Ecto-NOX Disulfide-Thiol Exchanger 2 (ENOX2/tNOX) Is a Potential Prognostic Marker in Primary Malignant Melanoma and May Serve as a Therapeutic Target
Abstract
1. Introduction
2. Results
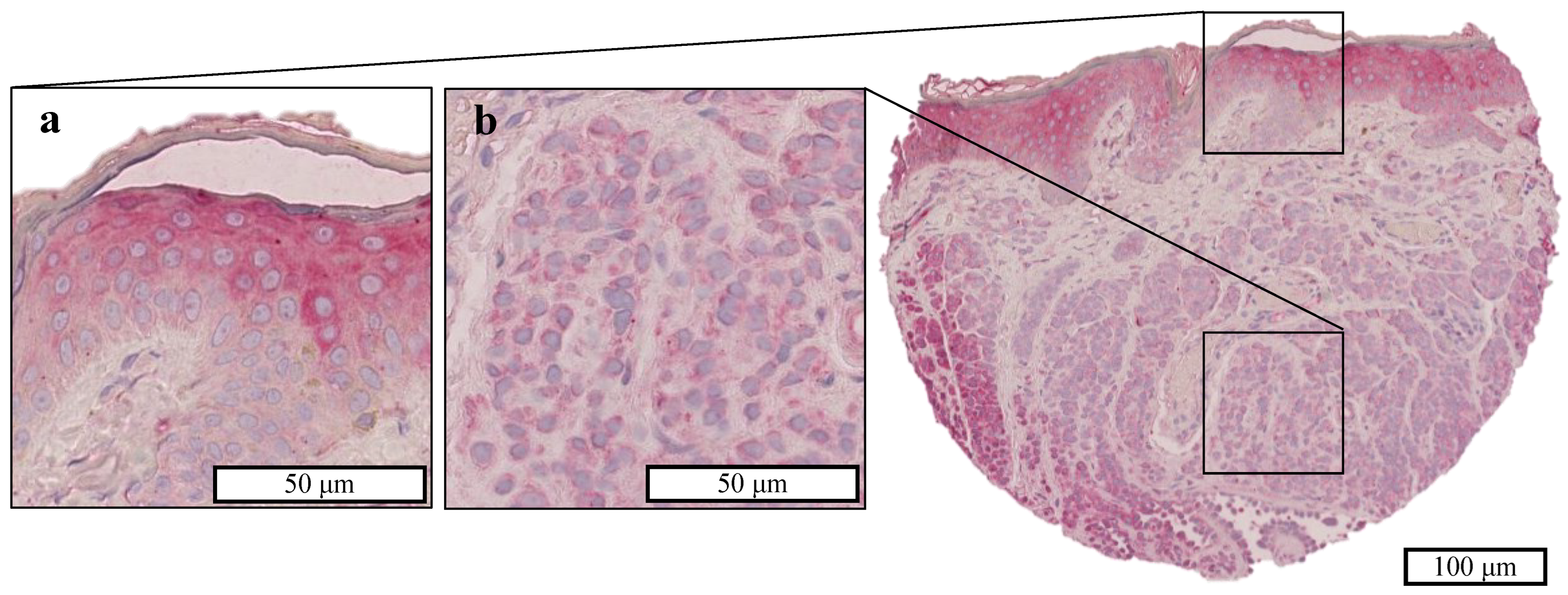
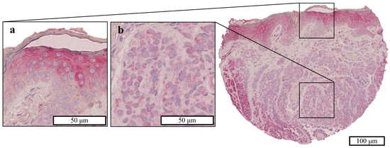
2.1. Full-Length ENOX2 Is Expressed in Melanoma Cells as Well as in Benign Cells
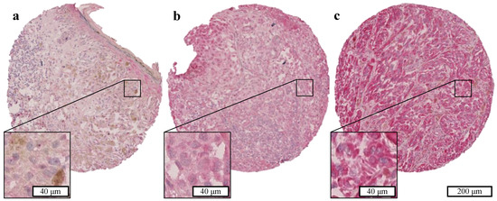
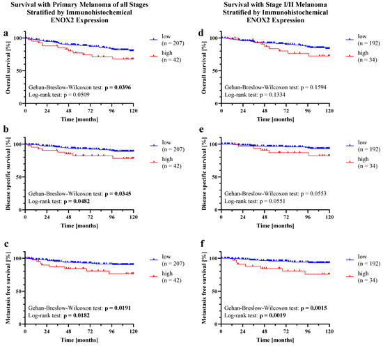
2.2. ENOX2 Protein Expression Is a Potential Prognostic Marker
2.3. ENOX2 RNA Expression Is a Potential Prognostic Marker
2.4. Growth-Inhibitory Effects of Phenoxodiol on Melanoma Cells
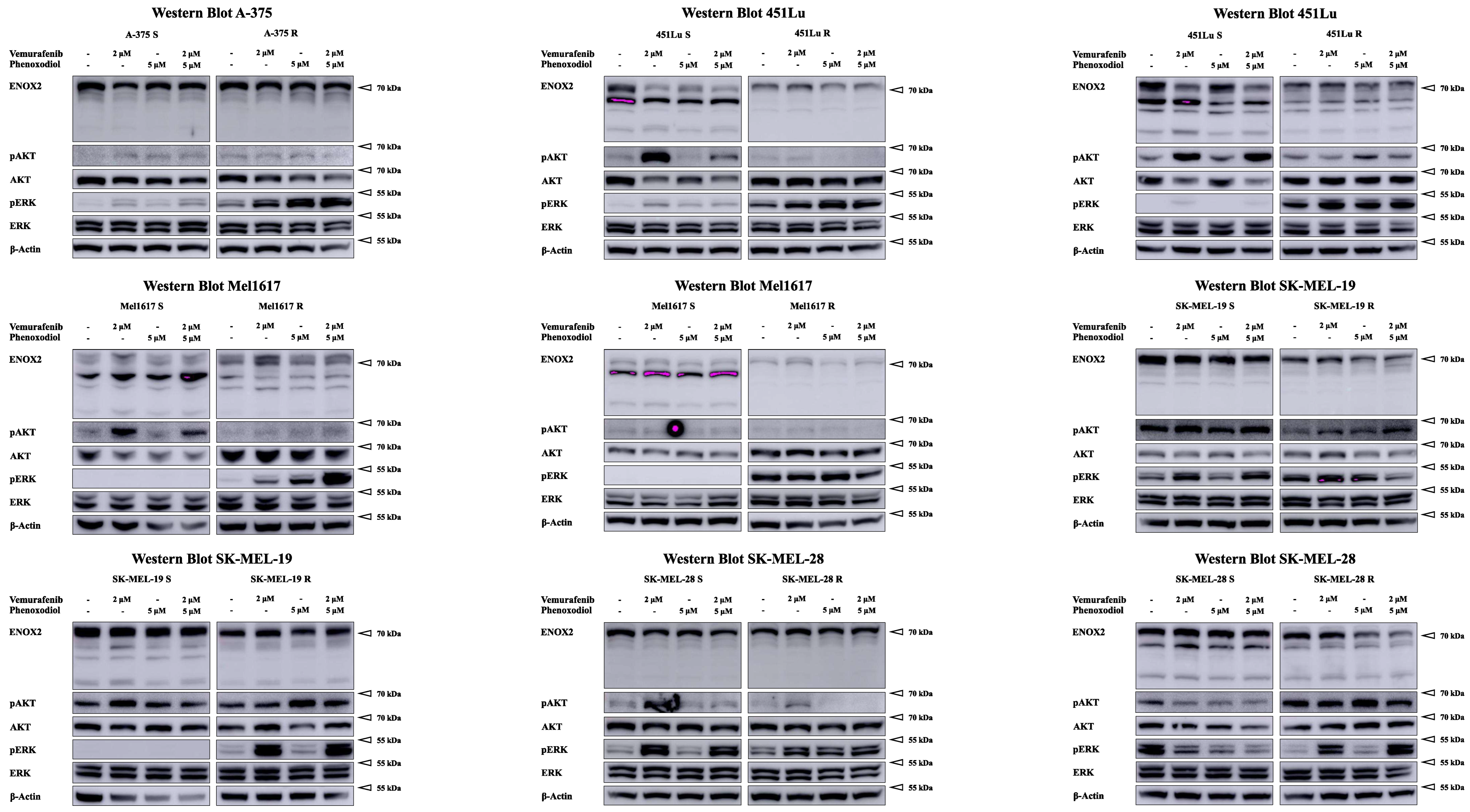
2.5. ENOX2 Inhibition Decreases Phospho-AKT Induction Under BRAF Inhibitor (BRAFi) Therapy
3. Discussion
3.1. ENOX2 Isoforms and Subcellular Location
3.2. ENOX2 as a Potential Prognostic Marker
3.3. ENOX2 Inhibition in Combination with Targeted Therapies to Prevent Acquired Resistance
3.4. Immunomodulatory Effects of ENOX2
4. Materials and Methods
4.1. Immunohistochemistry of the Tissue Microarray
4.2. The Cancer Genome Atlas Data Analysis
4.3. Inhibitors and Culture of Melanoma Cell Lines
4.4. Viability Assay
4.5. Colony Formation Assay
4.6. Western Blot
4.7. Statistical Analysis
5. Conclusions
Author Contributions
Funding
Institutional Review Board Statement
Informed Consent Statement
Data Availability Statement
Acknowledgments
Conflicts of Interest
Abbreviations
| BN | benign nevus |
| BRAFi | BRAF inhibitor |
| CI95 | 95% confidence interval |
| DSS | disease-specific survival |
| ENOX2 | ecto-NOX disulfide-thiol exchanger 2 |
| eTILs | electronic tumor-infiltrating lymphocytes |
| GBW | Gehan–Breslow–Wilcoxon |
| HR | hazard ratio |
| ICX | X% inhibiting concentration |
| LR | log-rank (Mantel–Cox) |
| MFS | metastasis-free survival |
| MM | melanoma metastasis |
| OS | overall survival |
| PM | primary melanoma |
| PXD | phenoxodiol |
| R | resistant to vemurafenib |
| S | sensitive to vemurafenib |
| S1P | sphingosine-1-phosphate |
| TCGA | The Cancer Genome Atlas |
Appendix A. Supplementary Data
Appendix A.1. ENOX2 Immunohistochemistry of Benign Tissue

Appendix A.2. ENOX2 Immunohistochemistry of the Tissue Microarray

Appendix A.3. ENOX2 Western Blot of Benign Cell Lines

Appendix A.4. TCGA Differential Expression Analysis

Appendix A.5. Viability Assay

Appendix A.6. Colony Formation Assay

Appendix A.7. Western Blot

References
- Siegel, R.L.; Giaquinto, A.N.; Jemal, A. Cancer statistics, 2024. CA Cancer J. Clin. 2024, 74, 12–49. [Google Scholar] [CrossRef] [PubMed]
- The Cancer Genome Atlas Network. Genomic Classification of Cutaneous Melanoma. Cell 2015, 161, 1681–1696. [CrossRef] [PubMed]
- Hayward, N.K.; Wilmott, J.S.; Waddell, N.; Johansson, P.A.; Field, M.A.; Nones, K.; Patch, A.M.; Kakavand, H.; Alexandrov, L.B.; Burke, H.; et al. Whole-genome landscapes of major melanoma subtypes. Nature 2017, 545, 175–180. [Google Scholar] [CrossRef] [PubMed]
