Fusarium sacchari Effector FsMEP1 Contributes to Virulence by Disturbing Localization of Thiamine Thiazole Synthase ScTHI2 from Sugarcane
Abstract
1. Introduction
2. Results
2.1. Identification and Characteristic Analysis of FsMEP1
2.2. FsMEP1 Was Upregulated in Invasion Stage and Mainly Localized in Host Nucleus
2.3. FsMEP1 Contributed to the Pathogenicity of Fusarium sacchari
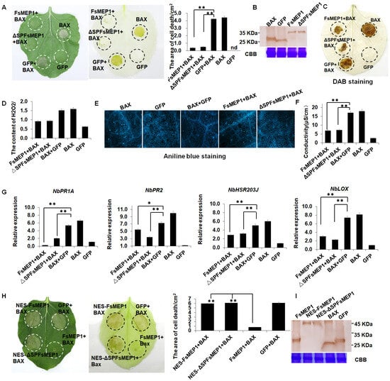
2.4. FsMEP1 Inhibited Plant Immunity Responses and Enhanced Host Susceptibility
2.5. FsMEP1 Interacts with the Thiamine Thiazole Synthase ScTHI2 of Sugarcane
2.6. FsMEP1 Contributes to Virulence by Disturbing Localization of ScTHI2
3. Discussion
4. Materials and Methods
4.1. Cultivation of Microbial Strains and Plant Materials
4.2. Identification and Phylogenetic Analysis of FsMEP1
4.3. RNA Extraction and RT-Quantitative PCR Analysis
4.4. Yeast Signal Sequence Trap System
4.5. Subcellular Localization Assays
4.6. F. sacchari Transformations for Gene Deletion and Complementation
4.7. Pathogenicity Assays
4.8. Agrobacterium-Mediated Transient Expression in N. benthamiana
4.9. Botrytis Cinereal Inoculation Assay
4.10. Determination of ROS Burst and Callose
4.11. Y2H Assays
4.12. BiFC and Co-IP Assays
4.13. Detection of Thiamine Content
4.14. Accession Numbers
Supplementary Materials
Author Contributions
Funding
Institutional Review Board Statement
Informed Consent Statement
Data Availability Statement
Conflicts of Interest
References
- Li, X.; Guo, Y.; Huang, F.; Wang, Q.; Chai, J.; Yu, F.; Wu, J.; Zhang, M.; Deng, Z. Authenticity identification of Saccharum officinarum and Saccharum spontaneum germplasm materials. Agronomy 2022, 12, 1498. [Google Scholar] [CrossRef]
- Lin, Z.; Xu, S.; Que, Y.; Wang, J.; Comstock, J.C.; Wei, J.; McCord, P.H.; Chen, B.; Chen, R.; Zhang, M. Species-specific detection and identification of Fusarium species complex, the causal agent of sugarcane pokkah boeng in China. PLoS ONE 2014, 9, e104195. [Google Scholar] [CrossRef]
- Hsuan, H.M.; Salleh, B.; Zakaria, L. Molecular identification of Fusarium species in Gibberella fujikuroi species complex from rice, sugarcane and maize from Peninsular Malaysia. Int. J. Mol. Sci. 2011, 12, 6722–6732. [Google Scholar] [CrossRef]
- Liang, H.; Li, F.; Huang, Y.; Yu, Q.; Huang, Z.; Zeng, Q.; Chen, B.; Meng, J. FsCGBP, a cutinase G-Box binding protein, regulates the growth, development, and virulence of Fusarium sacchari, the pathogen of sugarcane pokkah boeng disease. J. Fungi. 2024, 10, 246. [Google Scholar] [CrossRef]
- Bao, Y.; Xu, Y.; Wang, S.; Yao, Z.; Rao, G.P.; Zhang, M. First report of Fusarium sacchari that causes sugarcane wilt disease in China. Plant Dis. 2020, 104, 2289. [Google Scholar] [CrossRef]
- Kim, C.Y.; Song, H.; Lee, Y.H. Ambivalent response in pathogen defense: A double-edged sword? Plant Commun. 2022, 3, 100415. [Google Scholar] [CrossRef] [PubMed]
- Ji, L.; Yang, X.; Qi, F. Distinct responses to pathogenic and symbionic microorganisms: The role of plant immunity. Int. J. Mol. Sci. 2022, 23, 10427. [Google Scholar] [CrossRef] [PubMed]
- Chisholm, S.T.; Coaker, G.; Day, B.; Staskawicz, B.J. Host-microbe interactions: Shaping the evolution of the plant immune response. Cell 2006, 124, 803–814. [Google Scholar] [CrossRef]
