. Proc. Natl. Acad. Sci. USA 2019, 116, 16631–16640. [Google Scholar] [CrossRef] [PubMed]
- Calderon, R.H.; de Vitry, C.; Wollman, F.A.; Niyogi, K.K. Rubredoxin 1 promotes the proper folding of D1 and is not required for heme b559 assembly in Chlamydomonas photosystem II. J. Biol. Chem. 2023, 299, 102968. [Google Scholar] [CrossRef] [PubMed]
- Zhu, J.; Fu, X.; Koo, Y.D.; Zhu, J.K.; Jenney, F.E., Jr.; Adams, M.W.; Zhu, Y.; Shi, H.; Yun, D.J.; Hasegawa, P.M.; et al. An enhancer mutant of Arabidopsis salt overly sensitive 3 mediates both ion homeostasis and the oxidative stress response. Mol. Cell Biol. 2007, 27, 5214–5224. [Google Scholar] [CrossRef] [PubMed]
- Li, Y.; Liu, P.; Takano, T.; Liu, S. A chloroplast-localized rubredoxin family protein gene from Puccinellia tenuiflora (PutRUB) increases NaCl and NaHCO3 tolerance by decreasing H2O2 accumulation. Int. J. Mol. Sci. 2016, 17, 804. [Google Scholar] [CrossRef]
- Musiani, F.; Giorgetti, A. Protein aggregation and molecular crowding: Perspectives from multiscale simulations. Int. Rev. Cell Mol. Biol. 2017, 329, 49–77. [Google Scholar]
- Wang, B.; Zhang, H.; Huai, J.; Peng, F.; Wu, J.; Lin, R.; Fang, X. Condensation of SEUSS promotes hyperosmotic stress tolerance in Arabidopsis. Nat. Chem. Biol. 2022, 18, 1361–1369. [Google Scholar] [CrossRef]
- Salvucci, M.E.; Osteryoung, K.W.; Crafts-Brandner, S.J.; Vierling, E. Exceptional sensitivity of Rubisco activase to thermal denaturation in vitro and in vivo. Plant Physiol. 2001, 127, 1053–1064. [Google Scholar] [CrossRef]
- Li, X.; Cai, C.; Wang, Z.; Fan, B.; Zhu, C.; Chen, Z. Plastid translation elongation factor Tu is prone to heat-induced aggregation despite its critical role in plant heat tolerance. Plant Physiol. 2018, 176, 3027–3045. [Google Scholar] [CrossRef]
- Zhang, F.; Neik, T.X.; Thomas, W.J.W.; Batley, J. CRISPR-based genome editing tools: An accelerator in crop breeding for a changing future. Int. J. Mol. Sci. 2023, 24, 8623. [Google Scholar] [CrossRef]
- Sugumar, T.; Shen, G.; Smith, J.; Zhang, H. Creating climate-resilient crops by increasing drought, heat, and salt tolerance. Plants 2024, 13, 1238. [Google Scholar] [CrossRef] [PubMed]
- Topping, J.F. Tobacco transformation. Methods Mol. Biol. 1998, 81, 365–372. [Google Scholar] [PubMed]
- Lichtenthaler, H.K. Chlorophylls and carotenoids: Pigments of photosynthetic biomembranes. Methods Enzymol. 1987, 148, 350–382. [Google Scholar]
- Morales, M.; Munné-Bosch, S. Malondialdehyde assays in higher plants. Methods Mol. Biol. 2024, 2798, 79–100. [Google Scholar] [PubMed]
- Patterson, B.D.; MacRae, E.A.; Ferguson, I.B. Estimation of hydrogen peroxide in plant extracts using titanium (IV). Anal. Biochem. 1984, 139, 487–492. [Google Scholar] [CrossRef]
- Duncan, D.R.; Widholm, J.M. Osmotic induced stimulation of the reduction of the viability dye 2,3,5-triphenyltetrazolium chloride by maize roots and callus cultures. J. Plant Physiol. 2004, 161, 397–403. [Google Scholar] [CrossRef]
- Thordal-Christensen, H.; Zhang, Z.; Wei, Y.; Collinge, D.B. Subcellular localization of H2O2 in plants. H2O2 accumulation in papillae and hypersensitive response during the barley-powdery mildew interaction. Plant J. 1997, 11, 1187–1194. [Google Scholar] [CrossRef]