- Ascierto, P.A.; Kirkwood, J.M.; Grob, J.J.; Simeone, E.; Grimaldi, A.M.; Maio, M.; Palmieri, G.; Testori, A.; Marincola, F.M.; Mozzillo, N. The role of BRAF V600 mutation in melanoma. J. Transl. Med. 2012, 10, 85. [Google Scholar] [CrossRef]
- Flaherty, K.T.; Puzanov, I.; Kim, K.B.; Ribas, A.; McArthur, G.A.; Sosman, J.A.; O’Dwyer, P.J.; Lee, R.J.; Grippo, J.F.; Nolop, K.; et al. Inhibition of mutated, activated BRAF in metastatic melanoma. N. Engl. J. Med. 2010, 363, 809–819. [Google Scholar] [CrossRef]
- Ribas, A.; Kim, K.B.; Schuchter, L.M.; Gonzalez, R.; Pavlick, A.C.; Weber, J.S.; McArthur, G.A.; Hutson, T.E.; Flaherty, K.T.; Moschos, S.J.; et al. BRIM-2: An open-label, multicenter phase II study of vemurafenib in previously treated patients with BRAF V600E mutation-positive metastatic melanoma. J. Clin. Oncol. 2011, 29, 8509. [Google Scholar] [CrossRef]
- Chapman, P.B.; Hauschild, A.; Robert, C.; Haanen, J.B.; Ascierto, P.; Larkin, J.; Dummer, R.; Garbe, C.; Testori, A.; Maio, M.; et al. Improved survival with vemurafenib in melanoma with BRAF V600E mutation. N. Engl. J. Med. 2011, 364, 2507–2516. [Google Scholar] [CrossRef]
- Florent, L.; Saby, C.; Slimano, F.; Morjani, H. BRAF V600-Mutated Metastatic Melanoma and Targeted Therapy Resistance: An Update of the Current Knowledge. Cancers 2023, 15, 2607. [Google Scholar] [CrossRef]
- Johnson, D.B.; Menzies, A.M.; Zimmer, L.; Eroglu, Z.; Ye, F.; Zhao, S.; Rizos, H.; Sucker, A.; Scolyer, R.A.; Gutzmer, R.; et al. Acquired BRAF inhibitor resistance: A multicenter meta-analysis of the spectrum and frequencies, clinical behaviour, and phenotypic associations of resistance mechanisms. Eur. J. Cancer 2015, 51, 2792–2799. [Google Scholar] [CrossRef]
- Irvine, M.; Stewart, A.; Pedersen, B.; Boyd, S.; Kefford, R.; Rizos, H. Oncogenic PI3K/AKT promotes the step-wise evolution of combination BRAF/MEK inhibitor resistance in melanoma. Oncogenesis 2018, 7, 72. [Google Scholar] [CrossRef]
- Morré, D.J.; Morré, D.M. Cell surface NADH oxidases (ECTO-NOX proteins) with roles in cancer, cellular time-keeping, growth, aging and neurodegenerative diseases. Free Radic. Res. 2003, 37, 795–808. [Google Scholar] [CrossRef] [PubMed]
- Yagiz, K.; Morré, D.J.; Morré, D.M. Transgenic mouse line overexpressing the cancer-specific tNOX protein has an enhanced growth and acquired drug-response phenotype. J. Nutr. Biochem. 2006, 17, 750–759. [Google Scholar] [CrossRef] [PubMed]
- Yagiz, K.; Wu, L.Y.; Kuntz, C.P.; James Morré, D.; Morré, D.M. Mouse embryonic fibroblast cells from transgenic mice overexpressing tNOX exhibit an altered growth and drug response phenotype. J. Cell. Biochem. 2007, 101, 295–306. [Google Scholar] [CrossRef] [PubMed]
- Chen, C.F.; Huang, S.; Liu, S.C.; Chueh, P.J. Effect of polyclonal antisera to recombinant tNOX protein on the growth of transformed cells. Biofactors 2006, 28, 119–133. [Google Scholar] [CrossRef]