- Gohre, V.; Robatzek, S. Breaking the barriers: Microbial effector molecules subvert plant immunity. Annu. Rev. Phytopathol. 2008, 46, 189–215. [Google Scholar] [CrossRef] [PubMed]
- Pieterse, C.M.; Leon-Reyes, A.; Van der Ent, S.; Van Wees, S.C. Networking by small-molecule hormones in plant immunity. Nat. Chem. Biol. 2009, 5, 308–316. [Google Scholar] [CrossRef]
- Bardoel, B.W.; van der Ent, S.; Pel, M.J.; Tommassen, J.; Pieterse, C.M.; van Kessel, K.P.; van Strijp, J.A. Pseudomonas evades immune recognition of flagellin in both mammals and plants. PLoS Pathog. 2011, 7, e1002206. [Google Scholar] [CrossRef]
- de Jonge, R.; van Esse, H.P.; Kombrink, A.; Shinya, T.; Desaki, Y.; Bours, R.; van der Krol, S.; Shibuya, N.; Joosten, M.H.A.J.; Thomma, B.P.H.J. Conserved fungal LysM effector Ecp6 prevents chitin-triggered immunity in plants. Science 2010, 329, 953–955. [Google Scholar] [CrossRef] [PubMed]
- Jones, J.D.; Dangl, J.L. The plant immune system. Nature 2006, 444, 323–329. [Google Scholar] [CrossRef]
- Cui, H.; Tsuda, K.; Parker, J.E. Effector-triggered immunity: From pathogen perception to robust defense. Annu. Rev. Plant Biol. 2015, 66, 487–511. [Google Scholar] [CrossRef] [PubMed]
- Wu, S.; Wang, W.; Xu, X.; Wu, X. Commentary: Leucine-rich repeat receptor-Like gene screen reveals that Nicotiana RXEG1 regulates glycoside hydrolase 12 MAMP detection. Front. Genet. 2019, 10, 162. [Google Scholar] [CrossRef]
- Thompson, M.W. Regulation of zinc-dependent enzymes by metal carrier proteins. Biometals 2022, 35, 187–213. [Google Scholar] [CrossRef]
- Menach, E.; Hashida, Y.; Yasukawa, K.; Inouye, K. Effects of conversion of the Zinc-Binding motif sequence of thermolysin, HEXXH, to that of dipeptidyl peptidase III, HEXXXH, on the activity and stability of thermolysin. Biosci. Biotech. Bioch. 2013, 77, 1901–1906. [Google Scholar] [CrossRef]
- Sanz-Martin, J.M.; Pacheco-Arjona, J.R.; Bello-Rico, V.; Vargas, W.A.; Monod, M.; Diaz-Minguez, J.M.; Thon, M.R.; Sukno, S.A. A highly conserved metalloprotease effector enhances virulence in the maize anthracnose fungus Colletotrichum graminicola. Mol. Plant Pathol. 2016, 17, 1048–1062. [Google Scholar] [CrossRef]
- Jia, Y.; Mcadams, S.A.; Bryan, G.T.; Hershey, H.P.; Valent, B. Direct interaction of resistance gene and avirulence gene products confers rice blast resistance. Embo. J. 2000, 19, 4004–4014. [Google Scholar] [CrossRef]
- Jia, Y.; Zhou, E.; Lee, S.; Bianco, T. Coevolutionary dynamics of rice blast resistance gene Pi-ta and Magnaporthe oryzae avirulence gene AVR-Pita 1. Phytopathology 2016, 106, 676–683. [Google Scholar] [CrossRef] [PubMed]
- Andreou, A.; Giastas, P.; Arnaouteli, S.; Tzanodaskalaki, M.; Tzartos, S.J.; Bethanis, K.; Bouriotis, V.; Eliopoulos, E.E. The putative polysaccharide deacetylase Ba0331: Cloning, expression, crystallization and structure determination. Acta Crystallogr. F. 2019, 75, 312–320. [Google Scholar] [CrossRef] [PubMed]
- Walker, C.; Ryu, S.; Giannone, R.J.; Garcia, S.; Trinh, C.T. Understanding and eliminating the detrimental effect o thiamine deficiency on the oleaginous yeast Yarrowia lipolytica. Appl. Environ. Microb. 2020, 86, e2299. [Google Scholar] [CrossRef] [PubMed]