- Baker, C.J.; Mock, N.M. An improved method for monitoring cell death in cell suspension and leaf disc assays using Evans Blue. Plant Cell Tissue Organ Cult. 1994, 39, 7–12. [Google Scholar] [CrossRef]
- Kwon, Y.I.; Abe, K.; Endo, M.; Osakabe, K.; Ohtsuki, N.; Nishizawa-Yokoi, A.; Tagiri, A.; Saika, H.; Toki, S. DNA replication arrest leads to enhanced homologous recombination and cell death in meristems of rice OsRecQl4 mutants. BMC Plant Biol. 2013, 13, 62. [Google Scholar] [CrossRef]
- Liu, D.; Zheng, S.; Wang, X. Lanthanum regulates the reactive oxygen species in the roots of rice seedlings. Sci. Rep. 2016, 6, 31860. [Google Scholar] [CrossRef]
- Kanoria, S.; Burma, P.K. A 28 nt long synthetic 5′UTR (synJ) as an enhancer of transgene expression in dicotyledonous plants. BMC Biotechnol. 2012, 12, 85. [Google Scholar] [CrossRef]










| Name | Size (aa) | M.W. (kDa) | pI | Net Charge at pH 7.0 |
|---|---|---|---|---|
| Fusion partner | ||||
| ra3t (r) | 37 | 3.97 | 3.01 | −14 |
| tua2 (t) | 41 | 4.50 | 3.47 | −18 |
| p60c (p) | 46 | 5.50 | 2.54 | −38 |
| rub (u) | 53 | 5.90 | 6.12 | −8 |
| Target protein and its fusion forms 1 | ||||
| CAT3 | 511 | 59.00 | 6.71 | −4 |
| rCAT3 | 550 | 63.22 | 5.80 | −18 |
| tCAT3 | 554 | 63.75 | 5.62 | −22 |
| pCAT3 | 559 | 64.75 | 4.92 | −42 |
| uCAT3 | 566 | 65.14 | 6.12 | −12 |
Disclaimer/Publisher’s Note: The statements, opinions and data contained in all publications are solely those of the individual author(s) and contributor(s) and not of MDPI and/or the editor(s). MDPI and/or the editor(s) disclaim responsibility for any injury to people or property resulting from any ideas, methods, instructions or products referred to in the content. |
© 2024 by the authors. Licensee MDPI, Basel, Switzerland. This article is an open access article distributed under the terms and conditions of the Creative Commons Attribution (CC BY) license (https://creativecommons.org/licenses/by/4.0/).
Share and Cite
Xie, G.; Huang, Y.; Hu, D.; Xia, Y.; Gong, M.; Zou, Z. Potentiation of Catalase-Mediated Plant Thermotolerance by N-Terminal Attachment of Solubilizing/Thermostabilizing Fusion Partners. Int. J. Mol. Sci. 2024, 25, 12181. https://doi.org/10.3390/ijms252212181
Xie G, Huang Y, Hu D, Xia Y, Gong M, Zou Z. Potentiation of Catalase-Mediated Plant Thermotolerance by N-Terminal Attachment of Solubilizing/Thermostabilizing Fusion Partners. International Journal of Molecular Sciences. 2024; 25(22):12181. https://doi.org/10.3390/ijms252212181
Chicago/Turabian StyleXie, Guoqing, Yanrong Huang, Di Hu, Yinyu Xia, Ming Gong, and Zhurong Zou. 2024. "Potentiation of Catalase-Mediated Plant Thermotolerance by N-Terminal Attachment of Solubilizing/Thermostabilizing Fusion Partners" International Journal of Molecular Sciences 25, no. 22: 12181. https://doi.org/10.3390/ijms252212181
APA StyleXie, G., Huang, Y., Hu, D., Xia, Y., Gong, M., & Zou, Z. (2024). Potentiation of Catalase-Mediated Plant Thermotolerance by N-Terminal Attachment of Solubilizing/Thermostabilizing Fusion Partners. International Journal of Molecular Sciences, 25(22), 12181. https://doi.org/10.3390/ijms252212181