- Yagiz, K.; Snyder, P.W.; Morré, D.J.; Morré, D.M. Cell size increased in tissues from transgenic mice overexpressing a cell surface growth-related and cancer-specific hydroquinone oxidase, tNOX, with protein disulfide-thiol interchange activity. J. Cell. Biochem. 2008, 105, 1437–1442. [Google Scholar] [CrossRef]
- Mao, L.C.; Wang, H.M.; Lin, Y.Y.; Chang, T.K.; Hsin, Y.H.; Chueh, P.J. Stress-induced down-regulation of tumor-associated NADH oxidase during apoptosis in transformed cells. FEBS Lett. 2008, 582, 3445–3450. [Google Scholar] [CrossRef]
- Liu, N.C.; Hsieh, P.F.; Hsieh, M.K.; Zeng, Z.M.; Cheng, H.L.; Liao, J.W.; Chueh, P.J. Capsaicin-mediated tNOX (ENOX2) up-regulation enhances cell proliferation and migration in vitro and in vivo. J. Agric. Food Chem. 2012, 60, 2758–2765. [Google Scholar] [CrossRef]
- Su, Y.C.; Lin, Y.H.; Zeng, Z.M.; Shao, K.N.; Chueh, P.J. Chemotherapeutic agents enhance cell migration and epithelial-to-mesenchymal transition through transient up-regulation of tNOX (ENOX2) protein. Biochim. Biophys. Acta 2012, 1820, 1744–1752. [Google Scholar] [CrossRef]
- Liu, S.C.; Yang, J.J.; Shao, K.N.; Chueh, P.J. RNA interference targeting tNOX attenuates cell migration via a mechanism that involves membrane association of Rac. Biochem. Biophys. Res. Commun. 2008, 365, 672–677. [Google Scholar] [CrossRef]
- Tang, X.; Morré, D.J.; Morré, D.M. Antisense experiments demonstrate an exon 4 minus splice variant mRNA as the basis for expression of tNOX, a cancer-specific cell surface protein. Oncol. Res. 2007, 16, 557–567. [Google Scholar] [CrossRef]
- Kishi, T.; Morré, D.M.; Morré, D.J. The plasma membrane NADH oxidase of HeLa cells has hydroquinone oxidase activity. Biochim. Biophys. Acta 1999, 1412, 66–77. [Google Scholar] [CrossRef] [PubMed][Green Version]
- Morré, D.J.; Pogue, R.; Morré, D.M. A multifunctional hydroquinone oxidase of the external cell surface and sera. Biofactors 1999, 9, 179–187. [Google Scholar] [CrossRef] [PubMed]
- Morré, D.J. Preferential inhibition of the plasma membrane NADH oxidase (NOX) activity by diphenyleneiodonium chloride with NADPH as donor. Antioxid. Redox Signal. 2002, 4, 207–212. [Google Scholar] [CrossRef] [PubMed]
- Orczyk, J.; Morré, D.M.; Morré, D.J. Periodic fluctuations in oxygen consumption comparing HeLa (cancer) and CHO (non-cancer) cells and response to external NAD(P)+/NAD(P)H. Mol. Cell. Biochem. 2005, 273, 161–167. [Google Scholar] [CrossRef]
- Morré, D.J.; Chueh, P.J.; Lawler, J.; Morré, D.M. The sulfonylurea-inhibited NADH oxidase activity of HeLa cell plasma membranes has properties of a protein disulfide-thiol oxidoreductase with protein disulfide-thiol interchange activity. J. Bioenerg. Biomembr. 1998, 30, 477–487. [Google Scholar] [CrossRef]
- The Human Protein Atlas. Subcellular-ENOX2—The Human Protein Atlas. 2023. Available online: https://www.proteinatlas.org/ENSG00000165675-ENOX2/subcellular (accessed on 18 February 2024).