- Hsieh, W.; Liao, J.; Wang, H.; Hung, T.; Tseng, C.; Chung, T.; Hsieh, M. The Arabidopsis thiamin-deficient mutant pale green1 lacks thiamin monophosphate phosphatase of the vitamin B1 biosynthesis pathway. Plant J. 2017, 91, 145–157. [Google Scholar] [CrossRef] [PubMed]
- Feng, X.; Yang, S.; Tang, K.; Zhang, Y.; Leng, J.; Ma, J.; Wang, Q.; Feng, X. GmPGL1, a thiamine thiazole synthase, is required for the biosynthesis of thiamine in soybean. Front. Plant Sci. 2019, 10, 1546. [Google Scholar] [CrossRef]
- Goyer, A. Thiamine in plants: Aspects of its metabolism and functions. Phytochemistry 2010, 71, 1615–1624. [Google Scholar] [CrossRef]
- Machado, C.R.; de Oliveira, R.L.; Boiteux, S.; Praekelt, U.M.; Meacock, P.A.; Menck, C.F. Thi1, a thiamine biosynthetic gene in Arabidopsis thaliana, complements bacterial defects in DNA repair. Plant Mol. Biol. 1996, 31, 585–593. [Google Scholar] [CrossRef]
- Kwon, K.; Cho, M.H. Deletion of the chloroplast-localized AtTerC gene product in Arabidopsis thaliana leads to loss of the thylakoid membrane and to seedling lethality. Plant J. 2008, 55, 428–442. [Google Scholar] [CrossRef]
- Kong, D.; Zhu, Y.; Wu, H.; Cheng, X.; Liang, H.; Ling, H. AtTHIC, a gene involved in thiamine biosynthesis in Arabidopsis thaliana. Cell Res. 2008, 18, 566–576. [Google Scholar] [CrossRef]
- Ahn, I.P.; Kim, S.; Lee, Y.H. Vitamin B1 functions as an activator of plant disease resistance. Plant Physiol. 2005, 138, 1505–1515. [Google Scholar] [CrossRef]
- Li, C.; Wang, M.; Wu, X.; Chen, D.; Lv, H.; Shen, J.; Qiao, Z.; Zhang, W. THI1, a thiamine thiazole synthase, interacts with Ca2+—dependent protein kinase CPK33 and modulates the S-Type anion channels and stomatal closure in Arabidopsis. Plant Physiol. 2016, 170, 1090–1104. [Google Scholar] [CrossRef]
- Yang, J.; Chen, L.; Zhang, J.; Liu, P.; Chen, M.; Chen, Z.; Zhong, K.; Liu, J.; Chen, J.; Yang, J. TaTHI2 interacts with Ca2+-dependent protein kinase TaCPK5 to suppress virus infection by regulating ROS accumulation. Plant Biotechnol. J. 2024, 22, 1335–1351. [Google Scholar] [CrossRef] [PubMed]
- Huang, Z.; Wang, C.; Li, H.; Zhou, Y.; Duan, Z.; Bao, Y.; Hu, Q.; Powell, C.A.; Chen, B.; Zhang, J.; et al. Small secreted effector protein from Fusarium sacchari suppresses host immune response by inhibiting ScPi21-induced cell death. Mol. Plant Pathol. 2024, 25, e13414. [Google Scholar] [CrossRef] [PubMed]
- Ajjawi, I.; Tsegaye, Y.; Shintani, D. Determination of the genetic, molecular, and biochemical basis of the Arabidopsis thaliana thiamin auxotroph th1. Arch. Biochem. Biophys. 2007, 459, 107–114. [Google Scholar] [CrossRef] [PubMed]
- Li, G.; Newman, M.; Yu, H.; Rashidzade, M.; Martinez-Soto, D.; Caicedo, A.; Allen, K.S.; Ma, L.J. Fungal effectors: Past, present, and future. Curr. Opin. Microbiol. 2024, 81, 102526. [Google Scholar] [CrossRef]
- Boehm, T.; Swann, J.B. Origin and evolution of adaptive immunity. Annu. Rev. Anim. Biosci. 2014, 2, 259–283. [Google Scholar] [CrossRef]
- Wang, Y.; Zhang, H.; Wang, P.; Zhong, H.; Liu, W.; Zhang, S.; Xiong, L.; Wu, Y.; Xia, Y. Arabidopsis EXTRA-LARGE G PROTEIN 1 (XLG1) functions together with XLG2 and XLG3 in PAMP-triggered MAPK activation and immunity. J. Integr. Plant Biol. 2023, 65, 825–837. [Google Scholar] [CrossRef]