- Tang, X.; Tian, Z.; Chueh, P.J.; Chen, S.; Morré, D.M.; Morré, D.J. Alternative splicing as the basis for specific localization of tNOX, a unique hydroquinone (NADH) oxidase, to the cancer cell surface. Biochemistry 2007, 46, 12337–12346. [Google Scholar] [CrossRef]
- Cho, N.; Morré, D.J. Early developmental expression of a normally tumor-associated and drug-inhibited cell surface-located NADH oxidase (ENOX2) in non-cancer cells. Cancer Immunol. Immunother. 2009, 58, 547–552. [Google Scholar] [CrossRef]
- Chueh, P.J.; Morré, D.J.; Wilkinson, F.E.; Gibson, J.; Morré, D.M. A 33.5-kDa heat- and protease-resistant NADH oxidase inhibited by capsaicin from sera of cancer patients. Arch. Biochem. Biophys. 1997, 342, 38–47. [Google Scholar] [CrossRef]
- Cho, N.; Chueh, P.J.; Kim, C.; Caldwell, S.; Morré, D.M.; Morré, D.J. Monoclonal antibody to a cancer-specific and drug-responsive hydroquinone (NADH) oxidase from the sera of cancer patients. Cancer Immunol. Immunother. 2002, 51, 121–129. [Google Scholar] [CrossRef]
- Hostetler, B.; Weston, N.; Kim, C.; Morré, D.M.; Morré, D.J. Cancer Site-Specific Isoforms of ENOX2 (tNOX), A Cancer-Specific Cell Surface Oxidase. Clin. Proteom. 2009, 5, 46–51. [Google Scholar] [CrossRef]
- Morré, D.J.; Hostetler, B.; Weston, N.; Kim, C.; Morré, D.M. Cancer type-specific tNOX isoforms: A putative family of redox protein splice variants with cancer diagnostic and prognostic potential. Biofactors 2008, 34, 201–207. [Google Scholar] [CrossRef] [PubMed]
- Hanau, C.; Morré, D.J.; Morré, D.M. Cancer prevention trial of a synergistic mixture of green tea concentrate plus Capsicum (CAPSOL-T) in a random population of subjects ages 40–84. Clin. Proteom. 2014, 11, 2. [Google Scholar] [CrossRef] [PubMed]
- The Human Protein Atlas. Tissue Expression of ENOX2-Primary Data—The Human Protein Atlas. 2023. Available online: https://www.proteinatlas.org/ENSG00000165675-ENOX2/tissue/primary+data (accessed on 18 February 2024).
- Morré, D.J.; Hostetler, B.; Taggart, D.J.; Morré, D.M.; Musk, A.W.; Robinson, B.W.; Creaney, J. ENOX2-based early detection (ONCOblot) of asbestos-induced malignant mesothelioma 4–10 years in advance of clinical symptoms. Clin. Proteom. 2016, 13, 2. [Google Scholar] [CrossRef] [PubMed][Green Version]
- Porter, K.; Fairlie, W.D.; Laczka, O.; Delebecque, F.; Wilkinson, J. Idronoxil as an Anticancer Agent: Activity and Mechanisms. Curr. Cancer Drug Targets 2020, 20, 341–354. [Google Scholar] [CrossRef]
- Morré, D.J.; Chueh, P.J.; Yagiz, K.; Balicki, A.; Kim, C.; Morré, D.M. ECTO-NOX target for the anticancer isoflavene phenoxodiol. Oncol. Res. 2007, 16, 299–312. [Google Scholar] [CrossRef]
- Morré, D.J.; McClain, N.; Wu, L.Y.; Kelly, G.; Morré, D.M. Phenoxodiol treatment alters the subsequent response of ENOX2 (tNOX) and growth of hela cells to paclitaxel and cisplatin. Mol. Biotechnol. 2009, 42, 100–109. [Google Scholar] [CrossRef]
- Wu, L.Y.; de Luca, T.; Watanabe, T.; Morré, D.M.; Morré, D.J. Metabolite modulation of HeLa cell response to ENOX2 inhibitors EGCG and phenoxodiol. Biochim. Biophys. Acta 2011, 1810, 784–789. [Google Scholar] [CrossRef]
- Chen, H.Y.; Lee, Y.H.; Yeh, C.A.; Chueh, P.J.; Lin, Y.M. Capsaicin Inhibited Aggressive Phenotypes through Downregulation of Tumor-Associated NADH Oxidase (tNOX) by POU Domain Transcription Factor POU3F2. Molecules 2016, 21, 733. [Google Scholar] [CrossRef] [PubMed]
- Islam, A.; Hsieh, P.F.; Liu, P.F.; Chou, J.C.; Liao, J.W.; Hsieh, M.K.; Chueh, P.J. Capsaicin exerts therapeutic effects by targeting tNOX-SIRT1 axis and augmenting ROS-dependent autophagy in melanoma cancer cells. Am. J. Cancer Res. 2021, 11, 4199–4219. [Google Scholar]
- Islam, A.; Su, A.J.; Zeng, Z.M.; Chueh, P.J.; Lin, M.H. Capsaicin Targets tNOX (ENOX2) to Inhibit G1 Cyclin/CDK Complex, as Assessed by the Cellular Thermal Shift Assay (CETSA). Cells 2019, 8, 1275. [Google Scholar] [CrossRef]
- Chang, C.F.; Islam, A.; Liu, P.F.; Zhan, J.H.; Chueh, P.J. Capsaicin acts through tNOX (ENOX2) to induce autophagic apoptosis in p53-mutated HSC-3 cells but autophagy in p53-functional SAS oral cancer cells. Am. J. Cancer Res. 2020, 10, 3230–3247. [Google Scholar] [PubMed]
- Lin, M.H.; Lee, Y.H.; Cheng, H.L.; Chen, H.Y.; Jhuang, F.H.; Chueh, P.J. Capsaicin Inhibits Multiple Bladder Cancer Cell Phenotypes by Inhibiting Tumor-Associated NADH Oxidase (tNOX) and Sirtuin1 (SIRT1). Molecules 2016, 21, 849. [Google Scholar] [CrossRef] [PubMed]
- Morré, D.J.; Korty, T.; Meadows, C.; Ades, L.M.; Morré, D.M. ENOX2 target for the anticancer isoflavone ME-143. Oncol. Res. 2014, 22, 1–12. [Google Scholar] [CrossRef] [PubMed]
- Bakalova, R.; Lazarova, D.; Sumiyoshi, A.; Shibata, S.; Zhelev, Z.; Nikolova, B.; Semkova, S.; Vlaykova, T.; Aoki, I.; Higashi, T. Redox-Cycling “Mitocans” as Effective New Developments in Anticancer Therapy. Int. J. Mol. Sci. 2023, 24, 8435. [Google Scholar] [CrossRef]
- Sumiyoshi, A.; Shibata, S.; Zhelev, Z.; Miller, T.; Lazarova, D.; Aoki, I.; Obata, T.; Higashi, T.; Bakalova, R. Targeting Glioblastoma via Selective Alteration of Mitochondrial Redox State. Cancers 2022, 14, 485. [Google Scholar] [CrossRef]
- Sumiyoshi, A.; Shibata, S.; Lazarova, D.; Zhelev, Z.; Aoki, I.; Bakalova, R. Tolerable treatment of glioblastoma with redox-cycling `mitocans’: A comparative study in vivo. Redox Rep. Commun. Free Radic. Res. 2023, 28, 2220531. [Google Scholar] [CrossRef]
- Chueh, P.J.; Morré, D.M.; Morré, D.J. A site-directed mutagenesis analysis of tNOX functional domains. Biochim. Biophys. Acta 2002, 1594, 74–83. [Google Scholar] [CrossRef]
- Chueh, P.J.; Kim, C.; Cho, N.; Morré, D.M.; Morré, D.J. Molecular cloning and characterization of a tumor-associated, growth-related, and time-keeping hydroquinone (NADH) oxidase (tNOX) of the HeLa cell surface. Biochemistry 2002, 41, 3732–3741. [Google Scholar] [CrossRef]
- de Luca, T.; Morré, D.M.; Zhao, H.; Morré, D.J. NAD+/NADH and/or CoQ/CoQH2 ratios from plasma membrane electron transport may determine ceramide and sphingosine-1-phosphate levels accompanying G1 arrest and apoptosis. Biofactors 2005, 25, 43–60. [Google Scholar] [CrossRef]
- de Luca, T.; Morré, D.M.; Morré, D.J. Reciprocal relationship between cytosolic NADH and ENOX2 inhibition triggers sphingolipid-induced apoptosis in HeLa cells. J. Cell. Biochem. 2010, 110, 1504–1511. [Google Scholar] [CrossRef]
- Tikhomirov, A.S.; Shchekotikhin, A.E.; Lee, Y.H.; Chen, Y.A.; Yeh, C.A.; Tatarskiy, V.V., Jr.; Dezhenkova, L.G.; Glazunova, V.A.; Balzarini, J.; Shtil, A.A.; et al. Synthesis and Characterization of 4,11-Diaminoanthra[2,3-b]furan-5,10-diones: Tumor Cell Apoptosis through tNOX-Modulated NAD(+)/NADH Ratio and SIRT1. J. Med. Chem. 2015, 58, 9522–9534. [Google Scholar] [CrossRef] [PubMed]
- Lee, Y.H.; Chen, H.Y.; Su, L.J.; Chueh, P.J. Sirtuin 1 (SIRT1) Deacetylase Activity and NAD+/NADH Ratio Are Imperative for Capsaicin-Mediated Programmed Cell Death. J. Agric. Food Chem. 2015, 63, 7361–7370. [Google Scholar] [CrossRef]
- Yao, C.; Wu, S.; Li, D.; Ding, H.; Wang, Z.; Yang, Y.; Yan, S.; Gu, Z. Co-administration phenoxodiol with doxorubicin synergistically inhibit the activity of sphingosine kinase-1 (SphK1), a potential oncogene of osteosarcoma, to suppress osteosarcoma cell growth both in vivo and in vitro. Mol. Oncol. 2012, 6, 392–404. [Google Scholar] [CrossRef] [PubMed]
- Li, X.H.; Chen, C.; Tu, Y.; Sun, H.T.; Zhao, M.L.; Cheng, S.X.; Qu, Y.; Zhang, S. Sirt1 promotes axonogenesis by deacetylation of Akt and inactivation of GSK3. Mol. Neurobiol. 2013, 48, 490–499. [Google Scholar] [CrossRef] [PubMed]
- Wang, H.M.; Chuang, S.M.; Su, Y.C.; Li, Y.H.; Chueh, P.J. Down-regulation of tumor-associated NADH oxidase, tNOX (ENOX2), enhances capsaicin-induced inhibition of gastric cancer cell growth. Cell Biochem. Biophys. 2011, 61, 355–366. [Google Scholar] [CrossRef]
- Chang, J.S.; Chen, C.Y.; Tikhomirov, A.S.; Islam, A.; Liang, R.H.; Weng, C.W.; Wu, W.H.; Shchekotikhin, A.E.; Chueh, P.J. Bis(chloroacetamidino)-Derived Heteroarene-Fused Anthraquinones Bind to and Cause Proteasomal Degradation of tNOX, Leading to c-Flip Downregulation and Apoptosis in Oral Cancer Cells. Cancers 2022, 14, 4719. [Google Scholar] [CrossRef] [PubMed]
- Lin, C.Y.; Islam, A.; Su, C.J.; Tikhomirov, A.S.; Shchekotikhin, A.E.; Chuang, S.M.; Chueh, P.J.; Chen, Y.L. Engagement with tNOX (ENOX2) to Inhibit SIRT1 and Activate p53-Dependent and -Independent Apoptotic Pathways by Novel 4,11-Diaminoanthra[2,3-b]furan-5,10-diones in Hepatocellular Carcinoma Cells. Cancers 2019, 11, 420. [Google Scholar] [CrossRef]
- Kam, N.W.; Laczka, O.; Li, X.; Wilkinson, J.; Hung, D.; Lai, S.P.H.; Wu, K.C.; Tsao, S.W.; Dai, W.; Che, C.M.; et al. ENOX2 inhibition enhances infiltration of effector memory T-cell and mediates response to chemotherapy in immune-quiescent nasopharyngeal carcinoma. J. Adv. Res. 2023, 56, 69–86. [Google Scholar] [CrossRef]
- UniProt. ENOX2-Ecto-NOX Disulfide-Thiol Exchanger 2—Homo Sapiens (Human)|UniProtKB|UniProt. 2023. Available online: https://www.uniprot.org/uniprotkb/Q16206/entry#sequences (accessed on 2 February 2024).