- Yuan, M.; Ngou, B.P.M.; Ding, P.; Xin, X. PTI-ETI crosstalk: An integrative view of plant immunity. Curr. Opin. Plant Biol. 2021, 62, 102030. [Google Scholar] [CrossRef]
- Fu, Q.; Chen, T.; Wang, Y.; Zhou, H.; Zhang, K.; Zheng, R.; Zhang, Y.; Liu, R.; Yin, X.; Liu, G.; et al. Plasmopara viticola effector PvCRN20 represses the import of VvDEG5 into chloroplasts to suppress immunity in grapevine. New Phytol. 2024, 243, 2311–2331. [Google Scholar] [CrossRef]
- Wei, J.; Wang, X.; Hu, Z.; Wang, X.; Wang, J.; Wang, J.; Huang, X.; Kang, Z.; Tang, C. The Puccinia striiformis effector Hasp98 facilitates pathogenicity by blocking the kinase activity of wheat TaMAPK4. J. Integr. Plant Biol. 2023, 65, 249–264. [Google Scholar] [CrossRef]
- Stuer, N.; Van Damme, P.; Goormachtig, S.; Van Dingenen, J. Seeking the interspecies crosswalk for filamentous microbe effectors. Trends Plant Sci. 2023, 28, 1045–1059. [Google Scholar] [CrossRef]
- Li, W.; Li, P.; Deng, Y.; Situ, J.; He, Z.; Zhou, W.; Li, M.; Xi, P.; Liang, X.; Kong, G.; et al. A plant cell death-inducing protein from litchi interacts with Peronophythora litchii pectate lyase and enhances plant resistance. Nat. Commun. 2024, 15, 22. [Google Scholar] [CrossRef] [PubMed]
- Harris, W.; Kim, S.; Vӧlz, R.; Lee, Y.H. Nuclear effectors of plant pathogens: Distinct strategies to be one step ahead. Mol. Plant Pathol. 2023, 24, 637–650. [Google Scholar] [CrossRef] [PubMed]
- Newman, T.E.; Kim, H.; Khentry, Y.; Sohn, K.H.; Derbyshire, M.C.; Kamphuis, L.G. The broad host range pathogen Sclerotinia sclerotiorum produces multiple effector proteins that induce host cell death intracellularly. Mol. Plant Pathol. 2023, 24, 866–881. [Google Scholar] [CrossRef] [PubMed]
- Wang, B.; He, W.; Huang, M.; Feng, J.; Li, Y.; Yu, L.; Wang, Y.; Zhou, D.; Meng, C.; Cheng, D.; et al. Ralstonia solanacearum type III effector RipAS associates with potato type one protein phosphatase StTOPP6 to promote bacterial wilt. Hort. Res. 2023, 10, 2662–6810. [Google Scholar] [CrossRef]
- Kim, J.H.; Kim, J.W.; Kim, C.Y.; Jeong, J.S.; Ko, J.W.; Kim, T.W. Green tea extract ameliorates macrophage-driven emphysematous lesions in chronic obstructive pulmonary disease induced by cigarette smoke condensate. Phytother. Res. 2023, 37, 1366–1376. [Google Scholar] [CrossRef]
- Furuzawa-Carballeda, J.; Boon, L.; Torres-Villalobos, G.; Romero-Hernández, F.; Ugarte-Berzal, E.; Martens, E.; Vandooren, J.; Rybakin, V.; Coss-Adame, E.; Valdovinos, M.; et al. Gelatinase B/Matrix metalloproteinase-9 as innate immune effector molecule in achalasia. Clin. Transl. Gastroen. 2018, 9, 208–213. [Google Scholar] [CrossRef]
- Tanaka, N.; Sakamoto, T. MT1-MMP as a key regulator of metastasis. Cells 2023, 12, 2187. [Google Scholar] [CrossRef]
- Xiao, G.; Laksanavilat, N.; Cesari, S.; Lambou, K.; Baudin, M.; Jalilian, A.; Telebanco-Yanoria, M.J.; Chalvon, V.; Meusnier, I.; Fournier, E.; et al. The unconventional resistance protein PTR recognizes the Magnaporthe oryzae effector AVR-Pita in an allele-specific manner. Nat. Plants 2024, 10, 994–1004. [Google Scholar] [CrossRef]