- Aung, T.N.; Shafi, S.; Wilmott, J.S.; Nourmohammadi, S.; Vathiotis, I.; Gavrielatou, N.; Fernandez, A.; Yaghoobi, V.; Sinnberg, T.; Amaral, T.; et al. Objective assessment of tumor infiltrating lymphocytes as a prognostic marker in melanoma using machine learning algorithms. EBioMedicine 2022, 82, 104143. [Google Scholar] [CrossRef]
- Edge, S.B.; Byrd, D.R.; Compton, C.C.; Fritz, A.G.; Greene, F.L.; Trotti, A. (Eds.) AJCC Cancer STAGING Manual, 7th ed.; Springer: New York, NY, USA, 2010. [Google Scholar]
- Center for Cancer Genomics-National Cancer Institute. The Cancer Genome Atlas Program (TCGA). 2023. Available online: https://www.cancer.gov/ccg/research/genome-sequencing/tcga (accessed on 18 February 2024).
- The Human Protein Atlas. Expression of ENOX2 in Melanoma—The Human Protein Atlas. 2023. Available online: https://www.proteinatlas.org/ENSG00000165675-ENOX2/pathology/melanoma#ihc (accessed on 18 February 2024).
- Morré, D.J.; Morré, D.M. ECTO-NOX Proteins. Growth, Cancer, and Aging; Springer Science+Business Media: New York, NY, USA, 2013. [Google Scholar] [CrossRef]
- Morré, D.J.; Sedlak, D.; Tang, X.; Chueh, P.J.; Geng, T.; Morré, D.M. Surface NADH oxidase of HeLa cells lacks intrinsic membrane binding motifs. Arch. Biochem. Biophys. 2001, 392, 251–256. [Google Scholar] [CrossRef]
- Morré, D.J.; Reust, T. A circulating form of NADH oxidase activity responsive to the antitumor sulfonylurea N-4-(methylphenylsulfonyl)-N’-(4-chlorophenyl)urea (LY181984) specific to sera from cancer patients. J. Bioenerg. Biomembr. 1997, 29, 281–289. [Google Scholar] [CrossRef] [PubMed]
- Yantiri, F.; Morré, D.J.; Yagiz, K.; Barogi, S.; Wang, S.; Chueh, P.J.; Cho, N.; Sedlak, D.; Morré, D.M. Capsaicin-responsive NADH oxidase activities from urine of cancer patients. Arch. Biochem. Biophys. 1998, 358, 336–342. [Google Scholar] [CrossRef]
- de Luca, T.; Bosneaga, E.; Morré, D.M.; Morré, D.J. Downstream targets of altered sphingolipid metabolism in response to inhibition of ENOX2 by phenoxodiol. Biofactors 2008, 34, 253–260. [Google Scholar] [CrossRef]
- Chen, H.Y.; Islam, A.; Yuan, T.M.; Chen, S.W.; Liu, P.F.; Chueh, P.J. Regulation of tNOX expression through the ROS-p53-POU3F2 axis contributes to cellular responses against oxaliplatin in human colon cancer cells. J. Exp. Clin. Cancer Res. 2018, 37, 161. [Google Scholar] [CrossRef]
- Tang, X.; Kane, V.D.; Morré, D.M.; Morré, D.J. hnRNP F directs formation of an exon 4 minus variant of tumor-associated NADH oxidase (ENOX2). Mol. Cell. Biochem. 2011, 357, 55–63. [Google Scholar] [CrossRef] [PubMed]
- Wellbrock, C.; Rana, S.; Paterson, H.; Pickersgill, H.; Brummelkamp, T.; Marais, R. Oncogenic BRAF regulates melanoma proliferation through the lineage specific factor MITF. PLoS ONE 2008, 3, e2734. [Google Scholar] [CrossRef] [PubMed]
- Kluger, H.M.; McCarthy, M.M.; Alvero, A.B.; Sznol, M.; Ariyan, S.; Camp, R.L.; Rimm, D.L.; Mor, G. The X-linked inhibitor of apoptosis protein (XIAP) is up-regulated in metastatic melanoma, and XIAP cleavage by Phenoxodiol is associated with Carboplatin sensitization. J. Transl. Med. 2007, 5, 6. [Google Scholar] [CrossRef]
- Lee, R.; Mandala, M.; Long, G.V.; Eggermont, A.M.M.; van Akkooi, A.C.J.; Sandhu, S.; Garbe, C.; Lorigan, P. Adjuvant therapy for stage II melanoma: The need for further studies. Eur. J. Cancer 2023, 189, 112914. [Google Scholar] [CrossRef]
- Curti, B.D.; Faries, M.B. Recent Advances in the Treatment of Melanoma. N. Engl. J. Med. 2021, 384, 2229–2240. [Google Scholar] [CrossRef]
- Kelly, G.E.; Husband, A.J. Flavonoid compounds in the prevention and treatment of prostate cancer. Methods Mol. Med. 2003, 81, 377–394. [Google Scholar] [CrossRef]
- Brown, D.M.; Kelly, G.E.; Husband, A.J. Flavonoid compounds in maintenance of prostate health and prevention and treatment of cancer. Mol. Biotechnol. 2005, 30, 253–270. [Google Scholar] [CrossRef] [PubMed]
- Yu, F.; Watts, R.N.; Zhang, X.D.; Borrow, J.M.; Hersey, P. Involvement of BH3-only proapoptotic proteins in mitochondrial-dependent Phenoxodiol-induced apoptosis of human melanoma cells. Anticancer Drugs 2006, 17, 1151–1161. [Google Scholar] [CrossRef] [PubMed]
- Alvero, A.B.; O’Malley, D.; Brown, D.; Kelly, G.; Garg, M.; Chen, W.; Rutherford, T.; Mor, G. Molecular mechanism of phenoxodiol-induced apoptosis in ovarian carcinoma cells. Cancer 2006, 106, 599–608. [Google Scholar] [CrossRef]
- Li, Y.; Huang, X.; Huang, Z.; Feng, J. Phenoxodiol enhances the antitumor activity of gemcitabine in gallbladder cancer through suppressing Akt/mTOR pathway. Cell Biochem. Biophys. 2014, 70, 1337–1342. [Google Scholar] [CrossRef] [PubMed]
- Isono, M.; Sato, A.; Asano, T.; Okubo, K. Evaluation of Therapeutic Potential of Phenoxodiol, a Novel Isoflavone Analog, in Renal Cancer Cells. Anticancer Res. 2018, 38, 5709–5716. [Google Scholar] [CrossRef]
- Zeng, Z.M.; Chuang, S.M.; Chang, T.C.; Hong, C.W.; Chou, J.C.; Yang, J.J.; Chueh, P.J. Phosphorylation of serine-504 of tNOX (ENOX2) modulates cell proliferation and migration in cancer cells. Exp. Cell Res. 2012, 318, 1759–1766. [Google Scholar] [CrossRef]
- Lito, P.; Pratilas, C.A.; Joseph, E.W.; Tadi, M.; Halilovic, E.; Zubrowski, M.; Huang, A.; Wong, W.L.; Callahan, M.K.; Merghoub, T.; et al. Relief of profound feedback inhibition of mitogenic signaling by RAF inhibitors attenuates their activity in BRAFV600E melanomas. Cancer Cell 2012, 22, 668–682. [Google Scholar] [CrossRef]
- Amaral, T.; Sinnberg, T.; Meier, F.; Krepler, C.; Levesque, M.; Niessner, H.; Garbe, C. The mitogen-activated protein kinase pathway in melanoma part I - Activation and primary resistance mechanisms to BRAF inhibition. Eur. J. Cancer 2017, 73, 85–92. [Google Scholar] [CrossRef]
- Choueiri, T.K.; Mekhail, T.; Hutson, T.E.; Ganapathi, R.; Kelly, G.E.; Bukowski, R.M. Phase I trial of phenoxodiol delivered by continuous intravenous infusion in patients with solid cancer. Ann. Oncol. 2006, 17, 860–865. [Google Scholar] [CrossRef]
- de Souza, P.L.; Liauw, W.; Links, M.; Pirabhahar, S.; Kelly, G.; Howes, L.G. Phase I and pharmacokinetic study of weekly NV06 (Phenoxodiol), a novel isoflav-3-ene, in patients with advanced cancer. Cancer Chemother. Pharmacol. 2006, 58, 427–433. [Google Scholar] [CrossRef]
- Kiknavelidze, K.; Shavdia, M.; Chikhladze, N.; Abshilava, L.; Messina, M.; Mautner, G.; Kelly, G. NOX66 as Monotherapy, and in Combination with Carboplatin, in Patients with Refractory Solid Tumors: Phase Ia/b Study. Curr. Ther. Res. Clin. Exp. 2021, 94, 100631. [Google Scholar] [CrossRef] [PubMed]
- Wang, H.M.; Chueh, P.J.; Chang, S.P.; Yang, C.L.; Shao, K.N. Effect of Ccapsaicin on tNOX (ENOX2) protein expression in stomach cancer cells. Biofactors 2008, 34, 209–217. [Google Scholar] [CrossRef] [PubMed]
- Rodriguez, Y.I.; Campos, L.E.; Castro, M.G.; Aladhami, A.; Oskeritzian, C.A.; Alvarez, S.E. Sphingosine-1 Phosphate: A New Modulator of Immune Plasticity in the Tumor Microenvironment. Front. Oncol. 2016, 6, 218. [Google Scholar] [CrossRef] [PubMed]
- Herst, P.M.; Petersen, T.; Jerram, P.; Baty, J.; Berridge, M.V. The antiproliferative effects of phenoxodiol are associated with inhibition of plasma membrane electron transport in tumour cell lines and primary immune cells. Biochem. Pharmacol. 2007, 74, 1587–1595. [Google Scholar] [CrossRef]
- Herst, P.M.; Davis, J.E.; Neeson, P.; Berridge, M.V.; Ritchie, D.S. The anti-cancer drug, phenoxodiol, kills primary myeloid and lymphoid leukemic blasts and rapidly proliferating T cells. Haematologica 2009, 94, 928–934. [Google Scholar] [CrossRef]
- Georgaki, S.; Skopeliti, M.; Tsiatas, M.; Nicolaou, K.A.; Ioannou, K.; Husband, A.; Bamias, A.; Dimopoulos, M.A.; Constantinou, A.I.; Tsitsilonis, O.E. Phenoxodiol, an anticancer isoflavene, induces immunomodulatory effects in vitro and in vivo. J. Cell. Mol. Med. 2009, 13, 3929–3938. [Google Scholar] [CrossRef]
- Acs, B.; Ahmed, F.S.; Gupta, S.; Wong, P.F.; Gartrell, R.D.; Sarin Pradhan, J.; Rizk, E.M.; Gould Rothberg, B.; Saenger, Y.M.; Rimm, D.L. An open source automated tumor infiltrating lymphocyte algorithm for prognosis in melanoma. Nat. Commun. 2019, 10, 5440. [Google Scholar] [CrossRef]
- Chatziioannou, E.; Roßner, J.; Aung, T.N.; Rimm, D.L.; Niessner, H.; Keim, U.; Serna-Higuita, L.M.; Bonzheim, I.; Kuhn Cuellar, L.; Westphal, D.; et al. Deep learning-based scoring of tumour-infiltrating lymphocytes is prognostic in primary melanoma and predictive to PD-1 checkpoint inhibition in melanoma metastases. EBioMedicine 2023, 93, 104644. [Google Scholar] [CrossRef]
- Wagner, N.B.; Weide, B.; Reith, M.; Tarnanidis, K.; Kehrel, C.; Lichtenberger, R.; Pflugfelder, A.; Herpel, E.; Eubel, J.; Ikenberg, K.; et al. Diminished levels of the soluble form of RAGE are related to poor survival in malignant melanoma. Int. J. Cancer 2015, 137, 2607–2617. [Google Scholar] [CrossRef]
- Bankhead, P.; Loughrey, M.B.; Fernández, J.A.; Dombrowski, Y.; McArt, D.G.; Dunne, P.D.; McQuaid, S.; Gray, R.T.; Murray, L.J.; Coleman, H.G.; et al. QuPath: Open source software for digital pathology image analysis. Sci. Rep. 2017, 7, 16878. [Google Scholar] [CrossRef]
- Koster, J. R2: Genomics Analysis and Visualization Platform. 2024. Available online: http://r2.amc.nl (accessed on 30 June 2024).