- Han, J.; Wang, X.; Wang, F.; Zhao, Z.; Li, G.; Zhu, X.; Su, J.; Chen, L. The fungal effector Avr-Pita suppresses innate immunity by increasing COX activity in rice mitochondria. Rice 2021, 14, 12. [Google Scholar] [CrossRef]
- Zhang, X.; Huang, H.; Wu, B.; Xie, J.; Viljoen, A.; Wang, W.; Mostert, D.; Xie, Y.; Fu, G.; Xiang, D.; et al. The M35 metalloprotease effector FocM35_1 is required for full virulence of Fusarium oxysporum f. sp. cubense tiopical race 4. Pathogens 2021, 10, 670. [Google Scholar] [CrossRef]
- Vetter, G.; Hily, J.M.; Klein, E.; Schmidlin, L.; Haas, M.; Merkle, T.; Gilmer, D. Nucleo-cytoplasmic shuttling of the beet necrotic yellow vein virus RNA-3-encoded p25 protein. J. Gen. Virol. 2004, 85, 2459–2469. [Google Scholar] [CrossRef] [PubMed]
- Kay, S.; Bonas, U. How Xanthomonas type III effectors manipulate the host plant. Curr. Opin. Microbiol. 2009, 12, 37–43. [Google Scholar] [CrossRef] [PubMed]
- Schornack, S.; van Damme, M.; Bozkurt, T.O.; Cano, L.M.; Smoker, M.; Thines, M.; Gaulin, E.; Kamoun, S.; Huitema, E. Ancient class of translocated oomycete effectors targets the host nucleus. Proc. Nat. Acad. Sci. USA 2010, 107, 17421–17426. [Google Scholar] [CrossRef] [PubMed]
- Kanneganti, T.; Bai, X.; Tsai, C.; Win, J.; Meulia, T.; Goodin, M.; Kamoun, S.; Hogenhout, S.A. Functional genetic assay for nuclear trafficking in plants. Plant J. 2007, 50, 149–158. [Google Scholar] [CrossRef]
- Li, W.; Mi, X.; Jin, X.; Zhang, D.; Zhu, G.; Shang, X.; Zhang, D.; Guo, W. Thiamine functions as a key activator for modulating plant health and broad-spectrum tolerance in cotton. Plant J. 2022, 111, 374–390. [Google Scholar] [CrossRef]
- Khan, S.; Abbas, N.; Hasnain, Z.; Ullah, S.; Hussain, I.; Rais, A.; Ghafoor, M.A.; Ibrar, D.; Irshad, S.; Saddique, M.; et al. Exogenous application of growth regulators improves the growth and quality of Dahlia variabilis L. Philipp. Agric. Sci. 2023, 106, 186–196. [Google Scholar] [CrossRef]
- Ramos, E.B.; Ramos, S.B.; Ramos, S.B.; de Figueiredo, P.A.M.; Da Silva Viana, R.; Vendruscolo, E.P.; de Lima, S.F. Does exogenous vitamins improve the morphophysiological condition of sugarcane subjected to water deficit? Sugar Tech. 2023, 25, 262–267. [Google Scholar] [CrossRef]
- Jiang, S.; Zhang, J.-X.; Shen, W.-L.; Lu, Y.; Zhou, S.-L.; Dong, X.-M.; Liao, M.-J.; Bi, Z.-F.; Hu, Q.; Yao, W.; et al. Genome-wide identification of GTE family proteins in sugarcane (Saccharum spontaneum) reveals that SsGTEL3a confers drought tolerance. Plant Physiol. Biochem. 2023, 205, 108169. [Google Scholar] [CrossRef]
- Pu, W.; Xiao, K.; Luo, S.; Zhu, H.; Yuan, Z.; Gao, C.; Hu, J. Characterization of five Meloidogyne incognita effectors associated with PsoRPM3. Int. J. Mol. Sci. 2022, 23, 1498. [Google Scholar] [CrossRef]
- Qian, Y.; Zheng, X.; Wang, X.; Yang, J.; Zheng, X.; Zeng, Q.; Li, J.; Qiang, Z.; Xiong, Q. Systematic identification and functional characterization of the CFEM proteins in poplar fungus Marssonina brunnea. Front. Cell Infect. Mi. 2022, 12, 1045615. [Google Scholar] [CrossRef]
- Liu, D.; Zhao, S.; Wang, J.; Zhang, X.; Deng, Y.; Li, F. Mutation in the Agrobacterium hisI gene enhances transient expression in pepper. Hortic. Plant J. 2024, 10, 809–822. [Google Scholar] [CrossRef]