- Niessner, H.; Burkard, M.; Leischner, C.; Renner, O.; Plöger, S.; Meraz-Torres, F.; Böcker, M.; Hirn, C.; Lauer, U.M.; Venturelli, S.; et al. Therapeutic Efficacy of Pharmacological Ascorbate on Braf Inhibitor Resistant Melanoma Cells In Vitro and In Vivo. Cells 2022, 11, 1229. [Google Scholar] [CrossRef] [PubMed]
- Focken, J.; Schittek, B. Crosstalk between keratinocytes and neutrophils shapes skin immunity against S. aureus infection. Front. Immunol. 2024, 15, 1275153. [Google Scholar] [CrossRef] [PubMed]








| Criteria | ENOX2 Expression [n] | p-Value | ||
|---|---|---|---|---|
| Low | High | Total | ||
| samples | ||||
| total | 305 | |||
| missing | 13 | |||
| insufficient tumor area | 8 (100.0%) | 0 (0.0%) | 8 | |
| valid | 234 (82.4%) | 50 (17.6%) | 284 | |
| sample entity | 0.024 | |||
| primary melanoma (PM) | 207 (83.1%) | 42 (16.9%) | 249 | |
| melanoma metastasis | 7 (53.8%) | 6 (46.2%) | 13 | |
| benign nevus | 20 (90.9%) | 2 (9.1%) | 22 | |
| histology (PM) | 0.052 1 | |||
| superficial spreading melanoma | 167 (85.2%) | 29 (14.8%) | 196 | |
| nodular melanoma | 10 (58.8%) | 7 (41.2%) | 17 | |
| lentigo maligna melanoma | 18 (85.7%) | 3 (14.3%) | 21 | |
| acral lentiginous melanoma | 7 (77.8%) | 2 (22.2%) | 9 | |
| other subtype | 5 (83.3%) | 1 (16.7%) | 6 | |
| stage (PM) 2 | <0.001 1 | |||
| I | 173 (88.3%) | 23 (11.7%) | 196 | |
| II | 19 (63.3%) | 11 (36.7%) | 30 | |
| III | 11 (64.7%) | 6 (35.3%) | 17 | |
| IV | 1 (33.3%) | 2 (66.7%) | 3 | |
| unknown | 3 (100.0%) | 0 (0.0%) | 3 | |
| tumor thickness (PM) | <0.001 1 | |||
| ≤1.00 mm | 137 (87.8%) | 19 (12.2%) | 156 | |
| 1.01–2.00 mm | 44 (89.8%) | 5 (10.2%) | 49 | |
| 2.01–4.00 mm | 15 (60.0%) | 10 (40.0%) | 25 | |
| >4.00 mm | 9 (52.9%) | 8 (47.1%) | 17 | |
| unknown | 2 (100.0%) | 0 (0.0%) | 2 | |
| ulceration (PM) | 0.147 1 | |||
| yes | 17 (70.8%) | 7 (29.2%) | 24 | |
| no | 188 (84.3%) | 35 (15.7%) | 223 | |
| unknown | 2 (100.0%) | 0 (0.0%) | 2 | |
| eTILs | 0.031 1 | |||
| ≤16.6% | 6 (54.5%) | 5 (45.5%) | 11 | |
| >16.6% | 215 (83.0%) | 44 (17.0%) | 259 | |
| unknown | 13 (92.9%) | 1 (7.1%) | 14 | |
| events for OS up to 120 months (PM) | 0.048 | |||
| yes | 32 (72.7%) | 12 (27.3%) | 44 | |
| no | 175 (85.4%) | 30 (14.6%) | 205 | |
| events for DSS up to 120 months (PM) | 0.055 | |||
| yes | 18 (69.2%) | 8 (30.8%) | 26 | |
| no | 189 (84.8%) | 34 (15.2%) | 223 | |
| events for MFS up to 120 months (PM) | 0.040 | |||
| yes | 16 (66.7%) | 8 (33.3%) | 24 | |
| no | 191 (84.9%) | 34 (15.1%) | 225 | |
Disclaimer/Publisher’s Note: The statements, opinions and data contained in all publications are solely those of the individual author(s) and contributor(s) and not of MDPI and/or the editor(s). MDPI and/or the editor(s) disclaim responsibility for any injury to people or property resulting from any ideas, methods, instructions or products referred to in the content. |
© 2024 by the authors. Licensee MDPI, Basel, Switzerland. This article is an open access article distributed under the terms and conditions of the Creative Commons Attribution (CC BY) license (https://creativecommons.org/licenses/by/4.0/).
Share and Cite
Böcker, M.; Chatziioannou, E.; Niessner, H.; Hirn, C.; Busch, C.; Ikenberg, K.; Kalbacher, H.; Handgretinger, R.; Sinnberg, T. Ecto-NOX Disulfide-Thiol Exchanger 2 (ENOX2/tNOX) Is a Potential Prognostic Marker in Primary Malignant Melanoma and May Serve as a Therapeutic Target. Int. J. Mol. Sci. 2024, 25, 11853. https://doi.org/10.3390/ijms252111853
Böcker M, Chatziioannou E, Niessner H, Hirn C, Busch C, Ikenberg K, Kalbacher H, Handgretinger R, Sinnberg T. Ecto-NOX Disulfide-Thiol Exchanger 2 (ENOX2/tNOX) Is a Potential Prognostic Marker in Primary Malignant Melanoma and May Serve as a Therapeutic Target. International Journal of Molecular Sciences. 2024; 25(21):11853. https://doi.org/10.3390/ijms252111853
Chicago/Turabian StyleBöcker, Matti, Eftychia Chatziioannou, Heike Niessner, Constanze Hirn, Christian Busch, Kristian Ikenberg, Hubert Kalbacher, Rupert Handgretinger, and Tobias Sinnberg. 2024. "Ecto-NOX Disulfide-Thiol Exchanger 2 (ENOX2/tNOX) Is a Potential Prognostic Marker in Primary Malignant Melanoma and May Serve as a Therapeutic Target" International Journal of Molecular Sciences 25, no. 21: 11853. https://doi.org/10.3390/ijms252111853
APA StyleBöcker, M., Chatziioannou, E., Niessner, H., Hirn, C., Busch, C., Ikenberg, K., Kalbacher, H., Handgretinger, R., & Sinnberg, T. (2024). Ecto-NOX Disulfide-Thiol Exchanger 2 (ENOX2/tNOX) Is a Potential Prognostic Marker in Primary Malignant Melanoma and May Serve as a Therapeutic Target. International Journal of Molecular Sciences, 25(21), 11853. https://doi.org/10.3390/ijms252111853