- Huang, Z.; Li, H.; Zhou, Y.; Bao, Y.; Duan, Z.; Wang, C.; Powell, C.A.; Chen, B.; Zhang, M.; Yao, W. Predication of the effector proteins secreted by Fusarium sacchari using genomic analysis and heterogenous expression. J. Fungi. 2022, 8, 59. [Google Scholar] [CrossRef]
- Wang, J.; Wang, D.; Ji, X.; Wang, J.; Klosterman, S.J.; Dai, X.; Chen, J.; Subbarao, K.V.; Hao, X.; Zhang, D. The Verticillium dahliae small cysteine-rich protein VdSCP23 manipulates host immunity. Int. J. Mol. Sci. 2023, 24, 9403. [Google Scholar] [CrossRef] [PubMed]
- Hu, Q.; Zhu, L.; Zhang, X.; Guan, Q.; Xiao, S.; Min, L.; Zhang, X. GhCPK33 negatively regulates defense against Verticillium dahliae by phosphorylating GhOPR3. Plant Physiol. 2018, 178, 876–889. [Google Scholar] [CrossRef] [PubMed]
- Yuan, M.; Chu, Z.; Li, X.; Xu, C.; Wang, S. The bacterial pathogen Xanthomonas oryzae overcomes rice defenses by regulating host copper redistribution. Plant Cell. 2010, 22, 3164–3176. [Google Scholar] [CrossRef]
- Cao, Y.; Zhang, Q.; Liu, Y.; Yan, T.; Ding, L.; Yang, Y.; Meng, Y.; Shan, W. The RXLR effector PpE18 of Phytophthora parasitica is a virulence factor and suppresses peroxisome membrane-associated ascorbate peroxidase NbAPX3-1-mediated plant immunity. New Phytol. 2024, 243, 1472–1489. [Google Scholar] [CrossRef]







Disclaimer/Publisher’s Note: The statements, opinions and data contained in all publications are solely those of the individual author(s) and contributor(s) and not of MDPI and/or the editor(s). MDPI and/or the editor(s) disclaim responsibility for any injury to people or property resulting from any ideas, methods, instructions or products referred to in the content. |
© 2024 by the authors. Licensee MDPI, Basel, Switzerland. This article is an open access article distributed under the terms and conditions of the Creative Commons Attribution (CC BY) license (https://creativecommons.org/licenses/by/4.0/).
Share and Cite
Wang, L.; Wu, D.; Hong, T.; Ren, Q.; Wang, S.; Bao, Y.; Yao, W.; Zhang, M.; Hu, Q. Fusarium sacchari Effector FsMEP1 Contributes to Virulence by Disturbing Localization of Thiamine Thiazole Synthase ScTHI2 from Sugarcane. Int. J. Mol. Sci. 2024, 25, 12075. https://doi.org/10.3390/ijms252212075
Wang L, Wu D, Hong T, Ren Q, Wang S, Bao Y, Yao W, Zhang M, Hu Q. Fusarium sacchari Effector FsMEP1 Contributes to Virulence by Disturbing Localization of Thiamine Thiazole Synthase ScTHI2 from Sugarcane. International Journal of Molecular Sciences. 2024; 25(22):12075. https://doi.org/10.3390/ijms252212075
Chicago/Turabian StyleWang, Lulu, Deng Wu, Tianshu Hong, Qianqian Ren, Shichao Wang, Yixue Bao, Wei Yao, Muqing Zhang, and Qin Hu. 2024. "Fusarium sacchari Effector FsMEP1 Contributes to Virulence by Disturbing Localization of Thiamine Thiazole Synthase ScTHI2 from Sugarcane" International Journal of Molecular Sciences 25, no. 22: 12075. https://doi.org/10.3390/ijms252212075
APA StyleWang, L., Wu, D., Hong, T., Ren, Q., Wang, S., Bao, Y., Yao, W., Zhang, M., & Hu, Q. (2024). Fusarium sacchari Effector FsMEP1 Contributes to Virulence by Disturbing Localization of Thiamine Thiazole Synthase ScTHI2 from Sugarcane. International Journal of Molecular Sciences, 25(22), 12075. https://doi.org/10.3390/ijms252212075

